研究论著

Cx32、Src/FAK信号通路在肝癌组织中的表达及其与肝癌术后患者预后的关系

  • 余美玲 ,
  • 马翔 ,
  • 董淑英 ,
  • 童旭辉
展开
  • 233004 蚌埠,蚌埠医学院第一附属医院药剂科(余美玲),肝胆外科(马翔); 233030 蚌埠,蚌埠医学院药学院(董淑英,童旭辉)
童旭辉,E-mail:

Copy editor: 林燕薇

收稿日期: 2021-12-16

  网络出版日期: 2022-11-06

基金资助

安徽省自然科学基金(1908085MH293)

蚌埠医学院自然科学基金(BYKY1729ZD)

蚌埠医学院512人才项目(BY51201320)

Expression levels of Cx32 and Src/FAK signaling pathway in hepatocellular carcinoma tissues and their association with prognosis of patients after hepatectomy

  • Yu Meiling ,
  • Ma Xiang ,
  • Dong Shuying ,
  • Tong Xuhui
Expand
  • Department of Pharmacy, the First Affiliated Hospital of Bengbu Medical College, Bengbu 233004, China
Tong Xuhui,

Received date: 2021-12-16

  Online published: 2022-11-06

摘要

目的 探讨肝细胞癌(肝癌)组织中连接蛋白Cx32、磷酸化Src(p-Src)Y416、总Src(total Src)、磷酸化局部黏着斑激素(p-FAK)Y925、总FAK(total FAK)蛋白表达水平对肝癌术后患者预后的影响。方法 收集97例接受根治性手术肝癌患者的肝癌组织标本和相应的癌旁组织标本,使用免疫组织化学(免疫组化)染色法测定Cx32、p-Src Y416、total Src、p-FAK Y925和total FAK的蛋白表达水平,并对肝癌患者术后随访5年,采用单因素和多因素Cox回归分析肝癌患者术后死亡的影响因素,并使用Kaplan-Meier法计算生存率。结果 免疫组化染色结果显示肝癌组织中Cx32的阳性表达率低于相应的癌旁组织,而p-Src Y416、total Src、p-FAK Y925、total FAK的蛋白阳性表达率均高于相应的癌旁组织(P均< 0.05)。单因素Cox回归分析显示,年龄、肿瘤分化程度、肿瘤直径、Cx32、p-Src、total Src、p-FAK Y925、total FAK是肝癌患者术后死亡的8个可疑影响因素(P均< 0.05);多因素Cox回归分析及生存分析显示,高表达Cx32可能是肝癌患者术后死亡风险的独立保护因素,而高表达p-Src Y416和p-FAK Y925可能是肝癌患者术后死亡风险的独立危险因素(P均<0.05)。结论 高表达Cx32提示肝癌患者术后死亡风险可能较低,而高表达p-Src Y416和p-FAK Y925提示肝癌患者术后死亡风险较高。

本文引用格式

余美玲 , 马翔 , 董淑英 , 童旭辉 . Cx32、Src/FAK信号通路在肝癌组织中的表达及其与肝癌术后患者预后的关系[J]. 新医学, 2022 , 53(10) : 761 -766 . DOI: 10.3969/j.issn.0253-9802.2022.10.011

