Original Research

Immunosuppression complicated with Legionnaires’ disease after chemotherapy in a lymphoma patient confirmed by blood mNGS: one case report and literature review

  • Zhou Lei ,
  • Zhu Wenwen
Expand
  • Zhoushan Hospital, Zhoushan 316000, China
Zhou Lei, E-mail:

Received date: 2022-09-10

  Online published: 2023-04-06

Abstract

Objective To analyze the clinical characteristics of Legionnaires’ disease in immunosuppressive patients, and to explore the significance of blood metagenomic next-generation sequencing (mNGS) in the early diagnosis and treatment of Legionnaires’ disease in immunosuppressive patients. Methods A patient with angioimmunoblastic T-cell lymphoma who developed pulmonary infection after chemotherapy was reported. The diagnosis of Legionella pneumophila infection was confirmed by blood mNGS. Using “Legionella” “blood” “metagenomic next-generation sequencing” and “mNGS” as the keywords in both Chinese and English, relevant studies were searched from CNKI database, Chinese core journals and PubMed database. Clinical data of patients positive for Legionella pneumophila by blood mNGS were analyzed. Results The female patient, aged 50-year-old, was admitted to our hospital due to “the diagnosis of angioimmunoblastic T-cell lymphoma and continuing chemotherapy for more than 10 months”. After twice intravenous chemotherapy, the patient was complicated with myelosuppression, cough and fever. The possibility of pulmonary infection was considered. Conventional antibiotic therapy yielded low efficacy. Blood mNGS confirmed the infection with Legionella pneumophila. After adjusted antibiotic treatment (levofloxacin + tigecycline), the patient was improved and discharged. According to literature review, two cases with complete clinical data were searched. Both two cases were children with hematological diseases who were complicated with pulmonary infection after stem cell transplantation. After the pathogen was identified by blood mNGS, the disease was mitigated after anti-Legionella treatment. Conclusions Immunosuppressed patients with Legionella pneumophila infection are likely to be complicated with bloodstream infection, and clinical manifestations are non-specific. mNGS contributes to prompt identification of the pathogen. Combined anti-infection treatment should be delivered and the course of treatment should be properly prolonged, aiming to lower the risk of progression into severe pneumonia.

Cite this article

Zhou Lei , Zhu Wenwen . Immunosuppression complicated with Legionnaires’ disease after chemotherapy in a lymphoma patient confirmed by blood mNGS: one case report and literature review[J]. JOURNAL OF NEW MEDICINE, 2023 , 54(3) : 205 -209 . DOI: 10.3969/j.issn.0253-9802.2023.03.008

军团菌是社区获得性肺炎常见的非典型性病原菌,也是医院获得性肺炎的重要致病菌。部分免疫抑制患者为该病的易感宿主,包括器官移植受者、接受化学治疗或放射治疗的恶性肿瘤患者及接受糖皮质激素治疗的患者。目前临床主要通过军团菌尿抗原检查、军团菌培养及支气管镜灌洗液宏基因组二代测序(mNGS)明确军团菌感染诊断。免疫抑制患者嗜肺军团菌肺炎合并血流感染相对少见。本文报道1例接受化学治疗后发生免疫抑制且出现肺炎合并血流感染的淋巴瘤患者,其通过血mNGS确诊嗜肺军团菌感染,同时回顾分析国内外相关文献资料。

对象与方法

一、1例通过血mNGS检测明确嗜肺军团菌感染的淋巴瘤患者临床资料的收集

本院血液科于2021年4月26日收治1例血管免疫母细胞淋巴瘤患者,其于化学治疗后出现骨髓抑制,合并发热、咳嗽等肺部感染症状,经血mNGS检测明确嗜肺军团菌感染,收集分析该例患者的病史、诊治过程、体格检查、实验室及影像学检查等资料。

二、文献检索

以“军团菌”“血”“宏基因组二代测序”为中文关键词分别检索中国知网数据库、中华医学期刊全文数据库;以“Legionella”“blood”“metagenomicsnext-generation sequencing”或“mNGS”为英文关键词检索PubMed数据库的英文文献。检索时间为 2010年1月至 2021年10月,整理血mNGS阳性的军团病文献报道。检索后筛查符合以下标准病例:①伴发热、新发的咳嗽、咳痰等呼吸道症状;②胸部影像学检查提示新近出现肺部渗出性感染病灶;③送检血mNGS检测明确军团菌感染;④存在免疫抑制情况(恶性肿瘤化学治疗或放射治疗后,移植状态,长期应用糖皮质激素或免疫抑制剂)。排除治疗资料不完整病例。

