Case Research

Blastic plasmacytoid dendritic cell neoplasm complicated with acute myeloid leukemia: a case report

  • Kong Lihua ,
  • Qin Lili ,
  • Feng Anhua ,
  • Liu Zhenzhen ,
  • Tang Na ,
  • Zang Jikang ,
  • Wang Haiying
Expand
  • Affiliated Hospital of Weifang Medical University, School of Clinical Medicine, Weifang 261000, China
Wang Haiying, E-mail:

Received date: 2022-09-07

  Online published: 2023-04-06

Abstract

Blastic plasmacytoid dendritic cell neoplasm (BPDCN) complicated with acute myeloid leukemia (AML) is a rare disease. In this article, we reported the diagnosis and treatment of one patient of BPDCN complicated with AML who presented with fever as the first symptom, aiming to enhance the diagnostic and therapeutic capability of clinicians for this disease. The male patient, aged 69 years old, was admitted to hospital due to fever for 1 week. He had no typical skin lesions. Morphological and cytological observation of bone marrow smear showed extremely active hyperplasia and tumor cells with specific immunophenotype. The diagnosis of BPDCN complicated with AML was confirmed. A low-intensity venetoclax-based chemotherapy regimen was recommended. However, the patient discontinued further treatment.

Cite this article

Kong Lihua , Qin Lili , Feng Anhua , Liu Zhenzhen , Tang Na , Zang Jikang , Wang Haiying . Blastic plasmacytoid dendritic cell neoplasm complicated with acute myeloid leukemia: a case report[J]. JOURNAL OF NEW MEDICINE, 2023 , 54(3) : 216 -220 . DOI: 10.3969/j.issn.0253-9802.2023.03.010

母细胞性浆细胞样树突状细胞肿瘤(BPDCN)是一种罕见的血液侵袭性恶性疾病,约占血液系统肿瘤的0.44%,好发于老年男性[1-2]。该病起源于浆细胞样树突状细胞(pDC)前体,与pDC有关的肿瘤有2种类型:BPDCN和肿瘤相关的成熟浆细胞样树突状细胞增殖疾病(MPDCP)[3]。2008年WHO首次提出BPDCN,将其归类为急性髓系白血病(AML)和相关前体肿瘤,2016年将BPDCN从AML中独立出来,认为其是骨髓肿瘤中的单独类别[4-5]。本文报道1例国内罕见的BPDCN伴AML患者,以助临床医师提高对此病的认识水平。

病例资料

一、主诉、现病史及体格检查

患者男,69岁,因发热1周于2020年7月12日入住潍坊医学院附属医院呼吸科。患者1周前出现发热,多于午后及夜间出现,最高39℃,伴畏寒、咽痛不适、全身乏力,于当地医院应用哌拉西林钠他唑巴坦钠、左氧氟沙星抗感染治疗后无好转,遂来本院就诊。患者既往有“双下肢静脉曲张”病史30余年,否认有高血压、冠状动脉粥样硬化性心脏病(冠心病)、糖尿病病史。否认有肝炎、结核等传染病史,否认家族中有恶性肿瘤病史。
入院体格检查:体温36.7℃,脉搏110次/分,呼吸19次/分,血压127/74 mmHg(1 mmHg =0.133 kPa)。贫血貌,咽部充血。全身浅表淋巴结未触及肿大。心、肺未见异常。中上腹部压痛,无反跳痛,肝脾肋下未触及。足靴区色素沉着,双下肢轻度凹陷性水肿。

