Mechanism of CyGB and HMGB1 expression after Xuesaitong intervention in rats with cardiac arrest

  • Yang Shengguang ,
  • Xiang Chun ,
  • Ma Hualin ,
  • Guo Jingjing ,
  • Yan Shixin
Expand
  • Department of Emergency, the Second People’s Hospital of Futian District Shenzhen, Shenzhen 518049,China
Ma Hualin, E-mail:

Received date: 2021-04-05

  Online published: 2021-12-28

Copyright

Copyright reserved © 2021. Office of Journal of New Medicine All articles published represent the opinions of the authors, and do not reflect the official policy of the Chinese Medical Association or the Editorial Board, unless this is clearly specified.

Abstract

Objective To investigate the mechanism of CyGB and HMGB1 expression after Xuesaitong intervention in rats with cardiac arrest by establishing rat models of cardiac arrest/resuscitation and primary cultured hippocampal neurons. Methods All rats were divided into the sham operation (SO), cardiopulmonary resuscitation (CPR) and intervention therapy (IVT) groups. At 3, 12, 24, 48 and 72 h after cardiac arrest/CPR, the average optical density values and the expression levels of CyGB and HMGB1 protein and gene in the hippocampal CA1 area were detected by immunohistochemical staining, Western blot and qRT-PCR, respectively. The concentrations of CyGB and HMGB1 in the peripheral serum were determined by ELISA. At the cellular level, primary hippocampal neurons were cultured, and an oxygen and glucose deprivation/reperfusion (OGD/R) model was established. Results SABC, ELISA, Western blot and qRT-PCR demonstrated that the serum concentrations of CyGB and HMGB1, the expression levels of CyGB and HMGB1 mRNA in the hippocampal CA1 area, and the expression levels of CyGB and HMGB1 protein and gene in the cultured hippocampal neurons did not significantly differ at five time points in the SO group (all P > 0.05). Statistical significance was noted between the CPR and SO groups (P < 0.01). Compared with the CPR group, the expression level at each time point was significantly different in the IVT group (all P < 0.01). Compared with the SO or control group, the positive expression of CyGB protein at 48 h was down-regulated, whereas that of HMGB1 protein was up-regulated in the CPR group. In the OGD/R group (after OGD/R treatment), the apoptosis rate of hippocampal neurons was significantly increased. Compared with the CPR or OGD/R group, the positive expression of CyGB protein was up-regulated, whereas that of HMGB1 protein was down-regulated in the IVT group. The apoptosis rate of hippocampal neurons was significantly reduced in the OGD/R group. Conclusion The expression level of CyGB in the cells is up-regulated and that of HMGB1 is down-regulated after Xuesaitong intervention in the treatment of cardiac arrest in rat models, which suppresses multiple signaling pathways, thereby inhibiting the release of other inflammatory cytokines, exerting anti-inflammatory and anti-apoptotic effects and playing a role in brain protection.

Cite this article

Yang Shengguang , Xiang Chun , Ma Hualin , Guo Jingjing , Yan Shixin . Mechanism of CyGB and HMGB1 expression after Xuesaitong intervention in rats with cardiac arrest[J]. JOURNAL OF NEW MEDICINE, 2021 , 52(12) : 947 -955 . DOI: 10.3969/j.issn.0253-9802.2021.12.011

心脏停搏患者的病死率较高,仅有25%的患者能自然恢复,10%以下的患者存活至出院[1]。 这对人类健康构成严重威胁,并给家庭和社会带来沉重负担[2]。对于心脏停搏患者来说,心肺复苏(CPR)是一种挽救生命的有效技术[3]。而大脑是复苏后对缺氧和炎症反应最敏感的器官,缺氧缺血性脑病(HIE)和全身缺血再灌注与过度炎症反应密切相关[4]。大脑也是人的生命中枢所在,因此尽快恢复大脑供氧供血,减轻因缺血引起再灌注损伤是CPR的目的与关键。以下通过对胞红蛋白和高迁移率族蛋白B1(HMGB1)2个指标的检测、分析,从而探讨其在血塞通干预治疗心脏停搏患者后的作用机制。

