Case Research

Primary retroperitoneal yolk sac tumor: a case report

  • Xiong Qian ,
  • Gu Jian
Expand
  • Department of Gynecology, the Third Affiliated Hospital of Sun Yat-sen University, Guangzhou 510630, China

Received date: 2020-05-26

  Online published: 2020-11-17

Copyright

Copyright reserved © 2020

Abstract

Primary retroperitoneal yolk sac tumor is a rare disease in clinical setting, which is likely to be misdiagnosed or miss the diagnosis. In this article, a 25-year-old woman who was pathologically diagnosed with primary retroperitoneal yolk sac tumor was reported. She was admitted to our hospital due to abdominal distention for one week. Preoperative imaging examination suggested the possibility of malignant ovarian tumor. During the exploratory open surgery, it was found that the tumor was derived from the retroperitoneum, and no tumor was found in both ovaries. The tumor was surgically removed. According to the treatment of yolk sac tumor, chemotherapy consisting of etoposide 150 mg + carboplatin 900 mg + bleomycin 15 mg (BEP) was delivered for 6 cycles. After the third cycle of chemotherapy, the alpha-fetoprotein (AFP) level was decreased to normal range. No abnormal tumor was found by color Doppler ultrasound. No tumor recurrence was observed during 1-year follow-up. This case prompts that imaging examination combined with AFP detection contribute to clinical diagnosis and prognosis evaluation of primary retroperitoneal yolk sac tumor. Surgery in combination with chemotherapy yields high clinical efficacy.

Cite this article

Xiong Qian , Gu Jian . Primary retroperitoneal yolk sac tumor: a case report[J]. JOURNAL OF NEW MEDICINE, 2020 , 51(11) : 888 -890 . DOI: 10.3969/j.issn.0253-9802.2020.11.017

卵黄囊瘤又称内胚窦瘤,是一种由胚外结构卵黄囊发生恶变的原发性生殖细胞肿瘤[1]。腹膜外生殖细胞肿瘤常见于纵隔、后腹膜及骶尾部等部位[2]。生殖腺以外的卵黄囊瘤考虑是胚胎发生过程中生殖细胞沿泌尿生殖脊错误迁移的结果,占所有成人生殖细胞恶性肿瘤的2% ~ 5%[3]。性腺以外的卵黄囊瘤少见,原发于后腹膜的卵黄囊瘤更为罕见。现将近年我科收治的1例后腹膜卵黄囊瘤诊治过程报道如下,以提高临床医师对该病的诊疗水平。

病例资料

一、病史及体格检查

患者女,25岁。因腹胀1周于2018年6月2日收入院。患者既往体健,1周前无明显诱因出现腹胀,为持续性胀痛,休息后明显缓解,曾于当地医院就诊,行盆腔MRI检查提示下腹部巨大占位性病变,为进一步诊治来我院就诊。起病以来患者大小便正常,已婚未育,G0P0,月经规律。
入院体格检查:体温36.8˚C,脉搏86次/分,呼吸16次/分,血压105/68 mm Hg(1 mm Hg = 0.133 kPa)。发育正常,姿势步态正常。妇科检查提示外阴呈已婚未产型,阴道后穹隆膨隆,子宫颈无举痛,子宫左上方可触及一大小约17 cm×15 cm×13 cm实性包块,边界清楚,活动度差,无压痛。

二、实验室及辅助检查

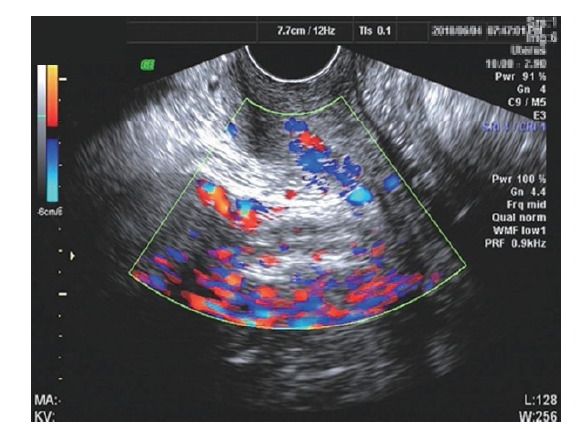
血常规示血红蛋白74 g/L,红细胞2.97×1012/L,白细胞7.82×109/L,中性粒细胞0.722,淋巴细胞0.202,血小板计数306×109/L。血清癌抗原125(CA125)74.1 kU/L,人附睾蛋白4 30.1 pmol/L,血清甲胎蛋白10 341.2 μg/L,癌胚抗原(CEA)0.3 μg/L,血清人绒毛膜促性腺激素(HCG)5 U/L。彩色多普勒超声(彩超)检查提示盆腹腔内见巨大稍高回声团,上达脐水平,两侧达髂窝,边界清,包膜光滑,内回声不均,可见数个小暗区。彩色多普勒血流显像(CDFI):稍高回声团内可见较丰富血流信号,引出低阻动脉血流频谱,右侧卵巢显示不清,盆腔巨大实性包块,考虑右侧卵巢恶性肿瘤可能性大(图1)。
图1 一例后腹膜卵黄囊瘤患者入院时的盆腹腔彩超检查

