Original Research

High glucose regulates the proliferation of colon cancer cells through the WIF1-Wnt/β-catenin signaling pathway

  • Lin Zhiling ,
  • Li Jieyao ,
  • Min Xiaohui ,
  • Xu Jihao ,
  • Yu Tao ,
  • Chen Qikui
Expand
  • Department of Gastroenterology, Sun Yat-sen Memorial Hospital of Sun Yat-sen University, Guangzhou 510120, China
Chen Qikui, E-mail:

Received date: 2021-02-13

  Online published: 2021-07-08

Copyright

Copyright reserved © 2021

Abstract

Objective To evaluate the effect of high glucose on the proliferation of colon cancer cells, and investigate the mechanism of the effect of Wnt inhibitory factor 1 (WIF1) on the proliferation of colon cancer cells under high glucose state through the Wnt/β-catenin signaling pathway.Methods Colon cancer cell line SW620 cells were treated with different doses of D-glucose. The expressions of proliferation-associated mRNA and protein were measured by real-time fluorescent quantitative PCR (qPCR) and Western blot. The proliferation ability of SW620 cells was measured by cell proliferation assay, cell counting assay and colony formation assay. The expression levels of WIF1 and β-catenin were detected by qPCR and Western blot. After regulating the expression of WIF1 by the transfection with siRNA and over-expressed plasmid, the effect of WIF1 upon the proliferation ability and the expression of β-catenin in SW620 cells was evaluated.Results Along with the increase in glucose concentration, the proliferation ability of SW620 cells was significantly increased, the expression of WIF1 was remarkably down-regulated and the expression of β-catenin was significantly up-regulated (all P < 0.05). The proliferation ability of SW620 cells was considerably increased and the expression of β-catenin was significantly up-regulated after down-regulating the WIF1 expression (all P < 0.05). However, after the over-expression of WIF1, cell proliferation ability was significantly inhibited and the expression of β-catenin was remarkably down-regulated (all P < 0.05). Conclusion Down-regulation of WIF1 expression under high glucose state may promote the proliferation of colon cancer cells under high glucose state via the activation of Wnt/β-catenin signaling pathway.

Cite this article

Lin Zhiling , Li Jieyao , Min Xiaohui , Xu Jihao , Yu Tao , Chen Qikui . High glucose regulates the proliferation of colon cancer cells through the WIF1-Wnt/β-catenin signaling pathway[J]. JOURNAL OF NEW MEDICINE, 2021 , 52(6) : 408 -414 . DOI: 10.3969/j.issn.0253-9802.2021.06.005

近年来糖尿病和结肠癌的发病率逐渐上升,越来越多的研究者发现糖尿病可增加结肠肿瘤的发生风险,但糖尿病增加结肠肿瘤发生风险的机制尚不明确[1,2]。Wnt抑制因子1(WIF1)是由WIF1基因编码的一种分泌性蛋白,是Wnt/β-连环蛋白(β-catenin)信号通路的抑制因子,其与Wnt蛋白直接结合,通过细胞膜上的卷曲蛋白受体家族将信号传至胞内,引起通路关键分子β-catenin的磷酸化,促进β-catenin的降解,从而抑制Wnt/β-catenin信号通路[3]。有研究显示WIF1具有抑制肿瘤发生的作用[4]。Wnt/β-catenin信号通路在细胞增殖、胚胎发育和成体组织再生中发挥重要作用。既往研究显示,合并糖尿病的结肠癌患者的肿瘤细胞存在Wnt信号通路的异常激活,糖尿病患者的正常结肠上皮出现β-catenin的升高,Wnt/β-catenin信号通路与其抑制因子WIF1可能参与增加糖尿病患者发生结肠癌风险[5,6]。因此,本研究拟探讨高糖状态对WIF1表达的影响,及WIF1影响高糖状态下结肠癌细胞增殖的具体分子机制。

