综合病例研究

胰腺淋巴上皮囊肿一例

  • 官文婷 ,
  • 梁坚 ,
  • 周宇
展开
  • 524000 湛江,广东医科大学附属医院消化内科
周宇, E-mail:

Copy editor: 杨江瑜

收稿日期: 2022-12-25

  网络出版日期: 2023-04-06

Pancreatic lymphoepithelial cyst: a case report

  • Guan Wenting ,
  • Liang Jian ,
  • Zhou Yu
Expand
  • Department of Gastroenterology, Affiliated Hospital of Guangdong Medical University, Zhanjiang 524000, China
Zhou Yu, E-mail:

Received date: 2022-12-25

  Online published: 2023-04-06

摘要

胰腺淋巴上皮囊肿(PLEC)是一种罕见的胰腺良性囊肿,临床报道较少。PLEC发病率低且缺乏特征性影像学和临床表现,常与胰腺恶性肿瘤难以鉴别,容易误诊。该文报道1例63岁男性PLEC患者因体检发现胰腺肿物,入院行超声内镜引导细针穿刺抽吸术(EUS-FNA)提示良性病变,为进一步诊治行手术切除,术后病理确诊为PLEC。该例提示,EUS-FNA可作为胰腺囊性病灶的优先选用方法。

本文引用格式

官文婷 , 梁坚 , 周宇 . 胰腺淋巴上皮囊肿一例[J]. 新医学, 2023 , 54(3) : 231 -234 . DOI: 10.3969/j.issn.0253-9802.2023.03.013

Abstract

Pancreatic lymphoepithelialcyst (PLEC) is a rare benign pancreatic cyst, which has been rarely reported in clinical practice. The incidence of PLEC is low and specific imaging and clinical manifestations are lacking. It is difficult to make differential diagnosis between PLEC and pancreatic cancer, which is likely to be misdiagnosed. In this article, a 63-year-old male patient who was suspected with PLEC due to a pancreatic mass detected during physical examination was reported. Upon admission, endoscopic ultrasound-guided fine-needle aspiration (EUS-FNA) promoted the diagnosis of benign lesions. Subsequently, surgical resection was performed and he was pathologically diagnosed with PLEC.This case prompts that EUS-FNA can be used as a preferential treatment for pancreatic cystic lesions.

胰腺淋巴上皮囊肿(PLEC)是一种罕见的良性胰腺囊肿,由角化性鳞状上皮细胞和淋巴样组织组成[1]。大多数PLEC患者无特异性临床表现,一般于体检或胰腺其他疾病诊治的过程中偶然发现,给临床、影像学和病理的诊断带来极大的挑战。由于PLEC发病率低且缺乏特征性影像学和临床表现,常与胰腺恶性肿瘤难以鉴别,容易误诊为胰腺癌[2]。本文报道一例PLEC的诊治经过,为提高 PLEC 诊疗水平提供借鉴和参考。

病例资料

一、主诉及病史

患者男,63岁。因“体检发现胰腺肿物2 d”于2022年5月22日入院。患者于2 d前在外院体检时行腹部CT发现胰尾见类圆形低密度影,考虑良性病变,假性囊肿可能性大,现为进一步治疗,遂来我院消化内科治疗。体格检查:心肺未见异常,腹平软,无压痛、反跳痛,未触及包块,肝脾肋下未触及。既往史:无急慢性胰腺炎病史,无酗酒史。

