Original Research

Mechanism of empagliflozin in mitigating HK-2 cells apoptosis induced by high glucose

  • Wang Meijun ,
  • Liang Riying ,
  • Xu Fen ,
  • Liang Xiaoqi ,
  • Li Qiqian ,
  • Cai Mengyin
Expand
  • Department of Endocrinology, the Third Affiliated Hospital of Sun Yat-sen University, Guangzhou 510630, China
Cai Mengyin, E-mail:

Received date: 2020-12-08

  Online published: 2021-06-09

Copyright

Copyright reserved © 2021

Abstract

Objective To investigate the mechanism of empagliflozin in mitigating the apoptosis of human renal proximal tubule epithelial cells (HK-2 cells). Methods HK-2 cells were incubated in normal glucose (NG) or high glucose (HG) combined without or with empagliflozin at different concentrations for 48 h. The expression levels of silent mating type information regulation 2 homolog 1(SIRT1), thioredoxin-interacting protein (TXNIP) and cleaved Caspase-3 were determined by Western blot. The apoptosis of HK-2 cells was determined by TUNEL staining. Results Western blot demonstrated that the expression levels of TXNIP and cleaved Caspase-3 at 48 h in the HG group were significantly higher, whereas that of SIRT1 was remarkably lower compared with those in the NG group (all P < 0.05). After combined interventions of 1000 nmol/L empagliflozin and 30 mmol/L glucose for 48 h, the expression levels of TXNIP and cleaved Caspase-3 were significantly down-regulated, whereas that of SIRT1 was considerably up-regulated (all P < 0.001).TUNEL staining demonstrated that the number of TUNEL-positive cells in the empagliflozin combined with 30 mmol/L glucose group was significantly less than that in the 30 mmol/L glucose group. In the 1000 nmol/L combined with 30 mmol/L glucose group, the cell apoptosis was more evident. Conclusion Empagliflozin can protect HK-2 cells from HG-mediated apoptosis probably by up-regulating the expression level of SIRT1 protein and down-regulating that of TXNIP protein.

Cite this article

Wang Meijun , Liang Riying , Xu Fen , Liang Xiaoqi , Li Qiqian , Cai Mengyin . Mechanism of empagliflozin in mitigating HK-2 cells apoptosis induced by high glucose[J]. JOURNAL OF NEW MEDICINE, 2021 , 52(5) : 322 -327 . DOI: 10.3969/j.issn.0253-9802.2021.05.005

中国 2型糖尿病(T2DM)患者中肾病患病率高达 30% ~ 50%,白蛋白尿和肾小球滤过率受损的患者10 年累积病死率达47%,给社会带来极大的卫生经济负担[1]。强化降糖、降压、ARB/ACEI虽可降低蛋白尿风险,但仍缺乏肾脏硬终点获益的证据。恩格列净心血管结局事件试验(EMPA-REG OUTCOME)研究显示恩格列净治疗组血清肌酐水平增加1倍的相对风险显著降低44%、采用肾脏替代疗法较安慰剂组的相对风险降低了55%[2,3]。钠-葡萄糖共转运蛋白2(SGLT2)抑制剂可改善肾小球血流动力学、肾小管能量代谢和肾脏疾病高危因素等,延缓糖尿病肾病的进展,但目前还不能完全解释其肾脏保护机制。
2014年美国糖尿病协会(ADA)弃用糖尿病肾病名称,改为糖尿病肾脏疾病(DKD),说明糖尿病肾功能损伤不仅仅与肾小球病变相关。据报道,肾小管变化与肾功能损伤紧密相关,比肾小球变化更能准确预测DKD的进展[4,5]。沉默信息调节因子2相关酶1(SIRT1)可调节特定赖氨酸残基上的组蛋白,促进翻译后修饰,从而导致染色质沉默和转录抑制[6]。激活SIRT1可改善部分代谢参数,如糖耐量、空腹血糖水平和胰岛素抵抗,从而延长动物寿命[7]。SIRT1除了对代谢有益外,在DKD中还具有抑制足细胞和小管细胞损伤的保护作用[8,9]。很多研究已证实SIRT1与改善高糖诱导的肾脏细胞凋亡效应有关[10,11]
基因芯片技术研究显示硫氧还蛋白互作蛋白(TXNIP)是高糖调节人肾皮质近曲小管上皮细胞(HK-2细胞)基因中最显著增加的基因,是葡萄糖毒性和细胞损伤之间的关键环节,提示抑制该蛋白可在DKD中发挥重要作用[12]。此外,敲除TXNIP基因已被证实可以限制系膜细胞和近端小管细胞葡萄糖诱导的胶原生成和氧化应激[12,13]。有研究者用高糖诱导系膜细胞和小鼠肾脏组织 TXNIP 基因的乙酰化修饰上调蛋白的表达,发现TXNIP与小鼠的DKD相关[14]。这表明抑制TXNIP可能是一种治疗DKD的新方法。本研究组旨在探讨恩格列净改善高糖诱导的HK-2细胞凋亡的作用以及SIRT1、TXNIP在其中的可能机制。

