Original Research

Application of compound microporous polysaccharide hemostatic powder in the treatment of digestive endoscopy

  • Zhao Xiying ,
  • Zhang Beiping ,
  • Li Ye ,
  • Lin Yanfeng
Expand
  • Department of Gastroenterology, the Second Affiliated Hospital of Guangzhou University of Traditional Chinese Medicine, Guangzhou 510120, China
Zhang Beiping, E-mail:

Received date: 2020-04-18

  Online published: 2020-08-05

Copyright

Copyright reserved © 2019

Abstract

Objective To explore the safety and efficacy of compound microporous polysaccharide hemostatic powder in the treatment of digestive endoscopy.Methods Seventy patients received endoscopic treatment including colorectal polyps endoscopic mucosal resection, gastric endoscopic submucosal dissection and colorectal endoscopic submucosal dissection in combination with compound microporous polysaccharide hemostatic powder (hemostatic powder group), and 84 cases were treated with endoscopic interventions alone (control group). The risk of intraoperative hemorrhage and delayed postoperative hemorrhage was statistically compared between two groups.Results The success rate of intraoperative hemostasis was 100% (70/70) and no delayed postoperative hemorrhage occurred in the hemostatic powder group. In the control group, the success rate of intraoperative hemostasis was 93% (78/84). The incidence rate of delayed postoperative hemorrhage was 5% (4/84). The total hemostasis rate was 88%, the success rate of intraoperative hemostasis and the total hemostasis rate significantly lower than that in the hemostatic powder group (both P < 0.05).Conclusion The combined use of compound microporous polysaccharide hemostasis powder can improve hemostasis in the treatment of digestive endoscopy, which is worthy of clinical application.

Cite this article

Zhao Xiying , Zhang Beiping , Li Ye , Lin Yanfeng . Application of compound microporous polysaccharide hemostatic powder in the treatment of digestive endoscopy[J]. JOURNAL OF NEW MEDICINE, 2020 , 51(7) : 544 -547 . DOI: 10.3969/j.issn.0253-9802.2020.07.011

随着内镜技术的发展和临床应用的积累,消化内镜治疗开展也日趋普遍,常见的有内镜黏膜切除术(EMR)、内镜黏膜下剥离术(ESD)、消化道出血止血等,而出血是其最常见的并发症,但如何选择适合的止血方法,目前国内外尚无统一认识或指南[1,2,3]。部分内镜治疗并发出血常规镜下止血困难。近年来,国内外文献相继报道了从淀粉中提取的复合微孔多聚糖止血粉具有止血效果好、止血时间短、可明显缩短手术时间等特点[4]。我院于2014年11月开始将该止血粉用于消化内镜治疗的止血或预防出血,疗效显著,操作简便,止血快速,未出现过敏、迟发性出血等并发症,现报道如下。

对象与方法

一、研究对象

收集2014年11月至2018年6月我院消化内镜治疗(胃ESD、结直肠息肉EMR、结直肠ESD)154例。纳入标准:①胃镜下发现胃早癌、黏膜下肿瘤行ESD或经内镜检查确诊结直肠息肉并行EMR或结直肠早癌、黏膜下肿瘤行ESD的患者;②息肉最大直径> 1.0 cm,息肉个数< 3个;③年龄20 ~ 80 岁。排除标准:①合并有严重的肝、肾、心、肺功能不全或危急重症;②合并有血液系统疾病或凝血功能异常;③合并有炎症性肠病或急性胃肠道炎症反应未能得到有效的控制;④术后病理明确诊断肿瘤侵犯黏膜下中层或更深层次;⑤合并有精神障碍者。
154例中消化内镜治疗联合使用复合微孔多聚糖止血粉止血的病例70例(止血粉组),男41例、女29例,年龄(56.4±12.7)岁,身高(163.0±11.5)cm,体质量(57.1±13.6)kg/m2,治疗时间(35.4±17.4) min,行EMR 47例,行ESD 23例。未联合使用止血粉的84例(对照组),男49例、女35例,年龄(55.9±12.5)岁,身高(165.0± 12.3)cm,体质量(58.4±12.6)kg/m2,治疗时间(33.8±16.9)min,行EMR 55例,行ESD 29例。2组的性别、年龄、体质量、治疗时间以及病例类型比较差异均无统计学意义(P均> 0.05)。