Abstract

Objective To determine the protein expression levels of Connexin32 (Cx32), phosphorylated-Src (p-Src) Y416, total Src, phosphorylated-FAK (p-FAK) Y925 and total FAK in the hepatocellular carcinoma (HCC) tissues, and to evaluate the effect of these proteins on prognosis of HCC patients after hepatectomy. Methods HCC and corresponding paracancerous tissues of patients who underwent radical operation from January 2014 to December 2014 were collected. The protein expression levels of Cx32, p-Src Y416, total Src, p-FAK Y925 and total FAK were measured by immunohistochemistry. Postoperatively, HCC patients were followed up for 5 years. Univarivate and multivariate Cox’s regression analyses were employed to identify the influencing factors of postoperative mortality, and kaplan-Meier curve was delineated to evaluate the survival rate. Results Immunohistochemistry showed that the positive protein expression rate of Cx32 in the HCC tissues was significantly lower, whereas the positive protein expression rates of p-Src Y416, total Src, p-FAK Y925 and total FAK were significantly higher compared with those in the corresponding paracancerous tissues (all P < 0.05). Univarivate Cox’s regression analysis indicated that age, degree of tumor differentiation, tumor diameter, Cx32, p-Src Y416, total Src, p-FAK Y925 and total FAK were eight suspected influencing factors of postoperative mortality of HCC patients (all P < 0.05). Multivariate Cox’s regression analysis and survival analysis showed that Cx32 protein expression could be an independent protective factor of postoperative mortality for HCC patients, whereas high protein expression levels of p-Src Y416 and p-FAK Y925 were the independent risk factors (all P < 0.05). Conclusion Cx32 expression reduces the mortality risk of HCC patients after radical operation, while high expression levels of p-Src Y416 and p-FAK Y925 enhance postoperative mortality risk.

肝细胞癌(肝癌)是我国第四高发的恶性肿瘤,其致死率在所有恶性肿瘤中排名第二[1]。细胞缝隙连接(GJ)是细胞之间的一种蛋白质连接通道,由特殊的通道蛋白[连接蛋白(Cx)]组成[2]。研究显示,肿瘤的发生、发展过程往往伴随着Cx表达的降低或者缺失,而上调或恢复肿瘤细胞中的Cx表达水平,可抑制肿瘤细胞的生长、分化,降低细胞的侵袭、转移能力,逆转耐药[3-6]。Cx32在正常肝细胞表达的主要连接蛋白中占90%,是肝细胞缝隙连接最主要的结构基础[7]。在肝癌的发生、发展过程中,Cx32表达水平会明显下降[7]。Src/局部黏着斑激素(FAK)信号通路在多种肿瘤细胞中持续性激活,Src是一种相对分子量为60 kDa的非受体酪氨酸激酶。对于人源的Src而言,主要的磷酸化位点包括激酶区负责活化的pTyr416位点和C端尾链抑制性的pTyr530位点。当激活时,Src在酪氨酸残基 416 位点自磷酸化,因此在本研究中主要分析了p-Src Y416的表达水平。Src可以激活Src蛋白的细胞质复合物蛋白,如FAK。人FAK含有6个可以被磷酸化的酪氨酸,Tyr397、Tyr407、Tyr576、Tyr577、Tyr861、Tyr925。笔者在前期研究证实,肝癌细胞中Cx32是Src/FAK信号通路的上游调控因子[4]。为进一步探讨Cx32、Src/FAK信号通路在预测肝癌患者预后中的作用,本研究在前期研究的基础上对97例接受肝癌根治性手术的患者进行随访,分析肝癌组织中Cx32、Src/FAK的表达水平与患者预后之间的关系。

对象与方法

一、研究对象

收集2014年1至12月在蚌埠医学院第一附属医院肝胆外科接受根治性手术的97例患者的肝癌组织标本和相应的癌旁组织标本(距离肝癌病灶2 cm的肝组织)。所有标本均经中性甲醛固定,常规石蜡包埋, 5 μm厚连续切片。所有患者术前都未接受放射治疗、化学治疗和免疫治疗等相关治疗。对患者进行随访,随访时间至2019年12月,最终入组97例。本研究方案经蚌埠医学院伦理委员会批准(批件号:[2020]第120号),患者均已签署知情同意书。

二、方法

1. 临床资料收集

收集97例患者的临床资料,包括年龄、性别、是否肝硬化、是否乙型肝炎、肿瘤最长直径、有无包膜、甲胎蛋白水平、肿瘤分化程度、生存与否或死亡时间。分层分析时将肝癌分化程度依据《肝脏活检病理解读(第2版)》分为高分化(肝癌组织接近正常组织,恶性程度低)、中分化(肝癌组织与正常组织差别不大,中度成熟,中度恶性程度)、低分化(肝癌组织与正常组织相差大,成熟度差,恶性度高)3种情况;根据甲胎蛋白水平分为 ≤400 μg/L和> 400 μg/L 2种情况。