材料与方法

一、实验材料

DMEM No Glucose培养基、Ham’s F-12 Nutrient Mixture、澳洲胎牛血清 FBS QUALIFIED AUSTRALIA ORIGIN购自英潍捷基(上海)贸易有限公司。葡萄糖粉末购自Sigma-Aldrich公司。恩格列净购自Selleck生物科技有限公司。RIPA Lysis and Extraction Buffer、Halt™ Protease and Phosphatase Inhibitor Cocktail购自美国Thermo Scientific公司。SIRT1抗体购自美国Merck Millipore公司。TXNIP抗体和裂解的半胱天冬酶-3(cleaved Caspase-3)抗体购自CST公司。TUNEL试剂盒(In Situ Cell Death Detection Kit,Fluorescein)购自Roche公司。HK-2细胞购自中国科学院细胞库。

二、实验方法

1. HK-2细胞的培养和分组
单纯给予不同浓度葡萄糖干预:取HK-2细胞种植于6孔板中分为3组并饥饿24 h,然后分别用5.5 mmol/L葡萄糖、30 mmol/L葡萄糖或50 mmol/L葡萄糖干预48 h,探讨不同葡萄糖浓度对HK-2细胞SIRT1和TXNIP表达的影响。
给予30 mmol/L葡萄糖干预0、12、24 h:取HK-2细胞种植于6孔板中并饥饿24 h,然后用30 mmol/L葡萄糖干预0、12、24 h,探讨30 mmol/L 葡萄糖在不同时间对HK-2细胞SIRT1和TXNIP表达的影响。
前2组仅单纯给予葡萄糖干预,后3组给予不同浓度恩格列净+高葡萄糖处理:取HK-2细胞种植于6孔板中分为5组并饥饿24 h,然后用5.5 mmol/L葡萄糖、30 mmol/L葡萄糖或用分别添加了250 nmol/L、500 nmol/L或1000 nmol/L恩格列净工作液的30 mmol/L葡萄糖共干预48 h。
2. 蛋白免疫印迹法检测HK-2细胞各组蛋白相对表达水平
提取各组细胞蛋白,采用蛋白免疫印迹法检测SIRT1、TXNIP和cleaved Caspase-3等蛋白的相对表达情况。
3. TUNEL染色法检测细胞凋亡
将HK-2细胞培养在装有细胞爬片的24孔板中并分为5组,正常糖组:葡萄糖量5.5 mmol/L;高糖组:葡萄糖量30 mmol/L;恩格列净组:分别在30 mmol/L 高糖诱导时添加500 nmol/L、1000 nmol/L 恩格列净工作液;阳性对照组:葡萄糖5.5 mmol/L+脱氧核糖核酸酶(DNase)。上述各组经干预48 h 后,使用4%多聚甲醛固定细胞,按照TUNEL染色试剂盒的方法进行染色,制片完成后,采用激光扫描共聚焦显微镜观察各组细胞的凋亡情况以及恩格列净对高糖诱导HK-2细胞凋亡的影响。

