综合病例研究

动脉导管未闭封堵术后重度溶血的外科治疗一例

  • 凌霄 ,
  • 万俊 ,
  • 林雪峰 ,
  • 郑少忆 ,
  • 朱鹏
展开
  • 510515 广州,南方医科大学南方医院心血管外科

Copy editor: 洪悦民

收稿日期: 2021-05-05

  网络出版日期: 2021-11-19

版权

版权所有,未经授权,不得转载、摘编本刊文章,不得使用本刊的版式设计。

Surgical treatment of severe hemolysis after transcatheter closure of patent ductus arteriosus: one case report

  • Ling Xiao ,
  • Wan Jun ,
  • Lin Xuefeng ,
  • Zheng Shaoyi ,
  • Zhu Peng
Expand
  • Department of Cardiovascular Surgery, Nanfang Hospital of Southern Medical University, Guangzhou 510515,China

Received date: 2021-05-05

  Online published: 2021-11-19

Copyright

Copyright reserved © 2021

摘要

机械性溶血是介入治疗置入封堵器的严重并发症之一,其主要原因是人体血流与粗糙的封堵器表面发生摩擦导致红细胞破裂,可表现为酱油色样尿,伴血红蛋白降低、黄疸等症状,可予降压、补液、糖皮质激素等保守治疗。保守治疗无效时,需及时再次行封堵术或外科手术治疗。该文报道1例动脉导管未闭封堵术后出现重度溶血的46岁女性患者,经保守治疗无效,予创新性手术方式治疗后,症状好转出院。结合相关文献对病例资料进行分析总结,阐述了先天性心脏病封堵术后的并发症及处理方法。该文介绍的手术方式可缩短手术时间及降低操作复杂程度,希望能为广大同行提供一丝灵感或经验。

本文引用格式

凌霄 , 万俊 , 林雪峰 , 郑少忆 , 朱鹏 . 动脉导管未闭封堵术后重度溶血的外科治疗一例[J]. 新医学, 2021 , 52(10) : 791 -794 . DOI: 10.3969/j.issn.0253-9802.2021.10.014

Abstract

Mechanical hemolysis is one of the serious complications of occluder implantation in interventional therapy, which is mainly caused by the rupture of red blood cells as a result of the severe friction between the red blood cells and the rough surface of the occluder. Patients with mechanical hemolysis exhibit soy sauce-colored urine accompanied by symptoms, such as decreased hemoglobin and jaundice, etc. Mechanical hemolysis can be treated conservative interventions, such as controlled hypotension, fluid replacement and glucocorticoids, etc. When conservative treatment fails, re-occlusion or surgical treatment should be timely performed. In this article, we reported one 46-year-old female patient presenting with severe hemolysis after transcatheter closure of patent ductus arteriosus. Conservative treatment yielded low efficacy, and subsequently innovative surgery was delivered. The patient was recovered and discharged. Combined with relevant literature review, the complications and treatment of congenital heart disease after interventional therapy were illustrated. The procedure introduced in this article significantly shortens the operation time and lowers the surgical complexity, aiming to provide insights or experience for the diagnosis and management of this disease.

动脉导管未闭(PDA)是常见的先天性心脏病,目前经皮介入封堵技术治疗PDA非常成熟,是先天性心脏病介入治疗中成功率最高、疗效最确切的方法。PDA封堵术后出现严重溶血的发生率低(总体发生率< 0.8%)[1]。溶血一旦确诊,经保守药物治疗无效后,应及时再次行封堵术或外科手术治疗。由于PDA封堵术后严重溶血较为罕见,因此其诊断和治疗方案的选择极具挑战性[2]。本文介绍了1种取出PDA封堵器的独创性外科手术方式,并总结了先天性心脏病介入治疗后的相关并发症及治疗方式。

