研究论著

柚皮素对心肌梗死大鼠血管新生的促进作用及机制研究

  • 王欣 ,
  • 李磊 ,
  • 陈元友 ,
  • 吴潇
展开
  • 409600 重庆,重庆医科大学附属第二医院彭水分院心内科(王欣,陈元友,吴潇);430000 武汉,华中科技大学同济医学院附属普爱医院 武汉市第四医院心内科(李磊)
吴潇,E-mail:

Copy editor: 杨江瑜

收稿日期: 2020-07-21

  网络出版日期: 2020-12-24

基金资助

武汉市卫计委青年项目(WZ18Q10)

版权

版权所有,未经授权,不得转载、摘编本刊文章,不得使用本刊的版式设计。

Study on the promoting effect and mechanism of naringenin on angiogenesis in rats with myocardial infarction

  • Wang Xin ,
  • Li Lei ,
  • Chen Yuanyou ,
  • Wu Xiao
Expand
  • Department of Cardiology, Pengshui Branch, the Second Affiliated Hospital of Chongqing Medical University, Chongqing 409600, China
Wu Xiao, E-mail:

Received date: 2020-07-21

  Online published: 2020-12-24

Copyright

Copyright reserved © 2020

摘要

目的 探究柚皮素对心肌梗死大鼠血管新生的促进作用及其作用机制。方法 将50只SPF级SD大鼠随机分为假手术组、模型组、阿司匹林组[100 mg/(kg·d)]、柚皮素高剂量组[100 mg/(kg·d)]和柚皮素低剂量组[50 mg/(kg·d)],每组10只。采用冠状动脉前降支结扎法建立大鼠心肌梗死模型,造模后24 h 给药,连续4周。末次给药后检测大鼠心功能指标,HE染色和Masson染色观察心肌组织病理学变化,免疫组织化学染色检测心肌组织血小板-内皮细胞黏附分子(CD31)表达,计算微血管密度(MVD),蛋白免疫印迹法检测心肌组织中血管内皮生长因子(VEGF)、碱性成纤维细胞生长因子(bFGF)蛋白表达情况。结果 与假手术组比较,模型组大鼠心功能指标较差,心肌组织排列紊乱,纤维化明显,MVD数量和CD31、VEGF、bFGF表达水平均高于假手术组(P均< 0.05)。与模型组比较,高剂量和低剂量柚皮素可改善大鼠心功能,减轻心肌组织损伤和胶原纤维沉积,增加MVD数量,提高CD31、VEGF、bFGF表达水平,且柚皮素高剂量组的作用优于柚皮素低剂量组(P均< 0.05)。结论 柚皮素能够促进心肌梗死大鼠血管新生,其作用机制可能与VEGF、bFGF蛋白表达水平升高有关。

本文引用格式

王欣 , 李磊 , 陈元友 , 吴潇 . 柚皮素对心肌梗死大鼠血管新生的促进作用及机制研究[J]. 新医学, 2020 , 51(12) : 915 -921 . DOI: 10.3969/j.issn.0253-9802.2020.12.006

Abstract

Objective To explore the effect and mechanism of naringenin on the angiogenesis in rats with myocardial infarction. Methods Fifty SPF SD rats were randomly divided into sham operation group, model group, aspirin group, high-dose naringenin group (100 mg/(kg·d)) and low-dose naringenin group (50 mg/(kg·d)), with 10 rats in each group. Myocardial infarction rat models were established by ligation of the anterior descending branch of coronary artery and administered at 24 h after modeling for 4 consecutive weeks. After the final administration, cardiac function indexes were detected. The pathological changes of myocardial tissues were observed by HE staining and Masson staining. The expression level of platelet-endothelial cell adhesion molecule-1 (CD31) was measured by immunohistochemical staining. The microvessel density (MVD) was calculated. The expression levels of vascular endothelial growth factor (VEGF) and basic fibroblast growth factor (bFGF) proteins in the myocardial tissues were detected by Western blot. Results Compared with the sham operation group, the indexes of cardiac function in the model group were worse, the arrangement of myocardial tissue was disordered, and the fibrosis was more obvious. The MVD and the expression levels of CD31, VEGF and bFGF in the model group were significantly higher than those in the sham operation group (all P < 0.05). Compared with the model group, high-dose and low-dose naringenin could improve cardiac function, mitigate myocardial tissue damage, reduce collagen fiber deposition, increase the MVD, and up-regulate the expression levels of CD31, VEGF and bFGF. The effects of high-dose naringenin were significantly better than those of low-dose naringenin (all P < 0.05). Conclusion Naringenin can promote the angiogenesis in rats with myocardial infarction, probably by up-regulating the expression levels of VEGF and bFGF proteins.

