研究论著

非肌层浸润性膀胱癌基底注水后经尿道逆行膀胱肿瘤整块剜除术疗效分析

  • 杨守东 ,
  • 孙江连 ,
  • 卢浩彬 ,
  • 张卫星 ,
  • 刘广科 ,
  • 段晴光 ,
  • 吴舟 ,
  • 王坚 ,
  • 廖惠花
展开
  • 523382 东莞,东莞市茶山医院泌尿外科(杨守东,孙江连,卢浩彬,张卫星,刘广科,段晴光);524200 湛江,广东医科大学附属医院(吴舟,王坚,廖惠花)
张卫星,E-mail: ;
吴舟,E-mail:

Copy editor: 林燕薇

收稿日期: 2021-11-24

  网络出版日期: 2022-09-09

基金资助

东莞市社会科技发展(重点)项目(202050715009187)

Clinical efficacy of transurethral retrograde en-bloc excavation of bladder tumor after basal injection with sterile water on non-muscular invasive bladder cancer

  • Yang Shoudong ,
  • Sun Jianglian ,
  • Lu Haobin ,
  • Zhang Weixing ,
  • Liu Guangke ,
  • Duan Qingguang ,
  • Wu Zhou ,
  • Wang Jian ,
  • Liao Huihua
Expand
  • Department of Urology, Dongguan Chashan Hospital, Dongguan 523382, China
Zhang Weixing,E-mail: ;
Wu Zhou, E-mail:

Received date: 2021-11-24

  Online published: 2022-09-09

摘要

目的 评估非肌层浸润性膀胱癌(NMIBC)基底注水后经尿道逆行膀胱肿瘤整块剜除术(EEBT)的安全性及有效性。方法 收集60例NMIBC患者的临床资料,根据手术方案分为2组,其中行膀胱癌基底注水后经尿道逆行EEBT患者30例(EEBT组),常规行经尿道膀胱肿瘤切除术(TURBT)患者30例(TURBT组)。比较2组的基线资料、围术期指标、术后肿瘤病理分级和分期及病理科医师对标本的满意度;对患者进行随访,比较2组的肿瘤复发率。结果 2组患者的性别构成、年龄、肿瘤大小、肿瘤位置、单发或多发肿瘤比例、术前合并其他疾病等比较差异均无统计学意义(P均> 0.05)。EEBT组和 TURBT组在膀胱穿孔率、术后肿瘤病理分级、病理T分期比较差异亦均无统计学意义(P均> 0.05)。与TURBT组相比,EEBT组的手术时间长,但是患者术中失血少、闭孔神经反射发生率低,术后留置尿管时间及住院时间均较短,病理科医师对标本的满意度较高,术后1年内肿瘤复发率较低(P均<0.05)。结论 与TURBT比较,采用基底注水后经尿道逆行EEBT治疗NMIBC,具有出血少、恢复快、肿瘤标本完整、1年内肿瘤复发率低等优势。

本文引用格式

杨守东 , 孙江连 , 卢浩彬 , 张卫星 , 刘广科 , 段晴光 , 吴舟 , 王坚 , 廖惠花 . 非肌层浸润性膀胱癌基底注水后经尿道逆行膀胱肿瘤整块剜除术疗效分析[J]. 新医学, 2022 , 53(8) : 582 -587 . DOI: 10.3969/j.issn.0253-9802.2022.08.009