病例资料

一、主诉、病史及体格检查

患者女,46岁。因出现黄疸、酱油色样尿2周于2019年5月16日入院。入院前2周患者因PDA(窗型)于外院行经皮PDA封堵术,术后当晚即出现酱油色样尿(图1A),考虑诊断为封堵术后机械性溶血,予对症治疗(具体治疗方案不详)后,酱油色样尿未见明显好转,遂转至我院。患者既往史及家族史等均无特殊。
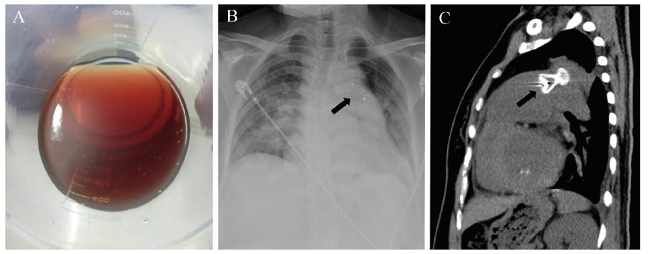
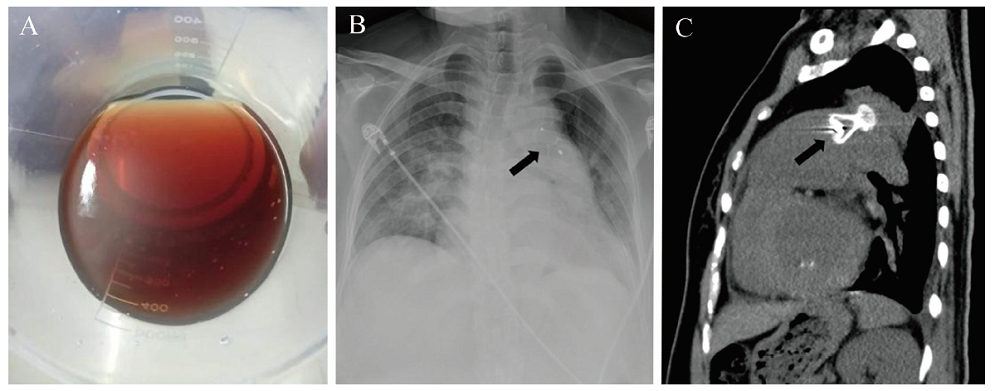
图1 一例PDA封堵术后重度溶血患者相关检查图

注:A为PDA封堵术后持续存在的血红蛋白尿;B为术前胸部X线正位片,箭头所示为PDA封堵器;C为术前CT检查提示动脉导管内见高密度金属影,最窄处直径8.75 mm,箭头所示为PDA封堵器。

体格检查:体温 36.7℃,脉搏101次/分,呼吸 22次/分,血压186/110 mm Hg (1 mm Hg = 0.133 kPa)。颜面部浮肿并黄染,心界向左下扩大,心律整齐,胸骨左缘第二肋间可闻及收缩期Ⅲ/ 6级吹风样杂音,双下肢凹陷性水肿,其余心、肺等查体未见明显异常。

二、实验室及辅助检查

血常规:血红蛋白55 g/L,红细胞1.74×1012/L,白细胞17.91×109/L,中性粒细胞14.99×109/L,血小板计数48×109/L。肝功能:总胆红素31.5 μmol/L,间接胆红素23.8 μmol/L。尿常规:潜血(+++),尿红细胞114.4个/μL,尿蛋白(+)。经胸超声心动图:PDA封堵术后,封堵伞周边可见7 mm残余回声失落,二尖瓣中度关闭不全。胸部X线正位片、CT平扫:主动脉弓与肺动脉干之间见高密度金属影,PDA封堵术后改变(图1B、C)。

三、初步诊断及诊疗经过

入院诊断:①PDA(封堵术后残余分流);②二尖瓣关闭不全;③贫血;④高血压3级。患者入院后予硝苯地平控释片(30 mg/d、口服)、重组人血小板生成素注射液(1.5 万U、静脉注射)、A型机采血小板(1个治疗剂量、静脉滴注)、地塞米松磷酸钠注射液(5 mg、静脉注射)。经治疗后患者尿液逐渐转为淡黄色,但尿常规仍提示潜血(+++),血红蛋白持续性下降。考虑药物保守治疗效果不佳,遂安排封堵器取出术。详细询问病史得知,患者经皮PDA封堵术植入为“上海形状记忆合金公司”24 mm PDA封堵伞1枚,故拟本次封堵器取出术采用12号封堵器钢缆回收封堵器,患者对手术知情同意并签署知情同意书。
手术采用全身麻醉和气管插管,正中开胸,常规建立体外循环。术中见肺动脉增粗,肺动脉分叉近左肺动脉处可触及震颤及封堵器,阻断升主动脉,体温降至32℃后,纵行切开肺动脉,减少体外循环流量,加大左心吸引,暴露封堵器肺动脉面。尝试采用12号封堵器钢缆回收封堵器时无法准确衔接封堵伞,遂加用3-0 prolene线于封堵伞中央横跨封堵器中轴1针,协助回收封堵伞。停体外循环后左手迅速回拉封堵伞,右手向前推送输送鞘,顺利将封堵伞全部回撤入12号输送鞘内。再将16号尿管经动脉导管送至降主动脉,用20 ml生理盐水充盈尿管球囊后,回撤封堵动脉导管,恢复主动脉供血流量。采用与动脉导管肺动脉面开口面积大小相仿的心包补片,用5-0 prolene线间断缝闭动脉导管肺动脉面。同期行二尖瓣成形术,植入30号medtronic future Ⅱ成形环1枚。体外循环停机顺利,予鱼精蛋白中和肝素后,测量肺动脉压46/23 mm Hg(桡动脉压 110/65 mm Hg)。
术后患者血红蛋白和间接胆红素逐渐恢复正常。出院前复查UCG:动脉导管处未见残余分流,二尖瓣未见反流,左心功能正常。随访至2021年8月5日,患者一般情况良好,心功能Ⅰ级,无贫血、黄疸和血红蛋白尿等情况,复查UCG:动脉导管未见残余分流,左心功能正常。

