研究论著

TLR4和IL-5在儿童嗜酸性粒细胞性结肠炎的表达及作用机制研究

  • 谢静 ,
  • 熊莉娅 ,
  • 耿岚岚 ,
  • 杨敏 ,
  • 陈佩瑜 ,
  • 王洪丽 ,
  • 龚四堂
展开
  • 510120 广州,广州市妇女儿童医疗中心消化科
熊莉娅,E-mail:

Copy editor: 杨江瑜

收稿日期: 2019-11-18

  网络出版日期: 2020-04-01

基金资助

广州市妇女儿童医疗中心儿研所内部基金(IP-2016-006)

版权

版权所有,未经授权,不得转载、摘编本刊文章,不得使用本刊的版式设计。

Expression and mechanism of TLR4 and IL-5 in children with eosinophilic colitis

  • Xie Jing ,
  • Xiong Liya ,
  • Geng Lanlan ,
  • Yang Min ,
  • Chen Peiyu ,
  • Wang Hongli ,
  • Gong Sitang
Expand
  • Department of Gastroenterology, Guang-zhou Women and Children’s Medical Center, Guangzhou 510180, China
Xiong Liya, E-mail:

Received date: 2019-11-18

  Online published: 2020-04-01

Copyright

Copyright reserved © 2020.Office of Acta Agronomica Sinica All articles published represent the opinions of the authors, and do not reflect the official policy of the Chinese Medical Association or the Editorial Board, unless this is clearly specified.

摘要

目的 检测Toll样受体4(TLR4)和IL-5在儿童嗜酸性粒细胞性结肠炎(EC)的表达水平及相关性,探讨TLR4在儿童EC发病过程中的作用机制。方法 收集EC患儿的结肠黏膜标本,共28例,同期收集肠黏膜正常对照组25例。分析2组患儿的临床资料,采用免疫组织化学法检测其结肠黏膜中TLR4、IL-5表达情况并对结果进行分析。结果 EC组患儿主要表现为血便、腹泻,大多患儿内镜下见结肠黏膜充血、水肿、小结节增生、糜烂和阿弗它溃疡,8例患儿内镜下结肠黏膜正常;黏膜病理提示黏膜下有大量嗜酸性粒细胞浸润,均≥20个/高倍镜视野。对照组患儿主要表现为腹痛,内镜下示全结肠黏膜正常,黏膜病理示未见明显病理改变。与对照组比较,EC组结肠黏膜TLR4水平降低(Z = -4.448,P < 0.05),结肠黏膜IL-5表达水平增高(Z = -7.015,P < 0.05)。TLR4、IL-5表达水平呈负相关(r = -0.5325,P < 0.05)。结论 机体受到过敏原、毒素等刺激时,肠道TLR4不能反应性增高可能是EC发病机制之一。EC患儿肠组织TLR4表达明显下降,而IL-5明显升高,其机制可能是通过调节辅助性T淋巴细胞(Th)1/Th2平衡,使EC患儿倾向于Th2表型应答,释放大量IL-5细胞因子,参与EC的发生。

本文引用格式

谢静 , 熊莉娅 , 耿岚岚 , 杨敏 , 陈佩瑜 , 王洪丽 , 龚四堂 . TLR4和IL-5在儿童嗜酸性粒细胞性结肠炎的表达及作用机制研究[J]. 新医学, 2020 , 51(3) : 216 -221 . DOI: 10.3969/j.issn.0253-9802.2020.03.012

