Case Research

Hand-assisted laparoscopy for solid pseudopapillary neoplasms of the pancreas: a case report

  • Zhong Qiguang ,
  • Ren Jingqing ,
  • Liu Shaojie
Expand
  • Department of General Surgery, Guangzhou Red Cross Hospital Affiliated to Ji’nan University, Guangzhou 510000, China
Liu Shaojie, E-mail:

Received date: 2022-01-25

  Online published: 2022-08-04

Abstract

Solid pseudopapillary neoplasms (SPN) of the pancreas are a type of mostly single and rare low-grade malignant tumors, which are mainly treated by surgery. In this article, the diagnosis and treatment of one case of SPN who was treated using hand-assisted laparoscopy were reported. The 29-year-old woman patient was admitted to the hospital due to retrosternal pain accompanied by suppressed discomfort for more than 3 months. Enhanced abdominal CT revealed cystic space-occupying lesions between the spleen and pancreas (approximately 5.4 cm×3.7 cm). Hand-assisted laparoscopic caudal pancreatic resection combined with splenectomy was performed. The diagnosis of SPN was confirmed by postoperative pathology. The patient had anal exhaust and feeding fluid at 3 days after surgery,and she was discharged at 1 week after surgery. No tumor recurrence was observed during 8 months of follow-up. This case provides clinical reference for the treatment of SPN in China.

Cite this article

Zhong Qiguang , Ren Jingqing , Liu Shaojie . Hand-assisted laparoscopy for solid pseudopapillary neoplasms of the pancreas: a case report[J]. JOURNAL OF NEW MEDICINE, 2022 , 53(7) : 537 -540 . DOI: 10.3969/j.issn.0253-9802.2022.07.014

胰腺实性假乳头状肿瘤(SPN)是一类多为单发的罕见低度恶性肿瘤,成人多发于胰腺尾部,约占80%[1]。SPN发病率占所有胰腺肿瘤的0.3%~3.0%,占胰腺囊性肿瘤的3%~15%,男女发病比例约为1∶10[2]。SPN无特异性临床表现,血清学肿瘤标志物缺乏特异性,以CT、MRI等辅助检查为主,术后病理诊断为金标准,故术前难以明确诊断[3]。因SPN具有恶性趋势和手术切除病变后5年生存率可达95%~100%,临床上以根治性胰腺远端切除术为主要治疗手段[4]。手辅助腹腔镜可发挥开放和腹腔镜手术的优势,降低手术难度,容易掌握。现结合近期本院收治的1例SPN患者,报道如下。

病例资料

一、一般情况

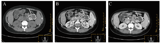
患者女,29岁。因胸骨后疼痛伴憋闷不适3个月余于2021年3月2日入院。体格检查未触及腹部包块。实验室检查示癌胚抗原0.94 μg/L,糖链抗原199为30.5 U/mL,癌抗原125为12.5 U/mL。腹部增强CT示脾胰间隙囊性占位,约5.4 cm×3.7 cm,增强扫描未见明确强化,病灶与胰腺前缘分界不清,初步考虑血肿机化或假性囊肿或囊腺瘤钙化相鉴别;脾脏增大,约占8个肋单位(图1)。既往无腹部手术史和外伤史。
图1 一例SPN患者术前CT检查

注:A为CT平扫;B为CT 增强动脉期;C为CT 增强门脉期;箭头指示囊肿。

二、诊断和治疗

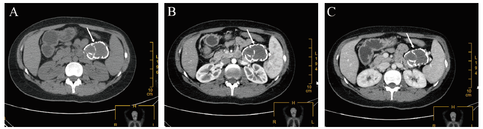
2021年3月10日行手辅助腹腔镜下胰尾联合脾切除术,具体手术步骤如下:①手辅助入路(图2A),上腹部正中切口,长约6 cm,切口处置入切口保护套,直视下离断胃结肠韧带,左肋下及左中腹处置入10 mm Trocar,以6.5号手套包裹切口保护套形成密闭装置,术者左手经过切口保护套进入腹腔,建立气腹;②探查胰尾处可见一大小约5 cm×5 cm肿物,表面光滑,质地较硬,活动较差;③于肠系膜上静脉左侧离断胰腺周围韧带和切开胰腺包膜;④离断脾动静脉和胰腺,断端水平交锁U式缝扎(图2 B、C);⑤离断脾周围韧带、取出标本(图2 D)。手术耗时135 min。
图2 一例SPN患者手辅助腹腔镜治疗术中图片

