综合病例研究

左颈内静脉置管误穿纵隔的处理及分析一例

  • 何琼 ,
  • 汤学宇
展开
  • 421002 衡阳,湖南师范大学附属湘南医院 中国人民解放军联勤保障部队第九二二医院肾内科
汤学宇,E-mail:

Copy editor: 杨江瑜

收稿日期: 2020-12-17

  网络出版日期: 2021-04-27

版权

版权所有,未经授权,不得转载、摘编本刊文章,不得使用本刊的版式设计。

Treatment and analysis of tunneled cuffed left internal jugular vein catheter tip misplaced in mediastinum: one case report

  • He Qiong ,
  • Tang Xueyu
Expand
  • Department of Nephrology, Xiangnan Hospital Affiliated to Hunan Normal University & 922 Hospital of PLA, Hengyang 421002, China
Tang Xueyu, E-mail:

Received date: 2020-12-17

  Online published: 2021-04-27

Copyright

Copyright reserved © 2021

摘要

中心静脉置管技术在临床上应用广泛,其置管相关并发症也不容忽视。该例维持性血液透析患者在彩色多普勒超声引导下行左侧颈内静脉留置长期透析导管术时出现抵抗感,置管完成后回抽导管动静脉端回血不畅,术后行胸部CT及数字减影血管造影检查发现导管末端进入中纵隔内,未伤及纵隔内血管,予以20 d后导管末端血肿机化后拔除留置导管。该例提示左颈内静脉置管误穿中纵隔可致一些严重甚至致命的并发症,熟悉相关解剖结构、提高置管技术、及时行相关医技检查及治疗是防治并发症的关键。

本文引用格式

何琼 , 汤学宇 . 左颈内静脉置管误穿纵隔的处理及分析一例[J]. 新医学, 2021 , 52(4) : 301 -304 . DOI: 10.3969/j.issn.0253-9802.2021.04.015

Abstract

The central venous catheterization(CVC) has been widely applied in clinical practice. However, the complications induced by CVC can not be neglected. In this article, one patient presented with resistance during the period of indwelling the tunneled cuffed left internal jugular vein catheter guided by ultrasonography and failed to achieve smooth drainage after CVC. Postoperative CT scan of the chest and DSA showed the catheter tip was misplaced in the middle mediastinum without vascular trauma. The catheter was removed at 20 d after the hematoma was organized around the tip. Malpositioning of tunneled cuffed left internal jugular vein catheter tip in the mediastinum can cause severe and even fatal complications. Intimate knowledge of anatomical structures, improvement of catheter indwelling technique, timely relevant examinations and treatment are the key to prevent and treat complications.

中心静脉置管术是指在导丝的引导下经颈内静脉、颈外静脉、锁骨下静脉、股静脉将导管置入腔静脉,在临床中作为血液透析患者的血管通路应用非常普遍。中心静脉置管术可导致一些少见且严重的并发症如血管损伤、血肿形成、空气栓塞、心房穿孔、气胸、心律失常、心脏骤停、喉返神经损伤、气管撕裂等,严重者可危及患者生命[1]。在临床工作中提高对中心静脉置管严重并发症的认识十分必要,现将我院1例行左颈内静脉带隧道和涤纶套的透析导管置管术误穿纵隔后成功拔除导管的病例分析报告如下。

病例资料

一、主诉和现病史

患者女,74岁。因维持性血液透析治疗3年余,动静脉导管脱出10 d余于2018年9月3日入院。患者3年前因发现肾功能不全、纳差、四肢乏力1周在我科住院治疗,经完善相关检验、检查后,诊断为慢性肾功能不全尿毒症期、肾性贫血,予以行深静脉置管并血液透析、改善贫血等对症支持治疗,症状好转后出院。出院后在当地医院规律血液透析治疗,约1 ~ 2次/周,每次持续4 h,并辅以改善贫血、控制血压等对症治疗,自觉一般情况可。10余日前,患者不慎将右侧颈内静脉长期透析留置导管拔出,在当地医院予以止血等对症处理后,行右侧颈内静脉临时导管留置术,因患者护理不当,致导管半脱出,血液透析治疗时无法达到有效透析血流量,今为求进一步诊治遂来我院门诊就诊,门诊拟“尿毒症”收入院。患者目前食欲、睡眠、精神尚可,大便每日1次,自觉每日尿量约600 ~ 800 ml。

二、体格检查

体温36.4℃,脉搏65次/分,呼吸19次/分,血压180/100 mm Hg(1 mm Hg = 0.133 kPa),体质量67 kg。轻度贫血貌,右颈部可见一深静脉导管半脱出,局部无红肿、糜烂、渗液,双肺呼吸音清,未闻及干、湿性啰音。心律整齐,各瓣膜区未闻及杂音,腹平软,无压痛、反跳痛,双下肢无水肿。

