Original Research

Expression and significance of Cyclin D3 in the endometrial carcinoma

  • Wang Maocai ,
  • Li Xiao ,
  • Wang Minyi ,
  • Chen Shan ,
  • Chen Qin
Expand
  • Department of Gynaecology, the Sixth Affiliated Hospital of Sun Yat-sen University, Guangzhou 510655, China
Chen Qin, E-mail:

Received date: 2020-09-15

  Online published: 2020-11-17

Copyright

Copyright reserved © 2020

Abstract

Objective To investigate the expression level and significance of Cyclin D3 in normal, simple hyperplastic and malignant endometrium tissues. Methods The expression level of Cyclin D3 protein was measured in the normal (n = 12), simple hyperplasia (n = 13) and endometrial carcinoma groups (EMC, n = 45). The relationship between the positive expression rate of Cyclin D3 protein, clinicopathological characteristics, estrogen receptor (ER) and progesterone receptor (PR) was analyzed. Results Compared with the normal group, the positive expression rate of Cyclin D3 was significantly increased in the EMC group (78% vs 33%, P < 0.05). In the EMC group, the positive expression of Cyclin D3 in the tissues with organ metastasis was significantly increased (P < 0.05). However, Cyclin D3 was not significantly correlated with pathological differentiation grade, staging, depth of myometrial invasion or lymph node metastasis (all P > 0.05). Moreover, the positive expression rate of Cyclin D3 was not remarkably associated with the positive rates of ER and PR (both P > 0.05). Conclusion Overexpression of Cyclin D3 is probably involved with the incidence and metastasis of EMC.

Cite this article

Wang Maocai , Li Xiao , Wang Minyi , Chen Shan , Chen Qin . Expression and significance of Cyclin D3 in the endometrial carcinoma[J]. JOURNAL OF NEW MEDICINE, 2020 , 51(11) : 877 -880 . DOI: 10.3969/j.issn.0253-9802.2020.11.014

子宫内膜癌(EMC)是女性常见的生殖道恶性肿瘤之一,子宫内膜样腺癌是其中最常见的病理类型。由于EMC发生率的逐年增高和年轻化趋势,也使其对女性生殖健康的影响逐渐受到社会的关注。已有研究显示,细胞周期蛋白D3(Cyclin D3)是细胞G1/S期的正调控因子,其与相应的周期蛋白依赖性激酶(CDK)结合成复合物,参与并促进细胞相关基因的表达,从而使细胞通过G1/S调控点,进入自主分裂程序,诱发癌变[1]。临床研究表明,Cyclin D在EMC等生殖道肿瘤中呈现过度表达,但不同亚型表达的情况不一,且受PTEN等抑癌基因的调控[2,3,4]。因此,本研究拟检测Cyclin D3在正常子宫内膜、子宫内膜增生及EMC等不同子宫内膜组织中的表达,并分析其在不同内膜组织中的表达差异、与雌激素受体(ER)和孕激素受体(PR)的表达关系,以及与临床分期、肌层浸润深度、淋巴结转移等临床病理特征的关系。

材料与方法

一、标本来源

70例标本来源于2003年1月至2010年12月中山大学孙逸仙纪念医院妇产科住院患者术中切除的子宫内膜组织,均经病理活组织检查(活检)确诊。其中,正常子宫内膜12例,取自因“子宫肌瘤、子宫颈上皮内瘤样变”行子宫切除患者的正常子宫内膜组织,患者年龄为(40.8±7.3)岁,无其他系统性疾病,其中增生期内膜4例、分泌期内膜6例、绝经期内膜2例;子宫增生内膜13例,取自子宫切除术后病理确诊为单纯型增生患者的子宫内膜组织,患者年龄为(42.3±8.4)岁;EMC 45例,取自子宫切除术后病理证实为子宫内膜样腺癌患者的EMC组织,其中高分化腺癌19例、中分化腺癌14例、低分化腺癌12例,患者年龄为(54.0±9.4)岁。所有患者术前均未接受化学治疗、放射治疗及6个月内未接受任何激素治疗,并已签署临床科研标本采集知情同意书。

二、方法

采用非生物素二步法免疫组织化学染色(免疫组化)法。先用10%甲醛固定子宫内膜标本,石蜡包埋后切片,厚4 μm,脱蜡、修复抗原;再用3% H2O2去离子水孵育10 min,滴加Cylin D3多克隆抗体(1∶50,奥博森),二氨基联苯胺显色液(罗氏)显色,蒸馏水充分冲洗,脱水,透明树胶封片。以Cyclin D3阳性的人子宫内膜组织切片作为阳性对照,使用磷酸盐缓冲液(中杉金桥)代替一抗作为阴性对照。分别记录70例组织的Cyclin D3阳性表达率,并分析各组间的差异。收集整理45例EMC患者的相关临床病理资料,包括病理分化级别、分期(根据FIGO2010标准修正)、肌层浸润深度、淋巴结转移、脏器转移、PR和ER的阳性表达率等。

