Original Research

Diagnostic efficacy of Ovarian-Adnexal Reporting and Data System combined with contrast-enhanced ultrasound: analysis of 123 adnexal masses

  • HUA Rong , 1 ,
  • HU Haiyun 1 ,
  • ZHU Yunxiao 2 ,
  • LI Qingying 2 ,
  • YUAN Kun , 2
Expand
  • 1. Department of Ultrasound, the University of Hong Kong - Shenzhen Hospital, Shenzhen 518000, China
  • 2. Department of Ultrasound, the Seventh Affiliated Hospital of SUN Yat-sen University, Shenzhen 518107, China
YUAN Kun, E-mail:

Received date: 2024-02-01

  Online published: 2025-02-27

Abstract

Objective To assess the diagnostic performance and inter-observer agreement of the Ovarian-Adnexal Reporting and Data System ultrasound (O-RADS) combined with contrast-enhanced ultrasound (CEUS). Methods Clinicopathological data of 123 adnexal lesions from 123 patients admitted to the University of Hong Kong-Shenzhen Hospital and the Seventh Affiliated Hospital of Sun Yat-sen University from July 2021 to December 2023 were collected. Each lesion was subject to CEUS before surgery. Each lesion was assigned to an O-RADS US category with histopathological results as the gold standard. The CEUS features of each lesion were recorded and used to calculate the total CEUS scores. Lesions were then re-rated according to O-RADS plus CEUS scores. Kappa (κ) statistics were applied to assess inter-observer agreement between a less experienced and an expert radiologist. Results Of the 123 adnexal lesions, 94 were benign and 29 were malignant. The malignancy rates of O-RADS 5, O-RADS 4 and O-RADS 3 lesions were 81.25%, 20.83% and 2.86%, respectively. The malignancy rates of O-RADS+CEUS 5, O-RADS+CEUS 4, O-RADS+CEUS 3 and O-RADS+CEUS 2 lesions were 75%, 21.74%, 0% and 0%, respectively. The area under the receiver operating characteristic (ROC) curve (AUC) of two observers were 0.791 (95% CI 0.891-0.976) and 0.934 (95% CI 0.697-0.886), respectively. The diagnostic performance of O-RADS plus CEUS was higher than that of O-RADS alone (P = 0.0004). Taking ≥ O-RADS 4 as the cut-off value for malignant lesions, the sensitivity and specificity of O-RADS and O-RADS+CEUS were 0.966 (95% CI, 0.822-0.999) and 0.362 (95% CI 0.265-0.467), 1.000 (95% CI 0.881-1.000) and 0.723 (95% CI 0.622-0.811), respectively. The inter-observer agreement between a less experienced and an expert radiologist of O-RADS and CEUS features were good or very good (κ 0.668-0.840). Conclusions Compared with O-RADS, O-RADS plus CEUS shows better diagnostic specificity for malignant adnexal lesions. The inter-observer agreement between a less experienced and an expert radiologist of O-RADS and CEUS features is good.

Cite this article

HUA Rong , HU Haiyun , ZHU Yunxiao , LI Qingying , YUAN Kun . Diagnostic efficacy of Ovarian-Adnexal Reporting and Data System combined with contrast-enhanced ultrasound: analysis of 123 adnexal masses[J]. JOURNAL OF NEW MEDICINE, 2025 , 56(1) : 75 -82 . DOI: 10.12464/j.issn.0253-9802.2024-0030