2. 免疫组织化学(免疫组化)染色法检测

使用免疫组化染色法检测Cx32、磷酸化-Src(p-Src)Y416、总Src(total Src)、磷酸化FAK(p-FAK)Y925、总FAK(total FAK)在肝癌组织以及相应癌旁组织中的蛋白表达:取病理组织切片脱蜡,梯度乙醇水化,枸橼酸盐缓冲液(pH = 6.0)高温修复,3% 过氧化氢阻断内源性过氧化物酶后滴加血清封闭;然后将切片与一抗在4 ℃孵育过夜,复温后滴加二抗室温下孵育 15 min,二氨基联苯胺显色5 min;苏木精复染,脱水透明后中性树胶封片。以细胞内出现黄色或棕黄色颗粒为阳性表达,按阳性细胞所占百分比评分:<5%为(-),5%~10%为(+),11%~50%为(++),51%~75%为(+++),>75%为(++++) [8]。分层分析时将不表达和表达(+)归为低表达,表达(++ ~ ++++)归为高表达。

三、统计学处理

使用SPSS 20.0对数据进行统计分析,计数资料采用配对χ2检验。采用单因素Cox回归分析收集到的肝癌手术患者的各项指标与肝癌术后患者的生存预后是否有关。将单因素Cox回归分析结果中有统计学意义的指标纳入多因素Cox回归模型(纳入法),分析肝癌术后患者生存的影响因素。通过绘制生存曲线(Kaplan-Meier法)以及对数秩检验(Log-rank test)探讨Cx32、p-Src Y416、p-FAK Y925蛋白表达与患者生存时间的关系。P < 0.05为差异有统计学意义。

结果

一、研究对象的基本信息

97例肝癌患者中,男72例、女25例,年龄25~78岁、中位年龄55岁;肝硬化77例(79%),乙型肝炎66例(68%);甲胎蛋白> 400 μg/L 28例(29%);低分化17例(18%),中分化70例(72%),高分化10例(10%);肝癌标本无包膜82例(85%);肿瘤最大直径> 5 cm 54例(56%);随访5年最终生存55例(57%),死亡42例(43%)。

二、Cx32、Src/FAK蛋白在肝癌组织以及相应的癌旁组织中的表达情况

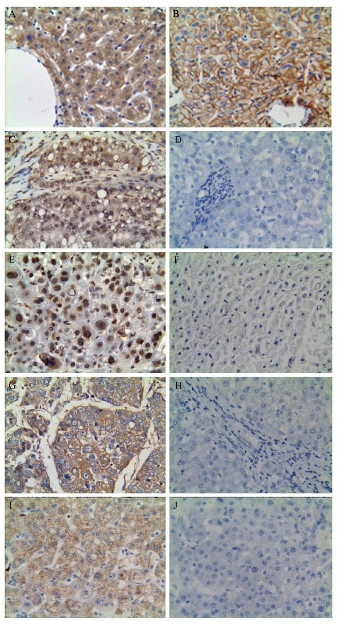
免疫组化染色结果显示,肝癌组织的Cx32蛋白表达阳性率低于相应的癌旁组织,其p-Src Y416、 total Src、 p-FAK Y925、total FAK的蛋白表达阳性率均高于相应的癌旁组织(P均< 0.05),见表1图1。97例肝癌组织以及相应癌旁组织中各蛋白的具体表达情况见表2
表1 97例肝癌组织以及相应的癌旁组织中Cx32、Src/FAK蛋白的表达情况[例(%)]
蛋 白 肝癌组织 癌旁组织 合计 χ2 P
表达 不表达
Cx32 表达 47(48) 1(1) 48(49)
不表达 31(32) 18(19) 49(51)
合计 78(80) 19(20) 28.125 <0.001
p-Src Y416 表达 8(8) 48(49) 56(58)
不表达 0(0) 41(42) 41(42)
合计 8(8) 89(92) 48.000 <0.001
Total Src 表达 11(11) 54(56) 65(67)
不表达 1(1) 40(41) 32(33)
合计 12(12) 85(88) 51.073 <0.001
p-FAK Y925 表达 9(9) 49(51) 58(60)
不表达 0(0) 39(40) 39(40)
合计 9(9) 88(91) 49.000 <0.001
Total FAK 表达 10(10) 52(54) 62(64)
不表达 0(0) 35(36) 35(36)
合计 10(10) 87(90) 52.000 <0.001
图1 肝癌组织与癌旁组织的Cx32、p-Src Y416、p-FAK Y925、total Src、total FAK蛋白表达比较(免疫组化染色,×200)

