综合病例研究

MELAS伴反复发热三例

  • 彭勃 ,
  • 孙盛同 ,
  • 刘大伟
展开
  • 1510500 广州,广州市白云区人民医院神经内科(彭勃,孙盛同); 510080 广州,中山大学附属第一医院病理科(刘大伟),神经内科同等学历研究生(彭勃)

Copy editor: 洪悦民

收稿日期: 2019-06-12

  网络出版日期: 2019-10-10

版权

版权所有,未经授权,不得转载、摘编本刊文章,不得使用本刊的版式设计。

MELAS type mitochondrial encephalomyopathy complicated with repeated fever in 3 cases

  • Peng Bo ,
  • Sun Shengtong ,
  • Liu Dawei
Expand
  • Department of Neurology, People’s Hospital of Baiyun District, Guangzhou 510500, China

Copy editor: Hong Yue-min

Received date: 2019-06-12

  Online published: 2019-10-10

Copyright

Copyright reserved © 2019. Office of Journal of New Medicine All articles published represent the opinions of the authors, and do not reflect the official policy of the Chinese Medical Association or the Editorial Board, unless this is clearly specified.

摘要

线粒体脑肌病是一种临床少见的疑难病,线粒体脑肌病合并乳酸血症和卒中样发作(MELAS)是线粒体脑肌病中最常见的一种,其表现复杂多变,临床易误诊。有文献报道,部分患者以发热、头痛起病。MELAS出现发热的机制可能与感染和癫痫发作有关,也可能为病变累及下丘脑。该文报道了MELAS伴反复发热的3例患者,其均有抽搐发作病史,初诊时均被诊断为病毒性脑炎,均经基因检测明确诊断为MELAS,经抗癫痫、营养神经及对症治疗后均好转出院。

本文引用格式

彭勃 , 孙盛同 , 刘大伟 . MELAS伴反复发热三例[J]. 新医学, 2019 , 50(10) : 788 -792 . DOI: 10.3969/j.issn.0253-9802.2019.10.014

Abstract

Mitochondrial encephalomyopathy is a rare and complicated disease in clinical practice. Mitochondrial encephalomyopathy with lactic acid and stroke-like episodes (MELAS) is the most common type of mitochondrial encephalomyopathy. MELAS is characterized with complex and changeable manifestations, which is likely to be misdiagnosed in clinical settings. Certain patients have fever and headache as the onset symptoms. The potential mechanism of fever in MELAS is probably correlated with infection and seizures or the lesions invading into the hypothalamus. In this article, 3 MELAS patients with recurrent fever were reported. All of them had a medical history of seizures and initially suspected with viral encephalitis. The diagnosis of MELAS was confirmed by gene detection. All patients were recovered and discharged after anti-seizure, nerve nutrition and symptomatic treatment.

线粒体脑肌病是临床罕见病,线粒体脑肌病合并乳酸血症和卒中样发作(MELAS)在线粒体脑肌病中最常见,其临床表现复杂多变。关于发热是否为MELAS的临床症状之一目前尚无明确定论。笔者采用中山大学附属第一医院旧电子病历系统查找该院2010年12月至2013年5月的住院病历,采用海泰电子病历系统软件V3.0查找该院2013年7月至2019年7月神经一科、二科、三科的住院病历,用“线粒体脑肌病”为关键词检索出院记录。在检索结果中根据患者的出院诊断,筛除诊断不明确及重复住院的病例。最后收集到33例确诊为线粒体脑肌病患者的病历,33例中确诊为MELAS者16例,MELAS伴有反复发热者6例。笔者选取其中3例典型病例,对其临床资料作一回顾,以期为同行提供参考。

