研究论著

二甲双胍与美沙拉嗪在小鼠结肠炎中的疗效比较

  • 邓钧 ,
  • 曾丽珊 ,
  • 刘乐 ,
  • 陈烨
展开
  • 510655 广州,中山大学附属第六医院消化内科(邓钧);511400 广州,广州番禺中心医院消化内科(曾丽珊);510080 广州,南方医科大学南方医院消化内科(刘乐,陈烨)
陈烨,E-mail:

Copy editor: 杨江瑜

收稿日期: 2021-03-05

  网络出版日期: 2021-09-10

基金资助

国家自然科学基金(81770529)

版权

版权所有,未经授权,不得转载、摘编本刊文章,不得使用本刊的版式设计。

Comparison of efficacy between metformin and mesalazine in treatment of experimental colitis in mouse models

  • Deng Jun ,
  • Zeng Lishan ,
  • Liu Le ,
  • Chen Ye
Expand
  • Department of Gastroenterology, the Sixth Affiliated Hospital of Sun Yat-sen University, Guangzhou 510655, China
Chen Ye, E-mail:

Received date: 2021-03-05

  Online published: 2021-09-10

Copyright

Copyright reserved © 2021

摘要

目的 探讨二甲双胍与美沙拉嗪在治疗小鼠结肠炎中的疗效差异性。方法 选取6 ~ 8周龄的C57BL/6雄性小鼠32只,随机分为Control组、硫酸葡聚糖(DSS)组、DSS+美沙拉嗪组、DSS+二甲双胍组,每组8只。Control组小鼠自由饮用高压灭菌双蒸水,并每日予0.2 ml 磷酸盐缓冲液(PBS)灌胃。采用3%DSS诱导C57BL/6雄性小鼠结肠炎模型。DSS组小鼠自由饮用3%DSS溶液,每日予0.2 ml PBS灌胃,DSS+美沙拉嗪组、DSS+二甲双胍组自由饮用3%DSS溶液,予100 mg/(kg·d) 的美沙拉嗪或100 mg/(kg·d) 二甲双胍灌胃。评估各组小鼠体质量变化、结肠长度、疾病活动指数、组织病理学改变及肠道炎症因子表达情况。结果 与DSS组相比,DSS+二甲双胍与DSS+美沙拉嗪组均可降低小鼠结肠炎所致的体质量丢失、疾病活动度评分、组织病理学评分及肠道炎症因子表达水平(P均< 0.05),但DSS+二甲双胍组与DSS+美沙拉嗪组上述指标比较差异均无统计学意义(P均> 0.05)。结论 二甲双胍可以减轻DSS诱导的小鼠结肠炎,其疗效不亚于美沙拉嗪。

本文引用格式

邓钧 , 曾丽珊 , 刘乐 , 陈烨 . 二甲双胍与美沙拉嗪在小鼠结肠炎中的疗效比较[J]. 新医学, 2021 , 52(8) : 566 -571 . DOI: 10.3969/j.issn.0253-9802.2021.08.003

Abstract

Objective To compare the efficacy between metformin and mesalazine in the treatment of experimental colitis in mouse models. Methods Thirty-two C57BL/6 male mice aged 6-8 weeks were randomly divided into the control, dextran sulphate sodium (DSS), DSS+mesalazine and DSS+metformin groups, with 8 animals in each group. In the control group, the animals were given ad libitum access to autoclaved double-distilled water and oral gavage of 0.2 ml PBS daily. C57BL/6 male mouse models were induced by 3% DSS. In the DSS group, the mice were given ad libitum access to 3% DSS and oral gavage of 0.2 ml PBS daily. In the DSS+mesalazine and DSS+metformin groups, the animals were given ad libitum access to 3% DSS, and oral gavage of 100 mg/(kg·d) mesalazine or metformin. The body weight, colon length, disease activity index (DAI), histopathological changes and the expression levels of pro-inflammatory cytokines were evaluated in each group. Results Compared with the DSS group, mice treated with DSS+metformin or DSS+mesalazine experienced significantly less body weight loss,lower DAI scores, lower histopathological scores and lower expression levels of pro-inflammatory cytokines(all P < 0.05). No significant difference was noted between the metformin and mesalazine groups(all P > 0.05). Conclusion Metformin can ameliorate DSS-induced experimental colitis in mice, which yields equivalent efficacy to that of mesalazine.

