Effect of prone and supine positions on dosimetry and acute radiation enteritis in intensity-modulated radiotherapy for gynecologic cancer

  • Yan Huamei ,
  • Li Zhenghuan ,
  • Wang Donghui ,
  • Huang Xiaoqing ,
  • Wang Wan ,
  • Chen Luxi ,
  • Dong Jie ,
  • Xu Xiangying
Expand
  • Department of Radiation Oncology, the Third Affiliated Hospital of Sun Yat-sen University, Guangzhou 510630, China
Xu Xiangying, E-mail:

Received date: 2021-06-15

  Online published: 2021-12-28

Copyright

Copyright reserved © 2021. Office of Journal of New Medicine All articles published represent the opinions of the authors, and do not reflect the official policy of the Chinese Medical Association or the Editorial Board, unless this is clearly specified.

Abstract

Objective To evaluate the effect of prone and supine positions on organs at risk and the incidence of acute radiation enteritis in intensity-modulated radiotherapy for gynecologic cancer and optimize the body position. Methods 42 patients with cervical cancer or endometrial cancer undergoing intensity-modulated radiotherapy were recruited and randomly divided into the prone (n = 23) and supine position groups (n = 19). The clinical tumor volume and organs at risk were delineated under the same conditions, and the treatment plan was optimized. The dose-volume relationship of organs at risk was compared between two groups. The incidence of acute radiation enteritis was analyzed between two groups. Results Compared with the supine position group, the small intestine volume irradiated by 15-50 Gy was decreased in the prone position, and statistically significant differences were observed in the volume of 20, 30 and 40 Gy between two groups (all P < 0.05). The colon volume receiving 30, 40 and 45 Gy irradiation in the prone position was lower than that in the supine position (all P < 0.05). The bladder volume receiving 15-50 Gy irradiation in the prone position was slightly higher compared with that in the supine position, but the statistical significance only in in the volume of 20 Gy between two groups (P < 0.05). No statistical significance was found in the dose-volume relationship of the rectum and femoral head between two groups (P >0.05). The incidence of indigestion, nausea, vomiting, abdominal pain, diarrhea and acute radiation enteritis in the prone group was significantly lower than that in the supine position, but there was no statistical significance in the dose-volume relationship between two groups (all P > 0.05). Conclusion Intensity-modulated radiotherapy in the prone position for gynecologic cancer can significantly reduce the dose of small intestine and colon.

Cite this article

Yan Huamei , Li Zhenghuan , Wang Donghui , Huang Xiaoqing , Wang Wan , Chen Luxi , Dong Jie , Xu Xiangying . Effect of prone and supine positions on dosimetry and acute radiation enteritis in intensity-modulated radiotherapy for gynecologic cancer[J]. JOURNAL OF NEW MEDICINE, 2021 , 52(12) : 919 -924 . DOI: 10.3969/j.issn.0253-9802.2021.12.006

宫颈癌、子宫内膜癌是常见的妇科恶性肿瘤,调强放射治疗(IMRT)是妇科恶性肿瘤主要治疗方式,各期宫颈癌均可采用放射治疗,大部分子宫内膜癌需接受放射治疗[1-2]。放射性肠炎是盆腔放射治疗常见的不良反应,并且是影响患者生活质量的主要原因[3]。如何优化放射治疗流程以提高放射治疗效果并减轻不良反应是临床关注的热点。本研究通过分析42例宫颈癌及子宫内膜癌IMRT患者采用俯卧位与仰卧位2种不同体位下危及器官剂量-体积及治疗相关不良反应差异,探讨妇科肿瘤IMRT的理想体位固定方式,以期降低盆腔放射治疗不良反应的发生率,提高患者生存质量。

对象与方法

一、 病例来源

收集2019年12月至2021年4月在中山大学附属第三医院接受放射治疗的42例宫颈癌及子宫内膜癌患者的临床资料。纳入标准:①年龄18~75岁,非妊娠、哺乳期女性;②经病理确诊的宫颈癌或子宫内膜癌;③有放射治疗指征;④美国东部肿瘤协作组(ECOG)评分 ≤2分,心、肺、肝、肾等重要脏器功能及骨髓功能可耐受放射治疗。排除标准:①同时患有其他未控制的严重疾病,心、脑、肺、肾、骨髓功能明显异常者;②既往曾接受盆腔放射治疗者。按照患者采用俯卧位或仰卧位定位分组,其中俯卧组23例、仰卧组19例。所有患者均已签署放射治疗知情同意书。