注:A为手辅助入路;B为捏持胰腺断端控制出血;C为直视下缝合胰腺断端;D为取出标本。

术后病理:SPN(胰尾);脾脏呈慢性淤血性脾肿大(体积14 cm×8.5 cm×2 cm),胰尾部肿物体积7 cm×5 cm×3 cm,呈囊实性,囊壁增厚,囊内物质出血坏死,囊壁部分钙化、骨化,囊壁可见少量肿瘤细胞残留,肿瘤细胞体积中等偏小,大小较一致,呈片状聚集排列,间质纤维组织玻璃样变性(图3)。免疫组织化学:CD68(组织细胞+),CgA(-),CK(+),PR(+),S-100(-),Syn(-),Ki-67(热点区3% +),CD99(个别细胞核旁点状+),TFE3(+),β-catenin(核、浆+),CD10(+),E-cadherin(-)。
图3 一例SPN患者经手术切除后的病理标本检查

注:A为手术切除标本大体形态;B为手术切除标本镜下形态(HE染色,×100 )。

术后诊断:SPN。患者术后3 d肛门排气并进食流质,术后1周出院,随访8个月未见肿瘤复发。

讨论

SPN作为一类低度恶性肿瘤,其临床表现无特异性,多因体检发现而就诊。部分患者可出现上腹疼痛、黄疸、呕吐、腹泻、腹部包块及体质量下降等非特异性症状体征[5]。SPN常在CT、MRI检查时被发现,其CT特征为囊肿较大,呈实性,边界清晰,内部少见分隔,囊肿有外膜包裹,部分患者可见钙化,密度混杂,增强后可见实性外膜增强,内部可见强化突起,呈现为“浮云征”[6]。本例主诉为“胸骨后疼痛伴憋闷”,此临床表现更具迷惑性,曾被误诊为反流性食管炎。因SPN肿瘤无特异性指标,且本例腹部增强CT提示为囊性病变,但无“浮云征”,使SPN诊断更为困难。
研究表明,CT可用于术前评估SPN的恶性程度,出现以下情况提示恶性程度高:肿瘤直径≥5 cm、包膜不完整、实性病变比例低于囊性病变比例等[7]。《2015年美国消化内镜学会指南》 和 《2018年欧洲循证指南》均因SPN积极手术治疗具有最优生存期,推荐手术切除为最佳治疗方式[8-9]。本例具有以囊性病变为主和肿瘤直径≥5 cm两个高危因素,根治性手术为最佳选择。
有文献报道,瘤体较大(≥ 4 cm)并压迫或侵犯脾血管,脾肿大,肿瘤靠近脾门等是保留脾脏胰腺远端切除术的禁忌证[10-11]。中转开腹胰体尾部切除术常见原因为肿瘤大小> 5 cm、多脏器切除等[9,12]。本例采用手辅助腹腔镜方式,避免因肿瘤体积庞大和脾肿大而中转开腹,保留开腹特有的手触觉,与二维屏幕结合构建三维空间,克服了腹腔镜特有的“筷子效应”、足侧视角、缺乏触觉反馈等客观因素所引起的操作失误[13-15]。而且以非优势手进入腹腔,通过牵拉和拨开大网膜,充分显露胰尾部肿物,了解肿物大小及其与脾脏的关系,精准确定脾血管位置,提拉筋膜和韧带,保持组织张力,便于分离,捏持胰腺断端,迅速控制出血。
全腹腔镜胰腺远端切除术需扩大切口至4 cm取出手术标本,当取出较大胰腺肿物和巨脾往往需要剪碎组织,不利于术后病理分期和相关病理标本的解剖研究,若继续扩大切口,则失去微创效果[10,16]。但是本例提前使用上腹部长约6 cm的切口,不仅有利于取出标本,而且可以直视下分离大网膜与横结肠系膜前叶和缝合闭合不佳的胰腺残端,简化手术过程,手术时间为135 min。而一项随机对照研究报道全腹腔镜和开腹远端胰腺切除术的平均手术时间分别为217 min和179 min[17-18]
综上所述,笔者认为手辅助腹腔镜胰腺远端切除术在肿瘤大于5 cm或侵犯邻近结构、周围组织粘连、脾肿大等方面具有明显优势,但有待大样本的病例对照研究及前瞻性研究进一步证实。
[1]
Escobar M A Jr, McClellan J M, Thomas W. Solid pseudopapillary tumour (Frantz’s tumour) of the pancreas in childhood: successful management of late liver metastases with sunitinib and chemoembolisation. BMJ Case Rep, 2017, 2017: bcr2017221906.