Abstract

Objective To evaluate the safety and efficacy of transurethral retrograde en-bloc excavation of bladder tumor (EEBT) after basal injection with sterile water for non-muscular invasive bladder cancer (NMIBC). Methods Clinical data of 60 patients with NMIBC were analyzed retrospectively. All patients were divided into two groups according to the surgical procedure. In the EEBT group, 30 patients received transurethral EEBT after basal injection with sterile water, and 30 patients underwent conventional transurethral resection of bladder tumor (TURBT) in the TURBT group. The baseline data, perioperative parameters, postoperative tumor pathological stage and the pathologists’ degree of satisfaction with the specimen were compared between two groups. All patients received follow-up. The tumor recurrence rate was statistically compared between two groups. Results There was no significant difference in gender, age, tumor size, tumor location, proportion of single and multiple tumors and preoperative complications between two groups (all P > 0.05). No statistical significance was also observed in the bladder perforation rate, postoperative tumor pathological stage and pathological T stage between EEBT group and TURBT group(all P > 0.05). Compared with the TURBT group, the operation time was longer, whereas intraoperative blood loss was less, the incidence of obturator reflex was lower, postoperative indwelling catheter time and the length of hospital stay were shorter, the pathologists’ degree of satisfaction with the specimen was higher, and the one-year tumor recurrence rate was lower in the EEBT group (all P < 0.05). Conclusion Compared with TURBT, transurethral retrograde EEBT after basal injection with sterile water has multiple advantages of less intraoperative blood loss, faster postoperative recovery, intact tumor specimen and lower one-year tumor recurrence rate in the treatment of NMIBC.

欢迎扫码观看 文章视频简介:
非肌层浸润性膀胱癌(NMIBC)是泌尿系统最常见的恶性肿瘤,手术的标准模式是经尿道膀胱肿瘤切除术(TURBT)[1]。传统的TURBT多采取顺行由浅至深逐层切除的方式,但可能存在肿瘤组织切除不彻底、膀胱穿孔、切除组织破碎而不利于判断病理分期等不足[2]。近年笔者团队对NMIBC患者采用基底黏膜下注水后行经尿道逆行膀胱肿瘤整块剜除术(EEBT),取得较好的效果,现报道如下。

对象与方法

一、研究对象

回顾性分析2018年1月至2020年6月在本院及广东医科大学附属医院就诊的NMIBC患者的临床资料。纳入标准:①术前影像学检查如泌尿系统彩色多普勒超声(彩超)、盆腔MRI、CT尿路成像(CTU)或膀胱镜结果疑诊为NMIBC的患者,且肿瘤大小≤2 cm;②术前临床TNM分期为Ta~T1N0M0期,术前影像学检查排除远处转移;③首次接受手术治疗。排除标准:①心肺功能差,无法耐受麻醉和手术;②凝血功能障碍;③下肢功能障碍,无法摆放截石位或者膀胱肿瘤位于膀胱镜的视野盲区。根据上述标准,共选择60例患者,根据手术方案分为2组,其中膀胱癌基底注水后经尿道行双极等离子逆行EEBT 30例(EEBT组),常规经尿道行双极等离子TURBT 30例(TURBT组)。本研究经东莞市茶山医院医学伦理委员会批准,患者及其家属均已签署知情同意书。

二、手术方法

患者取截石位,行腰部麻醉或硬膜外阻滞后,直视下置入电切镜,观察膀胱肿瘤的位置、大小、形态、数目以及与输尿管开口的关系。采用珠海司迈科技有限公司的等离子电切能量平台系统,电切功率180~220 W,电凝功率80~120 W。

1. EEBT组

自制黏膜下注射长针,5F输尿管导管前端接12F针头,尾端接注射器,采用膀胱镜在距离肿瘤基底部1 cm处注射约5 mL灭菌注射用水,深度达膀胱基底黏膜下层和浅肌层,在肿瘤基底部周围形成直径1 cm的丘状隆起(图1A)。在距肿瘤基底部0.5 cm处,用等离子电切襻逆行剥离肿瘤,深度达到浅肌层,浅肌层的标志为条索状交叉排列的肌纤维(图1B),逐步将肿瘤整块完整剜除(图1C、D)。剜除过程如有出血可用电凝止血,同时控制冲洗过程的水压及流速,避免膀胱过度充盈而穿孔,剜除完毕后采用电切环将肿瘤组织整块从外鞘内钩出,如肿瘤组织较大,可将肿瘤组织切割成2块后取出,但是不宜切碎肿瘤,此外在基底部和黏膜边缘各取2块组织送检。如果肿瘤距离输尿管口较近,预估剜除的范围包含输尿管口,可以先在患侧输尿管中预留斑马导丝,以免剜除后难以寻找管口,然后再经尿道置入电切镜进行肿瘤剜除,剜除完毕后再根据患者术后情况决定是否留置双J管,以预防出现输尿管口狭窄。
图1 EEBT的手术过程

