研究论著

吡非尼酮联合乙酰半胱氨酸治疗肺纤维化一例并文献复习

  • 李文娟 ,
  • 张理意 ,
  • 周宇麒
展开
  • 510630 广州,中山大学附属第三医院呼吸与危重症学科
周宇麒,E-mail:

Copy editor: 林燕薇

收稿日期: 2021-06-03

  网络出版日期: 2022-02-11

版权

版权所有,未经授权,不得转载、摘编本刊文章,不得使用本刊的版式设计。

Pirfenidone combined with N-acetylcysteine in treatment of pulmonary fibrosis: a case report and literature review

  • Li Wenjuan ,
  • Zhang Liyi ,
  • Zhou Yuqi
Expand
  • Department of Pulmonary and Critical Care Medicine,the Third Affiliated Hospital of Sun Yat-sen University, Guangzhou 510630, China
Zhou Yuqi, E-mail:

Received date: 2021-06-03

  Online published: 2022-02-11

Copyright

Copyright reserved © 2022

摘要

目的 评估吡非尼酮与N-乙酰半胱氨酸(NAC)联合治疗肺纤维化的有效性及安全性,为临床用药提供依据。方法 收集1例由肺纤维化合并肺气肿综合征(CPFE)发展为特发性肺纤维化(IPF)患者的资料,用“pirfenidone”及 “N-acetylcysteine”为关键词在PubMed数据库中检索,筛选符合标准的文献,提取数据结合有关文献进行回顾性分析。结果 患者男,70岁,临床诊断为CPFE进展为IPF,2018年2月开始使用吡非尼酮联合乙酰半胱氨酸抗纤维化治疗,肺功能指标、CT检查结果均有改善,无明显不良反应,治疗效果良好。共检索到6篇相关文献,其中4篇的研究结果显示吡非尼酮联合NAC治疗肺纤维化效果优于吡非尼酮或NAC单药治疗。另外2篇的研究结果显示吡非尼酮联合NAC治疗患者疾病进展率高于吡非尼酮单药治疗组。结论 吡非尼酮联合NAC对改善IPF患者肺功能有一定作用,联合治疗可能优于单药治疗。

本文引用格式

李文娟 , 张理意 , 周宇麒 . 吡非尼酮联合乙酰半胱氨酸治疗肺纤维化一例并文献复习[J]. 新医学, 2022 , 53(1) : 52 -57 . DOI: 10.3969/j.issn.0253-9802.2022.01.012

Abstract

Objective To evaluate the efficacy and safety of pirfenidone combined with N-acetylcysteine (NAC) in the treatment of pulmonary fibrosis, aiming to provide basis for clinical medication. Methods Clinical data of 1 patient with combined pulmonary fibrosis and emphysema (CPFE) progressing into idiopathic pulmonary fibrosis (IPF) were reviewed. Relevant literature was searched and screened from PubMed using the keywords of “pirfenidone”and “N-acetylcysteine”. The extracted data and relevant literature were collected for retrospective analysis. Results The male patient, aged 70 years old, was clinically diagnosed with CPFE which progressed into IPF. In February, 2018, he was treated with pirfenidone combined with NAC. Pulmonary function indexes and CT scan data were improved. No significant adverse events were observed. High clinical efficacy was achieved. Six studies were retrieved in this study. The findings in 4 studies showed that the efficacy of pirfenidone combined with NAC was better than that of monotherapy in the treatment of pulmonary fibrosis. The results in the other 2 studies demonstrated that the disease progression rate of patients treated with pirfenidone combined with NAC was higher compared with that of pirfenidone alone. Conclusions Pirfenidone combined with NAC yield certain effect upon improving the lung function of IPF patients. Clinical efficacy of combined therapy is probably higher compared with that of monotherapy.

特发性肺纤维化(IPF)病因不明,难以预测,预后差,患者在确诊后的平均生存期仅为3~5年,临床对其治疗方法尚存在争议[1]。我院近年收治1例肺纤维化合并肺气肿综合征(CPFE)发展为IPF患者,对其予吡非尼酮与N-乙酰半胱氨酸(NAC)联合治疗,取得良好效果,现就该例及近年国外采用吡非尼酮与NAC联合治疗肺纤维化患者的临床资料进行总结分析,以供临床医师制定该类患者的治疗方案时参考。

对象与方法

一、一例肺纤维化患者临床资料的收集

我科于2018年2月20日收治1例肺纤维化患者,对其予吡非尼酮与NAC联合治疗,收集并分析病史、体格检查、实验室及辅助检查、治疗随访等资料。

二、文献检索

以“pirfenidone”及“N-acetylcysteine”为检索词,检索PubMed数据库自1999年1月至2020年5月发表的关于两药治疗肺纤维化的研究,收集并分析文献资料。