二、治疗方法

所有纳入患者均为采用内镜下EMR或ESD进行治疗的患者。手术操作均由具有丰富内镜下治疗经验的高年资医师(内镜治疗超过5年)完成。患者术后禁食24 h,后视病情逐步开放全流质饮食,1 d后改半流质饮食5 d。ESD患者使用抗生素进行预防性抗感染治疗,并对其进行营养支持和综合治疗。止血粉组在消化内镜治疗过程中针对创面在进行钛夹夹闭、热凝钳止血等治疗的基础上予以复合微孔多聚糖止血粉喷洒覆盖于创面加强止血,用法为复合微孔多聚糖止血粉1 g+灭菌注射用水13 ml溶解后,用注射针导管通过内镜活检孔道送入病灶处内镜直视下进行喷洒,观察5 min。对照组在消化内镜治疗过程中仅针对创面进行钛夹夹闭、热凝钳止血等治疗。

三、观察指标

统计2组患者术中及术后出血情况。内镜治疗并发出血可分为术中急性出血和术后迟发性出血。术中急性出血是指术中创面渗血或喷射性出血持续1 min以上[5]。迟发性出血为内镜治疗术后出血且需要再次内镜下止血的情况,可分为48 h内出血和超过48 h出血[6]

四、统计学处理

采用 SPSS 22.0 分析数据,计数资料用例(%)表示,组间比较使用Fisher确切概率法,P< 0.05 为差异有统计学意义。

结 果

一、对照组与止血粉组止血成功率比较

止血粉组消化内镜治疗患者术中止血成功率100%,无1例发生术后迟发性出血。对照组患者术中止血成功78例,成功率为93%,术后迟发性出血4例,发生率为5%,总止血成功率为88%,术中止血成功率、总止血成功率均低于止血粉组(P均< 0.05),2组术后迟发性出血发生率比较差异无统计学意义(P > 0.05),见表1
表1 对照组与止血粉组止血成功率比较[例(%)]
组 别 例数 术中出血 迟发性出血 总止血成功率
对照组 84 6(7) 4(5) 74(88)
止血粉组 70 0(0) 0(0) 70(100)
P值 0.032 0.126 0.002

二、联合使用复合微孔多聚糖止血粉止血成功案例

1.针对肠息肉摘除术后出血的应用
患者男,48岁,升结肠息肉EMR切除术后,术后反复出血,经2次内镜下钛夹夹闭止血后再次出血,第3次进行内镜下止血粉治疗后成功止血,见图1
图1 肠息肉摘除术后止血

A:升结肠处原氩离子凝固术处出血;B:创面予以钛夹缝合,予以复合微孔多聚糖止血粉喷洒;C:创面止血完成

2.针对胃镜下ESD术后止血的应用
患者男,53岁,胃窦小弯Ⅱa+Ⅱb病变,术中使用复合微孔多聚糖止血粉预防出血,术后观察2 d后出院,无术中及迟发性出血发生,见图2
图2 胃镜下ESD术后止血

A:行ESD术胃黏膜Ⅱa+Ⅱb病变;B:创面以复合微孔多聚糖止血粉喷洒止血

3.针对大肠ESD术后止血的应用
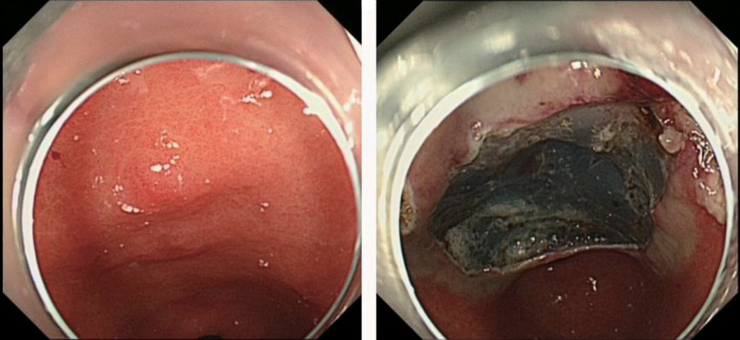
针对EMR较难完整切除的大肠肿瘤,选择ESD切除的技术日趋成熟,如何预防术中及术后出血仍然是重要问题。患者男,76岁,直肠肿瘤,ESD术后使用复合微孔多聚糖止血粉止血成功,见图3
图3 大肠ESD术后止血