三、入院后实验室及辅助检查

血常规示血红蛋白88 g/L,红细胞2.81×1012/L,红细胞压积28%。凝血功能检查正常。肾功能示血尿素氮22.1 mmol/L,血清肌酐502.0 μmol/L,血尿酸487 μmol/L。

四、诊疗经过

初步诊断为慢性肾功能不全尿毒症期、肾性贫血、肾性高血压。予以回抽右颈内静脉临时导管无回血,行彩色多普勒超声(彩超)检查示右侧颈内静脉血栓形成,溶栓治疗后仍不通畅。于2018年9月6日拟在彩超导引下行左侧颈内静脉带隧道和涤纶套的导管置管术,取左侧胸锁乳突肌的胸骨头、锁骨头与锁骨上缘所形成的三角形的顶部为穿刺点,在超声引导下行穿刺,操作过程不顺利,置入撕脱鞘及导管过程中均有抵抗感,置管至入到所需长度后分别于导管的动静脉端抽吸,无法抽吸出流畅血液,提示导管不通畅,退管2 cm后回血通畅,术者再次将管送至所需长度,于导管动静脉端用肝素盐水2 ml封管后固定导管,无菌敷料覆盖切口。
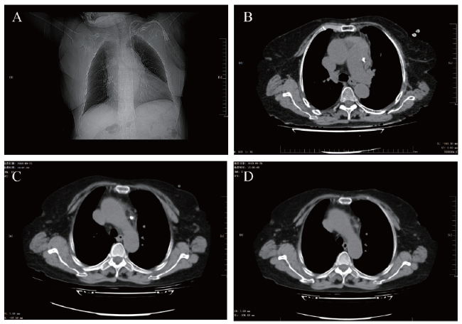
术后行胸部CT检查示留置导管影末端位于左肺动脉旁,左颈前、纵隔区密度显著增高,并见絮片状高密度影及气体影,CT值约35 Hu,边界不清,可能为积血及积气(图1A、B)。考虑导管末端已穿出左颈内静脉,进入纵隔可能性大,经导管动脉端注入少量低浓度碘氟醇造影剂行数字减影血管造影(DSA)检查,提示导管末端位于中纵隔内,未进入动静脉、心包腔。急请心血管内科、心胸外科、普外科会诊,考虑若现在拔管,左颈内静脉内血液有进入破口处致局部血肿或大出血压迫纵隔内组织、器官引起严重并发症等风险,甚至可能需手术止血。如果待2 ~ 3周导管末端局部血肿凝固、机化后行拔除留置导管,有利于局部止血和降低拔管风险。综合考虑选择待2 ~ 3周再拔管。等待拔管期间予以监测患者血压,定期复查血常规、肾功能、电解质,治疗上予以注射用矛头蝮蛇血凝酶2 U肌肉注射3 d避免出血、硝苯地平缓释片控制血压、重组人促红细胞生成素改善贫血,期间患者血常规未见明显改变、无明显电解质紊乱、血清肌酐值较前有所下降,予以暂缓血液透析治疗。
图1 一例左颈内静脉置管误穿纵隔患者的CT图

A:导管尖端平第4胸椎下缘左侧;B:导管尖端位于肺动脉干旁,周围可见血肿稍高密度影;C:第20日见主动脉弓旁血肿密度降低;D:拔管第2日未见主动脉弓旁新发密度影

9月25日行胸部CT示中纵隔区脂肪密度略模糊,见少许絮状高密度影,边界欠清,可能为积血,与2018年9月6日胸部CT比较病灶明显减小;双肺少许炎症,右侧叶间积液;心脏增大,心包少量积液(图1C)。据患者胸部CT结果,提示导管末端局部血肿已凝固、机化,决定于超声引导下拔除左颈内静脉留置导管,请胸外科、普外科、B超科协助,患者平卧位,予以心电图、血压、血氧监测,拔除导管并行局部加压15 min。术后即行彩超检查示导管经左颈内静脉至左头臂静脉与左锁骨下静脉交汇区刺破血管进入纵隔处未见血液。拔管后患者生命体征平稳,观察30 min后平车返回肾内科。术后复查血常规、肾功能数值基本同前,术后24 h复查胸部CT示纵隔内未见新发高密度影(图1D)。

