研究论著

一种分离培养及鉴定小鼠牙龈间充质干细胞的方法

  • 陈丽玲 ,
  • 徐振健 ,
  • 徐安平
展开
  • 510120 广州,中山大学孙逸仙纪念医院肾内科
徐安平,E-mail:

Office editor: 林燕薇

收稿日期: 2022-01-20

  网络出版日期: 2022-06-13

基金资助

国家自然科学基金(81870481)

广东省医学科学技术研究基金(A2020431)

广东省基础与应用基础研究基金(2021A1515011625)

A method for isolation, culture and identification of gingival mesenchymal stem cells from mice

  • Chen Liling ,
  • Xu Zhenjian ,
  • Xu Anping
Expand
  • Department of Nephrology, Sun Yat-sen Memorial Hospital, Sun Yat-sen University, Guangzhou 510120, China
Xu Anping, E-mail:

Received date: 2022-01-20

  Online published: 2022-06-13

摘要

目的 探讨建立一种新型、简便易行的小鼠牙龈间充质干细胞(GMSC)体外提取及培养方法。方法 选择C57BL/6小鼠,使用Ⅳ型胶原酶消化分离其牙龈组织,种板培养并传代。利用细胞增殖及细胞毒性检测试剂盒(CCK-8法)观察小鼠GMSC的增殖规律,流式细胞术检测小鼠GMSC的细胞表面标志物,进行成脂、成骨诱导分化实验,观察所提取GMSC的多向分化潜能。结果 CCK-8试验显示小鼠GMSC在培养第3~4日增殖活跃(第2~5日相邻时间点间,P均< 0.05),第5日开始增殖进入平台期(第5~8日的相邻时间点间比较,P均> 0.05)。流式细胞术结果显示,与小鼠口腔黏膜上皮细胞相比,GMSC高表达CD29、CD44、CD73、CD90和CD105(P均< 0.05),几乎不表达CD34、CD45(P均> 0.05);多向分化诱导实验中,GMSC成功分化为对应的组织细胞,证实了GMSC的多向分化功能。结论 本研究成功提取小鼠GMSC,首次发现了一种新的、操作简便的、对原代细胞伤害少且有较高细胞获得率的科学提取GMSC方法,并鉴定了其细胞标志物和分化功能。

本文引用格式

陈丽玲 , 徐振健 , 徐安平 . 一种分离培养及鉴定小鼠牙龈间充质干细胞的方法[J]. 新医学, 2022 , 53(5) : 349 -354 . DOI: 10.3969/j.issn.0253-9802.2022.05.010

Abstract

Objective To establish a novel and simple method for isolation and culture of mouse gingival mesenchymal stem cells (GMSCs) in vitro. Methods The gingival tissues from C57BL/6 mice were separated and digested with type IV collagenase, cultured in a dish and passaged. The proliferation pattern of mouse GMSCs was investigated by Cell Counting Kit-8 (CCK-8) assay. The surface markers of GMSCs were detected by flow cytometry, and adipogenic and osteogenic differentiation experiments were carried out to explore the multi-directional differentiation potential of the extracted GMSCs. Results CCK8 assay showed that mouse GMSCs actively proliferated at 3 to 4 d after culture (all P < 0.05 between any two consecutive days from 2nd to 5th d), and began to become steady on day 5 (all P > 0.05 between any two consecutive days from 5th to 8th d). Flow cytometry showed that GMSCs highly expressed CD29, CD44, CD73, CD90 and CD105 (all P < 0.05), but basically did not express CD34 and CD45 compared with mouse oral mucosal epithelial cells (both P > 0.05). Multi-directional differentiation induction experiment demonstrated that GMSCs successfully differentiated into corresponding tissue cells, confirming the multi-directional differentiation potential of GMSCs. Conclusions In this study, mouse GMSCs are successfully isolated by a new and simple method for the first time, which causes slight damage to primary cells and yields high cell acquisition rate. The cell markers and differentiation function are also identified.