病例资料

例1 患者男,26岁,因反复发热、头痛、抽搐7年,加重2周于2011年1月10日入中山大学附属第一医院。患者于2003年8月曾因“发热、头痛2个月,肢体抽搐伴意识障碍15 d”在外院住院,按“病毒性脑炎?症状性癫痫”治疗好转后出院。2003年11月患者头痛和抽搐再发,头痛为左侧颞部胀痛,呈持续性,无恶心、呕吐,抽搐表现为双上肢屈曲,双下肢伸直,抽搐时神志不清,持续数秒后自行缓解,神志转清,外院MRI示左颞顶叶异常信号(顶叶为主),考虑为脱髓鞘病变,考虑与炎症有关,病灶较前明显扩大,拟诊为“病毒性脑炎”予抗癫痫对症处理,出院后半年无抽搐发作,故停药。2010年12月21日患者再次出现头痛,性状同前,无发热、视物模糊、肢体抽搐及意识障碍,无偏瘫和肢体麻木。2010年12月24日起患者逐渐出现言语不流利,自觉部分词语表达困难,但完全理解他人言语,读书、认字无明显障碍,上述症状逐渐加重。2010年12月26日至2011年1月9日再在外院住院,多次查血乳酸数值升高,并行MRI和磁共振波谱分析(MRS)等检查,诊断为“MELAS;HBV携带者”,予甲钴胺片(弥可保)及大剂量维生素治疗,效果欠佳。近1周以来患者无法讲述完整句子,找词困难,仅能以单字、词表达,无法完全理解他人讲话,有错构表现,伴有幻听,睡前明显,听到有人与其交谈,无明显幻视、幻嗅,偶有抽搐发作,表现为意识丧失,口角右歪,头面部及双上肢屈曲抽动,持续约10 s自行缓解后神志转清,每日发作5 ~ 10次。患者起病以来饮食、二便正常,精神、睡眠稍差。近期体质量无进行性下降。既往有“HBV携带”病史。足月顺产,于原籍长大,从小学习能力较同龄儿稍差,成绩中等,无极度不耐受疲劳表现。24岁结婚,育有1子(有先天性缺右耳畸形),配偶及其子均身体健康。入院时体格检查:体温37℃,脉搏92次/分,呼吸20次/分,血压131/82 mm Hg(1 mm Hg = 0.133 kPa),神志清晰,有幻听,睡前明显,听到有人与其交谈,无明显幻视、幻嗅、妄想,时间、地点、人物定向力正常,远事物记忆力下降,近事物记忆力可,计算力减退(100 - 7=107),无失读、失写,理解力差,言语表达不清,无失认现象及体象障碍。实验室及辅助检查:脑脊液压力200 mm H2O(1 mm H2O = 0.0098 kPa);白细胞16×106/L;病毒PCR(-)。血乳酸(外院2010年12月30日)安静状态时3.01 mmol/L、运动15 min时3.37 mmol/L,休息15 min时3.47 mmol/L。左侧肱二头肌病理活组织检查(活检)示有散在蓬毛样红纤维。肌电图示所查神经末梢潜伏期正常,运动、感觉传导速度均正常;左胫神经F波潜伏期正常;所查肌肉无特征性改变。基因检查示A3243G阳性,A→G(比例1/3 ~ 1/2)。诊断为:①线粒体脑肌病(MELAS);②继发性癫痫;③HBV携带者。确诊后予患者注射用丙戊酸钠(德巴金)500 mg、2次/日,拉莫三嗪片(利必通)、每晚12.5 mg控制痫样发作,补充辅酶Q10(能气朗)”和大量B族维生素,予氨酪酸、弥可保营养神经,予依达拉奉注射液(必存)抗自由基等治疗,临时予肌内注射苯巴比妥100 mg减轻癫痫样发作。患者情况稳定后予带药出院。
例2 患者男,32岁,因反复头痛、左侧视物范围变小5年,再发1周于2018年2月9日入中山大学附属第一医院。患者5年前无诱因突发头痛,左侧视物范围变小,有四肢发作性抽搐并呼之不应,每次持续数分钟,发热最高体温达38.1℃,遂到中山大学附属第一医院神经一科住院,诊断为“病毒性脑膜脑炎;癫痫”,予丙种球蛋白、糖皮质激素(激素)冲击、抗病毒、抗癫痫治疗后好转出院,出院后服用德巴金500 mg/d,1年半后自行减停药物。2015年11月因过度疲劳、睡眠不足,出现左眼闪光感后四肢抽搐并呼之不应,持续十余分钟,再次就诊予镇静、德巴金抗癫痫后好转出院,出院后服用德巴金500 mg、2次/日治疗,服药过程中仍有左眼频发闪光感,持续数秒可缓解,无头痛、呕吐,后加用利必通、12.5 mg、2次/日治疗后症状仍无明显改善。2016年1月再次出现左眼频发闪光感,后头眼偏向左侧,肢体强直,呼之不应,持续数秒后缓解,反复发作3 ~ 4次,遂再入院行基因诊断为线粒体病(3243A > G突变),予左乙拉西坦片(开浦兰)、利必通抗癫痫、辅酶Q10改善能量代谢后好转出院,出院后规律服药。