综合病例研究

青少年上肢远端肌萎缩症两例报道

  • 宋学龙 ,
  • 万超
展开
  • 067000 承德,中国人民解放军联勤保障部队第九八一医院骨科中心一病区
万超,E-mail:

收稿日期: 2019-01-26

  网络出版日期: 2019-07-25

版权

版权所有,未经授权,不得转载、摘编本刊文章,不得使用本刊的版式设计。

Juvenile distal muscular atrophy of unilateral upper extremity: report of 2 cases

  • Song Xuelong ,
  • Wan Chao
Expand
  • Orthopedics Center Ward Area I, the 981st Hospital of People’s Liberation Army, Chengde 067000, China
Corresponding author, Wan Chao, E-mail:

Received date: 2019-01-26

  Online published: 2019-07-25

Copyright

Copyright reserved © 2019

摘要

青少年上肢远端肌萎缩症又称为平山病,是一种少见的肌萎缩病,好发于男性,病变部位位于下颈段脊髓前角。该病典型特征是前臂尺侧肌萎缩,病变上肢呈斜坡样改变,疾病进展缓慢,具有自限性。该文报道2例平山病患者,均以右手与上肢无力为主诉入院,颈椎过屈位MRI均显示硬膜外腔增宽、硬脊膜增厚前移,肌电图均显示右上肢神经神经源性损害,经佩戴颈托及口服维生素B等治疗后均好转出院,随访5年情况良好。平山病的诊断主要结合患者的临床表现以及影像学、肌电图检查,其中颈椎过屈位MRI是临床中最常用的辅助检查,临床医师应提高对该病的认识,降低误诊率。

关键词: 平山病; 肌萎缩; 青少年

本文引用格式

宋学龙 , 万超 . 青少年上肢远端肌萎缩症两例报道[J]. 新医学, 2019 , 50(7) : 562 -564 . DOI: 10.3969/j.issn.0253-9802.2019.07.018

Abstract

Juvenile distal muscular atrophy of the upper extremity, also known as Hirayama’s disease (HD), is a rare muscular atrophy disease, predominantly in the male. The lesion is primarily located in the anterior horn of the lower cervical spinal cord. It is typically characterized with the forearm ulnar muscular atrophy and the affected upper limb showing slope-like changes. The disease progresses slowly with self-limitating feature. In this article, two HD cases were reported, who were admitted to our hospital due to chief complaint of the weakness of the right hand and upper limb. MRI of the cervical spine in a hyperflexion position showed the widening of epidural space and the thickening and advancing of dura mater. Electromyography revealed the neurogenic injury of the right upper limb. Both patients were restored and discharged after neck brace treatment and oral vitamin B. Two patients remained physically stable during 5-year follow-up. The diagnosis of HD mainly depends upon clinical manifestations, imaging examination and electromyography. MRI of the cervical spine in a hyperflexion position is the most common auxiliary examination. Clinicians should improve their understanding of HD and reduce the misdiagnosis rate.

青少年上肢远端肌萎缩症又称为平山病、良性单肢肌萎缩症,是一种少见的肌萎缩病。该病是一种青少年期起病的自限性下颈段脊髓前角病变,多见于男性,好发于15 ~ 25岁,呈慢性隐袭起病。该病具有自限性,数年后停止进展。虽然该病预后良好,但如果尽早限制颈部过屈则可终止疾病的进展。迄今为止全球共报道该病1 500余例,绝大部分由日本和印度学者报道,但近年来欧美等国家的报道也逐渐增加。该病的病因及发病机制至今尚未明确,临床上容易误诊为其他神经系统疾病。现笔者将在门诊工作中发现的2例平山病病例报告如下。

病例资料

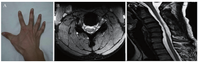
例 1,患者男,16岁,高中学生,山东济宁人,现居地为山东省济宁市,因“右手和右侧上肢无力1年,持物困难”于2011年9月15日入我院。患者无烟酒等不良嗜好。无传染病史和手术外伤史。父母与兄弟身体状况良好,家族成员中未发现遗传病及传染病。体格检查:神志清晰,语言流利,颅神经检查正常,锥体束征阴性。右手骨间肌、大小鱼际肌、蚓状肌明显萎缩,双侧前臂尺侧肌肉明显萎缩,呈斜坡状,桡骨膜反射稍微降低(图1A)。双侧上肢肌力、肌张力和感觉正常。双侧肘关节、肩关节活动正常。双侧下肢肌力、肌张力和感觉正常,膝踝反射对称活跃,脊柱无畸形,无扣压痛。实验室检查:肌酸磷酸激酶(CPK)、乳酸脱氢酶、血肌酸正常,脑电图、脑脊液常规正常。颈椎过屈位MRI显示颈3 ~ 胸1椎体水平硬膜外腔增宽、硬脊膜增厚前移,横断面显示脊髓前后径变扁(图1B、C)。肌电图显示右侧正中神经和尺神经神经源性损害,神经传导速度大致正常。肌肉病理活组织检查(活检)报告显示肌纤维成角萎缩,提示神经源性肌损害。诊断为平山病。给予佩戴颈托、物理治疗以及口服维生素B治疗后于2011年10月23日出院。随访5年,患者病情稳定,预后良好。
图1 一例平山病患者右手外观与检查

