综合病例研究

复发性且MRI阴性的LGI1抗体相关脑炎一例

  • 刘曈 ,
  • 夏丽萍 ,
  • 贾玉勤
展开
  • 250355 济南,山东中医药大学第一临床医学院(刘曈); 261041 潍坊,山东省潍坊市中医院脑病一科(夏丽萍,贾玉勤)
贾玉勤,E-mail:

Copy editor: 洪悦民

收稿日期: 2023-01-31

  网络出版日期: 2023-05-09

A case report of recurrent and MRI negative LGI1 antibody-associated encephalitis

  • Liu Tong ,
  • Xia Liping ,
  • Jia Yuqin
Expand
  • The First Clinical Medical College of Shandong University of Traditional Chinese Medicine, Jinan 250355, China
Jia Yuqin, E-mail:

Received date: 2023-01-31

  Online published: 2023-05-09

摘要

富亮氨酸胶质瘤失活1蛋白(LGI1)抗体相关脑炎属于自身免疫性疾病,临床表现复杂多样,容易被误诊。该文报道1例LGI1抗体相关脑炎的74岁男性患者,其以意识丧失、四肢抽搐为首发症状,1年内发作2次,MRI检查未见明显异常信号,完善自身免疫性脑炎抗体检验,结果显示LGI1抗体血清及脑脊液抗体均(+)。确诊后予糖皮质激素及免疫治疗,患者症状明显好转。

本文引用格式

刘曈 , 夏丽萍 , 贾玉勤 . 复发性且MRI阴性的LGI1抗体相关脑炎一例[J]. 新医学, 2023 , 54(4) : 294 -297 . DOI: 10.3969/j.issn.0253-9802.2023.04.012

Abstract

Leucine-rich glioma inactivated 1 (LGI1) antibody-associated encephalitis is an autoimmune disease with complex and diverse clinical manifestations and is prone to misdiagnosis. In this article, one case of LGI1 antibody-associated encephalitis was reported. This patient presented with loss of consciousness and limb twitches as the first symptoms, which occured twice within a year. No obvious abnormal signal was found by MRI. Autoimmune encephalitis antibody test showed that both serum and cerebrospinal fluid samples were positive for LGI1 antibody, which confirmed the diagnosis. Relevant symptoms were significantly improved after glucocorticoid use and immunotherapy.

富亮氨酸胶质瘤失活1蛋白(LGI1)抗体相关脑炎是一种主要累及边缘系统的自身免疫性疾病,临床上较为罕见,症状主要为癫痫发作、认知障碍、近记忆力减退、面-臂肌张力障碍样发作(FBDS)、顽固性低钠血症等。现报道1例确诊为LGI1抗体相关脑炎愈后再次复发的患者,旨在为临床诊断与治疗提供参考。

病例资料

一、第1次发病及诊治情况

1.病史与主诉

患者男,74岁。因“发作性意识丧失伴双上肢抽动20余日”于2021年11月17日入山东省潍坊市中医院。患者于20余日前无明显诱因突然出现意识丧失,瘫倒在床,伴双上肢抖动,并咬破舌体,遂就诊于外院。在外院住院期间行颅脑MRI平扫及增强检查,结果提示颅脑多发梗死灶及软化灶,无异常强化病灶,完善其他检查后基本排除风湿及特殊感染导致的癫痫发作,肿瘤指标神经特异性烯醇化酶(NSE)略高,其余未见异常。在外院给予改善循环、控制癫痫发作等对症治疗后仍出现2次意识丧失及肢体抽动,遂转至山东省潍坊市中医院。患者入院时表现为乏力困倦,交流反应迟钝,不认亲属,不能判断时间、地点等。患者既往有高血压及脑梗死病史。个人史及家族史无特殊。

2.体格查体

患者嗜睡,精神差,言语尚清晰,记忆力、计算力、空间定向力减退,理解力尚可,颅神经检查(-),四肢肢体肌张力正常、肌力4级,脑膜刺激征(±),双侧巴氏征(-)。感觉和共济运动无异常。

