综合病例研究

以肠梗阻为首发表现的成人IgA血管炎一例

  • 邢婷婷 ,
  • 高俊茶
展开
  • 075000 张家口,河北北方学院研究生学院(邢婷婷); 050057 石家庄,河北省人民医院消化科(高俊茶)
高俊茶,E-mail:

Copy editor: 杨江瑜

收稿日期: 2022-05-08

  网络出版日期: 2022-11-06

Adult IgA vasculitis with intestinal obstruction as the first manifestation: a case report

  • Xing Tingting ,
  • Gao Juncha
Expand
  • Graduate School, Heibei North University, Zhangjiakou 075000,China
Gao Juncha,

Received date: 2022-05-08

  Online published: 2022-11-06

摘要

IgA血管炎即过敏性紫癜,是一种主要累及皮肤、胃肠道、肾脏、关节等多系统的自身免疫性疾病,儿童和青少年多见,成人累及胃肠道相对少见。以肠梗阻为首发表现的成人IgA血管炎且累及整个小肠发生炎性改变的报道较少。该例患者为50岁男性,首先表现为不完全性肠梗阻,一般治疗效果不佳,腹部CT提示由累及部分小肠逐渐发展为几乎整个小肠,呈现弥漫性肠壁增厚伴肠系膜脂肪间隙模糊的炎性改变,直至后来出现皮肤紫癜样皮疹及双膝关节肿痛,才最终确诊IgA血管炎,应用激素治疗后症状很快缓解,且复查腹部CT提示整个小肠的炎性改变恢复。

本文引用格式

邢婷婷 , 高俊茶 . 以肠梗阻为首发表现的成人IgA血管炎一例[J]. 新医学, 2022 , 53(10) : 784 -788 . DOI: 10.3969/j.issn.0253-9802.2022.10.015

Abstract

IgA vasculitis, or henoch-schönlein purpura, is an autoimmune disease that mainly affects multiple systems, such as skin, gastrointestinal tract, kidney, and joints. It is more common in children and adolescents, and relatively rare in adults involving the gastrointestinal tract. IgA vasculitis in adults presenting with intestinal obstruction as the first manifestation and involvement of inflammatory changes in the entire small intestine has been rarely reported. In this article, a 50-year old male patient initially presented with incomplete intestinal obstruction. Conventional treatment yielded low efficacy. Abdominal CT scan suggested that the disease gradually progressed from involving part of the small intestine into almost the entire small intestine, showing inflammatory changes of diffuse intestinal wall thickening complicated with blurred mesenteric fat gap. Subsequently, he developed skin purpura-like rash and bilateral knee joint swelling and pain. He was finally diagnosed with IgA vasculitis. Relevant symptoms were effectively relieved after hormone therapy. Abdominal CT scan indicated that the inflammatory changes of the entire small were healed.

IgA血管炎即过敏性紫癜(HSP),是一种自身免疫性、全身性、非肉芽肿性血管炎,其特征是自限性临床病程以及小血管的白细胞碎裂性血管炎。含IgA免疫复合物的沉积是血管受累的标志;好发于儿童和青少年,成年人少见。常由于细菌、病毒、寄生虫感染,遗传,以及食物和药物过敏等诱发[1-2] 。HSP临床表现为非血小板减少性紫癜,主要位于下肢和臀部,可有胃肠道、关节、肾脏受累,多为良性和自限性,预后良好[3-4]。50%~80%的HSP可累及胃肠道,因黏膜下或浆膜下出血和水肿引起弥漫性肠绞痛,在出现典型皮疹前,腹型HSP极易误诊、漏诊及延迟诊断,并发生严重的并发症,如肠套叠、肠梗阻、大量胃肠道出血、肠穿孔等[5]。笔者收治的1例表现为不完全性肠梗阻,最终确诊IgA血管炎患者,现报道如下。