三、诊断及治疗

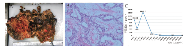
初步诊断:卵巢卵黄囊瘤可能。2018年6月6日行剖腹探查,术中见盆腔巨大包块(图2A)与乙状结肠、直肠、子宫后壁及右侧卵巢粘连,分离粘连后见子宫双侧附件外观正常,子宫直肠陷凹封闭,包块来源于后腹膜,予经腹盆腔巨大肿物切除术、小肠部分切除术、盆腔粘连松解术。术后病理结果提示镜下见异形细胞呈腺样、条索状或迷路样排列,可见Schiller-Duval(S-D)小体,腺样结构内的被覆上皮部分肥胖,部分扁平,核分裂易见,间质疏松、黏液样变性明显,并见嗜酸性小体。免疫组织化学染色:角蛋白(CK,+),胎盘碱性磷酸酶(PLAP,+),甲胎蛋白(+),HCG(-),CD30(-),Oct3/4(-),上皮膜抗原(EMA,-),抑制素(inhibin,-),波形蛋白(Vim,-),细胞增殖抗原Ki67(40%+),Gly-3(部分+),见图2B。考虑卵黄囊瘤。术后予依托泊苷150 mg、卡铂900 mg、博来霉素15 mg(BEP方案)静脉化学治疗,共化学治疗6次。第3次化学治疗后(2018年8月6日)复查甲胎蛋白降至正常(图2C),彩超未见明显异常肿物。随访1年至撰稿日未见肿瘤复发。
图2 一例后腹膜卵黄囊瘤患者的术中切除肿物、病理结果以及手术前后血清甲胎蛋白水平

