研究论著

共聚焦激光内镜对结肠息肉的诊断

  • 刘涛 ,
  • 姚嘉茵 ,
  • 江紫莹 ,
  • 郅敏
展开
  • 510655 广州,中山大学附属第六医院消化内科(刘涛,姚嘉茵,郅敏);510515 广州,南方医科大学南方医院消化内科(刘涛);528200 佛山,南方医科大学附属南海医院超声科(江紫莹)
* 郅敏,E-mail:

Copy editor: 杨江瑜

收稿日期: 2019-07-12

  网络出版日期: 2020-03-05

版权

版权所有,未经授权,不得转载、摘编本刊文章,不得使用本刊的版式设计。

Confocal laser endoscopy for the diagnosis of colonic polyps

  • Liu Tao ,
  • Yao Jiayin ,
  • Jiang Ziying ,
  • Zhi Min
Expand
  • Department of Gastroenterology, the Sixth Affiliated Hospital of Sun Yat-sen University, Guangzhou 510655, China
* Zhi Min, E-mail:

Received date: 2019-07-12

  Online published: 2020-03-05

Copyright

Copyright reserved © 2019. Office of Acta Agronomica Sinica All articles published represent the opinions of the authors, and do not reflect the official policy of the Chinese Medical Association or the Editorial Board, unless this is clearly specified.

摘要

目的 探讨共聚焦激光内镜(CLE)预测结肠息肉组织病理学结果的可行性。方法 对纳入的结肠息肉,由一位经验丰富的内镜医师独立完成CLE检查,并完成对息肉性质、腺瘤性息肉组织学分型及分级的诊断,1个月后该医师及另一位初学者重新根据图像分别进行组织病理学诊断,以验证一致性。结果 共纳入41例结肠息肉患者(64枚息肉),其中腺瘤性息肉41枚,非腺瘤性息肉23枚。CLE诊断腺瘤性息肉的灵敏度97.6%、特异度82.6%,同一医师前后及不同医师间的结果均高度一致(Kappa值分别为0.838和0.889)。CLE对腺瘤息肉组织学分型的准确性为90.2%,初学者相对较低为80.5%。将腺体形态、血管形态、腺上皮形态及细胞形态按严重程度分为1 ~ 3级,分析发现高级别上皮内瘤变组分级均高于低级别上皮内瘤变组(P < 0.05)。结论 CLE不仅可以鉴别结肠息肉的性质,还可以对腺瘤性息肉进行组织学分型,同时也具有对腺瘤性息肉进行组织学分级的潜在价值。

本文引用格式

刘涛 , 姚嘉茵 , 江紫莹 , 郅敏 . 共聚焦激光内镜对结肠息肉的诊断[J]. 新医学, 2019 , 50(12) : 938 -944 . DOI: 10. 3969/j. issn. 0253-9802. 2019. 12. 014

Abstract

Objective To explore the feasibility of confocal laser endoscopy(CLE) for predicting the histopathological outcomes of colonic polyps.Methods CLE was independently performed by an experienced endoscopist to make the diagnosis of polyps nature and histological classification and grading of adenomatous polyps. One month later, histopathological diagnosis was made again according to the CLE images by the same endoscopist and another beginner to validate the agreement between twice diagnoses.Results A total of 41 patients (64 polyps) were enrolled including 41 adenomatous polyps and 23 non-adenomatous polyps. The sensitivity and specificity of CLE for the diagnosis of adenomatous polyps were 97.6% and 82.6%, respectively. The intra-observer and inter-observer agreements were high (Kappa = 0.838 and 0.889, respectively). The accuracy of CLE for predicting histological classification of adenomatous polyps was 90.2%, and 80.5% for the beginner. The morphology of gland, blood vessel, glandular epithelium and cells was classified into grade 1-3 according to the severity. The score of high-grade intraepithelial neoplasia was significantly higher than that of low-grade intraepithelial neoplasia (P < 0.05).Conclusions CLE can not only differentiate the nature of colonic polyps, but also predict the histological classification of adenomatous polyps. Besides, it also has potential in evaluating the histological grading of adenomatous polyps.