二、实验室及辅助检查

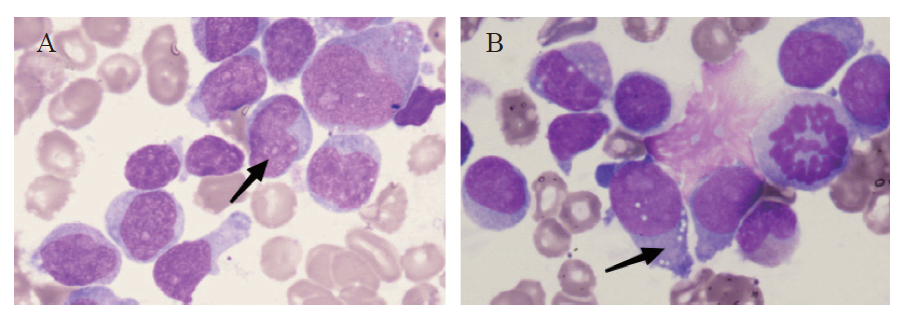
血红蛋白91 g/L,红细胞3.17×1012/L,白细胞22.51×109/L,血小板80×109/L,单核细胞13.6×109/L;CRP 70.8 mg/L;降钙素原0.021ng/mL;曲霉菌半乳甘露聚糖检测2.17;血小板抗体IgG弱阳性。淋巴细胞免疫分析(流式)CD8为40%,CD4/CD8为0.8。胸部CT:①双肺慢性炎症;②左侧管壁钙化灶。下肢静脉超声:双下肢小腿段大隐静脉曲张,左下肢肌间静脉内径增宽并血流缓慢。心脏彩色多普勒超声检查(彩超):射血分数(EF)67%,升主动脉增宽,主动脉瓣反流(少量),左心室舒张功能减退(松弛型)。上腹部CT+肾脏平扫增强:①横结肠右上方脂肪内炎性病变;②右肾囊肿;③双下肺慢性炎症。入院后给予抗感染、止咳、祛痰、护胃等对症支持治疗,因血常规提示患者白细胞增多、贫血、血小板减少,考虑为血液系统疾病,于2020年7月18日转入潍坊医学院附属医院血液科。完善骨髓穿刺检查,骨髓涂片细胞形态学分析(图1A):增生极度活跃,原始细胞约占有核细胞70%,胞体中等大小,边缘不规则,胞浆量少至中等,灰蓝色,胞核原形或不规则形,核染色质疏松,部分可见扭曲折叠,部分原始细胞可见空泡、拖尾现象或伪足突出;原始细胞过氧化物酶(POX)染色阳性率57%。外周血涂片细胞形态学分析:原始细胞约33%,形态同骨髓,诊断为急性单核细胞白血病(AML-M5)。骨髓流式细胞学分析:表达CD117、CD34、CD38、CD33、CD13、CD123、人白细胞DR抗原(HLA-DR),少部分表达CD56,弱表达髓过氧化物酶(MPO),不表达CD7、CD15、CD64、CD11b、CD22、CD5、CD2、CD20、CD19、CD10、CD4、CD14、CD36、CD9、TDT、cCD79a、cCD3、mCD3;幼稚单核细胞占有核细胞17.96%,表达CD38、CD33、CD64、CD13、CD123、CD36、HLA-DR,部分表达CD15、CD11b、CD14、CD9、CD56,弱表达CD4、MPO,不表达CD34、CD117、CD7、CD22、CD5、CD2、CD20、CD19、CD10、末端脱氧核苷酸转移酶(TDT)、cCD79a、cCD3、mCD3;异常浆样树突占有核细胞28.90%,表型为CD123++,HLA-DR+,CD303部分+,CD304+,CD7-,CD5-,CD2少部分+,CD4dim+,CD10部分+,CD56部分+,TDT-,表型异常。结论:标本中可见髓系原始细胞及幼稚单核细胞比例升高,分别占有核细胞28.62%和17.96%,符合AML表型;白血病细胞除表达髓系抗原外,伴CD56阳性,可作为微小残留病监测指标;除外AML伴重现性遗传学异常后,可考虑诊断为AML-M4/M5;另见一群异常浆样树突占有核细胞28.90%,表型异常;考虑同时为BPDCN。髓系白血病16种融合基因筛查:阴性。AML相关56个基因突变筛查:热点突变NRAS、PTPN11、NF1、RUNX1,与疾病可能相关的突变RUNX1,具体突变位置、类型及频率见表12。骨髓染色体核型分析:45,XY,-7[20]
图1 一例BPDCN伴AML患者骨髓检查(瑞氏-吉姆萨染色,×1000)

注:A可见原始胞体中等大小,边缘不规则,胞浆量少至中等,灰蓝色,胞核圆形或不规则形,核染色质疏松,部分可见扭曲折叠;B可见原始细胞中等大小,细胞核形状不规则,部分细胞可见空泡、拖尾现象或伪足突出(黑色箭头所示)。