材料与方法

一、细 胞

人结肠癌细胞株SW620细胞由中山大学孙逸仙纪念医院医学研究中心惠赠。将细胞用含10%胎牛血清、1%双抗的DMEM完全培养基于37℃、5%二氧化碳细胞培养箱中培养。

二、主要试剂

DMEM培养液(Gibco,美国),细胞增殖-毒性检测试剂盒CCK-8(APExBIO,美国),TRIzol Reagent(Invitrogen, 美国),逆转录试剂盒Prime ScriptTM RT reagent Kit(Takara, 日本),qPCR SYBRTB Green® Premix Ex TaqTM Ⅱ(Takara,日本),RIPA细胞裂解液(康为世纪,中国),BCA蛋白定量试剂盒(康为世纪, 中国),增强化学发光法ECL试剂盒(Millipore, 美国),WIF1多克隆抗体(Cell Signaling Technology, 美国),β-catenin多克隆抗体(Cell Signaling Technology, 美国),PCNA多克隆抗体(Cell Signaling Technology, 美国),Ki67多克隆抗体(abclonal, 中国),LGR5多克隆抗体(abclonal, 中国),GAPDH多克隆抗体(Cell Signaling Technology, 美国),羊抗兔二抗(Cell Signaling Technology, 美国),Lipofectamin 3000(Invitrogen, 美国),WIF1 siRNA(锐博生物, 中国),pcDNA3.1-WIF1过表达质粒(艾基生物, 中 国)。
表1 引物序列
基 因 正向序列(5’-3’) 反向序列(5’-3’)
WIF1 GACTTTGTGTGACTCCTGGTTTC CTCTAGTCCTGGAGGGCAAATAC
β-catenin AGAGTGCTGAAGGTGCTATCTGT TCCTGAGAGTCCAAAGACAGTTC
PCNA CGTGAACCTCACCAGTATGTCCAA ACTTTCTCCTGGTTTGGTGCTTCA
Ki67 CCTAGAAGACTTGGCTGGCTTGAA GGACTGTGGCTTGAAGATTGTTGG
LGR5 CTACATGGTCGCTCTCATCTTG ATATTCTCCAGGTCTCCCTTGTC
GAPDH ACAACTTTGGTATCGTGGAAGG GCCATCACGCCACAGTTTC