二、实验室及辅助检查

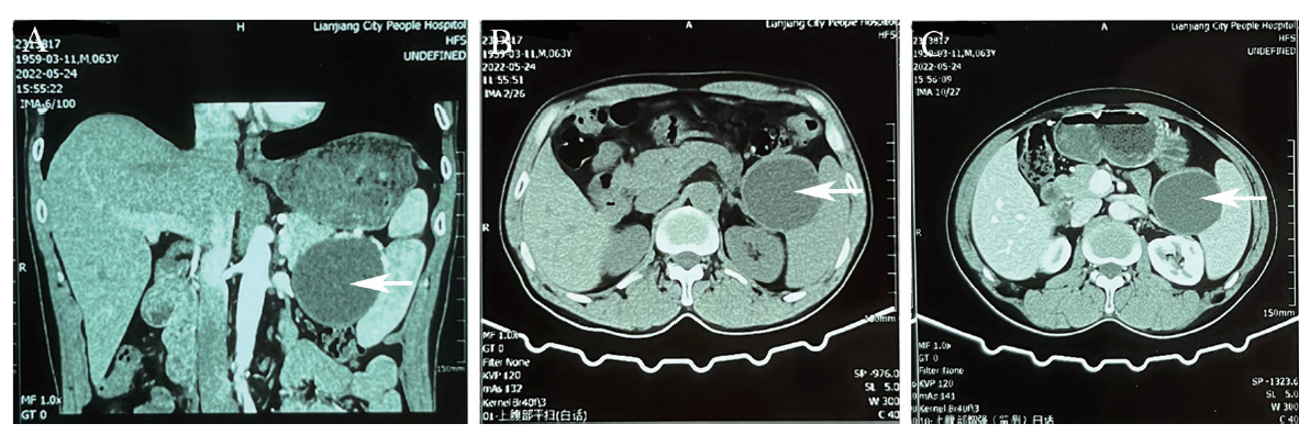
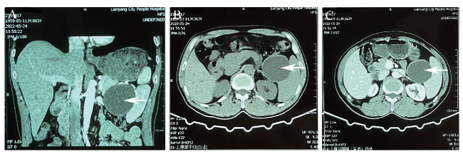
血常规、肝肾功能、血清淀粉酶、癌胚抗原、糖类抗原(CA)19-9、抗核抗体、抗中性粒细胞抗体、风湿因子、甲状腺功能和凝血功能未见异常。外院腹部CT:胰尾见类圆形低密度影,大小57.0 mm×65.0 mm,边界清,增强未见强化,考虑良性病变,假性囊肿可能性大(图1)。
图1 一例PLEC患者外院腹部CT图

注:A为CT平扫冠状位图片,胰尾见类圆形低密度影;B为CT平扫横断位图片;C为CT增强扫描横断位图片,低密度影未见强化;白色箭头所示为低密度影。

三、诊疗经过及随诊情况

患者入院初步诊断为胰腺肿物性质待查,2022年5月26日于我院行超声内镜(EUS),镜下可见胃底静脉显露,胃体黏膜光滑,胃窦黏膜充血水肿,球部及降段黏膜光滑,十二指肠乳头黏膜未见异常。超声下见胰头、颈体形态规则,内部回声均匀;胰体尾区域见一切面大小69.4 mm×58.4 mm均匀无回声占位,内未见分隔,囊壁稍厚,见一切面大小13.5 mm×9.4 mm稍高回声结节影,与囊壁分界不清,病灶远场强化;主胰管不宽,与占位病变不相通;胆总管未见扩张;彩色多普勒超声显示病灶内未见血流信号;弹性成像显示质软,弹性应变率= 0.72;病灶压迫脾静脉,胃底区域管壁内、外均见不规则血流信号(图2A~C)。拟行细针穿刺活检(FNA),用ECH0-19型超声内镜穿刺针在超声内镜引导下于胃体插入无回声病灶内,抽取出棕褐色液体共110 mL,拉丝实验阴性,分别送常规、血液生化、肿瘤标志物及脱落细胞学检查(图2D)。考虑胰体尾囊性占位:囊腺瘤?假性囊肿?囊液常规:腺苷脱氨酶119.4 U/L(参考值0~20 U/L)。囊液生化:李凡他试验阳性。囊液癌胚抗原767.10 ng/mL(参考值0~15 ng/mL)。囊液穿刺细胞学:见红细胞及少许组织细胞和淋巴细胞,考虑胰腺良性病变。
图2 一例PLEC患者彩色多普勒超声内镜图及抽取的囊液

注:A为胰体尾区域见均匀无回声占位,内未见分隔,囊壁稍厚,见一切面稍高回声结节影,与囊壁分界不清;B为病灶远场强化;C为主胰管不宽,与占位病变不相通,胆总管未见扩张;D为抽取的囊液。

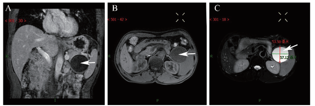
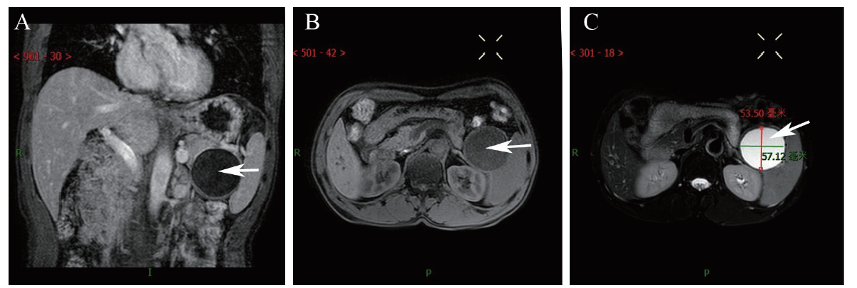
1个月后患者返院复查腹部MRI,胰腺尾部见类圆形T1WI低信号影,T2WI高信号影,DWI呈稍高信号,内壁光滑,增强扫描未见强化,考虑胰腺尾部囊性占位,良性病变以假性囊肿可能性大(图3)。患者为进一步治疗,入住我院肝胆外科,有手术指征并与患者及家属沟通后于全身麻醉下行腹腔镜胰体尾切除术+脾切除术+腹腔粘连松解,术中见胰尾处有一大小7.0 cm×8.0 cm的囊性肿物,包膜完整,质韧,活动度可,肿物与脾动静脉、主胰管间距约0.5 cm以上,其余胰腺部分质地软,胰腺周围、脾动脉淋巴结及脾门淋巴结部分未见肿大。术后病理结果:囊壁由纤维组织构成,内壁大部分区域未见被覆上皮,局部被覆鳞状上皮,囊壁内见较多淋巴细胞浸润,局部淋巴滤泡形成(图4)。最后诊断为PLEC。
图3 一例PLEC患者腹部MRI图