讨论

动脉导管是胎儿时期连接降主动脉和肺动脉的正常血流通道,75%的婴儿在出生后3个月内闭合,如出生1年后仍持续不闭合,即为PDA[3]。早产儿、低体质量儿常发生不同程度的动脉导管闭合延迟,甚至PDA。PDA是常见先天性心血管畸形之一,其发病率约占先天性心脏病的10% ~ 21%,女性发病率约为男性的2倍[4]。目前经皮介入封堵术治疗PDA已经相当成熟,具有疗效好、创伤小、并发症少和恢复快等特点,是先天性心脏病中介入治疗成功率最高、疗效最确切的方法,已经成为治疗PDA的首选方案[5]
目前先天性心脏病介入治疗的常见并发症有:①心包压塞,心包压塞主要由于介入治疗操作者经验欠缺所致,在推送导丝于左心房时盲目用力,穿破左心耳,导致心包填塞。出现心包压塞时患者可表现为血压低、心音遥远,术中食管超声对诊断心包压塞具有重要价值[6]。破口较小时予快速补液维持血压+鱼精蛋白中和肝素,患者大多能自愈。破口较大时,可予心包穿刺减轻心包压塞程度,必要时应果断行开胸手术治疗[7]。②心律失常,一过性的快速室性心律失常几乎发生在所有先天性心脏病介入治疗患者,这与介入导丝刺激心肌有关,一旦操作停止心律失常也会逐渐终止。而介入导管反复刺激或封堵器压迫导致的房室结、房室束损伤,将引发传导阻滞。提高介入治疗的操作技巧、谨慎选用过大的封堵器、及时发现传导阻滞并使用糖皮质激素等措施可降低传导阻滞的发生率[8]。③封堵器移位或脱落,封堵器移位或脱落是由选择过小尺寸的封堵器或操作技术欠佳所致。选择合适尺寸的封堵器、推送封堵器过程避免旋转输送钢缆、释放封堵器后反复推拉以明确其位置及形状正常均可降低封堵器移位或脱落的发生率[9]。一旦发生封堵器脱落、移位,可采用介入治疗使用异物钳取出或行外科手术取出。④残余分流与溶血,PDA封堵术后的残余分流大多在3个月内可自行闭合,而残余分流量较大者往往无法自行闭合。封堵器置入后患者出现机械性溶血,目前认为与残余分流有关,发生率0 ~ 3.5%,常发生于术后24 h内[10]。残余分流量较大时,主动脉的高速血流冲刷粗糙的封堵器表面,致使红细胞破裂导致机械性溶血。患者可出现酱油色样或洗肉水样的血红蛋白尿,伴血红蛋白降低、血小板减少和黄疸等症状,应及时予以止血、控制血压、补液、糖皮质激素、碳酸氢钠等治疗。残余分流量较大且行再次封堵术失败者,应行外科手术治疗。⑤瓣膜关闭不全,主动脉瓣或三尖瓣关闭不全可继发于输送鞘管建立动静脉轨道或封堵器移位时,由于瓣膜或腱索损伤而引起相应瓣膜关闭不全。⑥其他,包括出血、血栓和假性动脉瘤等血管并发症;封堵器过多突入左肺动脉或降主动脉导致的主动脉狭窄;封堵成功后心肌收缩力增强、循环血量增加导致的一过性高血压;感染性心内膜炎等并发症[11]
本例患者诊断为PDA(窗型),外院超声示动脉导管直径为10 mm,采用24号封堵器,封堵术后当日即出现严重溶血。入我院后虽积极予药物治疗,但其血红蛋白尿、贫血和黄疸等无明显好转。CT检查结果示封堵器腰部扩张不全,且患者病变类型为窗型,所以封堵器未能完全阻断动脉导管血流,导致残余分流量较大、封堵器过多突入主动脉腔内。考虑此类封堵器外覆镍钛合金金属网,高速的主动脉血流通过封堵器金属网眼及边缘时,红细胞与镍钛合金网发生剧烈摩擦,可能是本例发生机械性溶血的原因。
对于PDA封堵术后出现严重溶血且保守治疗无效者,应尽快行外科手术,此时单纯保守治疗只会延误病情[12]。既往国内外报道对于此类手术,多采用长时间深低温停循环+切除动脉导管的手术方式。此方式手术时间长,操作过程复杂,术中、术后并发症多,尤其是对患者神经系统损害较大[13]。为此,在征得患者的同意并签署知情同意书后,我科针对其特点尝试使用创新性手术方式,因其封堵术后时间较短,封堵器表面内膜化不完全,故采用我科独创的经肺动脉切口、使用大小合适的钢缆回收封堵器,本例实践证明该方法可行。虽然术中回收封堵器时,钢缆与封堵器无法完全准确对合等问题仍需进一步探讨解决,但此创新手术方式无需切除动脉导管,无需深低温,且停循环时间仅2 min,可将对机体的损伤程度降至最低,可为广大同行提供经验。后续将会进行更大样本量的研究以深入探讨该术式的疗效。
[1]
Backes C H, Rivera B K, Bridge J A, Armstrong A K, Boe B A, Berman D P, Fick T, Holzer R J, Hijazi Z M, Abadir S, Justino H, Bergersen L, Smith C V, Kirpalani H. Percutaneous patent ductus arteriosus (pda) closure during infancy: a meta-analysis. Pediatrics, 2017, 139(2):e20162927.

