研究论著

分泌型Klotho蛋白抑制肾间质纤维化的机制研究

  • 孟凡航 ,
  • 陈秋源 ,
  • 顾世杰 ,
  • 崔瑞文 ,
  • 曹荣华
展开
  • 510006 广州,广州中医药大学第二附属医院器官移植科
孟凡航,E-mail:

Copy editor: 林燕薇

收稿日期: 2021-03-23

  网络出版日期: 2021-12-13

基金资助

广东省医学科学技术研究基金(A2019254)

版权

版权所有,未经授权,不得转载、摘编本刊文章,不得使用本刊的版式设计。

Soluble Klotho attenuates unilateral ureteral obstruction-induced renal fibrosis in mouse models

  • Meng Fanhang ,
  • Chen Qiuyuan ,
  • Gu Shijie ,
  • Cui Ruiwen ,
  • Cao Ronghua
Expand
  • Department of Organ Transplantation, the Second Affiliated Hospital of Guangzhou University of Traditional Chinese Medicine, Guangzhou 510006, China
Meng Fanhang, E-mail:

Received date: 2021-03-23

  Online published: 2021-12-13

Copyright

Copyright reserved © 2021

摘要

目的 研究分泌型Klotho蛋白抑制肾间质纤维化的机制,为治疗慢性肾脏病提供理论基础和新思路。方法 通过单侧输尿管梗阻(UUO)诱导C57BL/6小鼠肾纤维化,并分5组处理:假手术[Sham+磷酸盐缓冲液(PBS)]组、模型(UUO+PBS)组、UUO+Klotho组、UUO+Klotho+胰岛素组、UUO+Klotho+胰岛素样生长因子-1(IGF-1)组。检测小鼠左肾组织活性氧水平,并用HE及Masson染色评估肾脏病理改变及纤维化程度。实时荧光定量PCR、蛋白免疫印迹法以及免疫荧光化学检测肾组织中超氧化物歧化酶2 (SOD2)、纤连蛋白和α-平滑肌肌动蛋白(α-SMA)表达水平,此外用蛋白免疫印迹法检测磷酸化蛋白激酶B(p-AKT)、AKT、磷酸化磷脂酰肌醇(-3)激酶(p-PI3K)、PI3K、胰岛素受体底物-1(IRS-1)蛋白表达水平。结果 成功建立了UUO小鼠模型。与UUO+PBS组比较,UUO+Klotho组小鼠肾组织的纤维化缓解(P <0.001),且肾纤维化标志物纤连蛋白和α-SMA mRNA及蛋白的表达降低(P均 < 0.001),保护因子SOD2 mRNA及蛋白表达升高(P均 < 0.001)。胰岛素及IGF-1可激活肾组织IRS-1/PI3K/AKT通路并破坏Klotho对肾脏的保护作用(P均 < 0.001)。结论 Klotho通过抑制胰岛素下游IRS-1/PI3K/AKT信号通路从而缓解肾脏的纤维化。

本文引用格式

孟凡航 , 陈秋源 , 顾世杰 , 崔瑞文 , 曹荣华 . 分泌型Klotho蛋白抑制肾间质纤维化的机制研究[J]. 新医学, 2021 , 52(11) : 827 -834 . DOI: 10.3969/j.issn.0253-9802.2021.11.004

Abstract

Objective To investigate the mechanism of soluble Klotho in inhibiting renal interstitial fibrosis, and provide theoretical evidence and novel ideas for the treatment of chronic kidney disease. Methods C57BL/6 mouse models with renal fibrosis were established by unilateral ureteral obstruction (UUO) and divided into five groups: Sham+PBS, UUO+PBS, UUO+Klotho, UUO+Klotho+insulin, and UUO+Klotho+insulin-like growth factor (IGF)-1 groups. The reactive oxygen species (ROS) level in the left kidney was detected. The renal pathological changes and fibrosis were assessed by HE and Masson staining. The expression levels of superoxide dismutase 2 (SOD2), fibronectin and α-smooth muscle actin (α-SMA) in the renal tissues were measured by qRT-PCR, Western blot and immunofluorescence assay, respectively. In addition, the expression levels of p-AKT, AKT, p-PI3K, PI3K and IRS proteins were also assessed by Western blot. Results The UUO mouse models were successfully established. Compared with the UUO+PBS group, the renal fibrosis was significantly alleviated, the expression levels of fibronectin and α-SMA mRNA and proteins were significantly down-regulated (all P < 0.001), whereas those of SOD2 mRNA and protein were considerably up-regulated (both P < 0.001) in the UUO+Klotho group. Insulin and IGF-1 treatment activated the IRS-1/PI3K/AKT signaling pathway in the renal tissues and impaired the protective role of Klotho upon the UUO-induced renal fibrosis (both P < 0.001). Conclusion Klotho can alleviate renal fibrosis by inhibiting the IRS-1/PI3K/AKT signaling pathway in the UUO-induced mouse models.