结果

一、一例肺纤维化患者的病历资料

1.主诉及体格检查
患者男,70岁,已婚。因反复咳嗽、咳痰4年余,加重10 d于2018年2月20日入院。4年余前患者无明显诱因出现反复咳嗽,少量黄色黏痰,无咯血、发热、寒战,当时无气促、胸闷。当地医院查胸部CT,提示双肺间质性肺炎、肺气肿,予抗感染、止咳化痰等治疗。4年来患者病情反复。2018年2月10日患者受凉后咳嗽、咳痰症状加重,稍乏力、咽痛、头痛,有发热,最高体温38.4 ℃,偶有胸闷,当地医院予抗感染等治疗后仍有咳嗽、咳痰。为进一步诊治收住我科。患者2年前因冠状动脉粥样硬化性心脏病行PCI术,植入1枚支架,每日口服硫酸氢氯吡格雷、阿托伐他汀钙、富马酸比索洛尔。2年前诊断2型糖尿病,每日服伏格列波糖,血糖控制尚可。患者吸烟30年,5支/日,戒烟2年,无其他职业环境刺激暴露史,家族史无特殊。
体格检查:体温36.5 ℃,脉搏78次/分,呼吸18次/分,血压142/70 mm Hg(1 mm Hg=0.133 kPa),神清对答切题。颈静脉无充盈,口唇无紫绀,皮肤无皮疹,无杵状指趾,双下肢无水肿。双肺呼吸音粗,双下肺可闻及湿啰音。心脏及腹部体格检查未见异常。
2. 实验室及辅助检查
血常规示血红蛋白120 g/L,白细胞5.67×109/L,中性粒细胞0.633,嗜酸性粒细胞0.17×109/L。ESR 24 mm/h,CRP 1.6 mg/L,降钙素原0.062 μg/L。D-二聚体2.54 μg/L。癌胚抗原 7.593 μg/L。鳞状细胞癌抗原4.2 μg/L。G试验<20 μg/L及GM试验< 0.5 μg/L,细菌、真菌、结核菌痰检结果均正常。
3. 确诊过程
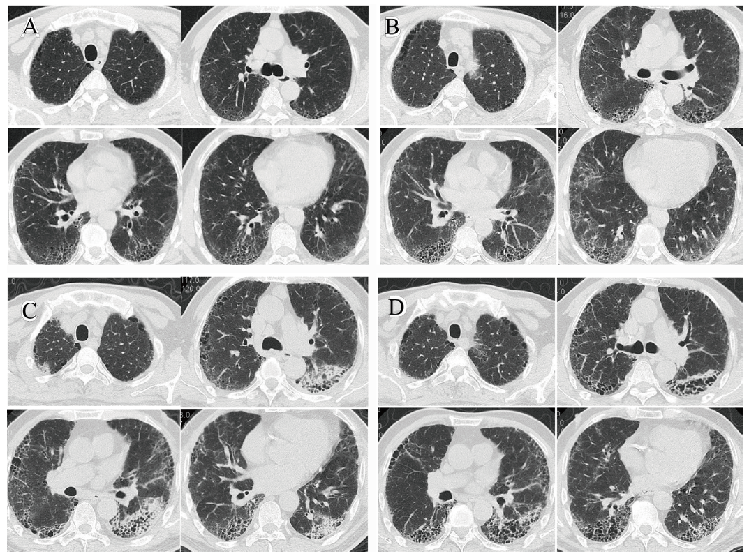
复习患者起病以来影像学检查结果:2012年9月胸部CT示肺气肿合并双下肺少量间质样改变(图1A);2014年9月胸部CT示间质样改变增多,双下肺网状影逐渐转化为蜂窝样改变(图1B);2018年2月胸部CT显示间质样改变继续增多,双下肺蜂窝样改变(图1C)。2018年2月26日患者住院肺功能检查示:轻度限制性通气功能障碍,肺弥散功能中度下降,肺总量、残气量减少,残总比正常。患者莱切斯特咳嗽问卷评分总分17.77分(生理评分4.63分,心理评分6.14分,社会评分7分)。根据患者的长期咳嗽、咳痰症状、影像学改变及肺功能结果诊断:CPFE;IPF。
图1 患者胸部影像学变化

