综合病例研究

伴小脑萎缩的线粒体脑肌病MELAS一例

  • 张忠胜 ,
  • 石喆
展开
  • 511518 清远,广州医科大学附属第六医院(清远市人民医院)神经内科
石喆,E-mail:

Copy editor: 洪悦民

收稿日期: 2020-12-22

  网络出版日期: 2021-08-11

版权

版权所有,未经授权,不得转载、摘编本刊文章,不得使用本刊的版式设计。

MELAS syndrome complicated with cerebellar atrophy: a case report

  • Zhang Zhongsheng ,
  • Shi Zhe
Expand
  • Department of Neurology, the 6th Affiliated Hospital of Guangzhou Medical University (Qingyuan People’s Hospital), Qingyuan 511518, China
Shi Zhe, E-mail:

Received date: 2020-12-22

  Online published: 2021-08-11

Copyright

Copyright reserved © 2021

摘要

线粒体脑肌病伴高乳酸血症和卒中样发作(MELAS)是一种少见的遗传性疾病,可累及机体多系统。该病主要临床表现为头痛、癫痫、耳聋、皮质盲及认知功能下降等。MELAS呈卒中样发作,临床易误诊为脑梗死及脑炎,目前尚缺乏特效治疗方法。该文报道1例33岁女性MELAS 患者,其以突发头痛、视物不清为首发症状,伴有不完全感觉性失语、听力下降、不能耐受疲劳,急诊颅脑CT显示双侧小脑半球萎缩,入院后经外周血基因检查明确MELAS诊断,予辅酶Q10胶囊、艾地苯醌及维生素E治疗。患者病情好转后出院,随访3个月病情稳定。该病例提示临床医师应提高对MELAS的认识,注意鉴别诊断,避免漏诊或误诊。

本文引用格式

张忠胜 , 石喆 . 伴小脑萎缩的线粒体脑肌病MELAS一例[J]. 新医学, 2021 , 52(7) : 549 -552 . DOI: 10.3969/j.issn.0253-9802.2021.07.016

Abstract

Mitochondrial encephalomyopathy, lactic acidosis and stroke-like episodes (MELAS) is a rare hereditary disease, which can involve with multiple systems. The main clinical manifestations of MELAS consist of headache, epilepsy, deafness, cortical blindness and cognitive decline, etc. MELAS presents with a stroke-like episode, which is easily misdiagnosed as cerebral infarction and encephalitis. No specific treatment has been available at present. In this article, one 33-year-old female with MELAS was reported, presenting with sudden headache and blurred vision as the first symptoms, accompanied by incomplete sensory aphasia, hearing loss, and intolerance of fatigue, etc. Emergency brain CT scan showed bilateral cerebellar atrophy. The diagnosis of MELAS was confirmed by peripheral blood genetic examination. Coenzyme Q10 capsules, idebenone tablets and vitamin E were given. The patient was discharged after improvement of the disease and remained physically stable after 3 months of follow-up. This case prompts that doctors should deepen the understanding of MELAS, pay attention to differential diagnosis and avoid missed diagnosis or misdiagnosis.

线粒体脑肌病是一种由线粒体DNA或核DNA缺陷导致线粒体结构和功能障碍,使肌纤维和脑神经细胞ATP生成不足而引起的肌肉和(或)脑的病变。本病有多种类型,其中以Pavlakis等[1]在1984年首次描述的线粒体脑肌病伴高乳酸血症和卒中样发作(MELAS)为最多见。MELAS临床表现多样,缺乏特异性。现报道我院收治的伴小脑萎缩的成人MELAS综合征1例,旨在提高临床医师对该病的认识,减少误诊误治。