A:右手肌肉萎缩;B:椎体横断面显示脊髓前后径变扁;C:颈3 ~ 胸1椎体水平硬膜外腔增宽

例 2,患者男,17岁,高中学生,河北邯郸人,现居地为河北省邯郸市,因“右手无力,右手小拇指不能完全伸直,且伸直时可出现震颤”于2009年4月16日入我院。患者无烟酒等不良嗜好。无传染病史和手术外伤史。父亲患有高血压病10年,母亲患有2型糖尿病,妹妹身体状况良好,家族成员中未发现遗传病及传染病。体格检查:神志清晰,语言流利,颅神经检查正常,锥体束征阴性。右手骨间肌、大小鱼际肌明显萎缩,可见肌束颤动。右侧前臂桡侧屈肌明显受累,呈斜坡状改变。双侧上肢肌力、肌张力和感觉正常。双侧肘关节、肩关节活动正常。双侧下肢肌力、肌张力和感觉正常,膝踝反射对称活跃,脊柱无畸形,无扣压痛。实验室检查:CPK、乳酸脱氢酶、血肌酸正常,脑电图、脑脊液常规正常。颈椎过屈位MRI显示低位脊髓硬脊膜前移,颈6 ~ 胸2水平脊髓受压变扁,硬膜外腔呈新月状增宽。肌电图显示神经源性损害,神经传导速度大致正常。双下肢肌电图正常。诊断为平山病。给予口服维生素B、肌苷及佩戴颈托治疗后于2009年5月7日出院。随访5年,病情好转,手无力和肌萎缩无明显加重。

讨 论

平山病由日本学者Hiarayama等[1]于1959年发现并报道。平山病是一类青少年期发病的下颈段脊髓前角病变,发病年龄为15 ~ 25岁,多为慢性隐袭起病,且具有自限性,数年后停止进展,预后良好。该病在亚洲高发,多见于日本、中国、印度等国家,大部分为散发病例[2]
平山病的发病机制至今尚不明确,主要有以下学说:①脊髓动力学说,Hiarayama等[1]认为长期或反复的颈部过度前驱、重体力劳动会导致硬脊膜前移,进而导致脊髓受到压迫。下颈髓前角运动细胞对缺血敏感,长时间的压迫会导致下颈髓前角运动细胞缺血、缺氧发生病变坏死[3]。屈颈MRI与中立MRI比较,屈颈位可见硬脊膜前移,颈髓变细更明显。此外患者佩戴颈托后,病情进展时间显著缩短,症状得到缓解,这在一定程度上反映了该学说的正确性。②生长发育失衡学说,Foster等[4]认为该病可能与青年男性快速增长的身高有关,这可能会引起脊髓和椎管之间发育不平衡,屈颈时相对缩短的脊髓后根向前牵拉下段颈髓使其与前方的椎体互相压迫而致病。③血管学说,该学说的主要病理学证据在于颈髓前角细胞发生了缺血坏死,影像学证据在于MRI显示颈髓下段硬膜外腔长T1长T2信号,留空影均匀强化,提示为硬膜外扩张的静脉丛[5]。④免疫机制异常学说,有研究显示一些平山病患者有过敏现象,并且部分患者有过敏家族史,外周血中辅助T淋巴细胞水平升高,并伴随细胞因子IL-4、IL-6的上升[6,7,8]。部分平山病患者血清IgE水平升高,在进行血浆交换后可以明显改善病情[9]。以上提示平山病可能与免疫机制异常有关。⑤运动神经元病学说,有学者认为平山病属于一种介于肌萎缩侧索硬化症与进行性脊肌萎缩症的特殊运动神经元病。但该观点受到越来越多的质疑,因为该病预后良好,病变局限,SMN、SOD1等基因检测为阴性[10]
平山病的诊断依据如下:①青春期起病,男性多见。②该病起病缓慢,病程进展先快后慢,大部分患者在5年内病程进展趋于稳定。③临床表现特征为单侧不对称的上肢局限性无力或远端肌群萎缩,不伴随感觉功能障碍和括约肌功能障碍,无颅神经受损表现和锥体束征。少数患者双侧上肢均受累。④大部分患者伴随“寒冷麻痹”和“伸指震颤”,患肢在寒冷的环境下无力感加重,患肢手指在伸直时可出现震颤。⑤颈椎过屈位MRI可见低位颈部硬膜囊后壁前移(“失连接现象”),低位颈髓受压扁平,硬膜后方出现新月形异常信号影,中间有流空信号。⑥肌电图检查显示下颈髓节段性前角受损,主要累及颈7 ~ 胸1神经支配区。患侧上肢呈局限性失神经改变,但周围神经传导速度正常[11]。平山病需要与肌萎缩侧索硬化症相鉴别。平山病属于自限性疾病,病程不会出现进行性加重的情况,而肌萎缩侧索硬化症发病年龄较晚,属于进行性加重的神经系统疾病,常伴有上运动神经元受损的体征[12]。本文中的2例平山病患者症状比较典型,颈椎过屈位MRI和肌电图特征明显,符合本病诊断。
平山病目前可采用手术治疗和保守治疗。使用较多的手术方式是硬膜成形术和联合颈椎前路手术行单纯固定或融合术。研究结果显示手术可以限制颈椎的过度屈曲,达到改善临床症状的效果。对于疾病中晚期手功能尤其是拇指功能出现障碍的患者,可以考虑肌腱移植术,将患者手中健全的肌腱移植到拇指以改善患者日常生活能力。保守治疗主要为佩戴颈托。Tokumaru等(2001年)报道尽早佩戴颈托治疗可以显著缓解患者临床症状,并可使病程得到缓解。长期佩戴颈托需要患者具有良好的依从性,因此需要患者本人和家属的配合。本文的2例平山病患者均采用了佩戴颈托治疗,经长期随访病情稳定。
综上所述,平山病的预后较好,多数学者认为无需药物治疗。该病以保守治疗为主,而对于病程较长或者佩戴颈托依从性不好的患者可以考虑采用手术治疗以阻止疾病的进展。
[1]
Hirayama K, Tomonaga M, Kitano K, Yamada T, Kojima S, Arai K . Focal cervical poliopathy causing juvenile muscular atrophy of distal upper extremity: a pathological study. J Neurol Neurosurg Psychiatry, 1987,50(3):285-290.