三、方 法

1.细胞培养与分组
将SW620细胞培养于含10%胎牛血清的普通DMEM完全培养基。将SW620细胞接种于6孔板中,待SW620细胞贴壁后更换成无血清培养基,24 h后分别用不同糖浓度培养基培养72 h,并将其分为3组:5 mmol/L葡萄糖+25 mmol/L甘露醇(低糖组,LG组),20 mmol/L葡萄糖+10 mmol/L甘露醇(正常糖组,NG组),30 mmol/L葡萄糖(高糖组,HG组)。每日换液,72 h后收取样本用于后续实验。
2.实时荧光定量PCR(qPCR)
收集各组细胞,弃去培养基,用磷酸盐缓冲液(PBS)清洗1次,用TRIzol按说明书提取总RNA,测定RNA浓度和纯度后,将RNA按逆转录试剂盒体系合成cDNA。按qPCR试剂盒配制反应体系,在Roche LightCycler 480 qPCR仪中反应,反应结束后得到各样本的Ct值,以GAPDH为内参计算目的基因相对表达量进行统计分析。
3.蛋白免疫印迹法
于冰上收集各组细胞,加入细胞裂解液(含蛋白酶抑制剂),混匀后于冰上裂解30 min,离心后收取上清,按BCA法测定蛋白浓度。加入上样缓冲液后,于100℃加热5 min使蛋白变性,蛋白经SDS-聚丙烯酰氨凝胶电泳后,将其电转移至PVDF膜。PVDF膜在5%脱脂牛奶中于室温下封闭1 h,加入相应一抗(1∶1000)于4℃摇床过夜,加入与一抗对应的HRP标记的二抗(1∶2000)于室温孵育1 h。用ECL法曝光目的条带,用ImageJ软件分析条带灰度值。
4.细胞增殖活性检测
将SW620细胞按每孔3000个接种于96孔板中,按分组处理继续培养,分别于0、24、48、72 h在每孔加入10 μl的CCK-8溶液,37℃孵育2 h,用多功能酶标仪在450 nm波长下检测每孔的吸光度,用吸光度表示增殖活性。对增殖相关基因增殖细胞核抗原(PCNA)、Ki67、富含亮氨酸重复单位的G蛋白偶联受体(LGR5)进行mRNA和蛋白水平的检测。
5.细胞计数实验
将SW620细胞按每孔1×104个接种于12孔板中,按分组处理后,弃去培养基,用PBS清洗1次,分别于0、24、48、72 h用胰酶消化制备成细胞悬液,按1∶1加入0.4%台盼蓝溶液,滴加至血球计数板中,于显微镜下进行计数。
6.细胞平板克隆形成实验
将SW620细胞按每孔1000个接种于6孔板中,按分组处理后继续培养14 d,每3 d换液1次。弃去培养基,用PBS清洗1次,加入4%多聚甲醛固定30 min,PBS洗涤1次,加入0.1%结晶紫溶液,染色30 min,再用清水洗涤数次后晾干,于显微镜下计数并计算克隆形成率。
7.细胞转染
将SW620细胞接种于6孔板中,待细胞密度达50%,用Lipofectamin 3000试剂按说明书分别转染空白对照siRNA(siNC组)、WIF1干扰siRNA(siWIF1组)和空白载体质粒(plaNC组)、过表达重组质粒(plaWIF1组),次日对转染siRNA的SW620细胞更换成低糖培养基,对转染质粒的SW620细胞更换成高糖培养基,继续培养72 h后收集细胞进行后续实验。

四、统计学处理

使用SPSS 20.0进行统计分析,2组间样本比较用t检验;多组间样本比较用单因素方差分析,差异有统计学意义后,用LSD-t法进行两两比较。P < 0.05为差异有统计学意义。

结果

一、不同糖浓度处理对SW620细胞增殖的影响

各增殖相关基因的mRNA及蛋白表达在各组间的总体差异均有统计学意义,PCNA、Ki67、LGR5的mRNA的F值分别为665.795、116.886、513.739,P均 < 0.001;蛋白水平的F值分别为27.444、27.962、104.159,P均< 0.05。HG和NG组的PCNA、Ki67和LGR5的mRNA和蛋白水平均较LG组高(P 均 < 0.05),且HG组较NG组高(P均< 0.01),见 图1A ~ C。
图1 不同糖浓度处理对SW620细胞增殖的影响

A ~ C:LG、NG、HG组3个增殖相关基因PCNA、Ki67、LGR5的mRNA和蛋白水平,n = 3;D:LG、NG、HG组细胞增殖活性结果;E:LG、NG、HG组细胞计数结果;F:LG、NG、HG组平板克隆形成实验结果,n = 3;与LG组比较,*P < 0.05,与NG组比较,#P < 0.05

不同组间的增殖活性总体差异有统计学意义(F = 35.300、P < 0.001),HG组和NG组的增殖活性均较LG组强(LSD-t 值分别为8.362、4.891,P 均 < 0.01),且HG组比NG组高(LSD-t = 3.472、P = 0.013),见 图1D
细胞计数实验和平板克隆形成实验表明,在72 h不同糖浓度组间的总体差异有统计学意义(SW620细胞计数和克隆形成率比较的F值分别为29.765、27.013,P均= 0.001),HG组和NG组SW620细胞计数、克隆形成率均较LG组增加(HG组LSD-t值分别为7.660、7.345,P均< 0.001;NG组LSD-t值分别为4.627、3.904,P均< 0.001)。HG组SW620细胞计数、克隆形成率均高于NG组(SW620细胞计数和克隆形成率的LSD-t值分别为3.033、3.508,P均 < 0.05),见图1E、F。

