综合病例研究

血透患者右无名静脉损伤后超长时活动性出血一例

  • 陈汝满 ,
  • 白亚飞 ,
  • 李洪
展开
  • 570311 海口,海南省人民医院海南医学院附属海南医院
李洪,E-mail:

Copy editor: 杨江瑜

收稿日期: 2021-06-05

  网络出版日期: 2021-11-19

版权

版权所有,未经授权,不得转载、摘编本刊文章,不得使用本刊的版式设计。

Prolonged active hemorrhage after right innominate vein injury patient with hemodialysis: a case report

  • Chen Ruman ,
  • Bai Yafei ,
  • Li Hong
Expand
  • Department of Blood Purification, Hainan General Hospital(Hainan Affiliated Hospital of Hainan Medical University), Haikou 570311, China
Li Hong, E-mail:

Received date: 2021-06-05

  Online published: 2021-11-19

Copyright

Copyright reserved © 2021

摘要

血液透析中心静脉导管插管导致静脉损伤继发局部血肿是常见并发症,但围插管期无症状、插管后数月出现气管压迫、危及生命的活动性出血少见。该文报道一例45岁男性患者,因右侧颈内静脉置管后4个月出现右侧无名静脉严重活动性出血、纵隔血肿压迫气管,经过控制血压、减少容量负荷、关闭同侧内瘘后出血停止、最后血肿吸收。该例提示应重视深静脉置管穿刺损伤引发纵隔血肿的可能性,尤其在穿刺不顺利时应当立即行胸片、CT或超声检查,以减少漏诊和误诊。

本文引用格式

陈汝满 , 白亚飞 , 李洪 . 血透患者右无名静脉损伤后超长时活动性出血一例[J]. 新医学, 2021 , 52(10) : 800 -803 . DOI: 10.3969/j.issn.0253-9802.2021.10.016

Abstract

Local hematoma is a common complication secondary to central venous catheter intubation during hemodialysis. However, it is rare to have asymptomatic peri-intubation, tracheal compression and life-threatening active bleeding occur at several months after catheterization.This paper reports a 45-year-old male patient with severe active bleeding of right innominate vein and mediastinal hematoma compressing trachea 4 months after right internal jugular vein catheterization. After controlling blood pressure, reducing volume load, closing ipsilateral autogenous arteriovenous fistula, bleeding stopped and hematoma absorbed finally.This case suggests that extensive attention should be paid to the possibility of mediastinal hematoma caused by deep vein catheterization injury. Especially if the puncture is not successful, chest X-ray, CT scan or ultrasound examination should be performed immediately to reduce the risk of missing diagnosis and misdiagnosis.

维持性血液透析(MHD)患者,在动静脉内瘘(AVF)成熟过渡期、肾移植前过渡期或因自身血管原因、心功能差、生命有限等而使用透析导管作为MHD血管通路。静脉置管导致静脉损伤继发局部血肿是常见并发症。但围插管期无症状、插管后数月出现气管压迫、危及生命的活动性出血少见。我院收治1例右无名静脉穿刺置管损伤后超长时活动性出血罕见病例,现报道如下。

病例资料

一、主诉和现病史

患者男,45岁。因呕吐、乏力、气促2个月于2019年1月31日入院,诊断为“慢性肾炎、慢性肾脏病5期、肺部感染、慢性心功能不全”,需有隧道涤纶套导管(TCC)为过渡性通路行血液透析[1,2]。在超声引导下穿刺右侧颈内静脉,术中患者称右胸痛而停止手术,未置入导管,观察手术局部和全身均无肿胀、渗血等异常,1周后再次在超声引导下穿刺,顺利置入1条美敦力palindrome 36 cm导管,术后次日胸片显示沿右侧颈内静脉入口穿刺点到第4肋纵隔内4 cm×5 cm血肿,导管尖端位于右心房中部(图1A),导管行程流畅,颈部无红、肿、痛及气管偏移等症状,未重视和追踪;患者因导管透析3个月导管功能良好、全身状态及心肺功能改善,拟建立AVF。因左前臂中段头静脉塌陷,并呈网状分布,考虑后期内瘘成熟困难,予建立右腕部R-C AVF。术后1个月余右上肢浅表静脉曲张并逐渐出现肿胀,伴间断胸痛、胸闷、气促,疑TCC导致内瘘流出道狭窄,拔除TCC启用AVF行血液透析,上述症状暂时缓解,20余日后因“气促及右上胸痛加重、伴右上臂轻度肿胀”步行入院。
图1 一例血透患者右无名静脉损伤后超长时活动性出血的胸片、DSA及CT图

