Case Research

Multiple ulcerations involving the entire gastrointestinal tract as the main manifestation of eosinophilic gastroenteritis: a case report

  • Xiao Lin ,
  • Tang Shaohui
Expand
  • Department of Gastroenterology, the First Affiliated Hospital, Jinan University, Guangzhou 510632, China
Tang Shaohui, E-mail:

Copy editor: Yang Jiang-yu

Received date: 2019-05-18

  Online published: 2019-12-03

Copyright

Copyright reserved © 2019. Office of Journal of New Medicine All articles published represent the opinions of the authors, and do not reflect the official policy of the Chinese Medical Association or the Editorial Board, unless this is clearly specified.

Abstract

Eosinophilic gastroenteritis(EG) is a rare disease characterized by excessive infiltration of eosinophils in the gastrointestinal tract. Due to non-specific symptoms and laboratory findings, it is likely to be misdiagnosed and missed diagnosis. In this article, the diagnosis and treatment of one case of EG presenting with multiple ulcerations involving the entire gastrointestinal tract expect the esophagus were described and analyzed. This case prompts that deepening the understanding of the diagnosis and differential diagnosis of EG plays a pivotal role in enhancing the diagnostic accuracy, reducing the risk of misdiagnosis and improving clinical prognosis of EG patients.

Cite this article

Xiao Lin , Tang Shaohui . Multiple ulcerations involving the entire gastrointestinal tract as the main manifestation of eosinophilic gastroenteritis: a case report[J]. JOURNAL OF NEW MEDICINE, 2019 , 50(11) : 868 -872 . DOI: 10.3969/j.issn.0253-9802.2019.11.016

嗜酸性粒细胞性胃肠炎(EG)是一种以累及消化道各层的嗜酸性粒细胞异常浸润为特征的少见胃肠道疾病[1]。该病病因及发病机制尚不明确,临床表现具有多样性和非特异性,常规内镜检查缺乏特征性表现,故在临床工作中漏诊率、误诊率较高。我院收治1例以除食管以外的全消化道多发溃疡形成为主要表现的EG患者,报道如下。

病例资料

一、主诉及现病史

患者男,58岁。因反复腹痛1年余,加重1周于2018年8月27日入院。1年前患者无明显诱因出现腹痛,为阵发性隐痛,部位不定,伴上腹胀及反酸,遂至我院就诊,行胃镜检查提示胃底、胃体、十二指肠多发糜烂及溃疡病灶,13C呼气试验阴性,诊断为胃十二指肠复合性溃疡,予PPI抑酸等治疗约1年,腹痛无明显改善。1周前腹痛加重,遂再次至我院就诊,以腹痛查因收入我科。起病以来患者精神、食欲、睡眠一般,大便不成形,每日1 ~ 2次至2日1次不等,1年来体质量下降约6 kg。患者既往无特殊病史,否认食物及药物过敏史,否认遗传病、传染病史,否认特殊药物服用及毒物、重金属接触史,否认疫水接触史。

二、入院体格检查

体温36.5℃,脉搏76次/分,呼吸16次/分,血压120/78 mm Hg(1 mm Hg = 0.133 kPa)。全身皮肤、黏膜无黄染,无肝掌、蜘蛛痣,全身浅表淋巴结未触及肿大;双肺呼吸音清,心律整齐,各瓣膜听诊区未闻及病理性杂音;腹部平坦,腹软,全腹未触及肿块,无压痛及反跳痛,墨菲征(-),移动性浊音(-),肠鸣音正常。

三、入院后实验室及辅助检查

血常规示白细胞9.39×109/L,嗜酸性粒细胞绝对值0.42×109/L,嗜酸性粒细胞百分比4.5%。尿常规无异常。3次粪便常规检查均示潜血弱阳性、寄生虫虫卵阴性。血液生化无异常。甲状腺功能正常。自身抗体如抗核抗体、抗双链DNA抗体等均阴性。免疫球蛋白及补体正常。甲、乙、丙、丁、戊型肝炎病毒标志物均阴性,幽门螺杆菌抗体检测阴性。结核感染T细胞斑点试验阴性。肿瘤标志物如癌胚抗原、甲胎蛋白、糖链抗原19-9、癌抗原125等正常。
图1 一例EG患者治疗前后胃镜对比图