注:A为膀胱肿瘤旁黏膜下注射灭菌注射用水;B为膀胱肿瘤逆行剜除可见肌纤维;C为膀胱肿瘤剜除后的手术创面;D为剜除的膀胱肿瘤标本,标本旁为输尿管导管,间隔为1 cm。

2. TURBT组

按传统方法用等离子电切襻从肿瘤表面向基底部逐步切除肿瘤,直至膀胱浅肌层,肿瘤组织和肿瘤基底单独切除送检,同时在基底部和黏膜边缘各取2块组织送检。

3. 术后处理

2组患者术后均留置20F三腔尿管,在术后即刻予吡柔比星40 mg溶解于灭菌注射用水50 mL行膀胱灌注化学治疗,膀胱内药物保留30 min,如果出现膀胱穿孔或术后严重血尿则延期行膀胱灌注化学治疗。术后膀胱灌注化学治疗,每周1次,连续8周,后改为每月1次,连续10次,整个疗程维持1年。

三、观察指标和随访

记录2组的肿瘤大小、数目、位置、手术时间,术中是否出现闭孔神经反射、膀胱穿孔,病理科医师对标本的满意度,术后留置尿管时间、住院时间以及术后复发情况等指标。病理科医师对标本的满意度指单独咨询2位病理科医师,当两者都对病理标本满意时,定义为满意,如果其中1位或者2位均不满意,则定义为不满意。对于首次电切肿瘤不完全、标本内无肌层、T1期肿瘤推荐术后2~6周再次行TURBT。术后前2年每3个月复查1次膀胱镜,2年后每6个月复查1次膀胱镜。复查膀胱镜时,发现可疑的部位,即进行电切后送病理检查。

四、统计学处理

采用 SPSS 14.0处理数据。计量资料均符合正态分布,以 $\bar{x}±s$ 表示,组间比较采用t检验;计数资料以例(%)表示,组间比较采用χ2检验或Fisher确切概率法。P < 0.05 为差异有统计学意义。

结果

一、EEBT组和TURBT组NMIBC患者的基线资料比较

2组患者的性别构成、年龄、肿瘤大小、肿瘤位置、单发或多发肿瘤比例、术前合并其他疾病等比较差异均无统计学意义(P均> 0.05),见表1
表1 EEBT组和TURBT组NMIBC患者的基本资料比较
项 目 EEBT组(30例) TURBT组(30例) χ2/t值 P值
男性/例(%) 16(53) 13(43) 0.601 0.438
年龄/岁 53.5±7.6 53.2±8.2 0.142 0.889
肿瘤位置/例(%) 0.373 0.985
顶部 1(3) 1(3)
前壁 1(3) 2(7)
侧壁 13(43) 13(43)
三角区 13(43) 12(40)
离输尿管口< 1 cm 2(7) 2(7)
肿瘤数量/例(%) 0.417 0.519
单发 25(83) 23(77)
多发(≥2个) 5(17) 7(23)
肿瘤大小/cm 1.8±0.3 1.7±0.3 1.267 0.210
术前合并其他疾病/例(%) 13(43) 15(50) 0.268 0.605

