Original Research

Expression and clinical significance of Trop2 and EMT-associated protein E-Cadherin in nasopharyngeal carcinoma

  • Chen Shunjin ,
  • Wu Xiaoying ,
  • He Jintian ,
  • Fu Ming ,
  • Wang Fengping ,
  • Ye Weibiao ,
  • Li Weitao
Expand
  • Depart-ment of ENT, Dongguan People’s Hospital, Dongguan 523000, China
He Jintian, E-mail:

Received date: 2019-03-28

  Online published: 2019-09-10

Copyright

Copyright reserved © 2019

Abstract

Objective To investigate the expression and clinical significance of trophoblast cell surface antigen 2 (Trop2) and epithelial mesenchymal transition (EMT)-associated protein E-Cadherin in nasopharyngeal carcinoma (NPC) tissues. Methods The expression levels of Trop2 and E-Cadherin were detected via immunohistochemical assay in 41 nasopharyngeal carcinoma tissues and 24 chronic nasopharyngitis tissues. The correlation between the expression of Trop2 and E-Cadherin and pathological parameters in nasopharyngeal carcinoma patients was statistically analyzed. Results The expression of Trop2 protein in nasopharyngeal carcinoma tissues was significantly higher than that in chronic nasopharyngitis tissues (P < 0.05), whereas the low expression rate of E-Cadherin protein in nasopharyngeal carcinoma tissues was significantly higher compared with that in chronic nasopharyngitis tissues (P < 0.05). The high expression rate of Trop2 protein in patients with stage Ⅲ-Ⅳ nasopharyngeal carcinoma was remarkably higher and the low expression rate of E-Cadherin protein was significantly higher than those in their counterparts with stage Ⅰ-Ⅱ nasopharyngeal carcinoma, the high expression rate of Trop2 protein in patients with lymph node metastasis was considerably higher and the low expression rate of E-Cadherin protein was significantly higher compared with those in their counterparts without lymph node metastasis (all P < 0.05). The high expression of Trop2 protein was significantly correlated with the low expression of E-Cadherin protein (r = 0.383, P < 0.05). Conclusions Trop2 and EMT-associated protein E-Cadherin are closely correlated with the incidence, progression, invasion and metastasis of nasopharyngeal carcinoma. Trop2 may promote the invasion and metastasis of nasopharyngeal carcinoma by inhibiting the expression of E-Cadherin protein, leading to the occurrence of EMT.

Cite this article

Chen Shunjin , Wu Xiaoying , He Jintian , Fu Ming , Wang Fengping , Ye Weibiao , Li Weitao . Expression and clinical significance of Trop2 and EMT-associated protein E-Cadherin in nasopharyngeal carcinoma[J]. JOURNAL OF NEW MEDICINE, 2019 , 50(9) : 708 -713 . DOI: 10.3969/j.issn.0253-9802.2019.09.014

鼻咽癌是东南亚和我国南方地区常见的头颈部恶性肿瘤之一,发病原因与EB病毒感染、遗传、环境因素有关,其发病率占耳鼻喉科恶性肿瘤首位。鼻咽癌是一种呈浸润性生长和容易发生转移的肿瘤,目前其侵袭转移的机制尚未完全明确。滋养层细胞表面抗原2(Trop2)是细胞表面糖蛋白,参与并调控多种恶性肿瘤的侵袭与转移[1]。上皮间质转化(EMT)是指上皮细胞丧失细胞极性,破坏细胞间的连接,在形态学上发生向间充质细胞转化并获得细胞骨架重建及细胞运动能力增强的过程[2]。EMT已被证实能促进肿瘤的侵袭与转移。作为EMT相关蛋白的E-钙黏附蛋白(E-Cadherin)可介导细胞与细胞间的黏附,在正常细胞中其发挥肿瘤抑制作用,在恶性肿瘤中其表达下调。本研究检测了鼻咽癌患者组织中Trop2、EMT相关蛋白E-Cadherin的表达情况,分析两者的相关性及Trop2与鼻咽癌临床病理特征的关系,初步探讨Trop2是否通过调控EMT的发生促进鼻咽癌的侵袭与转移,现报告如下。

对象与方法

一、研究对象

选择2017年1月至2018年1月我院耳鼻喉科收治经病理活组织检查(活检)确诊的41例鼻咽癌患者为研究组,其中男34例、女7例,年龄(40.8±13.1)岁,临床分期Ⅰ ~ Ⅱ期12例、Ⅲ~Ⅳ期29例。另选择同期在我院耳鼻喉科行鼻咽活检且经病理证实为慢性鼻咽炎的24例患者作为对照组,其中男11例、女13例,年龄(40.4 ±9.4)岁。2组患者的性别构成和年龄比较差异均无统计学意义(P均> 0.05)。本研究经医院医学伦理委员会批准,所有患者均已签署知情同意书。