间充质干细胞(MSC)具有自我更新、多能分化和免疫调节的作用。近年研究显示,MSC可在包括变应性结膜炎、变应性鼻炎、急性青光眼、阿尔茨海默病和1型糖尿病等多种疾病中发挥治疗作用[1-6]。MSC可以从不同的组织中分离出来,包括骨髓、脐带、胎盘、脂肪组织和人的牙龈[7]。牙龈MSC(GMSC)是一种从牙龈组织中获得的MSC亚群,2009年Zhang等首次从人牙龈组织中分离出GMSC,并证实了其表型及功能活性[8]。与其他MSC类似,GMSC也具有抑制炎症和调节免疫反应的作用。小鼠和人源化动物模型研究显示,GMSC能够通过减少效应性T淋巴细胞、树突状细胞、巨噬细胞、破骨细胞和增加调节性T淋巴细胞等治疗包括类风湿关节炎、1型糖尿病、SLE、动脉粥样硬化等多种疾病[7, 9-14]。既往文献提及的小鼠GMSC的提取方法需使用多种酶及复杂的培养基等[15-16]。本研究以C57BL/6小鼠进行实验,旨在建立更为简便、高效的GMSC体外提取及培养体系,现报道如下。

材料与方法

一、动物

SPF级C57BL/6小鼠5只,雌雄不限,8~10周龄,体质量15~20 g,购自广东省医学实验动物中心。实验过程中严格遵循减少、替代、优化的伦理规范操作,做到充分考虑动物的利益,善待动物,防止或减少动物的应激、痛苦和伤害,尊重动物生命,采取痛苦最少的方法处置动物。

二、主要试剂

包括:α-MEM培养基、青霉素-链霉素双抗溶液、胎牛血清(FBS),均购自美国Gibco公司;Ⅳ型胶原酶、地塞米松、β-甘油磷酸钠、抗坏血酸、3-异丁基-1-甲基黄嘌呤(IBMX)、吲哚美辛、人胰岛素、油红O染液,均购自美国Sigma公司;细胞增殖及细胞毒性检测试剂盒(CCK-8法)购自美国APExBio公司;结晶紫染液、茜素红染液,均购自上海碧云天生物技术有限公司;抗小鼠流式抗体CD29、CD34、CD44、CD45、CD73、CD90、CD105,均购自美国BD公司。

三、培养液配制

原代细胞培养液为α-MEM培养基+20%FBS。完全培养液为α-MEM+10%FBS。成脂诱导液为α-MEM培养基+10%FBS+200 μmol/L吲哚美辛+10 mg/L胰岛素+1 μmol/L地塞米松+500 μmol/LIBMX。成骨诱导液为α-MEM+10%FBS+10 nmol/L地塞米松+50 mg/L抗坏血酸+10 mmol/L β-甘油磷酸钠。

四、实验方法

1. 小鼠GMSC的分离培养

处死C57BL/6小鼠,取小鼠下颌骨,清除多余皮肤及肌肉组织,用含有5%双抗的磷酸盐缓冲液(PBS)冲洗下颌骨多次。用注射器针头轻轻分离磨牙区牙龈。收集分离到的组织于培养皿中,加入1 mg/L Ⅳ型胶原酶,于37 ℃中消化30 min,加入含有 FBS的α-MEM终止消化,离心,弃上清。将组织铺于6孔板中,每孔加1 mL含20%FBS的α-MEM,置于37℃、5%CO2培养箱中培养。待2~3 d后细胞爬出,换液把剩余组织块洗出,每孔加2 mL 20%FBS的α-MEM,3 d换1次液。细胞长满板底80%后传代,传代后更换为含10%FBS的完全培养液继续培养。

2. 小鼠GMSC的增殖能力检测

按细胞增殖及细胞毒性检测试剂盒(CCK-8法)说明书进行操作,连续8 d在同一时间使用酶标仪测量 450 nm 处的吸光度,根据结果绘制GMSC生长曲线。

3. 小鼠GMSC的表面标志物流式细胞术检测

将第2代 GMSC(约1×106个细胞)细胞悬液用PBS洗涤2次,用100 μL PBS重悬后分别加入流式抗体CD29、CD34、CD44、CD45、CD73、CD90、CD105,4℃避光孵育20 min后,PBS洗涤3次,流式细胞仪检测上述细胞表面标志物的表达。

4. 小鼠GMSC的多向分化潜能诱导

成脂诱导分化:取第2代GMSC接种于6孔板,每孔约3×103个细胞,待细胞铺满板底70%,更换培养液为成脂诱导液,每隔3 d换1次液。诱导21 d后,PBS洗涤细胞1次,4%多聚甲醛固定30 min,去离子水洗涤2次后油红O染液染色20 min,蒸馏水清洗3次,干燥后倒置显微镜下观察并拍照。
成骨诱导分化:取第2代GMSC接种于6孔板,每孔约3×103个细胞,待细胞铺满板底70%,更换为成骨诱导液,每隔3 d换1次液。诱导28 d后,PBS洗涤细胞1次,4%多聚甲醛固定30 min,去离子水洗涤2次后茜素红染液染色30 min,蒸馏水清洗3次,干燥后倒置显微镜下观察并拍照。