三、统计学处理

采用SPSS 25.0进行统计分析,正态分布的计量资料以$\bar{x}\pm s$表示,符合正态分布和方差齐性的多组定量资料比较用单因素方差分析,多重比较采用LSD-t检验,否则采用Kruskal-Waillis秩和检验。药物干预实验计量资料只进行高糖组与其他组比较,其余实验计量资料均进行两两比较。α= 0.05。

结果

一、HK-2细胞在不同葡萄糖浓度下SIRT1和TXNIP相对表达水平

蛋白免疫印迹结果显示,使用不同葡萄糖浓度培养48 h后,5.5、30、50 mmol/L葡萄糖组SIRT1/β-actin分别为1.000±0.243、0.129±0.030、0.227±0.099,TXNIP/β-actin分别为1.000±0.502、46.852±11.646、56.585±22.095,3组SIRT1和TXNIP的表达水平比较差异均有统计学意义(FSIRT1 = 28.631,PSIRT1 = 0.001;FTXNIP = 12.708,PTXNIP = 0.007)。与5.5 mmol/L葡萄糖组相比,30、50 mmol/L葡萄糖组SIRT1表达均下降(P30 < 0.001,P50 = 0.001),TXNIP均上升(P30 = 0.008,P50 = 0.003)。30 mmol/L葡萄糖组与50 mmol/L葡萄糖组相比,SIRT1和TXNIP差异均无统计学意义(PSIRT1 = 0.470,PTXNIP = 0.440),见图1
图1 HK-2细胞在不同葡萄糖浓度培养48小时的SIRT1和TXNIP蛋白表达

A:HK-2细胞分别在5.5 mmol/L葡萄糖、30 mmol/L葡萄糖、50 mmol/L葡萄糖环境下培养48 h后SIRT1和TXNIP蛋白分子的蛋白免疫印迹条带;B:SIRT1和TXNIP蛋白分子蛋白免疫印迹结果的灰度分析;组间比较,***P < 0.001;Glu为葡萄糖

二、HK-2细胞用30 mmol/L葡萄糖干预不同时间后SIRT1和TXNIP蛋白相对表达水平

蛋白免疫印迹结果显示,使用30 mmol/L葡萄糖干预0、12、24 h,SIRT1/β-actin分别为1.000±0.287、1.212±0.292、1.626±0.825,TXNIP/β-actin分别为1.000±0.917、0.341± 0.054、0.620±0.552。3组SIRT1和TXNIP的蛋白水平比较差异无统计学意义(FSIRT1 = 1.074,PSIRT1 = 0.399;FTXNIP = 1.206,PTXNIP = 0.363),见图2。因此,可选择30 mmol/L葡萄糖干预48 h进行高糖干预HK-2细胞的实验条件。
图2 HK-2细胞在30 mmol/L葡萄糖培养0、12、24 h的SIRT1和TXNIP蛋白表达

A:HK-2细胞分别于30 mmol/L葡萄糖环境培养0、12、24 h后SIRT1和TXNIP蛋白分子的蛋白免疫印迹条带;B:SIRT1和TXNIP蛋白分子蛋白免疫印迹结果的灰度分析;Glu为葡萄糖

三、恩格列净改善高糖诱导HK-2细胞的凋亡

蛋白质免疫印迹结果显示,培养48 h后,5.5 mmol/L葡萄糖组cleaved Caspase-3/β-actin为1.000±0.297,高糖组(30 mmol/L)cleaved Caspase-3/β-actin为9.263±0.791;分别给予250、500、1000 nmol/L的恩格列净干预的高糖组cleaved Caspase-3/β-actin依次为8.686±1.005、5.967±0.458、1.083± 0.800。5组cleaved Caspase-3的蛋白水平比较差异有统计学意义(H = 12.300,P = 0.015)。高糖组的cleaved Caspase-3水平均高于5.5 mmol/L糖组(P < 0.001)和500、1000 nmol/L恩格列净与高糖共干预组(P500 = 0.001,P1000 < 0.001);高糖组的cleaved Caspase-3水平与250 nmol/L恩格列净与高糖共干预组比较差异无统计学(P = 0.348),见图3
图3 各组HK-2细胞的cleaved Caspase-3蛋白表达