肾间质纤维化是各种慢性肾脏病(CKD)发展到终末尿毒症期的共同途径[1]。它以过量细胞外基质(ECM)在肾间质积聚及肾间质成纤维细胞增生为特征[2]。因此,抑制成纤维细胞增生、分化以及肾小管上皮细胞重塑是治疗CKD的重要途径[3]。肾小管上皮细胞表达的分泌型Klotho是一种激素样物质,可以进入血液循环作为体液因子调节靶细胞功能[4]。有研究表明,敲除Klotho小鼠的肾脏出现明显的间质纤维化[5]。Satoh等(2012年)报道Klotho可以保护肾脏功能,延缓肾脏衰老。但在CKD中,其作用机制还需要进一步探明[6]。有报道胰岛素/胰岛素样生长因子-1(IGF-1)信号通路参与CKD进展[7,8]。Bartke等(2006年)明确Klotho可通过抑制胰岛素/IGF-1信号通路增强抗氧化应激能力,发挥抗衰老特性。Klotho能否通过抑制胰岛素/IGF-1信号通路减轻CKD尚需进一步研究。本研究旨在阐明这一机制,为肾纤维化的发病机制和治疗靶点提供新的理论。

对象与方法

一、试剂及仪器

1. 主要试剂
包括:重组小鼠Klotho(aa 35-982)蛋白(纯度 > 90%)和重组小鼠IGF-1蛋白(纯度 > 97%),购自美国R&D公司;胰岛素,购自江苏万邦生化医药集团有限责任公司。组织活性氧(ROS)检测试剂盒购自百奥莱博公司;HE染色试剂盒购自武汉谷歌生物科技有限公司;Masson染色试剂盒购自北京索莱宝科技有限公司;抗体蛋白激酶B(AKT)、磷脂酰肌醇(-3)激酶(PI3K)、胰岛素受体底物-1(IRS-1)、磷酸化AKT(p-AKT)均购自美国CST公司;α-平滑肌肌动蛋白(α-SMA)抗体购自博士德生物工程有限公司;纤连蛋白(Fibronectin)抗体购自美国Sigma公司;p-PI3K抗体购自美国Bioworld公司;超氧化物歧化酶2(SOD2)抗体购自美国Abcam公司;GAPDH抗体购自美国Proteintech公司;RNA提取试剂TRIzol购自荷兰MRC公司; M-MLV Reverse Transcriptase逆转录试剂盒购自美国Promega公司;高灵敏性染料法荧光实时定量PCR(qRT-PCR) 检测试剂盒购自南京诺唯赞生物科技股份有限公司;RIPA裂解液、蛋白酶磷酸酶抑制剂、BCA蛋白浓度测定试剂盒、BeyoECL Plus (超敏ECL化学发光试剂盒)、DAPI均购自上海碧云天生物技术有限公司;蛋白免疫印迹法二抗辣根过氧化物酶标记的兔抗山羊IgG (H+L)及辣根过氧化物酶HRP标记亲和纯化山羊抗小鼠(H+L)均购自美国Jackson公司;免疫荧光二抗Alexa Fluor 488标记山羊抗小鼠IgG(H+L)购自美国Invitrogen公司。
2. 主要仪器
包括:HemaTGL-16R冷冻高速离心机,ABI StepOne Plus Real-time Quantitative PCR仪,Diatek DR-200Bs酶标仪,Tanon EPS-300蛋白电泳仪、VE-180蛋白电泳槽、VE-186转移电泳槽,其林贝尔TS-2000A脱色摇床。

