研究论著

ANCA相关性血管炎肾损害合并交通性脑积水一例并文献复习

  • 蒋兰萍 ,
  • 杨诗聪 ,
  • 王欣 ,
  • 许娴 ,
  • 文琼 ,
  • 李志坚 ,
  • 陈雄辉
展开
  • 510080 广州,中山大学附属第一医院肾内科 国家卫生健康委员会重点实验室 广东省肾脏病重点实验室(蒋兰萍,王欣,许娴,文琼,李志坚,陈雄辉),病理科(杨诗聪)
陈雄辉,E-mail:

Copy editor: 林燕薇

收稿日期: 2021-09-16

  网络出版日期: 2021-12-13

基金资助

国家自然科学基金(81600545)

国家重点研发计划(2017YFC0907601)

国家重点研发计划(2017YFC0907602)

国家重点研发计划(2017YFC0907603)

国家重点研发计划(2016YFC0906100)

国家重点研发计划(2016YFC0906101)

广东省肾脏病重点实验室(2020B1212060028)

国家卫生健康委员会重点实验室和2021年中山大学重点发展项目研究生教育质量提升专项基金(80000-18842270)

版权

版权所有,未经授权,不得转载、摘编本刊文章,不得使用本刊的版式设计。

Antineutrophil cytoplasmic antibody-associated vasculitis with renal involvement complicated with communicating hydrocephalus: a case report and literature review

  • Jiang Lanping ,
  • Yang Shicong ,
  • Wang Xin ,
  • Xu Xian ,
  • Wen Qiong ,
  • Li Zhijian ,
  • Chen Xionghui
Expand
  • Department of Nephrology, the First Affiliated Hospital of Sun Yat-sen University, Key Laboratory of Nephrology, National Health Commission of China and Guangdong Province, Guangzhou 510080, China
Chen Xionghui, E-mail:

Received date: 2021-09-16

  Online published: 2021-12-13

Copyright

Copyright reserved © 2021

摘要

目的 探讨合并交通性脑积水的ANCA相关性血管炎(AAV)的发病机制、诊治方法,提高临床医师对AAV罕见类型的认识水平。方法 收集1例以交通性脑积水为首发症状的AAV病例的临床资料,以“ANCA相关性血管炎”“脑积水”为关键词(包括中英文)对PubMed和CNKI收录的论文进行检索,结合文献分析病例特点、实验室检查、影像学检查、肾脏活组织检查(活检)和诊治方法。结果 该例71岁男性患者,因头晕伴行走不稳半年余在门诊行CT检查提示交通性脑积水,拟行手术治疗。术前检查发现血清肌酐635 μmol/L,核周型-抗中性粒细胞胞质抗体(p-ANCA)(+),MPO 293 U/L,尿红细胞位相示畸形红细胞240 000 /μL,经肾脏活组织检查(活检)证实存在AAV肾损害。随访30个月,经糖皮质激素(激素)联合环磷酰胺治疗后,患者血清肌酐降至335 μmol/L并脱离透析,头晕、行走不稳、智力减退症状逐渐好转,后多次复查颅脑MRI,交通性脑积水较前无明显变化。检索数据库后共收集5篇相关病例报道,患者年龄33~76岁,临床表现为脑积水和AAV,予激素联合免疫抑制剂、脑室-腹膜分流术等治疗,随访期间1例患者死亡,另外4例患者症状缓解。结论 以脑积水起病的AAV罕见且血管炎症状隐匿,易被误诊或漏诊,对不明原因伴肾衰竭的神经系统受累病变进行ANCA筛查十分必要,肾穿刺活检有助于明确诊断,及时正规治疗可缓解脑积水症状,有助改善患者预后。

本文引用格式

蒋兰萍 , 杨诗聪 , 王欣 , 许娴 , 文琼 , 李志坚 , 陈雄辉 . ANCA相关性血管炎肾损害合并交通性脑积水一例并文献复习[J]. 新医学, 2021 , 52(11) : 873 -878 . DOI: 10.3969/j.issn.0253-9802.2021.11.012