心肌梗死是因冠状动脉闭塞造成急性、持续性缺血缺氧所引起的心肌坏死,临床表现为剧烈胸骨后疼痛,可并发心律失常、心力衰竭或休克,严重威胁人类生命健康[1,2]。《中国心血管病报告2018》结果显示,中国心血管病的发病率及病死率仍在逐年上升,AMI是心血管疾病患者死亡的主要原因[3]。血管新生指在原有血管基础上生长形成的新血管,包括血管内皮细胞增殖、迁移、分化和毛细血管形成及管壁重构等活动,是机体对缺氧状态的一种自然响应过程[4]。治疗性血管新生已被证明能够恢复缺血心肌血液供应,减少组织梗死,改善预后,在心血管疾病治疗领域逐渐受到重视[5]
柚皮素是传统中药枳实、枳壳中的有效活性成分,属二氢黄酮类化合物,具有抗氧化、抗肿瘤、抗病毒、抗菌、抗炎、调节脂质代谢和心脏保护等多种药理作用[6]。研究表明,柚皮素能够有效改善心脏功能,减轻氧化应激和心肌细胞凋亡,预防心肌梗死[7]。目前,虽已有研究证明柚皮素具有心脏保护作用,但关于柚皮素对心肌梗死后血管新生的促进作用鲜有报道。本研究通过建立大鼠心肌梗死模型,深入观察柚皮素是否可以通过促进血管新生改善大鼠心功能,促进心肌损伤修复,并初步探究其作用机制。

材料与方法

一、材料

1. 实验动物

SPF级SD大鼠50只,雌雄各半,6 ~ 8周龄,体质量180 ~ 220 g,购自河南省实验动物中心[SCXK(豫)2017-0001],饲养在河南省实验动物中心实验室独立动物房[SYXK(豫)2016-0002]。实验动物及饲养条件符合《实验动物管理条件》要求。饲养条件:室温(22±1)℃,湿度(50±10)%,每天定时换气,保持12 h∶12 h光暗照明,食水不限。研究方案获伦理委员会批准。

2. 主要试剂与仪器

柚皮素(Sigma-Aldrich,批号:W530098),阿司匹林肠溶片(拜耳医药保健有限公司,批号:BJ49401),HE染色试剂盒、Masson染色试剂盒(北京索莱宝科技有限公司),兔IgG-免疫组织化学(组化)试剂盒SABC即用型(武汉博士德生物工程有限公司),血小板-内皮细胞黏附分子(CD31)、血管内皮生长因子(VEGF)、碱性成纤维细胞生长因子(bFGF)、甘油醛-3-磷酸脱氢酶(GAPDH)兔源单克隆抗体,羊抗兔二抗(美国CST公司),双板垂直电泳仪(北京六一仪器厂,型号:DYCZ-24KS),IX53显微镜(日本奥林巴斯),G:BOX多功能凝胶成像系统(Syngene),多普勒超声仪(美国Beckman公司),Multiskan MK3酶标仪(Thermo Fisher Scientific),TGL16MB高速冷冻离心机(长沙湘智离心机仪器有限公司)。