A、B:治疗前胃镜显示胃底、十二指肠球部多发溃疡及糜烂;C、D:治疗后胃镜显示胃底、十二指肠球部溃疡基本愈合

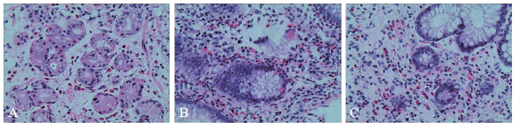
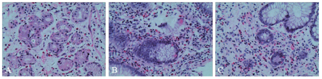
图2 一例EG患者病理活检切片(苏木素-伊红染色,×200)

A:胃底部溃疡;B:回盲部溃疡;C:结肠溃疡

X线胸片提示双肺未见异常。胃镜检查显示胃底、胃体、胃窦及十二指肠仍有多发散在溃疡,直径约0.5 ~ 0.8 cm(图1A、B),病理活组织检查(活检)提示胃黏膜呈慢性活动性炎症,固有层较多嗜酸性粒细胞浸润,约60个/高倍镜视野(图2A)。结肠镜显示回肠末段、升结肠、横结肠、乙状结肠及直肠局部黏膜充血、水肿,多发散在点、片状糜烂及溃疡,直径约0.1 ~ 1.0 cm,病变间隔有正常黏膜(图3A、B)。病理活检提示肠黏膜呈慢性活动性炎症,固有层较多嗜酸性粒细胞浸润,其中回盲部约100个/高倍镜视野,结肠约60个/高倍镜视野(图2B、C)。胶囊内镜显示小肠黏膜多发散在糜烂、溃疡灶,溃疡形状不规则,直径约0.3 ~ 0.8 cm,病变呈跳跃性,病变之间有正常黏膜(图4A)。
图3 一例EG患者治疗前后结肠镜对比图

A、B:结肠镜显示回盲部、回肠末端治疗前散在糜烂及溃疡;C、D:治疗后结肠镜显示回盲部溃疡愈合、回肠末端黏膜光滑

图4 一例EG患者治疗前后胶囊内镜对比图

A:治疗前胶囊内镜显示小肠各段多发散在糜烂溃疡;B:治疗后胶囊内镜显示小肠溃疡明显好转,以瘢痕期为主

四、诊断及治疗

全腹部增强CT提示肠系膜周围见多发肿大淋巴结,未见“靶征”“木梳征”等征象。综合病史、临床表现及上述检查结果,拟诊为EG,给予口服泼尼松15 mg,每日2次。1周后患者腹痛症状显著改善,复查嗜酸性粒细胞绝对值0.01×109/L,嗜酸性粒细胞百分比1.1%。患者出院后继续口服糖皮质激素维持治疗。4个月后患者复诊时腹痛症状基本缓解,复查胃镜(图1C、D)、结肠镜(图3C、D)及胶囊内镜(图4B)均显示消化道溃疡大部分愈合,溃疡数量较前明显减少,病变范围较前明显缩小。半年后随访患者已停用糖皮质激素,腹痛等症状未复发,食欲及大便情况也较前明显改善。最后诊断:EG。