Abstract

Objective To investigate the pathogenesis, diagnosis and treatment of antineutrophil cytoplasmic antibody (ANCA)-associated vasculitis complicated with communicating hydrocephalus and deepen the clinicians’ understanding of rare types of ANCA-associated vasculitis. Methods Clinical data of 1 case of ANCA-associated vasculitis presenting with the onset symptom of communicating hydrocephalus were collected. Literature review was conducted by using the keywords of “ANCA-associated vasculitis” and “hydrocephalus” from PubMed and China National Knowledge Infrastructure (CNKI) database. Clinical characteristics, laboratory and imaging examination, renal biopsy pathology, diagnosis and treatment of this case were analyzed combined with literature. Results A 71-year-old male patient was admitted to the outpatient clinic due to “dizziness accompanied with walking instability for more than half a year”. CT scan prompted the diagnosis of communicating hydrocephalus, and he was scheduled to undergo surgery. Preoperative examination detected that serum creatinine level was 635 μmol/L, p-ANCA(+), MPO 293 U/L. The density of abnormal red blood cells in the urine was 240 000/μL. Renal biopsy confirmed the diagnosis of ANCA-associated vasculitis with renal damage. During 30-month follow up, he was treated with glucocorticoid combined with cyclophosphamide. Subsequently, the serum creatinine level was declined to 335 μmol/L and hemodialysis was discontinued. The symptoms of dizziness, walking instability and mental retardation at the onset of the disease were gradually relieved. Re-examination of brain MRI showed no significant changes of the communicating hydrocephalus. Through literature review, 5 relevant case reports were retrieved, aged from 33 to 76 years old, with clinical manifestations of hydrocephalus and ANCA-associated vasculitis. These patients were treated with glucocorticoid combined with immunosuppressants and ventricular-peritoneal shunt, etc. During follow-up, 1 patient died and relevant symptoms of the remaining 4 patients were mitigated. Conclusions ANCA-associated vasculitis with the onset symptom of hydrocephalus is rarely encountered and relevant symptoms of vasculitis are insidious, which is likely to be misdiagnosed and neglected. ANCA screening is necessary for neurological involvement complicated with unexplained renal failure. Renal biopsy contributes to confirming the diagnosis. Prompt diagnosis and treatment are beneficial to relive the symptoms of hydrocephalus and improve clinical prognosis.

抗中性粒细胞胞质抗体(ANCA)相关血管炎(AAV)是一组累及全身中小血管的自身免疫性疾病,特点是血管壁的坏死性炎症以及循环中存在ANCA[1,2]。ANCA是针对中性粒细胞初级颗粒和单核细胞溶酶体中表达的胞质抗原的自身抗体。2012年Chapel Hill共识会重新对AAV进行了分类,其包括肉芽肿性多血管炎(GPA)、嗜酸性肉芽肿性多血管炎(EGPA)和显微镜下多血管炎[3]。国外报道的AAV发生率大约为20/1 000 000[4]。AAV几乎可以累及任何一个系统器官,较为常见的包括肾脏、肺脏、皮肤、耳鼻喉和神经系统等。国内2项病例数较多的临床研究显示AAV患者合并神经系统受累的比例分别为15.7%和20.07%[5,6]。AAV同时合并肾损害和脑积水的病例极其罕见,仅有数例个案报道[7]。为提高临床医师对AAV合并脑积水的认识水平,笔者收集1例AAV肾损害合并交通性脑积水的病例资料,总结其MRI影像学以及肾脏病理学改变、治疗和随访转归,现报告如下。

对象与方法

一、1例AAV肾损害合并交通性脑积水患者的临床资料收集

中山大学附属第一医院肾内科于2019年3月收治1例AAV肾损害合并交通性脑积水的患者,收集并分析病史、实验室检查、影像学检查、肾活检病理、诊治方法和转归等资料。

二、文献检索

以“ANCA相关性血管炎”“脑积水”为关键词(包括中英文)对PubMed和CNKI数据库中截至2021年9月收录的文献进行检索,收集并分析AAV合并脑积水患者的资料。

