Case Research

Primary biliary cholangitis complicated with eosinophilic granulomatous with polyangiitis: a case report

  • Xiao Qiao ,
  • Xiao Hua ,
  • Wang Rong ,
  • Zhao Chuan
Expand
  • Department of Infectious Diseases, Suining Central Hospital, Suining 629000, China
Xiao Qiao, E-mail:

Received date: 2022-12-25

  Online published: 2023-09-05

Abstract

The etiology of primary biliary cholangitis (PBC) is unclear, which may be associated with genetic, hereditary and environmental factors, etc. Ursodeoxycholic acid (UDCA) is the first-line drug for the treatment of PBC. Eosinophilic granulomatous with polyangiitis (EGPA) is a systemic vascular inflammatory disease characterized by necrotizing vasculitis, infiltration of eosinophils in tissues and organs, and formation of extravascular granulomas. In this report, a 65-year-old male patient presented with recurrent rashes on four limbs, recurrent abnormal liver function, asthma-like wheezing, microscopic hematuria, abnormal renal function, and eosinophilia. He was finally diagnosed with PBC complicated with EGPA. This case suggests that the possibility of rheumatic immune system disease should be considered for patients with unexplained eosinophilia complicated with multiple organ damage, such as skin, lung, liver, kidney, and immune system.

Cite this article

Xiao Qiao , Xiao Hua , Wang Rong , Zhao Chuan . Primary biliary cholangitis complicated with eosinophilic granulomatous with polyangiitis: a case report[J]. JOURNAL OF NEW MEDICINE, 2023 , 54(8) : 601 -605 . DOI: 10.3969/j.issn.0253-9802.2023.08.014

原发性胆汁性胆管炎(PBC)是一种慢性自身免疫性肝内胆汁淤积性非化脓性破坏性小胆管炎,血生物化学指标特点是血清碱性磷酸酶(ALP)、γ-谷氨酰转移酶(GGT)升高,免疫学特点是抗线粒体抗体(AMA)阳性、血清IgM升高,组织学上有非化脓性破坏性胆管炎和小胆管破坏的证据[1]。嗜酸性肉芽肿性血管炎(EGPA)是一种罕见的风湿免疫性疾病,可导致皮肤、肺、肾脏等多器官损害,可造成临床症状的多样化,加大了临床诊断的难度。本文现报道一例国内外少见的PBC合并EGPA的病例,为类似病例提供临床诊断与治疗思路。

病例资料

一、 病史及体格检查

患者男,65岁。因反复皮疹4个月,腹胀1个月,加重1周于2022年6月8日入院。4个月前患者全身出现散在少量皮疹,伴瘙痒,1个月前皮疹加重,伴瘙痒、腹胀、双下肢水肿、咳嗽、咳痰。患者于2022年5月10日至17日在遂宁市中心医院感染科住院,住院期间予头孢他啶抗感染,葡萄糖酸钙、氯雷他定抗过敏,腹腔穿刺引流减轻腹水,输注白蛋白、利尿、抗血小板聚集、减轻尿蛋白等治疗。患者肝硬化原因不明、嗜酸性粒细胞增多,建议完善肝穿刺、骨穿刺、皮肤活组织检查(活检)明确病因,患者拒绝后自动出院。入院前1周患者四肢出现皮疹,伴瘙痒、腹胀、咳嗽、咳痰、气促,咳嗽时伴有腹部隐痛,双下肢水肿,遂再次收入我科。
体格检查:四肢可见密集分布可触及针尖至黄豆大小红色至紫红色瘀点、瘀斑,部分可融合成片,部分呈环形,边缘稍隆起,压之不褪色,未见糜烂渗出(图1AB)。双下肺闻及干啰音,未闻及湿啰音,心脏未及异常,腹部膨隆,全腹稍紧张,左中腹部压痛、反跳痛,肝脾肋下未触及,双下肢重度水肿,双足暗红色斑类套袜样改变。
图1 一例PBC合并EGPA患者治疗前后皮疹情况