二、EEBT组和TURBT组NMIBC患者的围术期情况比较

所有手术均顺利完成。与TURBT组相比,EEBT组术中出血量较少、闭孔神经反射发生率较低,术后留置尿管时间及住院时间均较短(P均<0.05),但EEBT组的手术时间长于TURBT组(P < 0.05)。EEBT组无发生膀胱穿孔者, TURBT组3例发生膀胱穿孔,组间比较差异无统计学意义(P > 0.05),见表2
表2 EEBT组和TURBT组NMIBC患者的围术期情况比较
项 目 EEBT组(30例) TURBT组(30例) χ2/t值 P值
手术时间/min 42.6±3.2 35.5±2.8 9.094 <0.001
术中出血量/mL 9.3±2.5 12.1±3.1 3.803 <0.001
闭孔神经反射/例(%) 1(3) 8(27) - 0.026a
膀胱穿孔/例(%) 0(0) 3(10) - 0.237a
留置尿管时间/d 3.7±1.1 5.1±1.2 5.033 <0.001
住院时间/d 5.9±1.0 7.1±1.3 3.898 <0.001

注:aFisher 确切概率法。

三、EEBT组和TURBT组NMIBC患者的病理诊断及病理医师对标本的满意度比较

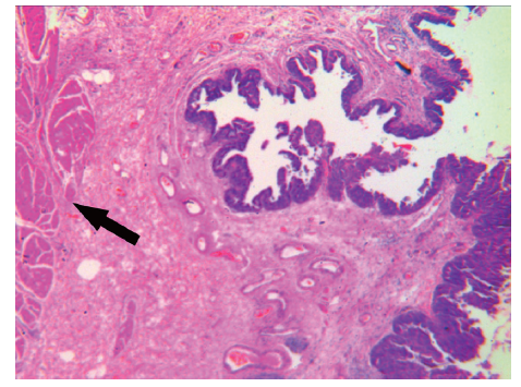
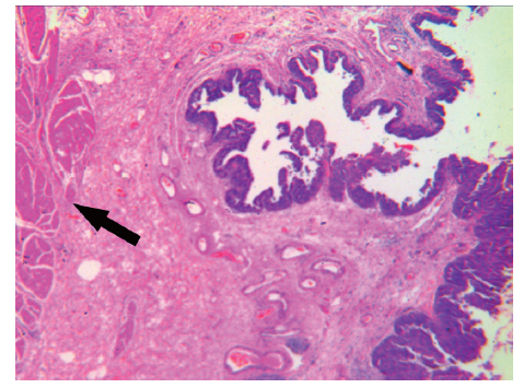
2组的术后肿瘤病理分级、病理T分期比较差异均无统计学意义(P均> 0.05)。EEBT组所有患者术后病理标本中均可见膀胱逼尿肌组织,见图2。病理科医师对标本的满意度达到100%,而TURBT组仅有80%的患者术后病理标本中可见膀胱逼尿肌组织,病理医师对标本的满意度为73%,组间比较差异有统计学意义(P < 0.05),见表3
图2 一例行EEBT的NMIBC患者术后病理结果

注:黑色箭头示标本可见肌层;HE染色,×100。

表3 EEBT组和TURBT组NMIBC患者的病理诊断及病理医师对标本的满意度比较[例(%)]
项 目 EEBT组(30例) TURBT组(30例) χ2/t值 P值
标本满意度 30(100) 22(73) - 0.005a
标本见膀胱逼尿肌组织 30(100) 24(80) - 0.024a
术后病理分级 0.373 0.542
低级别 22(73) 24(80)
高级别 8(27) 6(20)
术后病理T分期 0.069 0.793
Ta 13(43) 12(40)
T1 17(57) 18(60)

注:aFisher 确切概率法。

四、EEBT组和TURBT组NMIBC患者的术后复发率比较

所有患者在随访期内均未见远处转移。2组患者在术后6个月的复发率比较差异无统计学意义(P = 0.492)。TURBT组在1年内有8例(26.7%)患者出现复发,而EEBT组仅有1例(3%)患者出现复发,TURBT组的复发率高于EEBT组(P = 0.028)。