A:行ESD术的直肠环肠腔二分之一大小约5.0 cm×6.0 cm侧向发育型肿物;B:ESD术后创面以复合微孔多聚糖止血粉外敷;C:术后无迟发性出血

讨论

消化内镜治疗尽管属于微创手术,但受设备器械、操作者经验、技术方法、患者全身情况等因素的影响,仍存在较高的并发症发生率,以ESD更为常见;主要包括出血、穿孔、狭窄、腹痛、感染等,其中出血是最常见的并发症,消化内镜下治疗该并发症具有操作方便、直观有效、费用低廉的优点,止血效果快速、有效,医疗费用明显降低,但部分难治或治疗部位较难控制的消化内镜治疗中的出血,尝试各种方法治疗均难以奏效,针对这种情况,国内文献相继报道了从淀粉中提取的复合微孔多聚糖止血粉具有止血效果好、止血时间短、可明显缩短手术时间等特点[7,8]
我科于2014年开始尝试联合使用复合微孔多聚糖止血粉进行镜下喷洒止血,在内镜下通过其他方法难以止血的情况下,联合复合微孔多聚糖止血粉喷洒止血。我科将此类方法用于消化内镜治疗70例,止血成功率100%,无1例出现迟发性出血,对照组84例患者术中止血成功率为93%,总止血成功率为88%,均明显低于止血粉组,但术后迟发性出血发生率为5%,2组比较差异无统计学意义,原因可能是迟发性出血本身发生率较低和样本量过小。
复合微孔多聚糖止血粉是一种干燥、无菌、孔径均一、球状的颗粒,其成分为多聚糖,通过乳化交联过程从纯化的植物淀粉中制备,最终产品为无菌的白色粉末,可直接作用于出血部位控制出血[9]。该止血粉止血机制是首先使血液迅速脱水,使血小板、红细胞和纤维蛋白聚集在颗粒表面,在颗粒周围形成高浓度的聚集,形成了黏性凝胶,即产生“瞬时凝胶”,达到即刻止血的功效;同时激活内源性止血因子,凝结血液,激活正常血小板功能,使纤维蛋白沉积形成凝块,阻止了进一步的出血,缩短止血时间,止血可在数分钟内完成。该止血粉在体内的降解过程在止血发生后开始,当用于软组织时,复合微孔多聚糖在数日内被完全吸收,有报道指出,24 ~ 48 h可被酶解、水解分解吸收[10]。本研究没有观察到局部组织反应。国内报道动物实验和临床使用止血粉效果均佳,对机体无不良反应,无迟发性出血发生[11]
综上所述,消化内镜治疗中联合使用复合微孔多聚糖止血粉喷洒止血时疗效显著,止血迅速,安全有效,操作简单,并且经过术后观察,未见迟发性出血发生,值得在临床中推广。
[1]
胡辉, 荆绪斌, 邹细岩, 吴锦雄, 辛汉城. 透明帽辅助单人结肠镜检查在结肠镜检查困难患者中的临床应用. 新医学, 2015,46(2):123-126.

[2]
Barkun AN, Bardou M, Kuipers EJ, Sung J, Hunt RH, Martel M, Sinclair P; International Consensus Upper Gastrointestinal Bleeding Conference Group. International consensus recommen-dations on the management of patients with nonvariceal upper gastrointestinal bleeding. Ann Intern Med, 2010,152(2):101-113.

DOI PMID

[3]
张伟锋, 施瑞华, 许迎红. 不同内镜治疗非静脉曲张性消化道出血205例临床分析. 南京医科大学学报(自然科学版), 2014,34(10):1408-1411.

[4]
史跃, 杜宝堂, 何远清, 殷文静. 多微孔多聚糖止血粉应用于软组织创伤性出血. 中国组织工程研究, 2014,18(3):406-411.

[5]
施新岗, 李兆申, 徐丹凤, 陈洁, 金震东, 邹多武, 湛先保. 内镜黏膜下剥离术治疗早期胃癌. 中华消化内镜杂志, 2008,25(11):574-577.

[6]
Lim SM, Park JC, Lee H, Shin SK, Lee SK, Lee YC. Impact of cumulative time on the clinical outcomes of endoscopic sub-mucosal dissection in gastric neoplasm. Surg Endosc, 2013,27(4):1397-1403.

PMID

[7]
程沁园. 壳聚糖止血活性及其生物安全性评价研究. 无锡:江南大学, 2013.

[8]
杨照. 高分子羧甲基壳聚糖的性质及其止血和愈创功能研究. 青岛:中国海洋大学, 2012.

[9]
Murat FJ, Ereth MH, Dong Y, Piedra MP, Gettman MT. Evaluation of microporous polysaccharide hemospheres as a novel hemostatic agent in open partial nephrectomy: favorable experimental results in the porcine model. J Urol, 2004,172(3):1119-1122.

PMID

[10]
刘宇, 王玉红, 周荣斌, 王新华, 吴航宇. 速效止血粉治疗急性创伤性出血的临床随访. 中国全科医学, 2010(29):3346-3347.

[11]
刘天盛, 王琪, 王昊, 刘爱鹏, 马金超. 复合微孔多聚糖可减少髋关节置换中的出血. 中国组织工程研究, 2015,19(12):1872-1877.

Outlines

/