卵巢附件肿块的术前评估对后续治疗和预后非常重要。疑似恶性病变的患者应转诊到妇科肿瘤科医师以寻求适当的治疗方案,而良性病变的患者可进行随访或保守治疗[1-4]。超声是诊断卵巢和附件病变最常用的方式[5-6]。美国放射学会(American College of Radiology,ACR)卵巢附件报告和数据系统(Ovarian-Adnexal Reporting and Data System,O-RADS)超声委员会发布了美国卵巢附件报告词汇白皮书[7-9]。它向大众提供了一个标准化的词汇,并定义了6种风险分类,包括O-RADS 0类(不能完全评估)、O-RADS 1类[生理类(正常绝经前卵巢)]、O-RADS 2类[几乎可以肯定为良性(恶性风险<1%)]、O-RADS 3类[恶性风险低(1%~<10%)]、O-RADS 4类[恶性风险中等(10%~<50%)]、O-RADS 5类[恶性风险高(≥50%)]。这个分类系统对恶性病变的诊断灵敏度高,但是特异度较低[10]。笔者也注意到Yuan等[11]利用超声造影(contrast-enhanced ultrasound,CEUS)结合O-RADS危险分层的方法提高恶性病变的诊断特异度。因此,本研究的目的是验证CEUS结合O-RADS危险分层的诊断效能,以及经验较少的超声医师和经验较丰富的超声医师之间的观察者间一致性。

1 对象与方法

1.1 研究对象

采用回顾性研究,选择2021年7月至2023年12月在香港大学深圳医院和中山大学附属第七医院检查发现的123例卵巢附件肿块患者,年龄17~84岁。病例纳入标准:①卵巢附件肿块的超声诊断分类为O-RADS 3、4、5;②尿妊娠试验阴性;③病变与子宫肌层可在同一平面显示;④术前进行超声造影检查;⑤超声检查后1个月内获得组织病理学结果。排除标准:曾接受化学治疗(化疗)或放射治疗(放疗)者。研究方案分别通过香港大学深圳医院伦理委员会(批件号:KY-2022-083-02)和中山大学附属第七医院伦理委员会(批件号:伦〔2024 〕113)批准,纳入患者已签署知情同意书。

1.2 超声及超声造影检查

所有造影病例均由经验丰富(从事妇科超声工作>10年)的超声医师进行。应用美国通用Volusion 8Expert或荷兰飞利浦EPIQ7医疗超声设备进行普通超声检查,其中美国通用Volusion 8Expert使用5~9 MHz的RIC5-9D探头和1~5 MHz的C1-5D探头,荷兰飞利浦EPIQ7使用3~10 MHz的C10-3v探头和1~5 MHz的C5-1探头。选用迈瑞公司超声诊断仪Resona 70B超声造影,使用1~6 MHz的SC6-1U探头和3~11 MHz的V11-3HU探头。每次检查时均对检查条件进行优化设置,如深度、增益、焦点、时间增益补偿、动态范围、彩色血流等。记录病变的位置、大小、内部回声、边缘和腹水等情况。如果1例患者发现了多个病变,则计入分类等级最高的1个;如果多个病变属于同一类别,则计入测量径线最大的肿块。然后根据病变的位置、深度等选择显示条件最佳的切面及方式(经腹或经阴道)进行超声造影检查。造影剂注射选择肘部静脉,配置造影剂(Sonovue,Bracco,意大利)后抽取2.4 mL以于肘静脉团注,同时开始超声造影计时。注射后观察目标病变约3 min。整个动态扫查图像被记录下来,并被保存以供进一步分析。记录肿块增强时间、增强强度、动脉期是否快速强化及静脉期是否快速消退等超声造影特征,以正常的子宫肌层作为参照。

1.3 图像分析

所有超声图像由2名超声医师(1名有20年妇科超声经验,1名有5年妇科超声经验)独立判读,其对患者的临床资料和最终病理结果并不知情。根据O-RADS风险分层和管理系统,将每个肿块进行O-RADS分类。所有肿块均有手术或活组织检查(活检)样本中获得的明确的组织病理学诊断并以此为金标准,分为良性肿块组(良性组)和恶性肿块组(恶性组)。
超声造影研究的动态视频由前述2名超声医师(从事妇科超声造影工作的时间分别为5年和3年)离线分析。超声造影研究的目的是观察肿块内实性/类实性成分或不规则内壁的增强特征,对于不含任何实性成分的单房或多房囊肿,则分析分隔和囊壁的增强特征。肿块的初始增强时间分为比肌层早或同时和晚增强。与肌层相比,肿块的增强强度分为无增强、低增强、等或高增强,对于不均匀增强肿块,增强强度选择为肿块增强最高的区域。肿块的快速强化指观察动脉期肿块的增强速度比子宫肌层快,消退则是观察静脉期肿块的消退速度比肌层快。观察并记录肿块上述增强特征。