3.实验室及辅助检查

血钠波动于132.9~135.3 mmol/L。胸部CT未见明显异常。脑脊液检查:压力220 mmH2O(1 mmH2O = 0.009 8 kPa),氯121.5 mmol/L,糖3.4 mmol/L,蛋白0.5 g/L,细胞计数2×106/L,潘氏试验(-)。6 h视频脑电图:局灶性慢波,未见癫痫波。

4.诊断与治疗

初步诊断为病毒性脑炎? 自身免疫性脑炎?高血压病3级(极高危),症状性癫痫,脑梗死后遗症。诊疗经过:诊断不排除病毒性脑炎,予静脉注射阿昔洛韦0.65 g、每8 h 1次,口服丙戊酸钠缓释片 0.75 g、2次/日。但患者仍觉困倦嗜睡,并出现2次牙关紧闭、双上肢抽动等癫痫发作症状,伴胡言乱语、答非所问、不认亲人,发作持续时间1~2 min。完善腰椎穿刺,外送自身免疫性脑炎抗体:血清及脑脊液LGI1抗体均(+)。明确诊断为LGI1抗体相关脑炎。确诊后停用阿昔洛韦,改为注射甲泼尼龙琥珀酸钠1 000 mg,1次/日、3 d,后减量为500 mg,1次/日、2 d,联合应用静脉注射人Ig 0.4 g/(kg·d)、5 d冲击治疗,并予抗癫痫、补钾、补钠等对症治疗。经上述治疗后,患者症状缓解,出院时精神状态明显改善,未再出现意识丧失及双上肢抽动症状,认知能力较入院时改善,遗留记忆力、定向力、计算力等高级智能部分缺损。

二、第2次发病及诊治情况

1.病史及主诉

患者因“发作性意识丧失伴四肢抽动14 h”于2022年9月18日再次入山东省潍坊市中医院。患者于14 h前无明显诱因突然出现意识丧失,伴四肢抽动,头右侧偏斜,小便失禁,持续时间5~6 min,意识恢复后分别于约0时、3时、6时再次出现上述症状。患者入院时呈昏睡状态,可被疼痛刺激唤醒,醒后不能对答。患者家属诉近半个月以来患者反应较前迟钝,时有幻觉、谵语等表现。既往史同前。

2.体格查体

患者呈昏睡状态,不配合高级智能检查。无法配合四肢肢体肌力检查,肌张力正常,双侧巴氏征(-)。无法进行感觉及共济运动检查。

3.入院后实验室及辅助检查

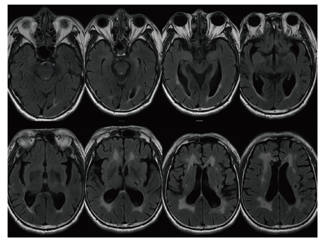
血清及脑脊液LGI1抗体均(+)。脑脊液检查:压力180 mmH2O,氯124.8 mno1/L,葡萄糖3.8 mmol/L,电解质未见异常。颅脑MRI:脑内多发梗死灶及软化灶,部分软化灶周围伴胶质增生(图1)。
图1 一例复发性且MRI阴性的LGI1抗体相关脑炎患者MRI检查

注:T2序列未见异常信号,仅有部分梗死灶及软化灶。

4.诊断与治疗

诊断为LGI1抗体脑炎复发?高血压病3级(极高危),症状性癫痫,脑梗死后遗症。诊疗经过:考虑LGI1抗体脑炎复发可能性大,完善腰椎穿刺,抽取脑脊液送检回报仍为LGI1抗体(+),可明确为LGI1抗体脑炎复发。遂予甲泼尼龙琥珀酸钠及注射人Ig冲击治疗以及其他对症治疗。治疗2 d后,患者神志转清,可回答简单提问,未再出现意识丧失及四肢抽搐等,治疗8 d后患者家属要求出院。患者出院时精神状态正常,言语基本流利,四肢活动灵活,对答切题,反应较前敏捷,无其他不适症状。出院后1个月随访情况良好。