A:HK-2细胞分别在5.5 mmol/L葡萄糖、30 mmol/L葡萄糖以及不同浓度恩格列净(250 nmol/L、500 nmol/L、1000 nmol/L)与30 mmol/L葡萄糖共干预48 h后cleaved Caspase-3蛋白分子的蛋白免疫印迹条带;B:cleaved Caspase-3蛋白分子蛋白免疫印迹结果的灰度分析;***P < 0.001;HG为高糖,Empa为恩格列净

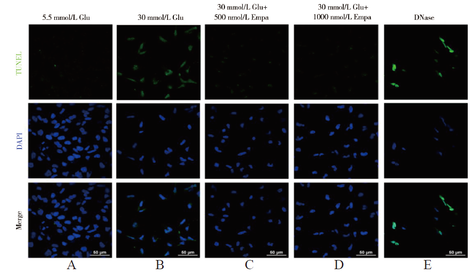
TUNEL染色结果显示,30 mmol/L葡萄糖组较5.5 mmol/L 葡萄糖组调亡细胞数多;经恩格列净干预后,500 nmol/L、1000 nmol/L恩格列净与30 mmol/L葡萄糖共干预组较30 mmol/L 葡萄糖组凋亡细胞数少,见图4。蛋白免疫印迹结果和TUNEL染色结果均显示500 nmol/L和1000 nmol/L 恩格列净能改善高糖诱导HK-2细胞的凋亡,且1000 nmol/L恩格列净的效果更显著。
图4 各组HK-2细胞的TUNEL染色

A ~ D:HK-2细胞分别在5.5 mmol/L葡萄糖、30 mmol/L葡萄糖、不同浓度恩格列净(500 nmol/L、1000 nmol/L)与30 mmol/L葡萄糖共干预48 h后TUNEL染色图;E:阳性对照组;绿色荧光代表细胞凋亡,蓝色荧光代表细胞核;Glu为葡萄糖,Empa为恩格列净

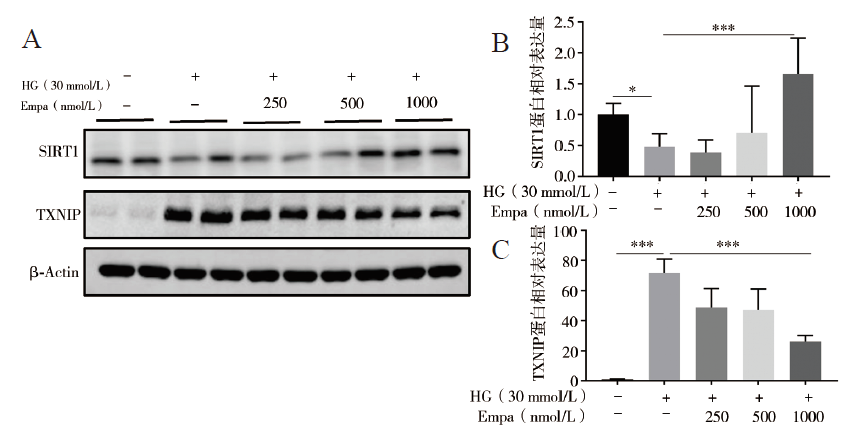
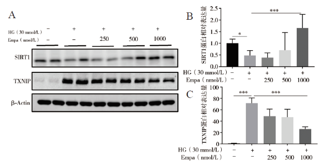
4. 不同浓度恩格列净干预HK-2细胞后SIRT1、TXNIP的相对表达水平
蛋白免疫印迹结果显示,干预48 h后,5.5 mmol/L葡萄糖组SIRT1/β-actin为1.000±0.034,高糖组(30 mmol/L)SIRT1/β-actin为0.318± 0.225,分别给予250、500、1000 nmol/L恩格列净干预的高糖组的SIRT1/β-actin分别为0.316±0.117、0.774±0.117、1.660±0.576。5.5 mmol/L葡萄糖组TXNIP/β-actin为1.000±0.294,高糖组(30 mmol/L)TXNIP/β-actin为63.257±15.802,分别给予250、500、1000 nmol/L恩格列净干预的高糖组的TXNIP/β-actin分别为51.954±10.264、47.105±9.828、25.163± 3.363。5组SIRT1和TXNIP的蛋白水平比较差异均有统计学意义(HSIRT1 = 11.551,PSIRT1 = 0.021;HTXNIP = 11.633,PTXNIP = 0.020)。高糖组与5.5 mmol/L葡萄糖组相比,SIRT1表达水平下降(P = 0.024),TXNIP表达水平升高(P < 0.001)。与高糖组相比,1000 nmol/L恩格列净与高糖共干预组SIRT1表达水平升高,TXNIP表达水平下降(P均= 0.001);高糖组与250、500 nmol/L恩格列净与高糖共干预组SIRT1表达水平(P250 = 0.995,P500 = 0.158)和TXNIP表达水平(P250 = 0.181,P500 = 0.067)比较差异均无统计学意义,见图5。由此可见,30 mmol/L 葡萄糖与1000 nmol/L 恩格列净共干预48 h时可促进SIRT1表达和抑制TXNIP表达。
图5 各组HK-2细胞的SIRTI和TXNIP蛋白免疫印迹条带