1.4 联合CEUS的O-RADS分类

超声造影特征分别按如下标准进行赋分:肿块的造影剂到达时间早于或等于子宫肌层计2分,造影剂到达时间晚于子宫肌层计1分,肿块的增强强度高于或等于子宫肌层计2分,增强强度低于子宫肌层计1分,肿块在静脉期有快速消退计1分,共5分。当超声造影积分大于3分,O-RADS分类在原有基础上升1级(最高仍为5级),超声造影积分小于3分则降1级,积分等于3分则维持原来O-RADS分类不变。见图1
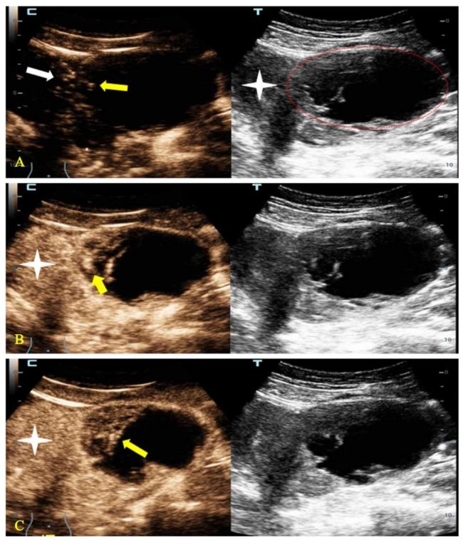
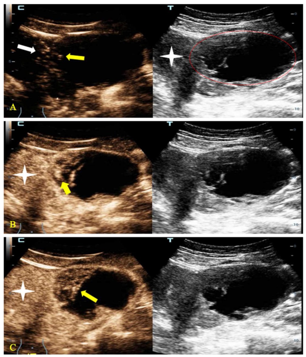
图1 一例35岁高级别卵巢囊腺癌患者的超声检查示例图

注:A~C中,左方为超声造影图,右方为同一平面的超声图。A图显示子宫左侧一个O-RADS 4类的囊实性肿块(红色线条区),超声造影图显示肿块内造影剂到达时间(黄色箭头)与子宫肌层造影剂到达时间(白色箭头)基本相同。B图显示动脉期肿块内部增强最强区域(黄色箭头)要高于子宫肌层(星号)。C图显示消退期肿块(黄色箭头)与子宫肌层(星号)相比有消退。该肿块因超声造影积分为5分而升级其风险分层至O-RADS 5类。

Figure 1 Example of ultrasound examination in a 35-year-old patient with high-grade ovarian cystadenocarcinoma

1.5 研究方法

记录患者卵巢附件肿块的性质和病理类型,对比卵巢附件肿块恶性组与良性组的一般资料和超声造影特征,比较受试者操作特征(receiver operating characteristic curve,ROC)曲线分析O-RADS+CEUS与O-RADS对恶性肿瘤的诊断效能,并分析2名超声医师的观察者间一致性。

1.6 统计学方法

采用SPSS 26.0分析数据。非正态分布连续变量采用M(P25,P75)表示,组间比较采用秩和检验。分类变量采用n(%)表示,组间比较采用χ 2检验。使用DeLong检验比较O-RADS与O-RADS+CEUS的诊断效能。Kappa(κ)检验用于评估O-RADS风险分层和超声造影特征结果的观察者之间的一致性。κ值的解释如下:0.01~0.20为一致性差,0.21~0.40为一致性较差,0.41~0.60为一致性中等,0.61~0.80为一致性良好,0.81~1.00为一致性非常好。双侧P < 0.05为差异有统计学意义。