Abstract

Objective To measure the expression levels of Toll-like receptor 4 (TLR4) and interleukin 5(IL-5) in the colonic mucosa of children with eosinophilic colitis(EC) and analyze their correlation, aiming to explore the mechanism of TLR4 in the pathogenesis of pediatric EC.Methods The colonic mucosal specimens were collected from 28 children diagnosed with EC and 25 healthy controls.Clinical data of all children were retrospective analyzed.The expression levels of TLR4 and IL-5 in the colonic mucosa were detected by immunohistochemistry and the results were analyzed.Results Clinical manifestations of EC children mainly included bloody stools and diarrhea.Colonic mucosal congestion, edema, small nodular hyperplasia, patchy erosion and Aphtha ulcer were observed under endoscope in most EC children.Normal colonic mucosa was noted under endoscope in 8 EC cases.Mucosal biopsy of all cases in the EC group showed a large quantity of eosinophil infiltration (≥20/HPF).All cases in the control group had abdominal pain and the whole colon specimens were normal and no significant pathological changes were observed.Compared with the control group, the TLR4 level in the colonic mucosa was significantly down-regulated (Z = -4.448, P < 0.05), whereas the expression level of IL-5 was significantly up-regulated in the EC group (Z = -7.015, P < 0.05).The expression level of TLR4 was negatively correlated with that of IL-5 (r = -0.532, P < 0.05).Conclusions When the body is stimulated by allergens and toxins, etc., the inability of TLR4 to respond to gastrointestinal tract may be one of the pathogenesis of EC.The expression of TLR4 in the intestinal tissues of EC children is significantly down-regulated, whereas that of IL-5 is remarkably up-regulated, suggesting that the mechanism is probably that by regulating the Th1/Th2 balance, EC children tend to respond to Th2 phenotype, release a large quantity of IL-5 cytokines, and participate in the incidence of EC.

对象与方法

一、研究对象

收集2011年2月至2013年4月在我院消化科确诊为EC的患儿其结肠黏膜,共28例,诊断标准为Talley标准[3]。包括:①反复出现的腹痛、腹泻、呕吐等消化道症状;②病理证实结肠黏膜组织检查有1个或1个以上部位EOS浸润[≥20个/高倍镜视野(HPF)];③无其它引起EOS增多的疾病,包括寄生虫感染、炎症性肠病、结缔组织病、药物过敏、高EOS综合征、变异性哮喘及肿瘤等。同期收集结肠黏膜正常对照组25例,对照组患儿均按照罗马Ⅲ诊断标准诊断为功能性腹痛,均经过肠镜检查,镜下及活组织病理检查未见异常[4]。受试者家属均知情同意,并经医院学术伦理委员会讨论通过。

二、研究方法

1.临床资料分析

回顾性对所有患儿的临床资料进行分析,包括年龄、性别、临床表现、实验室检查、结肠镜及黏膜病理检查。

2.结肠黏膜标本的收集及处理

行纤维结肠镜时用活检钳取出患儿结肠黏膜后迅速固定于10%甲醛溶液中,送我院病理科进行常规石蜡包块,连续作厚5 μm的切片3张,60℃烤箱过夜,室温下保存备用。

3.采用免疫组织化学(组化)法检测患儿结肠黏膜中TLR4、IL-5表达

切片脱蜡至水,柠檬酸抗原修复,3%过氧化氢去离子水消化,滴加一抗(TLR4、IL-5,Bioworld, USA,工作浓度1∶00),4℃过夜,PBS浸洗后,滴加二抗,DAB显色,经苏木素复染,盐酸酒精溶液分化,封片。用PBS代替一抗作阴性对照。

4.结果判读

参照文献[5],由2名病理医生单独判断免疫组化结果。显微镜下观察细胞质或细胞膜呈黄色、棕黄色或棕褐色为阳性。染色强度评分:按细胞显示深浅记分,分为4级,0分为无色,1分为淡黄色,2分为棕黄色,3分为棕褐色。阳性细胞面积评分:按阳性细胞所占面积分为4级,0分为阴性,1分为阳性细胞≤1/3,2分为1/3 ~ 2/3,3分为 > 2/3。阳性表达水平采用染色强度评分×阳性细胞面积评分的积分表示,积分为0判断为0分,积分为1 ~ 2判断为1分,积分为3 ~ 4判断为2分,积分为6 ~ 9判断为3分。

三、统计学处理

采用SPSS 13.0进行分析,定性资料用例(%)表示,其中无序分类资料组间比较用Fisher确切概率法,等级资料组间比较用秩和检验。2个连续型变量相关性采用Pearson相关分析。P < 0.05表示差异有统计学意义。