二、方 法

1. 主要试剂

包括兔抗人Trop2多克隆抗体(英国Abcam公司),辣根过氧化物酶(HRP)标记的山羊抗兔及羊抗鼠抗体(美国Earthox公司),通用链霉菌抗生物素蛋白-过氧化物酶连结(SP)试剂盒,DAB (北京中杉金桥公司),兔抗人E-Cadherin单克隆抗体(武汉博士德生物工程有限公司)。

2. Trop2和E-Cadherin蛋白表达强度的检测

收集研究组的鼻咽癌组织及对照组的鼻咽黏膜组织,10%甲醛固定,石蜡包埋。采用免疫组织化学染色(免疫组化) 法检测Trop2和E-Cadherin蛋白表达强度:常规石蜡切片、二甲苯脱蜡、梯度乙醇脱水,枸橼酸盐修复液高压修复3 min,免疫组化笔在检测组织外围1 ~ 2 mm处划圈,3%H2O2孵育20 min阻断内源性过氧化物酶,磷酸盐缓冲液(PBS)洗涤3次后加入适量10%正常羊血清室温下封闭15 min,弃血清,滴加兔抗人Trop2多克隆抗体(1:500稀释)或兔抗人E-Cadherin单克隆抗体(1:25稀释),4℃过夜,PBS洗涤3次后加入二抗,室温孵育30 min。PBS洗涤3次后,DAB显色、苏木素复染、梯度乙醇脱水、二甲苯透明、中性树胶封片。同时以自身对照作为阳性对照,以PBS代替一抗作阴性对照。

3. Trop2蛋白表达强度评定

由2位病理科医师以盲法在高倍显微镜下观察切片,结果不一致时协商统一判定结果。Trop2阳性位于细胞膜,呈现棕黄色颗粒着色,且明显高于背景或背景不着色。参考文献[3]的标准,根据染色阳性细胞所占同类细胞总数百分比分为4级:< 1%计0分,1% ~ 10%计1分,11% ~ 50%计2分,> 50%计3分。染色强度按肿瘤细胞着色的深浅计分:无着色计0分,黄色为弱阳性计1分,浅棕色为中等阳性计2分,棕褐色为强阳性计3分。结果取两者之和:0 ~ 3分为无表达或低表达,4 ~ 6分为高表达。

4. E-Cadherin蛋白表达强度评定

由2位病理科医师以盲法在高倍显微镜下观察切片,结果不一致时协商统一判定结果。E-Cadherin蛋白阳性表达位于胞膜或胞浆,上皮细胞均可见阳性表达,可呈连续的线状,为淡黄至棕黄色颗粒。参考文献[4]的标准,根据染色阳性细胞所占同类细胞总数百分比进行分级:无着色为(-),阳性细胞< 75%为(+)、≥75%为(++);(++)为正常表达,(+)、(-)为低表达。

三、统计学处理

采用 SPSS 20.0处理数据。计量资料以$\bar{x}±s$表示。计数资料以例(%)表示,Trop2和E-Cadherin在鼻咽癌组织中的表达及其与临床病理特征关系的分析采用$\chi^{2}$检验或Fisher确切概率法,Trop2和E-Cadherin在鼻咽癌组织表达的相关性用交叉分类2×2列联表的关联分析。P < 0.05为差异有统计学意义。

结 果

一、Trop2蛋白在鼻咽癌组织中的表达及其与临床病理特征的关系

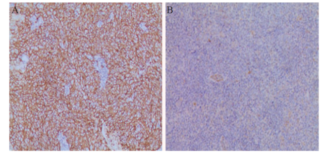
镜下可见,Trop2阳性表达于鼻咽癌组织的细胞膜上,在鼻咽癌组织的细胞膜上可见到较多的棕色颗粒,但是在慢性鼻咽炎组织中较少见到棕色颗粒(图1)。Trop2蛋白在41例鼻咽癌组织中高表达27例(66%)、低表达14例(34%),其在24例慢性鼻咽炎组织高表达4例(17%)、低表达20例(83%)。Trop2蛋白在鼻咽癌组织中高表达率高于慢性鼻咽炎组织($\chi^{2}$= 14.681,P < 0.001)。Trop2蛋白在鼻咽癌组织中的表达与患者性别、年龄均无关(P均> 0.05),Ⅲ~Ⅳ期者的Trop2高表达率高于Ⅰ~Ⅱ期者,有淋巴结转移者的Trop2蛋白高表达率高于无淋巴结转移者(P均< 0.05),见表1
图1 Trop2在鼻咽癌及慢性鼻咽炎组织中的表达(×100)