表1 一例BPDCN伴AML患者与疾病密切相关的热点突变位点检测结果
突变基因 突变位置 核苷酸改变 氨基酸改变 突变频率/%
NRAS Exon3 c.182A>G p.Q61R 3.3
NRAS Exon3 c.182A>C p.Q61P 5.1
PTPN11 Exon3 c.215C>T p.A72V 52.6
NF1 Exon18 c.2014G>T p.G672X 3.1
RUNX1 Exon5 c.422C>A p.S141X 11.6
表2 一例BPDCN伴AML患者与疾病可能相关的突变位点检测结果
突变基因 突变位置 核苷酸改变 氨基酸改变 突变频率/%
RUNX1 Exon5 c.497G>A p.R166Q 1.4
RUNX1 Intron4 c.352-9G>A - 4.2

三、诊断及治疗

骨髓流式细胞学分析结果回报后,考虑患者骨髓涂片中原始细胞中等大小,细胞核形状不规则,胞浆呈现灰蓝色,部分细胞可见空泡、拖尾现象或伪足突出,该类原始细胞是异常浆样树突细胞(图1B)。综上,患者诊断如下:①BPDCN伴AML;②肺部感染;③肾囊肿。确诊后,针对患者肺部感染给予头孢哌酮钠舒巴坦钠联合莫西沙星静脉滴注,同时患者EB病毒早期抗原IgG抗体76 AU/mL、EB病毒衣壳抗原IgG抗体104IU/mL,均高于正常范围,考虑近期有EB病毒感染,给予膦甲酸钠治疗。经治疗后患者体温未被控制,抗生素调整为伏立康唑、哌拉西林钠他唑巴坦钠、米诺环素抗感染,但患者仍反复发热,考虑为血液系统原发病所致的发热,给予地塞米松静脉滴注后体温逐渐恢复正常。明确诊断后向患者和家属交代病情,患者和家属表示放弃治疗,于2020年7月30日自动出院。
BPDCN诊断是基于CD4+、CD56+、CD123+,存在CD45dim+、CD303+、CD304+、HLA-DR+,不表达B淋巴细胞、T淋巴细胞、NK细胞及髓系标志物[6-7]。BPDCN主要表现为孤立性或多发性皮肤损害,可出现皮肤结节、紫癜、红斑、溃疡等,累及外周血、骨髓等[6]。但本例患者发病时无典型的皮肤损害等表现,以发热为主要症状,血常规提示贫血、血小板减少、白细胞增加。文献报道,少数BPDCN患者以白血病起病,大部分BPDCN患者并发或者继发为髓系白血病,主要是粒单核细胞白血病[8]。且BPDCN与AML、慢性粒细胞性单核细胞白血病(CMML)等在骨髓、外周血中具有形态和分子相似性[9]。根据本例患者初始骨髓涂片细胞形态学分析结果仅考虑AML-M5,但骨髓流式细胞学分析发现两大类细胞,一类为髓系原始细胞及幼稚单核细胞,另一类为异常浆样树突细胞,所以本例患者考虑为BPDCN并发AML,骨髓流式细胞学分析对其诊断有重要意义[8]。Zalmaï等[3]发现原始细胞、pDC、单核细胞等有相同的突变,证实pDC的肿瘤起源与原始细胞、单核细胞是共同起源,这也是大部分BPDCN患者并发或者继发为粒单核细胞白血病的原因。这也与本例患者的骨髓流式细胞学检查结果相吻合。
BPDCN患者极易复发,中位总生存期为12个月,发生基因突变的BPDCN患者与未发生基因突变患者相比,总生存期缩短[10-11]。分析其基因突变谱,常见的突变主要是TET2、ASXL1、NRAS,而RUNX1突变少见[12-13]。Stenzinger等[14]评估33个BPDCN样本发现在NRAS(27.3%病例)、ATM(21.2%病例)中检测到点突变,并发现BPDCN和AML、骨髓增生异常综合征(MDS)有一定的遗传关系。BPDCN和AML在基因突变谱上有部分重叠,如RUNX1、ASXL1[11,15]。