注:A为2012年9月胸部CT,示肺气肿合并双下肺少量间质样改变;B为2014年9月胸部CT,示间质样改变增多,双下肺网状影逐渐转化为蜂窝样改变;C为2018年2月胸部CT,示间质样改变继续增多,双下肺蜂窝样改变;D为2018年12月胸部CT,间质样炎症范围变小。

2018年2月26日开始逐渐加量并长期应用吡非尼酮0.4 g每日3次,联合NAC 0.6 g每日3次抗纤维化治疗。2018年2月28日患者症状好转出院。出院时患者有少量胃肠不适,用短期护胃治疗后好转。随访至2018年12月,患者莱切斯特咳嗽问卷评分改善情况为1.05分(生理评分改善0.62分,心理评分改善0.43分)。患者肺功能(表1)、胸部CT明显改善(图1D),肺部间质样炎症范围变小。
表1 治疗前后肺功能结果变化
检查日期 FVC/La FVC/%b DLCO/[mL/(min·mm Hg)]
2014年9月26日 2.79 77.7 12.39
2018年2月26日 2.38 65.4 12.86
2018年10月22日 2.38 65.6 14.60
2018年12月26日 2.52 68.9 14.85

注: a经BTPS校正;b占预计值的百分比;一氧化碳弥散量(DLCO)。

二、文献检索结果

检索关于吡非尼酮联合NAC治疗肺纤维化的研究,经阅读文章标题、摘要及全文筛选,共检索到6篇相关文献。对纳入研究的基本特征、药物干预、不良反应等归纳总结,见表2~4。
表2 吡非尼酮联合NAC治疗IPF研究的基本特征
第一作者 研究时间 研究类型 干预时长 干预措施 研究样本量 结局指标
Sakamoto S[2] 2009年2月至2011年9月 回顾性调查研究 >6个月 联合组予吡非尼酮联合吸入NAC,单药组予吡非尼酮单药 联合组11例,单药组7例 ΔFVC,不良反应发生率
Oltmanns U[3] 2011年5月至2013年6月 真实世界观察队列研究 (11±7)月 联合组予吡非尼酮联合口服NAC,单药组予吡非尼酮单药 联合组17例,单药组40例 ΔFVC,不良反应发生率,治疗依从性
Alhamad E H[4] 2012年3月至2013年3月 回顾性调查研究 中位数12个月(8~22个月) 联合组予吡非尼酮联合口服NAC,单药组予口服NAC 联合组33例,单药组25例 肺功能、动脉血气分析、Δ6MWD、问卷、不良反应发生率
Sakamoto S[5] 2009年2月至2013年9月 病例对照研究 >12个月 联合组予吡非尼酮联合吸入NAC,单药组予吡非尼酮单药 联合组17例,
单药组10例
ΔFVC,病死率,不良反应发生率
Huang H [6] 2012年1月至2012年7月 随机双盲安慰剂对照研究Ⅱ期临床 48周 联合组予吡非尼酮联合口服NAC,单药组予NAC+安慰剂 联合组38例,单药组38例 ΔFVC,Δ6MWD,无病进展生存时间
Behr J[7] 2013年6月至2015年2月 随机双盲安慰剂对照研究Ⅱ期临床 8周~6个月 联合组予吡非尼酮联合口服NAC,单药组予吡非尼酮+安慰剂 联合组60例,
单药组62例
ΔFVC,不良反应发生率

注:用力肺活量变化(ΔFVC);治疗前后6 min最大步行距离变化(Δ6MWD)。

表3 吡非尼酮联合NAC治疗IPF研究的指标分析
第一作者 性别 年龄/
病情严重程度 治疗后出现 IPF急性加重/
例(%或相对比)
治疗有效/例(%或相对比) 无进展生存期 生存期 病死/
例(%或相对比)
Sakamoto S[2] 联合组 男14例,女4例a 73(67,79) 进展型Ⅲ/Ⅳ期IPF,(6±2)月内FVC下降>10% 2(18) 7(64) NA 475(150,790)db 7(64)
单药组 74(59,82) 2(2/7) 1(1/7) NA 196(35,357) d 6(6/7)
Oltmanns U[3] 联合组 男47例,女16例a (68±7)a 中度弥散功能障碍患者,FVC (74±22)%,DLCO(43±15)% NA NA NA NA 7(11)a
单药组 中度弥散功能障碍患者,FVC (64±11)%,DLCO (35±11)% NA NA NA NA
Alhamad E H[4] 联合组 男11例,女22例 62.4±15.1 FVC (63.3±17.3)%;
DLCO (42.3±21.1)%
4(12) NA NA NA 0(0)
单药组 男14例,女11例 63.3±13.3 FVC (67.6±19.8)%;
DLCO (41.4±20.7)%
3(12) NA NA NA 1(4)
Sakamoto S[5] 联合组 男14例,女3例 59~82 进展型Ⅲ/Ⅳ期IPF 5(29) 8(47) 304 db NA NA
单药组 男9例,女1例 3(30) 2(20) 168 d NA NA
Huang
H[6]
联合组 男33例,女5例 59.03±5.94 轻中度肺功能损伤(DLCO>30%,FVC>45%) 2(5) NA NA NA NA
单药组 男38例,女0例 61.61±6.39 5(13) NA NA NA NA
Behr J[7] 联合组 男53例,女7例 66.7±8.0 FVC (68.76±10.14)% 0 12(23) NA NA 1(2)
单药组 男51例,女11例 67.5±6.2 FVC (69.33±11.08)% 2(3) 42(24/57) NA NA 3(5)