A:鼻咽癌组织;B:慢性鼻咽炎组织

表1 Trop2蛋白表达强度与鼻咽癌临床病理特征的关系 例(%)
临床病理特征 例数 低表达 高表达 $\chi^{2}$值 P值
性别 男性 34 12(35) 22(65) - 1.000a
女性 7 2(29) 5(71)
年龄 < 45岁 18 6(33) 12(67) 0.009 1.000
≥45岁 23 8(35) 15(65)
临床分期 Ⅰ ~ Ⅱ期 12 8(67) 4(33) - 0.010a
Ⅲ ~ Ⅳ期 29 6(21) 23(79)
淋巴结转移 35 9(26) 26(74) - 0.013a
6 5(83) 1(17)

注:a Fisher确切概率法

二、E-Cadherin蛋白在鼻咽癌组织中的表达及其与临床病理特征的关系

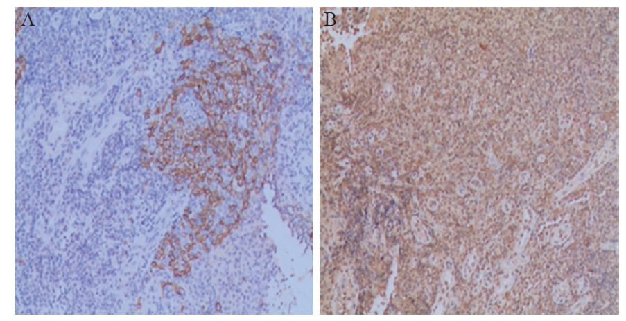
镜下可见,E-Cadherin蛋白阳性表达于细胞膜或胞浆,上皮细胞均可见阳性表达,呈淡黄色或棕色颗粒(图2)。与慢性鼻咽炎组织相比,E-Cadherin蛋白在鼻咽癌组织中表达减弱。24例慢性鼻咽炎黏膜组织中,E-Cadherin蛋白正常表达21例(88%)、低表达3例(12%)。41例鼻咽癌组织中,正常表达15例(37%)、低表达26例(63%)。E-Cadherin蛋白在鼻咽癌组织中的低表达率高于慢性鼻咽炎黏膜组织(P < 0.05)。E-Cadherin蛋白在鼻咽癌组织中的表达与患者性别、年龄无关(P均> 0.05),TNM分期Ⅲ~Ⅳ期者E-Cadherin蛋白的低表达率高于Ⅰ~Ⅱ期者、有淋巴结转移者E-Cadherin蛋白的低表达率高于无淋巴结转移者(P均< 0.05),见表2
图2 E-Cadherin蛋白在鼻咽癌及慢性鼻咽炎组织中的表达(×100)

A:鼻咽癌组织;B:慢性鼻咽炎组织

表2 E-Cadherin与鼻咽癌临床病理关系 例(%)
临床病理特征 例数 正常表达 低表达 $\chi^{2}$值 P值
性别 男性 34 13(38) 21(62) - 1.000a
女性 7 2(29) 5(71)
年龄 < 45岁 18 7(39) 11(61) 0.073 1.000
≥45岁 23 8(35) 15(65)
临床分期 Ⅰ ~ Ⅱ期 12 9(75) 3(25) - 0.003a
Ⅲ ~ Ⅳ期 29 6(21) 23(79)
淋巴结转移 35 10(29) 25(71) - 0.018a
6 5(83) 1(17)

注:a Fisher确切概率法

三、鼻咽癌组织中Trop2表达与E-Cadherin关系

鼻咽癌组织中Trop2蛋白的高表达与E-Cadherin蛋白的低表达有关(关联系数为0.383,P < 0.05),见表3
表3 鼻咽癌组织中Trop2表达与E-Cadherin关系 例
Trop2 E-Cadherin 关联系数 P值
正常表达 低表达
高表达 6 21 0.383 0.015
低表达 9 5