结 果

一、EC组和对照组的临床表现比较

EC组28例,男20例、女8例,年龄(5.1±2.8)岁,便血14例(50%),主要为黏液血丝便,不同程度的腹痛12例(42.8%),腹泻8例(28.6%),恶心、呕吐3例(10.7%),腹胀1例(3.5%),营养不良1例(3.5%)。对照组25例,男18例、女7例,年龄(5.3±2.7)岁,均表现为腹痛,主要为脐周痛或中上腹痛。与对照组相比,EC组患儿便血、腹泻的比例升高,差异有统计学意义(P均< 0.05),以腹痛为主要症状的EC患者比例较低,差异亦有统计学意义(P < 0.05),见表1
表1 EC组和对照组患儿临床表现比较[例(%)]
临床表现 EC组(28例) 对照组(25例) P值
便血 14(50.0) 0(0) < 0.001
腹痛 12(42.8) 25(100.0) < 0.001
腹泻 8(28.6) 0(0) 0.005
恶心/呕吐 3(10.7) 0(0) 0.238
腹胀 1(3.5) 0(0) 1.000
营养不良 1(3.5) 0(0) 1.000

二、EC组和对照组实验室检查结果比较

EC组EOS增高者5例,4例患儿血红蛋白降低,8例患儿大便潜血试验阳性,所有患儿大便寄生虫检测均阴性,1例患儿血白蛋白降低,7例血清总IgE增高,8例患儿食物过敏原 IgE 检测阳性,提示主要对牛奶、鸡蛋、 大豆、鳕鱼、螃蟹过敏。对照组血常规、粪便常规、总IgE、食物过敏原IgE、肝肾功能均正常。与对照组相比,EC患儿血清总IgE增高、食物过敏源IgE检测阳性、大便潜血试验阳性比例均较高(P < 0.05),见表2
表2 EC组和对照组实验室检查结果比较[例(%)]
项 目 EC组
(28例)
对照组
(25例)
P值
EOS增高 5(17.6) 0(0) 0.053
血红蛋白降低 4(14.2) 0(0) 0.113
血清总IgE增高 7(25.0) 0(0) 0.011
食物过敏原IgE检
测阳性
8(28.6) 0(0) 0.005
血白蛋白降低 1(3.5) 0(0) 1.000
大便潜血试验阳性 8(28.6) 0(0) 0.005
大便寄生虫检测阴性 28(100.0) 25(100.0) /

三、EC组和对照组内镜和病理检查结果比较

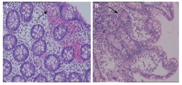
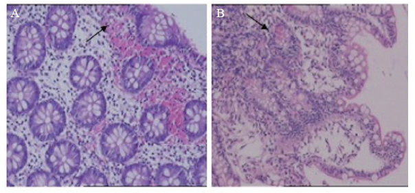
对照组25例患儿内镜下示全结肠黏膜光滑,黏膜下血管纹理清晰,未见糜烂、溃疡及肿物等病变。黏膜病理示未见明显病理改变,见图1A。EC组患儿20例结肠黏膜充血、水肿,血管网纹理模糊,其中7例可见散在小结节样增生;4例结肠黏膜有散在点片状的糜烂和阿弗它样溃疡;3例可见散在小滤泡(见图1B、C)。8例患儿结肠黏膜正常。EC组病理活检提示黏膜下有大量EOS浸润,均 ≥20个/HPF,见图2
图1 肠镜下结肠黏膜表现

A:对照组结肠黏膜;B:EC组结肠黏膜可见小结节样增生;C:EC组结肠黏膜充血,箭头指向为阿弗它溃疡

图2 结肠黏膜形态学变化(HE染色,×200)

A.升结肠间质水肿,许多淋巴细胞、浆细胞及EOS浸润,38个/HPF(箭头指向为EOS);B.结肠粘膜表面上皮尚完整,上皮内个别EOS浸润,腺体排列整齐,固有层EOS达20 ~ 50个/HPF(箭头指向为EOS)