讨论

膀胱尿路上皮癌是泌尿系统最常见的恶性肿瘤之一,包括NMIBC和肌层浸润性膀胱尿路上皮癌。NMIBC包括原位癌(Tis)、非浸润性乳头状癌(Ta)、尿路上皮癌细胞侵犯黏膜下结缔组织(T1),在膀胱肿瘤中占70%~80%,其主要特点是肿瘤具有多发病灶及术后复发率高[3-4]。TURBT是治疗NMIBC的金标准,可切除距肿瘤边缘0.5 cm内所有组织(包括肿瘤基底),以明确肿瘤分级、分期和恶性程度,并为后续治疗制定方案[4-5]
肿瘤基底的浸润深度对于临床医师的决策极为重要[6-7]。传统的TURBT是在肿瘤表面顺行由浅至深逐层切除,切除的肿瘤组织比较凌乱,特别是肿瘤的基底,由于电凝或者电切,组织凝固性坏死,给病理诊断带来一定的困难[8]。EEBT则是将膀胱肿瘤包含肿瘤基底整块剜除,可以提供完整的肿瘤基底组织,有利于病理医师准确诊断[9]。本研究中,EEBT组是将整个肿瘤组织剜除,肿瘤的基底组织完整保留,病理标本基底见膀胱逼尿肌组织的比例较高,有助于病理医师做出更为准确的诊断,因此病理医师对标本的满意度较高。
国内外文献有采用不同能量器械进行EEBT的报道。Ukai等(2000年)采用J形针状电极高频电刀成功行EEBT。Saito等(2001年)利用钬激光进行EEBT。国内也有学者用等离子电切和海博刀进行膀胱肿瘤整块切除[10]。本研究采用等离子电切术,与前述研究不同之处在于剜除前对肿瘤基底浅肌层注水。首先,膀胱肌层由于水垫的作用变厚,膀胱深浅肌层形成间隙而有利于肿瘤剜除,减少闭孔神经反射的发生。而且在剜除的过程中,在水垫的指引下可以有效预防膀胱穿孔[11]。本研究中EEBT组无患者发生膀胱穿孔,TURBT组有3例患者出现膀胱穿孔;EEBT组有1例出现闭孔神经反射,TURBT组有8例出现闭孔神经反射。其次,基底注水后膀胱肿瘤剜除在无血管平面的深浅肌层之间进行,可减少术中出血,避免出现由于电凝改变病理分期,而且剜除的病理标本完整,有利于病理医师做出准确的病理诊断[12]。值得注意的是,由于需要完整取出标本,入组的膀胱肿瘤的直径不宜过大,如果肿瘤标本取出困难,可在剜除完毕后,将肿瘤组织切成2块,再分次取出,但是不宜将肿瘤组织切碎,以免破坏肿瘤肌层。本研究中,EEBT组30例术后病理标本均见膀胱逼尿肌组织,未见肿瘤组织浸润肌层,病理医师对标本的满意度达到100%;而TURBT组术后病理标本中有6例不含膀胱肌层组织,所送标本碎乱,无法准确判断,病理医师对所送的标本满意度仅为73%,组间比较差异有统计学意义。此外,基底注水后浅肌层和深肌层被水垫分开,出血少,术野清晰,更容易将肿瘤彻底剜除,而且剜除术避免切碎肿瘤组织,减少肿瘤细胞在膀胱内播散和种植,降低了膀胱肿瘤的腔内复发率。本研究中,EEBT组的术中出血和住院时间均优于TURBT组,且术后1年内TURBT组有8例复发而EEBT组有1例复发。
本研究所报道的膀胱肿瘤剜除技术要点有以下几个方面:①注射长针的制作,5F的输尿管导管前端接12F针头,尾端接注射器;②注射灭菌用水注射点位于距肿瘤基底1 cm的膀胱黏膜下层和肌层,使肿瘤基底隆起;③根据肿瘤位置将电切襻调整不同角度,以利于剜除;④根据肿瘤情况调整体位,患者可采取臀高脚低位、斜位等体位,以利于手术操作;⑤ 逆行剜除,打开膀胱基底部的黏膜后,利用电切环的推挤力量,显露肿瘤基底部,钝性加锐性游离,充分显露肿瘤基底水扩张的平面,有利于精准切割;⑥肿瘤尽量整块由鞘内勾出,不宜切碎肿瘤,即使需要切开也要保留基底部的完整,且不要将肿瘤直接从尿道拖出,防止肿瘤尿道种植;⑦术后即刻行膀胱灌注化学治疗。
综上所述,基底注水后逆行EEBT治疗NMIBC具有出血少、恢复快、1年内肿瘤复发率低的优势,同时剜除标本完整,有利于病理分期。由于双极等离子电切设备在基层医院已经普及,该手术方式可以利用原有设备和技术在基层医院开展。本研究不足之处在于回顾性研究的病例数较少,随访时间较短,后续将进一步扩大病例数和进行多中心的前瞻性研究,以进一步明确该术式的优势。
[1]
Mostafid H, Kamat A M, Daneshmand S, et al. Best practices to optimise quality and outcomes of transurethral resection of bladder tumours. Eur Urol Oncol, 2021, 4(1): 12-19.