讨 论

鼻咽癌是常见的头颈部恶性肿瘤,在我国尤其广东地区高发。其主要发生于鼻咽顶壁和侧壁[5]。鼻咽癌多采取放射治疗为主,化学治疗或手术为辅的综合治疗措施。近年来随着放射治疗技术的进步,鼻咽癌放射治疗后的患者5年生存率约为70%,但约30% ~ 40%患者在首次诊断后有复发和转移的风险,复发和转移是鼻咽癌患者死亡的主要原因[6]。因此,对鼻咽癌进行生物学研究,探讨其转移的机制对临床工作有重要的指导作用。
Trop2也被称作肿瘤相关钙信号转导子2,是由 TACSTD2基因编码的跨膜糖蛋白,最初是在滋养层细胞中发现[7]。研究显示,Trop2在人体正常细胞中表达相对较低,但在多种肿瘤组织中高表达,且与肿瘤的分化程度、淋巴结转移、TNM分期及患者的生存率密切相关[8]。但是Inamura等[9]提出了不同的观点,Trop2在不同的肺癌亚型中发挥不同的作用:在肺腺癌中Trop2高表达与高病死率相关,肺鳞癌中Trop2高表达与高病死率无关,肺高级别神经内分泌肿瘤中Trop2高表达与低病死率相关。目前,Trop2促转移的作用机制尚不完全明确。现有研究显示,Trop2可通过PI3K/AKT、PKC、ERK/MAPK等信号途径调节细胞的致癌性转化,从而促进肿瘤细胞的增殖及侵袭转移[1,8,10-11]。本研究显示,与慢性鼻咽炎组织相比,Trop2在鼻咽癌组织中的表达明显增加,Ⅲ~Ⅳ期、伴淋巴结转移者Trop2阳性表达率升高,提示Trop2在鼻咽癌中发挥致癌因子作用,并在鼻咽癌的侵袭转移中发挥作用。
EMT与肿瘤侵袭转移密切相关。在EMT发生过程中,上皮细胞形态发生变化,其特征是丧失细胞间黏附及细胞极性,向有侵袭特性的间充质细胞转变,其中一个最重要的分子事件就是E-Cadherin表达的抑制及间充质细胞基因表达的增强[12]。E-Cadherin蛋白是由E-Cadherin基因转录的135 kDa前体多肽经蛋白水解加工成具有黏附特性的、成熟的、有功能性的蛋白质。成熟的E-Cadherin蛋白是Ca2+依赖的跨膜糖蛋白,存在于各类上皮组织中,是上皮细胞的标志物,通过黏着连接将上皮细胞与上皮细胞连接在一起。E-Cadherin在上皮细胞黏附中起重要作用,它的功能丧失是上皮组织恶性肿瘤进展的主要因素[13]。E-Cadherin表达正常时,肿瘤细胞不易从原发灶上脱落,而E-Cadherin表达减弱或缺失时,就会导致细胞间黏附作用下降,连接紊乱,从而促使肿瘤细胞从原发灶脱落、转移。已有研究证实,E-Cadherin表达的减少或缺失与多种恶性肿瘤的进展和转移相关。李川等[14]报道,E-Cadherin在鼻咽癌组织中低表达,且与鼻咽癌侵袭转移及患者预后相关。本研究显示,E-Cadherin在鼻咽癌组织中的低表达率明显高于慢性鼻咽炎上皮组织,TNM分期Ⅲ~Ⅳ期、伴淋巴结转移者E-Cadherin低表达率升高,这说明E-Cadherin 正常表达可抑制肿瘤侵袭与转移,E-Cadherin低表达可促进肿瘤侵袭与转移。
E-Cadherin蛋白的减少或丢失是EMT显著特征。近年Trop2参与调控EMT的研究逐渐见于报道。Chen等[15]应用免疫组化检测了93例胆囊癌患者组织标本中Trop2及EMT相关标志蛋白E-Cadherin、Vimentin的表达情况,结果显示Trop2在胆囊癌组织中表达升高,E-Cadherin表达减低,而Vimentin表达升高,三者之间显著相关。研究表明,在胆囊癌中,Trop2可能参与调控EMT及恶性进展。Li等[1]进一步研究证实Trop2可通过PI3K/AKT途径调控EMT促进胆囊癌细胞的增殖、迁移和转移。本研究显示,Trop2在鼻咽癌中高表达,E-Cadherin低表达,并均与淋巴结转移、TNM分期有关,且鼻咽癌组织中Trop2蛋白的高表达与E-Cadherin蛋白的低表达有关,这说明 Trop2和E-Cadherin与鼻咽癌的侵袭和转移密切相关,由此认为在鼻咽癌的发生、发展中, Trop2和E-Cadherin发挥正常作用维持细胞形态,但随着鼻咽癌的发生发展Trop2表达增强,同时E-Cadherin表达减弱或缺失,造成细胞与细胞间的黏附能力下降、细胞连接紊乱,导致癌细胞从原发灶脱落,从而引起肿瘤的转移, Trop2有可能通过抑制E-Cadherin蛋白的表达导致发生EMT从而促进鼻咽癌的侵袭和转移,但其具体作用机制还有待进一步研究证实。
[1]
Li X, Teng S, Zhang Y, Zhang W, Zhang X, Xu K, Yao H, Yao J, Wang H, Liang X, Hu Z . TROP2 promotes proliferation, migration and metastasis of gallbladder cancer cells by regulating PI3K/AKT pathway and inducing EMT. Oncotarget, 2017,8(29):47052-47063.