二、不同糖浓度处理下SW620细胞WIF1和β-catenin的表达

不同糖浓度组间的WIF1和β-catenin的mRNA和蛋白水平的总体差异均有统计学意义(WIF1的mRNA和蛋白水平的F 值分别为57.795、18.419,P均 < 0.05;β-catenin的mRNA和蛋白水平的F值分别为 77.864、44.724,P均 < 0.001)。HG组和NG组WIF1的mRNA及蛋白水平均较LG组低(HG组WIF1的mRNA和蛋白水平的LSD-t值分别为10.696、 6.039,P均 < 0.01;NG组WIF1的mRNA和蛋白水平的LSD-t值分别为6.292、3.547,P均 < 0.05)。HG组WIF1的mRNA及蛋白水平较NG组低(WIF1的mRNA和蛋白水平的LSD-t值分别为4.404、2.491,P均 < 0.05)。与LG组比较,HG组和NG组的β-catenin的mRNA及蛋白水平均增高(HG组β-catenin的mRNA和蛋白水平的LSD-t值分别为12.441、9.436,P均 < 0.001;NG组β-catenin的mRNA和蛋白水平的LSD-t值分别为7.061、4.161,P均 < 0.01),其中HG组较NG组高(β-catenin的mRNA和蛋白水平的LSD-t值分别为5.380、5.275,P均= 0.002),见图2A ~ C。
图2 不同糖浓度处理后SW620细胞的WIF1和β-catenin mRNA和蛋白水平