Yin等[13]评估50例BPDCN患者的基因突变谱发现一些突变基因,包括:影响DNA甲基化(TET2、DNMT3A、IDH1、IDH2),组蛋白修饰(ASXL1、KDM6A、SUZ12),信号转导途径(NRAS、KRAS、HRAS、JAK2、NF1、NOTCH1、SH2B3),转录因子(ETV6、TP53、IKZF1、RUNX1),RNA剪接因子(SF3A1、SRSF2、ZRSR2、U2AF1)和黏附蛋白复合物成分(RAD21),结果显示TET2和ASXL1是最常见的突变基因,影响蛋白质的功能。本例患者诊断为BPDCN并发AML,二代基因测序检测到BPDCN与信号转导相关基因(NRAS、NF1)、转录因子相关基因(RUNX1)的突变有关,且RUNX1、PTPN11基因突变通常提示预后不良[15-16]。分析BPDCN患者染色体,多数核型复杂,且没有特定异常,主要的染色体畸变是5、12、13、6、15、9号染色体[13,17]。本例患者染色体核型为45,XY,-7[20],可见克隆性异常-7,提示预后不良。
部分BPDCN患者可并发AML,主要为AML-急性粒单核细胞白血病/急性单核细胞白血病(AML-M4/M5),其和AML伴浆细胞样树突状细胞增生(AML-pDC)具有不同的起源、免疫表型、基因突变谱[6-7,18]:AML-pDC中的pDC来自CD34+的原始细胞;而BPDCN中的pDC来自CD56+的pDC前体;免疫表型上,AML-pDC免疫表型常常为CD4+、CD56-,多数为CD303+、CD304+、CD34+,CD123和cTCL1表达弱。BPDCN中CD4+、CD56+、CD123+,存在CD45dim+、CD303+、CD304+、HLA-DR+;在分子水平上,AML-pDC通常有RUNX1突变(64%),其次是ASXL1(36%)、DNMT3A(32%),而BPDCN中突变通常为TET2、ASXL1、NRAS,而RUNX1突变少见(2%),两者预后均较差[12-13]
BPDCN发病率低,尚无统一治疗方案,治疗方法主要是化学治疗、靶向治疗、免疫治疗、造血干细胞移植。目前,基于治疗经验,常采用治疗白血病或者淋巴瘤的化学治疗方案,在首次完全缓解后进行干细胞移植[19]。鉴于BPDCN强烈表达IL-3受体亚单位α(IL-3Rα)/CD123,首个CD123靶向治疗药物Tagraxofusp(SL-401)被批准用于治疗BPDCN患者[20-21]。部分BPDCN可演变为白血病阶段或者合并肿瘤(如MDS、CMML等)[9,14]。有研究显示在BPDCN患者中检测到DNA甲基化基因(TET2、DNMT3A、IDH1和IDH2)的突变[13,21]。Khwaja等[22]报道5-阿扎胞苷(去甲基化药物)治疗3例老年BPDCN患者,患者皮肤损伤均有改善,中位生存期17个月,虽然阿扎胞苷用药不能对疾病持久控制,但患者治疗耐受性良好。BPDCN细胞还依赖抗凋亡蛋白Bcl2,维奈克拉(Venetoclax)作为抗凋亡基因Bcl2的抑制剂,可用于该病的治疗[23]。本例患者为老年男性,无法耐受强化学治疗方案,可选择含Venetoclax的低强度化学治疗方案,有望延长生存时间,但患者未继续治疗较为遗憾。
BPDCN合并AML罕见,诊断需结合临床表现、细胞形态学、免疫学、分子生物学、细胞遗传学综合分析。该病治疗方案目前尚无统一标准,治疗难度大,在临床中应提高对此病的认识。
[1]
Goel D, Bhargava R. Blastic plasmacytoid dendritic cell neoplasm. A rare hematodermic malignancy. Hematol Transfus Cell Ther, 2020, 42(4):384-386.

