Special Topic on Breast Cancer-Case Research

Primary encapsulated papillary carcinoma of axillary accessory breast complicated with breast cancer: a case report

  • Huang Yingyin ,
  • Mei Yue ,
  • Guo Xinmin
Expand
  • Guangdong Medical University,Zhanjiang 524023,China
Guo Xinmin,E-mail:

Received date: 2023-06-30

  Online published: 2024-02-20

Abstract

Multiple primary carcinomas of primary encapsulated papillary carcinoma of axillary accessory breast complicated with breast cancer are extremely rare in clinical practice. Due to its low incidence and lacking of specific imaging and clinical manifestations,it is challenging to distinguish axillary accessory breast cancer from breast cancer lymph node metastasis and to the risk of misdiagnosis is high. In this article,a 61-year-old female patient was reported. She was admitted to our hospital due to a lump in the right axil for more than half a year. Ultrasound examination prompted the possibility of benign lesions,and surgical resection was performed for further diagnosis and treatment. Pathological biopsy confirmed the diagnosis of encapsulated papillary carcinoma of the right axillary accessory breast complicated with intraductal carcinoma. One month later,the patient found right breast nodule,and auxiliary examination indicated the risk of breast cancer. She was diagnosed with invasive breast cancer by pathological biopsy. Combined with the diagnosis and treatment experience of this case,literature review was also performed,aiming to improve the diagnosis and treatment of this disease.

Cite this article

Huang Yingyin , Mei Yue , Guo Xinmin . Primary encapsulated papillary carcinoma of axillary accessory breast complicated with breast cancer: a case report[J]. JOURNAL OF NEW MEDICINE, 2024 , 55(1) : 26 -29 . DOI: 10.3969/j.issn.0253-9802.2024.01.005

欢迎扫码观看 文章视频简介
多原发癌(MPC)指同一患者的单个或多个器官、组织同时或先后发生2种或以上的原发恶性肿瘤[1]。MPC往往发病隐匿,临床表现不典型,且可表现为异时癌,易与原发癌转移相混淆。有研究者指出MPC的发病率为0.73%~11.7%[2]。其中,原发性腋窝副乳腺包裹性乳头状癌合并乳腺癌极为罕见,临床上容易将腋窝副乳腺癌误诊为乳腺癌淋巴结转移。本文报道1例原发性副乳腺包裹性乳头状癌合并乳腺癌患者的诊治经过,以提高临床医师的诊治水平。

病例资料

一、主诉及现病史

患者女,61岁。因“发现右侧腋窝肿物半年余”于2023年1月10日至广东医科大学广州市红十字会医院就诊。患者半年前偶然扪及右侧腋窝肿物,大小约5 mm×5 mm,患者当时未予以重视,未接受诊治。1个月前,患者自觉肿物较前增大,遂至本院就诊。体格检查:右侧腋窝可触及一直径约10 mm肿物,边界清、质韧、活动度差,局部无明显红肿及波动感,无压痛。双侧乳房无疼痛、红肿、破溃,无乳头溢液。双侧腋下、锁骨上未触及肿大淋巴结。患者既往身体健康,个人史及家族史无特殊。

二、实验室及辅助检查

血常规、癌胚抗原、糖类抗原19-9、糖类抗原125、肝肾功能和凝血功能未见异常。
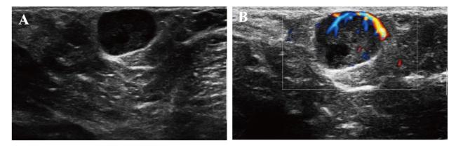
彩色多普勒超声(彩超):右侧腋窝皮下见一混合回声结节,大小约13 mm×10 mm,形状呈椭圆形,边界清,结节内部以低回声为主,可见片状无回声区,后方回声增强(图1A);彩色多普勒血流显像(CDFI):结节周边见条状血流信号,结节内血流Adler分级为Ⅲ级血流(图1B),并可探及动脉频谱,收缩期峰值速度(PSV)4.71 cm/s,血管阻力指数(RI)0.43;双侧乳腺及左侧腋窝区未见明显异常回声,考虑右侧腋窝皮下表皮样囊肿并感染可能。乳腺钼靶:双乳呈透亮脂肪型,乳晕后区可见少许条索状、类结节状致密阴影,双乳未见明显肿块;双乳晕、乳头和皮肤未见异常;右腋下见一稍大淋巴结影,大小约12 mm×11 mm,左腋下未见肿大淋巴结影(钼靶检查对乳腺肿物观察有一定的优势,但由于视野受限,无法充分暴露腋窝区,故对腋窝区病变观察有一定的局限性。此次钼靶检查未发现右侧腋窝肿物,有可能是由于肿物位置靠后、超出检查仪器识别区域的原因)。初步诊断:①双乳呈脂肪型,增生改变;②右腋下淋巴结反应性增生。
图1 一例副乳腺包裹性乳头状癌合并乳腺癌患者右侧腋窝区彩超图