四、EC组和对照组TLR4水平比较

在EC组和对照组中,TLR4在结肠上皮细胞中均有表达,阳性胞膜呈黄色、棕黄色或棕褐色,见图3。与对照组相比,EC组结肠黏膜TLR4水平降低,差异具有统计学意义(Z = -4.448,P < 0.05),见表3
图3 结肠组织TLR4表达(免疫组化染色,×100)

A:对照组结肠组织TLR4表达;B:EC组结肠组织TLR4表达

表3 EC组和对照组TLR4表达水平免疫组化积分表[例(%)]
TLR4表达水平 EC组
(28例)
对照组
(25例)
Z值 P值
1分 26(92.9) 8(32.0) -4.448 < 0.001
2分 1(3.5) 9(36.0)
3分 1(3.5) 8(32.0)

五、EC组和对照组IL-5水平比较

在EC组中,IL-5在结肠上皮细胞中均有表达,阳性胞膜呈黄色、棕黄色或棕褐色,而对照组呈阴性表达,见图4。与对照组相比,EC组结肠黏膜IL-5表达水平明显增高,差异有统计学意义(Z = -7.015,P < 0.05),见表4
表4 EC组和对照组IL-5表达水平免疫组化积分表[例(%)]
IL-5表达
水平
EC组
(28例)
对照组
(25例)
Z值 P值
0分 0(0) 25(100.0) -7.015 < 0.001
1分 26(89.3) 0(0)
2分 1(3.5) 0(0)
3分 2(7.1) 0(0)
图4 结肠组织IL-5表达(免疫组化染色,×200)