A:LG、NG、HG组的WIF1和β-catenin的mRNA水平,n = 3;B、C:LG、NG、HG组的WIF1和β-catenin的蛋白水平,n = 3

三、调控WIF1对SW620细胞增殖的影响

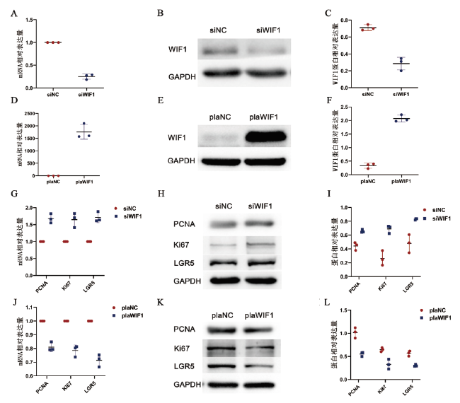
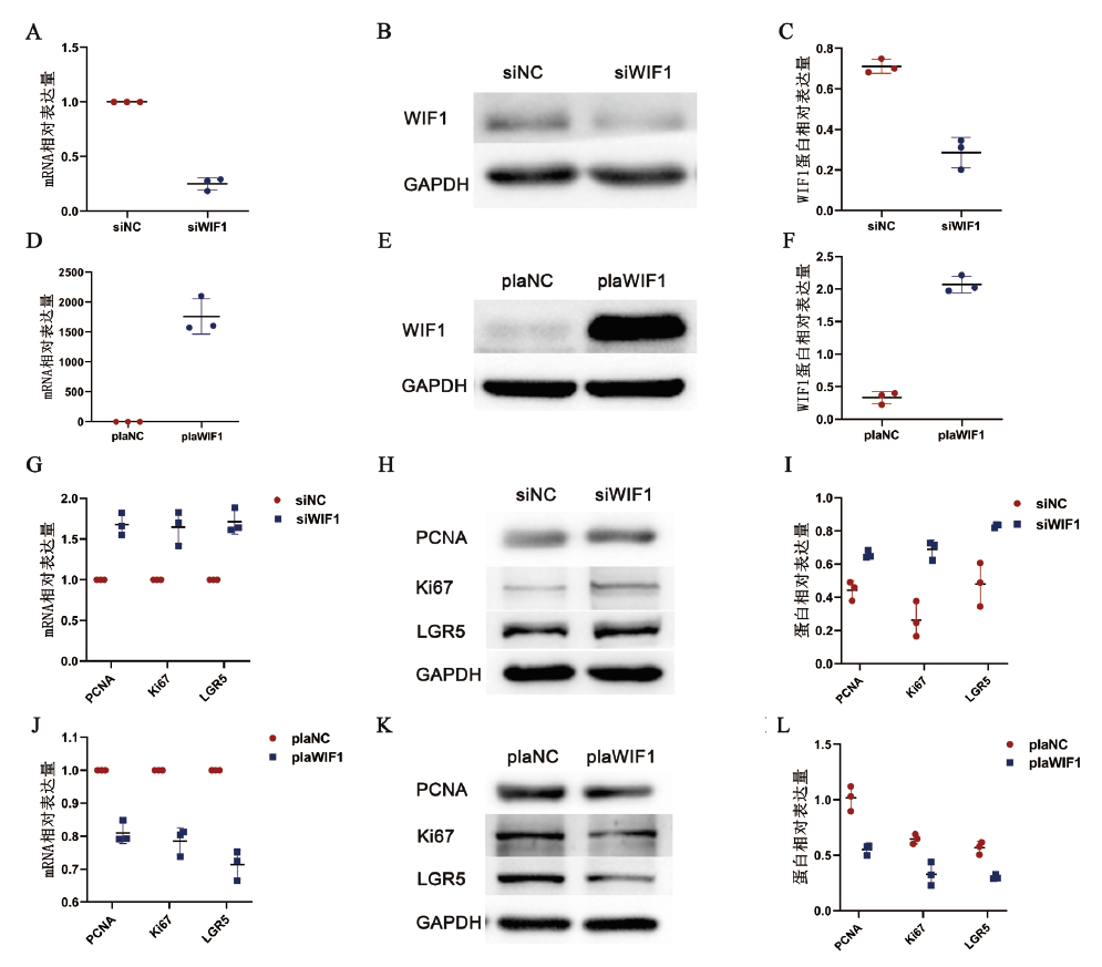
转染siRNA下调WIF1的表达后,WIF1的mRNA和蛋白水平均较siNC组降低(mRNA和蛋白水平的t值分别为22.351、8.940,P均< 0.01),见图3A ~ C。转染过表达WIF1的重组质粒后,WIF1的mRNA和蛋白水平均较plaNC组增高(mRNA和蛋白水平的t值分别为10.237、19.297,P均< 0.01),见图3D ~ F。结果显示成功调控了WIF1在SW620细胞中的表达。
图3 调控WIF1对SW620细胞增殖的影响

A ~ C:下调WIF1的表达后,WIF1的mRNA和蛋白水平,n = 3;D ~ F:转染过表达质粒后,WIF1的mRNA和蛋白水平,n = 3;G ~ I:siNC组和siWIF1组3个增殖相关基因PCNA、Ki67、LGR5的mRNA和蛋白水平,n = 3;J ~ L:plaNC和plaWIF1组3个增殖相关基因PCNA、Ki67、LGR5的mRNA和蛋白水平,n = 3

下调WIF1在SW620细胞中的表达后,检测增殖相关基因PCNA、Ki67、LGR5的mRNA和蛋白水平的改变,观察WIF1对SW620细胞增殖的影响。siWIF1组的增殖相关基因的mRNA和蛋白水平均较siNC组增高(PCNA、Ki67、LGR5的mRNA表达量的t值分别为8.457、5.296、8.221,P均< 0.05;PCNA、Ki67、LGR5蛋白水平的t值分别为6.005、6.100、4.605,P均< 0.05),见图3G ~ I。上调细胞中WIF1的表达后,plaWIF1组的增殖相关基因的mRNA和蛋白水平均较plaNC组低(PCNA、Ki67、LGR5的mRNA表达量的t值分别为10.047、9.061、11.083,P均< 0.05;PCNA、Ki67、LGR5蛋白水平的t值分别为6.577、4.800、7.571,P均< 0.01),见图3J ~ L。