二、实验方法

1. 分组与造模

将50只SPF级SD大鼠随机分为假手术组、模型组、阿司匹林组、柚皮素高剂量组和柚皮素低剂量组,每组10只。模型组、阿司匹林组、柚皮素高剂量组和柚皮素低剂量组大鼠通过结扎冠状动脉前降支建立心肌梗死模型,造模参考文献[8]的方法:大鼠腹腔注射10 %水合氯醛麻醉,以仰卧位固定于手术台,经口行气管插管,接入呼吸机辅助呼吸。胸前区备皮消毒,在胸骨左侧第3、4肋间开胸,暴露心脏,在心脏前降支下2 ~ 3 mm处结扎冠状动脉,可见局部心肌由红色变为白色,收缩减弱,将心脏放回胸腔,缝合伤口,若心电图可见Ⅱ导联ST段较手术前抬高0.2 mV以上则视为造模成功。经观察,模型组、阿司匹林组、柚皮素高剂量组和柚皮素低剂量组大鼠均造模成功。假手术组大鼠仅开胸,不做冠状动脉结扎。从造模当天开始肌肉注射4万单位青霉素预防伤口感染,每日1次,连续3 d。造模完成后,各组大鼠均存活,存活率为100%。

2. 给药方法

造模24 h后开始给药。结合文献[9]及预实验的结果,我们分别灌胃给予柚皮素高剂量组和柚皮素低剂量组大鼠100 mg/(kg·d)和50 mg/(kg·d)柚皮素(药物采用0.5% CMC-Na混合均匀),阿司匹林组大鼠灌胃100 mg/(kg·d)阿司匹林肠溶片(药物研磨后溶于生理盐水),假手术组和模型组大鼠灌胃20 ml/kg生理盐水,每日1次,连续4周。

3. 心功能指标检测

大鼠心功能指标在最后一次给药后2 h检测,检测通过多普勒超声仪完成,检测指标包括LVEF、左室短轴缩短率(LVFS)、左室收缩末期内径(LVESD)和左室舒张末期内径(LVEDD),连续检测3个心动周期,取平均值作为检测数据。

4. HE染色

处死大鼠,分离心脏,其中5只大鼠心脏放置于4%多聚甲醛溶液中固定,用于HE染色、Masson染色和免疫组化染色,另5只大鼠心脏组织冻存于-80℃超低温冰箱中,用于蛋白免疫印迹法检测。将大鼠心脏组织在4%多聚甲醛溶液中固定48 h,蒸馏水清洗,然后置于50%、70%、85%、95%、100%的乙醇中进行梯度脱水,制作组织蜡块,冰上预冷切片(厚度为4 μm),二甲苯脱蜡30 min,在95%、80%的乙醇及蒸馏水中复水,使用苏木精和伊红染液分别染细胞核和细胞质,脱水、透明后用中性树胶封片,置于显微镜下观察大鼠心脏组织病理变化。

5. Masson染色

取使用4%多聚甲醛溶液固定的大鼠心脏组织,切片、脱蜡、复水过程同上。Weigert 铁苏木素染色5 min,酸性乙醇分化5 ~ 15 s水洗,Masson蓝化液返蓝3 ~ 5 min水洗,丽春红酸性品红染色液染色5 ~ 10 min,弱酸工作液(蒸馏水∶弱酸溶液= 2∶1)洗涤1 min,磷钼酸溶液染色1 min,弱酸工作液洗涤1 min,苯胺蓝染色1 ~ 2 min,弱酸工作液洗涤1 min,95%乙醇和无水乙醇脱水,二甲苯透明,中性树胶封片,置于显微镜下观察心脏组织纤维化情况。

6. 免疫组化染色

取大鼠心脏组织制作石蜡切片,方法同上。将组织切片60℃烤片2 h,二甲苯脱蜡2 h,置于100%、95%、90%、80%的乙醇中复水,随后进行抗原修复、封闭,滴加用磷酸盐缓冲液(PBS)稀释的CD31兔源单克隆抗体(稀释比例为1∶100),放入湿盒中,盖上盖子,置4℃冰箱过夜,第2日37℃孵育羊抗兔二抗0.5 h,PBS冲洗后加DAB显色液,苏木精染细胞核,60%、70%、80%、90%、95%、100%的乙醇脱水,中性树胶封片,置于显微镜下观察。CD31阳性细胞可被染成棕黄色,主要分布于梗死周边范围,梗死区少见。选择梗死周边区域,随机选取5个视野,计算CD31呈阳性的微血管数量,取平均值,即为微血管密度(MVD)。使用Image-Pro Plus 6. 0分析CD31阳性表达的光密度值(IOD),IOD值越大代表阳性表达率越高。