注:A为肝癌组织Cx32蛋白表达,B为癌旁组织Cx32蛋白表达;C为肝癌组织p-Src Y416蛋白表达,D为癌旁组织p-Src Y416蛋白表达;E为肝癌组织p-FAK Y925蛋白表达,F为癌旁组织p-FAK Y925蛋白表达;G为肝癌组织total Src蛋白表达,H为癌旁组织total Src蛋白表达;I为肝癌组织total FAK蛋白表达,J为癌旁组织total FAK蛋白表达。

表2 97例肝癌组织以及相应的癌旁组织中Cx32、Src/FAK蛋白的具体表达情况[例(%)]
蛋 白 肝癌组织 癌旁组织
- + ++ +++ ++++ 低表达率 高表达率 - + ++ +++ ++++ 低表达率 高表达率
Cx32 49 19 9 20 0 (70) (30) 19 3 20 42 13 (23) (77)
p-Src Y416 41 6 35 11 4 (48) (52) 89 5 2 1 0 (97) (3)
Total Src 32 12 34 17 2 (45) (55) 85 10 2 0 0 (98) (2)
p-FAK Y925 39 6 43 8 1 (46) (54) 88 8 1 0 0 (99) (1)
Total FAK 35 13 32 14 3 (49) (51) 87 10 0 0 0 (100) (0)

三、97例肝癌根治性术后患者死亡的单因素和多因素Cox回归分析结果

单因素回归分析显示,肝癌患者死亡有8项可疑影响因素,分别为年龄、肿瘤分化程度、肿瘤直径、Cx32、p-Src Y416、total Src、p-FAK Y925、total FAK蛋白的表达(P均< 0.05)。多因素回归分析显示,性别、甲胎蛋白> 400 μg/L、乙型肝炎、包膜、肿瘤长径和total FAK的蛋白表达均非肝癌患者死亡的影响因素(P均> 0.05)。高表达Cx32的肝癌患者死亡的风险可能为低表达Cx32患者的12%(P < 0.05);高表达p-Src的肝癌患者死亡的风险是低表达p-Src肝癌患者的14.306倍(P < 0.05);高表达p-FAK的肝癌患者死亡的风险是低表达p-Src肝癌患者的12.152倍(P < 0.05)。另外,年龄和高表达Total Src为独立危险因素,中分化(与低分化对照)为独立保护因素(P均< 0.05),见表3
表3 97例肝癌患者单因素和多因素分析结果
影响因素 单因素分析 多因素分析
HR (95%CI) P值 HR (95%CI) P值
年龄 1.041(1.009,1.075) 0.013 1.057(1.015,1.1) 0.007
性别(男vs. 女) 0.714(0.371,1.376) 0.314 1.100(0.47,2.578) 0.826
甲胎蛋白 (> 400 μg/L vs.≤400 μg/L) 1.807(0.969,3.372) 0.063 1.479(0.698,3.133) 0.307
乙型肝炎(有vs.无) 0.923(0.486,1.753) 0.806 1.443(0.485,4.287) 0.510
分化程度
中分化vs. 低分化
高分化vs. 低分化
0.247(0.097,0.633)
0.141(0.072,0.276)
0.170(0.056,0.517)
0.004
<0.001
0.002
0(0,0)
0.345(0.152,0.783)
0.381(0.097,1.493)
0.036
0.011
0.166
有无包膜(有包膜vs. 无包膜) 0.399(0.142,1.119) 0.081 2.168(0.564,8.333) 0.260
肿瘤长径(> 5 cm vs. ≤5 cm) 2.162(1.121,4.166) 0.021 1.110(0.455,2.707) 0.819
Cx32(低表达vs.高表达) 0.038(0.005,0.275) 0.001 0.120(0.015,0.997) 0.049
p-Src Y416(高表达vs.低表达) 23.532(7.219,76.706) <0.001 14.306(3.36,60.901) <0.001
total Src(高表达vs.低表达) 29.546(7.099,122.974) <0.001 6.504(1.051,40.248) 0.044
p-FAK Y925(高表达vs.低表达) 14.415(5.113,40.636) <0.001 12.152(2.746,53.783) 0.001
total FAK(高表达vs.低表达) 12.012(4.686,30.796) <0.001 2.434(0.674,8.793) 0.175