二、动物造模及取材

25只8周龄的雄性C57BL/6小鼠购自北京维通利华实验动物技术有限公司,实验前于无特定病原体(SPF)级环境中适应性饲养1周。参照王利华等(2007年)与Kurosu等(2008年)的方法进行单侧输尿管梗阻(UUO)小鼠造模及相应的处理。小鼠随机分为5组,每组各5只:假手术[Sham+磷酸盐缓冲液(PBS)]组、模型(UUO+PBS)组、UUO+Klotho组、UUO+Klotho+胰岛素组、UUO+Klotho+IGF-1组。本研究的动物实验在广州永诺医学实验动物中心进行,并取得该中心动物伦理委员会的批准 (批件号IACUC-G16038)。
UUO+PBS组小鼠用1%戊巴比妥钠(60 mg/kg)腹腔注射麻醉后,右侧卧位固定、靠近背部切1.5 cm左右切口,逐层切开皮肤、肌肉及腹壁各层以暴露左侧输尿管,并用用眼科弯镊托起左侧输尿管中段部位并固定,在左侧输尿管的两端用丝线结扎2次,于近肾盂段处剪断,最后将输尿管送回腹腔,止血后关腹,待小鼠苏醒后,腹腔注射200 μL PBS,此后每隔48 h注射1次,持续2周。Sham+PBS组小鼠仅进行麻醉、腹部切口和游离左侧输尿管,不进行输尿管的结扎和剪断,手术后与模型组在同一时间予腹腔注射PBS。UUO+Klotho组小鼠在UUO手术造模后,在同一时间点腹腔注射0.01 mg/kg的Klotho。UUO+Klotho+胰岛素组小鼠在UUO手术造模后,在同一时间点腹腔注射0.01 mg/kg的Klotho与0.5 U /kg的胰岛素。UUO+Klotho+IGF-1组小鼠在UUO手术造模后,在同一时间点腹腔注射0.01 mg/kg的Klotho外,每日于同一时间点腹腔注射1083 ng/kg的IGF-1。2周后处死小鼠,取左侧梗阻肾脏,沿冠状面纵行剖开,平均分成4份,分别用于以下检测:1/4新鲜组织用于测肾组织中ROS含量;1/4新鲜组织用4%多聚甲醛固定,石蜡包埋切片并进行HE、Masson及免疫荧光化学染色;1/4 新鲜组织提取蛋白并进行蛋白免疫印迹法检测;1/4新鲜组织用于qRT-PCR检测。

三、ROS检测

根据ROS试剂盒说明书检测各组小鼠(每组n = 5)左肾组织中的ROS水平。

四、HE染色

根据ROS结果选择3个样本进行石蜡包块并切片(厚4 μm),然后用HE试剂进行染色,显微镜下观察10个视野的组织形态。

五、Masson染色

将肾组织的石蜡包块进行切片,用Masson染色试剂盒进行Masson染色并拍照。Masson染色蓝色区域为胶原纤维,用以评价肾脏纤维化严重程度。采用Mizuguchi等(2004年)与左川等(2009年)描述的方法,将Masson染色的每例切片选取10个不重复的200倍视野,以蓝色胶原沉积为阳性信号,计算蓝染面积占整个视野的百分比,从而得出肾间质胶原面积与视野内肾小管间质总面积(去除肾小管管腔)的比值,取其平均值为每例切片的肾间质相对面积。

六、qRT-PCR

首先通过NCBI数据库搜索SOD2、纤连蛋白、α-SMA和内参GAPDH的序列,然后设计并于上海生工生物有限公司合成引物,引物序列见表1。然后根据TRIzol试剂说明书提取左肾组织的总RNA,并根据逆转录试剂盒说明书以总RNA为模板逆转录成模板DNA。再根据qPCR试剂盒说明书于StepOne Plus仪上检测左肾组织中上述基因的Ct值(每组n = 5),根据2-△△Ct法得到各基因的相对表达量。
表1 引物序列
引物名称 序列(5’-3’) 产物长度/bp
SOD2正向 GCCTACGTGAACAATCTCAACG 111
SOD2反向 CCCACCATTGAACTTCAGTGC
纤连蛋白正向 GAGAGGAGCACTACCCCAGA 150
纤连蛋白反向 GACGTTGTACTCCAGGCCAG
α-SMA正向 TGCTGTCCCTCTATGCCTCT 124
α-SMA反向 AAGTCCAGACGCATGATGGC
GAPDH正向 AGGTCGGTGTGAACGGATTTG 129
GAPDH反向 TGTAGACCATGTAGTTGAGGTCA