7. 蛋白免疫印迹法

从-80 ℃中取大鼠心脏组织,冰上研磨,离心取沉淀,加入裂解液提取肺组织蛋白,BCA蛋白定量试剂盒测定蛋白浓度,加入loading buffer,在EP管中混匀后置于沸水中煮沸5 min使蛋白变性。配置15 %的分离胶和5 %的浓缩胶进行SDS-PAGE电泳,上样后80 V电泳2 h,60 V转膜2 h,5%脱脂奶粉封闭2 h,随后将条带放入10 ml VEGF、bFGF兔源一抗稀释液中,稀释比例均为1∶1000,4℃过夜,第2日用TBST清洗后加入羊抗兔二抗(1∶2000)37℃孵育2 h,洗膜,滴加发光液,置凝胶成像系统显影。内参蛋白为GAPDH,Image J软件分析各个蛋白对应的灰度值,计算蛋白的相对表达量,蛋白相对表达量=目的蛋白灰度值/内参蛋白灰度值。

三、统计学处理

应用SPSS 25.0 分析数据,实验重复3次,计量资料以$\bar{x}±s$表示,多组间比较采用单因素方差分析,两两比较采用SNK-q检验。P < 0.05为差异有统计学意义。

结果

一、各组大鼠心功能指标比较

假手术组、模型组、阿司匹林组、柚皮素高剂量组和柚皮素低剂量组5组间LVEF、LVFS、LVESD和LVEDD指标比较,差异均有统计学意义(F = 21.62、25.67、18.36、15.48,P均< 0.01)。与假手术组比较,模型组、阿司匹林组、柚皮素高剂量组和柚皮素低剂量组LVEF和LVFS均降低,LVESD和LVEDD均增加,差异均有统计学意义(P均< 0.05);与模型组比较,阿司匹林组、柚皮素高剂量组和柚皮素低剂量组LVEF和LVFS增加,LVESD和LVEDD降低,差异均有统计学意义(P均< 0.05);与阿司匹林组比较,柚皮素高剂量组心功能指标差异均无统计学意义(P均> 0.05),柚皮素低剂量组LVEF和LVFS降低,LVESD和LVEDD增加,差异均有统计学意义(P均< 0.05);与柚皮素高剂量组比较,柚皮素低剂量组LVEF和LVFS降低,LVESD和LVEDD增加,差异均有统计学意义(P均< 0.05),见表1
表1 各组大鼠心功能指标比较($\bar{x}±s$,n = 10)
组 别 LVEF(%) LVFS(%) LVESD(mm) LVEDD(mm)
假手术组 78.70±4.88 42.50±3.01 4.77±0.88 6.95±0.98
模型组 38.29±2.11a 16.55±2.12a 9.18±1.36a 10.44±1.41a
阿司匹林组 54.33±3.27ab 24.85±2.54ab 7.06±1.18ab 8.74±1.33ab
柚皮素高剂量组 54.98±3.02ab 24.51±2.68ab 7.18±1.09ab 8.69±1.29ab
柚皮素低剂量组 49.67±2.74abcd 21.75±2.02abcd 8.11±1.21abcd 9.35±1.15acd

注:与假手术组比较,a P < 0.05;与模型组比较,b P < 0.05;与阿司匹林组比较,c P < 0.05;与柚皮素高剂量组比较,d P < 0.05

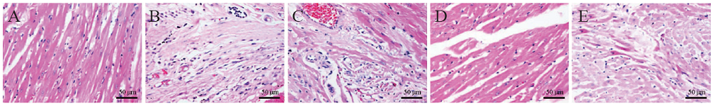
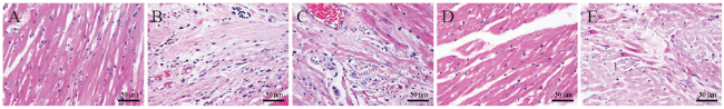
二、HE染色观察大鼠心肌组织形态变化