溃疡性结肠炎(UC)一种以腹痛、腹泻和黏液血便为表现的慢性非特异性肠道疾病。UC目前尚无有效治愈药物,临床上常用的治疗药物包括氨基水杨酸制剂、糖皮质激素、免疫抑制剂和生物制剂。UC病程易反复迁延,严重影响患者身心健康和生活质量,同时病情控制需要长期药物维持,给患者造成较大的经济负担[1,2]。因此,寻求一种廉价有效的药物用于UC治疗具有重要意义及经济学价值。肠道屏障功能破坏是UC的特征性改变[3]。我们近期研究发现临床用于2型糖尿病治疗的一线药物二甲双胍能够减轻硫酸葡聚糖(DSS)诱导小鼠UC模型结肠炎的发生,保护肠黏膜上皮屏障功能[4]。这提示二甲双胍具备用于治疗UC的潜能。美沙拉嗪是用于UC治疗的基石药物,已被广泛用于临床。美沙拉嗪需长期使用,因此患者仍需承受较高的医疗支出。目前关于二甲双胍与美沙拉嗪在减缓UC肠道炎症的疗效优异性相关研究尚未有报道。故本研究通过应用二甲双胍或美沙拉嗪治疗UC小鼠模型,对比其减轻肠道炎症的疗效,为二甲双胍用于治疗UC进一步提供理论依据。

材料与方法

一、材料

1.实验动物
6 ~ 8周21 ~ 24 g的C57BL/6雄性小鼠,购于南方医科大学实验动物中心,饲养于南方医科大学SPF级动物中心,以普通颗粒饲料饲养,光照周期为明暗交替12 h,常规适应性饲养7 d。本实验符合动物实验相关伦理规范(L2015059)。
2. 实验试剂与设备
2.1实验试剂
DSS(美国MP公司);二甲双胍和美沙拉嗪(美国Sigma公司)、隐血试剂盒(南京建成生物工程研究所);小鼠IL-6、IL-1β、TNF-α ELISA试剂盒(杭州联科生物技术股份有限公司);戊巴比妥钠(美国Sigma公司);HE试剂(上海碧云天生物技术有限公司);TRIzol试剂、逆转录RT试剂盒、SYBR Premix Ex Taq(日本Takara公司)。
2.2 实验设备
超速低温离心机(美国Thermo-Fiser公司);酶标板(美国Corning公司);包埋盒(海门市康泰实验器材厂);载玻片(江苏世泰实验器材有限公司);切片机、展片机、烤片机(德国Leica公司);超声波破碎仪(美国Sonics公司);实时荧光定量PCR仪(瑞士Roche公司)。