2 结果

2.1 123例卵巢附件肿块的病理类型分布

共纳入123例卵巢附件肿块,其中恶性29例(29/123,23.6%)、良性94例(94/123,76.4%),所有肿块的病理类型分布见表1
表1 123例卵巢附件肿块的病理类型分布

Table 1 Pathological distribution of 123 cases of ovarian adnexal masses

病理类型(良性) 肿块/n(%) 病理类型(恶性) 肿块/n(%)
卵巢囊腺瘤 46(48.9) 卵巢囊腺癌 13(44.8)
成熟畸胎瘤 23(24.4) 交界性囊腺瘤 10(34.5)
内膜异位囊肿 15(16.0) 子宫内膜样腺癌 2(6.9)
卵巢纤维瘤 5(5.3) 未成熟畸胎瘤 1(3.4)
卵泡膜纤维瘤 2(2.1) 卵巢癌肉瘤 1(3.4)
卵巢囊肿 3(3.2) 卵巢颗粒细胞瘤 1(3.4)
卵巢无性细胞瘤 1(3.4)
总计 94(100) 总计 29(100)

2.2 卵巢附件肿块恶性组与良性组的一般资料比较

良性组与恶性组患者年龄比较差异无统计学意义(P = 0.102);恶性肿块更常见于绝经后女性(P = 0.013),其最大径较良性肿块大(P = 0.032),恶性组中出现腹水者比例高于良性组(P < 0.001),组间O-RADS分类比较差异也有统计学意义(P < 0.001)。见表2
表2 卵巢附件肿块恶性组与良性组的一般资料比较

Table 2 General information comparison between malignant and benign groups of ovarian adnexal masses

一般资料 恶性组(n=29) 良性组(n=94) χ ²/ Z P
年龄/岁 42(34,53) 37(32,44) 1.637 0.102
绝经/n(%) 10(34.5) 13(13.8) 6.218 0.013
肿块最大径/cm 8.0(6.0,10.9) 6.0(4.0,10.1) 2.141 0.032
腹水/n(%) 15/29(51.7) 7/94(7.4) 29.584 <0.001
O-RADS分类/n(%) 38.176 <0.001
3 1(3.4) 34(36.2)
4 15(51.7) 57(60.6)
5 13(44.8) 3(3.2)

2.3 卵巢附件肿块恶性组与良性组的超声造影特征比较

卵巢附件肿块良性组与恶性组在开始增强时间、增强峰值强度、动脉期快速增强和静脉期快速消退指标比较差异均有统计学意义(均P < 0.001)。见表3
表3 卵巢附件肿块恶性组与良性组的超声造影特征比较

Table 3 Comparison of contrast-enhanced ultrasound characteristics between malignant and benign groups of ovarian adnexal masses

超声造影特征 恶性组(n=29) 良性组(n=94) χ 2 P
增强时间/n(%) 47.738 < 0.001
等或早于子宫肌层 25(86.2) 16(17.0)
晚于子宫肌层 4(13.8) 78(83.0)
增强强度/n(%) 26.434 < 0.001
等或高于子宫肌层 22(75.9) 20(21.3)
低于子宫肌层 7(24.1) 51(54.3)
无增强 0(0) 23(24.5)
造影增强是否快进/n(%) 68.170 < 0.001
21(72.4) 4(4.3)
8(27.6) 90(95.7)
造影增强是否快退/n(%) 51.659 < 0.001
22(75.9) 9(9.6)
7(24.1) 85(90.4)