注:A为治疗前手臂皮疹;B为治疗后手臂皮疹;C为治疗前左脚皮疹;D为治疗后双下肢皮疹。

既往史:2年前确诊“获得性免疫缺陷综合征”,予“富马酸替诺福韦二吡呋酯(TDF)、依非韦伦、拉米夫定”抗逆转录病毒(ART)治疗。

二、 实验室及辅助检查

血常规:白细胞9.8×109/L,中性粒细胞数6.17×109/L,嗜酸性粒细胞数0.9×109/L,中性粒细胞百分比9.2%,超敏CRP 113.59 mg/L。尿常规:蛋白(++),白细胞(+),隐血(+),24 h尿蛋白定量4.58 g。肝功能:ALT 50 U/L,AST 93 U/L,白蛋白13.6 g/L,GGT 315 U/L,ALP 441 U/L,总胆红素6.3 μmol/L,直接胆红素4.0 μmol/L。肾功能:尿素氮13.95 mmol/L,肌酐158 μmol/L,尿酸674 μmol/L。血脂:胆固醇3.88 mmol/L,甘油三酯1.19 mmol/L,HDL 0.5 mmol/L,LDL 2.13 mmol/L,脂蛋白449 mg/L,LDL/HDL 4.26。甲胎蛋白1.4 ng/mL,铁蛋白1 317 ng/mL,癌抗原125、糖类抗原19-9未见异常。免疫:IgG 44.2 g/L,IgA 5.34 g/L,IgM 2.08 g/L,补体C3 0.66 g/L,补体C4 0.22 g/L,抗核抗体 1∶1 000胞质型,AMA-M2亚型(AMA-M2)68.88 RU/mL,抗中性粒细胞胞质抗体-髓过氧化物酶(++)。CD4细胞数541×106/L,风湿四项(类风湿因子、ESR、CRP、抗链球菌溶血素O)均未见异常,HIV-1抗体阳性,HBsAg、甲型肝炎病毒抗体IgM、戊型肝炎病毒抗体IgM、丙型肝炎抗体、梅毒螺旋体抗体均阴性。
腹水常规:李凡他试验(+),白细胞数260×106/L,单核细胞80%,红细胞数3 000×106/L。腹水生化:白蛋白4.1 g/L,乳酸脱氢酶128 U/L,葡萄糖7.99 mmol/L,腺苷脱氨酶7.8 U/L。血培养、腹水培养、痰培养均未见细菌生长。
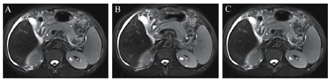
胸部CT与2022年5月16日的胸部CT比较:①双肺下叶少许炎症可能,较前新增,双肺散在纤维灶及慢性炎症,双肺肺气肿;②气管及左主支气管内少许痰栓;③双侧胸腔少量积液,较前积液稍减少。上腹部磁共振平扫+增强+磁共振胰胆管成像(图2):①肝脏强化欠均,延迟期多发小片状、结节状弱强化区,性质待定 ;②肝内少许淋巴瘀滞;③脾稍大?④胆囊炎征象;⑤腹腔少量积液,腹膜似呈小结节样改变;⑥腹腔、腹膜后多发小淋巴结显示;⑦胰腺增强扫描未见明显异常。
图2 一例PBC合并EGPA患者上腹部磁共振平扫+增强+磁共振胰胆管成像

注:A为上腹部磁共振平扫;B为上腹部磁共振增强扫描;C为磁共振胰胆管成像。

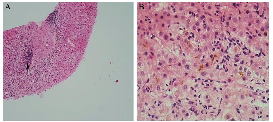
肝穿刺病理显示(图3):肝小叶结构保存,汇管区不同程度扩大,纤维组织增生,少至较多淋巴细胞、少量浆细胞、少许中性粒细胞浸润,局部淋巴细胞聚集,中度纤维化,可见胆小管损伤,部分汇管区与小动脉伴行的小胆管减少或缺失,小动脉未见扩张,门静脉有分支。肝细胞水肿,可见气球样及羽毛样变性肝细胞,少许嗜酸性病变,肝细胞见点状坏死,符合PBC。
图3 一例PBC合并EGPA患者的肝脏组织病理图

注:A为汇管区炎症,界面炎,淋巴细胞聚集(箭头所示),与小动脉伴行的小胆管减少或缺失;B为毛细胆管内胆栓(HE染色,×200)。

骨穿刺涂片:嗜酸性粒细胞增多,浆细胞易见。骨髓活检:骨髓造血细胞增生稍活跃,且嗜酸性粒细胞增多。流式细胞免疫:检测到嗜酸性粒细胞比例略增大。荧光原位杂交技术:康录生物FGFR1阴性。BCR-ABL融合基因p210型、p190型、p230型阴性。骨髓染色体:核型分析结果:46,XY。镜下分析20个中期分裂像,未见克隆数目及结构异常。