二、实验方法

1. 动物模型构建
按随机分组原则分为4组(Control组、DSS组、DSS+美沙拉嗪组、DSS+二甲双胍组),每组8只。Control组小鼠自由饮用高压灭菌双蒸水,并每日予0.2 ml 磷酸盐缓冲液(PBS) 灌胃。UC模型组(包括DSS组、DSS+美沙拉嗪组、DSS+二甲双胍组)小鼠自由饮用3%DSS溶液,其中DSS组每日予0.2 ml PBS灌胃,DSS+美沙拉嗪组、DSS+二甲双胍组则分别予100 mg/(kg·d)的美沙拉嗪或100 mg/(kg·d) 二甲双胍灌胃。实验开始前各组分别使用PBS或治疗药物提前灌胃1周,达到适应性灌胃和预处理效果。实验开始后每日观察各组小鼠毛发、进食、活动情况,以及体质量、大便情况,重点观察有无稀便、血便,7 d后UC模型组的DSS溶液全部更换为灭菌双蒸水,所有组别小鼠禁食1 d,但不禁水,第8日后全部小鼠予0.1%戊巴比妥腹腔麻醉后经内眦静脉取血,留取血清,断颈处死小鼠。
2. 疾病活动指数(DAI)评分
根据体质量变化情况、大便情况及大便隐血或便血情况对每只小鼠每日的DAI进行综合评价[4]
3. 肠道病变组织病理学评分
按照炎症、病变深度、隐窝破坏情况及病变范围的严重程度进行评分,总评分为各项的合计分值[4]
4. 组织总RNA提取及荧光定量PCR
总RNA提取:①将适量结肠组织用PBS洗涤干净,置于无RNA酶的1.5 ml EP管中剪碎, 加入200 μl TRIzol液,用超声破碎仪将组织匀浆,补足TRIzol液至1 ml,室温静止5 min;②每1 ml TRIzol中加1/5总体积的氯仿(200 μl),用力摇晃约15 s,充分混匀后静置10 min后,然后在4℃下12 000 转/分离心15 min;③离心后可见液体分为3层(上层清液为RNA液),轻轻吸取上层液体至新的1.5 ml EP管(约200 μl),加入等体积异丙醇(200 μl),混匀后静置10 min,4℃ 离心机12 000 转/分离心10 min;④离心后可见EP管底部有少量RNA沉淀,弃去上清,留下沉淀,沿管壁缓慢加入加1 ml现配的75%乙醇溶液(用DEPC水配,4℃预冷),振荡洗涤RNA沉淀1次后,在4℃下离心机12 000 转/分离心5 min;⑤去掉上清,沉淀在空气中干燥5 ~ 10 min。在管中加入适量的DEPC水溶解,采用Nanodrop超微量分光光度计测量RNA浓度与纯度(OD260/OD280,一般在1.8 ~ 2.0认为RNA纯度良好),-80℃保存。
荧光定量PCR:以1 μg RNA为模板,使用TaKaRa逆转录试剂盒PrimeScriptTM RT Master Mix (RR036A),总反应体系为20 μl。逆转录的各温度和时间:37℃→15 min,85℃→5 s,降温至4℃,所得到的逆转录产物。逆转录产物进行实时荧光定量PCR,扩增反应条件:预变性95℃→30 s;扩增95℃→5 s,60℃→30 s,共40个循环,溶解95℃→5 s,60℃→1 min,冷却50℃→30 s。反应结束后扩增特异性可根据溶解曲线单峰判定。扩增效率可根据扩增曲线分析得到相应的CP值,以β-actin作为内参照基因,使用2-△△Ct法计算出目的基因的相对表达。引物序列如下:IL-6(正向5’-TAGTCCTTCCTACCCCAATTTCC-3’,反向5’-TTGGTCCTTAGCCACTCCTTC)、TNF-α(正向5’-CCTGTAGCCCACGTCGTAG-3’,反向5’-G GGAGTAGACAAGGTACAACCC)、IL-1β(正向5’-CTCGTGCTGTCGGACCCAT-3’,反向5’-CAGGCTT GTGCTCTGCTTGTGA-3’)。

三、统计学处理

统计学分析使用SPSS 21.0,数据在符合正态分布且方差齐时用$\bar{x}±s$表示,多组间比较使用单因素方差分析,组间两两比较采用LSD-t检验。α= 0.05。

结果

一、各组小鼠一般情况观察结果

造模7 d后,Control组小鼠毛发光泽良好,活动度正常,体质量保持每日稳定增长,大便成形颗粒状,无便血。DSS组小鼠毛发粗糙,食欲下降,活动减少,出现腹泻,排肉眼血便、烂便,体质量进行性下降等表现。

二、各组小鼠体质量丢失及DAI评分情况

各组小鼠在实验开始前体质量比较差异均无统计学意义,造模开始后第3日起,DSS+二甲双胍组体质量丢失低于DSS组小鼠,差异有统计学意义(P < 0.05)。DSS+美沙拉嗪组在造模第6日时体质量丢失低于DSS组(P < 0.05)。在造模第7日结束,各组体质量比较差异有统计学意义(F = 25.52,P < 0.001),DSS+美沙拉嗪组及DSS+二甲双胍组的体质量丢失情况均低于DSS组小鼠(P均 < 0.05),但DSS+二甲双胍组与DSS+美沙拉嗪组比较差异无统计学意义(P = 0.292),见图1A
图1 二甲双胍与美沙拉嗪对小鼠UC模型的体质量丢失及DAI评分影响的比较