材料与方法

一、实验动物

90只健康 SD大鼠(购自广东省医学实验动物中心),体质量410~ 490 g,在室温条件下饲养,定期光照。动物可以随意获得食物和水。将大鼠随机分为假手术(SO)组、CPR组和干预治疗(IVT)组。3组大鼠分别设心脏停搏/CPR后3、12、24、48和72 h的5个观察时间点,每个时间点6只大鼠,并且动物模型完成后在每个时间点给予安乐死。在实验中尽一切努力减少动物死亡及痛苦。另有6只新生SD小鼠用作神经元体外培养、确认。本研究经深圳市福田区第二人民医院伦理委员会批准,并按照国家卫生研究院实验动物使用指南进行。

二、 动物模型制作

心脏停搏/CPR模型:通过夹闭气管插管后的气管导管建立大鼠窒息性心脏停搏/ CPR模型,具体步骤、要求、标准参照谢彪等[5]的实验方法。
IVT及SO模型:先成功制作心脏停搏/CPR模型,然后在模型成功当时腹腔注射血塞通冻干粉针剂(昆明药业集团有限公司,批号:12JB09)干预治疗(注射前用血塞通自带的专用溶剂加以溶解),以后每8 h 1次,每次剂量为6 mg/kg。而SO组大鼠则不做心脏停搏/CPR,其余一样。

三、 标本采集与制作

分别于复苏后3、12 、24、48及72 h共5个时间点,各抽取鼠尾静脉血2 mL,非抗凝管保存,室温静置半小时后置入离心器以2000 r/min离心10 min,取上层血清置于-80℃冰箱内贮存备用。然后腹腔注射10%水合氯醛作深度麻醉(麻醉方法参照文献[6]),剪开胸腔,暴露心脏,经左心室先予100 mL生理盐水灌注,然后用4%多聚甲醛200 mL灌注固定肝脏变白,肢体僵硬,断头取脑,在大脑海马回CA1区连续切片,厚度为5 μm,制作石蜡切片以备观察。