A:HK-2细胞分别在5.5 mmol/L葡萄糖、30 mmol/L葡萄糖、不同浓度恩格列净(250、500、1000 nmol/L)与30 mmol/L葡萄糖共干预48 h后SIRT1、TXNIP蛋白分子的蛋白免疫印迹条带;B:SIRT1蛋白分子蛋白免疫印迹结果的灰度分析;C:TXNIP蛋白分子蛋白免疫印迹结果的灰度分析;组间比较,*P < 0.05,***P < 0.001;HG为高糖,Empa为恩格列净

讨论

2019年美国和欧洲糖尿病协会共识推荐对T2DM伴发慢性肾脏病患者在二甲双胍基础上加用SGLT2抑制剂。既往研究表明,高糖会引起肾小管细胞的凋亡[15]。本研究证实恩格列净可改善高糖诱导HK-2细胞凋亡,与既往研究结果一致[16]。进一步研究显示,恩格列净可降低30 mmol/L葡萄糖诱导HK-2细胞TXNIP表达水平。以往的研究者发现,在糖尿病患者肾脏组织和糖尿病小鼠肾脏组织中TXNIP的mRNA水平均升高,TXNIP蛋白水平在肾脏结构异常之前已上调[17,18]。上述均提示肾靶向抑制TXNIP可能是预防和治疗DKD的新策略。
ANDIS(All New Diabetics In Scania)是由瑞典Leif团队创始于2008年的大型糖尿病队列,目的是研究糖尿病的异质性,该团队发现DKD在严重胰岛素抵抗糖尿病(SIRD)患者中发病率最高,强调了胰岛素抵抗对DKD的重要性;SIRD患者在诊断时肾小球滤过率已较低,表明肾脏损伤的病理过程在糖尿病诊断前就已开始[19]。增强胰岛素敏感性或许可以预防这类患者的DKD。SIRT1与胰岛素敏感性和糖脂代谢密切相关,研究证实SIRT1对糖尿病患者的肾脏起保护作用,能延缓糖尿病的发生及发展[20,21]。本研究中高糖培养的HK-2细胞SIRT1表达水平降低,予以恩格列净治疗后SIRT1表达水平升高,而TXNIP表达趋势与之相反。亦有研究者发现SIRT1和TXNIP在抗衰老方面存在负相关关系,但是它们之间的调控方式尚未清楚[22]。TXNIP是能量平衡和营养感知的重要中介;TXNIP可以抑制脂肪过量诱导的胰岛素抵抗,同时增加脂肪细胞的储存能力[23]。SIRT1与TXNIP是否共同调节胰岛素抵抗,改善肾脏细胞的凋亡也需要作进一步探讨。
综上所述,恩格列净可能通过上调SIRT1表达及下调TXNIP表达来改善HK-2细胞凋亡。然而具体的调控机制,需分别沉默HK-2细胞目的基因SIRT1和TXNIP后再进行实验以进一步证实。
[1]
Zhang L, Long J, Jiang W, Shi Y, He X, Zhou Z, Li Y, Yeung RO, Wang J, Matsushita K, Coresh J, Zhao MH, Wang H. Trends in chronic kidney disease in China. N Engl J Med, 2016,375(9):905-906.