A:对照组结肠组织IL-5表达;B:EC组结肠组织IL-5表达

六、结肠黏膜TLR4、IL-5表达的相关性

所有患儿实验结果显示TLR4、IL-5表达水平呈负相关(r = -0.532,P < 0.05)。

讨 论

EGID是一种少见的可影响胃肠道从食道到直肠的任何节段或节段组合,从而产生各种临床表现的慢性炎症性肠病,最初由Kaijser于1937年描述,其特征是富含EOS的炎症,没有其它已知EOS增多的原因(即寄生虫、感染、药物反应或恶性肿瘤)。EC是一种罕见的原发性EGID,美国最近对一个基于人口的数据库进行了调查,其中包括超过3500万儿童和成人,报告的EC总体患病率为每10万名受试者中有2.1人,每10万名成人患病率为2.3,儿童每10万人中有1.6人[6]。国内报道 EC 患儿发病率明显高于国外,本组资料中我们共收集到 EC 确诊患儿 28 例,年龄1 ~ 12 岁,男女比例约1.8∶1。
虽然在过去的10年中报道的EC病例有所增加,但其病因、发生机制尚不清楚,临床可因病变累及的部位、病理、范围和程度而有所差异,主要表现为腹痛、恶心、呕吐、腹泻、体质量减轻、胃肠道出血、肠道吸收不良或腹水[7]。本组资料中患儿的临床症状主要为便血、腹泻,大多数患儿内镜检查可见结肠黏膜充血、水肿、血管纹理欠清晰、小结节样增生,严重者可见点片状的糜烂、阿弗它样溃疡。有8例患儿内镜下结肠黏膜正常。有研究表明,临床症状和实验室检查结果通常是非特异性的,可能伴有也可能不伴有外周血嗜酸性粒细胞增多症[8]。诊断需要根据胃肠道症状,通过活组织检查证实肠道EOS增多,并排除其他已知的组织EOS增多的原因。本组资料显示仅有18%的患者外周血EOS增高,推测可能是本组患儿大部分曾服用抗过敏药物的原因,并且外周血EOS的数量会随病情变化而出现波动,因此仅凭此项结果正常排除EC是不可靠的,提示外周EOS对确诊EC不是关键,而内镜下肠道组织活检证实EOS浸润> 20个/HPF是诊断EC的关键[9]
EC的病因及发病机制尚不清楚,可能为环境、基因和免疫系统相互作用的结果,也可能与食物过敏,感染或炎症性肠病共存,大量研究报道该病与过敏因素有关[10]。而在本组中 8例患儿食物变应原IgE检查阳性,这提示过敏因素可能在发病机制中有一定的作用。通过动物实验及临床研究发现,过敏原或毒素等外源性或内源性抗原刺激EC患者产生特异性免疫球蛋白,激活T淋巴细胞,导致Th1/Th2 平衡失调,Th2 细胞分泌的细胞因子IL-5 是重要的炎症介质,Th2 细胞的优势应答导致IL-5、Eotaxin 等炎症因子产生是消化道 EOS 异常浸润和炎症发生的基础[2,8]。目前大多研究发现 IL-5 在EC的发病机制中起到非常关键的作用,它促进EOS产生、分化、活化及生存,并增强对趋化因子(如Eotaxin)的反应性,向消化道转移。Prussin研究发现 IL-5+Th2 免疫反应与EGID发生相关,而Kinoshita等[11]研究中发现嗜酸性食管炎及胃肠炎患儿的细胞因子 IL-5 同样升高。
IL-5是Th2衍生的一类细胞因子,是EOS活化的关键介质,也是EOS扩增及其从骨髓中释放所必需的[12]。当激活时,胃肠组织浸润的EOS可释放嗜酸颗粒中的细胞毒性蛋白(包括EOS阳离子蛋白、EOS过氧化物酶、EOS来源的神经毒素和主要基质蛋白) ,还可合成血小板活化因子、白三烯C4等血管活性物质,进而造成器官损伤或功能障碍和更多EOS聚集,从而形成恶性循环。Straumann等(2001年)在特发性嗜酸性粒细胞性食管炎(EE)患者食管上皮活检标本中观察到IL-5和TNF-α的表达增加,因此认为特发性EE发病机制与Th2型过敏性炎症反应有关。本研究显示EC组结肠上皮组织IL-5呈阳性表达,而对照组结肠组织IL-5呈阴性,可能与上述发病机制有关。
T淋巴细胞在免疫系统中占有重要地位,实验表明,炎症性肠病患者中其肠道病变组织可见局部CD4+ T细胞浸润并且功能异常[13]。CD4+ T细胞根据细胞因子的分泌分为Th1和Th2细胞.在正常情况下,体内的Th1和Th2处于动态平衡状态并相互调节,从而维持体内环境的稳定性。如果Th1和Th2失去平衡,则在组织和器官中发生炎症并引起疾病。Camoglio等(1998年)在溃疡性结肠(UC)小鼠模型中发现CD4+ T细胞产生大量IL-4和IL-5,单个IFN-γ正常或减少,说明UC的发生和发展与Th1/Th2的失衡强烈相关。TLR4是固有免疫系统识别病原微生物的主要受体,可以识别入侵病原体的不同分子模式,是连接天然免疫和获得性免疫的桥梁,在人体的免疫系统中起着重要的作用。同时它也在Th1/Th2的平衡中起着关键作用。近期研究发现 TLR4 的激活参与了某些过敏性炎症疾病的发病过程。Eisenbarth等(2002年)在用卵清蛋白建立的哮喘小鼠模型研究中发现,小鼠吸入低浓度脂多糖(LPS)TLR4的激动剂的卵清蛋白,支气管组织中 TLR4 低表达,从而产生抗原特异性 Th2 免疫应答而发生哮喘症状,而吸入较高浓度 LPS的卵清蛋白则诱导Th1免疫保护应答未出现哮喘症状。因此,TLR4介导的信号转导通路在探索哮喘等Th2免疫应答为主的过敏性疾病免疫防治机制中具有重要的研究价值。目前国内外对TLR4与EC发病的关系的研究尚未见报道,因此本研究从TLR4与Th2免疫应答关系探讨EC可能的发病机制。
本文探讨了EC患儿肠上皮细胞TLR4的表达情况。免疫组化结果显示,在EC组和对照组中,TLR4在结肠上皮细胞中均有表达,但与对照组相比,EC组结肠黏膜TLR4水平降低。本文也探讨了TLR4、IL-5相关性,结果显示它们呈负相关,即EC组患儿结肠组织中TLR4低水平表达,而IL-5呈高水平表达。对照组患儿结肠组织中TLR4高水平表达,而IL-5呈低水平表达。因此我们推测EC患儿肠组织TLR4表达明显下降,可能一定程度上使IFN-γ等Th1细胞因子的产生减少,通过调节导致Th1/Th2 平衡失调,从而倾向于Th2表型应答,释放大量IL-5细胞因子,参与EC的发生,该假设在我们前期构建的轮状病毒肠炎乳鼠动物模型中得到验证[14]
综上所述,我们推测机体受到过敏原、毒素等刺激时,肠道上皮细胞的TLR4不能反应性增高或表达被抑制,从而导致产生抗原特异性Th2免疫应答可能是EC发病机制之一,这也为EC的预防及治疗提供新的思路。
[1]
Caldwell JM, Collins MH, Stucke EM, Putnam PE, Franciosi JP, Kushner JP, Abonia JP, Rothenberg ME . Histologic eosinophilic gastritis is a systemic disorder associated with blood and extragastric eosinophilia, TH2 immunity, and a unique gastric transcriptome. J Allergy Clin Immunol, 2014,134(5):1114-1124.

