Case Research

Systemic lupus erythematosus complicated with right eyelid ptosis caused by intracranial aneurysm: a case report

  • Cao Siman ,
  • Wen Jun ,
  • Song Guangmei ,
  • Cui Yanjie ,
  • Qiao Jie ,
  • Zhou Yi ,
  • Zhu Lihua
Expand
  • Department of Rheumatology and Immunology, the First Affiliated Hospital of Jinan University, Guangzhou 510630, China
Zhou Yi, E-mail:
Zhu Lihua, E-mail:

Received date: 2022-04-25

  Online published: 2023-02-10

Abstract

Systemic lupus erythematosus (SLE) is a chronic connective tissue disease affecting multiple organ systems of the body, whereas the etiology of SLE has not been fully clarified. SLE complicated with intracranial aneurysm is rare, which is mostly seen in SLE patients who have been diagnosed for many years and the disease is uncontrolled. Most SLE patients complicated with intracranial aneurysm have no symptoms, while some patients present with headache, nausea or central nervous system symptoms caused by the aneurysm. Here, we reported a case of newly-diagnosed SLE complicated with the right eyelid ptosis caused by intracranial aneurysm compression of the right oculomotor nerve during treatment. After standard drug therapy combined with cerebral vascular interventional surgery, the right eyelid ptosis was rapidly mitigated. The diagnosis and treatment of this patient prompt that the possibility of intracranial aneurysm should be considered when SLE patients develop dizziness, headache, vomiting or nerve compression symptoms. Standard drug therapy combined with surgical intervention should be performed when the diagnosis is confirmed, aiming to prevent the incidence of severe complications, such as aneurysm rupture or carotid-cavernous fistula.

Cite this article

Cao Siman , Wen Jun , Song Guangmei , Cui Yanjie , Qiao Jie , Zhou Yi , Zhu Lihua . Systemic lupus erythematosus complicated with right eyelid ptosis caused by intracranial aneurysm: a case report[J]. JOURNAL OF NEW MEDICINE, 2023 , 54(1) : 75 -79 . DOI: 10.3969/j.issn.0253-9802.2023.01.016

SLE是临床上常见的自身免疫性疾病,常见于育龄期女性,以血清中可以检测到多种自身抗体为特征[1]。SLE常伴有肾脏、胃肠道等器官和血液系统、中枢系统等系统损伤。SLE伴颅内动脉瘤较为少见,多为无症状性动脉瘤,常见于疾病控制欠佳的患者。本文报道一例初发SLE的患者在治疗过程中出现颅内动脉瘤,并压迫右侧动眼神经引起右眼睑下垂,经规范的药物联合介入手术治疗后迅速改善,该患者动脉瘤的出现可能与SLE相关,旨在为临床SLE的诊治提供依据,现报告如下。

病例资料

一、病史及主诉

患者女,47岁。因颜面浮肿20余日,右眼睑下垂8 d于2022年1月21日入院。患者于2021年12月27日无明显诱因下出现颜面浮肿,就诊于当地医院,当时查血常规示血红蛋白86 g/L,白细胞3.14×109 /L,血小板145×109 /L,抗核抗体(ANA)滴度> 1∶500,抗双链DNA(dsDNA)抗体(+),补体3(C3)0.31 g/L,C4 0.03 g/L,直接抗人球蛋白实验(+),尿微量蛋白(MTP)483.8 mg/24 h,2000年版SLE疾病活动度评分(SLEDAI- 2000)12分;诊断为“SLE,狼疮血液系统损害,狼疮肾炎”,2022年1月8日接受甲泼尼龙40 mg/d静脉滴注治疗,1月10日接受环磷酰胺0.6 g/d治疗(累积剂量1.4 g),1月13日患者突发头痛、恶心,1月15日患者出现右侧眼睑下垂,右侧额部沉重感,无言语障碍、口角歪斜,无视物模糊、视力下降,无四肢乏力。完善头颅CT未见异常,头颅MRI提示“右侧顶叶小斑片状异常信号影,脱髓鞘?炎症病变? 动脉瘤可能性大”,进一步完善脑血管造影:提示右侧颈内动脉海绵窦段动脉瘤(14.43 mm×11.34 mm),朝内、朝下生长,瘤颈窄,为求进一步诊治,遂转至我院。患者此次发病以来,精神、食欲、睡眠差,大小便正常,体重无明显变化。患者的既往史、月经史、家族史均无异常。

