
Investigation of lipid-rich carcinoma of the breast
Received date: 2023-11-30
Online published: 2024-02-20
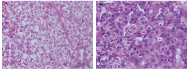
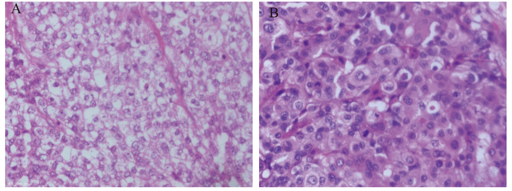
Lipid-rich carcinoma(LRC)of the breast was first described in 1963,and is now considered an invasive breast carcinoma of no special type(IBC-NST). Some researchers believe that the lipid content of cancer cells in LRC is secreted by ductal epithelial cells of the breast. The pathological features of LRC include hard texture,light yellow sections,unclear boundaries with surrounding tissues. LRC is generally considered an invasive phenotype of breast cancer,no consensus has been reached regarding treatment regimen and standard for LRC. Further follow-up studies will help to develop comprehensive treatment plans. In this article,the research process and development status of LRC were reviewed.
Gao Fangfang , Du Guankui , Wang Minjian , Fan Pingming . Investigation of lipid-rich carcinoma of the breast[J]. JOURNAL OF NEW MEDICINE, 2024 , 55(1) : 1 -4 . DOI: 10.3969/j.issn.0253-9802.2024.01.001

| [1] |
|
| [2] |
|
| [3] |
|
| [4] |
|
| [5] |
|
| [6] |
|
| [7] |
|
| [8] |
|
| [9] |
|
| [10] |
|
| [11] |
|
| [12] |
温爽, 刘天卿, 宗华凤, 等. 乳腺富于脂质癌临床病理分析[J]. 大连医科大学学报, 2018, 40(6): 537-541.
|
| [13] |
|
| [14] |
|
| [15] |
|
| [16] |
张炯炯, 沈海幸. 乳腺富于脂质癌1例[J]. 温州医科大学学报, 2023, 53(8): 671-673.
|
| [17] |
|
| [18] |
|
| [19] |
|
| [20] |
|
| [21] |
|
| [22] |
|
| [23] |
|
/
| 〈 |
|
〉 |