二、 放射治疗模拟定位

俯卧组患者采用科莱瑞迪俯卧位专用盆腔体位固定装置,Belly board板加Orfit架联合热塑体膜固定,见图1。仰卧组患者采用真空垫固定。定位前1 h排空膀胱,饮水800 mL,充盈膀胱,定位CT扫描前均使用膀胱尿量测定仪检测患者尿量,维持尿量在200~300 mL。所有患者均采用西门子Somatom Definition大孔径CT机进行模拟CT定位,全部行CT增强扫描,层厚5 mm。扫描范围为胸11椎体上缘至坐骨结节下5 cm。CT定位图像传输至瑞典Monaco(V5.11, Elekta)治疗计划系统。
图1 妇科肿瘤IMRT俯卧位体位固定方式及治疗实施图

三、 靶区勾画

治疗前常规进行MRI、CT或PET-CT等检查,明确肿瘤侵犯范围及排除远处转移。临床肿瘤体积(CTV)包括大体肿瘤(如有)、距大体肿瘤足够的阴道范围(至少3 cm)、宫旁和阴道旁软组织、盆腔淋巴引流区以及其他危险的淋巴引流区域[4]。计划靶体积(PTV)包括CTV三维方向外扩5 mm。危及器官(OAR)包括小肠、结肠、直肠、膀胱及股骨头等,勾画范围包括PTV上下各3 cm范围。所有患者均由同一位医师进行靶区及危及器官勾画,再由同一位主任医师审核。

四、 放射治疗计划设计

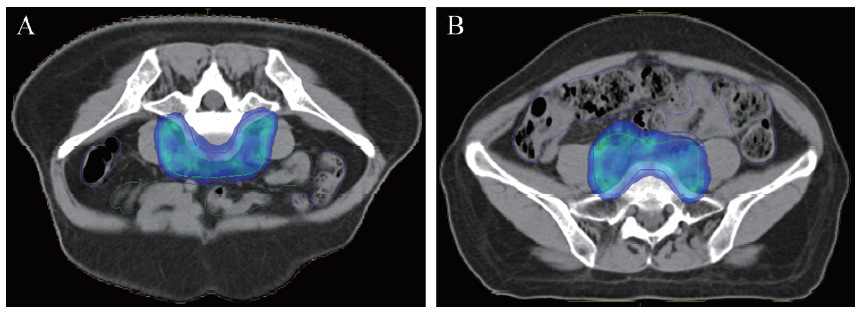
物理师采用Monaco治疗计划系统按照统一参数进行7野逆向动态IMRT计划设计,见图2。X射线射束能量均为6 MV。靶区处方剂量:PTV 45~50 Gy/25 F,1.8~2.0 Gy/F,要求至少95% PTV达到处方剂量,PTV以外不可出现≥ 110%的剂量热点。OAR统一剂量限制。
图2 妇科肿瘤IMRT计划图

五、 IMRT计划实施

采用瑞典医科达Synergy直线加速器实施IMRT,所有患者每周治疗5次,每日1次,每次治疗前进行膀胱残余尿量测定,保持患者每次治疗前尿量与定位时尿量差异在30%以内。每周进行至少1次锥形束CT(瑞典医科达)图像引导IMRT,保持每次治疗误差在3 mm以内。

六、 数据采集

统计俯卧组与仰卧组患者危及器官剂量-体积关系,IMRT剂量归一为50 Gy,统计不同危及器官的剂量-体积关系(接受处方剂量的PTV体积所占的百分比),记为Vx。记录IMRT期间及IMRT后1个月内排除肿瘤侵犯肠管或原发炎性疾病引起的急性放射性肠炎发生率及严重程度[5]。IMRT所致小肠或结肠急性损伤主要表现为消化不良、恶心、呕吐、腹泻及腹痛等,放射治疗致直肠急性损伤主要表现为肛门坠胀感、里急后重、腹泻、黏液便及血便等。不良反应诊断及分级标准依据美国国立卫生研究院常见不良反应事件评价标准(CTCAE 5.0)进行评判。