二、体格检查

入院体格检查:体温36.3℃,脉搏67次/分,呼吸16次/分,血压131/92 mmHg(1 mmHg =0.133 kPa)。患者神志清晰、查体合作,全身浅表淋巴结未触及肿大,全身无皮疹,无皮下结节,无溃疡及瘢痕,右侧眼睑见散在淤斑,双眼睑水肿、右眼睑下垂(图1A),结膜未见充血、水肿、出血点、滤泡,眼球无突出或凹陷,右眼球向右外下斜视,双眼巩膜无黄染,右眼瞳孔直径约5 mm,直接、间接对光反射迟钝,左眼瞳孔直径约3 mm,直接、间接对光反射灵敏。双肺呼吸音清,未闻及干、湿性啰音及胸膜摩擦音。心律整齐,心音正常,心脏各瓣膜听诊区未闻及杂音。肝、脾肋下未扪及,四肢关节无活动异常,肌力、肌张力正常,巴宾斯基征、戈登征、奥本海姆征、查多克征及霍夫曼征均阴性,双下肢无水肿。
图1 一例SLE伴颅内动脉瘤致右眼睑下垂患者的手术前后对比图

注:A为入院时患者右侧眼睑下垂;B为覆膜支架植入术后第1日;C为覆膜支架植入术后3周。

三、实验室检查

血常规示血红蛋白84.6 g/L,红细胞4.01×109/L,白细胞7×109 /L,中性粒细胞绝对值4.04×109/L,淋巴细胞1.28×109 /L,血小板193.3×109/L。ESR 3 mm/h。血清肌酐52.1 μmol/L,白蛋白25.5 g/L(参考值范围35.0~52.0 g/L)。C3 469.6 mg/L(参考值范围800.0~1800.0 mg/L),C4 93.5 mg/L(参考值范围100.0~400.0 mg/L),IgG 7.0 g/L(参考值范围8.0~16.0 g/L),IgA 1.46 g/L,IgM 0.82 g/L,RF 8.01 IU/mL,抗人球蛋白试验(-);ANA(+)、滴度1∶320、均质型;抗dsDNA抗体(+);抗干燥综合征A抗体(SSA)(+)/ SSB(-),抗Ro-52抗体(+),抗Sm抗体(-);组蛋白(-);抗心磷脂IgA抗体1.5 IU/mL,抗心磷脂IgM抗体0.5 IU/mL,抗心磷脂IgG抗体3.0 IU/mL,抗β2糖蛋白抗体2.7 IU/mL,抗中性粒细胞抗体胞浆型(-),抗中性粒细胞抗体核周型(-);尿潜血试验(+),粪便潜血试验(-)。

四、诊治过程

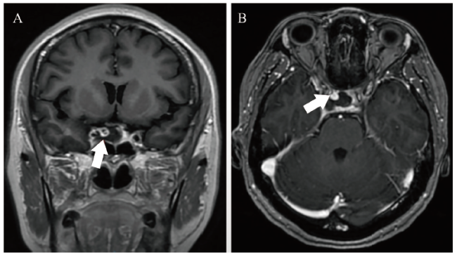
根据欧洲抗风湿病联盟/美国风湿病学会2019年发布的SLE分类标准,结合患者症状、体征、实验室检查结果,诊断为SLE、SLE血液系统损伤、狼疮肾炎、神经精神性SLE。SLEDAI-2000评分20分,治疗方案为口服甲泼尼龙40 mg/d,口服硫酸羟氯喹200 mg每日2次,考虑患者在外院使用过环磷酰胺且累积剂量达1.4 g,因此仅予0.6 g环磷酰胺静脉滴注诱导缓解治疗,同时予兰索拉唑、阿法骨化醇、碳酸钙D3支持治疗。1月22日晚患者开始出现头痛、呕吐及眼球向内、向上活动受限,予眼科会诊,完善光学相干断层成像(OCT)提示,双眼浆液性视网膜剥离,荧光素血管造影(FFA)提示右眼黄斑上方可见渗漏点。同时行头颅MRI示右侧海绵窦区见一结节状异常信号灶(图2),呈现不均匀性血管流空影,最大直径达23 mm,考虑患者颅内动脉瘤较大且已经压迫动眼神经引起相应症状,随时有破裂风险,经疑难病例讨论后,在积极规范治疗SLE的同时转神经外科进行手术治疗。
图2 一例SLE伴颅内动脉瘤致右眼睑下垂患者的头颅MRI结果