结果

一、1例通过血mNGS检测明确嗜肺军团菌感染的淋巴瘤患者的临床资料

患者女,50岁,因确诊淋巴瘤1年、需继续接受化学治疗于2021年4月26日再次入本院。患者2020年4月因发现右侧腹股沟肿物而行该部位淋巴结活组织检查(活检),确诊为血管免疫母细胞淋巴瘤,接受多次静脉化学治疗。2021年2月24日静脉化学治疗方案改为CAG(阿扎胞苷100 mg、第1~7日,泼尼松 20 mg、第1~7日,来那度胺25 mg、第1~14日),末次静脉化学治疗时间2021年4月5日,本次需再次接受化学治疗而入院。
入院后完善相关检查,4月26日血红蛋白 103 g/L,白细胞2.6×109 /L,中性粒细胞绝对值1.17×109 /L,淋巴细胞绝对值0.26×109 /L,血小板81×109 /L;肝肾功能正常;常规心电图正常。4月27日予静脉化学治疗,方案同上。4月29日复查白细胞 1.9×109 /L,中性粒细胞绝对值0.84×109 /L,予重组人粒细胞刺激因子皮下注射升白细胞治疗。5月4日复查白细胞3.8×109 /L,中性粒细胞绝对值2.85×109 /L,当日予第2次静脉化学治疗(环磷酰胺针 50 mg、1次/日,依托泊苷针 50 mg、1次/日,泼尼松片20 mg、1次/日)。5月7日复查白细胞1.6×109 /L,中性粒细胞绝对值1.02×109 /L,血小板51×109 /L,再次予升白细胞治疗。5月9日患者出现明显咳嗽,以干咳为主。5月10日完善胸部CT未见肺内感染性病变。5月13日复查白细胞降至0.2×109 /L,中性粒细胞绝对值0.08×109 /L。5月15日出现发热,体温38.6℃,予头孢哌酮舒巴坦针3.0 g、1次/12 h抗感染治疗,其后复查血红蛋白84 g/L,白细胞0.5×109 /L,中性粒细胞绝对值0.01×109 /L,血小板18×109 /L,超敏CRP 8.4 mg/L,予输注血小板10 U治疗。患者仍有发热。5月20日复查血红蛋白64 g/L,白细胞0.2×109 /L,中性粒细胞绝对值0.01×109 /L,血小板28×109 /L,超敏CRP 84.8 mg/L,予保护性隔离,升白细胞治疗,抗生素升级至亚胺培南西司他丁钠针 0.5 g、1次/8 h,联合氟康唑针0.2 g、1次/日抗真菌治疗。5月15日、5月22日2次送检血培养均阴性。5月23日患者仍有反复发热,合并咳嗽,干咳,体温最高39.2℃,复查血红蛋白65 g/L,白细胞0.3×109 /L,中性粒细胞绝对值0.02×109 /L,血小板17×109 /L,超敏CRP 153.5mg/L,降钙素5.61 ng/mL。5月24日出现休克,血压降至75/40 mmHg(1 mmHg = 0.133 kPa),加用替加环素50 mg、1次/12 h(首剂加量),并输注Ig及多巴胺升压,经补液治疗后患者休克纠正,进一步行血mNGS检查。5月25日患者仍有高热,体温39.6℃,复查胸部CT提示双下肺渗出、实变影,首先考虑感染性病灶。5月26日复查白细胞0.3×109 /L,中性粒细胞绝对值0.13×109 /L,送检血、痰细菌学培养阴性,血mNGS检查结果回报提示嗜肺军团菌,序列数3910,确诊合并嗜肺军团病,见图1
图1 一例淋巴瘤化学治疗后免疫抑制并发嗜肺军团病患者的血mNGS结果
确诊后立即调整抗生素为左氧氟沙星针(0.5 g、1次/日)+替加环素(50 mg、1次/12 h)。6月2日复查胸部CT:双肺渗出性、实变性病灶较前吸收,但患者仍有发热,体温37.6~38.4℃。6月4日调整抗生素,停用替加环素,改用阿奇霉素针(0.5 g、1次/日),6月5日起患者体温逐渐下降,6月6日体温恢复正常,呼吸道症状改善。6月16日复查胸部CT:右下肺病灶吸收明显,6月18日复查血红蛋白69 g/L,白细胞2.0×109 /L,中性粒细胞绝对值1.40×109 /L,血小板178×109 /L,超敏CRP 34.8 mg/L,6月25日复查胸部CT:左下肺实变病灶进一步吸收,见图23。患者症状稳定,疗效评估为好转,予以出院。
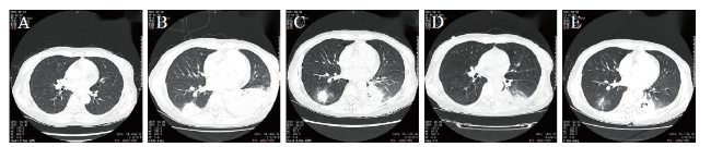
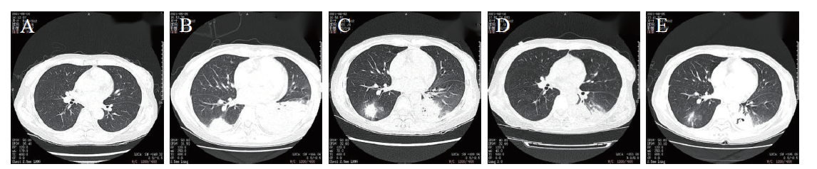
图2 一例淋巴瘤化学治疗后免疫抑制并发嗜肺军团病患者住院期间胸部CT影像学改变