2018年全球新发结直肠癌约为180万,但由于大部分患者确诊时处于进展期,仍约有90万死亡病例[1]。研究显示,内镜下切除腺瘤性息肉可使结直肠癌相关病死率明显下降[2]。然而超过90%的大肠息肉是小息肉或微小息肉,其中微小息肉仅1.7%伴有进展期组织学特征,如绒毛状结构或高级别上皮内瘤变(HGIN) [3,4,5]。息肉切除目前仍然是导致结肠镜检查并发症的主要原因之一[6]。鉴于此,是否需切除所有息肉,尤其是非肿瘤性小息肉及微小息肉仍未达成一致。近年来“诊断-遗留”和“切除-丢弃”2个策略逐渐兴起以解决上述问题,但受限于在体诊断的准确性,目前这2项策略也仅针对微小息肉,且仍尚未完全实现[7,8]。目前染色内镜、窄带成像技术(NBI)内镜等均可相对准确地区分息肉性质,而共聚焦激光内镜(CLE)可放大1000倍,从而进行组织学观察,是其他内镜所不具备的优势,不仅能区分息肉性质,还有进一步区分组织学分型及分级的潜力[9,10]。因此,本研究拟探讨CLE预测结肠息肉组织病理学结果的可行性。

对象与方法

一、研究对象

纳入2014年1月至10月于南方医院行结肠镜检查并发现结肠息肉的患者,共41例,所有患者检查前已签署知情同意书。排除胃肠息肉综合征病例,如家族性腺瘤性息肉病、P-J综合征、Gardner综合征、幼年性息肉病等。详细记录患者的性别、年龄、息肉的部位及大小等基本信息。

二、研究方法

1.器材及试剂

Pentax共聚焦内镜(EC3870-CIK) 、富士能内镜EC-590、荧光素钠注射液(3 ml∶0.6 g广州白云山明兴制药有限公司)。

2.检查方法

纳入的息肉,由一名经验丰富的内镜医师进行CLE检查,并独立做出病理预测。1个月后该名内镜医师及另一位初学者再次阅读共聚焦图像,并各自独立做出病理预测,以进行一致性检验。病理检查为金标准。

3. CLE诊断标准

腺瘤性息肉的诊断:采用Mainz标准作为腺瘤性息肉的诊断标准,CLE下其特征表现为:①血管扩张、扭曲伴有明显渗出,排列多无方向性;②隐窝上皮呈不规则的脊样或线样改变,伴有隐窝数量及杯状细胞减少;③不规则的细胞结构伴有黏液的减少[11]
腺瘤性息肉的组织学分型:我们尝试参照病理分类标准对腺瘤性息肉进行组织学分型。①管状腺瘤,腺管状成分至少占据腺瘤腔面80%。②绒毛状腺瘤,绒毛结构至少占据腺瘤腔面80%。③管状绒毛状腺瘤,2种腺瘤成分混合,同时均超过20%。
腺瘤性息肉的组织学分级:CLE下未能显示细胞核形态,但仍能提供腺体形态、血管形态、腺上皮形态及细胞形态等特征,我们尝试通过上述图像特征进行息肉组织学分级。上述4项特征按照严重程度分为1 ~ 3级,即腺体形态分为轻度、中度及重度腺体扭曲及不一致;血管形态分为轻度、中度及重度血管增多增粗及扭曲;腺上皮形态分为轻度、中度及重度腺上皮脊样不规则改变;细胞形态分为轻度、中度及重度细胞排列不规则;对比4项特征在HGIN组、低级别上皮内瘤变(LGIN)组中的差异。

三、统计学处理

采用SPSS 18.0分析数据。计量资料以$\bar{x}±s$表示。分类资料如息肉位置、病理类型等采用例(%)表示。等级资料两独立样本间比较采用秩和检验。一致性以Kappa表示。P值(双侧)小于0.05为差异有统计学意义。

结 果

一、一般资料

本研究共纳入41例患者,其中男27例(65.8%)、女14例(34.1%),年龄(55.1±12.4)岁,病变大小(9.1±6.9)mm。病变位置:升结肠1例,横结肠2例,降结肠11例,乙状结肠23例,直肠27例。共发现息肉64枚,其中非腺瘤性息肉23枚(增生性息肉20枚,炎性息肉2枚,幼年性息肉1枚),而腺瘤性息肉41枚(管状腺瘤33枚,管状绒毛状腺瘤6枚,绒毛状腺瘤2枚)。