讨论

我国维持性血液透析患者的主要血管通路为自体动静脉内瘘,居第二位的为带隧道和涤纶套的透析导管[2]。2019年肾脏病生存质量指导更新的血管通路临床实践指南推荐临床上进行长期中心静脉置管时,首选右侧颈内静脉,其次为右侧颈外静脉、左侧颈内静脉、左侧颈外静脉、股静脉、锁骨下静脉[3]
本例在进行左侧颈内静脉置管过程中,穿刺点位置选择相对较低,距离左侧颈内静脉与左锁骨下静脉交汇处距离近,在置入撕脱鞘的过程中出现抵抗感,考虑为撕脱鞘插入左颈内静脉过深,导致撕脱鞘穿破左颈内静脉与左锁骨下静脉交汇处,此时强行用力撕脱外鞘并置入导管进一步导致导管穿破静脉壁进入到中纵隔内。从解剖结构分析,右侧颈内静脉较粗,与右头臂静脉、上腔静脉连接几乎成一直线,在右侧颈内静脉置管时导丝及导管无需弯折,误入其他静脉通道的可能性小,而左颈内静脉与左头臂干的交角较大,同时惯用右手的操作者在行左侧颈内静脉置管时相对不顺手,从而加大了左颈内静脉置管的难度。在临床工作中,右侧颈内静脉置管较左侧静脉置管更常选择,左侧静脉置管例数少、术者操作经验不丰富以及对左侧颈内静脉解剖结构的不熟悉均增加了置管并发症的风险。
中纵隔内有心、心包、出入心脑的大血管根部和膈神经等,若导管误入中纵隔内可引起血肿、大出血、休克、心包填塞等严重并发症,甚至可致死亡。本例使用了注射用矛头蝮蛇血凝酶防范出血及血肿的继续扩大,血凝酶具有类凝血酶和类凝血激酶样作用,可促进血管破损部位血小板的聚集,促使出血部位的血栓形成和止血,同时也加速导管末端血肿的机化[4]。有文献报告在左颈内静脉置管误入纵隔后采取待管周组织窦道形成2周后予以拔出,也有文献采取将导管剪断并结扎后包埋于皮下长期留于体内[5,6,7]。导管属于异物,长期留置于体内是否会产生排异反应、甚至血栓形成尚需进一步随访。使用胸腔镜直视下治疗左颈内静脉导管误入胸腔也有报道[8]
对于颈内静脉置管误入纵隔的处理,可采取以下方法:若经胸部CT血管成像(CTA)或DSA检查发现导管误入纵隔而没有损伤其内的血管、心包和心脏等器官,且患者生命体征平稳、无失血表现,可采取留置导管2 ~ 3周后再予以拔出;若经胸部CTA或DSA检查发现导管损伤纵隔内的血管、心包和心脏等器官,或患者生命体征异常、有活动性出血表现,此时应积极治疗,可行胸腔镜、开胸或经DSA介入治疗。
如何在临床工作中减少左侧颈内静脉置管所致严重并发症,需做到以下几点:①在置管前需了解相关解剖知识及患者血管情况,行B超检查是否有血管变异、血栓形成,不可盲穿。②在操作过程中手法要轻柔,若操作过程中出现抵抗感,切不可强行置管,可考虑在DSA引导下置管。③置管后需常规行胸部X线检查确定导管尖端位置。
[1]
Vats HS. Complications of catheters: tunneled and nontunneled. Adv Chronic Kidney Dis, 2012,19(3):188-194.

DOI PMID

[2]
Pisoni RL, Zepel L, Port FK, Robinson BM. Trends in US vascular access use, patient preferences, and related practices: an update from the US DOPPS practice monitor with international comparisons. Am J Kidney Dis, 2015,65(6):905-915.

PMID

[3]
Lok CE, Huber TS, Lee T, Shenoy S, Yevzlin AS, Abreo K, Allon M, Asif A, Astor BC, Glickman MH, Graham J, Moist LM, Rajan DK, Roberts C, Vachharajani TJ, Valentini RP; National Kidney Foundation. KDOQI clinical practice guideline for vascular access: 2019 update. Am J Kidney Dis, 2020,75(4 Suppl 2):S1-S164.

DOI PMID

[4]
张亚明. 新生儿应激性溃疡的药物治疗. 新医学, 2006,37(2):119-121.

[5]
蒋欣欣, 冯剑, 胡卫民, 陆明晰, 沈洲姬, 熊晓玲, 叶有新. 带袖套的左颈内静脉置管误入纵膈一例. 中华肾脏病杂志, 2011,27(6):466.

[6]
蒋秋艳, 李飞, 胡广, 张梦婷, 邹贵勉. 血液透析患者颈内静脉导管意外3例经验总结. 中国中西医结合肾病杂志, 2019,20(7):628.

[7]
蔡得汉, 李赟. 左颈内静脉留置血透用长期导管致左头臂干静脉穿透损伤2例报道. 江西医药, 2015,50(8):814.

[8]
Kim JE, Jeon JP, Kim Y, Jeong SA, Moon YE. Video-thoracoscopic management of a perforated central vein and pleura after ultrasound-guided internal jugular vein cannulation: a case report. Korean J Anesthesiol, 2014,66(4):306-309.

文章导航

/