三、 诊疗经过

入院后予哌拉西林钠他唑巴坦钠抗感染,反复发热,白细胞、降钙素原升高,升级抗菌素为亚胺培南西司他丁钠(ICS)(2022年6月9日至20日),地塞米松磷酸钠注射液(2022年6月9日开始每日20 mg,每周减量2.5 mg)抗炎,同时予腹腔穿刺引流减轻腹水,补充白蛋白、利尿、抗过敏、护胃、补钙、平喘、止咳祛痰等治疗,停用ART。根据合并皮肤、肺部感染、肾脏等多器官损害达到EGPA诊断标准,肝穿刺活检PBC诊断明确,于2022年6月17日加用熊去氧胆酸胶囊(优思弗,UDCA),经治疗后复查血常规、肝功能变化(图4),患者四肢皮疹明显好转(图1CD),腹水减少、无双下肢水肿,11日后加用艾考恩丙替,好转后出院。出院后继续口服UDCA、醋酸泼尼松(每周减量1片,直至1片后长期口服)、艾考恩丙替,2022年10月18日至我科门诊随访,复查血常规、肝功能均恢复正常。
图4 一例PBC合并EGPA患者的血常规及肝功能变化

注:A为治疗前后白细胞及中性粒细胞变化;B为治疗前后前后中性粒细胞变化;C为治疗前后ALT、AST变化;D为治疗前后GGT及ALP变化;E为治疗前后白蛋白变化;F为治疗前后总胆红素及直接胆红素变化。

讨论

该患者以反复皮疹伴瘙痒为主要表现,大量腹腔积液,肺部感染,肾功能损害,发热,予抗感染治疗后症状明显好转,感染指标恢复正常。入院时患者存在皮肤损害,表现为四肢出现红色皮疹,初起为一小片,逐渐扩大,后中央区域先行消退,皮损呈环形,双足暗红色斑类套袜样改变,同时观察到患者嗜酸性粒细胞增多,当时考虑了ART药物过敏可能性大,立即停用了ART药物,同时予以激素抗炎、抗过敏等治疗,随着治疗皮疹逐渐消退,但嗜酸性粒细胞持续增多,在6月16日复查时达到最高,骨穿及活检结果排除了骨髓原因所致嗜酸性粒细胞增多,肝功能以ALP和GGT高为主,亦在2022年6月16日时达到最高。
根据2022年发布的《原发性胆汁性胆管炎的诊断和治疗指南(2021)》,该患者肝功能异常排除了病毒、酒精、药物等因素,肝功能异常以ALP和GGT升高为主,免疫学指标AMA-M2 阳性,上腹部磁共振平扫及增强、磁共振胰胆管成像未见肝内外胆管梗阻,肝脏病理符合PBC表现,符合诊断标准[1]。该患者在2022年6月16日时ALP及GGT升至最高,并出现胆汁淤积,于2022年6月17日加用UDCA,经治疗后复查ALP、GGT明显下降,嗜酸性粒细胞亦随之减少,出院后随访ALP、GGT及嗜酸性粒细胞数均恢复正常。该患者肝脏病理见肝细胞少许嗜酸性病变,嗜酸性粒细胞增多可能与PBC有关。目前关于PBC合并嗜酸性粒细胞增多机制不明,国外学者观察到PBC患者嗜酸性粒细胞增多先于ALP、GGT升高,提示嗜酸性粒细胞增多可能先于肝脏病理发现,这表明嗜酸性粒细胞参与PBC疾病早期过程,而Iwashita等[2]认为PBC患者嗜酸性粒细胞增多可能与IgG4有关。
UDCA是唯一被批准用于PBC患者的药物,可以延缓疾病进展,改善肝脏生物化学,有研究表明嗜酸性粒细胞越多,对UDCA治疗的反应越好,UDCA治疗降低了血液和肝脏中嗜酸性粒细胞,减少了组织嗜酸性粒细胞血清碱性蛋白和神经毒素的脱肉芽化,UDCA可能通过改变树突状细胞和局部细胞因子环境来抑制组织嗜酸性粒细胞增多[3-4]
嗜酸性粒细胞增多症是一组嗜酸性粒细胞持续增多,外周血嗜酸性粒细胞绝对值≥0.5×109/L或有组织浸润的疾病,分为原发、遗传、继发及特发。继发性嗜酸性粒细胞增多症常见原因有过敏、药物、感染等[5]。药物是引起继发性嗜酸性粒细胞增多症常见原因,常见药物有抗感染类药物、抗真菌药、免疫调节剂等[6]。文献报道,ART药物可引起嗜酸性粒细胞增多,而HIV感染本身也可导致患者嗜酸性粒细胞增多[7-8]。感染及药物均为继发性嗜酸性粒细胞增多的主要原因,但该患者在感染有效控制及停用ART药物后,经过激素治疗嗜酸性粒细胞仍持续增多,考虑感染及药物致其增多可能性小。
嗜酸性粒细胞增多可导致患者多器官损害,临床表现以皮肤受累最常见,其次为肺、胃肠道等,少数患者可出现心内膜炎[9]。越来越多的研究表明,嗜酸性粒细胞在自身免疫性疾病中起作用,如在PBC、EGPA中起作用[10]。该患者入院时有咳嗽、喘息等哮喘样症状,胸部CT见双肺散在纤维灶及慢性炎症、双肺气肿,胸腔及腹腔积液,有镜下血尿及蛋白尿,24 h尿蛋白定量4.58 g,皮肤见紫癜、环形皮肤损害,外周血嗜酸性粒细胞计数≥1×109/L,骨髓中嗜酸性粒细胞增多,根据文献[11] ACR/EULAR(2017)分类标准,该患者存在阻塞性气道疾病:+3分;外周血嗜酸性粒细胞计数≥1×109/L:+5分;骨髓中嗜酸性粒细胞增多:+2分;镜下血尿:-1分,总分数=9分即≥5分,可诊断为EGPA。该患者予以激素抗炎治疗后,皮损好转,肾功能、白蛋白、镜下血尿好转,24 h尿蛋白减少,但该患者经过激素治疗后嗜酸性粒细胞持续增多,在2022年6月16日达到最高,于2022年6月17日加用UDCA后嗜酸性粒细胞逐渐减少并恢复正常,考虑嗜酸性粒细胞同时参与了PBC及EGPA的发病过程。
该病例病情复杂,目前关于PBC伴EGPA病例报道少见,故特此报道该病例,对于肝功能损害原因不明,且合并嗜酸性粒细胞增多、肾功能损害、肺部感染,需考虑患者是否存在自身免疫性疾病可能。
[1]
中华医学会肝病学分会. 原发性胆汁性胆管炎的诊断和治疗指南(2021). 临床肝胆病杂志, 2022, 38(1): 35-41.

