综合病例研究

急性胰腺炎伴免疫及内分泌系统变化一例

  • 张晨星 ,
  • 汤绍辉
展开
  • 510630 广州,暨南大学附属第一医院消化内科
汤绍辉, E-mail:

Copy editor: 杨江瑜

收稿日期: 2019-10-25

  网络出版日期: 2020-04-01

版权

版权所有,未经授权,不得转载、摘编本刊文章,不得使用本刊的版式设计。

Acute pancreatitis with abnormal changes in immune and endocrine systems: a case report

  • Zhang Chenxing ,
  • Tang Shaohui
Expand
  • Department of Gastroenterology, the First Affiliated Hospital of Jinan University, Guang-zhou 510630, China
Tang Shaohui,E-mail:

Received date: 2019-10-25

  Online published: 2020-04-01

Copyright

Copyright reserved © 2020.Office of Acta Agronomica Sinica All articles published represent the opinions of the authors, and do not reflect the official policy of the Chinese Medical Association or the Editorial Board, unless this is clearly specified.

摘要

急性胰腺炎(AP)是一种以消化酶活化、炎症细胞浸润、胰腺组织坏死为特征的疾病,文献尚未有AP同时伴有多个系统异常的报道。该文对一例AP伴免疫及内分泌系统变化患者的诊治过程进行描述与分析。该患者发病后出现免疫及内分泌系统异常变化,在排除合并风湿免疫疾病、内分泌系统疾病、肿瘤性疾病等基础上,治疗3周后免疫及内分泌异常指标均基本恢复正常,最终诊断为AP伴免疫及内分泌系统变化。该例提示AP伴多系统变化在临床尤为罕见,此时临床医师应进行详细的鉴别诊断,避免误诊或漏诊。

本文引用格式

张晨星 , 汤绍辉 . 急性胰腺炎伴免疫及内分泌系统变化一例[J]. 新医学, 2020 , 51(3) : 235 -238 . DOI: 10.3969/j.issn.0253-9802.2020.03.016

Abstract

Acute pancreatitis(AP) is a disease characterized by digestive enzyme activation, inflammatory cell infiltration and pancreatic tissue necrosis.The incidence of AP complicated with multiple system abnormalities has not been reported.In this article, the diagnosis and treatment process of one patient with AP accompanied by abnormal changes in immune and endocrine systems were described and analyzed.After the onset of AP, the patient presented with abnormal changes in the immune and endocrine system.After excluding the possibility of rheumatic immune diseases, endocrine system diseases and tumor diseases, the abnormal parameters related to immune and endocrine systems were restored to normal after 3-week treatment.The patient was finally diagnosed with AP complicated with abnormal changes in immune and endocrine systems.This case prompts that AP complicated with abnormal changes in multiple systems is rarely encountered in clinical practice.Clinicians should make a detailed differential diagnosis to avoid misdiagnosis or miss diagnosis.

病例资料

一、病史及体格检查

患者男,44岁。因左上腹痛9 d,再发加重3 d于2019年2月14日入院。9 d前患者饮酒后出现左上腹痛,呈阵发性胀痛,症状持续约10 min,约10 ~ 20次/日,与进食无明显关系,伴纳差、腹泻。就诊于当地医院,考虑急性胃肠炎,予抑酸、抗感染等治疗后好转出院。3 d前患者前述症状再发加重,可放射至左腰部,呈持续性。起病来,近9 d体质量减轻约5 kg。既往史无特殊。抽烟20余年,10支/日,饮酒10余年,40度左右白酒3 ~ 4两/日。
体格检查:体温36.7℃,心率107 次/分,呼吸18次/分,血压132/88 mm Hg (1 mm Hg = 0.133 kPa)。神志清晰,发育正常,体型稍胖,步入病房,自动体位。心、肺查体无明显异常。腹平软,左上腹压痛,无反跳痛,肝脾肋下未及,墨菲征阴性,腹部叩诊呈鼓音,移动性浊音阴性,肠鸣音稍减弱(2 ~ 3次/分)。

