综合病例研究

播散性带状疱疹误诊为血管炎一例

  • 刘凡 ,
  • 骆月 ,
  • 万静 ,
  • 江珊
展开
  • 430060 武汉,武汉大学人民医院皮肤性病科
江珊,E-mail:

Copy editor: 杨江瑜

收稿日期: 2019-07-12

  网络出版日期: 2020-03-05

版权

版权所有,未经授权,不得转载、摘编本刊文章,不得使用本刊的版式设计。

Disseminated herpes zoster misdiagnosed as vasculitis: a case report

  • Liu Fan ,
  • Luo Yue ,
  • Wan Jing ,
  • Jiang Shan
Expand
  • Department of Dermatology, Renmin Hospital of Wuhan University, Wuhan 430060, China
Jiang Shan, E-mail:

Received date: 2019-07-12

  Online published: 2020-03-05

Copyright

Copyright reserved © 2020. Office of Acta Agronomica Sinica All articles published represent the opinions of the authors, and do not reflect the official policy of the Chinese Medical Association or the Editorial Board, unless this is clearly specified.

摘要

播散性带状疱疹较少见,主要见于老年人或体质较弱的个体,特别是免疫功能受抑制的人群。因该病少见,而且病情严重,可有发热等其他全身症状,因此早期容易出现误诊、误治。该文报道1例误诊为血管炎的患者,入院后结合其临床表现、组织病理检查及细胞学涂片,确诊为播散性带状疱疹。予抗病毒、营养神经、提高免疫力等治疗后好转出院。该例提示免疫功能受限的带状疱疹患者皮疹可以泛发且严重,易误诊为其他疾病。临床医师应提高对播散性带状疱疹的认识,关注早期皮损特点及患者免疫功能状态,完善相关检查,正确诊治播散性带状疱疹。

本文引用格式

刘凡 , 骆月 , 万静 , 江珊 . 播散性带状疱疹误诊为血管炎一例[J]. 新医学, 2020 , 51(1) : 63 -66 . DOI: 10.3969/j.issn.0253-9802.2020.01.014

Abstract

Disseminated herpes zoster is rarely encountered, mainly occurring in the elderly or individuals with poor physical conditions, especially in those with immunosuppression. It is a rare and severe disease that can cause fever and other systematic symptoms. It is likely to be misdiagnosed and improperly treated during the early stage. In this article, one case of disseminated herpes zoster misdiagnosed vasculitis was reported. After admission, clinical manifestations, histopathological examination and cytological smear test results were considered to confirm the diagnosis of disseminated herpes zoster. The patient was cured by antiviral, neurotrophic, and immunity enhancing therapies. This case suggests that the skin rash of herpes zoster patients with immunosuppression can be generalized and severe, and easily misdiagnosed as other diseases. Clinicians should deepen the understanding of disseminated herpes zoster, pay attention to the characteristics of early skin lesions and the immune function of patients and improve relevant examinations, thereby ensuring the accurate diagnosis and efficacious treatment of disseminated herpes zoster.

带状疱疹是一种由水痘-带状疱疹病毒引起的病毒性皮肤病。其典型临床特征是单侧分布,皮节范围内的簇集性水疱或丘疱疹,常伴有神经痛[1]。播散性带状疱疹较少见,常定义为在受累皮节外尚有20个以上的皮损[2]。该病主要见于老人或体质较弱的个体,特别是免疫功能受抑制的人群。因本病少见,而且病情严重,可有发热等其他全身症状,因此早期容易出现误诊、误治。我院近期收治1例误诊为血管炎的播散性带状疱疹患者,现报告如下。

病例资料

一、病史及体格检查

患者女,51岁。左下肢起疹伴疼痛20余日,加重泛发至全身1周。患者20余日前无明显诱因开始左下肢起疹,伴疼痛,为阵发性针刺样疼痛。无发热、畏寒等不适。曾就诊于当地县医院,考虑皮肤感染,予以头孢、地塞米松等对症支持治疗,患者症状好转后出院。1周前,患者皮疹逐渐加重并泛发至全身,疼痛明显。遂于2018年11月30日就诊于我院门诊,门诊以血管炎收入院。患者既往有类风湿关节炎病史数10年,现规律口服甲氨蝶呤5 mg/次,2次/周。无传染病史,无家族病史。
体格检查:体温38.2℃,脉搏102次/分,血压132/92 mm Hg(1 mm Hg = 0.133 kPa),呼吸20次/分。咽部正常,双侧腋窝可触及浅表淋巴结肿大,无压痛。心肺腹检查无异常。皮肤科专科检查:全身见散在分布暗紫红色斑疹、丘疹、丘疱疹,部分融合成片,其上可见褐色痂皮,左下肢皮疹明显严重,左大腿见片状溃疡面,上覆褐色痂皮,周围见淤点、淤斑(图1A、B)。
图1 一例播散性带状疱疹患者皮损图片