DOI

[2]
Zinman B, Wanner C, Lachin JM, Fitchett D, Bluhmki E, Hantel S, Mattheus M, Devins T, Johansen OE, Woerle HJ, Broedl UC, Inzucchi SE, EMPA-REG OUTCOME Investigators. Empagliflozin, cardiovascular outcomes, and mortality in type 2 diabetes. N Engl J Med, 2015,373(22):2117-2128.

DOI

[3]
Wanner C, Inzucchi SE, Lachin JM, Fitchett D, von Eynatten M, Mattheus M, Johansen OE, Woerle HJ, Broedl UC, Zinman B, EMPA-REG OUTCOME Investigators. Empagliflozin and progression of kidney disease in type 2 diabetes. N Engl J Med, 2016,375(4):323-334.

DOI

[4]
Tang SC, Lai KN. The pathogenic role of the renal proximal tubular cell in diabetic nephropathy. Nephrol Dial Transplant, 2012,27(8):3049-3056.

DOI

[5]
Vallon V, Thomson SC. Renal function in diabetic disease models: the tubular system in the pathophysiology of the diabetic kidney. Annu Rev Physiol, 2012,74:351-375.

DOI

[6]
Gan H, Shen T, Chupp DP, Taylor JR, Sanchez HN, Li X, Xu Z, Zan H, Casali P. B cell Sirt1 deacetylates histone and non-histone proteins for epigenetic modulation of AID expression and the antibody response. Sci Adv, 2020,6(14):eaay2793.

DOI

[7]
Zheng X, Xu F, Liang H, Cao H, Cai M, Xu W, Weng J. SIRT1/HSF1/HSP pathway is essential for exenatide-alleviated, lipid-induced hepatic endoplasmic reticulum stress. Hepatology, 2017,66(3):809-824.

DOI

[8]
Du L, Qian X, Li Y, Li XZ, He LL, Xu L, Liu YQ, Li CC, Ma P, Shu FL, Lu Q, Yin XX. Sirt1 inhibits renal tubular cell epithelial-mesenchymal transition through YY1 deacetylation in diabetic nephropathy. Acta Pharmacol Sin, 2021,42(2):242-251.

DOI

[9]
Hasegawa K, Wakino S, Simic P, Sakamaki Y, Minakuchi H, Fujimura K, Hosoya K, Komatsu M, Kaneko Y, Kanda T, Kubota E, Tokuyama H, Hayashi K, Guarente L, Itoh H. Renal tubular Sirt1 attenuates diabetic albuminuria by epigenetically suppressing Claudin-1 overexpression in podocytes. Nat Med, 2013,19(11):1496-1504.

DOI

[10]
Ahmed HH, Taha FM, Omar HS, Elwi HM, Abdelnasser M. Hydrogen sulfide modulates SIRT1 and suppresses oxidative stress in diabetic nephropathy. Mol Cell Biochem, 2019,457(1-2):1-9.

DOI

[11]
Xu J, Chen Y, Xing Y, Ye S. Metformin inhibits high glucose-induced mesangial cell proliferation, inflammation and ECM expression through the SIRT1-FOXO1-autophagy axis. Clin Exp Pharmacol Physiol, 2019,46(9):813-820.