注:A为2019年2月8日(胸片置管次日)可见纵隔血肿(箭头所示);B为2019年6月15日CT纵隔血肿(箭头所示) 66 mm×60 mm,气管左偏;C为2019年6月15日DSA造影见右侧无名静脉约2 mm直径小孔活动性出血(箭头所示),颈部浅表静脉怒张;D为2020年3月25日CT见纵隔包块(箭头所示)吸收、钙化,右侧无名静脉闭塞。

二、体格检查

体温36.5℃,血压155/98 mm Hg(1 mm Hg = 0.133 kPa),脉搏72次/分,呼吸18次/分,右侧颈部丰满、气管左偏,右上胸体表静脉曲张。双肺呼吸音清,未闻及干湿性啰音,心律齐,各瓣膜区未闻及病理性杂音,腹软,全腹无压痛、反跳痛,移动性浊音阴性。右上臂肿胀、动静脉内瘘全程静脉曲张。

三、辅助检查

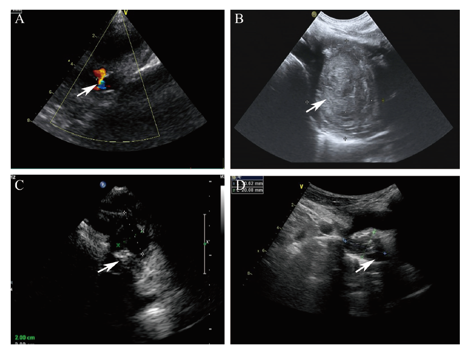
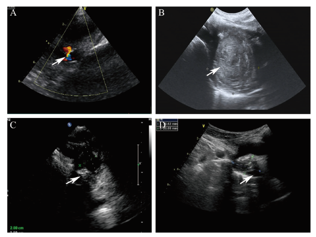
CT显示右上纵隔血肿,气管左偏(图1B),数字减影血管造影(DSA)造影发现右侧无名静脉侧壁有2 mm左右小孔活动性出血,颈部浅表静脉怒张(图1C),彩色多普勒超声(彩超)也显示类似结果(图2A)。
图2 一例血透患者右无名静脉损伤后超长时活动性出血的彩超图

注:A为2019年6月24日,无名静脉2 mm穿孔、活动性出血(箭头所示),持续1个月余;B为2019年9月5日,右侧无名静脉旁血肿(箭头所示)直径55 mm×47 mm,无活动性出血;C为2020年3月21日,右无名静脉旁血肿(箭头所示)30 mm×28 mm,钙化;D为2020年8月5日,右无名静脉旁血肿(箭头所示)30 mm×20 mm, 钙化。

四、诊断和治疗

诊断:慢性肾脏病5期;右无名静脉针刺伤伴活动性出血;纵隔血肿。患者因经济困难不同意置入覆膜支架止血治疗;为减轻动静脉内瘘建立后左向右分流对中心静脉产生的压力、减少出血,急诊行“右腕部动静脉内瘘结扎术”,以右侧股静脉TCC行无肝素血液透析,血压控制在正常范围,减少容量负荷,严密观察相关症状、体征,反复复查胸部增强CT和颈部血管超声1月余,患者症状无加重、胸部CT血肿无增大、颈部血管超声活动性出血停止(图2B)后转门诊;依然不定期检查胸部CT和血管超声,右纵隔血肿缓慢吸收变小,患者日常生活等无影响。13个月后彩超(图2C)及增强CT检查(图1D),右无名静脉闭合,纵隔血肿减小到2.9 cm×2.8 cm并部分钙化,予左腕部建立R-C AVF并顺利成熟使用。18个月后再次彩超示血肿进一步缩小、钙化(图2D)。