DOI

[2]
Godart F, Houeijeh A, Domanski O, Guillaume M P, Brard M, Lucron H. Is the new Occlutech duct occluder an appropriate device for transcatheter closure of patent ductus arteriosus? Int J Cardiol, 2018, 261:54-57.

DOI

[3]
State of the art-Patent ductus arteriosus. Congenit Heart Dis, 2018, 13(5):645.

DOI

[4]
Bischoff A R, Jasani B, Sathanandam S K, Backes C, Weisz D E, McNamara P J. Percutaneous closure of patent ductus arteriosus in infants 1.5 kg or less: a meta-analysis. J Pediatr, 2021, 230:84-92.

DOI

[5]
Stout K K, Daniels C J, Aboulhosn J A, Bozkurt B, Broberg C S, Colman J M, Crumb S R, Dearani J A, Fuller S, Gurvitz M, Khairy P, Landzberg M J, Saidi A, Valente A M, Van Hare G F. 2018 AHA/ACC Guideline for the management of adults with congenital heart disease: a report of the American College of Cardiology/American Heart Association Task Force on Clinical Practice Guidelines. Circulation, 2019, 139(14):e698-e800.

[6]
张文泉, 王咏梅, 李贵双. 先天性心脏病介入治疗的常见并发症分析. 新医学, 2011, 42(1):1-5.

[7]
Imazio M, De Ferrari G M. Cardiac tamponade: an educational review. Eur Heart J Acute Cardiovasc Care. 2020 Jul 6:2048872620939341. doi: 10.1177/2048872620939341.

DOI

[8]
Cen H, Peng B, Li J, Chen S, Sun P. Efficacy and safety of the Amplatzer Duct Occluder Ⅱ for ventricular septal defect closure: a meta-analysis. Kardiol Pol, 2021, 79(4):401-409.

DOI

[9]
Jang G Y, Son C S, Lee J W, Lee J Y, Kim S J. Complications after transcatheter closure of patent ductus arteriosus. J Korean Med Sci, 2007, 22(3):484-490.

DOI

[10]
Sultan M, Ullah M, Sadiq N, Akhtar K, Akbar H. Transcatheter device closure of patent ductus arteriosus. J Coll Physicians Surg Pak, 2014, 24(10):710-713.

[11]
Fortescue E B, Lock J E, Galvin T, McElhinney D B. To close or not to close: the very small patent ductus arteriosus. Congenit Heart Dis, 2010, 5(4):354-365.

DOI

[12]
Pan X B, Ouyang W B, Wang S Z, Liu Y, Zhang D W, Zhang F W, Pang K J, Zhang Z, Hu S S. Transthoracic echocardiography-guided percutaneous patent ductus arteriosus occlusion: a new strategy for interventional treatment. Echocardiography, 2016, 33(7):1040-1045.

DOI

[13]
Cao H, Chen Q, Zhang G C, Chen L W, Xu F, Zhang J X. Clinical study of stand-alone transthoracic echocardiography-guided percutaneous occlusion of patent ductus arteriosus. Anatol J Cardiol, 2018, 20(1):30-34.

文章导航

/