七、 统计学处理

采用SPSS 25.0进行数据分析,正态分布的定量数据以 $\bar{x}±s$ 表示,组间比较采用t检验;偏态分布数据用M(P25,P75)表示,组间比较采用Mann-Whitney U检验。定性资料以例(%)表示,其中无序分类资料组间比较采用Fisher确切概率法或χ2检验,有序分类资料组间比较采用Mann-Whitney U 检验。P < 0.05为差异有统计学意义。

结果

一、 俯卧组与仰卧组妇科肿瘤患者的一般资料比较

2组患者的年龄、体质量、BMI、肿瘤类型和分期比较差异均无统计学意义(P均> 0.05),见表1
表1 俯卧组与仰卧组妇科肿瘤患者的一般资料比较
项 目 俯卧组(23例) 仰卧组(19例) t/χ2/Z值 P值
年龄/岁 52.48±9.63 53.53±10.13 0.344 0.733
体质量/kg 53.89±6.76 56.08±10.41 0.822 0.416
BMI/(kg/ m2) 22.14±2.90 23.08±3.52 0.949 0.348
肿瘤类型/例(%) 1.201 0.273
宫颈癌 17(74) 11(58)
子宫内膜癌 6(26) 8(42)
分期/例(%) 0.234 0.815
Ⅰ期 4(17) 5(26)
Ⅱ期 8(35) 5(26)
Ⅲ期 11(48) 9(47)
Ⅳ期 0(0) 0(0)

注: A为俯卧位;B为仰卧位。

二、 俯卧组与仰卧组危及器官剂量-体积比较

俯卧组患者小肠接受15~50 Gy剂量-体积(V15~V50)均比仰卧组减少,其中俯卧组的V20、V30和V40的减少有统计学意义(P均< 0.05)。俯卧组结肠V20~V50均比仰卧组下降,其中V30、V40和V45的减少有统计学意义(P均< 0.05)。俯卧组膀胱V15~V45比仰卧组稍升高,但仅V20组间比较差异有统计学意义(P < 0.05)。2组患者直肠和股骨头的剂量-体积关系比较差异均无统计学意义(P均> 0.05),见表2
表2 俯卧组与仰卧组危及器官剂量-体积比较 单位:%
危及
器官
组别 V15 V20 V30 V40 V45 V50
小肠 俯卧组 62.21±12.57 46.75±12.95 20.85±9.88 11.78±7.68 8.78±6.26 4.01(1.71, 9.59)
仰卧组 65.77±10.23 55.48±10.57 32.81±9.56 18.06±8.38 12.61±6.44 6.00(2.73, 8.50)
t/Z值 -0.99 -2.36 -3.96 -2.53 -1.95 -1.25
P值 0.326a 0.023a < 0.001a 0.015a 0.059a 0.211b
结肠 俯卧组 68.80±7.12 58.68±8.91 31.71±11.57 17.03(10.59, 23.94) 12.82(8.49, 18.23) 7.01(4.47, 9.52)
仰卧组 68.78±11.67 60.08±12.45 41.77±13.23 24.63(20.46, 36.20) 19.91(14.34, 27.38) 11.27(5.20, 13.52)
t/Z值 0.01 -0.42 -2.63 -2.59 -2.46 -1.78
P值 0.994a 0.674a 0.012a 0.010b 0.014b 0.075b
直肠 俯卧组 100.00(99.16, 100.00) 100.00(98.58, 100.00) 96.14(88.83, 99.95) 72.50±17.85 53.58±16.30 27.27±10.75
仰卧组 100.00(92.33, 100.00) 100.00(90.61, 100.00) 94.60(85.07, 100.00) 70.42±19.28 53.95±22.65 27.80±18.38
t/Z值 -1.01 -0.44 -0.53 0.36 -0.06 -1.09
P值 0.313b 0.659b 0.594b 0.719a 0.952a 0.914a
膀胱 俯卧组 100.00(100.00, 100.00) 100.00(97.34, 100.00) 89.37±8.14 65.03±13.39 49.08±11.99 28.34±7.25
仰卧组 100.00(98.93, 100.00) 98.92(95.96, 99.97) 84.09±8.97 57.56±14.06 42.57±13.35 23.73±10.38
t/Z值 -1.64 -2.26 1.98 1.75 1.66 1.69
P值 0.101b 0.024b 0.052a 0.086a 0.104a 0.098a
股骨头 俯卧组 69.00±17.55 51.79±15.57 20.67±7.42 5.04±3.23 1.00(0.75, 2.41) 0.00(0.00, 0.02)
仰卧组 72.18±20.93 54.18±18.75 19.95±8.78 4.34±2.76 0.51(0.16, 2.18) 0.00(0.00, 0.02)
t/Z值 -0.54 -0.45 0.29 0.75 -0.86 -0.40
P值 0.595a 0.654a 0.775a 0.457a 0.390b 0.691b