四、 检测项目与方法

通过HE染色观察各个模型中大脑海马回CA1区神经元复苏后3、12、24、48和72 h 5个时间点的形态改变情况;用免疫荧光TUNEL标记染色方法观察上述神经元复苏后3、12、24、48和72 h各个时间点的凋亡情况;用免疫组织化学SABC法按试剂盒操作步骤检测上述神经元复苏后各个时间点的平均光密度(D)值。以上项目在自带刻度的光镜下观察,倍数皆为40×10。
ELISA检测:复苏后3、12、24、48和72 h,取大鼠尾静脉血2 ml,置于非抗凝管内保存。在室温下静置半小时后,以2000 r/min离心10 min,吸入上部血清,在-80℃下保持。采用ELISA试剂盒(中国武汉) 测定血清胞红蛋白、HMGB1水平。
qRT-PCR分析:用Invitrogen设计并合成了特异性引物qRT-PCR,检测海马CA1区的胞红蛋白和HMGB1表达水平(见表1)。所有的qRT-PCR分析均通过Light-Cycler®480实时PCR系统(罗氏)来执行。 以GAPDH作为内部控制。热循环条件如下:在95 ℃下10 min,在95 ℃下40个10 s周期,在60 ℃下40个60 s周期。数据用相对定量(2-△△Ct)法进行分析。
表1 本实验引物序列
基 因 方向 序列(5’→3’) 溶点/ ℃ GC含量
胞红蛋白 F GGGCCATACTCAAACCCCTC 60.11 60
R ACGTCCTCCAGGACAGTACA 59.89 55
HMGB1 F CCTAAGAAGCCGAGAGGCAA 59.46 55
R AAGTTGACAGAAGCATCCGGG 60.61 52
GAPDH F AGTGCCAGCCTCGTCTCATA 60.68 55
R GGTAACCAGGCGTCCGATAC 60.25 60
海马神经元的体外培养及确认:除了常规培养外,整个过程都要在冰上进行无菌操作。 新生小鼠出生后24 h内的6只SD哺乳小鼠被分解并斩首,然后置于预冷的DMEM 溶液中。在显微镜下分离,只有海马体被保留。将海马切成约1.3 mm大小,清洗D-Hank’s溶液,1000 r/min离心5 min,去除上清液,重复2次。用0.125%胰蛋白酶消化,在37℃水浴中摇动15 ~ 30 min,消化结束后,用200目筛过滤。将细胞密度调整到1×106/mL,接种到涂有聚赖氨酸的6孔板(每孔2 ml)或96孔板(每孔100 μL)中,在二氧化碳(CO2)培养箱中培养。6 h后,神经基底培养基完全交换48 h,给予10 mmol/L阿糖胞苷。之后,每隔1日换1次培养液,经过7 d 的培养,取出细胞膜来鉴定神经元细胞的纯度。然后,用免疫荧光对体外培养7 d的海马神经元进行鉴定。
缺氧缺糖(OGD/R)模型及海马神经元凋亡检测:将培养7 d的原代海马神经元随机分为对照组(无OGD/R治疗)、OGD/R组(经OGD/R治疗)和干预组(经OGD/R治疗同时用血塞通注射)。预暖PBS在37℃洗涤3次,加入神经元缺血液,置于缺氧室。用95%氮气和5% CO2的混合物连续通风20 min,将入口流量控制在20 L/min。随后,将出口阀夹紧,将该腔室放置在37℃的CO2培养箱中4 h。缺氧4 h后,氧糖剥夺实验完成,细胞在CO2培养箱(37℃,95%空气和5%CO2)中常规培养。同时用血塞通注射液处理细胞,复氧时间分别为3、12、24、48和72 h。收集各组神经元,于2000 r/min离心5 min,弃上清液。用冰PBS洗脱后,将细胞重新悬浮在1∶1×106/mL细胞悬液中结合缓冲液(pH = 7.3)。用AnnexinV-FITC和PI在黑暗环境中染色15 min后,用流式细胞仪测定凋亡和死亡细胞的数量。
采用蛋白免疫印迹法检测培养海马神经元胞红蛋白和HMGB1的表达:5个复苏时间点培养的神经元细胞总蛋白的提取。用Bio-Rad蛋白测定系统(Hercules,美国)测定蛋白质浓度,然后用12% SDS聚丙烯酰胺凝胶电泳,转移到PVDF膜(Millipore)上。膜在室温下用5%脱脂奶粉堵塞1 h,与初级抗体孵育一夜。膜与HRP标记的次级抗体孵育室温下1 h,在三乙醇胺缓冲盐水与吐温中洗涤3 ~ 10 min。含有这些蛋白质的膜用适当的抗体进行免疫印迹。蛋白条带进行扫描定量。

五、 统计学处理

利用彩色病理图像分析系统进行光镜和定量分析。数据处理与图象采集则应用GraphPad Prism 6和Excel 2016进行。实验数据以 $\bar{x}±s$ 表示,应用方差分析(多样本均数的两两比较采用SNK法)进行数据统计分析,P < 0.05为差异有统计学意义。

结 果

一、 胞红蛋白和HMGB1的含量与表达

SO组在5个时间点血清和海马 CA1区中胞红蛋白的含量与表达的D值较高,HMGB1的含量与D值较低,但各时间点无差异(P均> 0.05)。CPR组各时间点与SO组比较,差异有统计学意义(P均< 0.01),其中胞红蛋白的含量与D值在3 h是明显降低的,但随CPR时间延长逐渐提高,到24 h达高峰,48 h又下降,72 h略有下降,但仍处于高峰;HMGB1的含量与D值,在3 h就明显增高,且随CPR时间延长逐渐提高,到48 h达高峰,72 h处于平台期。IVT组在5个时间点血清和海马 CA1区中胞红蛋白的含量和D值,随CPR时间延长而增高,HMGB1的含量与D值则随CPR时间延长而降低,但与CPR组比较,各时间点差异有统计学意义(P均< 0.01),见表2、3和图1、2。
表2 CPR后海马CA1区神经元中胞红蛋白表达的D值($\bar{x}±s$,n = 6)
组 别 3 h 12 h 24 h 48 h 72 h
SO组 30.50±4.15 30.25±5.71 31.14±5.44 29.94±6.41 30.41±5.72
CPR组 11.95±1.04b 15.77±1.39b 20.94±1.76b 18.87±1.34b 17.19±1.63b
IVT组 16.10±1.63ac 20.97±0.76ac 26.29±2.14ac 27.92±2.79ac 28.88±2.49ac
F值 81.337 63.252 14.299 11.738 20.499
P值 < 0.001 < 0.001 < 0.001 < 0.001 < 0.001