七、蛋白免疫印迹法

蛋白免疫印迹法检测左肾组织中SOD2、纤连蛋白、α-SMA、IRS-1、p-AKT、AKT、p-PI3K、PI3K的蛋白表达量(每组n = 5混样检测)。抗体稀释比例分别为:GAPDH(1:8000),AKT(1:2000),PI3K(1:2000),纤连蛋白(1:1000),α-SMA(1:1000),IRS-1(1:1000),p-AKT(1:2000),p-PI3K(1:1000),SOD2(1:5000)。用Image J 1.8.0软件分析蛋白条带的光密度值,以GAPDH的光密度值作为内参照,计算目标蛋白表达相对值。

八、免疫荧光化学检测(IF)

IF分析SOD2、纤连蛋白、α-SMA的表达,具体如下:将制作好经石蜡包埋的小鼠左肾组织切片,分别与SOD2、纤连蛋白、α-SMA抗体在4 ℃过夜孵育。 然后将玻片用相应的二抗染色,在37℃下孵育1 h,并使用DAPI进行核染色,用显微镜上将载玻片可视化。

九、统计学处理

采用GraphPad 6.0对数据进行统计学分析并做图。连续正态分布数据以 表示,采用单因素方差分析与Bonferroni检验分析各组间(UUO+PBS组与Sham+PBS组相比,UUO+Klotho组与UUO+PBS组相比,UUO+Klotho+胰岛素组与UUO+PBS组相比,UUO+Klotho+IGF-1组与UUO+PBS组相比,UUO+Klotho+胰岛素组与UUO+ Klotho组相比,UUO+Klotho+IGF-1组与UUO+ Klotho组相比) 差异。P值或校正P值< 0.05为差异有统计学意义

结果

一、Klotho表达对UUO模型小鼠ROS水平的影响

5组小鼠左肾组织中的ROS水平比较差异有统计学意义(F = 36.840,P < 0.001)。与Sham+PBS组相比,UUO+PBS组的ROS上调(t = 10.860,校正P < 0.001)。UUO+Klotho组、UUO+ Klotho+胰岛素组与UUO+Klotho+IGF-1组ROS水平均比UUO+PBS组降低(t = 10.540,校正P < 0.001;t = 7.836,校正P < 0.001;t = 7.613,校正P < 0.001)。此外,与UUO+ Klotho组相比,UUO+Klotho+IGF-1组的ROS水平上升(t = 3.108,校正P = 0.035)。与UUO+ Klotho组相比,UUO+ Klotho +胰岛素组的ROS上调并不明显(t = 2.871,校正P = 0.059),见图1
图1 不同处理组小鼠左肾组织的ROS水平

注:组间比较,*P < 0.05,***P < 0.001,ns P > 0.05。

二、Klotho对UUO诱导小鼠肾脏纤维化的影响

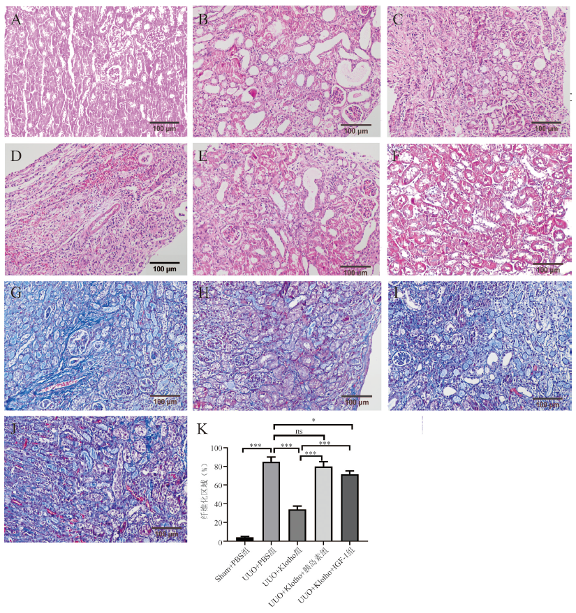
5组小鼠肾纤维化评分比较差异有统计学意义(F = 238.000,P < 0.001)。造模后14 d,与Sham+PBS组相比,UUO+PBS组小鼠左侧肾脏出现严重的肾小管扩张萎缩、上皮细胞变性坏死,肾间质胶原沉积增多(t = 25.390,校正P <0.001)。与UUO+PBS组相比,UUO+ Klotho、UUO+Klotho+IGF-1组小鼠左肾组织病变及胶原沉积现象明显改善(t = 15.990,校正P < 0.001;t = 4.179,校正P = 0.011);而UUO+ Klotho +胰岛素组与UUO+PBS组相比,虽然左肾组织病变(图2A)及胶原沉积(图2B)情况减弱,但不明显(t = 1.567,校正P = 0.889)。UUO+Klotho+胰岛素组和UUO+Klotho+ IGF-1组小鼠左侧肾脏病变及胶原沉积相比UUO+Klotho组增高(t = 14.420,校正P < 0.001;t = 11.810,校正P < 0.001),见图2
图2 小鼠肾组织切片的HE及Masson染色