讨论

血液透析患者心肺功能差、肺部严重感染又急需透析时,常常需要TCC过渡,待心肺功能允许时再建立AVF。
透析静脉置管并发症分为急性和延迟性相关并发症,又可细分为感染性、血栓性和机械性并发症,而机械性并发症中纵隔大血肿比较罕见[3]。置管时注射麻醉药和穿刺血管时穿刺针在同一中心静脉上可以多次反复出入而遗留小孔、渗血,穿刺针成角斜行进入静脉时可以划破血管留下比穿刺针本身直径大的破孔,尤其是操作者超声引导仅仅在平面内而不能保证平面外实时引导时,但通常在局部按压后不再继续发展。如患者损伤点在不可压迫的胸部中心静脉,加上高血压、容量负荷过高、透析肝素使用,可延长出血时间;同侧内瘘建立后,动静脉之间的左向右分流、动脉内压力立刻传输到流出道静脉,也可导致出血时间延长、出血量加重。本例患者损伤点在右无名静脉,TCC手术后4个月才发现颈部活动性出血、进行性增大的纵隔血肿更为少见。
导管相关感染性、血栓性并发症报道较多且有相关的操作规范及建议,但机械性并发症报告较少且无相关操作规范[4]。活动性出血、巨大的纵隔血肿出现后正确的治疗应该置入腹膜支架止血并保存右侧无名静脉[5]。该患者因经济困难拒绝接受腔内止血治疗,但在医护人员严密监控和随访下,长期进行无肝素透析、控制血容量和血压,由于血管破口小而且在静脉壁,相邻纵隔组织有张力、局部血肿压迫作用,最终患者出血停止、病灶钙化,实为侥幸。若血肿进行性增大,压迫气管引起呼吸困难,应先行高级生命支持,维持患者呼吸循环稳定,尽早介入治疗或胸腔镜或外科开放手术修补血管破口,清除血肿;若手术风险极高,可暂缓,动态监测血红蛋白及凝血功能等指标,期间无肝素透析治疗,待血肿机化、水分吸收,解除压迫症状,但也有报道血肿机化纤维化后遗留气管永久性狭窄,形成脓肿导致反复高热、感染难以控制、并发呼吸机依赖、脱机困难和增加医疗费用等新的问题[6]
笔者体会:①血液透析导管置入手术尽量在超声实时定位而不是半定位下穿刺、DSA直视下进行导管置入操作以减少误判、误穿或者导丝走形异常导致的不良后果;②术前正常的凝血功能、血小板计数以及良好的血压控制也是防止血肿形成及进一步增大的重要预防措施;③穿刺针刺伤胸部深静脉不可压迫部位形成血肿机会大,尤其是新手斜角进针;④该患者第1次置管胸痛剧烈,当时应该检查胸片、CT或超声以明确原因;⑤置入导管后发现血肿应该持续关注直至安全,而不是盲目认为静脉出血导致的血肿都会自行“吸收”;⑥患者右侧上肢肿胀、胸痛时应强力推荐患者依从做相关检查而不是将就患者简单拔管;⑦TCC置入后如非必须,避免同侧建立AVF。
[1]
Lok C E, Huber T S, Lee T, Shenoy S, Yevzlin A S, Abreo K, Allon M, Asif A, Astor B C, Glickman M H, Graham J, Moist L M, Rajan D K, Roberts C, Vachharajani T J, Valentini R P; National Kidney Foundation. KDOQI clinical practice guideline for vascular access: 2019 update. Am J Kidney Dis, 2020, 75(4 Suppl 2):S1-S164.

[2]
中国医院协会血液净化中心分会血管通路工作组. 中国血液透析用血管通路专家共识(第2版). 中国血液净化, 2019, 18(6):365-381.

[3]
Björkander M, Bentzer P, Schött U, Broman M E, Kander T. Mechanical complications of central venous catheter insertions: a retrospective multicenter study of incidence and risks. Acta Anaesthesiol Scand, 2019, 63(1):61-68.

DOI PMID

[4]
Iordanou S, Middleton N, Papathanassoglou E, Palazis L, Raftopoulos V. Should the CDC’s recommendations for promptly removing unnecessary centrally inserted central catheters be enhanced? Ultrasound-guided peripheral venous cannulation to fully comply. J Vasc Access, 2020, 21(1):86-91.

DOI PMID

[5]
陈宇, 刘昌伟, 郑月宏, 李拥军, 邵江, 刘暴. 锁骨下动脉瘤的腔内治疗. 中国微创外科杂志, 2015, 15(5):444-447.

[6]
Sarach J, Zschokke I, Melcher G A. A life-threatening mediastinal hematoma after central venous port system implantation. Am J Case Rep, 2015, 16:904-907.

DOI

文章导航

/