注:与SO组比较,aP < 0.05,bP < 0.01;与CPR组比较,cP < 0.01。

表3 CPR后海马CA1区神经元中HMGB1表达的D值($\bar{x}±s$,n = 6)
组 别 3 h 12 h 24 h 48 h 72 h
SO组 4.33±1.34 4.20±1.54 4.28±0.89 4.33±1.26 4.44±1.15
CPR组 14.14±2.09a 25.15±2.44a 33.84±1.37a 38.07±1.97a 39.58±3.51a
IVT组 10.04±1.19ab 13.80±1.20ab 18.40±1.31ab 22.29±1.37ab 22.72±2.78ab
F值 57.602 170.367 278.276 358.423 260.057
P值 < 0.001 < 0.001 < 0.001 < 0.001 < 0.001

注:与SO组比较,aP < 0.01;与CPR组比较,bP < 0.01。

图2 HMGB1在血清中的含量(ELISA法)

注:与SO组比较,**P < 0.01;与CPR组比较,##P <0.01。

图1 胞红蛋白在血清中的含量(ELISA法)

注:与SO组比较,*P < 0.05,**P < 0.01;与CPR组比较,##P < 0.01。

二、 海马 CA1区神经元检测

48 h观察时间点HE染色(图3A)显示,SO组无神经元形态学异常,而 CPR组细胞体萎缩和核固缩最多。与SO组相比,CPR组活细胞数量明显减少,而干预组活细胞数量明显增加。48 h观察时间点TUNEL免疫荧光染色结果(图3B、C)显示SO组几乎未见凋亡神经元,而CPR组神经元凋亡阳性细胞数明显多于SO组,而且凋亡率也明显增高。IVT组与CPR组相比,凋亡细胞的数量明显减少,凋亡率也明显降低。
图3 血塞通促进海马CA1区神经元存活

注:A为 HE染色(48 h)显示海马 CA1区神经元形态异常(×400);B为免疫荧光标记(48 h)显示海马CA1区神经元凋亡;C为免疫荧光标记(48 h)显示海马CA1区神经元凋亡率柱状图;组间比较,**P < 0.01。

三、 体外培养海马神经元的鉴定及其凋亡率

用 FITC标记的MAP2抗体对培养7 d的海马神经元进行免疫荧光染色。如图4A 所示,除了海马神经元,几乎没有其他细胞。海马神经元生长良好,神经纤维交织成网。图4B~D所示,OGD/R组海马神经元凋亡明显增加,凋亡率为42.40%,与对照组(11.16%)比较,差异有统计学意义(P <0.01)。与OGD/ R模型组相比,干预组(21.36%)海马神经元凋亡率降低(P < 0.01)。
图4 体外培养海马神经元的确定及体外培养海马神经元的凋亡率