注:a总体数据,组内数据未给出;b与单药组比较,P < 0.05;NA为未提供数据。

表4 吡非尼酮联合NAC治疗IPF纳入研究的指标分析
第一作者 ΔFVC DLCO Δ6MWD 出现不良反应/
例(%)
Sakamoto S[2] 联合组 6个月0 mLa 42.3(33.3,51.3) % NA NA
单药组 6个月下降290 mL 29.6 (27.1,32.1)% NA NA
Oltmanns U[3] 联合组 NA NA NA 20(95)b
单药组 NA NA NA 32(80)
Alhamad E H[4] 联合组 NA 10例(31%)增加≥5%,13例(41%) 下降≥5%,9例(28%)不变 ≥30 m步行距离下降比率13%a 28(85)a
单药组 NA 6例(24%)增加≥5%,13例(52%)下降≥5%,6例(24%)不变 ≥30 m步行距离下降比率52% 14(56)
Sakamoto S[5] 联合组 6个月下降210 mL,12个月下降610 mL 40.3 (18.1,60.7) % 252 (42,420) m 4(17)
单药组 6个月下降610 mL,12个月下降1320 mL 29.6 (19.6,43.9)% 235 (57,350) m 0(0)
Huang H [6] 联合组 24周下降(0.08±0.20)La,
48周下降(0.15±0.25)La
(47.43±12.73)% (459.87±100.86)m 20(53)a
单药组 24周下降(0.22±0.29)L,
48周下降(0.25±0.28)L
(47.68±13.76)% (469.58±81.56)m 10(26)
Behr J[7] 联合组 下降125.6 mLa (40.41±10.26) % (433.4 ±108.99)m 46(77)
单药组 下降34.3 mL (39.92±10.13)% (430.0±98.34) m 50(81)