2016年7月曾无诱因出现头痛、低热(37.8度)、反应迟钝、说话断续、左侧视野不清、双耳听力下降,再次入院行头CT、MRI提示脑梗死,诊断为线粒体脑肌病(MELAS),予左卡尼汀、辅酶Q10、精氨酸、艾地苯醌、丁苯肽改善能量代谢,维生素B和维生素E营养神经,开浦兰和利必通联合抗癫痫。1周前患者无明显诱因出现左侧刺激性头痛,伴左侧视野变小,每次持续数分钟,发作间期无症状,发作频率3 ~ 5次/日。为求进一步诊治再次以线粒体脑肌病(MELAS)入院。患者发病以来食欲好,二便正常,体质量无变化;既往史、个人史等无特殊;父母健在,否认有家族遗传病史或类似病史。入院时体格检查:体温36.4℃,脉搏88次/分,呼吸20次/分,血压134/90 mm Hg,高级神经系统检查未见明显异常,吸吮反射(+),运动系统、共济运动、感觉系统、生理反射、病理反射、脑膜刺激征未见明显异常。2016年8月2日颅脑MRI检查示:①右侧颞顶枕岛叶大面积脑梗死,病灶范围较2016年7月增大,其中右颞叶病灶呈亚急性期,右顶叶病灶呈急性期,为新增病灶;②双侧筛窦炎症,右侧上颌窦黏膜下囊肿。视野检查:右眼生理盲点扩大,颞侧视野大部分缺损,鼻侧视野缺损;左眼生理盲点扩大,颞侧视野缺损,鼻侧视野大部分缺损。入院后予营养神经、改善循环、抗癫痫及对症支持治疗后,患者左侧视野缺损改善,予带药出院。出院诊断:①线粒体脑肌病(MELAS);②症状性癫痫。
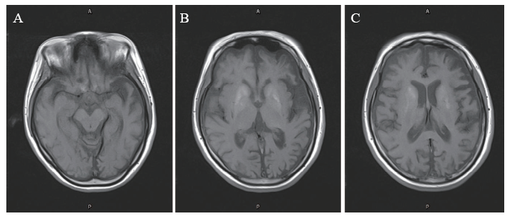
例3 患者女,24岁,因反复头痛、抽搐11年,再发抽搐2 d于2018年12月17日入中山大学附属第一医院。患者于11年前无明显诱因出现发热,体温38 ~ 39℃,并伴较为剧烈的头痛,呕吐胃内容物数次,无不省人事、二便失禁,在当地医院治疗后发热好转,但偶有烦躁及右侧肢体抽搐,右侧肢体无力,智力下降,其后转来中山大学附属第一医院,诊断为病毒性脑炎,继发性癫痫,予激素、抗病毒、抗癫痫等治疗后,症状好转,出院后口服泼尼松、丙戊酸钠治疗,仍有反复头痛、抽搐、左侧或右侧肢体麻木与无力,智能逐渐下降,生活基本能自理,多次入院治疗,2011年5月患者再次出现右侧肢体无力、抽搐而入院,行基因检测确诊为线粒体脑肌病、症状性癫痫,予改善脑部能量代谢,托吡酯片、利必通抗癫痫治疗,症状好转后带药出院,偶有抽搐发作,自行调整托吡酯片用量后抽搐能控制,生活基本能自理,能参加工作。2013年相同症状再发,入院经相同治疗后好转出院。2015年6月20日患者在洗澡过程中突发四肢无力,站立不稳,并伴头晕、低热(体温不详),2015年6月21日反复出现右侧上肢抽搐、乱语、神志不清,再次入院,患者及其母亲接受基因检测示MELAS相关的杂合性突变m.3243A > G,患者经对症治疗后好转出院。2015年7月14日及2016年9月6日患者均因反应迟缓、答非所问再次入院治疗,曾行MRI检查,2015年8月3日脑血管磁共振血管成像(MRA)示:①双侧基底节核团异常信号影;②双侧壳核异常信号影;③双侧额叶、双侧颞叶、枕叶、岛叶皮层弥漫性异常信号,以右侧颞叶显著;④脑萎缩; ⑤脑血管未见明确异常。患者出院后坚持服用托吡酯片、复合维生素B、艾地苯醌片(金博瑞)、三磷酸腺苷、辅酶Q10、奥拉西坦等治疗,未再发肢体抽搐。本次入院前2 d患者无明显诱因出现抽搐,表现为四肢抽动,肢体抽动时神志不清,呼之不应,半小时左右发作1次,每次持续数十秒,发作频繁,每次发作症状一致,故再次入院治疗。起病以来患者精神、食欲、睡眠差,二便正常;平素健康状况一般,既往史、个人史等无特殊;父母健在,其母有类似病史,被诊断为“线粒体脑肌病”,否认其他家族遗传病、传染病或精神病史。入院时体格检查:体温36.5℃,脉搏98次/分,呼吸15次/分,血压102/71 mm Hg,神志清晰,无幻觉、妄想,理解力为部分理解,言语流利,反应迟缓,答非所问,查体不合作。时间、地点、人物定向力异常,近、远事物记忆力及计算力减退,阅读、书写能力、失认检查不合作。视力检查不合作,双侧面部痛、触觉检查不合作,刺激右下肢不能于床面移动,左下肢可抬离床面,右下肢肌力4级,左下肢肌力5-级,肌张力不高,双侧病理征阴性,脑膜刺激征阴性。血乳酸8 mmol/L(参考值0.9 ~ 2.3 mmol/L)。肌电图示肌源性损害。颅脑MRI检查与2015年8月检查时对比:①双侧基底节区异常信号范围与前相仿;小脑见新发异常信号灶;双侧大脑半球异常信号灶部分新发,部分较前相仿,部分消失,左侧额叶后上部中线旁见条状弥散受限区;②脑萎缩较前加重(图1)。予患者营养神经,抗癫痫等对症支持治疗,症状好转后出院。出院诊断:①线粒体脑肌病(MELAS);②症状性癫痫。
图1 一例MELAS患者颅脑MRI图