注:A为原代海马神经元的确定(×800);B: 对照组培养海马神经元的凋亡率;C: OGD/R组培养海马神经元的凋亡率;D为干预组培养海马神经元的凋亡率。

四、 体外培养海马神经元中胞红蛋白和HMGB1的表达

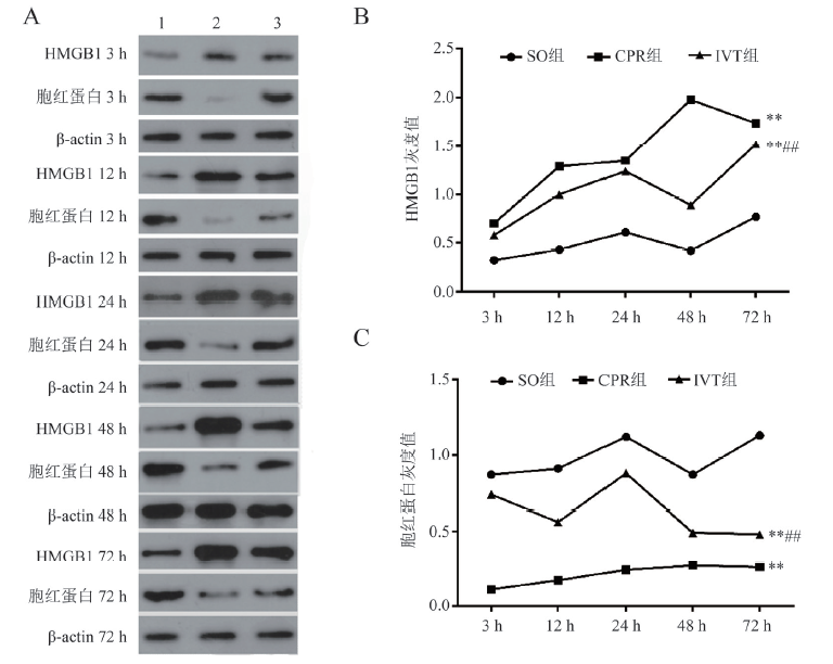
SO组、CPR组和IVT组分别表示对照组、OGD/R组和血塞通+OGD/R组,见图5B、C。在5个时间点,HMGB1在对照组、OGD/R组和血塞通+OGD/R组的蛋白表达趋势一致,且在CPR组中表达最高,IVT组明显低于CPR组,SO组中则表达最低;胞红蛋白表达在CPR组中3 h表达最低,但随时间延长有所增高,48 h达高峰,72 h略有降低,与SO组、IVT组表达趋势基本一致,且在CPR组中表达最低,IVT组明显高于CPR组,SO组中表达最高。
图5 血塞通对体外培养海马神经元胞红蛋白和 HMGB1表达的影响

注:A为免疫印迹法检测培养海马神经元胞红蛋白和 HMGB1的表达;B、C分别为HMGB1、胞红蛋白的灰度值统计,与SO组比较,**P < 0.01,与CPR组比较,##P < 0.01。

五、 各组胞红蛋白 mRNA和HMGB1 mRNA表达水平比较

胞红蛋白 mRNA和HMGB1 mRNA在每组脑组织中均有表达,CPR组及IVT组HMGB1表达明显强于SO组,在3 h时间点,CPR组HMGB1表达水平明显高于IVT组。与CPR组相比,IVT组明显减少。在其他4个时间点,3组HMGB1的表达趋势与3 h后的趋势一致。而CPR和IVT组中的胞红蛋白表达是下降的。在3 h 时间点,CPR组胞红蛋白表达水平明显低于SO组;与CPR组相比,IVT组显著增加,其他4个时间点胞红蛋白的表达趋势与3 h后趋势一致,见图6、7。
图6 胞红蛋白 mRNA在大鼠中的表达(qRT-PCR法)

注:与SO组比较,**P < 0.01;与CPR组比较,##P <0.01。

图7 HMGB1 mRNA在大鼠中的表达(qRT-PCR法)