DOI PMID

[2]
Wang S, Wang X, Liu M, et al. Blastic plasmacytoid dendritic cell neoplasm: update on therapy especially novel agents. Ann Hematol, 2018, 97(4):563-572.

DOI PMID

[3]
Zalmaï L, Viailly P J, Biichle S, et al. Plasmacytoid dendritic cells proliferation associated with acute myeloid leukemia:phenotype profile and mutation landscape. Haematologica, 2021, 106(12):3056-3066.

DOI

[4]
Vardiman J W, Thiele J, Arber D A, et al. The 2008 revision of the World Health Organization (WHO) classification of myeloid neoplasms and acute leukemia: rationale and important changes. Blood, 2009, 114(5):937-951.

[5]
Arber D A, Orazi A, Hasserjian R, et al. The 2016 revision to the World Health Organiz-ation classification of myeloid neoplasms and acute leukemia. Blood, 2016, 127(20):2391-2405.

DOI

[6]
Guo J H, Zhang H W, Wang L, et al. Blastic plasmacytoid dendritic cell neoplasm with skin and bone marrow involvement: report of three cases. World J Clin Cases, 2021, 9(33):10293-10299.

[7]
Zhang Y W, Zhong J H, Chen X L, et al. Blastic plasmacytoid dendritic cell neoplasm: a case report and literature review. Exp Ther Med, 2016, 12(1):319-322.

[8]
张莹楠, 张茂功. 母细胞性浆细胞样树突细胞肿瘤研究及诊疗进展. 临床皮肤科杂志, 2020, 49(7):442-445.

[9]
Beird H C, Khan M, Wang F, et al. Features of non-activation dendritic state and immune deficiency in blastic plasmacytoid dendritic cell neoplasm (BPDCN). Blood Cancer J, 2019, 9(12):99.

DOI PMID

[10]
陈晓君, 刘彦权, 黄素蓉, 等. 母细胞性浆细胞样树突细胞肿瘤的研究进展. 解放军医学杂志, 2021, 46(10):1040-1044.

[11]
Menezes J, Acquadro F, Wiseman M, et al. Exome sequencing reveals novel and recurrent mutations with clinical impact in blastic plasmacytoid dendritic cell neoplasm. Leukemia, 2014, 28(4):823-829.

DOI PMID

[12]
Khanlari M, Yin C C, Takahashi K, et al. Bone marrow clonal hematopoiesis is highly prevalent in blastic plasmacytoid dendritic cell neoplasm and frequently sharing a clonal origin in elderly patients. Leukemia, 2022, 36(5):1343-1350.

DOI

[13]
Yin C C, Pemmaraju N, You M J, et al. Integrated clinical genotype-phenotype characteristics of blastic plasmacytoid dendritic cell neoplasm. Cancers(Basel), 2021, 13(23):5888.

[14]
Stenzinger A, Endris V, Pfarr N, et al. Targeted ultra-deep sequencing reveals recurrent and mutually exclusive mutations of cancer genes in blastic plasmacytoid dendritic cell neoplasm. Oncotarget, 2014, 5(15):6404-6413.

DOI PMID

[15]
中华医学会血液学分会白血病淋巴瘤学组. 中国成人急性髓系白血病(非急性早幼粒细胞白血病)诊疗指南(2021年版). 中华血液学杂志, 2021, 42(8):617-623.

[16]
Alfayez M, Issa G C, Patel K P, et al. The Clinical impact of PTPN11 mutations in adults with acute myeloid leukemia. Leukemia, 2021, 35(3):691-700.

DOI

[17]
Sweet K. Blastic plasmacytoid dendritic cell neoplasm: diagnosis, manifestations, and treatment. Curr Opin Hematol, 2020, 27(2):103-107.

DOI PMID

[18]
Wang W, Xu J, Khoury J D, et al. Immunophenotypic and molecular features of acute myeloid leukemia with plasmacytoid dendritic cell differentiation are distinct from blastic plasmacytoid dendritic cell neoplasm. Cancers (Basel), 2022, 14(14):3375.

DOI

[19]
Cheng W, Yu T T, Tang A P, et al. Blastic plasmacytoid dendritic cell neoplasm: progress in cell origin,molecular biology,diagnostic criteria and therapeutic approaches. Curr Med Sci, 2021, 41(3):405-419.

DOI PMID

[20]
Pemmaraju N, Lane A A, Sweet K L, et al. Tagraxofusp in blastic plasmacytoid dendritic-cell neoplasm. N Engl J Med, 2019, 380(17):1628-1637.

DOI

[21]
Frankel A E, Woo J H, Ahn C, et al. Activity of SL-401, a targeted therapy directed to interleukin-3 receptor, in blastic plasmacytoid dendritic cell neoplasm patients. Blood, 2014, 124(3):385-392.

DOI PMID

[22]
Khwaja R, Daly A, Wong M, et al. Azacitidine in the treatment of blastic plasmacytoid dendritic cell neoplasm:a report of 3 cases. Leuk Lymphoma, 2016, 57(11):2720-2722.

[23]
王莹, 马银娟, 许文婧, 等. 母细胞性浆细胞样树突状细胞肿瘤发病机制、诊断和治疗的研究进展. 现代肿瘤医学, 2022, 30(4):709-713.

Outlines

/