HE染色结果显示,假手术组心肌组织结构正常、完整,心肌细胞分布均匀、有序,轮廓清晰可见,胞核与胞质边缘分明,血管管腔完整;与假手术组比较,模型组心肌组织则呈现着色较浅、组织排列紊乱、细胞轮廓不清晰和细胞破碎现象,伴有炎症细胞浸润;与模型组比较,柚皮素高剂量组心肌组织排列较为整齐,着色均匀,有少量炎症细胞浸润,血管管腔完整度较好,但阿司匹林组和柚皮素低剂量组心肌组织仍存在一定程度排列紊乱和心肌细胞核质不清晰的现象,整体着色较浅;见图1
图1 各组大鼠心肌组织形态变化(HE染色,×400)

A:假手术组;B:模型组;C:阿司匹林组;D:柚皮素高剂量组;E:柚皮素低剂量组

三、Masson染色观察大鼠心肌胶原组织变化

Masson染色结果显示,假手术组心肌组织形态完整、清晰,镜下视野呈紫红色,部分血管周围有少量呈蓝色的胶原组织;与假手术组比较,模型组心肌组织排列紊乱,呈紫红色的心肌组织明显减少,存在大量呈蓝色的胶原纤维,血管破碎,部分血管呈管腔狭窄和闭合现象;与模型组比较,柚皮素高剂量组和阿司匹林组均以紫红色心肌组织为主,蓝色胶原纤维大量减少,但柚皮素低剂量组仍存在较多的蓝色胶原纤维组织,且组织分布较紊乱;见图2
图2 各组大鼠心肌组织形态变化(Masson染色,×400)

A:假手术组;B:模型组;C:阿司匹林组;D:柚皮素高剂量组;E:柚皮素低剂量组

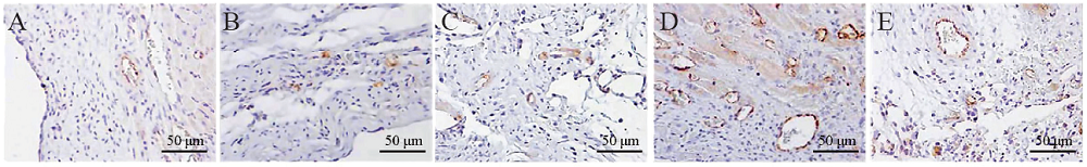
四、各组大鼠免疫组化CD31染色及MVD比较

假手术组、模型组、阿司匹林组、柚皮素高剂量组和柚皮素低剂量组5组间CD31表达水平与MVD数量比较,差异均有统计学意义(F = 21.37、16.54,P均< 0.01)。与假手术组比较,模型组CD31表达水平和MVD数量增加;与模型组比较,阿司匹林组、柚皮素高剂量组和柚皮素低剂量组CD31表达水平和MVD数量增加;与阿司匹林组比较,柚皮素高剂量组和柚皮素低剂量组CD31表达水平和MVD数量增加,其中柚皮素高剂量组CD31表达水平和MVD数量高于柚皮素低剂量组,差异有统计学意义(P < 0.05);见图3表2
图3 各组大鼠免疫组化CD31表达比较(免疫组化染色,×400)

A:假手术组;B:模型组;C:阿司匹林组;D:柚皮素高剂量组;E:柚皮素低剂量组

表2 各组大鼠IOD、MVD、VEGF、bFGF比较($\bar{x}±s$,n = 10)
组 别 IOD MVD(个) VEGF蛋白表达水平 bFGF蛋白表达水平
假手术组 5.89±0.54 2.41±0.22 0.17±0.03 0.15±0.02
模型组 10.44±0.67a 4.98±0.39a 0.30±0.04a 0.26±0.03a
阿司匹林组 13.72±0.58ab 5.68±0.52a 0.81±0.07ab 0.69±0.05ab
柚皮素高剂量组 50.96±0.91abc 10.36±0.55abc 1.08±0.09abc 1.05±0.08abc
柚皮素低剂量组 19.37±0.87abcd 7.99±0.39abcd 0.77±0.08abd 0.75±0.08abd