A:各组体质量增减变化;B:各组DAI评分比较;DSS+美沙拉嗪组与DSS组比较,*P < 0.05、 ***P < 0.01;DSS+二甲双胍组与DSS组比较,#P < 0.05、 ##P < 0.01;a为DSS+美沙拉嗪组与Control组比较,P < 0.05;b为DSS+二甲双胍组与Control组比较,P < 0.05;NS为DSS+二甲双胍组与DSS+美沙拉嗪组比较,P > 0.05

随着造模的进行,DSS组小鼠的DAI评分高于DSS+二甲双胍组及DSS+美沙拉嗪组(P均 < 0.01)。造模第7日DAI评分达到最高,各组DAI评分比较差异有统计学意义(F = 127.90,P < 0.001),但DSS+二甲双胍组和DSS+美沙拉嗪组的DAI评分比较差异无统计学意义(P = 0.114),见图1B

三、各组小鼠结肠长度改变

造模结束处理后,各组结肠长度比较差异有统计学意义(F = 62.72,P < 0.001),UC模型组小鼠结肠长度均短于Control组小鼠。其中,DSS组小鼠结肠缩短最明显,DSS+二甲双胍组及DSS+美沙拉嗪组小鼠结肠长度长于DSS组小鼠(P均< 0.05),但DSS+二甲双胍组与DSS+美沙拉嗪组比较差异无统计学意义(P = 0.683),见图2
图2 各组小鼠结肠长度比较

A:各组结肠长度大体图片;B:各组结肠长度比较,**P < 0.01;***P < 0.001,NS为P > 0.05

四、各组小鼠肠道组织病理学评分

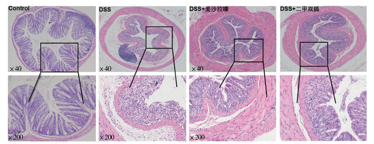
各组小鼠肠道组织病理学评分比较差异有统计学意义(F = 153.70,P < 0.001)。HE染色显示Control组小鼠结肠上皮及隐窝结构完整,无炎性细胞浸润;DSS组小鼠结肠炎可见肠黏膜完整性受到破坏,镜下见多发溃疡,肠道杯状细胞明显减少,肠道隐窝及正常腺体结构消失,可见大量的炎性细胞浸润至黏膜层或黏膜下层;DSS+二甲双胍组及DSS+美沙拉嗪组的镜下病理变化均较DSS组要明显减轻,见图3。肠道组织病理学评分亦提示DSS+二甲双胍组及DSS+美沙拉嗪组小鼠肠道病理评分均低于DSS组(P均< 0.05),但DSS+二甲双胍组与DSS+美沙拉嗪组比较差异无统计学意义(P = 0.554),见图4
图3 各组小鼠结肠组织HE染色
图4 各组小鼠结肠组织病理学评分比较

组间比较,**P < 0.01,***P < 0.001,NS为P > 0.05

五、各组小鼠肠道促炎因子mRNA的表达水平

结肠IL-6、TNF-α和IL-1βmRNA表达水平在组间比较的F值分别为36.86、15.6和99.76,P均 < 0.001。二甲双胍及美沙拉嗪治疗均可以降低DSS诱导小鼠UC模型的肠道促炎因子IL-6、TNF-α和IL-1β的mRNA表达水平(P均< 0.05),但DSS+二甲双胍组与DSS+美沙拉嗪组间比较差异无统计学意义(P > 0.05),见图5
图5 小鼠远端结肠组织炎症因子表达水平

A:IL-6 mRNA表达水平;B:TNF-α mRNA表达水平;C:IL-1β mRNA表达水平;组间比较,*P < 0.05,**P < 0.01,***P < 0.001,NS为P > 0.05