注:右侧海绵窦区见一结节状异常信号灶(箭头所示),其中A为头颅MRI冠状位影像,B为头颅MRI水平位影像。

1月28日患者转入神经外科完善全脑血管造影,术中见右侧颈内动脉海绵窦段巨大动脉瘤(14.43 mm×11.34 mm)(图2),但瘤颈细小,载瘤动脉段欠平直,管径不均匀,瘤颈距眼动脉很近,离海绵窦段前曲也很近,选择行载瘤动脉段覆膜支架植入术(图3),患者于术后次日出院(图1B),围术期及出院后继续服用甲泼尼龙40 mg/d,硫酸羟氯喹200 mg每日2次治疗。最后诊断:①SLE、SLE血液系统损伤、狼疮肾炎、神经精神性SLE;②右侧颈内动脉海绵窦段动脉瘤;③右侧动眼神经麻痹;④双眼浆液性视网膜脱离。
图3 一例SLE伴颅内动脉瘤致右眼睑下垂患者的DSA术中及支架植入术后结果

注:A~C为DSA术中,可见颈内动脉海绵窦段动脉瘤(箭头所示);D~F为支架植入术后动脉瘤不再显影。

2月17日患者返院复查:眼球运动良好,右眼睑下垂较前明显恢复(图1C),双眼瞳孔对光反射灵敏。血常规示血红蛋白112 g/L,红细胞5.07×109 /L,白细胞9.91×109 /L,淋巴细胞2.52×109 /L,血小板269×109 /L。C3 835.55 mg/L,C4 183.29 mg/L,IgG 10.63 g/L,IgA 2.05 g/L,IgM 1.15 g/L。患者SLE病情明显好转,右眼睑下垂明显好转。

讨论

SLE是一种累及全身多个器官系统的自身免疫性疾病[2-3]。颅内动脉瘤是SLE罕见的中枢神经系统并发症,据报道其发病率低于4%,患者多伴有高疾病活动性[4-5]。部分患者在颅内动脉瘤的形成过程中无任何症状,难以被发现。部分症状性颅内动脉瘤的常见表现有头晕、眼痛、眼睑下垂、视力障碍、复视和癫痫等,瘤体较大的动脉瘤还可引起头痛、恶心和呕吐等类颅内高压症状,此类患者动脉瘤的破裂风险大大增加。
SLE患者因脑动脉瘤导致蛛网膜下腔出血(SAH)的发生率高于一般人群,动脉瘤大多起病隐匿,其形成机制尚未明确,可能与局灶性血管或动脉炎症使动脉管腔变窄,影响脑部血流状态,产生动脉粥样硬化样症状,导致缺血和血流动力学改变有关[6-10]。动脉瘤一旦破裂,其总病死率高达35%,且大多数患者无法恢复发病前的行为能力,甚至出现认知功能障碍[11]。研究表明,瘤体的位置、形状、≥5 mm的动脉瘤以及蛛网膜下腔出血家族史是动脉瘤破裂的独立危险因素,这些结果有助于确定动脉瘤的治疗选择[12]
颅内动脉瘤多发生在前交通动脉、大脑中动脉、颈内动脉和后交通动脉。颈内动脉海绵窦段动脉瘤(CCAA)仅占颅内动脉瘤的3%~5%,临床确诊时多为巨大动脉瘤,可导致颅神经压迫症状[13]。大多数CCAA为良性病变,通常无症状,有症状的CCAA患者常表现为眼部受累,如眼肌麻痹、复视、眼球运动障碍等,这类患者早期开展手术干预治疗十分必要[14]。本例患者诊断SLE前无任何动脉瘤形成的危险因素,如高血压、糖尿病、吸烟、饮酒、动脉瘤家族史等,在诊断SLE后、治疗过程中出现头晕、眼睑下垂及眼球运动障碍,血管造影提示CCAA,由此推测该段血管动脉瘤的形成可能因SLE处于疾病活动期,炎症细胞浸润导致血管壁功能障碍,引起血流动力学改变,且症状与CCAA压迫动眼神经有关。由于患者起病急,因瘤体较大产生压迫症状,需要快速诱导缓解并解除压迫,因此笔者选择在规范激素及环磷酰胺的药物治疗下联合手术干预,使患者症状得到迅速改善,出院后3周复诊患者右眼可睁开,眼球运动恢复。我国SLE伴颅内动脉瘤的病例罕见,笔者搜索国内外文献,查阅到3例类似患者,马杰等(2004年)和李劲松等(2001年)认为,患者颅内动脉瘤形成甚至瘤体破裂可能与SLE介导的血管壁炎症导致管壁薄弱有关;Zhang等[10]认为颅内动脉瘤的形成可能与SLE所致的血管炎以及长期应用激素相关。
本例患者以SLE诊断初期出现颅内动脉瘤并压迫右侧动眼神经引起右眼睑下垂为主要临床特点,结合患者既往体健及无类似家族史,认为颅内动脉瘤的发生可能与SLE处于疾病活动期相关。因此在临床治疗过程中,无论对于初诊还是复发且处于疾病活动期的SLE患者,当其出现头晕、头痛、呕吐或神经压迫症状时要警惕颅内动脉瘤的可能性;一经确诊,应在积极、规范的药物治疗基础上及时予手术干预,从而避免患者出现动脉瘤破裂或颈动脉海绵窦瘘等严重并发症。
[1]
姜万秀, 李大可. 以视乳头水肿为首发症状的SLE一例. 新医学, 2019, 50(1):71-73.