四、Cx32、p-Src Y416、p-FAK Y925与97例肝癌术后患者总体生存时间的关系

生存分析显示,肝癌患者中Cx32高表达者与Cx32低表达者的生存率分别为46.39%、10.31%(log-rank χ2 = 23.856,P < 0.001);p-Src Y416低表达者与p-Src高表达者的生存率分别为45.36%、11.34%(log-rank χ2 = 56.637,P < 0.001);p-FAK Y925低表达者与p-FAK Y925高表达者的生存率分别为42.27%、14.43%(log-rank χ2 = 43.599,P < 0.001),见图2
图2 Cx32、p-Src Y416、p-FAK Y925的生存曲线(Kaplan-Meier法)

注:A为Cx32;B为p-Src Y416;C为p-FAK Y925;0为低表达,1为高表达。

讨论

Cx32是肝癌细胞最主要的连接蛋白。研究证实,Cx32表达下降会促进肝癌的进展、化学治疗耐药,提高肿瘤的侵袭、转移能力[3-4, 7]。但Cx32能否作为肝癌的预后预测因子还有待于进一步验证。Sheen等(2004年)的研究显示,低表达Cx32 mRNA的肝癌术后患者预后差,但该研究样本量仅34例。本研究共收集并成功随访97例肝癌患者,验证了与低表达Cx32的患者相比,高表达Cx32可能是肝癌患者术后死亡的独立保护因素,Cx32有望成为预测肝癌术后患者预后的标志蛋白。
Src/FAK信号通路在多种肿瘤细胞中持续性激活[9-10]。Src在细胞外可以激活Src蛋白的细胞质复合物蛋白,如FAK等,Src-FAK复合物与许多底物的复合物相互作用,包括Crk相关基质、桩蛋白和p190RhoGAP, 他们在细胞的生长、增殖过程中起重要作用。Src也可以通过SH2区域与FAK的C末端酪氨酸残基结合而磷酸化而使FAK激活,激活的FAK调节B1整联蛋白的活性,调节肿瘤细胞的生长、增殖。Src/FAK信号通路的激活可促进肿瘤的侵袭、转移、化学治疗耐药,笔者前期研究显示,Src/FAK信号通路的激活会促进肝癌细胞对多柔比星产生耐药[4]。但Src/FAK信号通路与肝癌患者生存预后的关系仍有待于进一步探讨。Chen 等(2011年)的研究显示高表达的p-Src Y416是肝癌患者死亡的独立危险因素,低表达患者有更长的生存期。本研究显示,高表达p-Src Y416、p-FAK Y925是肝癌患者死亡的独立危险因素,进一步明确了Src/FAK信号通路与肝癌术后患者生存预后的关系。
结合笔者既往研究,本研究表明Src是Cx32在肿瘤细胞中重要的下游调控因子。Sato等(2007年)研究显示,Cx32可以通过抑制肾癌细胞Src的活性而抑制肿瘤的侵袭;Fujimoto等(2005年)通过Src-STAT3信号通路抑制血管内皮生长因子介导的血管生成;Hada等(2006年)研究显示,Cx32通过抑制A549肺腺癌细胞Src的活性而抑制肿瘤细胞的增殖及迁移;Sato等(2013年)研究表明Cx32还可以通过抑制Src的活性来增加长春碱在人肾细胞癌中的毒性作用。上述研究均说明,Cx32可通过影响Src的活性而调控肿瘤细胞的生长、分化、侵袭、转移以及化学治疗的细胞毒性。但在肝癌细胞中Cx32如何调控Src/FAK信号通路尚未阐明。Finn等(2008年)报道,Src能被胞质中的蛋白激活,因此推测随着肝癌的发生、发展、耐药的发生,Cx32会从细胞膜上异位至胞质中,从而激活Src,下一步我们将进行研究验证该推测。
由于本研究中Cox多因素回归分析中,高表达Cx32对肝癌术后患者的影响P值为0.049,故本研究进一步分析Cx32、Src/FAK信号通路与接受肝癌根治性手术后患者生存预后的关系,结果显示,低表达Cx32、高表达p-Src Y416、p-FAK Y925患者生存预后差,患者中位生存期明显缩短,Cx32、p-Src Y416、p-FAK Y925可能为肝癌术后患者预后的标志。
本研究虽初步证实了肝癌组织中低表达Cx32、高表达p-Src Y416、p-FAK Y925是肝癌患者预后的独立危险因素,但样本量仍偏小,后续研究中将继续增加样本量,收集多中心的临床数据和标本,并设置更长的随访期,进一步探讨Cx32、Src/FAK信号通路与肝癌术后患者临床预后的关系,明确Cx32、p-Src Y416、p-FAK Y925是否能作为肝癌术后患者预后的标志蛋白。
[1]
Bray F, Ferlay J, Soerjomataram I, et al. Global cancer statistics 2018: GLOBOCAN estimates of incidence and mortality worldwide for 36 cancers in 185 countries. CA Cancer J Clin, 2018, 68 (6): 394-424.