注:A~E依次为Sham+PBS组、UUO+PBS组、UUO+Klotho组、UUO+Klotho+胰岛素组、UUO+Klotho+IGF-1组的HE染色结果(×200);F~J依次为Sham+PBS组、UUO+PBS组、UUO+Klotho组、UUO+Klotho+胰岛素组、UUO+Klotho+IGF-1组的Masson染色结果(×200);K为纤维化定量,组间比较,*P < 0.05,***P < 0.001,ns P > 0.05。

三、Klotho对UUO诱导小鼠纤连蛋白、α-SMA和SOD2的影响

5组左肾组织中纤连蛋白(mRNA F = 14.630,P < 0.001;蛋白F = 603.200,P < 0.001)、α-SMA(mRNA F = 29.330,P < 0.001;蛋白F = 1164.000,P < 0.001)及SOD2(mRNA F = 15.670,P < 0.001;蛋白F = 1334.000,P < 0.001)的表达水平比较差异均有统计学意义。
与Sham+PBS组相比,UUO+PBS组纤连蛋白(mRNA t = 5.007,校正P < 0.001;蛋白t = 45.290,校正P < 0.001)与α-SMA(mRNA t = 8.884,校正P < 0.001;蛋白t = 60.300,校正P < 0.001)表达上调,SOD2表达降低(mRNA t = 7.273,校正P < 0.001;蛋白t = 41.040,校正P < 0.001),见图3、4。
图3 qRT-PCR检测小鼠左肾组织中纤连蛋白、α-SMA、SOD2 mRNA表达

注:组间比较,*P < 0.05,**P < 0.01,***P < 0.001,ns P > 0.05。

图4 蛋白免疫印迹法检测小鼠左肾组织中纤连蛋白、α-SMA、SOD2蛋白表达

注:组间比较,***P < 0.001, ns P > 0.05。

与UUO+PBS组相比,UUO+ Klotho组α-SMA mRNA表达水平下调(t = 6.746,校正P < 0.001),SOD2 mRNA表达水平上调(t = 5.276,校正P < 0.001)。纤连蛋白(t = 32.000,校正P < 0.001)、α-SMA(t = 33.180,校正P < 0.001)蛋白表达水平下调,SOD2蛋白表达水平上调(t = 21.390,校正P < 0.001),见图3、4。
与UUO+ Klotho组相比,UUO+ Klotho +胰岛素组纤连蛋白(t = 3.363,校正P = 0.024)与α-SMA(t = 5.415,校正P < 0.001)mRNA表达水平上调,SOD mRNA基因表达水平下调(t = 3.049,校正P = 0.046)。纤连蛋白(t = 11.400,校正P < 0.001)、α-SMA(t = 17.320,P < 0.001)蛋白表达水平下调,SOD2蛋白表达水平上调(t = 23.340,校正P < 0.001),见图3、4。
与UUO+ Klotho组相比,UUO+ Klotho +IGF-1组纤连蛋白(t = 4.003,校正P = 0.006)与α-SMA(t = 4.415,校正P = 0.002)mRNA表达水平上调。纤连蛋白(t = 18.850,校正P < 0.001)和α-SMA(t = 26.090,校正P < 0.001)蛋白表达水平下调,SOD2蛋白表达水平上调(t = 48.660,校正P < 0.001),见图3、4。
与Sham+PBS组相比,UUO+PBS组的纤连蛋白与α-SMA荧光强度明显增强,而SOD2荧光强度减弱。与UUO+PBS组相比,UUO+Klotho减弱了纤连蛋白与α-SMA荧光强度,但增加了SOD2荧光强度。与UUO+Klotho相比,UUO+Klotho+胰岛素与UUO+Klotho+IGF-1组的纤连蛋白与α-SMA荧光强度增加,而SOD2荧光强度减弱,见图5
图5 IF检测小鼠左肾组织中纤连蛋白、α-SMA、SOD2表达(×200)