注:与假手术组比较,a P < 0.05;与模型组比较,b P < 0.05;与阿司匹林组比较,c P < 0.05;与柚皮素高剂量组比较,d P < 0.05

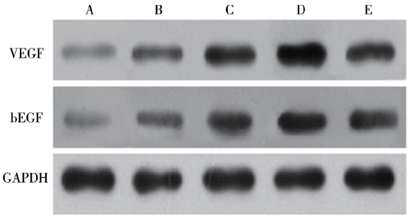
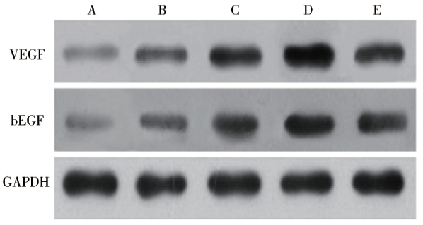
五、各组大鼠心肌组织VEGF、bFGF蛋白表达水平比较

各组间VEGF、bFGF蛋白表达水平比较,差异有统计学意义(F = 48.36、29.44,P均< 0.01)。与假手术组比较,模型组、阿司匹林组、柚皮素高剂量组和柚皮素低剂量组VEGF、bFGF蛋白表达水平增加;与模型组比较,阿司匹林组、柚皮素高剂量组和柚皮素低剂量组VEGF、bFGF蛋白表达水平增加,其中柚皮素高剂量组VEGF、bFGF蛋白表达水平高于阿司匹林组和柚皮素低剂量组,差异均有统计学意义(P均< 0.05),柚皮素低剂量组与阿司匹林组VEGF、bFGF蛋白表达水平比较,差异均无统计学意义(P均> 0.05);见图4表2
图4 各组大鼠心肌组织VEGF、bFGF蛋白免疫印迹法结果