注:俯卧组23例,仰卧组19例;at检验;b秩和检验。

三、 俯卧组与仰卧组急性放射性肠炎发生率比较

俯卧组患者发生消化不良、恶心、呕吐、腹痛和腹泻等急性放射性肠炎的比例低于仰卧组,但组间比较差异无统计学意义(P均> 0.05)。2组肛门坠胀感、里急后重的发生率相近(P均> 0.05),见表3。2组患者均无出现黏液便及血便,未见3级及以上不良反应发生。
表3 俯卧组与仰卧组急性放射性肠炎发生率比较[例(%)]
不良反应 组别 1级 2级 Z值 P值
消化不良 俯卧组 15(65) 5(22) 3(13) -1.297 0.195
仰卧组 8(42) 8(42) 3(16)
恶心 俯卧组 18(78) 3(13) 2(9) -1.655 0.098
仰卧组 10(53) 6(32) 3(16)
呕吐 俯卧组 20(87) 3(13) 0(0) -1.539 0.124
仰卧组 13(68) 4(21) 2(11)
腹泻 俯卧组 17(74) 5(22) 1(4) -1.217 0.224
仰卧组 11(58) 5(26) 3(16)
腹痛 俯卧组 21(91) 2(9) 0(0) 1.000a
仰卧组 17(89) 2(11) 0(0)
肛门下坠感 俯卧组 14(61) 9(39) 0(0) -0.015 0.988
仰卧组 12(63) 6(32) 1(5)
里急后重 俯卧组 19(83) 4(17) 0(0) 1.000a
仰卧组 16(84) 3(16) 0(0)
黏液便 俯卧组 23(100) 0(0) 0(0)
仰卧组 19(100) 0(0) 0(0)
血便 俯卧组 23(100) 0(0) 0(0)
仰卧组 19(100) 0(0) 0(0)