结果

一、1例AAV肾损害合并交通性脑积水患者的临床资料

1. 主诉、病史、体格检查及实验室检查、影像学检查及治疗
患者男,71岁。因头晕伴行走不稳半年余于2019年3月6日收入中山大学附属第一医院神经外科。2018年9月患者无明显诱因出现间断头晕伴行走不稳,外院予保守治疗后,头晕症状好转。2019年2月患者再次出现头晕、行走不稳,并出现智力减退,行头部CT提示脑积水,为行手术治疗收住我院神经外科。既往有高血压病史3年,服用氨氯地平及美托洛尔控制血压。个人史、家族史无特殊。
入院后完善体格检查:体温36.8℃,脉搏84次/分,呼吸20次/分,血压132/70 mm Hg(1 mm Hg = 0.133 kPa)。神志清晰、精神可,自主体位,查体合作,生理反射正常,病理反射未引出,脑膜刺激征阴性。GCS 15分。血常规:血红蛋白100 g/L,红细胞3.49×1012/L,白细胞8.74×109/L,中性粒细胞6.0×109/L,淋巴细胞 1.6×109/L,血小板 383×109/L。肾功能:血尿素氮18 mmol/L,血清肌酐635 μmol/L,血尿酸497 μmol/L。尿常规:蛋白(++),潜血(+++)。颅脑MRI平扫+增强提示交通性脑积水,双侧放射冠多发缺血、梗死灶,脑萎缩,双侧筛窦炎症(图1A)。考虑患者肾衰竭,基础疾病较多,手术风险高,神经外科建议定期观察颅内脑积水情况。3月11日患者转入肾内科进一步治疗。转入肾内科后,查甲状旁腺素全段185.5 pg/mL,血管炎4项示核周型-ANCA(p-ANCA)(+)、抗髓过氧化物酶抗体(MPO) 293 U/L、胞浆型-ANCA(-)、蛋白酶3(PR3)< 2 U/L,尿红细胞位相示畸形红细胞240 000/μL。3月13日复查生化示血尿素氮 35.7 mmol/L,血清肌酐912 μmol/L,尿蛋白定量2.76 g/24 h。腹部彩色多普勒超声(彩超) 提示:左肾大小11.6 cm×6.4 cm,实质厚度2.0 cm;右肾大小10.6 cm×5.4 cm,实质厚度1.7 cm;双肾脏形态正常,轮廓线清晰,实质回声稍增高。同时监测示患者尿量减少(约700 mL/24 h),行深静脉置管开始血液透析治疗。住院期间,患者因饮水呛咳导致发热、吸入性肺炎,予抗感染治疗后好转。结合患者病史、症状、体征和检查检验结果,考虑AAV肾损害可能性大,控制肺部感染后,于3月23日开始口服泼尼松30 mg/d,并建议患者行肾穿刺活检,患者因家事于3月23日办理出院。出院后患者腹胀、食欲减退等症状好转,尿量约400 ml/24 h,未遵医嘱行血液透析治疗,3月26日出现双下肢水肿,3月27日返院急诊查肾功能示血CO2 18 mmol/L,血尿素氮41 mmol/L,血清肌酐1297 μmol/L。3月28日再次收住肾内科,入院后立即联系规律血液透析,排除禁忌证后,于4月4日行超声引导下的肾穿刺活组织检查(活检)。4月10日肾活检病理回报:①新月体肾炎,考虑为Ⅲ型;②待电镜排除是否合并IgA肾病(图2)。4月11至12日予甲泼尼龙500 mg/d静脉滴注冲击治疗2 d。4月16日起调整糖皮质激素(激素)剂量为口服泼尼松40 mg/d。经激素冲击治疗后,患者尿量逐渐增加至约1600 mL/24 h,透析前血清肌酐降至436 μmol/L,4月17日拔除深静脉临时透析导管后出院。5月9日患者为求第2次冲击治疗入院,患者入院后完善感染相关检查,巨细胞病毒(CMV)抗体 IgM 0.26 kU/L,IgG > 250 kU/L,CMV DNA 99 copies/mL,加用阿昔洛韦口服抗病毒治疗。胸部CT提示双肺下叶呈“马赛克样”改变,考虑小气道病变,呼吸科会诊考虑与原发病AAV相关。经科内病例讨论后,分别于5月16日、5月18日和5月21日予甲泼尼龙125 mg/d静脉滴注冲击治疗,5月23日将口服泼尼松剂量调整为30 mg/d,5月24日行第1次环磷酰胺 0.6 g静脉滴注冲击治疗。患者行走不稳较前好转,5月24日复查血尿素氮17.4 mmol/L,血清肌酐207 μmol/L,予出院。
图1 一例AAV肾损害合并交通性脑积水患者的颅脑MRI T2加权像

注:A为2019年3月7日MRI结果;B为2020年7月2日MRI结果;C为2021年8月2日MRI结果;双侧脑室周围白质可见散在多发斑片状FLAIR高信号影,部分融合成片,双侧侧脑室扩大、变钝,中线结构居中未见移位,提示交通性脑积水,双侧放射冠多发缺血、梗死灶,脑萎缩。