四、调控WIF1后SW620细胞中β-catenin的表达情况

下调WIF1的表达后,siWIF1组的β-catenin的mRNA和蛋白水平与siNC组比较均增加(mRNA和蛋白水平的t值分别为16.213、5.788,P均 < 0.01),见图4A ~ C。上调了WIF1的表达后,plaWIF1组的β-catenin的mRNA和蛋白水平与plaNC组比较均下降(mRNA和蛋白水平的t值分别为6.304、10.993,P均< 0.05),见图4D ~ F。
图4 调控WIF1后SW620细胞的β-catenin的表达情况

A ~ C:转染siRNA后,β-catenin的mRNA和蛋白水平,n = 3;D ~ F:过表达WIF1后,β-catenin的mRNA和蛋白水平,n = 3

讨论

越来越多的研究显示糖尿病可增加结肠癌的发生风险,而其中分子机制尚未明确。本研究组探讨了不同糖浓度对结肠癌细胞株SW620细胞的增殖、WIF1的表达、Wnt/β-catenin通路关键因子表达的影响,以及进一步研究分子调控和相关机制,结果显示在高糖状态下WIF1表达的下降,可能通过活化Wnt/β-catenin通路来促进高糖状态下结肠肿瘤细胞的增殖。
以往的研究显示高糖可以促进细胞的增殖[7]。本研究证实了SW620细胞的增殖能力随着糖浓度的升高而增加。同时,随着糖浓度的升高,WIF1的表达逐渐下降,而β-catenin的表达则逐渐增高。既往研究显示合并糖尿病的结肠癌患者中存在Wnt信号通路的异常激活[5]。本研究结果显示,高糖抑制WIF1的表达和促进Wnt/β-catenin通路的活性可能与高糖促进细胞增殖有关。多项研究显示,WIF1在各系统肿瘤中表达降低,如口腔内膜鳞状细胞癌、鼻咽癌等,WIF1在各肿瘤中表达降低可能与其启动子甲基化有关[8,9,10]。同时有研究者发现,上调WIF1可以抑制结肠肿瘤细胞的侵袭和迁移,说明WIF1可能是影响结肠肿瘤细胞生长的抑癌基因[11]。Wnt信号通路在细胞增殖、胚胎发育、成体组织的再生和肿瘤干细胞特性等中均起着至关重要的作用,Wnt/β-catenin通路中某些基因的突变或表达失调导致其异常活化可诱发癌症[12,13,14]。WIF1通过与Wnt蛋白直接结合,抑制Wnt蛋白与细胞膜上的Fzd受体作用,影响细胞内的信号传导,细胞质中的Axin、APC和GSK3β形成毁灭复合体,导致β-catenin磷酸化而后降解,使下游靶基因转录受抑制,抑制细胞增殖[15]。本研究显示,WIF1的表达与SW620细胞的增殖能力和β-catenin的表达均呈负相关关系,表明WIF1通过抑制Wnt/β-catenin通路的活性抑制细胞增殖。以上研究结果提示,高糖抑制WIF1的表达,WIF1表达的下降进一步通过Wnt/β-catenin通路促进结肠肿瘤细胞在高糖状态下的增殖。
综上所述,本研究结果提示,高糖下调WIF1的表达,使WIF1对Wnt/β-catenin通路的抑制作用受阻,从而促进高糖状态下结肠肿瘤细胞的增殖。本发现或可为糖尿病促进结肠肿瘤发生提供理论基础和新的干预靶点。
[1]
Luo S, Li JY, Zhao LN, Yu T, Zhong W, Xia ZS, Shan TD, Ouyang H, Yang HS, Chen QK. Diabetes mellitus increases the risk of colorectal neoplasia: an updated meta-analysis. Clin Res Hepatol Gastroenterol, 2016, 40(1):110-123.

DOI PMID

[2]
Soltani G, Poursheikhani A, Yassi M, Hayatbakhsh A, Kerachian M, Kerachian MA. Obesity, diabetes and the risk of colorectal adenoma and cancer. BMC Endocr Disord, 2019, 19(1):113.