注:a与单药组比较,P < 0.05;b未排除联用肾上腺皮质激素患者;NA为未提供数据。

讨论

目前抗肺纤维化联合治疗的高质量数据较少。本研究探讨吡非尼酮联合NAC治疗的安全性和疗效,为抗肺纤维化的联合治疗提供依据。肺纤维化治疗手段主要为戒烟、平喘、抗纤维化等[2]。吡非尼酮是广谱抗纤维化药,能抑制TGF-β、TNF-α、血小板源性生长因子并抑制成纤维细胞的增殖和胶原沉积[8]。NAC是一种黏液溶解剂,能断裂黏蛋白肽键的二硫键,并能保护上皮细胞,减少自由基损害[9]。肺纤维化较罕见且随访困难,因种族、纳入标准不同以及治疗剂型不同等原因,其联合治疗效果尚无定论。
2013年Sakamoto等[2]进行的研究中,接受吡非尼酮联合NAC治疗的联合组和吡非尼酮单药治疗的单药组患者生存时间比较差异有统计学意义,6个月时FVC变化比较差异也有统计学意义。该中心于2015年又对27例IPF患者进行研究[5]。结果显示,联合用药与单药相比,6个月和12个月时FVC平均下降速度减缓,无进展生存期延长。研究结果表明,在进展性晚期IPF患者中,吡非尼酮联合吸入NAC疗效良好。
另2项研究也显示吡非尼酮联合NAC较单药NAC的治疗效果有明显优势。2014年沙特阿拉伯学者所进行的研究中,接受联合治疗的患者6MWD降低率较小,但不良反应发生率较高[4]。中国学者所进行的研究中吡非尼酮联合NAC口服治疗对比单药NAC,第24周时FVC下降幅度组间比较差异有统计学意义,但差异未能持续到第48周,总体而言延长了患者无进展生存时间,不良事件在联合治疗组更常见,严重程度为轻至中度,停药后可缓解[6]
德国Oltmanns等[3]2014年研究接受口服NAC联合吡非尼酮治疗的患者与单用吡非尼酮治疗相比,不良反应发生率更高,疾病进展率更高。然而,该研究中联合治疗的患者基线时IPF更晚期,且未排除口服肾上腺皮质激素者,这可能造成结果偏倚。2016年PANORAMA研究显示联合组的治疗失败率比单药组增加,FVC的半年下降幅度更大,差值高达91.3 mL。该研究提示,联合NAC治疗可能增加吡非尼酮对IPF患者的有害性[7]
既往研究显示,口服NAC后肺内谷胱甘肽(GSH)水平低于吸入制剂,抗氧化、抗纤维化作用弱,且NAC的作用与Toll相互作用蛋白(TOLLIP)的基因多态性有关,如果IPF患者TOLLIP基因的rs3750920位点为TT基因型,治疗后FVC下降幅度、住院率以及肺移植率均明显下降,而CC基因型对治疗的反应欠佳[10]。吡非尼酮与NAC相互作用机制不明确。既往研究病例数少且病情严重程度不统一,证据依然有限。
根据无活组织检查的IPF诊断标准,在排除其他间质性肺病可能且高分辨率CT表现为普通间质性肺炎改变:病灶以胸膜下、基底部为主,有各种不同的分布及蜂窝肺样改变,本文患者确诊IPF[11]。本例患者在使用吡非尼酮联合NAC治疗后好转,提示两药联合应用对改善肺纤维化有一定作用。
综上所述,吡非尼酮联合NAC治疗肺纤维化,多项试验证实其有效和安全,但应谨慎使用并建议监测患者基因型及相关不良反应。受限于前期文献数量以及质量等因素,未来还需大规模、多中心、高质量临床研究,为联合用药提供可靠的实践依据。
[1]
刑静, 黄鑫炎, 郭禹标. 特发性肺纤维化相关基因的筛选和生物信息学分析. 中山大学学报(医学科学版), 2017, 38(6):926-930,937.

[2]
Sakamoto S, Itoh T, Muramatsu Y, et al. Efficacy of pirfenidone in patients with advanced-stage idiopathic pulmonary fibrosis. Intern Med, 2013, 52(22):2495-2501.

DOI

[3]
Oltmanns U, Kahn N, Palmowski K, et al. Pirfenidone in idiopathic pulmonary fibrosis: real-life experience from a German tertiary referral center for interstitial lung diseases. Respiration, 2014, 88(3):199-207.

DOI PMID

[4]
Alhamad E H. Pirfenidone treatment in idiopathic pulmonary fibrosis: a saudi experience. Ann Thorac Med, 2015, 10(1):38-43.

DOI PMID

[5]
Sakamoto S, Muramatsu Y, Satoh K, et al. Effectiveness of combined therapy with pirfenidone and inhaled N-acetylcysteine for advanced idiopathic pulmonary fibrosis: a case-control study. Respirology, 2015, 20(3):445-452.

DOI PMID

[6]
Huang H, Dai H P, Kang J, et al. Double-blind randomized trial of pirfenidone in Chinese idiopathic pulmonary fibrosis patients. Medicine (Baltimore), 2015, 94(42):e1600.

DOI

[7]
Behr J, Bendstrup E, Crestani B, et al. Safety and tolerability of acetylcysteine and pirfenidone combination therapy in idiopathic pulmonary fibrosis: a randomised, double-blind, placebo-controlled, phase 2 trial. Lancet Respir Med, 2016, 4(6):445-453.

DOI

[8]
Ogura T, Taniguchi H, Azuma A, et al. Safety and pharmacokinetics of nintedanib and pirfenidone in idiopathic pulmonary fibrosis. Eur Respir J, 2015, 45(5):1382-1392.

DOI

[9]
Idiopathic Pulmonary Fibrosis Clinical Research Network, Martinez F J, de Andrade J A, et al. Randomized trial of acetylcysteine in idiopathic pulmonary fibrosis. N Engl J Med, 2014, 370(22):2093-2101.

DOI

[10]
Thannickal V J, Antony V B. Is personalized medicine a realistic goal in idiopathic pulmonary fibrosis? Expert Rev Respir Med, 2018, 12(6):441-443.

DOI

[11]
Raghu G, Remy-Jardin M, Myers J L, et al. Diagnosis of idiopathic pulmonary fibrosis: an Official ATS/ERS/JRS/ALAT Clinical Practice Guideline. Am J Respir Crit Care Med, 2018, 198(5):e44-e68.

DOI

文章导航

/