A:假手术组;B:模型组;C:阿司匹林组;D:柚皮素高剂量组;E:柚皮素低剂量组

讨论

心肌梗死是心血管疾病相关的主要死亡原因,常见治疗方法包括药物治疗、溶栓治疗、介入治疗及冠状动脉搭桥术等,虽然对于该类疾病的预防和治疗研究已取得成效,但该病的发病率和病死率依然居高不下,且传统疗法对于冠状动脉远端弥漫性病变、复发性病变及无法手术的严重多支病变效果不佳[10,11]。近年来,治疗性血管新生成为冠状动脉粥样硬化性心脏病、心肌梗死等心血管疾病临床治疗的研究热点。新血管的形成和发展是对器官病理性损害或血液缺乏的重要潜在补救措施,通过各种疗法促使心肌缺血区血管新生能够为冠状动脉提供有效的侧支循环,从而改善心脏功能和心肌梗死[12]
柚皮素是广泛存在于芸香科植物中的一种二氢黄酮类化合物,也是多种中药的主要有效成分,研究表明柚皮素对多种原因导致的心肌损伤具有保护作用,能够改善心肌细胞凋亡和心肌纤维化,抑制心脏骤停大鼠的心脏衰竭和心肌损伤[13,14]。然而,柚皮素是否具有促进心肌梗死后血管新生的作用尚未可知,本研究构建了大鼠心肌梗死模型,旨在观察柚皮素对心肌梗死大鼠血管新生的促进作用,并初步探究其作用机制。
LVEF、LVFS、LVESD和LVEDD是评价心脏功能的常用指标。本研究结果显示,与假手术组比较,模型组LVEF和LVFS均降低,LVESD和LVEDD均增加,与模型组比较,阿司匹林组、柚皮素高剂量组和柚皮素低剂量组LVEF和LVFS增加,LVESD和LVEDD降低,表明心肌梗死后大鼠的心功能降低,出现明显的心室扩张和重构,阿司匹林、高剂量和低剂量的柚皮素处理后可改善大鼠的心脏功能,减轻心肌梗死后出现的失代偿性心室扩张。心肌细胞属于终末细胞,当发生心肌梗死时会造成不可逆转的组织缺血坏死,从而诱发机体产生自我保护反应,包括早期无菌性炎症反应和修复期成纤维细胞增殖、瘢痕及血管形成等活动,然而,持续的炎症损伤和过度的修复反而加剧细胞死亡和心肌收缩功能障碍,不利于心功能的改善[15,16]。本研究采用HE染色和Masson染色观察各组大鼠心肌梗死后心肌组织病理生理学改变,结果显示假手术组心肌组织结构正常、完整,心肌细胞分布均匀、有序,轮廓清晰可见,胞核与胞质边缘分明,血管管腔完整,仅部分血管周围有少量呈蓝色的胶原组织;与假手术组比较,模型组大鼠心肌组织排列紊乱、细胞轮廓不清晰,呈紫红色的心肌组织明显减少,存在大量呈蓝色的胶原纤维;与模型组比较,柚皮素高剂量组心肌组织排列较为整齐,血管管腔完整度较好,组织形态优于阿司匹林组和柚皮素低剂量组,Masson染色显示柚皮素高剂量组和阿司匹林组蓝色胶原纤维大量减少,但柚皮素低剂量组仍存在较多的蓝色胶原纤维组织,组织分布相对较紊乱,表明一定剂量的柚皮素能够抑制心肌梗死导致的组织损伤,减轻心肌组织胶原纤维的沉积。
CD31是内皮细胞的特异性标志物,在评价血管新生情况时多采用CD31免疫组织化学染色来统计MVD数量,以此反映血管的生成情况[17]。本研究结果显示,与假手术组比较,模型组CD31表达水平和MVD数量增加,与模型组比较,阿司匹林及高剂量和低剂量的柚皮素均可增加心肌组织CD31表达水平和MVD数量,其中柚皮素高剂量组和柚皮素低剂量组CD31表达水平和MVD数量高于阿司匹林组,表明柚皮素能够显著增加大鼠心肌梗死后心梗边缘区域CD31的表达,有效促进血管新生。VEGF是特异性最高、作用最强的促血管生成细胞因子,能够特异性作用于血管内皮细胞,促进细胞增殖、出芽、迁移和血管形成过程,已被证明可促进缺血性心脏病患者血管新生[18]
bFGF是一种生长刺激因子,能够特异性作用于血管内皮细胞、平滑肌细胞、成纤维细胞及神经细胞,已有研究证实,VEGF和bFGF在促进血管新生过程中有明显的协同效应[19]。本研究结果显示,模型组VEGF、bFGF蛋白表达水平高于假手术组,表明大鼠心肌梗死后,机体出现代偿反应;与模型组比较,阿司匹林组、柚皮素高剂量组和柚皮素低剂量组VEGF、bFGF蛋白表达水平增加,其中柚皮素高剂量组VEGF、bFGF蛋白表达水平高于阿司匹林组和柚皮素低剂量组,表明柚皮素促进血管新生的作用可能与VEGF、bFGF蛋白表达水平升高有关。
综上所述,柚皮素能够改善心肌梗死大鼠的心功能,减轻心肌梗死后的组织损伤和胶原沉积,有效促进血管新生,其作用机制可能与VEGF、bFGF蛋白表达水平升高有关。
[1]
Sandoval Y, Jaffe AS. Type 2 myocardial infarction: JACC review topic of the week. J Am Coll Cardiol, 2019,73(14):1846-1860.

DOI PMID

[2]
施映映, 张玉香, 陈芝仙. 急性心肌梗死辨证施护临床研究. 新中医, 2020,52(17):137-140.

[3]
胡盛寿, 高润霖, 刘力生, 朱曼璐, 王文, 王拥军, 吴兆苏, 李惠君, 顾东风, 杨跃进, 郑哲, 陈伟伟. 《中国心血管病报告2018》概要. 中国循环杂志, 2019,34(3):209-220.