五、统计学处理

应用GraphPad Prism 8软件进行数据分析。数据均符合正态分布,以 表示,组间比较采用t检验,多个时间点的比较采用单因素方差分析,进一步两两比较采用LSD-t检验。P < 0.05为差异有统计学意义。

结果

一、小鼠GMSC的分离培养结果

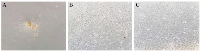
培养2~3 d后,普通光学倒置显微镜下可见原代细胞从组织爬出,贴壁生长,细胞呈长梭状(图1A)。可见原代细胞培养至10~14 d时细胞铺满皿底80%(图1B、C),可进行传代培养。
图1 小鼠GMSC的分离培养与形态(普通光学倒置显微镜)

注:A(×100)为原代GMSC从组织爬出;B(×40)、C(×100)为原代GMSC培养10~14 d后的形态特征。

二、小鼠GMSC的增殖能力检测结果

CCK-8法结果显示,GMSC在第3~4日增长最快,在第5~8日增长变得缓慢,出现平台期。普通光学倒置显微镜下可见GMSC在第3~4日数量增长明显,在第5~8日数量逐渐到达最大值,并进入平台期。各时间点的变化组间比较差异有统计学意义(F = 339.90,P < 0.001), 其中第0~2日、第5~8日的相邻时间点比较差异无统计学意义(P均> 0.05),第2~5日相邻时间点比较差异均有统计学意义(P均< 0.05),见图2
图2 小鼠GMSC的增殖能力检测结果

注:A~D依次为小鼠GMSC生长至第1、3、5、8日的形态(普通光学倒置显微镜,×40);E为CCK-8法检测小鼠GMSC的生长曲线。

三、小鼠GMSC的细胞表面标志物流式细胞术检测结果

小鼠GMSC高表达CD29、CD44、CD90、CD105,最高的表达率达90%及以上,CD73最高表达率高于70%,CD39最高表达率为26.3%,同时结果显示所提取细胞几乎不表达CD34、CD45,表达率均低于5%,说明所提取的细胞纯度较高。以小鼠口腔黏膜上皮细胞为对照细胞,可见GMSC的CD29(t = 2.686,P = 0.036)、CD44(t = 22.582,P < 0.001)、CD73(t = 3.183,P = 0.019)、CD90(t = 62.944,P < 0.001)、CD105(t = 8.590,P < 0.001)、CD39(t= 5.799,P < 0.001)的表达均高于对照细胞,两者CD34(t = 1.572,P = 0.140)、CD45(t = -1.643,P = 0.151)表达相似,见图3
图3 小鼠GMSC的细胞表面标志物流式细胞术检测结果

注:组间比较,nsP > 0.05,*P < 0.05,***P < 0.001。

四、小鼠GMSC的成脂诱导及鉴定结果

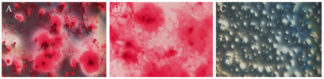
小鼠GMSC经成脂诱导液培养21 d后,分化为脂肪细胞并分泌出脂滴,经油红O染液染色后,在光学显微镜下可见葡萄串状红色脂滴形成,见图4
图4 GMSC成脂诱导分化的鉴定(油红O染液染色)

注:A为脂肪诱导 21 d后,小鼠 GMSC经油红O染液染色呈阳性(×100); B为脂肪诱导21 d后,小鼠GMSC经油红O染液染色呈阳性(×200);C为对照组常规培养基培养21 d后经油红O染液染色呈阴性(×100)。

五、小鼠GMSC的成骨诱导及鉴定结果

小鼠GMSC经成骨诱导液培养后,细胞逐渐从长纺锤形变为多边形,并呈多层覆盖生长,可见陆续出现小的钙化。成骨诱导28 d后,小鼠GMSC经茜素红染液染色后可见红褐色钙化结节,见图5
图5 GMSC成骨诱导分化的鉴定(茜素红染液染色)

注:A为成骨诱导28 d后,小鼠GMSC经茜素红染液染色呈阳性(×100);B为成骨诱导28 d后,小鼠GMSC经茜素红染液染色呈阳性(×200);C为对照组常规培养基培养28 d经茜素红染液染色呈阴性(×100)