DOI

[12]
Qi W, Chen X, Gilbert RE, Zhang Y, Waltham M, Schache M, Kelly DJ, Pollock CA. High glucose-induced thioredoxin-interacting protein in renal proximal tubule cells is independent of transforming growth factor-beta1. Am J Pathol, 2007,171(3):744-754.

DOI

[13]
Xu W, Wang L, Li J, Cai Y, Xue Y. TXNIP mediated the oxidative stress response in glomerular mesangial cells partially through AMPK pathway. Biomed Pharmacother, 2018,107:785-792.

DOI

[14]
De Marinis Y, Cai M, Bompada P, Atac D, Kotova O, Johansson ME, Garcia-Vaz E, Gomez MF, Laakso M, Groop L. Epigenetic regulation of the thioredoxin-interacting protein (TXNIP) gene by hyperglycemia in kidney. Kidney Int, 2016,89(2):342-353.

DOI

[15]
Zhang X, Guan T, Yang B, Chi Z, Wan Q, Gu HF. Protective effect of berberine on high glucose and hypoxia-induced apoptosis via the modulation of HIF-1α in renal tubular epithelial cells. Am J Transl Res, 2019,11(2):669-682.

[16]
Lee WC, Chau YY, Ng HY, Chen CH, Wang PW, Liou CW, Lin TK, Chen JB. Empagliflozin protects HK-2 cells from high glucose-mediated injuries via a mitochondrial mechanism. Cells, 2019,8(9):1085.

DOI

[17]
Ji L, Wang Q, Huang F, An T, Guo F, Zhao Y, Liu Y, He Y, Song Y, Qin G. FOXO1 overexpression attenuates tubulointerstitial fibrosis and apoptosis in diabetic kidneys by ameliorating oxidative injury via TXNIP-TRX. Oxid Med Cell Longev, 2019,2019 : 3286928.

[18]
Qi W, Chen X, Holian J, Tan CY, Kelly DJ, Pollock CA. Transcription factors Krüppel-like factor 6 and peroxisome proliferator-activated receptor-{gammol/La} mediate high glucose-induced thioredoxin-interacting protein. Am J Pathol, 2009,175(5):1858-1867.

DOI

[19]
Ahlqvist E, Storm P, Käräjämäki A, Martinell M, Dorkhan M, Carlsson A, Vikman P, Prasad RB, Aly DM, Almgren P, Wessman Y, Shaat N, Spégel P, Mulder H, Lindholm E, Melander O, Hansson O, Malmqvist U, Lernmark Å, Lahti K, Forsén T, Tuomi T, Rosengren AH, Groop L. Novel subgroups of adult-onset diabetes and their association with outcomes: a data-driven cluster analysis of six variables. Lancet Diabetes Endocrinol, 2018,6(5):361-369.

DOI PMID

[20]
Ahmed HH, Taha FM, Omar HS, Elwi HM, Abdelnasser M. Hydrogen sulfide modulates SIRT1 and suppresses oxidative stress in diabetic nephropathy. Mol Cell Biochem, 2019,457(1-2):1-9.

DOI

[21]
梁日英, 符畅, 梁华, 徐芬, 王美君, 蔡梦茵. 利拉鲁肽抑制ERS改善高脂饮食诱导的DN肾损害. 新医学, 2019,50(11):826-831.

[22]
Mousa SA, Gallati C, Simone T, Dier E, Yalcin M, Dyskin E, Thangirala S, Hanko C, Rebbaa A. Dual targeting of the antagonistic pathways mediated by Sirt1 and TXNIP as a putative approach to enhance the efficacy of anti-aging interventions. Aging (Albany NY), 2009,1(4):412-424.

[23]
Xiang A, Chu G, Zhu Y, Ma G, Yang G, Sun S. IGFBP5 suppresses oleate-induced intramyocellular lipids deposition and enhances insulin signaling. J Cell Physiol, 2019 Jan 26. doi: 10.1002/jcp.28174. Epub ahead of print. PMID: 30684263.

Outlines

/