A:双下肢皮损;B:躯干皮损

二、实验室及辅助检查

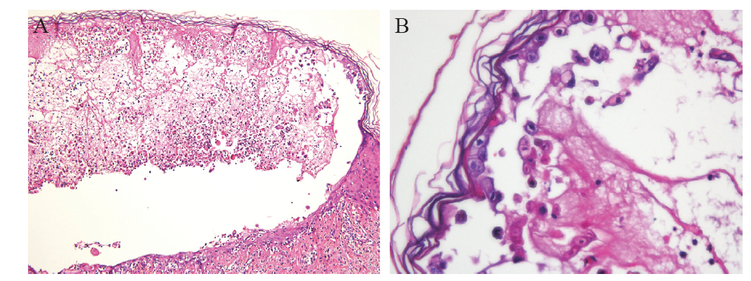
白细胞9.72×109 /L,CRP 144 mg/L,血清淀粉样蛋白> 200 mg/L,降钙素原0.391 ng/ml,细胞免疫 CD3计数、CD4计数、CD8计数均降低(CD3计数 326/μL、CD4计数 165/μL、CD8计数161/μL)。肝肾功能、电解质、尿常规、大便常规未见明显异常。HIV抗体阴性。泌尿系统彩色多普勒超声(彩超)、肝胆脾胰彩超、双下肢动静脉彩超正常。胸部CT示双侧腋窝多发淋巴结肿大,盆腔CT示双侧髂血管区、腹股沟多发淋巴结肿大。皮损病理活组织检查示表皮内水疱形成,个别疱核见核内包涵体,真皮未见明显炎症反应(图2A、B)。皮损疱底刮取物细胞学涂片检查示较多中性粒细胞、淋巴细胞,可见多核巨细胞及核内包涵体(图3)。
图2 一例播散性带状疱疹患者皮损组织病理(HE染色)

A:×40;B:×100

图3 一例播散性带状疱疹患者皮损疱底刮取物细胞学涂片

三、诊疗经过

患者入院后根据:①皮损泛发,部分皮疹为出血性及坏死性;②伴有发热、疼痛等临床表现,考虑诊断为血管炎,给予甲泼尼龙注射剂40 mg/d,头孢他定抗感染等对症支持治疗。治疗2 d后,患者体温恢复正常,皮疹较前干涸,但躯干仍有少量新发皮疹,且疼痛无明显改善。入院第6日,最终依据病理学及细胞学检查结果,诊断为播散性带状疱疹,治疗上甲泼尼龙逐渐减量,并给予以抗病毒、营养神经、提高免疫力及局部皮损护理等对症支持治疗。入院第11日,患者细胞免疫 CD3计数、CD4计数、CD8计数均升至正常。入院第15日患者皮损均干燥结痂,部分痂皮脱落,疼痛缓解出院。门诊随访3个月,患者疼痛已消失,皮损已基本消退,仅遗留少许色素沉着。