DOI

[3]
Sánchez-Hernández D, Sierra J, Ortigão-Farias JR, Guerrero I. The WIF domain of the human and Drosophila Wif-1 secreted factors confers specificity for Wnt or Hedgehog. Development, 2012, 139(20):3849-3858.

PMID

[4]
Luo X, Ye S, Jiang Q, Gong Y, Yuan Y, Hu X, Su X, Zhu W. Wnt inhibitory factor-1-mediated autophagy inhibits Wnt/β-catenin signaling by downregulating dishevelled-2 expression in non-small cell lung cancer cells. Int J Oncol, 2018, 53(2):904-914.

[5]
Ivonne Wence-Chavez L, Palomares-Chacon U, Pablo Flores-Gutierrez J, Felipe Jave-Suarez L, Del Carmen Aguilar-Lemarroy A, Barros-Nunez P, Esperanza Flores-Martinez S, Sanchez-Corona J, Alejandra Rosales-Reynoso M. Gene expression profiling demonstrates WNT/β-catenin pathway genes alteration in Mexican patients with colorectal cancer and diabetes mellitus. J BUON, 2017, 22(5):1107-1114.

PMID

[6]
Li JY, Yu T, Xia ZS, Chen GC, Yuan YH, Zhong W, Zhao LN, Chen QK. Enhanced proliferation in colorectal epithelium of patients with type 2 diabetes correlates with β-catenin accumulation. J Diabetes Complications, 2014, 28(5):689-697.

DOI

[7]
Dong Z, Sun Y, Wei G, Li S, Zhao Z. Ergosterol Ameliorates diabetic nephropathy by attenuating mesangial cell proliferation and extracellular matrix deposition via the TGF-β1/Smad2 signaling pathway. Nutrients, 2019, 11(2):483.

DOI

[8]
Marimuthu M, Andiappan M, Wahab A, Muthusekhar MR, Balakrishnan A, Shanmugam S. Canonical Wnt pathway gene expression and their clinical correlation in oral squamous cell carcinoma. Indian J Dent Res, 2018, 29(3):291-297.

DOI

[9]
Chen L, Chan LS, Lung HL, Yip TTC, Ngan RKC, Wong JWC, Lo KW, Ng WT, Lee AWM, Tsao GSW, Lung ML, Mak NK. Crucifera sulforaphane (SFN) inhibits the growth of nasopharyngeal carcinoma through DNA methyltransferase 1 (DNMT1)/Wnt inhibitory factor 1 (WIF1) axis. Phytomedicine, 2019, 63:153058.

DOI PMID

[10]
Deng X, Hou C, Wang H, Liang T, Zhu L. Hypermethylation of WIF1 and its inhibitory role in the tumor growth of endometrial adenocarcinoma. Mol Med Rep, 2017, 16(5):7497-7503.

DOI

[11]
Zhu J, Ren J, Tang L. Genistein inhibits invasion and migration of colon cancer cells by recovering WIF1 expression. Mol Med Rep, 2018, 17(5):7265-7273.

[12]
Taciak B, Pruszynska I, Kiraga L, Bialasek M, Krol M. Wnt signaling pathway in development and cancer. J Physiol Pharmacol, 2018, 69(2):185-196.

DOI

[13]
Fodde R, Brabletz T. Wnt/beta-catenin signaling in cancer stemness and malignant behavior. Curr Opin Cell Biol, 2007, 19(2):150-158.

DOI

[14]
李天晓, 元刚, 叶丽君, 孙健, 黎曙霞. 棉酚衍生物ApoG2诱导胃癌细胞凋亡及对Wnt6调控作用的研究. 新医学, 2014, 45(6):359-363.

[15]
MacDonald BT, Tamai K, He X. Wnt/beta-catenin signaling: components, mechanisms, and diseases. Dev Cell, 2009, 17(1):9-26.

DOI

Outlines

/