讨论

近年来,GMSC在自身免疫性和炎症性疾病中的抗炎和免疫调节作用越来越受到重视[17]。与其他组织来源的MSC相比,GMSC具有易于分离、便于获取、增殖快、不具致瘤性、同源性好、免疫调节作用及再生功能强于其他MSC等优点[18-20]
目前,小鼠等动物GMSC的提取方法为组织消化法或组织块法:组织消化法使用胶原酶和分离酶消化分离的组织块,再通过过滤器获得单细胞悬液进行种板,操作步骤繁杂,且多种酶的消化易对原代GMSC造成损伤,导致细胞提前分化失去其生物学特性;组织块法则将冲洗无菌的组织块直接种板,通过倒立培养瓶的方法获取原代细胞,该法提取细胞数量少、效率低且成功率不稳定[15]
本研究将2种提取原代GMSC的方法相结合并加以改良,对分离的牙龈组织仅用Ⅳ型胶原酶消化半小时,然后把消化后的牙龈组织直接种板,2~3 d后可见细胞爬出。由此可见该改良方法具有以下优点:①步骤过程简单、易操作;②仅用一种消化酶,减短了消化时间,不仅减少了消化酶对原代细胞的损伤,而且节约了试剂成本;③经胶原酶处理的牙龈组织变软后再进行种板,更有利于种板后GMSC从组织中爬出,短时间内有较高的细胞获得率,节约时间成本,同时通过换液、传代可进一步纯化细胞;④培养液成分更为简单。与组织消化法及组织块法相比,新的提取GMSC方法更为简便、易行,见表1
表1 小鼠GMSC的3种分离培养方法比较
项 目 组织块法 组织
消化法
改良
时间成本
试剂成本
操作复杂性 一般 复杂 简便
成功率 一般
细胞得率
第4代后细胞稳定性 稳定 细胞变性 稳定
本研究中小鼠GMSC生长曲线从一定程度上可反映GMSC的增殖规律,第3~4日增殖活跃,第5日始增殖进入平台期,第7~8日由于培养时间过长细胞生长过密,细胞开始出现凋亡,数量有少许下降。本研究所提取的细胞高表达CD29、CD44、CD90、CD105,最高表达率均高于90%,CD73最高表达率高于70%,基本不表达造血细胞的细胞表面标志物CD34、CD45,最高表达率均低于5%,符合GMSC细胞标志物特性,同时提示所取取的细胞纯度较高。多向分化诱导实验中,小鼠GMSC在各自特定诱导条件下成功分化成对应组织,证实了GMSC的多向分化功能。本研究表明,改良法提取的GMSC具有快速增殖的优点,同时通过该法所分离的细胞有较高的纯度,且能表现多向分化的干细胞特性,因此该法提取GMSC是可行的。
对GMSC的相关研究表明,GMSC在伦理学、获取方法和分化潜能等方面具有明显优势,被认为是一种较好的MSC来源,在细胞治疗、再生医学等方面具有重要的研究意义[21-22]。本研究的动物GMSC提取技术的研究与改良有助于促进各类疾病动物模型GMSC的自体移植的实现,有利于深入研究GMSC对疾病治疗作用的可能机制。
[1]
Su W, Wan Q, Huang J, et al. Culture medium from TNF-α-stimulated mesenchymal stem cells attenuates allergic conjunctivitis through multiple antiallergic mechanisms. J Allergy Clin Immunol, 2015, 136(2): 423-432.e8.

DOI

[2]
Fan X L, Zeng Q X, Li X, et al. Induced pluripotent stem cell-derived mesenchymal stem cells activate quiescent T cells and elevate regulatory T cell response via NF-κB in allergic rhinitis patients. Stem Cell Res Ther, 2018, 9(1): 170.

DOI

[3]
Su W, Li Z, Jia Y, et al. microRNA-21a-5p/PDCD 4 axis regulates mesenchymal stem cell-induced neuroprotection in acute glaucoma. J Mol Cell Biol, 2017, 9(4): 289-301.

DOI

[4]
Shin J Y, Park H J, Kim H N, et al. Mesenchymal stem cells enhance autophagy and increase β-amyloid clearance in Alzheimer disease models. Autophagy, 2014, 10(1): 32-44.