[2]
Iwashita H, Shakado S, Yasuda H, et al. A case of episodic angioedema with eosinophilia in an elderly woman with primary biliary cholangitis. Clin J Gastroenterol, 2021, 14(3): 836-841.

DOI PMID

[3]
Carey E J, Ali A H, Lindor K D. Primary biliary cirrhosis. Lancet, 2015, 386(10003): 1565-1575.

DOI PMID

[4]
Willart M A, van Nimwegen M, Grefhorst A, et al. Ursodeoxycholic acid suppresses eosinophilic airway inflammation by inhibiting the function of dendritic cells through the nuclear farnesoid X receptor. Allergy, 2012, 67(12): 1501-1510.

DOI PMID

[5]
中华医学会血液学分会白血病淋巴瘤学组. 嗜酸粒细胞增多症诊断与治疗中国专家共识(2017年版). 中华血液学杂志, 2017, 38(7): 561-565.

[6]
张凤芹, 董睿涵, 张惠兰. 药物引起的血嗜酸性粒细胞增多症. 中国实用内科杂志, 2021, 41(12): 1021-1025.

[7]
Al Mohajer M, Villarreal-Williams E, Andrade R A, et al. Eosinophilia and associated factors in a large cohort of patients infected with human immunodeficiency virus. South Med J, 2014, 107(9): 554-558.

DOI PMID

[8]
Brandariz D, Smithson A, Anton-Vazquez V. Drug reaction with eosinophilia and systemic symptoms related to antiretroviral treatment in human immunodeficiency virus patients. Indian J Sex Transm Dis AIDS, 2017, 38(2): 163-170.

DOI PMID

[9]
叶佳云, 覃丽君, 陈雪贞. 嗜酸性粒细胞增多症致Loffler心内膜炎一例. 新医学, 2021, 52(5): 385-388.

DOI

[10]
Diny N L, Rose N R, Čiháková D. Eosinophils in Autoimmune Diseases. Front Immunol, 2017, 8: 484.

DOI PMID

[11]
Robson J C, Grayson P C, Ponte C, et al. OP0021 Draft classification criteria for the anca associated vasculitides,June13-16, 2018. Amsterdam: Annual European Congress of Rheumatology, EULAR,2018.

Outlines

/