注:俯卧组23例,仰卧组19例;aFisher确切概率法。

讨 论

宫颈癌和子宫内膜癌是女性常见恶性肿瘤,是发展中国家女性因恶性肿瘤死亡的主要原因,尤其是文化水平低的农村地区中晚期宫颈癌发病率更高[6]。各期宫颈癌均可进行放射治疗,对于局部晚期和不可手术的宫颈癌,放射治疗是最佳的治疗方法。随着放射治疗技术和设备的飞速发展,放射治疗已进入精准放射治疗时代。与传统放射治疗相比,IMRT对肿瘤靶区的定位更精准,通过调整多角度、多射野的治疗计划,能够获得高度适形的靶区三维剂量分布;在保证靶区剂量覆盖的同时,最大限度降低危及器官的剂量,减轻放射治疗的不良反应[7]。在妇科肿瘤放射治疗过程中,射野范围内的小肠、结肠、直肠和膀胱是常见被危及的器官,发生放射治疗不良反应的风险与危及器官受照射剂量和受照射体积显著相关[8]。小肠作为射线耐受最低的脏器之一,是妇科肿瘤放射治疗的主要剂量限制性器官,也是出现放射治疗不良反应的主要脏器。放射治疗不良反应严重影响患者生活质量,放射性肠炎已成为临床医师和患者关注的重点。
国内外已开展一些针对盆腔放射治疗患者降低放射性肠道损伤的研究,包括改变定位体位、改变定位固定方式、膀胱直肠陷凹注射胶体扩充靶区与危及器官距离、膀胱充盈技术、肠道排空技术和图像引导放射治疗等[9]。在直肠癌的放射治疗研究中,已有多项研究证实,采用俯卧位可减少患者放射性肠道损伤,并且已被纳入多个指南或共识[10-12]。妇科肿瘤解剖部位同属盆腔,放射治疗采用仰卧位还是俯卧位尚未达成共识。Beriwal等[13]报道,47例子宫内膜癌术后IMRT患者中,21 例采用俯卧位治疗,26 例采用仰卧位治疗,2组患者正常组织受照射体积及毒性反应无差异。Stromberger等[14]报道,10例宫颈癌IMRT患者分别采用仰卧位及俯卧位放射治疗,俯卧位小肠接受20.0~50.4 Gy剂量-体积比仰卧位降低,俯卧位直肠接受10~40 Gy剂量-体积比仰卧位增加。Anjanappa等[15]报道,妇科肿瘤放射治疗采用俯卧位belly board板定位可降低急性小肠损伤。上述研究报道了采用不同体位进行妇科肿瘤放射治疗中危及器官的剂量-体积关系,结论尚不统一,且患者采用不同体位定位对放射治疗不良反应的影响探讨不够充分,需进一步研究。
本研究纳入独立进行IMRT计划设计和治疗的仰卧位与俯卧位妇科肿瘤患者,结果表明俯卧组比仰卧组患者小肠接受15~50 Gy剂量-体积均下降,其中2组V20、V30、V40比较差异均有统计学意义。平均值方面,小肠V20由仰卧位55.48 %下降至俯卧位46.75 %,V30由仰卧位32.81 %下降至俯卧位20.85 %,V40由仰卧位18.06 %下降至俯卧位11.78 %;与国内外文献报道的俯卧位小肠受照射的结果基本一致[16-17]。另外,本研究中俯卧组患者结肠接受20~50 Gy剂量-体积较仰卧组患者下降,其中V30、V40、V45组间比较差异有统计学意义;V30由41.77 %降至31.71 %,V40由24.63 %降至17.03 %,V45由19.91 %降至12.82 %。这是因为俯卧位时小肠和部分结肠因重力作用下垂于Belly board 腹孔,从而远离靶区射野,进而降低了小肠和结肠受照射的体积和剂量。在治疗中及治疗后1个月的随访观察中发现,俯卧组患者急性放射性肠炎的发生率有降低趋势,可能是由于俯卧位降低了小肠和结肠受照射体积和剂量,从而降低了放射性肠道损伤;组间其他剂量-体积比较未见差异有统计学意义,尚需通过其他方法或者扩大样本量进一步分析。
有研究报道膀胱的充盈状态与子宫体前缘的移位、小肠体积、PTV内膀胱体积及PTV内小肠体积有关[18-19]。因此控制膀胱充盈状态的一致性对盆腔的精确IMRT是非常必要的。本研究中患者定位与每次治疗前均进行膀胱残余尿量超声测定,从而保持膀胱充盈程度基本一致,明显弱化膀胱充盈程度对小肠放射性损伤的影响。俯卧组与仰卧组比较,膀胱V30~V50的差异无统计学意义,也可能与患者膀胱充盈状态基本一致有关。直肠和股骨头在两种体位下的剂量-体积关系无差异,可能与其解剖结构较为固定,不容易随体位改变及膀胱充盈程度变化有关。
综上所述,妇科恶性肿瘤IMRT采用俯卧位可降低患者小肠和结肠受照射体积和剂量,患者急性放射性肠炎的发生率有降低趋势。但一部分俯卧位患者由于年龄、身体状态等原因,定位与治疗时舒适度差,摆位时间较长,患者体位重复性差,增加了摆位误差[20]。因此,建议年轻、身体状况较好、患者配合度较好的妇科肿瘤IMRT患者可考虑采用俯卧位定位与治疗。
本文编辑:林燕薇
[1]
中华人民共和国国家卫生健康委员会. 宫颈癌诊疗规范(2018年版). 肿瘤综合治疗电子杂志, 2020, 6(3):33-43.

[2]
中华人民共和国国家卫生健康委员会. 子宫内膜癌诊治规范(2018年版). 肿瘤综合治疗电子杂志, 2020, 6(4):25-35.

[3]
李晔雄. 肿瘤放射治疗学. 5版. 北京: 中国协和医科大学出版社, 2018:1407-1409.

[4]
周晖, 刘昀昀, 罗铭, 林仲秋. 《2020 NCCN子宫颈癌临床实践指南(第1版)》解读. 中国实用妇科与产科杂志, 2020, 36(2):131-138.

[5]
中国医师协会外科医师分会, 中华医学会外科学分会结直肠外科学组. 中国放射性直肠炎诊治专家共识(2018版). 中华胃肠外科杂志, 2018, 21(12):1321-1336.

[6]
李小毛, 黄珊瑜, 杨越波, 叶青剑, 叶敏娟. 中晚期宫颈癌的临床特点与筛查策略分析. 新医学, 2016, 47(8):540-543.