注:与SO组比较,**P < 0.01;与CPR组比较,##P <0.01。

讨 论

心脏停搏是一种以心脏机械活动突然停止,致全身血流突然中止为特征的突发事件,随后导致心源性猝死[7]。CPR作为心脏停搏患者最有效的急救技术,虽然有了明显的提高和广泛的普及,但此类患者的预后并未见显著改善。美国心脏学会最近的数据显示,美国居民每年心脏停搏发生率约达0.111%,总体存活率仅为10% ~ 20%,显然还是很低的[8]。本实验通过检测大鼠心脏停搏/CPR后胞红蛋白和HMGB1在大脑海马回CA1区神经元中表达及在外周血清中含量,来研究其与脑损伤的关系,然后用血塞通干预治疗以观察其在心脏停搏/CPR中的作用与机制,从而为提高CPR率提供实验依据。
海马对缺血高度敏感,是心脏骤停期间受损最严重的脑区之一,故很多动物实验都选大鼠大脑海马回作为检测区。Neigh等[9]的研究表明,接受心脏停搏/CPR后的大鼠海马CA1区神经元总数比SO组明显减少。而本实验中,HE染色和TUNEL免疫荧光标记实验表明,在48 h观察点,与SO组比较,CPR组海马CA1区神经元凋亡阳性细胞数明显增多,神经元凋亡率明显增高,这也与前人实验结果是一致的,而血塞通治疗后能显著降低神经元凋亡率,增加活细胞数量,因此我们的实验动物模型制作是成功的,这就为整个实验的成功奠定了坚实的基础。
胞红蛋白具备球蛋白的生物特性,能可逆结合O2、CO2等气体配体,参与体内氧气运输[10]。近年来,研究者发现胞红蛋白可促进氧在组织中的扩散,清除一氧化氮或活性氧,并在细胞处于氧化应激状态时起保护作用,且与体内一氧化氮的代谢有关,有研究证实胞红蛋白还具有抗炎症、抗凋亡、修复、再生的作用等[11-13]。可见胞红蛋白对哺乳动物来说是一个有保护作用的蛋白。细胞外释放HMGB1,是一种危险信号,通过激活各种免疫相关细胞,与细胞外多种受体(主要为RAGE和TLRs)结合,启动多条信号传导途径,尤其激活NF-κB介导的炎症枢纽,从而激发其他炎症因子如TNF-α、IL-6和IL-1β等释放,引发级联反应,炎症反应放大,可见HMGB1在炎症反应的发生、启动中起到了关键作用[14]
本实验通过ELISA法、免疫组化SABC法和qRT-PCR法定量结果表明,与SO组相比,CPR组大鼠血清和海马中对应的胞红蛋白浓度、D值和基因表达是降低的,但随时间延长而增加,24 h达高峰,48 h开始稍降低;而HMGB1浓度、D值和基因表达是增加的,并随时间延长而增加,48 h达高峰。血塞通干预治疗后,血清和海马中对应的胞红蛋白浓度、D值和基因表达与CPR组比较均明显增加,而HMGB1浓度、D值和基因表达则均明显降低。本实验中胞红蛋白和HMGB1在SO组和CPR组的表达趋势与前期研究是基本一致的。 虽然胞红蛋白和HMGB1在缺血再灌注过程中都有表达增强,但它们的意义不同。胞红蛋白的表达增强以保护组织免受缺氧为目的,而HMGB1则是负责启动细胞或组织的炎症反应。这可能因为缺血缺氧后,活化HIF-1,启动胞红蛋白出现应激表达,同时激活一氧化氮合成酶参与一氧化氮的清除,从而代偿性增加胞红蛋白输氧、运氧、储氧功能,以保证脑及周围组织的供氧,起到脑及周围组织的保护作用[15]。通过血塞通干预治疗后大脑和外周血清中胞红蛋白的表达和含量都是增加的,这就可抑制NF-κB促炎因子的表达,炎症反应的枢纽受抑,因此级联反应就不会发生,从而可降低缺血/再灌注损伤,神经元凋亡也明显下降,可见其与神经及其他组织的修复与保护是一致的。但是心脏停搏/ CPR后48 h时,胞红蛋白的表达与含量反而减弱/降低了,其原因可能是氧的消耗与储备减少到一定程度时,与胞红蛋白结合减少,甚至没有结合,这时胞红蛋白在神经元中的表达就会减弱,血中的含量也就相应地减少。但具体机制还有待进一步研究。由此可见,通过本实验也证实胞红蛋白具有抗凋亡、携氧、储氧的功能,而血塞通可通过提高胞红蛋白对缺血缺氧的应答,在一定时间内参与周围细胞及神经元的保护作用。HMGB1可能具有多效性,其作用可能是缺血缺氧,刺激相关细胞迁移、固定及释放一些炎症介质,从而激活NF-κB介导的炎症枢纽,HMGB1在接受炎症信号后由细胞内移到细胞外,并与多种受体(主要为RAGE和TLRs)结合,启动多条信号传导途径,发生炎症级联反应,这就解释了本实验结果[16]。有研究表明,HMGB1在心脏停搏患者复苏后,其脑脊液和血液中含量增高明显,与本实验结果也是一致的[17]。而通过血塞通治疗后,HMGB1在大脑中的表达明显减弱,血清中含量也明显降低,从而达到对周围细胞及神经元的保护作用。
通过建立OGD/R模型,体外培养新生小鼠原代海马神经元,证实了本实验的结果与体外培养原代海马神经元实验结果一致,而OGD/R模型是一种在细胞水平模拟缺血再灌注的体外模型,能全面反映缺氧缺血再灌注过程中的细胞状态,广泛应用于缺血性脑卒中的体内外模型,因此建立OGD/R模型,从细胞水平来证实本实验的结果是可靠的[18]。有研究表明,OGD/R诱导的海马神经元凋亡率明显高于正常组,这与本实验结果是一致的,而且也证实本实验中血塞通对大鼠大脑缺血再灌注损伤有明显的保护作用[19-20]。经上述分析可知,血塞通可能通过上调胞红蛋白 mRNA和下调HMGB1 mRNA的蛋白,从而抑制炎症反应,减少海马神经元的凋亡,达到脑保护的效果。
综上所述,血塞通在干预治疗大鼠心脏停搏中,细胞中胞红蛋白的表达上调,HMGB1的表达则下调,抑制多条信号途径,从而抑制其他炎症因子释放而抗炎、抗凋亡,发挥脑保护作用。
本文编辑:杨江瑜
[1]
Jentzer J C, Clements C M, Wright R S, White R D, Jaffe A S. Improving survival from cardiac arrest: a review of contemporary practice and challenges. Ann Emerg Med, 2016, 68(6):678-689.