[2]
Kiriakidou M, Ching C L. Systemic lupus erythematosus. Ann Intern Med, 2020, 172(11): ITC81-ITC96.

DOI

[3]
Durcan L, O’Dwyer T, Petri M. Management strategies and future directions for systemic lupus erythematosus in adults. Lancet, 2019, 393(10188): 2332-2343.

DOI PMID

[4]
Majidi S, Leon Guerrero C R, Gandhy S, et al. Numerous fusiform and saccular cerebral aneurysms in central nervous system lupus presenting with ischemic stroke. J Stroke Cerebrovasc Dis, 2017, 26(7): e126-e128.

DOI

[5]
刘擘, 冯敏, 付莎, 等. 合并狼疮性肾炎的神经精神性狼疮患者痫性发作的危险因素分析. 新医学, 2015, 46(9): 593-596.

[6]
Govoni M. The diagnosis and clinical management of the neuropsychiatric manifestations of lupus. J Autoimmun, 2016, 74: 41-72.

DOI PMID

[7]
Torné R. Subarachnoid hemorrhage in systemic lupus erythematosus: systematic review and report of three cases. Clin Neurol Neurosurg, 2015, 128: 17-24.

[8]
Lee J H, Lee S W, Choi C H, et al. Does systemic lupus erythematosus increase the risk of procedure-related complication in endovascular treatment of intracranial aneurysm? Yonsei Med J, 2020, 61(5): 441-444.

DOI PMID

[9]
Yamaguchi S, Horie N, Sato S, et al. Characteristics of aneurysmal subarachnoid hemorrhage associated with rheumatic disease. Neurosurg Rev, 2021, 44(5): 2611-2618.

DOI PMID

[10]
Zhang Y, Liu S F, Zeng X J. Subarachnoid hemorrhage due to systemic lupus erythematosus associated with multiple intracranial artery aneurysms. Chin Med J (Engl), 2019, 132(1): 109-112.

[11]
Graffeo C S, Tanweer O, Nieves C F, et al. Rapid aneurysm growth and rupture in systemic lupus erythematosus. Surg Neurol Int, 2015, 6: 9.

DOI PMID

[12]
Miyazawa N, Akiyama I, Yamagata Z. Risk factors for growth of unruptured intracranial aneurysms: follow-up study by serial 0.5-T magnetic resonance angiography. Neurosurgery, 2006, 58 (6): 1047-1053.

PMID

[13]
Nakamura M, Montibeller G R, Götz F, et al. Microsurgical clipping of previously coiled intracranial aneurysms. Clin Neurol Neurosurg, 2013, 115(8): 1343-1349.

DOI

[14]
Seinfeld J, Karim S. Cavernous sinus aneurysm. Treasure Island (FL): StatPearls Publishing, 2022.

Outlines

/