注:A为5月11日胸部CT,双肺未见渗出性病灶;B为5月25日胸部CT,双下肺见大片状密度增高影;C为6月2日胸部CT,提示双下肺感染性病灶,左侧少量胸腔积液,较前吸收;D为6月16日胸部CT,提示双肺感染性病灶,左侧少量胸腔积液,较前吸收;E为6月25日胸部CT,提示双肺感染性病灶,较前略有吸收。

图3 一例淋巴瘤化学治疗后免疫抑制并发嗜肺军团病患者入院后白细胞、中性粒细胞及淋巴细胞计数变化折线图

二、文献检索结果

检索筛查出提供了患者较完整临床资料的文献2篇,其中中文文献1篇,英文文献1篇,均为个案报道,2例均为血液系统肿瘤性疾病干细胞移植后的儿童患者,血mNGS军团菌序列阳性,合并军团菌血流感染,其中1例合并颅内感染,脑脊液检查军团菌序列阳性。见表1
表1 血mNGS阳性免疫抑制儿童患者军团菌感染的病例资料
序号 第一作者 患者性别 年龄/岁 基础疾病 mNGS序列数 抗军团菌药物 疗程/d 预后
1 Wang Y[1] 女性 7 骨髓增生异常综合征;脐血干细胞移植(UCBT) 血液序列数 8112
BALF序列数1960
阿奇霉素针 18 好转
2 袁丽莉[2] 男性 5 急性淋巴细胞白血病异基因造血干细胞移植后 血液序列数1817
脑脊液序列数19655
阿奇霉素针,左氧氟沙星针、米诺环素片 113 好转