注:A为MRI平扫冠状位图片,胰腺尾部见类圆形T1WI低信号影,T2WI高信号影,DWI呈稍高信号,内壁光滑;B为MRI平扫横断位图片;C为MRI增强扫描横断位图片,未见强化;白色箭头所示为低密度影。

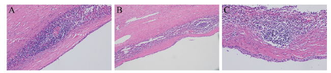
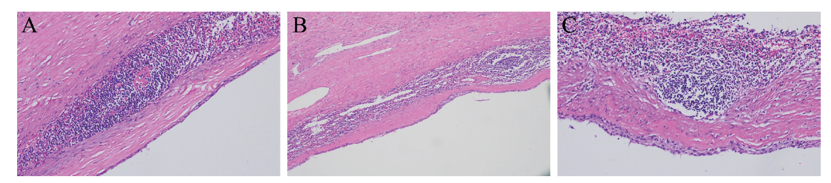
图4 一例PLEC患者病理组织切片(HE染色,×100)

注:A为囊壁由纤维组织构成;B为内壁大部分区域未见被覆上皮;C为局部被覆鳞状上皮,囊壁内见较多淋巴细胞浸润,局部淋巴滤泡形成。

患者术后一般情况可,生命体征平稳,1周后好转出院。术后严密随访6个月未见复发。

讨论

PLEC作为一种极其罕见的良性胰腺囊肿,约占胰腺囊性病0.5%,本病好发于男性,男女发病比例约为4∶1[3-4]。多数学者认为PLEC起源于胰腺周围淋巴结的上皮残留,但该病具体的组织起源尚未明确[5]。PLEC常单发圆形或者椭圆形肿物,可见于胰头、胰体、胰尾,以胰体尾多见,其中40%的患者可无临床症状,一般于体检或胰腺其他疾病诊治的过程中偶然发现,50%的患者可表现为恶心、呕吐、腹痛、腹胀、腹部不适等非特异性临床症状[6]
由于PLEC发病率低、无特异性临床表现,通过查阅我院病案室资料,该病例尚属我院首例PLEC。该患者在体检中偶然发现胰腺肿物入院,临床表现无特异性腹痛、腹胀、恶心、呕吐等不适,体格检查和实验室检查也未发现明显异常。
PLEC影像学因其囊内物质成分的不同,MRI和CT可根据信号及密度的不同分为囊性、混合性和实性占位[7]。CT表现为略低或等密度影,囊壁可见钙化状斑点和分隔现象,给予造影剂增强后,囊壁及其分隔可表现为轻度强化,而胰管则无明显扩张及其他改变[8]。在MRI上,PLEC在T1加权图像上表现为均匀的实性低信号肿块,当进行对比时,边缘增强,而中心核心的低强度保持不变。虽然腹部的影像学检查如MRI、CT和超声可明显提高胰腺囊肿的诊断率,但是对胰腺囊肿囊内的性质进一步辨别却有一定难度,尤其是PLEC。本例PLEC的症状、体征和影像学检查无明显特异性,容易与胰腺囊性疾病重叠,PLEC在临床上仅凭临床表现和影像学检查对其诊断具有一定的挑战性,甚至容易误诊为胰腺癌。
近年来,超声内镜及超声内镜引导细针穿刺抽吸术(EUS-FNA)为PLEC的诊断提供了新的手段。在超声内镜检查中,PLEC典型表现为低回声囊性病变,可呈单房或多房。相关文献报道,EUS-FNA术后病理结果示镜下可见少量淋巴细胞、角化鳞状上皮细胞和小部分无核鳞状细胞;EUS-FNA术中囊内液体送检发现相关肿瘤指标如CA125、癌胚抗原、CA19-9数值升高以及囊内淀粉酶含量也升高[9]。此外,Cao等(2012年)指出在MRI、超声内镜或超声图像中,PLEC内部呈结节样改变,周围组织相对呈高强度,内部呈低强度,可被描述为“cheerios”的改变,是PLEC所特有的表现。
本例影像学缺乏特异性,而FNA送检囊液癌胚抗原明显升高,囊液李凡他试验阳性,与较多学者的文献报道相吻合,但易与胰腺其他疾病相重叠,因此增加了诊断的难度。囊液细胞学见红细胞及少许组织细胞和淋巴细胞,未见异型细胞及不典型细胞,考虑本例是胰腺囊肿良性病变;术后病理结果示局部见鳞状上皮及淋巴细胞;术后病理与EUS-FNA细胞学结果均提示胰腺囊肿良性病变,可见胰腺囊肿超声穿刺术细胞学结果对指导临床诊断PLEC及治疗起关键性作用。
PLEC需与胰腺假性囊肿、胰腺黏液性肿瘤、胰腺癌以及其他胰腺肿物病变进行鉴别。胰腺假性囊肿作为临床上最常见的胰腺囊性病变,影像学表现一般呈单一囊腔,囊腔内富含淀粉酶液体,其中含有碎片、血液和炎症细胞;FNA显示丰富的炎性细胞、组织细胞、晶体,有时可见黄色素,但多见于急慢性胰腺炎、胰腺外伤的患者,结合病史极其重要。有文献指出,EUS-FNA中穿刺若见黏液性液体则可诊断为胰腺黏液性肿瘤,若送检的囊内液体细胞学结果见鳞状上皮及淋巴滤泡可诊断为PLEC[10]。胰腺癌的肿瘤标志物如CA19-9、CA125也可升高,影像学检查也不明显,而EUS-FNA可对其进行鉴别。在治疗上,无症状的PLEC患者可行保守治疗;临床症状表现明显,病变部位较大,影响生活的患者,可行手术治疗;无法诊断PLEC者,可根据实际情况选择合适的治疗方式。