DOI

[2]
Beyer E C, Berthoud V M. Gap junction gene and protein families: connexins, innexins, and pannexins. Biochim Biophys Acta BBA Biomembr, 2018, 1860(1): 5-8.

[3]
Yu M, Han G, Qi B, et al. Cx 32 reverses epithelial-mesenchymal transition in doxorubicin-resistant hepatocellular carcinoma. Oncol Rep, 2017, 37(4): 2121-2128.

DOI

[4]
Yu M, Zou Q, Wu X, et al. Connexin 32 affects doxorubicin resistance in hepatocellular carcinoma cells mediated by Src/FAK signaling pathway. Biomed Pharmacother, 2017, 95: 1844-1852.

DOI PMID

[5]
Sinha G, Ferrer A I, Moore C A, et al. Gap junctions and breast cancer dormancy. Trends Cancer, 2020, 6(4): 348-357.

DOI PMID

[6]
Wu J I, Wang L H. Emerging roles of gap junction proteins connexins in cancer metastasis, chemoresistance and clinical application. J Biomed Sci, 2019, 26(1): 8.

DOI

[7]
Maes M, Decrock E, Cogliati B, et al. Connexin and pannexin (hemi)channels in the liver. Front Physiol, 2014, 4: 405.

DOI PMID

[8]
李楠, 单保恩, 赵连梅, 等. MAGE-C1在乳腺癌组织中的表达及其临床意义. 中国肿瘤生物治疗杂志, 2020, 27(10): 1112-1117.

[9]
Mo C F, Li J, Yang S X, et al. IQGAP 1 promotes anoikis resistance and metastasis through Rac1-dependent ROS accumulation and activation of Src/FAK signalling in hepatocellular carcinoma. Br J Cancer, 2020, 123(7): 1154-1163.

DOI

[10]
Chen F, Wu J, Teng J, et al. HCRP-1 regulates cell migration, invasion and angiogenesis via Src/FAK signaling in human prostate cancer. Int J Biol Sci, 2020, 16(2): 342-352.

DOI

文章导航

/