注:A 为超声二维图像,右侧腋窝皮下见一混合回声结节,形状呈椭圆形、边界清,结节内部以低回声为主,后方回声增强、内壁光滑;B 为CDFI图像,结节内部可探及丰富血流信号。

三、治疗及预后

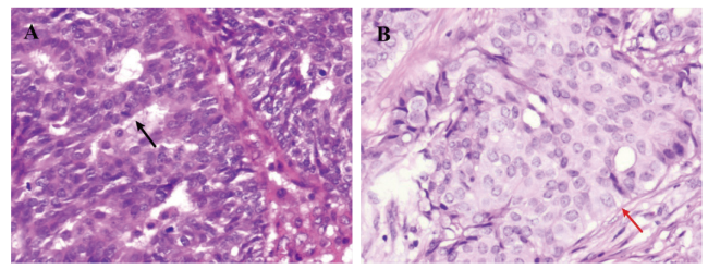
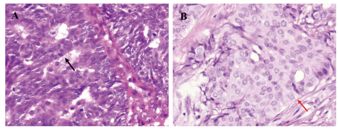
患者于2023年2月9日在门诊接受右侧腋窝肿物切除术。术后病理活组织检查(活检):肿物呈囊壁样,囊内见异型肿瘤细胞围绕纤维血管轴心呈乳头状生长,局部异型上皮呈筛状排列,异型上皮核深染嗜碱性(图2)。免疫组织化学检查:异型上皮雌激素受体(ER,约95%+),孕激素受体(PR,约95%+),雄激素受体(AR,约95%+),囊泡病液体蛋白-15(灶+),癌胚抗原(-),上皮膜抗原(+),P63(肌上皮-),细胞角蛋白(CK)5/6(-),CK-H(-),CK-L(),S100(-),P53(约20%+),增殖指数Ki-67(热点区域约40%+)。活检及免疫组织化学检查结果提示“右侧腋窝肿物”形态符合乳腺包裹性乳头状癌伴导管内癌。结合肿瘤发生部位及活检结果诊断右侧腋窝肿物为右侧副乳腺来源的肿瘤。
图2 (HE染色,×200)

注:A为副乳腺包裹性乳头状癌,局部异型上皮呈筛状排列,异型上皮核深染嗜碱性(黑箭头所示);B为乳腺浸润性导管癌,可见成团巢状肿瘤细胞浸润,瘤细胞异型性较明显(红箭头所示)。

1个月后患者因扪及右侧乳房外侧肿物至本院就诊,超声、CT、MRI影像学检查均提示右侧乳腺9点钟方向有一结节,大小约13 mm×9 mm,形态不规则,边缘毛糙,有短毛刺,CT及MRI增强扫描示结节呈不均匀强化,考虑为右侧乳腺癌。排除手术禁忌证后,在全身麻醉下对患者实施右侧乳腺开放性组织活检术+右侧乳腺癌根治性切除术(右侧腋窝前哨淋巴结活检术+右侧乳腺癌保乳手术+右侧腋下副乳腺切除术)+右侧乳腺腺体瓣成形术。术中快速冰冻切片:①乳腺浸润性癌,切缘未见癌组织残留;右侧腋窝前哨淋巴结未见癌转移(0/6)。②腋下乳腺组织内见原位癌残留(直径4 mm),癌灶位于原残腔处。故再次扩大切除腋下残腔周围组织送检,结果示未见癌组织。术后活检结果回报:右侧乳腺浸润性导管癌、Ⅰ级。免疫组织化学检查:ER(95%+),PR(10%+),HER-2(1+),小鼠E钙黏着蛋白/上皮性钙黏附蛋白(+),P120(膜+),Ki-67(热点区20%+)。HER-2光原位杂交技术检测结果(-)。右侧腋下组织活检:镜下见散在多灶乳腺低级别导管原位癌。
患者术后予常规处理。一般情况尚可,于术后3 d出院。根据术后活检及免疫组织化学检查结果,患者有化学治疗指征,予以多西他赛(115 mg)+环磷酰胺(950 mg)方案。2023年5月随访显示患者伤口愈合良好,未见肿瘤复发转移,目前仍在继续随访中。