病例资料

一、主诉与病史

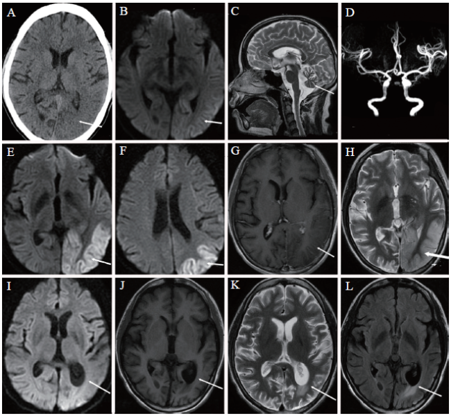
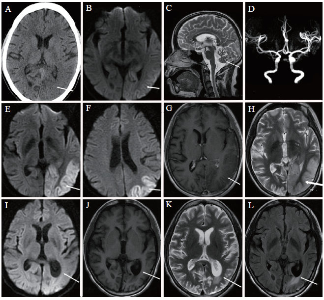
患者女,33岁。因头痛3 d、视物不清2 d于2020年4月5日入我院。患者于入院前3 d无明显诱因出现头痛,为左侧颞枕部持续性胀痛。入院2 d前开始出现视物不清,伴精神烦躁、反应迟钝。于当地诊所接受止痛、补液等对症处理后病情无明显好转,遂来我院。急诊颅脑CT:①左侧颞枕叶低密度影;②双侧小脑萎缩。脑MRI:①左侧顶枕颞叶大片异常信号,扩散加权成像(DWI)病灶弥散受限;②双侧小脑半球萎缩。磁共振血管造影(MRA):左侧大脑中动脉、大脑后动脉远段分支增多(图1A ~ D)。急诊以“头痛、视物不清查因:脑炎?”收入院。患者起病以来无发热、抽搐,进食少,睡眠减少。否认有头痛史,否认有高血压、糖尿病、心脏病史。自幼不能耐受体力活动,有反应稍迟钝及可疑听力下降,但从未接受诊治。高中文化。父母健在,母亲有“糖尿病”史,姐姐有“头痛”史。已婚,育有一女,配偶及女儿身体健康。
图1 一例MELAS患者的影像学检查

A ~ D:发病3 d后;A:脑CT示左侧颞枕叶低密度(箭头);B:磁共振弥散加权成像(DWI)显示左侧颞枕叶高信号(箭头);C:MRI T2加权像显示小脑半球明显萎缩(箭头);D:MRA示左侧大脑后动脉远端分支较右侧增多;E ~ H:发病1周后;E:MRA示左侧大脑中动脉远端分支较右侧增多(箭头);F:左侧颞顶枕叶皮层DWI高信号,较前进展(箭头);G:增强MRI左侧颞枕叶病灶未见明显强化(箭头);H:MRI T2加权像左侧颞枕叶高信号(箭头);I ~ L:发病3个月后;I:左侧颞顶枕叶DWI等信号,左侧侧脑室后角扩大(箭头);J:MRI T1加权像左侧颞顶枕叶皮层等信号,左侧侧脑室后角扩大(箭头);K:MRI T2加权像左侧侧脑室后角局部脑组织呈高信号;L:MRI液体衰减反转恢复序列左侧侧脑室后角局部高信号,提示胶质增生(箭头)