[2]
Elta G H, Enestvedt B K, Sauer B G, et al. ACG clinical guideline: diagnosis and management of pancreatic cysts. Am J Gastroenterol, 2018, 113(4):464-479.

DOI

[3]
计凤鸣, 王连敏, 丁珏宁君, 等. 胰腺实性假乳头状瘤的临床研究进展. 医学综述, 2019, 25(5):909-914,921.

[4]
Wu H, Huang Y F, Liu X H, et al. Extrapancreatic solid pseudopapillary neoplasm followed by multiple metastases: case report. World J Gastrointest Oncol, 2017, 9(12):497-501.

[5]
Ganeshan D M, Paulson E, Tamm E P, et al. Solid pseudo-papillary tumors of the pancreas: current update. Abdom Imaging, 2013, 38(6):1373-1382.

DOI

[6]
van der Pol C B, Lee S, Tsai S, et al. Differentiation of pancreatic neuroendocrine tumors from pancreas renal cell carcinoma metastases on CT using qualitative and quantitative features. Abdom Radiol (NY), 2019, 44(3):992-999.

[7]
邓霖, 周良平, 吴斌, 等. 胰腺实性假乳头状瘤的CT表现及良、恶性鉴别. 中国癌症杂志, 2018, 28(2):128-133.

[8]
张永国. 2015年美国消化内镜学会指南:内镜在胰腺实性肿瘤患者评估和管理中的作用. 临床肝胆病杂志, 2016, 32(4):628-632.

[9]
European Study Group on Cystic Tumours of the Pancreas. European Evidence-based Guidelines On Pancreatic Cystic Neoplasms. Gut, 2018, 67(5):789-804.

DOI

[10]
李乐, 孙备, 姜洪池. 保留脾脏胰腺远端切除术专家共识. 中国实用外科杂志, 2014, 34(1):6-9.

[11]
陈望, 孙铁为. 腹腔镜下保脾胰体尾切除术的研究进展. 腹腔镜外科杂志, 2020, 25(9):712-715.

[12]
Klompmaker S, van Zoggel D M, Watkins A A, et al. Nationwide evaluation of patient selection for minimally invasive distal pancreatectomy using American College of Surgeons’ National Quality Improvement Program. Ann Surg, 2017, 266 (6):1055-1061.

DOI PMID

[13]
王西山, 刘黎明. 手辅助腹腔镜与腹腔镜辅助手术在外科治疗结直肠癌中的近期疗效比较. 医学理论与实践, 2020, 33(24):4117-4118.

[14]
中华医学会外科学分会. 腹腔镜胰腺外科手术缝合技术与缝合材料选择中国专家共识(2021版). 中国实用外科杂志, 2021, 41(5):489-494.

[15]
刘宇峰, 刘少杰, 任镜清, 等. 手辅助腹腔镜联合胸腔镜治疗侵犯食管下段食管胃结合部腺癌八例. 腹部外科, 2021, 34(1):72-75,84.

[16]
Qian D, He Z, Hua J, et al. Hand-assisted versus conventional laparoscopic splenectomy: a systematic review and meta-analysis. ANZ J Surg, 2014, 84(12):915-920.

DOI

[17]
de Rooij T, van Hilst J, van Santvoort H, et al. Minimally Invasive Versus Open Distal Pancreatectomy (LEOPARD): a multicenter patient-blinded randomized controlled trial. Ann Surg, 2019, 269(1):2-9.

DOI

[18]
李恩, 吴祖光, 李志旺, 等. 腹腔镜与开腹保脾脾门淋巴结清扫在进展期胃中上部癌中的疗效评价. 新医学, 2016, 47(7):485-489.

Outlines

/