讨论

副乳腺是乳腺正常胚胎发育后的残留组织,最常见的发生部位是腋窝[3]。因副乳腺与正常乳腺组织来源相同,其受激素影响和病理改变也与正常乳腺相同,同样可发生增生、囊肿、导管扩张、纤维腺瘤、导管内乳头状瘤,甚至副乳腺癌[4]。原发性副乳腺癌发生率仅占所有乳腺癌的0.3%~0.6%[5]。乳腺包裹性乳头状癌是一种相对罕见的特殊类型乳腺癌,好发于绝经后的中老年女性,临床症状不典型,患者往往因无痛性乳腺肿块就诊,主要依据术后活检确诊[6]。尽管对于乳腺包裹性乳头状癌属于乳腺原位癌还是特殊性浸润性癌尚有争议,但学者们普遍认为它是一种低风险癌,总体预后良好[7]。副乳腺包裹性乳头状癌因其发生部位特殊及临床症状不典型,容易被误诊为腋下其他更常见的病变,如乳腺癌淋巴结转移、脂肪瘤、炎症或脓肿。本例患者偶然发现右侧腋窝区无痛性包块,因肿块紧贴腋窝皮肤层,影像学提示肿块周围未见明显与乳腺相延续的腺体组织,且患者无乳腺疾病病史,故被误诊为腋窝感染性病变。
超声检查是用于评估副乳腺病变的主要影像学检查方法[8]。回顾性分析本例超声的声像图发现右侧腋窝处皮下脂肪层局部增厚,边界欠清晰,回声不均匀,强弱相间,可见多个条索状高回声,无包膜回声,提示存在副乳腺可能,在此结构中可见血流丰富的囊实性结节,且无明显红肿压痛的临床表现,符合文献报道的乳腺包裹性乳头状癌声像图表现,提示右侧腋窝占位性病变是来源于副乳腺的乳腺包裹性乳头状癌可能性大[9]。需要注意的是因老年患者的腺体萎缩、脂肪化,副乳腺不易被发现,发现腋窝区病变时,要从多切面、多角度扫查明确病变是否存在副乳腺声像图特征。当腋窝副乳腺内出现单发无痛性囊实性肿块,壁厚且壁内面光滑连续,附壁乳头状低回声结节突起,后方回声增强,实性成分有丰富血流信号时,应考虑副乳腺包裹性乳头状癌可能。若患者合并乳腺癌时,需注意与乳腺癌淋巴结转移相鉴别。乳腺癌淋巴结转移可见部分髓质结构,边界模糊,伴有微小钙化。当淋巴结几乎被肿瘤细胞取代、淋巴结结构无法区分时,可通过邻近结构或周围乳腺组织进行鉴别。淋巴结与腋窝血管相邻,沿着血管走行的方向分布,即存在“血管伴行征”,而副乳腺包裹性乳头状癌位于副乳腺组织内,靠近皮下脂肪层。
目前尚无针对副乳腺癌合并乳腺癌多原发癌的治疗指南,一般按照乳腺癌治疗指南进行[10-11]。乳腺包裹性乳头状癌总体预后较好,局部复发率较低,治疗方式以手术切除为主[12]。有部分学者认为腋窝淋巴组织及血液循环丰富,癌的扩散和转移可能发生更早,建议切除肿瘤与周围组织,以及进行同侧腋窝淋巴结清扫的扩大切除术[13]。本例患者腋下腺体周围组织切缘未见癌组织,同侧乳腺癌分期为T1N0M0,且无前哨淋巴结转移,根据2021年版的中国抗癌协会乳腺癌诊治指南与规范,予以右侧腋下副乳腺切除术及右侧乳腺癌保乳手术[14]。结合活检和免疫组织化学检查,术后继续予以化学治疗。
综上所述,副乳腺包裹性乳头状癌合并乳腺癌罕见,且其临床症状缺乏特异性,临床诊断有一定难度,应结合影像学检查进行综合诊断。通过超声检查对肿物大小、形态、血流与周围组织位置关系等特征的描述进行鉴别,有助于提高疾病的确诊率。当出现腋窝肿块合并乳腺病变时,应注意腋窝副乳腺疾病与淋巴结转移的区别,以避免延误诊治。
[1]
Copur M S, Manapuram S. Multiple primary tumors over a lifetime[J]. Oncology, 2019, 33(7): 629384.