DOI

[2]
Hassan KM, Sahni H . Nosology of juvenile muscular atrophy of distal upper extremity: from monomelic amyotrophy to Hirayama disease—Indian perspective. Biomed Res Int, 2013,2013:478516.

[3]
Hirayama K, Tsubaki T, Toyokura Y, Okinaka S . Juvenile muscular atrophy of unilateral upper extremity. Neurology, 1963,13:3733-3780.

[4]
Foster E, Tsang BK, Kam A, Stark RJ . Mechanisms of upper limb amyotrophy in spinal disorders. J Clin Neurosci, 2014,21(7):1209-1214.

DOI

[5]
林细康,季晓林 . 青少年上肢远端肌萎缩症. 中风与神经疾病杂志, 2009 , 26(2) : 255-256.

[6]
Hommel AL, Jewett T, Mortenson M, Caress JB . Juvenile muscular atrophy of the distal upper extremities associated with x-linked periventricular heterotopia with features of Ehlers-Danlos syndrome. Muscle Nerve, 2016,54(4):794-797.

DOI

[7]
楼金核, 杨娟, 王健,张蓓 . 平山病一例报道及文献复习. 华西医学, 2015,30(4):622-625.

[8]
昝坤,祖洁,崔桂云,常虹,沈霞 . 平山病的临床、神经电生理及影像学特点. 脑与神经疾病杂志, 2014,22(5) : 358-362.

[9]
Ochi H, Murai H, Osoegawa M, Minohara M, Inaba S, Kira J . Juvenile muscular atrophy of distal upper extremity associated with airway allergy: two cases successfully treated by plasma exchange. J Neurol Sci, 2003,206(1):109-114.

DOI

[10]
金翔,吕飞舟,陈文钧,夏新雷,王立勋,郑超君,姜建元 . 平山病、肌萎缩性侧索硬化及远侧型肌萎缩型颈椎病的神经电生理特点. 中华骨科杂志, 2013,33(10):1004-1011.

DOI

[11]
赵勇,冯国栋 . 平山病1例报告. 新医学, 2009,40(2):112-113.

[12]
Paredes I, Esteban J, Ramos A, Gonzalez P, Rivas JJ . A severe case of Hiray-ama disease successfully treated by anteriorcervical fusion. J Neurosurg Spine, 2014,20(2):191-195.

DOI

文章导航

/