[2]
张艳霞, 王质刚 . 人类Toll样受体信号转导途径及其介导的免疫作用. 国际免疫学杂志, 2010,33(2):121-123.

[3]
Talley NJ, Shorter RG, Phillips SF, Zinsmeister AR . Eosin-ophilic gastroenteritis: a clinicopathological study of patients with disease of the mucosa, muscle layer, and subserosal tissues. Gut, 1990,31(1):54-58.

[4]
潘彤彤, 李云芳, 卢华君 . 功能性腹痛儿童的血浆生长激素释放肽及胃动素水平研究——附56例报告. 新医学, 2009,40(12):791-792,816.

[5]
周辉 . PDGF、α-SMA在婴儿胆道梗阻肝内胆管上皮细胞的表达及意义. 石家庄:河北医科大学, 2009.

[6]
Mansoor E, Saleh MA, Cooper GS . Prevalence of eosinophilic gastroenteritis and colitis in a population-based study, from 2012 to 2017. Clin Gastroenterol Hepatol, 2017,15(11):1733-1741.

[7]
Tien FM, Wu JF, Jeng YM, Hsu HY, Ni YH, Chang MH, Lin DT, Chen HL . Clinical features and treatment responses of children with eosinophilic gastroenteritis. Pediatr Neonatol, 2011,52(5):272-278.

[8]
Uppal V, Kreiger P, Kutsch E . Eosinophilic gastroenteritis and colitis: a comprehensive review. Clin Rev Allergy Immunol, 2016,50(2):175-188.

[9]
Reed C, Woosley JT, Dellon ES . Clinical characteristics, trea-tment outcomes, and resource utilization in children and adults with eosinophilic gastroenteritis. Dig Liver Dis, 2015,47(3):197-201.

[10]
Haas SL, Abbatista M, Brade J, Singer MV, Böcker U . Inte-rleukin-18 serum levels in inflammatory bowel diseases: corr-elation with disease activity and inflammatory markers. Swiss Med Wkly, 2009,139(9-10):140-145.

[11]
Kinoshita Y, Furuta K, Ishimura N, Ishihara S . Elevated plasma cytokines in Japanese patients with eosinophilic esophagitis and gastroenteritis. Digestion, 2012,86(3):238-243.

[12]
Conner JR, Kirsch R . The pathology and causes of tissue eosinophilia in the gastrointestinal tract. Histopathology, 2017,71(2):177-199.

[13]
Globig AM, Hennecke N, Martin B, Seidl M, Ruf G, Hasselblatt P, Thimme R, Bengsch B . Comprehensive intestinal T helper cell profiling reveals specific accumulation of IFN-γ+IL-17+coproducing CD4 + T cells in active inflammatory bowel disease . Inflamm Bowel Dis, 2014,20(12):2321-2319.

[14]
熊莉娅, 耿岚岚, 杨敏, 陈佩瑜, 龚四堂 . Toll受体在急性轮状病毒肠炎乳鼠动物模型中的表达. 广东医学, 2013,34(15):2308-2310.

文章导航

/