DOI PMID

[2]
Fan J, Cai S, Zhong H, Cao L, Hui K, Xu M, Duan M, Xu J. Therapeutic hypothermia attenuates global cerebral reperfusion-induced mitochondrial damage by suppressing dynamin-related protein 1 activation and mitochondria-mediated apoptosis in a cardiac arrest rat model. Neurosci Lett, 2017, 647:45-52.

DOI

[3]
Kleinman M E, Goldberger Z D, Rea T, Swor R A, Bobrow B J, Brennan E E, Terry M, Hemphill R, Gazmuri R J, Hazinski M F, Travers A H. 2017 American Heart Association Focused Update on Adult Basic Life Support and Cardiopulmonary Resuscitation Quality: An Update to the American Heart Association Guidelines for Cardiopulmonary Resuscitation and Emergency Cardiovascular Care. Circulation, 2018, 137(1):e7-e13.

[4]
Shi X, Li M, Huang K, Zhou S, Hu Y, Pan S, Gu Y. HMGB1 binding heptamer peptide improves survival and ameliorates brain injury in rats after cardiac arrest and cardiopulmonary resuscitation. Neuroscience, 2017, 360:128-138.

DOI

[5]
谢彪, 周翔, 谭智天, 朱水波. 大鼠窒息性心跳骤停心肺复苏后脑组织自噬水平的变化. 中华实验外科杂志, 2019, 36(2):282-285.

[6]
Zhang W, Wang T, Zhang Z. Improvement and evaluation of the rat model of myocardial ischemia reperfusion injury. Acta Laboratorium Animalis Scientia Sinica, 2018, 26(3):311-316.

[7]
Oda Y, Tsuruta R, Fujita M, Kaneda K, Kawamura Y, Izumi T, Kasaoka S, Maruyama I, Maekawa T. Prediction of the neurological outcome with intrathecal high mobility group box 1 and S100B in cardiac arrest victims: a pilot study. Resuscitation, 2012, 83(8):1006-1012.

DOI

[8]
Benjamin E J, Virani S S, Callaway C W, Chamberlain A M, Chang A R, Cheng S, Chiuve S E, Cushman M, Delling F N, Deo R, de Ferranti S D, Ferguson J F, Fornage M, Gillespie C, Isasi C R, Jiménez M C, Jordan L C, Judd S E, Lackland D, Lichtman J H, Lisabeth L, Liu S, Longenecker C T, Lutsey P L, Mackey J S, Matchar D B, Matsushita K, Mussolino M E, Nasir K, O’Flaherty M, Palaniappan L P, Pandey A, Pandey D K, Reeves M J, Ritchey M D, Rodriguez C J, Roth G A, Rosamond W D, Sampson U K A, Satou G M, Shah S H, Spartano N L, Tirschwell D L, Tsao C W, Voeks J H, Willey J Z, Wilkins J T, Wu J H, Alger H M, Wong S S, Muntner P; American Heart Association Council on Epidemiology and Prevention Statistics Committee and Stroke Statistics Subcommittee.Heart disease and stroke statistics-2018 Update: a report from the american heart association. Circulation, 2018, 137(12):e67-e492.