病例资料

一、主诉和现病史

患者男,50岁。因腹胀、腹痛7 d于2020年6月19日入院。患者7 d前饮酒后出现腹胀、腹痛,为全腹胀痛,伴有停止排气、排便,伴恶心、呕吐,呕吐物为胃内容物(不含血液),无发热。患者就诊于当地社区医院未明确诊断,给予对症治疗后症状无缓解。6 d前就诊于河北省人民医院急诊科,实验室检查示白细胞16.66×109/L,中性粒细胞84.0%,嗜酸性粒细胞0.5%,血红蛋白131 g/L;血小板238×109/L;CRP 59.37 mg/L。腹部和盆腔CT平扫+增强示部分小肠肠壁增厚伴强化,考虑炎性病变可能性大;升结肠肠腔扩张,肠内容物增多(图1A、B)。考虑“不完全性肠梗阻”,给予“甘油灌肠剂清洁灌肠、乳果糖通便和双歧杆菌调节肠道菌群”等治疗后,排黑色稀便3次,腹胀较前稍减轻,但仍有腹痛,排气、排便减少,进食较少。随后就诊于消化科门诊,实验室检查示白细胞25.54×109/L,中性粒细胞87.80%,嗜酸性粒细胞0,血红蛋白158 g/L,血小板386×109/L,CRP 126.37 mg/L,总胆红素20.1 μmol/L。患者以“肠梗阻”收住院。既往有高血压病史10余年,口服苯磺酸氨氯地平5 mg/d降压治疗,血压控制在120~130 / 80~85 mmHg(1 mmHg = 0.133 kPa)。否认食物及药物过敏史。
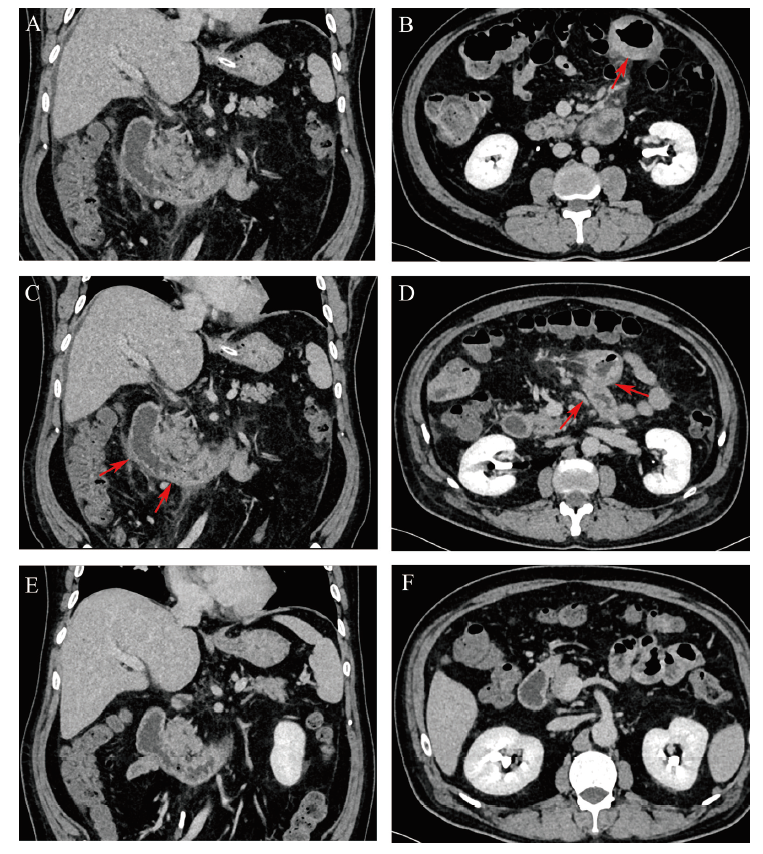
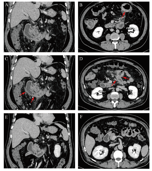
图1 以肠梗阻为首发表现的成人IgA血管炎患者CT图