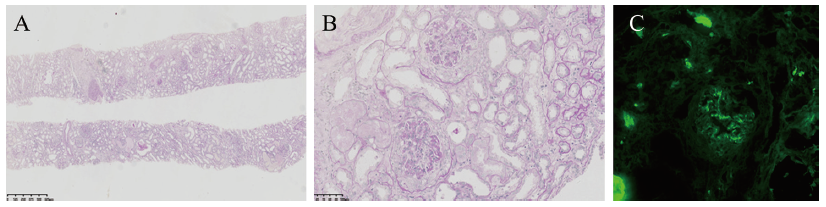
图2 一例AAV肾损害合并交通性脑积水患者的肾脏病理结果

注:A (PAS染色,×40)示新旧不等的新月体形成,肾小管小灶性萎缩,间质纤维化;B(PAS染色,×200)示肾小球新月体形成,肾小管小灶性萎缩,余肾小管上皮细胞颗粒变性及空泡变性,灶性上皮细胞刷状缘脱落、细胞扁平;C(免疫荧光,×200)示IgA(+),局灶性球性分布,颗粒状沉积于系膜区。

2. 肾活检病理
2019年4日4日行肾穿刺活检(图2),光镜下冰冻切片中可见3个肾小球,其中1个新月体形成;石蜡切片中可见20个肾小球,其中2个球性硬化、5个细胞性、7个细胞纤维性、2个小细胞性、1个小细胞纤维性新月体形成,少数肾小球球囊壁于新月体处破坏,与间质分界不清。残存肾小球系膜细胞及基质轻度增生,内皮细胞未见增生。肾小管小灶性萎缩(约20%),余肾小管上皮细胞颗粒变性及空泡变性,灶性上皮细胞刷状缘脱落、细胞扁平,可见部分红细胞管型。肾间质灶性水肿、小灶性纤维化伴单个核细胞浸润。小动脉内膜纤维性增厚,细动脉多处中度透明变性。免疫荧光示4个肾小球IgA(+),局灶性球性分布,颗粒状沉积于系膜区,IgG、IgM、C3、C1q、Fg均阴性。特殊染色示刚果红(-)。免疫组织化学染色结果示间质中的浆细胞CD138、IgG、IgG4均(+),IgG4+/IgG+ < 40%。病理诊断:①新月体肾炎,考虑为Ⅲ型;②合并IgA肾病可能。
3. 随访
自2019年3月至撰稿日,共随访30个月。患者出院后继续口服泼尼松30 mg/d治疗原发病,并逐渐减量至10 mg/d维持。患者共行12次环磷酰胺冲击治疗(每次0.4~0.8 g),累积剂量7.2 g。在我院住院期间反复查颅脑MRI,结果提示双侧幕上脑白质多发缺血灶、幕上脑室系统扩张、脑萎缩较前相仿(图1B、C)。患者目前仍有双下肢酸痛,头晕、行走不稳好转,智力未进一步减退。2021年8月复查血清肌酐为335 μmol/L,血尿素氮14.7 mmol/L,MPO 32 U/L,p-ANCA (-),尿红细胞(-),尿蛋白定量0.803 g/24 h。

二、文献检索结果

检索数据库后共收集到5篇AAV合并脑积水的病例报道[8,9,10,11,12]。5例患者中有3例女性患者,为中老年起病,4例为GPA、1例为EGPA,所有患者均接受了激素和免疫抑制剂治疗,其中2例患者接受了脑室-腹腔分流术,1例患者接受了神经内窥镜第三脑室造口术。转归方面,其中1例患者随访2个月死于肺炎,另外4例患者随访8个月~10年,症状均缓解,见表1
表1 AAV合并脑积水病例总结
第一作者 年龄 性别 诊断 病理 治疗 转归
Koga H [8] 76岁 GPA、肺纤维化、心力衰竭、尿毒症、交通性脑积水 肾活检典型的坏死性肉芽肿性肾小球肾炎,伴有多核巨细胞浸润 泼尼松、环磷酰胺、腰椎穿刺抽脑脊液 2个月后死于肺炎
Bertken R D [9] 36岁 GPA、蝶窦占位、脑积水、垂体功能不全 鼻黏膜活检、垂体占位提示韦格纳肉芽肿 泼尼松龙、环磷酰胺、甲状腺激素和雌激素替代、脑室-腹腔分流术、经鼻经蝶窦垂体病变切除术 随访6年,症状缓解
Scarrow A M [10] 53岁 GPA、中耳炎、面神经麻痹、肺结节、交通性脑积水 软脑膜活检提示慢性脑膜炎和多核巨细胞 泼尼松、环磷酰胺、乙酰唑胺、脑室-腹腔分流术 随访10年,症状缓解
Tokumaru A M [11] 54岁 EGPA、鼻炎、支气管哮喘、眼肌麻痹、第四脑室结节 骨髓活检显示嗜酸性粒细胞增多,肾活检示中小血管炎伴嗜酸性粒细胞浸润 激素、免疫抑制剂 随访9个月,症状好转
Rangel-Castilla L [12] 33岁 GPA、导水管狭窄、脑积水、硬脑膜炎、鼻衄、耳部感染、下肢皮肤溃疡、第六脑神经麻痹 鼻窦活检提示韦格纳肉芽肿 激素、免疫抑制剂、神经内窥镜第三脑室造口术 随访8个月,症状缓解