二、实验室及辅助检查

血常规白细胞明显增高(19.70×109/L),嗜中性粒细胞百分比80.5%,血红蛋白145 g/L。超敏CRP增高(188.57 mg/L),ESR增快(120 mm/h)。血生化Na+ 降低(131.1 mmol/L), Cl-降低(94.0 mmol/L), 白蛋白明显降低(29.4 g/L),血脂增高(总胆固醇7.69 mmol/L,甘油三酯6.02 mmol/L), 淀粉酶73.5 U/L,其余正常。尿常规、粪便常规基本正常。
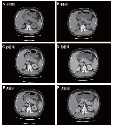
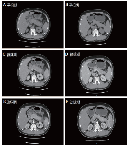
入院诊断:腹痛查因。入院后进一步完善相关检查:甲状腺功能FT3降低(2.66 pmol/L),FT4降低(5.24 pmol/L),TSH 升高(5.87 mIU/L)。血清免疫球蛋白及补体增高(lgG 17.38 g/L,IgA 5 g/L,λ-免疫球蛋白轻链2.39 g/L,补体C4 457 mg/L),lgG4正常,自身抗体及其他风湿免疫指标均阴性。血促肾上腺皮质激素(ACTH)正常(8、16、0时分别为 46.5、24.5、21.5 pg/ml),血皮质醇增高(8、16、0时分别为726.53、506.09、473.35 nmol/L), 24 h尿游离皮质醇明显增高(2463.08 nmol/24 h),垂体激素及性激素均正常。CA199升高(44.76 U/L),其他肿瘤标志物正常。13C呼气试验阳性。胃镜检查显示慢性胃炎,肠镜检查显示结肠多发息肉。腹部增强CT显示胰腺体尾部肿胀、体积增大,密度稍减低,其周围、左膈下、左上腹、脾周可见积液,增强扫描胰尾部可见坏死不强化区,未见明显增强延迟,影像诊断为急性出血坏死性胰腺炎(图1A)。其他:垂体MR、心电图、泌尿系统彩超、甲状腺彩超、甲状腺静态显像及肾上腺彩超等未见明显异常。
图1 AP伴免疫及内分泌系统变化患者治疗前后腹部CT对比

A、C、E:治疗前腹部增强CT显示胰腺体尾部肿胀、体积增大,其周围、左膈下、左上腹、脾周可见积液,胰尾部可见坏死区;B、D、F:8周后复查腹部增强CT显示胰腺体尾部周围渗出、积液等较前明显减少

根据临床表现及相关检查,临床诊断为AP (中度);免疫功能及甲状腺激素、皮质醇异常查因。予禁食、补液、抗感染、醋酸奥曲肽抑制胰腺分泌等治疗。2周后症状明显改善,复查炎症(血常规、超敏CRP)、内分泌(甲功五项、ACTH、血皮质醇、24 h尿游离皮质醇)、免疫(血清免疫球蛋白及补体)、白蛋白、CA199明显好转,3周后再次复查上诉指标基本恢复正常。8周后复查炎症(血常规、超敏CRP)、内分泌(FT3、FT4、TSH、ACTH、血皮质醇)、ESR、IgG、胆固醇、白蛋白、CA199均正常,甘油三酯仍较高(7.0 mmol/L),同时复查腹部增强CT显示胰腺体尾部周围渗出、积液等较前明显减少(图1B)。最后诊断:AP(中度,酒精性及高甘油三酯性)伴免疫及内分泌系统变化;慢性胃炎;结肠多发息肉。