注:A、B为入院前CT,CT显示脾门下方混杂密度团块影,结肠造影显示脾区可见斑片状高密度影(箭头所指为回肠肠壁增厚);C、D为患者入院第2日CT图,十二指肠降段、水平段及空肠肠壁增厚(箭头所指),伴有周围肠系膜脂肪间隙模糊;E、F为激素治疗后(入院第12日)CT图,十二指肠降段、水平段及空肠近段肠壁未见增厚。

二、体格检查

体温35.6 ℃,脉搏106次/分,呼吸22次/分,血压106/87 mmHg。神志清晰,全身皮肤及黏膜未见皮疹、出血点,心肺查体未见异常,腹部膨隆,未见胃肠型及蠕动波。腹软、无压痛、反跳痛及肌紧张;肝脾未触及,未触及包块,叩鼓音,移动性浊音阴性,肠鸣音减弱,2次/分。双下肢无水肿。

三、入院后实验室及辅助检查

白细胞29.2×109/L,中性粒细胞89.2%,嗜酸性粒细胞0,血小板435×109/L;CRP 130.59 mg/L, 降钙素原0.327 ng/mL。尿常规示尿蛋白(+);粪便潜血(+)。白蛋白23.4 g/L,ALT 49.7 U/L,AST 41 U/L,γ-谷氨酰转移酶142.1 U/L,碱性磷酸酶100.5 U/L,总胆红素13.2 μmol/L,IgG 6.87 g/L,补体C1q 116.4 mg/L。血管炎筛查(ANCA、P-ANCA、C-ANCA、髓过氧化物酶抗体、蛋白酶3、肾小球基底膜抗体)、外周血细胞形态学检查未见异常。心电图、心脏彩色多普勒超声(彩超)、双下肢深静脉彩超均未见异常。立位腹平片提示左中腹部分肠腔胀气及小气液平。

四、诊断及治疗

初步诊断:不完全性肠梗阻、高血压病2级(高危),给予胃肠减压、补液、抗感染、清洁灌肠通便等治疗2 d,患者腹胀、腹痛无明显好转,入院第2日复查腹部平扫+增强CT提示十二指肠降段、水平段及空肠近段肠壁增厚,周围肠系膜脂肪间隙模糊并多发肿大淋巴结,考虑炎性病变可能性大(图1C、D),腹腔少量积液。入院第5日胃镜检查示十二指肠多发糜烂、小溃疡,图2A~C);在十二指肠降部取活检4块送病理示黏膜中度慢性炎症,间质水肿,少量嗜酸性粒细胞浸润伴炎性坏死。当日晚上患者开始出现双下肢皮疹,位于双足背部、踝部、双下肢伸侧对称性分布,米粒大小紫红色皮疹,高出皮面,压之不褪色(图3A),并伴有双膝关节明显肿痛,行走困难。
图2 以肠梗阻为首发表现的成人IgA血管炎患者胃镜图

注:A~C为入院第5日胃镜(宾得内镜)图,十二指肠球部、降部黏膜水肿伴多发糜烂、小溃疡;D~F为应用激素治疗11 d后复查胃镜(奥林巴斯内镜)图,十二指肠球部、降部糜烂、小溃疡愈合,炎症明显减轻。