DOI PMID

[2]
费安华, 付明, 胡刚强, 等. 经尿道膀胱肿瘤电切术治疗高级别非肌层浸润性膀胱癌的疗效分析. 癌症进展, 2019, 17(15): 1839-1842.

[3]
Babjuk M, Böhle A, Burger M, et al. EAU guidelines on non-muscle-invasive urothelial carcinoma of the bladder: update 2016. Eur Urol, 2017, 71(3): 447-461.

DOI PMID

[4]
黄建, 王建业, 孔垂泽, 等. 中国泌尿外科疾病诊断治疗指南(2019版). 北京: 科学出版社, 2019:32.

[5]
游成宇, 彭磊, 韦堂墙, 等. 经尿道铥激光切除术治疗非肌层浸润性膀胱癌的荟萃分析. 中华腔镜泌尿外科杂志(电子版), 2021, 15(3): 209-214.

[6]
Xu H, Ma J, Chen Z, et al. Safety and efficacy of en bloc transurethral resection with 1.9 µm vela laser for treatment of non-muscle-invasive bladder cancer. Urology, 2018, 113: 246-250.

DOI

[7]
吴喜链, 董忠, 黄卓雅, 等. 膀胱肿瘤电凝剜除法在非肌层浸润性膀胱肿瘤中的应用. 新医学, 2017, 48(9): 655-659.

[8]
Liao A H, Tseng W H, Shen K H, et al. Role of second-look transurethral resection of bladder tumors for newly diagnosed T 1 bladder cancer: experience at a single center. Urol Sci, 2018, 29(2): 95.

DOI

[9]
Mariappan P, Johnston A, Padovani L, et al. Enhanced quality and effectiveness of transurethral resection of bladder tumour in non-muscle-invasive bladder cancer: a multicentre real-world experience from scotland’s quality performance indicators programme. Eur Urol, 2020, 78(4): 520-530.

DOI

[10]
李亚伟, 黄后宝, 卓栋, 等. 经尿道海博刀黏膜下剥离整块切除非肌层浸润性膀胱癌的初步研究. 临床泌尿外科杂志, 2018, 33(11): 870-873.

[11]
杨成林, 王尉, 肖远松, 等. 肿瘤基底黏膜下吉西他滨溶液扩张辅助1470 nm激光经尿道膀胱肿瘤整块切除术治疗非肌层浸润性膀胱癌. 实用医学杂志, 2019, 35(1): 61-65.

[12]
万颂, 周宇林, 江文聪, 等. 逆行黏膜下整块剜切术治疗非肌层浸润性膀胱癌的疗效分析. 新医学, 2019, 50(10): 735-738.

文章导航

/