讨论

LGI1抗体相关脑炎为自身免疫性电压门控钾通道复合物(VGKC)抗体相关的边缘性脑炎[1]。该病发病年龄多集中于61~64岁,男性占比55%~66%,每年的发病率为(0.63~0.83)/100万[2-4]
该病临床表现以癫痫发作和认知功能障碍最常见,有的患者甚至以癫痫发作为首发或唯一症状,以复杂部分性发作多见,少数会出现癫痫持续状态[3]。本例患者多次出现癫痫发作,表现为牙关紧闭、四肢强直并咬破舌体,呈发作性、短暂性特征,并对抗癫痫药物的治疗不敏感,直到接受免疫治疗后癫痫发作频率才下降,这也符合边缘性脑炎的特点。除癫痫症状外,本例患者时有幻觉、谵语等精神改变,记忆力、定向力减退等认知功能障碍,发病机制与LGI1蛋白的功能相关,LGI1蛋白是由神经元分泌的糖蛋白,可影响VGKC和突触后α-氨基-3-羟基-5-甲基-4-异噁唑丙酸(AMPAR)的联系[5]。LGI1抗体和LGI1蛋白相结合可抑制突触间信号传递,造成其神经兴奋性改变,从而出现相应的癫痫发作及认知功能障碍等症状[6]
顽固性低钠血症亦为本病的特异性表现之一,文献报道有60%~80%患者合并低钠血症[7-8]。目前原因可能与下丘脑 LGI1基因的表达相关,LGI1抗体作用于下丘脑和肾,造成抗利尿激素分泌不当[9]。部分病例的低钠血症可能为一过性,在进行补充治疗后可恢复。本例患者首次住院时检查提示存在低钠血症,经补钠及免疫治疗后好转。
另外,FDBS是本病的特征性症状,主要表现为频繁且短暂的肌张力障碍样不自主运动,为同侧面部及上肢(伴或不伴下肢),每日可发作数次至数十次不等,持续约数秒后可缓解,发作时伴或不伴有意识障碍[10]。关于FBDS的起源仍存在争论,可能来自于一种特殊的皮层-皮层下相互作用,产生于皮层下基底节,并由局灶性皮层放电而触发。诸多研究显示,表现为FDBS的患者氟脱氧葡萄糖正电子发射计算机断层扫描(PET)显示其基底节广泛高代谢[11-13]。本例患者发病以来多次出现双上肢抽动,也可进一步肯定该诊断。
少部分LGI1 抗体相关脑炎患者伴发肿瘤,5%~10%合并有胸腺瘤、小细胞肺癌等[9]。本例患者肿瘤指标NSE略高,完善胸部CT未见异常,尚未发现可疑肿瘤灶,但仍需定期随诊。
本病的MRI典型表现为单或双侧海马、颞叶的T2及液体衰减反转恢复序列(FLAIR)呈现高信号,部分患者的病灶累及基底节、岛叶及丘脑,亦有部分患者无MRI异常,PET-CT检查则多发现其颞叶内侧或基底节存在异常代谢[14]。本病另一个重要的诊断依据是血清及脑脊液特异性LGI1抗体(+),本例患者MRI未出现异常信号,脑脊液LGI1抗体(+)可作为明确诊断的依据,患者家属暂不同意行PET-CT检查。
该疾病是一种可治性的自身免疫性疾病,采用免疫治疗为主,对症治疗为辅。首先推荐静脉注射糖皮质激素(激素)、Ig以及血浆置换为一线免疫治疗。有研究报道脑脊液置换联合蛋白A免疫吸附治疗的效果明显[15]。二线治疗主要针对病情恶化或一线治疗效果不明显的患者,药物为利妥昔单抗与环磷酰胺;长程治疗药物吗替麦考酚酯和硫唑嘌呤等主要适用于复发和一线治疗效果差的患者;伴发肿瘤的患者,可采取切除肿瘤等抗肿瘤治疗[10]。本例患者在明确诊断后,及早应用了激素联合注射Ig,症状明显好转。
该病的复发率约为1/3,复发症状多为首次症状的再发或加重,多在6个月内复发[9]。考虑与未使用序惯激素治疗、口服激素时间不足或减停过快等因素有关,并应尽早重启免疫抑制治疗,尽可能改善复发患者的预后[16]。本例患者在首次发病10个月后复发,再发症状与首次相似。
综上所述,LGI1抗体相关脑炎临床症状多为近记忆力进行性下降、急性或亚急性癫痫发作、FBDS、顽固性低钠血症等,且复发率较高,MRI表现可为颞叶或海马的异常信号或无异常,血清及脑脊液特异性LGI1抗体(+)是重要的诊断依据。早期发现、早期诊断并早期应用一线免疫治疗,可有效改善患者的预后。
[1]
Lancaster E, Dalmau J. Neuronal autoantigens—pathogenesis, associated disorders and antibody testing. Nat Rev Neurol, 2012, 8(7): 380-390.