图3 以肠梗阻为首发表现的成人IgA血管炎患者入院后及应用激素治疗后皮疹图

注:A为患者入院第5日出现双足背部、踝部、双下肢伸侧对称性紫癜样皮疹;B为应用激素治疗11 d双下肢及足背皮疹完全消退。

该病例特点:①患者中年男性,急性病程。②主因腹痛、腹胀7 d入院,为不完全性肠梗阻的表现,入院后第5日出现双下肢紫癜样皮疹、关节肿痛。③查体腹部膨隆,肠鸣音减弱。④立位腹平片提示左中上腹小气液平;腹部CT提示整个小肠炎性改变。⑤常规通便、灌肠、胃肠减压效果欠佳。反复询问患者病史,患者发病前无感冒、无药物服用史、否认食物过敏史等情况。因此,修正诊断:①IgA血管炎,混合型(病因不明);②高血压病2级(高危)。给予甲泼尼龙琥珀酸钠80 mg/d静脉滴注,用药2 d,患者腹痛、腹胀、双膝关节肿痛明显减轻,治疗5 d复查腹部CT提示整个小肠炎性改变消失。同时复查肝功能示ALT 213 U/L,AST 157.7 U/L,γ-谷氨酰转移酶242.8 U/L,碱性磷酸酶127.8 U/L,予以保肝治疗。激素治疗11 d后,患者腹痛、腹胀症状缓解,双下肢足背皮肤紫癜消退(图3B),查体未见阳性体征。入院第12日查双侧膝关节彩超未见异常;并复查腹部CT提示整个小肠炎性改变消退(图1E、F)。激素治疗11 d后复查血常规示白细胞13.04×109/L,中性粒细胞73.4%,嗜酸性粒细胞百分比0.2%,血红蛋白108 g/L,血小板252×109/L;CRP 4.7 mg/L。肝功能示ALT 81.6 U/L,AST 30 U/L,白蛋白33.0 g/L,γ-谷氨酰转移酶234 U/L,碱性磷酸酶128 U/L,总胆红素7.2 μmol/L。复查胃镜提示十二指肠球部及降部黏膜炎症明显减轻(图2D~F);同时完善结肠镜检查提示直肠炎,直肠取病理活组织检查提示直肠慢性炎症。

讨论

IgA血管炎的诊断,仍参照欧洲风湿病联盟/儿童风湿病国际研究组织/儿童风湿病联盟诊断标准(2010年):①非血小板减少性可触及性紫癜;②弥漫性腹痛;③组织病理为伴IgA沉积的白细胞破碎性血管炎,或伴IgA沉积的膜增生性肾小球肾炎;④关节痛或关节炎;⑤肾脏受累(尿蛋白> 0.3 g/24 h、红细胞管型> 5个红细胞/高倍视野)。符合以上至少两项标准即可诊断。此患者有弥漫性腹痛、非血小板减少性皮肤紫癜、关节肿痛,因此可确诊IgA血管炎。其发病机制主要是各种致敏因素使机体发生变态反应,形成免疫复合物沉淀于小血管,引起胃肠道毛细血管炎甚至坏死性小动脉炎,导致皮下、黏膜和内脏器官出血[6]
IgA血管炎内镜下可表现为胃肠道黏膜充血、水肿、出血、糜烂、溃疡,以十二指肠、回肠末段、回盲部和升结肠黏膜病理改变最严重,而食管黏膜正常[7]。但在临床上,有时因胃肠道症状的出现早于皮肤紫癜,可能被误诊为肠系膜血管栓塞、急性胰腺炎、急性出血坏死性小肠炎等[8]。本例患者为中年男性,具有IgA血管炎的多系统表现,伴有血象、炎症指标明显增高,常规治疗效果欠佳;胃镜下表现为十二指肠多发糜烂、小溃疡;CT提示由部分小肠受累逐渐发展为整个小肠发生炎性改变,呈现弥漫性肠壁增厚伴肠系膜脂肪间隙模糊,几乎未累及其他肠段。
IgA血管炎需与特发性血小板减少性紫癜相鉴别,特发性血小板减少性紫癜是以广泛皮肤黏膜及内脏出血、血小板减少为临床特征。本例患者以整个小肠受累为主要特点,考虑可能与小肠肠道血管炎引起的肠壁增厚、积液、水肿和出血有关,导致部分肠内容物无法正常、顺利通过肠道。治疗上,轻症HSP患者以对症支持治疗为主,重症HSP者应早期应用皮质类固醇激素,病情仍未控制者,可加用免疫抑制剂、丙种球蛋白,甚至血浆置换治疗[9]。此例患者病情较重,确诊后立即应用激素治疗,2 d后患者症状即明显改善,7 d后复查CT即提示整个小肠的炎性改变消退;11 d后复查血常规、炎症指标明显下降,且胃镜下十二指肠黏膜充血、糜烂等明显减轻。另外,此患者入院时肝功能正常,之后多次复查肝功能,ALT、AST、γ-谷氨酰转移酶逐渐升高,总胆红素正常;有研究发现,肝损伤占IgA血管炎的5.2%~7.3%,可发生在病程的任何时期,其他临床表现消失后也可出现[10]。此患者既往有多年饮酒史,入院后未再饮酒,有糖皮质激素、抑酸药使用史;但此患者肝损伤原因仍不能除外IgA血管炎可能,这也提醒临床医师在恢复期仍要重视肝功能的监测。然而,IgA血管炎的具体病因目前尚未明确,可能与感染、免疫紊乱及遗传等相关,虽反复询问患者病史,患者发病前无感冒、无药物服用史、否认食物过敏史等情况,患者发病原因仍不明确[11]。我们对患者出院后随访至撰稿日,患者诉未再复发IgA血管炎。
以肠梗阻为首发表现的成人IgA血管炎病例不少见,但累及几乎整个小肠的炎性改变很少见。当临床医师遇到成人出现较重的胃肠道症状时,应当注意与腹型IgA血管炎相鉴别。
[1]
Hashimoto A, Matsushita R, Iizuka N, et al. Henoch-Schönlein pupura complicated by perforation of the gallbladder. Rheumatol Int, 2009, 29(4):441-443.