讨论

UC是一种肠道非特异性慢性炎症,炎症主要发生在肠道的黏膜层和黏膜下层,病情反复迁延。UC的发病率和患病率在西欧和北美已经趋于稳定(约占0.3%以上人口),但在亚洲各国家中UC的发病率仍在不断上升[5]。目前UC尚无根治性药物。UC的治疗目标是诱导和维持缓解,从而达到黏膜愈合。美沙拉嗪作为一种广谱的氨基水杨酸制剂,是临床上最常用于UC治疗的口服药物。美国胃肠病学会指南建议口服和(或)局部使用美沙拉嗪作为轻度至中度UC诱导和维持治疗的一线药物[6]。活动期UC患者肠黏膜中白三烯B4和前列腺素E2含量升高,美沙拉嗪可以抑制剂量依赖方式抑制其合成,减缓肠道炎症。由于UC疾病的病程特征,氨基水杨酸制剂等口服药物需要长期使用来诱导和维持疾病缓解,因此需要花费较大医疗费用,增加患者经济负担。
二甲双胍是一种广泛应用的治疗糖尿病的一线药物,其不局限于降糖,还具有抗炎、抗癌、抗衰老、调节肠道菌群等多种功效,可用于多种疾病的预防、治疗或辅助治疗等[7]。二甲双胍已被证实在多种疾病或疾病模型中具有减少炎症因子产生及抑制炎症相关通路的作用。目前关于二甲双胍在结肠炎方面的相关研究甚少。近来有研究提示二甲双胍可以缓解IL-10基因敲除小鼠的肠道炎症,提示了二甲双胍在肠道炎症中具有保护作用[8]。Lee等[9]报道二甲双胍治疗结肠炎小鼠时可以促进调节性T淋巴细胞的分化,下调肠道中促炎性Th17细胞数量,在炎性肠道中达到缓解炎症的功效。二甲双胍通过调节肠道菌群,增加阿克曼菌数量,诱导 Foxp3+调节性T淋巴细胞表达,减轻高脂饮食所致脂肪炎症[10]
我们课题组近期研究发现二甲双胍可以减缓DSS诱导小鼠UC模型的肠道炎性病变,抑制炎症因子IL-6、TNF-α和IL-1β的产生,维护肠上皮屏障功能[4]。这与后期其他研究者的研究结论一致[11,12]。上述研究证实二甲双胍具备减轻小鼠结肠炎的功能。那么,二甲双胍与美沙拉嗪在缓解小鼠肠道炎症的疗效上是否具有差异性?本研究结果提示,二甲双胍与美沙拉嗪在治疗小鼠UC模型结肠炎中均可减轻小鼠体质量丢失、降低DAI评分、减少结肠缩短和缓解炎症对肠道上皮损害,两者差异无统计学意义。同样,二甲双胍与美沙拉嗪均可显著降低小鼠UC模型肠道炎症因子IL-6、TNF-α和IL-1β的表达,2组间炎症因子降低水平差异亦无统计学意义。我们的研究结果显示,二甲双胍在缓解小鼠UC模型肠道炎症的疗效上并不差于美沙拉嗪,另外我们尚未发表的研究数据也提示二甲双胍能够保护肠道黏液屏障功能,而黏液屏障是肠道抵御有害病原体的第1道防线,这些结果直接或间接证实了二甲双胍在减缓结肠炎上具有良好的功效。二甲双胍是一类廉价而安全的药物,已在临床上广泛应用,具备用于治疗UC的潜力。在DAI评分、组织病理学和肠道炎症因子水平上,我们既往研究已对Control组与DSS组进行过统计学比较提示差异有统计学意义[4]。故本研究对以上结果未再进行陈述及标注。
综上所述,二甲双胍在小鼠UC模型中可以有效控制肠道炎症,抑制炎症因子的表达,其疗效与美沙拉嗪相比差异无统计学意义,但尚需临床相关研究数据支持,以便验证其能够作为一种廉价备选药物用于UC治疗。
[1]
Klag T, Mazurak N, Fantasia L, Schwille-Kiuntke J, Kirschniak A, Falch C, Goetz M, Malek NP, Enck P, Wehkamp J. High demand for psychotherapy in patients with inflammatory bowel disease. Inflamm Bowel Dis, 2017, 23(10):1796-1802.