[7]
Mohanty S K, Chopra S, Mudaliar A, Kannan S, Mahantshetty U, Engineer R, Ghosh J, Bajpai J, Gupta S, Shrivastava S. A comparative analysis of quality of life after postoperative intensity-modulated radiotherapy or three-dimensional conformal radiotherapy for cervical cancer. Indian J Cancer, 2018, 55(4):327-335.

DOI

[8]
Sharma B, Gupta M, Sharma R, Gupta A, Sharma N, Sharma M, Sharma V, Vats S, Gupta M, Seam R K. Four percent formalin application for the management of radiation proctitis in carcinoma cervix patients: an effective, safe, and economical practice. J Cancer Res Ther, 2019, 15(1):92-95.

DOI PMID

[9]
倪晓雷, 陈榕钦, 柏朋刚, 陈文娟, 翁星, 林秀容, 李奇欣, 戴艺涛, 陈开强, 陈济鸿, 张玮婷. 图像引导下宫颈癌容积旋转调强放疗中膀胱和直肠实际受照剂量评估. 中国医学物理学杂志, 2019, 36(2):142-145.

[10]
White R, Foroudi F, Sia J, Marr M A, Lim Joon D. Reduced dose to small bowel with the prone position and a belly board versus the supine position in neoadjuvant 3D conformal radiotherapy for rectal adenocarcinoma. J Med Radiat Sci, 2017, 64(2):120-124.

DOI

[11]
Estabrook N C, Bartlett G K, Compton J J, Cardenes H R, Das I J. Role of belly board device in the age of intensity modulated radiotherapy for pelvic irradiation. Med Dosim, 2016, 41(4):300-304.

DOI PMID

[12]
Wang J F, Li H, Xiong H, Huang H, Zou Y M. Influence of position and radiation technique on organs at risk in radiotherapy of rectal cancer. J Huazhong Univ Sci Technolog(Med Sci), 2016, 36(5):741-746.

[13]
Beriwal S, Jain S K, Heron D E, de Andrade R S, Lin C J, Kim H. Dosimetric and toxicity comparison between prone and supine position IMRT for endometrial cancer. Int J Radiat Oncol Biol Phys, 2007, 67(2):485-489.

DOI

[14]
Stromberger C, Kom Y, Kawgan-Kagan M, Mensing T, Jahn U, Schneider A, Budach V, Köhler C, Marnitz S. Intensity-modulated radiotherapy in patients with cervical cancer: an intra-individual comparison of prone and supine positioning. Radiat Oncol, 2010, 5:63.

DOI PMID

[15]
Anjanappa M, Raghavan R K, James F V, Kumar A, Mathews S, Bhaskaran S, Sreedevi S V, Jayaprakash P G. The impact of patient positioning and use of belly board on small bowel toxicity in patients receiving pelvic radiotherapy for gynecological malignancies. J Cancer Res Ther, 2017, 13(3):519-523.

DOI PMID

[16]
苗慧, 施林心, 白海生, 邵卫仙, 袁成, 刘亚洲, 孙苏平, 陈宏林, 罗举建, 惠华, 张文. 宫颈癌不同体位调强放疗对周围正常组织的辐射剂量学研究. 中国辐射卫生, 2018, 27(4):381-384.

[17]
Gonzalez V J, Hullett C R, Burt L, Rassiah-Szegedi P, Sarkar V, Tward J D, Hazard L J, Huang Y J, Salter B J, Gaffney D K. Impact of prone versus supine positioning on small bowel dose with pelvic intensity modulated radiation therapy. Adv Radiat Oncol, 2017, 2(2):235-243.

DOI PMID

[18]
马建萍, 夏新舍, 潘闻燕, 何剑莉, 叶红强, 陈俊杰, 王嘉琳, 王勇, 白雪红, 折虹. 膀胱充盈状态对宫颈癌调强放疗子宫及危及器官的影响. 中华放射医学与防护杂志, 2019, 39(9):652-657.

[19]
张宗恺, 王雅棣. 宫颈癌螺旋断层放疗中膀胱变化对自身及靶区的影响. 南京医科大学学报(自然科学版), 2018, 38(3):367-372.

[20]
罗丹, 孔为民, 陈姝宁. 宫颈癌放疗后放射性直肠炎发生情况及其相关因素分析. 医学综述, 2021, 27(2):400-408.

Outlines

/