讨 论

AP的常见病因为胆石症、高甘油三酯血症、乙醇等,其发病机制复杂,目前尚未完全明确。AP 的主要症状为腹痛,常位于上腹部,可向背部放射,多为急性发作,呈持续性,可伴有恶心、呕吐等。AP的体征,轻症者仅表现为上腹部轻压痛,重症者可出现腹膜刺激征、腹水、Cullen征等。AP的诊断标准为符合以下3项中的2项:①典型的AP腹痛(急性、突发、持续、剧烈的上腹部疼痛,常向背部放射);②血清淀粉酶和(或)脂肪酶高于正常上限值的3倍;③增强CT/MRI或腹部超声呈AP影像学改变。AP的分级诊断:轻度定义为存在急性炎症,没有坏死或器官功能衰竭,具有自限性,通常在1周内好转;中度定义为存在胰腺坏死和(或)短暂的器官功能衰竭(≤48 h);而重度胰腺炎定义为持续性的器官功能衰竭(> 48 h)[1]
患者为中年男性,出现胰腺炎伴免疫系统异常,需警惕自身免疫性胰腺炎(AIP)。AIP是一种由自身免疫介导的、以胰腺肿大及胰管不规则狭窄为特征的胰腺慢性炎症性疾病, 45岁以上的男性患者发病率较高。血清学检查IgG或IgG4 升高。CT典型表现为胰腺实质弥散性增大,呈腊肠样改变, 延迟期可见有光圈样的包膜,小叶结构消失, 胰周脂肪线变细。本例患者上腹CT表现为胰腺局部体尾部增大,密度稍减低,未见明显增强延迟,且患者血清IgG4(-),IgG早期虽升高,但在未使用激素治疗的情况下随着胰腺炎好转可恢复至正常水平,基本可排除AIP[2]
AP伴免疫系统、内分泌系统及其他指标变化的病例临床鲜见报道,国内外AP诊治指南也未提及。关于AP伴免疫系统变化,文献报道AP合并免疫系统紊乱,早期主要表现为免疫球蛋白减少,提示可能存在体液免疫受损[3]。但本例患者早期却表现为免疫球蛋白升高,与既往报道结果相反,其机制有待进一步研究。关于AP伴内分泌系统变化,主要表现在以下2个方面:①下丘脑-垂体-肾上腺皮质轴变化,研究表明,机体处于应激状态下时,下丘脑神经元过度刺激,从而引起下丘脑-垂体-肾上腺皮质轴发生变化,血浆皮质醇浓度升高[4]。目前临床尚未见相关报道,主要为动物实验结果。本例患者显示血尿游离皮质醇明显升高,与动物实验结果一致。②甲状腺功能变化,有研究表明AP发生时,血清T3、T4、FT3、FT4越低提示病情越危重,表明这4个指标可评估AP病情严重程度[5]。本例患者显示FT3及FT4降低,同时TSH升高,与文献报道结果类似。关于白蛋白变化,有临床研究显示,在入院24 h内,重症AP患者白蛋白水平明显低于轻症胰腺炎患者,提示白蛋白可作为早期判断AP严重程度的指标[6]。本例AP患者也出现白蛋白明显下降。关于CA199变化,据报道,在AP中,肿瘤标志物升高可用于观察疾病动态变化及判断治疗效果,其中以CA199升高最为常见[7]。本例AP患者也出现CA199一过性升高。
本例患者有以下特征:①急性病程,但上腹痛程度不重,且仅表现为左上腹压痛,无反跳痛,既往有长期饮酒史,血淀粉酶不高,甘油三酯增高(6.02 mmol/L),上腹增强CT显示急性出血坏死性胰腺炎;②发病后出现免疫系统及内分泌系统异常变化、白蛋白降低、肿瘤标志物CA199升高;③其他辅助检查,如甲状腺、肾上腺、垂体等影像学检查基本正常,其他风湿免疫指标、性激素、垂体激素等基本正常;④治疗3周后上述异常指标均基本恢复正常,可排除患者合并风湿免疫疾病、内分泌系统疾病、肿瘤性疾病等,这些异常指标是伴随AP发生的继发改变。综上所述,本例患者诊断明确,即为AP(中度,酒精性及高甘油三酯性)伴免疫及内分泌系统变化。
AP是胰腺的一种炎症性疾病,在病程中可能伴发某个系统的异常变化,检索文献尚未见报道类似本例患者同时伴有多个系统异常的情况。在这种情况下,应进行详细的鉴别诊断,避免误诊或漏诊。
[1]
王兴鹏, 李兆申, 袁耀宗, 杜奕奇, 曾悦 . 中国急性胰腺炎诊治指南(2013年,上海). 胃肠病学, 2013,18(7):428-433.

[2]
李晓燕, 高翔 . 自身免疫性胰腺炎诊治进展. 新医学, 2010,41(8):555-557.

[3]
刘永艳, 沈佳庆 . 急性胰腺炎早期的体液免疫改变. 胃肠病学, 2018,23(10):602-605.

[4]
Boonen E ,Van den Berghe G.Endocrine responses to critical illness: novel insights and therapeutic implications. J Clin Endocrinol Metab, 2014,99(5):1569-1582.

[5]
Yang N, Zhang DL, Hao JY, Wang G . Serum levels of thyroid hormones and thyroid stimulating hormone in patients with biliogenic and hyperlipidaemic acute pancreatitis: difference and value in predicting disease severity. J Int Med Res, 2016,44(2):267-277.

[6]
蔡雪 . 早期降钙素原及白蛋白水平对急性胰腺炎严重程度的预测价值.中华医学会、中华医学会急诊医学分会(Chinese Society for Emergency Medicine). 中华医学会急诊医学分会第17次全国急诊医学学术年会论文集, 2014: 555-556.

[7]
郭枫 . 急性胰腺炎201例患者的临床分析. 中外医疗, 2011,30(30):29-30.

文章导航

/