二、CLE对腺瘤性息肉的诊断

依据Mainz标准将息肉分为腺瘤性及非腺瘤性息肉(图1、2),结果提示CLE对腺瘤性息肉诊断的准确性92.2%、灵敏度97.6%、特异度82.6%、阳性预测值90.9%、阴性预测值95.0%。1个月后,内镜医师再次阅片,并重新作出诊断,结果与之前相仿,其Kappa值为0.838。另一位初学者独立阅片后,其诊断准确性90.6%、灵敏度97.6%、特异度78.3%、阳性预测值88.9%、阴性预测值94.7%,与经验丰富的内镜医师的诊断一致性较好,两者间的Kappa值为0.889,见表1
图1 正常黏膜、增生性息肉及腺瘤的CLE图像

A:正常黏膜,可见腺体呈菊花样,杯状细胞分布其中;B:增生性息肉,腺体呈轻度锯齿状改变,杯状细胞存在;C ~ E:腺瘤,血管扩张、扭曲伴有明显渗出,杯状细胞减少,隐窝扩张扭曲,其中C为管状腺瘤,腺体为管状结构,D为管状绒毛状腺瘤,可见管状结构及绒毛状结构,E为绒毛状腺瘤,腺体为绒毛状结构

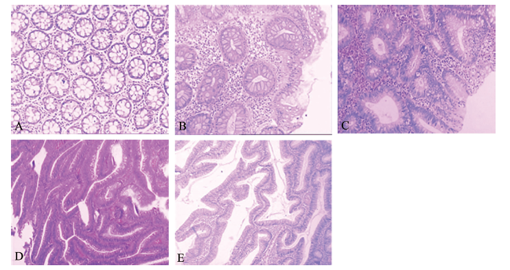
图2 CLE的相应病理图像(苏木素-伊红染色,×100)

A:相应正常大肠黏膜病理图像;B:相应增生性息肉病理图像; C:相应管状腺瘤病理图像; D:相应管状绒毛状腺瘤病理图像;E:相应绒毛状腺瘤病理图像

表1 CLE对腺瘤性息肉的诊断
医 师 灵敏度(95%CI) 特异度(95%CI) 准确性(95%CI)
医师1 97.6%(85.6% ~ 99.9%) 82.6%(60.5% ~ 94.3%) 92.2%(82.0% ~ 97.1%)
医师1(1个月后) 97.6%(85.6% ~ 99.9%) 87.0%(65.3% ~ 96.7%) 93.8%(84.1% ~ 98.0%)
医师2 97.6%(85.6% ~ 99.9%) 78.3%(55.8% ~ 91.7%) 90.6%(80.1% ~ 96.1%)
医 师 阳性预测值(95%CI) 阴性预测值(95%CI) Kappa1 Kappa2
医师1 90.9%(77.4% ~ 97.0%) 95.0%(73.1% ~ 99.7%) 0.838 0.889
医师1(1个月后) 93.0%(79.9% ~ 98.2%) 95.2%(74.1% ~ 99.8%)
医师2 88.9%(75.2% ~ 95.8%) 94.7%(71.9% ~ 99.7%)

注:Kappa1为医师1 vs. 医师1(1个月后);Kappa2为医师1 vs.医师2

三、CLE对腺瘤性息肉的组织学分型

参照病理下腺瘤性息肉的分型标准,我们尝试CLE下对腺瘤性息肉进行分型(图1C ~ E、图2C ~ E),其准确性达90.2%,与病理结果高度一致,Kappa值为0.715。1个月后再次阅片的准确性为87.8%,与病理结果的一致性Kappa值为0.626。另一名初学者其分类准确性为80.5%,与病理结果的一致性Kappa值为0.469,见表2
表2 CLE对腺瘤性息肉的分型
医 师 病理 Kappa值 准确性
管状绒毛状(6枚) 管状腺瘤(33枚) 绒毛状腺瘤(2枚)
医师1 管状绒毛状 5 2 1 0.715 90.2%
管状腺瘤 1 31 0
绒毛状腺瘤 0 0 1
医师1(1个月后) 管状绒毛状 4 2 1 0.626 87.8%
管状腺瘤 2 31 0
绒毛状腺瘤 0 0 1
医师2 管状绒毛状 2 3 0 0.469 80.5%
管状腺瘤 2 29 0
绒毛状腺瘤 2 1 2