二、入院体格检查、实验室及辅助检查

体格检查:生命体征正常,身高155 cm,体质量40 kg。心、肺、腹未见异常。神经系统检查:意识模糊,反应迟钝,不完全感觉性失语。双侧瞳孔圆形等大,瞳孔直径3.0 mm,对光反射灵敏,双眼球各向运动正常,双侧额纹、鼻唇沟对称,伸舌居中。四肢肌力5级,肌张力正常,四肢腱反射对称(++),感觉系统、共济运动查体不能配合,双侧病理征(-),脑膜刺激征(-)。
实验室及辅助检查:血、尿、大便常规及肝肾功能、电解质、血氨、梅毒+HIV抗体、血糖均无异常,心电图、X线胸片以及心、腹、泌尿系统超声检查均无异常。2次血乳酸检测分别为0.8、1.2 mmol/L(我院正常参考值0 ~ 2 mmol/L)。肌酸激酶373 U/L(50 ~ 310 U/L)、CK-MB 137 U/L(0 ~ 24 U/L),乳酸脱氢酶353 U/L(120 ~ 250 U/L)。肌钙蛋白正常。甲状腺功能正常。甲状腺球蛋白抗体466.9 IU/ml(0 ~ 115 IU/ml)、甲状腺过氧化物酶抗体414.2 IU/ml(0 ~ 34 IU/ml)。甲状腺超声:甲状腺回声异常,双叶实性结节,部分钙化,考虑结节性甲状腺肿。腰椎穿刺检查:压力150 mm H2O(1 mm H2O = 0.0098 kPa),无色透明。脑脊液常规与生化检查:白细胞3×106/L、总蛋白 0.28 g/L、葡萄糖4.64 mmol/L、氯117 mmol/L。单纯疱疹病毒PCR DNA(-),脑脊液病原体宏基因组二代测序(-),血液及脑脊液自身免疫性脑炎抗体(-)。4月9日完善脑MRI增强扫描+磁共振波谱成像:左侧顶枕颞叶大片异常信号影,较前进展,增强扫描未见强化(图1E ~ H)。当日因患者躁动,磁共振波谱成像未能完成,后拒绝再次检查。结合患者既往有活动后易疲劳、听力减退、反应稍迟钝,肌酶明显增高,影像学提示双侧小脑明显萎缩,脑MRI示左侧颞枕叶皮质及皮质下病变,定位于脑和肌肉。结合本次卒中样发作,有头痛,精神状态改变,视野改变,诊断考虑MELAS可能性大。因患者不能配合行听力测定、肌电图检查,不同意行脑磁共振波谱检查及肌肉活组织检查,故联系广州金域公司行外周血线粒体脑肌病基因测序。

三、诊治过程

患者入院后予辅酶Q10胶囊20 mg、每日3次,艾地苯醌30 mg、每日3次,维生素E 50 mg、每日3次,三磷酸腺苷二钠20 mg、每日3次,并予高碳水化合物、高蛋白营养支持等治疗。治疗1周后患者头痛缓解,视物改善,病情好转出院,出院后继续服用辅酶Q10胶囊及艾地苯醌。1个月后基因检测结果报告:线粒体DNA3243位点发生突变,m.3243A > G,突变比例36%,最终确诊为MELAS。患者出院3个月后复诊,病情明显改善,神志清晰,对答切题,视物清晰,无头痛,无新发症状,简易精神状态评价量表(MMSE)评分20分。7月2日复查脑MRI:左侧侧脑室后角扩大,周围脑组织萎缩、胶质增生(图1I ~ L)。纯音电测听提示双耳轻度感音性耳聋。