综上所述,该例提示PLEC的CT及MRI影像学表现缺乏特异性,仅凭CT及MRI不足以进行术前鉴别诊断。在临床上对PLEC容易误诊或漏诊,而且单一的抽血检验、CT及MRI检查结果均缺乏特异性,对诊断PLEC更有难度,但是应用EUS-FNA技术,结合病史及辅助检查,在一定程度对诊断PLEC、鉴别胰腺囊肿良恶性及PLEC治疗起关键性作用。EUS-FNA技术安全、快速,确诊价值较高,可信度强,患者接受程度高,可作为胰腺囊性病灶的优先选用方法。
[1]
Iguchi T, Shimizu A, Kubota K, et al. Lymphoepithelial cyst mimicking pancreatic cancer: a case report and literature review. Surg Case Rep, 2021, 7(1): 108.

[2]
王秋野, 张丽艳, 贺涛, 等. 超声内镜引导细针穿刺抽吸术精准诊断胃癌术后胰腺转移癌一例. 新医学, 2022, 53(11): 860-864.

DOI

[3]
Wu Y H, Kuo Y S, Chiang C P, et al. Lymphoepithelial cyst of the tongue. J Dent Sci, 2019, 14(2): 209-210.

DOI

[4]
Kim W H, Lee J Y, Park H S, et al. Lymphoepithelial cyst of the pancreas: comparison of CT findings with other pancreatic cystic lesions. Abdom Imaging, 2013, 38(2): 324-330.

DOI PMID

[5]
段江晖, 孙宏亮, 刘良楹. 胰腺淋巴上皮囊肿伴异位副脾一例. 临床放射学杂志, 2019, 38(1): 56-57.

[6]
Osiro S, Rodriguez J R, Tiwari K J, et al. Is preoperative diagnosis possible? A clinical and radiological review of lymphoepithelial cysts of the pancreas. JOP, 2013, 14(1): 15-20.

[7]
Komura T, Kagaya T, Orita N, et al. Imaging features and pathological evaluation by EUS-FNA enable conservative management in patient of lymphoepithelial cyst of the pancreas: a case report. Clin J Gastroenterol, 2021, 14(1): 370-374.

[8]
Farooq A, Evans J J, Hagen C E, et al. Lymphoepithelial cyst of the pancreas: a challenging diagnosis on fine needle aspiration. Ann Diagn Pathol, 2020, 49: 151603.

DOI

[9]
王云帆, 费胜民, 胡阿锦. 胰腺淋巴上皮囊肿1例报道. 诊断病理学杂志, 2019, 26(6): 378-380.

[10]
Namba Y, Oshita A, Nishisaka T, et al. Lymphoepithelial cyst of the pancreas: a case report and summary of imaging features of pancreatic cysts. Int J Surg Case Rep, 2019, 55: 192-195.

文章导航

/