A:术中切除后腹膜肿物大体标本;B:后腹膜肿物HE染色(×400);C:患者术前及术后血清甲胎蛋白水平变化

讨论

卵黄囊瘤是女性第二常见恶性生殖细胞肿瘤,而后腹膜卵黄囊瘤更为罕见,现存国内外文献均为病例报道[4]。由于后腹膜卵黄囊瘤发展于后腹膜,起病隐匿,没有明显的临床症状及体征,待肿瘤发展至一定大小时才能引发相关症状。绝大多数病例中,肿瘤侵犯血管、神经时引起如腹痛、腰痛、腹胀、腹水等症状,从而发现肿瘤。
血清甲胎蛋白升高是卵黄囊瘤的标志,有助于卵黄囊瘤的诊断。血清甲胎蛋白的连续测定对监测疾病发展和治疗反应有重要意义[1]。Talerman等最早于1980年提出血清甲胎蛋白升高可用于诊断卵黄囊瘤,同时可用于评估肿瘤恶性程度及复发。本例患者经手术及BEP方案化学治疗后,血清甲胎蛋白由10 341.2 μg/L降至正常,因而血清甲胎蛋白可作为后腹膜卵黄囊瘤的重要肿瘤标志物,并用于长期监测肿瘤复发及远处转移。术前影像学检查有助于标记卵黄囊瘤位置,但卵黄囊瘤缺乏特征性影像学表现。CT平扫可呈等密度或低密度,部分实性成分增强。MRI平扫可见囊性部分呈明显的长T1、T2信号,实性部分T1以等信号和低信号为主,T2呈高信号[5,6]。本例患者术前盆腔MRI提示卵巢来源恶性肿瘤,由于缺乏特征性影像学表现,与术中发现为后腹膜来源肿瘤不相符。病理学检查是诊断的金标准。卵黄囊瘤的常见的组织形态学构象包括特异性S-D小体微囊性结构、腺泡-腺管样结构、多囊状结构、黏液瘤样结构、实性团巢状结构、肝样型卵黄囊瘤、原始腺管样结构等,肿瘤细胞形态多样,异型性明显,核分裂像多见[7]
卵黄囊瘤好发于年轻女性,对于有生育要求的患者可行保留生育功能手术。Nasioudis等[8]分析了526例恶性生殖细胞肿瘤患者,结果显示保留生育功能的手术并不影响预后及复发。Turkmen等[9]也认为保留生育手术对早期卵黄囊瘤安全、有效。本例患者为25岁已婚未育女性,考虑患者有生育要求,术中行后腹膜肿物切除术,保留患者生育功能,术后随访至撰稿日未见肿瘤复发。
卵黄囊瘤对化学治疗敏感度极高,术后辅助足量及规范的化学治疗有助改善预后。化学方案推荐铂类为主的联合化学治疗方案,常见的化学治疗方案有BEP方案和博莱霉素、顺铂、长春新碱(BVP方案)[10]。BEP方案毒性相对更低,主要不良反应有脱发、乏力、恶心及骨髓抑制。博来霉素主要不良反应为耳毒性,化学治疗过程中应注意监测患者听力情况。本例患者在术后进行BEP方案化学治疗6次,在第3次化学治疗后甲胎蛋白已降至正常,并在化学治疗前使用GnRH-a进一步保护卵巢功能。患者完成化学治疗后至撰稿日已随访1年,月经已恢复正常。因此,卵黄囊瘤对BEP化学治疗敏感度高,可作为术后治疗首选方案。
综上所述,起源于后腹膜的卵黄囊瘤极为罕见,影像学检查结合甲胎蛋白检测有助于卵黄囊瘤的诊断及预后评估,手术结合术后辅助化学治疗对卵黄囊瘤效果良好。
[1]
Kojimahara T, Nakahara K, Takano T, Yaegashi N, Nishiyama H, Fujimori K, Sato N, Terada Y, Tase T, Yokoyama Y, Mizunuma H, Shoji T, Sugiyama T, Kurachi H. Yolk sac tumor of the ovary: a retrospective multicenter study of 33 Japanese women by Tohoku Gynecologic Cancer Unit (TGCU). Tohoku J Exp Med, 2013,230(4):211-217.

DOI PMID

[2]
Kurman RJ, Carcangiu ML, Herrington CS, Young RH. WHO classification of tumours of female reproductive organs. Lyon: International Agency for Research on Cancer, 2014.

DOI PMID

[3]
Simpson S, Simoni M, Hui P, Taylor HS, Buza N. Extragonadal yolk sac tumor limited to the myometrium: report of a case with potential fertility preservation and molecular analysis suggesting germ cell origin. Int J Gynecol Pathol, 2020,39(3):247-253.

DOI PMID

[4]
Wang Y, Yang J, Yu M, Cao D, Zhang Y, Zong X, Shen K. Ovarian yolk sac tumor in postmenopausal females: a case series and a literature review. Medicine (Baltimore), 2018,97(33):e11838.

DOI

[5]
肖学红. 20例卵黄囊瘤的CT和MRI诊断. 广东医学院学报, 2016,34(5):494-497.

[6]
迟源, 马羽佳, 郑加贺, 刘兆玉. 卵黄囊瘤的CT及MRI表现. 现代肿瘤医学, 2016,24(8):1278-1283.

[7]
徐炼, 王巍, 何英, 王梅, 黄芹, 刘娟, 吴秀丽. 卵巢卵黄囊瘤46例临床病理分析. 四川大学学报(医学版), 2018,49(4):680-682.

[8]
Nasioudis D, Frey MK, Chapman-Davis E, Caputo TA, Holcomb K. Fertility-preserving surgery for advanced stage ovarian germ cell tumors. Gynecol Oncol, 2017,147(3):493-496.

DOI PMID

[9]
Turkmen O, Karalok A, Basaran D, Kimyon GC, Tasci T, Ureyen I, Tulunay G, Turan T. Fertility-sparing surgery should be the standard treatment in patients with malignant ovarian germ cell tumors. J Adolesc Young Adult Oncol, 2017,6(2):270-276.

DOI PMID

[10]
Zhang GY, Zhang R, Wu LY, Li B, Li SM. Neoadjuvant bleomycin, etoposide, and cisplatin (BEP) chemotherapy in the treatment of extensively advanced yolk sac tumors: a single center experience. Int J Gynecol Cancer, 2018,28(4):713-720.

DOI PMID

Outlines

/