四、CLE对腺瘤性息肉的分级

共纳入41枚腺瘤性息肉,8枚为HGIN,33枚为LGIN。将腺体形态、血管形态、腺上皮形态及细胞形态这4个特征按异形严重程度分为1 ~ 3级,结果提示4个特征的分级在HGIN组均高于LGIN组,2组比较差异均具有统计学意义(P均< 0.05)。1个月后重新进行分级,结果相仿。因仅有8枚HGIN,故未制定评分系统对HGIN进行诊断(表3,图3)。
表3 CLE对腺瘤性息肉的分级
特 征 分级 医师1 医师1(1个月后)
HGIN组(8枚) LGIN组(33枚) Z值 P值 HGIN组(8枚) LGIN组(33枚) Z值 P值
腺体形态 1 0 3 -2.141 0.032 0 5 -2.321 0.020
2 2 19 2 18
3 6 11 6 10
血管形态 1 1 23 -2.949 0.003 0 12 -1.982 0.048
2 5 8 5 15
3 2 2 3 6
腺上皮形态 1 1 12 -1.988 0.047 1 22 -2.998 0.003
2 3 16 4 9
3 4 5 3 2
细胞形态 1 2 23 -2.827 0.005 1 25 -3.699 <0.001
2 3 10 3 7
3 3 0 4 1
图3 CLE对腺瘤性息肉的分级

A1 ~ 3:腺体形态, 分别为轻度、中度及重度腺体扭曲及不一致;B1 ~ 3:血管形态,分别为轻度、中度及重度血管增多增粗及扭曲;C1 ~ 3:细胞形态,分别为轻度、中度及重度细胞排列不规则;D1 ~ 3:腺上皮形态,分别为轻度、中度及重度腺上皮脊样不规则改变

讨 论

根据大小,结直肠息肉分为微小息肉(< 6 mm)、小息肉(6 ~ 10 mm)及大息肉(> 10 mm)。进展期腺瘤是指直径大于10 mm,或虽然直径小于10 mm但有绒毛成分或HGIN,与结直肠癌发生密切相关[12]。绝大多数内镜下发现的息肉为微小息肉或小息肉,美国消化内镜学会提出PIVI(Preservation and Incorporation of Valuable Endoscopic Innovations)策略以期减少处理此类息肉的负担,核心共2点:对于直肠及乙状结肠≤5 mm的息肉,若一项内镜技术对腺瘤性息肉的阴性预测值≥90%,那么对其诊断为增生性的息肉可保留在原位,即“诊断-遗留”;对于切除的≤5 mm的腺瘤息肉,若根据内镜下判断的病理学而选择的切除后随访间隔与根据病理切片选择的随访间隔高度一致(≥90%),那么可直接丢弃该息肉,即“切除-丢弃”[13]。该策略在实践中还没有得到广泛的应用,要全面实施这样的策略,就需要更好的内镜成像技术、内镜医师培训和患者接受度[7]。CLE是普通内镜与共聚焦激光显微镜的结合,是一种先进的成像技术,已广泛应用于包括结肠息肉在内的消化道各类疾病的在体诊断[14,15,16,17,18]。在本研究中,我们不仅验证了CLE在结肠息肉中的诊断效能,同时我们还进行了一项可行性分析,以探索CLE对进展期组织学特征(绒毛成分和HGIN)的诊断价值。
CLE诊断腺瘤性息肉的研究已有报道,2004年Kiesslich等[11]最先将CLE用于诊断结肠息肉,报道显示CLE诊断腺瘤性息肉的灵敏度为97.4%,特异度为99.4%,准确性为99.2%。2011年国内也首次报道了CLE诊断腺瘤性息肉的研究,其灵敏度、特异度分别为93.9%、95.9%[14]。2018年的一篇探头式CLE诊断息肉的研究中,其准确性为91%,灵敏度为83%,特异度为100%[19]。我们的结果与既往报道相近,CLE诊断腺瘤性息肉的灵敏度、特异度、准确性分别为97.6%、82.6%、92.2%,并且不论是同医师在不同时段或不同医师之间,其一致性均良好。
进展期腺瘤转变为肿瘤的风险更高,准确的识别上述进展期组织学特征对于指导内镜下治疗方式及术后随访间隔具有至关重要的作用[20]。然而目前的“诊断-遗留”和“切除-丢弃”策略大多基于NBI内镜或染色内镜下预测息肉的性质而实施[21,22,23]。研究中我们发现CLE不仅可以鉴别结肠息肉的性质,也可以对息肉进行组织学分型,同时也具有对息肉进行组织学分级的潜在价值,是其他内镜所不具备的优势。我们首先参照病理分型方法,尝试在内镜下对腺瘤进行组织学分型,发现分型准确性90.2%,与病理间一致性为0.715。同一医师间隔1个月后再次分型准确性变化不大,而另一经验相对不足医师的分型准确性仅为80.5%,与病理间一致性为0.469。其次,对于HGIN这一项进展期组织学特征,我们也尝试在CLE下进行诊断,将腺体形态、血管形态、腺上皮形态及细胞形态这4个特征按严重程度分为1 ~ 3级进行分析,发现HGIN组均高于LGIN组,2组间差异具有统计学意义,这提示根据这4项特征制定一个评分系统进行诊断是可行的,但需要更大量的样本进行验证。
我们的研究也有一些不足之处。第一,研究纳入样本量少,尤其是纳入HGIN病例较少,因此不能进一步探索CLE对结肠息肉进行组织学分级的准确性。第二,未纳入宽基锯齿状腺瘤患者。锯齿状病变包括增生性息肉、宽基锯齿状腺瘤及传统锯齿状腺瘤,其中前两者病理及内镜下难以鉴别,但生物学行为差别较大。宽基锯齿状腺瘤恶变倾向高,“锯齿状病变-癌”途径在结直肠癌发病中的作用也越来越引起重视[12, 24]。由于宽基锯齿状腺瘤在所有锯齿状病变中仅约25%,在我们研究中未能发现此类病变[25]。第三,纳入样本中病变大小(9.1±6.9) mm,微小息肉及小息肉的比例相对不足,可能使结果产生偏倚。
综上所述,尽管研究还存在一些不足,我们的研究仍提示CLE不仅可以鉴别结肠息肉的性质,还可以对腺瘤性息肉进行组织学分型,同时也具有对腺瘤性息肉进行组织学分级的潜在价值。
[1]
Keum N, Giovannucci E . Global burden of colorectal cancer: emerging trends, risk factors and prevention strategies. Nat Rev Gastroenterol Hepatol, 2019Aug 27. [Epub ahead of print].