[2]
De Luca A, Frusone F, Vergine M, et al. Breast cancer and multiple primary malignant tumors: case report and review of the literature[J]. In Vivo, 2019, 33(4): 1313-1324.

DOI PMID

[3]
Lee S R, Park J Y. Clinical characteristics and treatment of chest submammary accessory breasts[J]. J Plast Reconstr Aesthetic Surg, 2022, 75(6): 1858-1860.

DOI

[4]
Lee S R, Lee S G, Byun G Y, et al. Axillary accessory breast: optimal time for operation[J]. Aesthetic Plast Surg, 2018, 42(5): 1231-1243.

DOI PMID

[5]
Sikdar O, Roy M, Al-Ishaq Z, et al. A rare case of primary carcinoma of axillary accessory breast tissue[J]. J Surg Case Rep, 2021, 2021(10): rjab473.

DOI

[6]
Ahmad N, Shantini A A, Rizuana I H, et al. Encapsulated papillary carcinoma: a rare case report and its imaging features[J]. Diagnostics, 2022, 12(9): 2098.

DOI

[7]
Steponavičienė L, Gudavičienė D, Briedienė R, et al. Diagnosis, treatment, and outcomes of encapsulated papillary carcinoma: a single institution experience[J]. Acta Med Litu, 2018, 25(2): 66-75.

DOI PMID

[8]
左艳玲, 何广敏, 李涛, 等. 高频超声彩色像素密度在BI-RADS 4类乳腺肿块鉴别诊断中的价值[J]. 新医学, 2022, 53(6): 431-435.

DOI

Zuo Y L, He G M, Li T, et al. The value of high-frequency ultrasonic color pixel density in differential diagnosis of BI-RADS 4 breast masses[J]. J New Med, 2022, 53(6): 431-435.

[9]
孙怀玉, 张利霞, 陈曦, 等. 彩色多普勒超声对乳腺包裹性乳头状癌的诊断价值[J]. 影像研究与医学应用, 2022, 6(16): 65-67.

Sun H Y, Zhang L X, Chen X, et al. The value of color Doppler ultrasound in the diagnosis of breast encapsulated papillary carcinoma[J]. J Imag Res Med Appl, 2022, 6(16): 65-67.

[10]
Addae J K, Genuit T, Colletta J, et al. Case of second primary breast cancer in ectopic breast tissue and review of the literature[J]. BMJ Case Rep, 2021, 14(4): e241361.

DOI

[11]
Oh S W, Lim H S, Lee J S, et al. Invasive micropapillary carcinoma in axillary ectopic breast and synchronous ductal carcinoma In situ in the contralateral breast[J]. J Breast Cancer, 2017, 20(3): 314.

DOI

[12]
Zhang J, Zhang W, Min M, et al. Axillary accessory breast cancer with persistent leftsuperior vena cava: a case report and treatment controversy[J]. Int J Surg Case Rep, 2020, 73: 71-74.

DOI

[13]
Pang L, Cui M, Dai W, et al. Diagnosis and treatment of male accessory breast cancer: a comprehensive systematic review[J]. Front Oncol, 2021, 11: 640000.

DOI

[14]
中国抗癌协会乳腺癌专业委员会. 中国抗癌协会乳腺癌诊治指南与规范(2021年版)[J]. 中国癌症杂志, 2021, 31(10): 954-1040.

Breast Cancer Professional Committee of Chinese Anti-Cancer Association. Guidelines and norms for diagnosis and treatment of breast cancer of China Anti-Cancer Association (2021 edition)[J]. China Oncol, 2021, 31(10): 954-1040.

Outlines

/