三、评价标准

以腺上皮细胞中出现黄色至棕黄色颗粒为阳性。在光镜下计数400个细胞,采用双评分半定量法:阳性细胞数< 5%评0分,5% ~ 25%评1分,26% ~ 50%评2分,> 50%评3分;显色度评分:细胞核无显色评0分,淡黄色评1分,棕黄色评2分,棕褐色评3分。总分为2项评分相加之和,总分0分为阴性(-)、1 ~ 2分为低表达(+)、3 ~ 4分为中表达(++)、5 ~ 6分为高表达(+++)。阳性表达率=(中表达例数+高表达例数)/总例数×100%。

四、统计学处理

使用SPSS 26.0分析数据。分类资料以例(%)表示,组间比较采用χ2检验或Fisher确切概率法,3组间两两比较行Bonferroni法校正,对EMC中Cyclin D3的阳性表达与ER、PR表达的关系行McNemar检验。α = 0.05。

结果

一、不同子宫内膜组织中Cyclin D3的表达特点

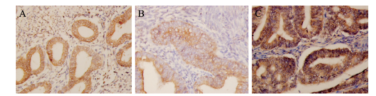
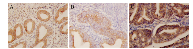
Cyclin D3在正常子宫内膜、单纯型子宫增生内膜和EMC的组织中均呈现阳性表达。其主要在腺细胞或腺癌细胞中表达明显,位于细胞浆中,呈淡黄或棕黄色,基质细胞中呈现阴性表达或弱表达,见图1
图1 不同子宫内膜组织中Cyclin D3的表达

A:正常子宫内膜组织中Cyclin D3的阳性表达(×100);B:单纯型子宫内膜增生组织中Cyclin D3的阳性表达(×200);C:EMC组织中Cyclin D3的阳性表达,主要分布在腺癌细胞胞浆中(×200)

二、不同子宫内膜组织中Cyclin D3的阳性表达率比较

12例正常子宫内膜组织中,有4例为Cyclin D3阳性表达(2例为中表达,2例为高表达),阳性表达率为33%(4/12)。13例单纯型子宫内膜增生组织中,有9例为Cyclin D3阳性表达(6例为中表达,3例为高表达),阳性表达率为69%(9/13)。45例子宫内膜样腺癌组织中,35例为Cyclin D3阳性表达(24例为中表达,11例高表达),阳性表达率为78%(35/45)。Cyclin D3在正常子宫内膜、单纯型子宫内膜增生及子宫内膜样腺癌中的表达比较差异有统计学意义(χ2 = 8.687,P = 0.013),其中子宫内膜样腺癌组高于正常子宫内膜组(χ2 = 8.661,P = 0.003)。

三、EMC中Cyclin D3阳性表达与临床病理特征的关系

45例EMC组织中,有脏器转移者Cyclin D3阳性表达率较高(P < 0.05),见表1
表1 45例EMC中Cyclin D3阳性表达与临床病理特征的关系[例(%)]
临床病理特征 分类 Cyclin D3表达 P值
阳性 阴性
分化级别 G1 16(84) 3(16) 0.030ab
G2 13(93) 1(7)
G3 6(50) 6(50)
分期 18(86) 3(14) 0.479a
8(73) 3(27)
Ⅲ~Ⅳ 9(69) 4(31)
肌层浸润深度 <1/2 20(83) 4(17) 0.476a
>1/2 15(71) 6(29)
淋巴结转移 32(80) 8(20) 0.306a
3(60) 2(40)
脏器转移 6(18) 28(82) 0.007a
7(64) 4(36)

注:a Fisher确切概率法;b两两比较校正α后差异均无统计学意义

四、子宫内膜样腺癌中Cyclin D3的阳性表达与ER、PR表达的关系

45例EMC中,Cyclin D3表达与ER、PR表达均无关(P均> 0.05),见表2
表2 45例EMC中Cyclin D3的阳性表达与ER、PR表达的关系[例(%)]
项 目 分类 Cyclin D3表达 χ2 P值
阳性 阴性
ER 阳性 26(58) 6(13) 0.267 0.607
阴性 9(20) 4(9)
PR 阳性 29(64) 6(13) 0.083 0.773
阴性 6(13) 4(9)