讨 论

EG是一种以累及消化道各层的嗜酸性粒细胞异常浸润为特征的少见胃肠道疾病[1]。其病因及发病机制目前尚不明确,可能与各种外源性或内源性过敏原引起的全身或局部变态反应有关,多数为食物、药物过敏引起[2,3]。EG的临床表现与嗜酸性粒细胞浸润的深度以及病变部位有关,主要表现有腹痛、腹胀、恶心、呕吐和腹泻,甚至可以出现腹水、肠梗阻、穿孔等[2]。目前EG尚无统一的诊断标准,1990年Talley等[4]提出的标准是国内外常用的诊断标准之一:①有胃肠道症状;②病理活检证实胃肠道有一个或一个以上部位嗜酸性粒细胞浸润;③除外寄生虫感染等引起的胃肠道嗜酸性粒细胞增多的疾病。
EG的临床表现及普通内镜检查缺乏特征性表现,主要通过内镜下多点活检发现胃肠壁嗜酸性粒细胞浸润并排除其他相关疾病得以诊断,因此在临床工作中应当注意与以下几类疾病鉴别:①过敏性疾病如食物、药物过敏;②感染性疾病如寄生虫、结核杆菌、幽门螺杆菌感染等;③胃肠道炎症性疾病如炎症性肠病、慢性胰腺炎、乳糜泻等;④肿瘤包括胃肠道实体瘤、淋巴瘤和血液系统肿瘤;⑤结缔组织疾病如Churg-Strauss综合征、结节性多动脉炎等;⑥以胃肠道表现为主的高嗜酸性粒细胞综合征[5,6]。有研究提出胃黏膜活检示嗜酸性粒细胞大于30个/高倍镜视野,小肠大于52个/高倍镜视野,结肠大于25个/高倍镜视野可诊断EG,但目前关于嗜酸性粒细胞浸润的诊断阈值尚未达成共识[5]。过敏史、外周血嗜酸性粒细胞及IgE水平升高均对EG的诊断有一定参考价值[7]。糖皮质激素是目前治疗EG的有效药物,能迅速缓解症状[8]
本例患者初次至我院就诊,其消化道症状和胃镜表现与普通的消化性溃疡十分相似,但常规PPI抑酸治疗无明显疗效。入院后完善胃镜、结肠镜及胶囊内镜检查,发现溃疡及糜烂遍及除食管以外全消化道,对多个溃疡部位进行病理活检,均提示黏膜固有层有大量嗜酸性粒细胞浸润,并通过完善一系列相关检查依次排除了肠道寄生虫感染、克罗恩病、结缔组织疾病、肿瘤等可引起的胃肠道溃疡的疾病,且激素治疗效果显著,最后证实了EG的诊断。该患者既往无食物或药物过敏史,外周血嗜酸性粒细胞绝对值和百分比也并无明显升高。可见,并不是所有EG患者都有过敏史和外周血嗜酸性粒细胞升高,这也是该病例一开始被误诊的原因之一。以“嗜酸性粒细胞性胃肠炎”为关键词在中国期刊全文数据库中检索发现国内相关病例报道及综述不多,且大部分病例以儿童为主。EG在内镜下可表现为黏膜红斑、充血、皱襞增厚、脆性增加、白斑、浅表溃疡、结节、息肉等,其中黏膜红斑最常见,以全消化道多发溃疡形成为表现的EG比较罕见[9]。由于该病临床表现的非特异性以及诊断的困难性,EG的误诊率和漏诊率很高,大多数病例的确诊可能需要历时数月至数年不等。因此在临床工作中应当提高对该病的认识,对于一些难治性的、累及胃肠道多个部位的溃疡性病变,应当考虑EG的可能,尽早完善内镜检查及病理活检。
EG作为一种罕见的胃肠道疾病,其临床表现复杂多样又缺乏特异性,且目前尚无统一的诊断标准。这就要求临床医师在诊断过程中对本病给予足够的重视,早期识别疾病的特殊性,尽量避免漏诊、误诊,让患者得到及时、正确的诊治。
[1]
黄德旺, 蔡永林 . 嗜酸细胞性胃肠炎的诊治现状. 医学综述, 2010,16(19):2956-2958.

[2]
林三仁 . 消化内科学高级教程. 人民军医出版社, 2013: 107-110.

[3]
纪经智, 陈虹, 陈岩峰, 陈壮桂, 温燕铭, 陈奋华 . 食物过敏动物模型中小肠的变化. 中山大学学报(医学科学版), 2007,28(4):426-429.

[4]
Talley NJ, Shorter RG, Phillips SF, Zinsmeister AR . Eosinophilic gastroenteritis: a clinicopathological study of patients with disease of the mucosa, muscle layer, and subserosal tissues. Gut, 1990,31(1):54-58.

DOI

[5]
Walker MM, Potter M, Talley NJ . Eosinophilic gastroenteritis and other eosinophilic gut diseases distal to the oesophagus. Lancet Gastroenterol Hepatol, 2018,3(4):271-280.

DOI PMID

[6]
中华医学会血液学分会白血病淋巴瘤学组. 嗜酸粒细胞增多症诊断与治疗中国专家共识(2017年版). 中华血液学杂志, 2017,38(7):561-565.

[7]
徐琪, 汤净 . 酷似胃癌的嗜酸细胞性胃炎并幽门梗阻一例. 新医学, 2017,48(5):360-364.

[8]
张维兰, 罗和生 . 嗜酸粒细胞性胃肠炎的诊断和治疗. 医学综述, 2018,24(17):3441-3446.

[9]
Zhang L, Duan L, Ding S, Lu J, Jin Z, Cui R, McNutt M, Wang A. Eosinophilic gastroenteritis: clinical manifestations and morphological characteristics, a retrospective study of 42 patients. Scand J Gastroenterol, 2011,46(9):1074-1080.

DOI PMID

Outlines

/