DOI PMID

[2]
Ohkawa T, Fukata Y, Yamasaki M, et al. Autoantibodies to epilepsy-related LGI1 in limbic encephalitis neutralize LGI1-ADAM22 interaction and reduce synaptic AMPA receptors. J Neurosci, 2013, 33(46): 18161-18174.

DOI PMID

[3]
van Sonderen A, Thijs R D, Coenders E C, et al. Anti-LGI1 encephalitis: clinical syndrome and long-term follow-up. Neurology, 2016, 87(14): 1449-1456.

DOI PMID

[4]
Celicanin M, Blaabjerg M, Maersk-Moller C, et al. Autoimmune encephalitis associated with voltage-gated potassium channels-complex and leucine-rich glioma-inactivated 1 antibodies - a national cohort study. Eur J Neurol, 2017, 24(8): 999-1005.

DOI PMID

[5]
王起, 杨静, 才丽娜, 等. 6例富亮氨酸胶质瘤失活1蛋白抗体脑炎临床特点分析. 中国神经免疫学和神经病学杂志, 2019, 26(1): 44-47, 51.

[6]
陈兴泳, 傅瑜萍, 陈艳佳, 等. 富亮氨酸胶质瘤失活1蛋白抗体阳性边缘性脑炎临床分析及文献复习. 神经损伤与功能重建, 2020, 15(12): 722-724, 728.

[7]
Irani S R, Alexander S, Waters P, et al. Antibodies to Kv1 potassium channel-complex proteins leucine-rich, glioma inactivated 1 protein and contactin-associated protein-2 in limbic encephalitis, Morvan’s syndrome and acquired neuromyotonia. Brain, 2010, 133(9): 2734-2748.

DOI

[8]
Yang X, Li A N, Zhao X H, et al. Clinical features of patients with anti-leucine-rich glioma inactivated-1 protein associated encephalitis: a Chinese case series. Int J Neurosci, 2019, 129(8): 754-761.

DOI PMID

[9]
Ariño H, Armangué T, Petit-Pedrol M, et al. Anti-LGI1-associated cognitive impairment: presentation and long-term outcome. Neurology, 2016, 87(8): 759-765.

DOI PMID

[10]
中华医学会神经病学分会. 中国自身免疫性脑炎诊治专家共识. 中华神经科杂志, 2017, 50(2): 91-98.

[11]
Irani S R, Stagg C J, Schott J M, et al. Faciobrachial dystonic seizures: the influence of immunotherapy on seizure control and prevention of cognitive impairment in a broadening phenotype. Brain, 2013, 136(Pt 10): 3151-3162.

DOI PMID

[12]
Navarro V, Kas A, Apartis E, et al. Motor cortex and hippocampus are the two main cortical targets in LGI1-antibody encephalitis. Brain, 2016, 139(Pt 4): 1079-1093.

DOI PMID

[13]
D’Orsi G, Martino T, Lalla A, et al. Faciobrachial dystonic seizures expressed as epileptic spasms, followed by focal seizures in anti-LGI 1 encephalitis: a video-polygraphic study. Epileptic Disord, 2018, 20(6): 525-529.

DOI

[14]
Chandra P, Nath S, Sundaram C S. Anti-leucine-rich glioma-inactivated 1 limbic encephalitis with normal magnetic resonance imaging detected on fluordeoxygluose positron emission tomography/computed tomography. Indian J Nucl Med, 2020, 35(3): 260-261.

DOI

[15]
邱家琦, 王翼洁, 刘佳, 等. 脑脊液置换联合蛋白A免疫吸附治疗自身免疫性脑炎两例. 新医学, 2020, 51(4): 321-324.

[16]
李俊敏, 彭涛, 马兴荣, 等. 复发性抗富亮氨酸胶质瘤失活1蛋白脑炎临床分析. 中国实用神经疾病杂志, 2020, 23(14): 1257-1262.

文章导航

/