DOI PMID

[2]
Catal O, Ozer B, Sit M. Henoch-Schönlein purpura presenting with acute abdomen. J Coll Physicians Surg Pak, 2021, 31(3):350-352.

DOI

[3]
Zhu Y, Dong Y, Wu L, et al. Changes of inflammatory mediators and oxidative stress indicators in children with Henoch-Schönlein purpura and clinical effects of hemoperfusion in the treatment of severe Henoch-Schönlein purpura with gastrointestinal involvement in children. BMC Pediatr, 2019, 19(1):409.

DOI PMID

[4]
Chimenz R, Cannavò L, Spinuzza A, et al. Unusual presentation of Henoch-Schönlein purpura. J Biol Regul Homeost Agents, 2019, 33(5Suppl. 1): 69-74.

[5]
Lerkvaleekul B, Treepongkaruna S, Saisawat P, et al, Henoch-Schönlein purpura from vasculitis to intestinal perforation: a case report and literature review. World J Gastroenterol, 2016, 22(26):6089-6094.

[6]
何平, 胡华. 应警惕以急性腹痛为首发表现的腹腔外脏器疾病. 临床误诊误治, 2009, 22(11): 55-57.

[7]
董军乐, 胡文迪, 吴东, 等. 过敏性紫癜的消化内镜表现. 中华消化内镜杂志, 2014, 31(8):477-480.

[8]
McCarthy H J, Tizard E J. Clinical practice: diagnosis and management of Henoch-Schönlein purpura. Eur J Pediatr, 2010, 169(6):643-650.

DOI PMID

[9]
Weiss P F, Feinstein J A, Luan X, et al. Effects of corticosteroid on Henoch-Schönlein purpura: a systematic review. Pediatrics, 2007, 120(5):1079-1087.

DOI PMID

[10]
Trapani S, Micheli A, Grisolia F, et al. Henoch Schonlein purpura in childhood: epidemiological and clinical analysis of 150 cases over a 5-year period and review of literature. Semin Arthritis Rheum, 2005, 35(3):143-153.

DOI

[11]
笪晨星, 顾勇, 张园园, 等. 以消化道出血为主要症状的腹型过敏性紫癜一例. 新医学, 2019, 50(1):66-70.

文章导航

/