[2]
Chen SC, Liao TT, Yang MH . Emerging roles of epithelial-mesenchymal transition in hematological malignancies. J Biomed Sci, 2018,25(1):37.

[3]
Guan GF, Zhang DJ, Wen LJ, Yu DJ, Zhao Y, Zhu L, Guo YY, Zheng Y . Prognostic value of TROP2 in human nasopharyngeal carcinoma. Int J Clin Exp Pathol, 2015,8(9):10995-11004.

[4]
郭颖, 顾鑫, 张林西, 范婕, 李秀娟, 白睿 . 结直肠腺癌中Cox-2、MMP-9和E-Cadherin的表达及临床意义. 临床与实验病理学杂志, 2015,( 7):810-812.

[5]
Qin H, Wang R, Wei G, Wang H, Pan G, Hu R, Wei Y, Tang R, Wang J . Overexpression of osteopontin promotes cell proliferation and migration in human nasopharyngeal carcinoma and is associated with poor prognosis. Eur Arch Otorhinolaryngol, 2018,275(2):525-534.

[6]
Chen Z, Xu L, Xu X, Yuan C . The clinical value of detecting circulating tumour cells in the peripheral blood of nasopharyngeal carcinoma patients. Oncol Lett, 2018,15(5):6283-6290.

[7]
Wu B, Yu C, Zhou B, Huang T, Gao L, Liu T, Yang X . Overexpression of TROP2 promotes proliferation and invasion of ovarian cancer cells. Exp Ther Med, 2017,14(3):1947-1952.

[8]
Xu P, Zhao Y, Liu K, Lin S, Liu X, Wang M, Yang P, Tian T, Zhu YY, Dai Z . Prognostic role and clinical significance of trophoblast cell surface antigen 2 in various carcinomas. Cancer Manag Res, 2017,9:821-837.

[9]
Inamura K, Yokouchi Y, Kobayashi M, Ninomiya H, Sakakibara R, Subat S, Nagano H, Nomura K, Okumura S, Shibutani T, Ishikawa Y . Association of tumor TROP2 expression with prognosis varies among lung cancer subtypes. Oncotarget, 2017,8(17):28725-28735.

[10]
Guan H, Guo Z, Liang W, Li H, Wei G, Xu L, Xiao H, Li Y . Trop2 enhances invasion of thyroid cancer by inducing MMP2 through ERK and JNK pathways. BMC Cancer, 2017,17(1):486.

[11]
Wang XD, Wang Q, Chen XL, Huang JF, Yin Y, Da P, Wu H . Trop2 inhibition suppresses the proliferation and invasion of laryngeal carcinoma cells via the extracellular signal-regulated kinase/mitogen-activated protein kinase pathway. Mol Med Rep, 2015,12(1):865-870.

[12]
Tsoumas D, Nikou S, Giannopoulou E, Champeris Tsaniras S, Sirinian C, Maroulis I, Taraviras S, Zolota V, Kalofonos HP, Bravou V . ILK Expression in Colorectal cancer is associated with EMT, cancer stem cell markers and chemoresistance. Cancer Genomics Proteomics, 2018,15(2):127-141.

[13]
Wong SHM, Fang CM, Chuah LH, Leong CO, Ngai SC . E-Cadherin: its dysregulation in carcinogenesis and clinical implications. Crit Rev Oncol Hematol, 2018,121:11-22.

[14]
李川, 王冰, 杨建旭, 安靓 . E-Cadherin和巢蛋白在鼻咽癌组织中的表达及临床意义. 新医学, 2016,47(2):122-126.

[15]
Chen MB, Wu HF, Zhan Y, Fu XL, Wang AK, Wang LS, Lei HM . Prognostic value of TROP2 expression in patients with gallbladder cancer. Tumour Biol, 2014,35(11):11565-11569.

Outlines

/