[9]
Neigh G N, Glasper E R, Kofler J, Traystman R J, Mervis R F, Bachstetter A, DeVries A C. Cardiac arrest with cardiopulmonary resuscitation reduces dendritic spine density in CA1 pyramidal cells and selectively alters acquisition of spatial memory. Eur J Neurosci, 2004, 20(7):1865-1872.

DOI

[10]
Zhou D, Hemann C, Boslett J, Luo A, Zweier J L, Liu X. Oxygen binding and nitric oxide dioxygenase activity of cytoglobin are altered to different extents by cysteine modification. FEBS Open Bio, 2017, 7(6):845-853.

DOI

[11]
Tian S F, Yang H H, Xiao D P, Huang Y J, He G Y, Ma H R, Xia F, Shi X C. Mechanisms of neuroprotection from hypoxia-ischemia (HI) brain injury by up-regulation of cytoglobin (CyGB) in a neonatal rat model. J Biol Chem, 2013, 288(22):15988-6003.

DOI

[12]
Gomes B R B, de Sousa G L S, Ott D, Murgott J, de Sousa M V, de Souza P E N, Roth J, Veiga-Souza F H. Cytoglobin attenuates neuroinflammation in lipopolysaccharide-activated primary preoptic area cells via NF-κB pathway inhibition. Front Mol Neurosci, 2019, 12:307.

DOI

[13]
Singh S, Canseco D C, Manda S M, Shelton J M, Chirumamilla R R, Goetsch S C, Ye Q, Gerard R D, Schneider J W, Richardson J A, Rothermel B A, Mammen P P. Cytoglobin modulates myogenic progenitor cell viability and muscle regeneration. Proc Natl Acad Sci U S A, 2014, 111(1):E129-E138.

DOI

[14]
Wang H, Ward M F, Sama A E. Novel HMGB1-inhibiting therapeutic agents for experimental sepsis. Shock, 2009, 32(4):348-357.

DOI

[15]
Mathai C, Jourd’heuil F L, Lopez-Soler R I, Jourd’heuil D. Emerging perspectives on cytoglobin, beyond NO dioxygenase and peroxidase. Redox Biol, 2020, 32:101468.

DOI

[16]
王思仪, 黎洁瑶, 于涛, 许稷豪, 陈其奎, 夏忠胜. 丁酸通过下调HMGB1抑制高糖诱导下结肠上皮细胞NCM460的异常增殖. 新医学, 2018, 49(4):234-240.

[17]
Oda Y, Tsuruta R, Fujita M, Kaneda K, Kawamura Y, Izumi T, Kasaoka S, Maruyama I, Maekawa T. Prediction of the neurological outcome with intrathecal high mobility group box 1 and S100B in cardiac arrest victims: a pilot study. Resuscitation, 2012, 83(8):1006-1012.

DOI

[18]
Hossmann K A. Cerebral ischemia: models, methods and outcomes. Neuropharmacology, 2008, 55(3):257-270.

DOI

[19]
Wang C P, Shi Y W, Tang M, Zhang X C, Gu Y, Liang X M, Wang Z W, Ding F. Isoquercetin ameliorates cerebral impairment in focal ischemia through anti-oxidative, anti-inflammatory, and anti-apoptotic affects in primary culture of rat hippocampal neurons and hippocampal CA1 region of rats. Mol Neurobiol, 2017, 54(3):2126-2142.

DOI

[20]
Cao Y, Zhang L, Sun S, Yi Z, Jiang X, Jia D. Neuroprotective effects of syringic acid against OGD/R-induced injury in cultured hippocampal neuronal cells. Int J Mol Med, 2016, 38(2):567-573.

DOI

Outlines

/