注:A为SOD2的IF结果;B为纤连蛋白的IF结果;C为α-SMA的IF结果。

四、Klotho对IRS-1/PI3K/AKT信号通路的影响

5组小鼠p-AKT/AKT(F = 2310.000,P < 0.001)、p-PI3K/PI3K(F = 31.230,P < 0.001)和IRS(F =620.300,P < 0.001)比较差异均有统计学意义。与Sham+PBS组相比,UUO+PBS组p-AKT/AKT(t = 63.130,校正P < 0.001)、p-PI3K/PI3K(t = 46.530,校正P < 0.001)、IRS(t = 6.721,校正P <0.001)上调。与 UUO+PBS组相比,UUO+Klotho组p-AKT/AKT(t = 48.650,校正P < 0.001)、p-PI3K/PI3K(t = 9.954,校正P < 0.001)、IRS(t = 28.000,校正P < 0.001)下调。与UUO+Klotho组相比,UUO+ Klotho +胰岛素组p-AKT/AKT(t = 66.400,校正P < 0.001)、p-PI3K/PI3K(t = 6.587,校正P <0.001)、IRS(t = 10.960,校正P < 0.001)下调,UUO+Klotho+IGF-1组p-AKT/AKT(t = 10.840,校正P < 0.001)和IRS(t = 16.150,校正P < 0.001)也下调,见图6
图6 蛋白免疫印迹法检测小鼠左肾组织中p-AKT、AKT、p-PI3K、PI3K及IRS表达

注:组间比较,*P < 0.05,***P < 0.001, ns P > 0.05。

讨论

UUO模型是一种肾纤维化体内实验模型[9,10]。本研究先根据文献建立了UUO诱导肾纤维化小鼠模型。UUO小鼠肾脏明显损伤,表现为肾小管扩张萎缩、上皮细胞变性坏死,肾纤维化明显;然后采用qRT-PCR、蛋白免疫印迹法及IF检测关键肾纤维化因子α-SMA及纤连蛋白,结果显示子α-SMA及纤连蛋白表达均明显增高,抗氧化因子SOD2的表达明显下降。SOD2的高表达反映了较好的线粒体功能和抗ROS能力,UUO模型中SOD2的表达降低,说明肾脏的线粒体功能及抵抗氧化应激能力下降[19]。上述结果说明成功建立了UUO诱导肾纤维化小鼠模型。
本研究显示Klotho可以抑制肾纤维化的进展,减缓CKD进展,降低纤维化因子α-SMA、纤连蛋白的表达,促进抗氧化性因子SOD2的表达,说明Klotho对肾脏的保护机制,与既往报道一致[11]
IRS-1是胰岛素信号传导的关键调节因子,胰岛素和IGF-1均可以激活下游IRS/PI3K/AKT通路参与肾脏纤维化的进程[13,14]。为了验证Klotho是否通过这一条通路发挥保护功能,本研究进一步检测了该通路关键蛋白的表达,结果显示Klotho处理的UUO小鼠模型的肾脏p-AKT、p-PI3K及IRS的表达水平降低,胰岛素与Klotho同时处理UUO模型的小鼠肾脏相比Klotho单独处理的UUO小鼠肾脏p-AKT/AKT、p-PI3K/PI3K、IRS水平升高,说明胰岛素激活了肾脏中的IRS-1/PI3K/AKT信号通路,IGF-1与Klotho同时处理UUO模型的小鼠肾脏相比Klotho单独处理的UUO小鼠p-AKT/AKT和IRS水平升高,说明胰岛素激活了肾脏中的IRS-1/AKT信号通路,胰岛素与IRS-1都导致明显的小鼠肾脏损伤,而Klotho抑制IRS-1/PI3K/AKT信号通路减轻肾脏的损伤。本研究证实Klotho可能通过抑制IRS-1/PI3K/AKT信号通路实现对肾脏的保护作用。为进一步明确该机制,后续将在体外细胞实验中加入IRS-1/PI3K/AKT信号通路的抑制剂进行验证。
综上所述,本研究成功建立UUO小鼠肾损伤模型,并证实Klotho可能通过抑制UUO小鼠模型肾脏中胰岛素下游IRS-1/PI3K/AKT信号通路从而缓解肾脏的纤维化,实现其对肾脏的保护作用。由此可见,Klotho可作为肾纤维化中IRS-1/PI3K/AKT信号通路上的潜在治疗手段。
[1]
Feng Y L, Wang W B, Ning Y, Chen H, Liu P. Small molecules against the origin and activation of myofibroblast for renal interstitial fibrosis therapy. Biomed Pharmacother, 2021, 139: 111386.