讨论

军团菌是引起社区、医院获得性肺炎的重要致病菌之一,免疫抑制患者易发生感染,且有发展为重症肺炎的可能[3] 。感染性病原体检测的宏基因组测序技术能直接提取标本病原体核酸测序,24~36 h即可出结果。但费用昂贵,尚未纳入医保,需外送专业检测公司,临床一般用于重症感染、常规检测较难明确的感染性病原体检测。
近年来,军团菌文献报道增多,但多以痰或支气管镜灌洗液送检标本明确军团病为主,也有经脑脊液、关节腔液mNGS明确军团菌感染的个案报道[4-5]。嗜肺军团菌合并血流感染,通过血mNGS明确军团菌感染相对较少。有研究者认为即使存在严重的肺部感染,血培养的阳性率仍极低[6]。另外,PCR和mNGS分子诊断方法已被证实在血液样本中检测肺部感染病原体是可行的[7] 。因此,作为一种进化诊断工具,血mNGS在肺部感染性疾病的诊断中亦具可行性。
机体免疫抑制状态是感染军团病的主要危险因素,包括使用糖皮质激素、使用肿瘤坏死因子抑制剂、恶性肿瘤化学治疗、器官移植后使用免疫抑制剂等,90%医院获得性军团菌感染与免疫抑制相关。军团病可累及多个脏器,以肺部最为常见,免疫抑制患者还可累及多种肺外器官,包括中枢神经系统、淋巴结、肾、脾、骨髓和心脏[8]。回顾性分析显示49例恶性肿瘤合并军团菌肺炎患者中82%患有血液系统恶性肿瘤,37%患者是骨髓移植受者,其中47%患者淋巴细胞减少、41%患者使用肾上腺皮质激素、63%患者接受化学治疗,总病死率为31%[9]。本例患者在接受化学治疗后出现重度骨髓抑制,粒细胞缺乏,院内继发军团菌感染。医院用水系统军团菌定植可引起院内的感染暴发,本例患者明确军团菌肺炎诊治期间,科室内未发生类似发热、肺炎患者,且院感科对患者所在病房供水龙头及淋浴蓬头自来水进行检测未发现水体中军团菌。
军团菌感染可诱导机体产生保护性的细胞免疫,军团病恢复期患者体内的单核细胞对嗜肺军团菌抗原仍能产生细胞因子,激活单核细胞和巨噬细胞。对于免疫抑制患者,细胞免疫功能受损易感染胞内生长细菌如军团菌、结核分枝杆菌、 球孢子菌、荚膜组织胞浆菌、曲霉等,复习文献发现血液恶性肿瘤患者接受化学治疗后可出现致命的军团病,基础血液系统疾病可包括:急性淋巴细胞白血病、淋巴瘤、慢性淋巴细胞白血病,在这部分患者中可有肝、脾组织中直接免疫荧光染色阳性的肺外感染证据[9]
在治疗方面,对于免疫功能正常的轻、中度军团病患者,建议采用大环内酯类、呼吸喹诺酮类或多西环素单药治疗;对于重症病例、单药治疗失败、免疫功能低的患者,建议采用喹诺酮类药物联合利福平或大环内酯类药物治疗[10]。中性粒细胞缺乏可增加患者感染风险和治疗难度[11]。本例患者先后予替加环素、左氧氟沙星针联合阿奇霉素针抗感染治疗。军团病的疗程较普通肺炎长,需2~3周,否则容易复发,在免疫抑制患者中抗军团菌疗程可再延长,本例患者抗生素疗程达30 d。
免疫抑制患者军团病临床表现及影像学检查常无特异性。在临床诊治过程中,对于这部分患者应结合临床表现早期增加对军团菌感染的诊断和覆盖性治疗,这是降低免疫抑制患者军团菌感染发病率和病死率的首要目标。
[1]
Wang Y, Dai Y, Lu H, et al. Case report: metagenomic next-generation sequencing in diagnosis of Legionella pneumophila pneumonia in a patient after umbilical cord blood stem cell transplantation. Front Med (Lausanne), 2021, 8: 643473.

[2]
袁丽莉, 赵慧铮, 张建平, 等. 宏基因组测序技术监测异基因造血干细胞移植后嗜肺军团菌感染. 白血病·淋巴瘤, 2019, 28(12): 734-738.

[3]
Chahin A, Opal S M. Severe pneumonia caused by Legionella pneumophila: differential diagnosis and therapeutic considerations. Infect Dis Clin North Am, 2017, 31(1): 111-121.

DOI

[4]
杜秀芳, 罗凤鸣. 二代基因测序技术确诊嗜肺军团菌肺炎一例. 中国呼吸与危重监护杂志, 2020, 19(5): 507-509.

[5]
Huang Y, Ma Y, Miao Q, et al. Arthritis caused by Legionella micdadei and Staphylococcus aureus: metagenomic next-generation sequencing provides a rapid and accurate access to diagnosis and surveillance. Ann Transl Med, 2019, 7(20): 589.

DOI

[6]
Zhang D, Yang D, Makam A N. Utility of blood cultures in pneumonia. Am J Med, 2019, 132(10): 1233-1238.

DOI PMID

[7]
Hammarström H, Grankvist A, Broman I, et al. Serum-based diagnosis of Pneumocystis pneumonia by detection of Pneumocystis jirovecii DNA and 1,3-β-D-glucan in HIV-infected patients: a retrospective case control study. BMC Infect Dis, 2019, 19(1):658.

DOI PMID

[8]
路明, 沈宁, 朱红, 等. 表现为小脑功能不全的军团菌病一例并文献复习. 中华结核和呼吸杂志, 2020, 43(2): 126-131.

[9]
Htwe T H, Khardori N M. Legionnaire’s disease and immunosuppressive drugs. Infect Dis Clin North Am, 2017, 31(1): 29-42.

DOI

[10]
瞿介明, 曹彬. 中国成人社区获得性肺炎诊断和治疗指南(2016年版)修订要点. 中华结核和呼吸杂志, 2016, 39(4): 241-242.

[11]
陈珊珊, 郭子文, 叶永斌, 等. Good综合征诊治一例. 新医学, 2021, 52(10): 795-799.

DOI

Outlines

/