DOI

[5]
Stiner R, Alexander M, Liu G, et al. Transplantation of stem cells from umbilical cord blood as therapy for type I diabetes. Cell Tissue Res, 2019, 378(2): 155-162.

DOI

[6]
石凌峰, 任宇, 杨新娜, 等. 间充质干细胞治疗糖尿病及其并发症的研究进展. 新医学, 2015, 46(9): 574-579.

[7]
Zhang X, Huang F, Li W, et al. Human gingiva-derived mesenchymal stem cells modulate monocytes/macrophages and alleviate atherosclerosis. Front Immunol, 2018, 9: 878.

DOI

[8]
Zhang Q, Shi S, Liu Y, et al. Mesenchymal stem cells derived from human gingiva are capable of immunomodulatory functions and ameliorate inflammation-related tissue destruction in experimental colitis. J Immunol, 2009, 183(12): 7787-7798.

DOI

[9]
Wu W, Xiao Z X, Zeng D, et al. B7-H 1 promotes the functional effect of human gingiva-derived mesenchymal stem cells on collagen-induced arthritis murine model. Mol Ther, 2020, 28(11): 2417-2429.

DOI

[10]
Luo Y, Wu W, Gu J, et al. Human gingival tissue-derived MSC suppress osteoclastogenesis and bone erosion via CD39-adenosine signal pathway in autoimmune arthritis. EBioMedicine, 2019, 43: 620-631.

DOI

[11]
Wu W, Xiao Z, Chen Y, et al. CD 39 produced from human GMSCs regulates the balance of osteoclasts and osteoblasts through the Wnt/β-catenin pathway in osteoporosis. Mol Ther, 2020, 28(6): 1518-1532.

DOI

[12]
Chen M, Su W, Lin X, et al. Adoptive transfer of human gingiva-derived mesenchymal stem cells ameliorates collagen-induced arthritis via suppression of Th1 and Th 17 cells and enhancement of regulatory T cell differentiation. Arthritis Rheum, 2013, 65(5): 1181-1193.

DOI

[13]
Zhang W, Zhou L, Dang J, et al. Human gingiva-derived mesenchymal stem cells ameliorate Streptozoticin-induced T1DM in mice via suppression of T effector cells and up-regulating Treg subsets. Sci Rep, 2017, 7(1): 15249.

DOI PMID

[14]
Dang J, Xu Z, Xu A, et al. Human gingiva-derived mesenchymal stem cells are therapeutic in lupus nephritis through targeting of CD39 - CD73 signaling pathway. J Autoimmun, 2020, 113: 102491.

DOI

[15]
Xu X, Chen C, Akiyama K, et al. Gingivae contain neural-crest- and mesoderm-derived mesenchymal stem cells. J Dent Res, 2013, 92(9): 825-832.

DOI PMID

[16]
Gu Y, Shi S. Transplantation of gingiva-derived mesenchymal stem cells ameliorates collagen-induced arthritis. Arthritis Res Ther, 2016, 18(1): 262.

DOI

[17]
Wang X, Song H, Zhao S, et al. Gingival-derived mesenchymal stem cells protect against sepsis and its complications. Infect Drug Resist, 2021, 14: 3341-3355.

DOI

[18]
Huang F, Chen M, Chen W, et al. Human gingiva-derived mesenchymal stem cells inhibit xeno-graft-versus-host disease via CD39-CD73-adenosine and IDO signals. Front Immunol, 2017, 8: 68.

DOI PMID

[19]
Al Bahrawy M, Ghaffar K, Gamal A, et al. Effect of inflammation on gingival mesenchymal stem/progenitor cells' proliferation and migration through microperforated membranes: an in vitro study. Stem Cells Int, 2020, 2020: 5373418.

[20]
Ni X, Xia Y, Zhou S, et al. Reduction in murine acute GVHD severity by human gingival tissue-derived mesenchymal stem cells via the CD 39 pathways. Cell Death Dis, 2019, 10(1): 13.

DOI

[21]
Zhao J, Wang J, Dang J, et al. A preclinical study-systemic evaluation of safety on mesenchymal stem cells derived from human gingiva tissue. Stem Cell Res Ther, 2019, 10(1): 165.

DOI PMID

[22]
Kim D, Lee A E, Xu Q, et al. Gingiva-derived mesenchymal stem cells: potential application in tissue engineering and regenerative medicine — a comprehensive review. Front Immunol, 2021, 12: 667221.

DOI

文章导航

/