[4]
徐添添, 周建庆. 动脉粥样硬化斑块内血管新生的研究进展. 浙江医学, 2019,41(4):393-396.

[5]
Johnson T, Zhao L, Manuel G, Taylor H, Liu D. Approaches to therapeutic angiogenesis for ischemic heart disease. J Mol Med (Berl), 2019,97(2):141-151.

DOI

[6]
Salehi B, Fokou PVT, Sharifi-Rad M, Zucca P, Pezzani R, Martins N, Sharifi-Rad J. The therapeutic potential of naringenin: a review of clinical trials. Pharmaceuticals (Basel), 2019,12(1):11.

DOI

[7]
Yu LM, Dong X, Zhang J, Li Z, Xue XD, Wu HJ, Yang ZL, Yang Y, Wang HS. Naringenin attenuates myocardial ischemia-reperfusion injury via cGMP-PKGIαsignaling and in vivo and in vitro studies. Oxid Med Cell Longev, 2019,2019:7670854.

PMID

[8]
荣霞, 史艳霞, 杜宇. 积雪草酸通过SIRT3/β-catenin/PPARγ信号通路影响急性心肌梗死模型大鼠血管新生及心室重构. 中国动脉硬化杂志, 2018,26(6):593-599.

[9]
徐辉勇, 陈金鹏, 章剑. 柚皮素对糖尿病视网膜病变大鼠氧化损伤、细胞凋亡及Nrf2-ARE的影响. 临床和实验医学杂志, 2020,19(2):128-132.

[10]
张柔, 王颖. 急性心肌梗死治疗研究进展. 实用中医内科杂志, 2020,34(7):105-108.

[11]
Lim GB. Acute coronary syndromes: supplemental oxygen in myocardial infarction. Nat Rev Cardiol, 2017,14(11):632.

PMID

[12]
Zhu H, Jiang X, Li X, Hu M, Wan W, Wen Y, He Y, Zheng X. Intramyocardial delivery of VEGF165 via a novel biodegradable hydrogel induces angiogenesis and improves cardiac function after rat myocardial infarction. Heart Vessels, 2016,31(6):963-975.

DOI PMID

[13]
刘欢, 雷欢, 梁瑞华, 胡少洋, 陈红霞, 任平. 柚皮素对阿霉素致心肌细胞损伤的保护作用及机制研究. 中药新药与临床药理, 2020,31(7):788-793.

[14]
孙杨, 璀璨, 王继霞, 刘影. 柚皮素对心脏骤停-心肺复苏大鼠心功能的保护作用及对PI3K/Akt/Sirt1信号通路的影响. 中华实用诊断与治疗杂志, 2019,33(4):325-329.

[15]
Prabhu SD, Frangogiannis NG. The biological basis for cardiac repair after myocardial infarction: from inflammation to fibrosis. Circ Res, 2016,119(1):91-112.

PMID

[16]
Wang X, Guo Z, Ding Z, Mehta JL. Inflammation, autophagy, and apoptosis after myocardial infarction. J Am Heart Assoc, 2018,7(9):e008024.

DOI PMID

[17]
Sass FA, Schmidt-Bleek K, Ellinghaus A, Filter S, Rose A, Preininger B, Reinke S, Geissler S, Volk HD, Duda GN, Dienelt A. CD31+ cells from peripheral blood facilitate bone regeneration in biologically impaired conditions through combined effects on immunomodulation and angiogenesis. J Bone Miner Res, 2017,32(5):902-912.

DOI PMID

[18]
Oduk Y, Zhu W, Kannappan R, Zhao M, Borovjagin AV, Oparil S, Zhang JJ. VEGF nanoparticles repair the heart after myocardial infarction. Am J Physiol Heart Circ Physiol, 2018,314(2):H278-H284.

DOI PMID

[19]
Yu JM, Zhang XB, Jiang W, Wang HD, Zhang YN. Astraga-losides promote angiogenesis via vascular endothelial growth factor and basic fibroblast growth factor in a rat model of myocardial infarction. Mol Med Rep, 2015,12(5):6718-6726.

DOI PMID

文章导航

/