[2]
Tanaka H, Oka S, Tanaka S, Inagaki K, Okamoto Y, Matsu-moto K, Boda K, Yamashita K, Sumimoto K, Ninomiya Y, Chayama K . Can surveillance colonoscopy be discontinued in an elderly population with diminutive polyps? J Anus Rectum Colon, 2019,3(3):128-135.

[3]
Hong W, Dong L, Stock S, Basharat Z, Zippi M, Zhou M . Prevalence and characteristics of colonic adenoma in mainland China. Cancer Manag Res, 2018,10:2743-2755.

[4]
Rex DK, Overhiser AJ, Chen SC, Cummings OW, Ulbright TM . Estimation of impact of American College of Radiology recommendations on CT colonography reporting for resection of high-risk adenoma findings. Am J Gastroenterol, 2009,104(1):149-153.

[5]
Butterly LF, Chase MP, Pohl H, Fiarman GS . Prevalence of clinically important histology in small adenomas. Clin Gastro-enterol Hepatol, 2006,4(3):343-348.

[6]
Mikkelsen EM, Thomsen MK, Tybjerg J, Friis-Hansen L, Andersen B, Jørgensen JCR, Baatrup G, Njor SH, Mehnert F, Rasmussen M . Colonoscopy-related complications in a nationwide immunochemical fecal occult blood test-based colorectal cancer screening program. Clin Epidemiol, 2018,10:1649-1655.

[7]
Kandel P, Wallace MB . Should we resect and discard low risk diminutive colon polyps. Clin Endosc, 2019,52(3):239-246.

[8]
Djinbachian R, Dubé AJ, von Renteln D . Optical diagnosis of colorectal polyps: recent developments. Curr Treat Options Gastroenterol, 2019,17(1):99-114.

[9]
Matsuda T, Ono A, Sekiguchi M, Fujii T, Saito Y . Advances in image enhancement in colonoscopy for detection of adenomas. Nat Rev Gastroenterol Hepatol, 2017,14(5):305-314.

[10]
Li M, Ali SM, Umm-a-OmarahGilani S, Liu J, Li YQ, Zuo XL . Kudo’s pit pattern classification for colorectal neoplasms: a meta-analysis. World J Gastroenterol, 2014,20(35):12649-12656.

[11]
Kiesslich R, Burg J, Vieth M, Gnaendiger J, Enders M, Delaney P, Polglase A, McLaren W, Janell D, Thomas S, Nafe B, Galle PR, Neurath MF . Confocal laser endoscopy for diagnosing intraepithelial neoplasias and colorectal cancer in vivo. Gastroenterology, 2004,127(3):706-713.