讨论

AAV几乎可以累及任何一个系统器官,较为常见的肾外器官包括肺脏、上呼吸道和皮肤等[13,14]。文献报道的AAV累及神经系统比例波动于4%~37.6%[15,16]。其中101例EGPA患者的神经系统受累比例甚至高达66.3%[17]。AAV累及神经系统主要表现为周围神经病变,典型表现是多发性单神经炎,但中枢神经系统很少受累,而AAV合并脑积水仅查阅到5例病例报道。Koga等[8]报道了1例GPA肾损害合并交通性脑积水的老年女性患者,在排除肿瘤、蛛网膜下腔出血、脑膜炎等疾病后,认为该患者的脑积水是继发于GPA,并认为其脑积水可能与颅内血管炎相关,血管炎可能累及蛛网膜绒毛,尽管使用激素治疗可以减轻炎症,但瘢痕形成可能影响蛛网膜绒毛重吸收脑脊液。Rangel-Castilla等[12]报道了1例GPA合并脑积水的男性患者,作者认为导水管狭窄是导致GPA患者脑积水的一种可能原因。文献复习的5例患者中有2例患者接受了脑室-腹腔分流术,术后随访过程患者症状缓解,病情稳定[9,10]。本文患者随访30个月,经激素联合环磷酰胺治疗前后患者脑积水变化不明显,但是患者头晕、行走不稳、智力减退症状逐渐好转,影像学检查排除了颅内肿瘤、蛛网膜下腔出血等疾病。根据患者治疗效果结合文献,考虑患者脑积水可能与颅内血管炎相关,血管炎累及蛛网膜绒毛,激素联合环磷酰胺治疗可以减轻炎症,但是瘢痕形成可能影响蛛网膜绒毛重吸收脑脊液。因此患者脑积水情况未见明显好转,但神经系统症状有改善。因患者未行外科手术及活检,故尚无充分的病理证据证明。
对于活跃的AAV,目前的治疗指南建议激素冲击治疗。对于表现为急进性肾小球肾炎或肺泡出血的AAV患者常予甲泼尼龙500~1000 mg冲击治疗3 d。此后,口服泼尼松开始时为1 mg /(kg·d),每日最多60~80 mg,并持续2~4周,后逐渐减量。环磷酰胺是AAV治疗最经典的免疫抑制剂,口服与静脉使用效果相当。Wei等[7]总结了系统性自身免疫病合并脑积水的治疗,主要是应用激素和免疫抑制剂治疗原发病,抗生素仅用于合并中枢神经系统的条件致病菌感染,碳酸酐酶抑制剂乙酰唑胺可用于降低颅内高压,紧急情况下还可选择脑脊液分流术,如脑室-腹膜分流术或脑室造口术治疗脑积水。本例患者在激素冲击治疗后续序贯激素口服联合环磷酰胺静脉滴注治疗,肾功能改善并脱离透析。但治疗过程中患者出现了CMV血症,提示需重视药物治疗的不良反应。
综上所述,以脑积水起病的AAV罕见且血管炎症状隐匿,易被误诊漏诊,对不明原因伴肾衰竭的神经系统受累病变进行ANCA筛查十分必要,肾穿刺活检有助于明确诊断,及时正规治疗可缓解脑积水症状,显著改善患者预后。
[1]
Geetha D, Jefferson J A. ANCA-Associated Vasculitis: Core Curriculum 2020. Am J Kidney Dis, 2020, 75(1): 124-137.

DOI

[2]
中华医学会肾脏病学分会专家组. 抗中性粒细胞胞质抗体相关肾炎诊断和治疗中国指南. 中华肾脏病杂志, 2021, 37(7): 603-620.