讨论

线粒体广泛存在于人体细胞内,是人体能量的主要来源,线粒体基因或细胞核基因突变导致线粒体结构和功能异常的疾病,称为线粒体病。累及骨骼肌时,称为线粒体肌病;如同时累及肌肉和中枢神经,则称为线粒体脑肌病。线粒体脑肌病主要由线粒体DNA基因突变所致,少数是核DNA突变,MELAS是线粒体脑肌病中最常见的类型,各年龄段均可发病,儿童、青少年发病多见,也见于中年或中老年[2]。MELAS以卒中样发作和乳酸酸中毒为临床特征,多为母系遗传,大多数患者有家族史,临床表现多种多样,以卒中样发作、癫痫发作、认知与精神障碍、高乳酸血症、肌肉疲劳无力为主要表现,部分患者还有感音神经性耳聋、胃肠功能障碍、周围神经病、身材矮小、弓形足、发际线低等表现[3]
本例为青年女性,急性起病,表现为头痛、视物模糊、失语,结合脑MRI表现,需要与急性脑梗死、单纯疱疹病毒性脑炎及自身免疫性脑炎鉴别。本病例无脑血管病常见危险因素,左侧颞枕叶病灶跨越左侧大脑中动脉及大脑后动脉分布区,与动脉分布区不一致,不支持脑梗死。有报道示线粒体脑病患者急性期病灶区对应的脑血管反而会可逆性扩张、局部脑血流量增加,发作期病变区域可呈高灌注[4,5]。本例患者MRA示病灶区对应的左侧大脑中动脉、大脑后动脉远端分支较对侧增多,与既往研究报道一致。MELAS易被误诊为单纯疱疹病毒性脑炎[6,7]。单纯疱疹病毒性脑炎主要累及颞叶、额叶底部、岛叶皮质及扣带回,临床表现以头痛、发热、精神异常、癫痫发作为特征,该患者在病程中无发热、癫痫发作,脑脊液病原体宏基因组二代测序(-),不支持单纯疱疹病毒性脑炎的诊断。此外,结合患者临床治疗经过及自身免疫性脑炎抗体(-),也不支持自身免疫性脑炎的诊断。
MELAS患者可合并小脑萎缩,本例患者双侧小脑明显萎缩,但平时并无头晕、言语不清、步态异常及共济失调表现,考虑小脑萎缩为长期慢性病程所致,患者已耐受,但为何仅有小脑萎缩尚需进一步研究[8,9]。头痛是MELAS的常见表现,部分患者也可伴有糖尿病。本例患者母亲有“糖尿病”史,姐姐有“头痛”史,不排除患者母亲及姐姐也可能是线粒体肌病患者。
磁共振波谱对诊断MELAS有一定特异性,因线粒体功能障碍引起细胞组织能量缺乏、缺氧而产生乳酸,故磁共振波谱发现乳酸峰为本病的特征性表现[10]。本例患者有急性期发病时、疾病进展及慢性期的脑MRI表现资料,但遗憾的是缺少磁共振波谱资料。
综上所述,MELAS表现多样,对于疑诊患者,发现线粒体DNA或核DNA基因致病变异和(或)肌肉活组织检查发现线粒体肌病的典型病理改变是诊断MELAS的“金标准”[3]。本例患者进行了基因检测故能确诊。目前针对MELAS尚缺乏特效治疗,现行疗法主要是建立代谢旁路,以增加机体ATP产生为目的,治疗方面以改善线粒体功能的“鸡尾酒”疗法为主。
[1]
Pavlakis SG, Phillips PC, DiMauro S, De Vivo DC, Rowland LP. Mitochondrial myopathy, encephalopathy, lactic acidosis, and strokelike episodes: a distinctive clinical syndrome. Ann Neurol, 1984, 16(4):481-488.

PMID

[2]
Abdullah H, Shah S, Husain H, Hassan F, Maqsood H. Late-onset Mitochondrial encephalomyopathy with lactic acidosis and stroke-like episodes (MELAS) syndrome in a 63-year-old patient. Cureus, 2020, 12(4):e7862.

[3]
北京医学会罕见病分会, 北京医学会神经内科分会神经肌肉病学组, 中国线粒体病协作组. 中国线粒体脑肌病伴高乳酸血症和卒中样发作的诊治专家共识. 中华神经科杂志, 2020, 53(3):171-175.

[4]
Li Y, Xu W, Sun C, Lin J, Qu J, Cao J, Li H, Yang L. Reversible dilation of cerebral macrovascular changes in MELAS episodes. Clin Neuroradiol, 2019, 29(2):321-329.

DOI

[5]
陈娅, 徐祖才, 吴瑞, 姚本海, 雷显泽, 廖书胜. 误诊MELAS为病毒性脑炎1例报告并文献复习. 中风与神经疾病杂志, 2018, 35(6):564-565.

[6]
曾文高, 江滢, 刘佳, 彭福华. MELAS误诊为单纯疱疹病毒性脑炎一例. 新医学, 2021, 52(3):221-225.

[7]
Yokota Y, Hara M, Akimoto T, Mizoguchi T, Goto YI, Nishino I, Kamei S, Nakajima H. Late-onset MELAS syndrome with mtDNA 14453G→A mutation masquerading as an acute encephalitis: a case report. BMC Neurol, 2020, 20(1):247.

DOI PMID

[8]
黄瑜, 马隆佰, 田序伟, 林文彪, 张汉臣. 15例线粒体脑肌病MRI影像学表现. 岭南急诊医学杂志, 2019, 24(4):337-339.

[9]
李晓春. 4例线粒体脑肌病并高乳酸血症与卒中样发作的临床特征分析. 中国卒中杂志, 2018, 13(10):1095-1098.

[10]
Ko A, Lee YM. Magnetic resonance spectroscopy in leigh-MELAS overlap syndrome. World J Pediatr, 2019, 15(3):306-308.

DOI

文章导航

/