讨 论

线粒体脑肌病是由线粒体结构和(或)功能异常所导致的以脑与肌肉受累为主的多系统疾病,其神经系统受损主要表现为眼外肌麻痹、卒中、癫痫反复发作、肌阵挛、偏头痛、共济失调、智能障碍以及视神经病变等,肌肉损害主要表现为骨骼肌极度不能耐受疲劳,其他系统表现可有心脏传导阻滞、心肌病、糖尿病、肾功能不全、假性肠梗阻和身材矮小等。线粒体脑肌病因临床表现复杂多变而易被误诊。
MELAS是线粒体脑肌病中最常见的一种,该病为母系遗传,笔者检索到的16例MELAS患者的临床症状包括:头痛(15/16)、抽搐发作(12/16)、智能障碍(12/16)、肌无力(8/16)、发育迟缓(7/16)、视觉症状(7/16)、言语障碍(7/16)、发热(6/16)、记忆力下降(6/16)、运动不耐受(4/16)、视野缺损(4/16)、听力下降(4/16)、幻视(3/16)、幻听(2/16)、共济失调(2/16)、眼外肌麻痹(1/16)。急性发病的MELAS最易被误诊为单纯疱疹病毒性脑炎,两者均可以出现头痛、发热、癫痫和意识障碍。笔者查阅中国知网的文献发现有MELAS患者因发热、头痛、抽搐而被误诊为病毒性脑炎的报道。
有研究者认为发热是MELAS发作的诱因[12]。对于MELAS出现发热的机制,有以下几种可能:①感染,有研究者认为病毒感染可能是引起发热的原因,笔者本次收集到的6例MELAS中有2例考虑为呼吸道感染引起发热;②癫痫引起发热,本组6例中有5例有抽搐发作病史;③颅内病变,可能直接影响到下丘脑发热中枢[13,14,15,16,17,18]。本次收集到的MELAS伴发热患者共6例,因病例数少,结果供大家参考,后续还需收集更多的病例作进一步分析。
致谢:本文承中山大学附属第一医院神经内科梁秀龄教授、李洵桦教授指导,特此致谢。病理照片由中山大学附属第一医院病理科王连唐主任、刘大伟老师提供,特此致谢。
[1]
Finsterer J . Commentary: new variant of MELAS syndrome with executive dysfunction, heteroplasmic point mutation in the MT-ND4 Gene (m.12015T>C; p.Leu419Pro) and comorbid polyglandular autoimmune syndrome type 2. Front Immunol, 2019,10:1333.