[12]
East JE, Atkin WS, Bateman AC, Clark SK, Dolwani S, Ket SN, Leedham SJ, Phull PS, Rutter MD, Shepherd NA, Tomlinson I, Rees CJ . British Society of Gastroenterology position statement on serrated polyps in the colon and rectum. Gut, 2017,66(7):1181-1196.

[13]
Tsuji S, Takeda Y, Tsuji K, Yoshida N, Takemura K, Yamada S, Doyama H . Clinical outcomes of the “resect and discard” strategy using magnifying narrow-band imaging for small (< 10 mm) colorectal polyps. Endosc Int Open, 2018,6(12):E1382-E1389.

[14]
Xie XJ, Li CQ, Zuo XL, Yu T, Gu XM, Li Z, Ji R, Wang Q, Li YQ . Differentiation of colonic polyps by confocal laser endomicroscopy. Endoscopy, 2011,43(2):87-93.

[15]
Buchner AM . Confocal laser endomicroscopy in the evaluation of inflammatory bowel disease. Inflamm Bowel Dis, 2019,25(8):1302-1312.

[16]
Liu Z, Luo X, Jiang W, Chen D, Chen W, Li K, Liu X, Cui Z, Li Z, Han Z, Liu S, Li G, Xu C, Yan J . Real-time in vivo optical biopsy using confocal laser endomicroscopy to evaluate distal margin in situ and determine surgical procedure in low rectal cancer. Surg Endosc, 2019,33(7):2332-2338.

[17]
Zhang MM, Zhong N, Gu X, Wang X, Zuo XL, Ji R, Li CQ, Li LX, Li Z, Yu YB, Li YQ . In vivo real-time diagnosis of endoscopic ultrasound-guided needle-based confocal laser endomicroscopy in gastric subepithelial lesions. J Gastroenterol Hepatol, 2019. [Epub ahead of print]

[18]
Sun YN, Zhang MM, Li LX, Ji R, Wang X, Li P, Li YY, Zheng MQ, Liu GQ, Zuo XL, Li Z, Li YQ . Cresyl violet as a new contrast agent in probe-based confocal laser endomicroscopy for in vivo diagnosis of gastric intestinal metaplasia. J Gastro-enterol Hepatol, 2019.[Epub ahead of print]

[19]
Vennelaganti S, Vennalaganti P, Mathur S, Singh S, Jamal M, Kanakadandi V, Rai T, Hall M, Gupta N, Nutalapati V, Alsop B, Hornung B, Sharma P . Validation of probe-based confocal laser endomicroscopy (pCLE) criteria for diagnosing colon polyp histology. J Clin Gastroenterol, 2018,52(9):812-816.

[20]
He X, Hang D, Wu K, Nayor J, Drew DA, Giovannucci EL, Ogino S, Chan AT, Song M . Long-term risk of colorectal cancer after removal of conventional adenomas and serrated polyps. Gastroenterology, 2019. [Epub ahead of print]

[21]
Patel SG, Schoenfeld P, Kim HM, Ward EK, Bansal A, Kim Y, Hosford L, Myers A, Foster S, Craft J, Shopinski S, Wilson RH, Ahnen DJ, Rastogi A, Wani S . Real-time characterization of diminutive colorectal polyp histology using narrow-band imaging: implications for the resect and discard strategy. Gastroenterology, 2016,150(2):406-418.

[22]
Rees CJ, Rajasekhar PT, Wilson A, Close H, Rutter MD, Saunders BP, East JE, Maier R, Moorghen M, Muhammad U, Hancock H, Jayaprakash A, MacDonald C, Ramadas A, Dhar A, Mason JM . Narrow band imaging optical diagnosis of small colorectal polyps in routine clinical practice: the Detect Inspect Characterise Resect and Discard 2 (DISCARD 2) study. Gut, 2017,66(5):887-895.

[23]
Rath T, Tontini GE, Nägel A, Vieth M, Zopf S, Günther C, Hoffman A, Neurath MF, Neumann H . High-definition endoscopy with digital chromoendoscopy for histologic prediction of distal colorectal polyps. BMC Gastroenterol, 2015,15:145.

[24]
Huang CS, O’brien MJ, Yang S, Farraye FA . Hyperplastic polyps, serrated adenomas, and the serrated polyp neoplasia pathway. Am J Gastroenterol, 2004,99(11):2242-2255.

[25]
Crockett SD, Nagtegaal ID . Terminology, molecular features, epidemiology, and management of serrated colorectal neoplasia. Gastroenterology, 2019,157(4):949-966.

文章导航

/