DOI

[2]
王丽莉, 师素芳, 刘立军, 吕继成, 王素霞, 邹万忠, 张宏. IgA肾病合并急性肾小管间质肾病的临床病理特点及预后分析. 中华肾脏病杂志, 2019, 35(3): 161-169.

[3]
金丽霞, 金丽军. 肾间质纤维化基础研究和诊断的研究进展. 临床医药文献电子杂志, 2019, 6(A2): 127.

[4]
Takenaka T, Hasan A, Marumo T, Kobori H, Inoue T, Miyazaki T, Suzuki H, Nishiyama A, Ishii N, Hayashi M. Klotho supplementation attenuates blood pressure and albuminuria in murine model of IgA nephropathy. J Hypertens, 2021, 39(8): 1567-1576.

DOI PMID

[5]
Li X, Lu P, Shao X F, Jiang T, Liu F, Li G. Klotho regulates epithelial-to-mesenchymal transition in vitro via Wnt/β-Catenin pathway and attenuates chronic allograft dysfunction in a rat renal transplant model. Ann Transplant, 2021, 26: e930066.

[6]
Typiak M, Piwkowska A. Antiinflammatory actions of klotho: implications for therapy of diabetic nephropathy. Int J Mol Sci, 2021, 22(2): 956.

DOI

[7]
窦芳, 丁一, 李韦韦, 姚敏娜, 宁泽琼, 王明明, 文爱东. 大黄素通过PI3K/Akt/mTOR信号通路改善单侧输尿管梗阻模型小鼠肾脏纤维化. 中华肾脏病杂志, 2018, 34(5): 370-376.

[8]
谷立杰, 张月月, 王玲, 王嘉琳, 王轩, 袁伟杰. 慢性肾脏病中胰岛素样生长因子1轴的变化及其在骨骼肌萎缩中的作用. 中华医学杂志, 2018, 98(10): 749-754.

[9]
Qiao X, Wang L, Wang Y, Su X, Qiao Y, Fan Y, Peng Z. Intermedin attenuates renal fibrosis by induction of heme oxygenase-1 in rats with unilateral ureteral obstruction. BMC Nephrol, 2017, 18(1): 232.

DOI PMID

[10]
杨帆, 童婧涵, 李会, 陈洁, 代丽明. BTK抑制剂GDC-0853通过TLR4/NF-κB通路抑制M1巨噬细胞极化并改善UUO肾损伤. 免疫学杂志, 2021, 37(2): 107-114.

[11]
Isono T, Chano T, Yonese J, Yuasa T. Therapeutic inhibition of mitochondrial function induces cell death in starvation-resistant renal cell carcinomas. Sci Rep, 2016, 6: 25669.

DOI

[12]
Miao J, Huang J, Luo C, Ye H, Ling X, Wu Q, Shen W, Zhou L. Klotho retards renal fibrosis through targeting mitochondrial dysfunction and cellular senescence in renal tubular cells. Physiol Rep, 2021, 9(2): e14696.

[13]
Hsu S H, Chen Y J. CREB-regulated miR-27b is linked to hepatic insulin resistance by targeting insulin/Akt signaling. FASEB J, 2019, 33(S1): lb2.

[14]
叶志伟, 冼颖欣, 陈宗兰, 林倍思, 徐芬, 姚斌. 艾塞那肽治疗肥胖症的机制研究. 新医学, 2020, 51(10): 780-785.

文章导航

/