讨 论

带状疱疹是一种常见的病毒性皮肤病,是由潜伏在感觉神经节内的水痘-带状疱疹病毒的再激活而发病。典型的临床表现是沿某一周围神经呈带状分布的簇集性水疱,多发生于身体一侧,一般不超过中线,神经痛为本病特征之一。与细胞免疫功能密切相关的年龄、HIV感染、恶性淋巴瘤及应用免疫抑制剂等因素被认为是带状疱疹发生的危险因素[3]。许多研究表明细胞免疫功能受损者带状疱疹的发病率升高,而且发生播散性带状疱疹可能性升高。机体的免疫状态决定了病毒播散感染的强弱及疾病发生的严重程度[4]。免疫功能受抑制患者患带状疱疹时,皮疹可能更广泛、严重,常表现为片状分布水疱,甚至是血疱,疱壁破溃后常出现皮肤溃疡。
本例患者既往有类风湿关节炎病史数10年,一直规律口服甲氨蝶呤5 mg/次,2次/周,入院后实验室检查提示细胞免疫功能明显受抑制。该患者初始皮损发生于左大腿,伴针刺样疼痛,后皮损逐渐播散到其他部位,仔细观察皮损初起为丘疹、丘疱疹,但皮损很快出现破溃、结痂,局部还有淤点、淤斑等出血性损害。皮损病理活组织及疱底刮取物细胞学涂片检查均提示疱疹病毒感染。结合病史、皮损特征符合播散性带状疱疹诊断。因本例患者免疫功能明显受限,故该患者病程明显延长、皮损广泛,关键是初发皮损很快演变为溃疡、结痂,而且局部有淤点、淤斑等出血性损害,同时还伴有疼痛,故初诊时误诊为血管炎。皮肤血管炎是一大类皮肤病,皮损表现与受累血管大小、范围及炎症程度相关,也可表现为紫癜、丘疹、红斑、结节、溃疡、坏死等,常见的主观症状为疼痛[5]。但组织病理学主要表现为血管壁及血管周围炎性细胞浸润,并伴有血管损伤,包括纤维素沉积、胶原纤维变性或坏死、内皮细胞肿胀等[6]
针对本例患者,临床医师仅根据患者皮损呈多形性(丘疹、水疱、溃疡、结痂、紫癜)、全身性分布,伴发热、疼痛等症状,误诊为血管炎。分析本例误诊的主要原因是:①医师对播散性带状疱疹认识不足。播散性带状疱疹在临床上虽然比较少见,但在免疫功能受限制的人群中还是可以出现。与带状疱疹的典型单侧分布特点不同,它可以出现全身泛发性皮损。②对典型疾病的不典型皮损认识不足。本例患者皮疹始发于左下肢,皮损初发仍为水疱、丘疱疹,且患者疼痛为阵发性针刺样疼痛,与带状疱疹引起的神经痛性质相似。这些临床表现与体征符合带状疱疹的表现,但因播散性带状疱疹患者常有免疫功能受限,所以皮损可能更广泛、严重,甚至可出现血疱、溃疡等严重损害。③未重视患者既往长期服用甲氨蝶呤导致自身免疫力低下这一可引起播散性带状疱疹的危险因素。
对于免疫力低下者,播散性带状疱疹患者的症状可能是非典型性的,易误诊为其他疾病,广泛的鉴别诊断和适当的实验室检查有助于建立正确的诊断[7]。播散性带状疱疹较普通带状疱疹临床症状更重、更易继发感染、恢复更慢、后遗神经痛发生率也更高[8]。早期明确诊断,积极给予抗病毒、营养神经、提高免疫力及局部护理等对症支持治疗,可显著改善播散性带状疱疹患者的预后。
[1]
吕发强 . 胸背刺痛辗转医诊疗不一痛未去——1例带状疱疹患者的诊治教训. 新医学, 2011,42(2):116.

[2]
Elston DM, James WD, Berger TG. 安德鲁斯临床皮肤病学.徐世正译. 11版. 北京: 科学出版社, 2014: 372-373.

[3]
赵辨 . 中国临床皮肤病学. 2版. 南京: 江苏凤凰科学技术出版社, 2017: 416-417.

[4]
沈芳, 谢韶琼 . 泛发性带状疱疹 21 例外周血淋巴细胞亚群及临床分析. 中国皮肤性病学杂志, 2016,30(2):136-138.

[5]
Stone JH, Nousari HC . “Essential” cutaneous vasculitis: what every rheumatologist should know about vasculitis of the skin. Curr Opin Rheu matol, 2001,13(1):23-34.

[6]
刘兰 . 皮肤血管炎临床及组织病理分析. 世界最新医学信息文摘, 2016, 16(65): 47,161.

[7]
Tresch S, Trueb RM, Kamarachev J, French LE, Hofbauer GF . Disseminated herpes zoster mimicking rheumatoid vasculitis in a rheumatoid arthritis patient on etanercept. Dermatology, 2009,219(4):347-349.

[8]
张慧, 曹媛媛, 崔伟, 项倩彤 . 22例播散性带状疱疹临床分析. 中国麻风皮肤病杂志, 2018,34(3):37-38.

文章导航

/