[2]
Doppler CEJ, Kabbasch C, Fink GR, Lehmann HC, Wunderlich G. Rapid alterations in MR imaging in MELAS syndrome. Pract Neurol, 2019 Jul 10. pii: practneurol-2019-002266. doi: 10.1136/practneurol-2019-002266.[Epub ahead of print]

[3]
Lin TK, Chen SD, Chuang YC, Lan MY, Chuang JH, Wang PW, Hsu TY, Wang FS, Tsai MH, Huang ST, Wang XW, Tsai PC, Lin HY, Liou CW . Mitochondrial transfer of wharton’s jelly mesenchymal stem cells eliminates mutation burden and rescues mitochondrial bioenergetics in rotenone-stressed MELAS fibroblasts. Oxid Med Cell Longev, 2019: 9537504. doi: 10.1155/2019/9537504.eCollection2019.

[4]
Smeitink J, Koene S, Beyrath J, Saris C, Turnbull D, Janssen M . Mitochondrial migraine: disentangling the angiopathy paradigm in m. 3243A>G patients. JIMD Rep, 2019,46(1):52-62.

[5]
Finsterer J . Mortality in mitochondrial encephalomyopathy, lactic acidosis, and stroke-like episodes does not depend on levetirazetam alone. Chin Med J (Engl), 2019,132(12):1512.

[6]
Lee HN, Eom S, Kim SH, Kang HC, Lee JS, Kim HD, Lee YM . Epilepsy characteristics and clinical outcome in patients with mitochondrial encephalomyopathy, lactic acidosis, and stroke-like episodes (MELAS). Pediatr Neurol, 2016,64:59-65.

[7]
Kuwajima M, Goto M, Kurane K, Shimbo H, Omika N, Jimbo EF, Muramatsu K, Tajika M, Shimura M, Murayama K, Kur-osawa K, Yamagata T, Osaka H . MELAS syndrome with m. 4450 G > A mutation in mitochondrial tRNAMet gene. Brain Dev, 2019,41(5):465-469.

[8]
Finsterer J, Zarrouk-Mahjoub S . A MELAS phenotype is not necessarily MELAS. Trop Doct, 2017,47(2):191-192.

[9]
Ozawa K, Mochizuki K, Manabe Y, Yoshikura N, Shimohata T, Nishino I, Goto YI . Reply to: diagnosing MELAS requires not only an mtDNA variant but also an appropriate phenotype. Doc Ophthalmol, 2019,138(3):257-258.

[10]
Finsterer J, Zarrouk-Mahjoub S . Diagnosing MELAS requires not only an mtDNA variant but also an appropriate phenotype. Doc Ophthalmol, 2019,138(3):255-256.

[11]
Santamarina E, Alpuente A, Maisterra O, Sueiras M, Sarria S, Guzman L, Abraira L, Salas-Puig J, Toledo M . Perampanel: a therapeutic alternative in refractory status epilepticus associated with MELAS syndrome. Epilepsy Behav Case Rep, 2019,11:92-95.

[12]
陈峥, 胡静, 应可明, 王康军, 贺峰, 张森岭, 李剑 . 21例线粒体病的临床和病理特征分析. 中国医师杂志, 2019,21(4), 576-580.

[13]
王艳丽, 孔庆霞 . 以“癫痫发作”起病的MELAS综合征临床特点分析. 中国全科医学, 2017,20(12), 1511-1515.

[14]
张康庆, 陈斓斓, 韩晓鸥, 刘亢丁, 包立阳, 张海宁 . 误诊为病毒性脑炎、癫痫症、脑梗死的MELAS型线粒体脑肌病1例报告. 中风与神经疾病杂志, 2019,36(5), 457-459.

[15]
陈娅, 徐祖才, 吴瑞, 姚本海, 雷显泽, 廖书胜 . 误诊MELAS为病毒性脑炎1例报告并文献复习. 中风与神经疾病杂志, 2018,35(6), 564-565.

[16]
陈蕊, 漆学良, 张明 . MELAS综合征临床、影像、脑电图及基因特点分析. 中国神经精神疾病杂志, 2016,42(12), 720-725.

[17]
陈合成, 杨金升, 石向群, 王娟, 杨银升 . 线粒体脑肌病的临床、病理与神经电生理. 卒中与神经疾病, 2007,14(1):28-31.

[18]
孙新刚, 刘运海, 张宁, 王彦丽, 尹小玲, 张文娟, 梁静慧 . 4例线粒体脑肌病的临床分析. 现代生物医学进展, 2010,10(22):4261-4263.

文章导航

/