DOI

[2]
Kutschera M, Waldhör T, Gröchenig HP, Haas T, Wenzl H, Steiner P, Koch R, Feichtenschlager T, Eckhardt G, Mayer A, Kirchgatterer A, Ludwiczek O, Platzer R, Papay P, Gartner J, Fuchssteiner H, Peters PG, Reicht G, Moser G, Dejaco C, Vogelsang H, Primas C, Novacek G, Miehsler W; Austrian IBD Study Group. Use of complementary and alternative medicine and low quality of life associate with the need for psychological and psychotherapeutic interventions in inflammatory bowel disease. United European Gastroenterol J, 2021, 9(1):72-81.

DOI

[3]
宋铱航, 钟英强. 炎症性肠病肠上皮细胞修复机制的研究进展. 新医学, 2019, 50(2):80-84.

[4]
Deng J, Zeng L, Lai X, Li J, Liu L, Lin Q, Chen Y. Metformin protects against intestinal barrier dysfunction via AMPKα1-dependent inhibition of JNK signalling activation. J Cell Mol Med, 2018, 22(1):546-557.

DOI PMID

[5]
Ran Z, Wu K, Matsuoka K, Jeen YT, Wei SC, Ahuja V, Chen M, Hu PJ, Andoh A, Kim HJ, Yang SK, Watanabe M, Ng SC, Hibi T, Hilmi IN, Suzuki Y, Han DS, Leung WK, Sollano J, Ooi CJ, Qian J. Asian organization for crohn’s and colitis and asia pacific association of gastroenterology practice recommendations for medical management and monitoring of inflammatory bowel disease in Asia. J Gastroenterol Hepatol, 2021, 36(3):637-645.

DOI

[6]
Ko CW, Singh S, Feuerstein JD, Falck-Ytter C, Falck-Ytter Y, Cross RK; American Gastroenterological Association Institute Clinical Guidelines Committee. AGA clinical practice guidelines on the management of mild-to-moderate ulcerative colitis. Gastroenterology, 2019, 156(3):748-764.

DOI

[7]
张媛媛, 陈红珊, 杜敏联, 李燕虹, 马华梅, 陈秋莉, 张军, 郭松. 短期二甲双胍治疗肥胖儿童非酒精性脂肪性肝病的疗效分析. 中山大学学报(医学版), 2017, 38(3):406-411.

[8]
Koh SJ, Kim JM, Kim IK, Ko SH, Kim JS. Anti-inflammatory mechanism of metformin and its effects in intestinal inflammation and colitis-associated colon cancer. J Gastroenterol Hepatol, 2014, 29(3):502-510.

DOI

[9]
Lee SY, Lee SH, Yang EJ, Kim EK, Kim JK, Shin DY, Cho ML. Metformin ameliorates inflammatory bowel disease by suppression of the STAT3 signaling pathway and regulation of the between Th17/Treg balance. PLoS One, 2015, 10(9):e0135858.

DOI

[10]
Shin NR, Lee JC, Lee HY, Kim MS, Whon TW, Lee MS, Bae JW. An increase in the Akkermansia spp. population induced by metformin treatment improves glucose homeostasis in diet-induced obese mice. Gut, 2014, 63(5):727-735.

DOI

[11]
Samman FS, Elaidy SM, Essawy SS, Hassan MS. New insights on the modulatory roles of metformin or alpha-lipoic acid versus their combination in dextran sulfate sodium-induced chronic colitis in rats. Pharmacol Rep, 2018, 70(3):488-496.

DOI PMID

[12]
Chen L, Wang J, You Q, He S, Meng Q, Gao J, Wu X, Shen Y, Sun Y, Wu X, Xu Q. Activating AMPK to restore tight junction assembly in intestinal epithelium and to attenuate experimental colitis by metformin. Front Pharmacol, 2018, 9:761.

DOI PMID

文章导航

/