讨论

细胞周期调控异常是肿瘤发生的必要环节,最重要的调控点位于G1/S期,当该调控点的抑癌/促癌因子比例或表达失常时,细胞的增殖功能可能失控,使细胞出现恶性增殖,从而发展为肿瘤细胞。Cyclin D是G1/S期转换的重要调控因子,包括D1、D2及D3三个亚型。已有大量研究证明,Cyclin D3是一种原癌基因,其基因结构和功能异常与多种恶性肿瘤(如乳腺癌、肺癌、卵巢癌等)的发生发展密切相关,主要是通过调控点来调节细胞的分裂、DNA修复等过程[5]
EMC是女性最常见的生殖道恶性肿瘤。既往研究表明,Cyclin D亚型在EMC中均存在表达,Cyclin D3表达存在不一致性。Wu等[2]检测了105例EMC,其中18%可见Cyclin D3的过度表达。本研究中,Cyclin D3在正常子宫内膜组、单纯型子宫内膜增生组、EMC组中均呈现阳性表达,且阳性表达率逐渐升高,其中EMC中Cyclin D3阳性表达率高于正常子宫内膜组织。这可能与本研究所选的病理标本来自单一的子宫内膜腺样癌这一病理类型有关。
本研究分析了Cyclin D3与EMC患者临床病理特征的关系,结果显示有脏器转移者的Cyclin D3阳性表达率高于无脏器转移者,但Cyclin D3的阳性表达与EMC患者的病理分化级别、临床分期、肌层浸润深度、淋巴结转移均无关。这可能与EMC的肿瘤细胞无限增殖不是一种细胞周期蛋白过度表达的结果,而是多种细胞周期蛋白表达异常的共同结果有关[6,7]。因此,本研究结果存在一定的局限性,笔者下一步研究将扩大样本量并收集患者的生存状况进一步验证Cyclin D3与EMC治疗和预后指标的关系。
研究表明,Cyclin D3与CDK4或CDK6结合后,可以激活CDK的磷酸激酶活性,使Rb蛋白磷酸化,继而促进细胞周期的变化。当Cyclin D3表达失控时,则可能引起细胞增殖周期的失调,从而导致肿瘤的发生[6, 8]。本研究初步表明,EMC的细胞周期调控中,Cyclin D3呈现过度表达,是细胞周期的一个重要调控因子。在EMC的形成过程中,雌激素可上调CyclinD3表达并参与其发生发展[9]。另外大剂量孕激素作为早期EMC患者保留生育能力的治疗,具有较高的临床缓解率[10]。但本研究中却未见Cyclin D3的阳性表达与ER、PR表达有关。
总之,Cyclin D3可能参与EMC的细胞增殖调控,与EMC的脏器转移有关,但与ER、PR的表达却无明显关系。这些均需要进一步的多中心、大样本研究加以证实。
[1]
Wang H, Nicolay BN, Chick JM, Gao X, Geng Y, Ren H, Gao H, Yang G, Williams JA, Suski JM, Keibler MA, Sicinska E, Gerdemann U, Haining WN, Roberts TM, Polyak K, Gygi SP, Dyson NJ, Sicinski P. The metabolic function of cyclin D3-CDK6 kinase in cancer cell survival. Nature, 2017,546(7658):426-430.

DOI PMID

[2]
Wu W, Slomovitz BM, Soliman PT, Schmeler KM, Celestino J, Milam MR, Lu KH. Correlation of cyclin D1 and cyclin D3 overexpression with the loss of PTEN expression in endometrial carcinoma. Int J Gynecol Cancer, 2006,16(4):1668-1672.

DOI PMID

[3]
Brandmaier A, Hou SQ, Shen WH. Cell cycle control by PTEN. J Mol Biol, 2017,429(15):2265-2277.

DOI PMID

[4]
段超, 王斌, 梁霜, 刘旭斌, 杨峥, 张明辉, 张文辉, 余俐. 骨桥蛋白在子宫内膜样腺癌中的表达及其与肿瘤增殖和患者预后的关系. 新医学, 2013,44(6):366-369.

[5]
Wang B, Wang Z, Han L, Gong S, Wang Y, He Z, Feng Y, Yang Z. Prognostic significance of cyclin D3 expression in malignancy patients: a meta-analysis. Cancer Cell Int, 2019,19:158.

DOI PMID

[6]
Giannone G, Tuninetti V, Ghisoni E, Genta S, Scotto G, Mittica G, Valabrega G. Role of cyclin-dependent kinase inhibitors in endometrial cancer. Int J Mol Sci, 2019,20(9):2353.

DOI

[7]
Shevra CR, Ghosh A, Kumar M. Cyclin D1 and Ki-67 expression in normal, hyperplastic and neoplastic endometrium. J Postgrad Med, 2015,61(1):15-20.

DOI PMID

[8]
贾祝强, 张福胤. Cyclin D3与Ki-67在涎腺腺泡细胞癌中的表达及意义. 中国医疗前沿, 2008,3(12):17-19.

[9]
袁丹, 刘蒙蒙, 周正平, 刘俊江, 孙小杰. 雌激素对人子宫内膜样癌Ishikawa细胞中p57~(kip2)、Cyclin D1、CDK4表达及形态变化影响的研究. 现代妇产科进展, 2018,27(4):249-254.

[10]
周蓉, 鹿群, 刘国莉, 王益勤, 王建六. 早期子宫内膜癌保留生育功能治疗专家共识. 临床医学研究与实践, 2019,23(4):201.

Outlines

/