[3]
Jennette J C, Falk R J, Bacon P A, Basu N, Cid M C, Ferrario F, Flores-Suarez L F, Gross W L, Guillevin L, Hagen E C, Hoffman G S, Jayne D R, Kallenberg C G, Lamprecht P, Langford C A, Luqmani R A, Mahr A D, Matteson E L, Merkel P A, Ozen S, Pusey C D, Rasmussen N, Rees A J, Scott D G, Specks U, Stone J H, Takahashi K, Watts R A. 2012 revised International Chapel Hill Consensus Conference Nomenclature of Vasculitides. Arthritis Rheum, 2013, 65(1): 1-11.

DOI

[4]
Mohammad AJ. An update on the epidemiology of ANCA-associated vasculitis. Rheumatology (Oxford), 2020, 59(Suppl 3): iii42-iii50.

DOI

[5]
伍婷, 钟永, 周亚欧, 陈金彪, 杨映强, 唐荣, 孟婷, 肖舟, 肖湘成, 周巧玲, 肖平. 269例抗中性粒细胞胞浆抗体相关性血管炎患者的临床病理特征及预后. 中南大学学报(医学版) 2020, 45(8): 916-922.

[6]
陈旻, 于峰, 张颖, 赵明辉. 426例抗中性粒细胞胞浆抗体相关性小血管炎患者多系统临床表现和肾脏病理分析. 中华内科杂志, 2005, 44(11): 828-831.

[7]
Wei J, Yin H, Wang L, Cui L, Wang R. Systemic autoimmune diseases complicated with hydrocephalus: pathogenesis and management. Neurosurg Rev, 2019, 42(2): 255-261.

DOI

[8]
Koga H, Oochi N, Osato S, Ishida I, Hirakata H, Okuda S, Fujishima M. Case report: Wegener’s granulomatosis accompanied by communicating hydrocephalus. Am J Med Sci, 1994, 307(4): 278-281.

PMID

[9]
Bertken R D, Cooper V R. Wegener granulomatosis causing sellar mass, hydrocephalus, and global pituitary failure. West J Med, 1997, 167(1): 44-47.

[10]
Scarrow A M, Segal R, Medsger T A Jr, Wasko M C. Communicating hydrocephalus secondary to diffuse meningeal spread of Wegener’s granulomatosis: case report and literature review. Neurosurgery, 1998, 43(6): 1470-1473.

PMID

[11]
Tokumaru A M, Obata T, Kohyama S, Kaji T, Okizuka H, Suzuki K, Kusano S. Intracranial meningeal involvement in Churg-Strauss syndrome. AJNR Am J Neuroradiol, 2002, 23(2): 221-224.

[12]
Rangel-Castilla L, Barber S M, Zhang Y J. Hydrocephalus in Wegener’s granulomatosis: neuroendoscopic findings and management. J Rheumatol, 2011, 38(10): 2277-2278.

DOI PMID

[13]
Monti S, Craven A, Klersy C, Montecucco C, Caporali R, Watts R, Merkel P A, Luqmani R; DCVAS Collaborators. Association between age at disease onset of anti-neutrophil cytoplasmic antibody-associated vasculitis and clinical presentation and short-term outcomes. Rheumatology (Oxford), 2021, 60(2): 617-628.

DOI PMID

[14]
Zhao X, Wen Q, Qiu Y, Huang F. Clinical and pathological characteristics of ANA/anti-dsDNA positive patients with antineutrophil cytoplasmic autoantibody-associated vasculitis. Rheumatol Int, 2021, 41(2): 455-462.

DOI

[15]
杨枢苗. 101例ANCA相关性血管炎肾损害患者回顾性临床和病理分析. 长春:吉林大学, 2020.

[16]
Iudici M, Pagnoux C, Quartier P, Büchler M, Cevallos R, Cohen P, de Moreuil C, Guilpain P, Le Quellec A, Serratrice J, Terrier B, Guillevin L, Mouthon L, Puéchal X; French Vasculitis Study Group. Childhood- versus adult-onset ANCA-associated vasculitides: a nested, matched case-control study from the French Vasculitis Study Group Registry. Autoimmun Rev, 2018, 17(2): 108-114.

DOI

[17]
Durel C A, Berthiller J, Caboni S, Jayne D, Ninet J, Hot A. Long-term followup of a multicenter cohort of 101 patients with eosinophilic granulomatosis with polyangiitis (Churg-Strauss). Arthritis Care Res (Hoboken), 2016, 68(3): 374-387.

DOI

文章导航

/