2.4 O-RADS+CEUS与O-RADS对恶性肿瘤的诊断效能比较

根据O-RADS+CEUS分类和O-RADS分类绘制诊断恶性肿瘤的ROC曲线,其曲线下面积(area under curve,AUC)分别为0.934(95% CI为0.891~0.976)和0.791(95% CI为0.697~0.886),两者比较差异有统计学意义(P < 0.001),O-RADS+CEUS的诊断效能优于O-RADS,见图2。O-RADS+CEUS诊断恶性肿瘤的最佳截断值为分类≥ 4类,其诊断灵敏度、特异度、阳性预测值和阴性预测值分别为1.000(95% CI为0.881~1.000)、0.723(95% CI为0.622~0.811)、0.527(95% CI为0.419~0.620)和1.000(95% CI为0.944~1.000);O-RADS诊断恶性肿瘤的最佳截断值也为分类≥ 4类,其灵敏度、特异度、阳性预测值和阴性预测值分别为0.966(95% CI为0.822~0.999)、0.362(95% CI为0.265~0.467)、0.318(95% CI为0.257~0.367)和0.971(95% CI为0.828~0.999)。与O-RADS相比,O-RADS+CEUS提高了卵巢附件恶性肿瘤的诊断特异度。
图2 O-RADS+CEUS与O-RADS诊断恶性肿瘤的ROC曲线对比

Figure 2 Comparison of ROC curves for O-RADS+CEUS and O-RADS diagnosis of malignant tumors

2.5 观察者间一致性分析

O-RADS分类(κ = 0.840)和造影增强时间(κ = 0.821)在观察者间的一致性非常好,造影增强强度(κ = 0.795)、动脉期快速增强(κ = 0.668)和静脉期快速消退(κ = 0.704)的观察者间一致性良好。见表4
表4 观察者间一致性结果

Table 4 Results of inter observer consistency

观察者2结果 观察者1结果 κ
O-RADS 3 O-RADS 4 O-RADS 5
O-RADS分类/n(%) O-RADS 3 32(26.0) 4(3.3) 0(0)
O-RADS 4 2(1.6) 67(54.5) 3(2.4) 0.840
O-RADS 5 1(0.8) 1(0.8) 13(10.6)
早或等于子宫肌层 晚于子宫肌层
增强时间/n(%) 早或等于子宫肌层 38(30.9) 7(5.7) 0.821
晚于子宫肌层 3(2.4) 75(61.0)
等或高于子宫肌层 低于子宫肌层 无增强
增强强度/n(%) 等或高于子宫肌层 38(30.9) 5(4.1) 0(0)
低于子宫肌层 6(4.9) 51(41.5) 3(2.4) 0.795
无增强 0(0) 2(1.6) 20(16.3)
动脉期快速增强/n(%) 20(16.3) 9(7.3) 0.668
5(4.1) 89(72.4)
是否快速消退/n(%) 25(20.3) 8(6.5) 0.704
6(4.9) 84(68.3)

3 讨论

O-RADS超声分类是根据超声特征对卵巢附件肿块进行风险分层[12-13]。其极大方便了超声医师、临床医师和患者之间的沟通。这种风险分层的应用和验证也正在全球其他地区得到证实[10,14 -17]。卵巢癌的病死率居妇科恶性肿瘤之首,早期诊断对其治疗及预后有重要影响[18-20]。O-RADS分类对卵巢附件恶性肿块具有很高的诊断灵敏度,但随之而来的是低特异度。如本研究选取诊断恶性肿瘤的截断值为分类≥ O-RADS 4类,其灵敏度和特异度分别为0.966(95% CI为0.822~0.999)和0.361(95% CI为0.265~0.467),虽然灵敏度高可以避免恶性肿瘤的漏诊,但较低的特异度可能导致很多良性肿块被当成恶性肿瘤而过度治疗。超声造影的应用则有可能解决O-RADS分类对卵巢附件恶性肿块诊断特异性低的难题[21-27]。Yuan等[11]的研究中采用了一种独特的超声造影积分结合O-RADS分类的方式,这种结合提高了恶性肿块的诊断特异度。其将3个超声造影特征赋予不同分值,如肿块的造影剂到达时间早于或等于子宫肌层计2分,造影剂到达时间晚于子宫肌层计1分,肿块的增强强度高于或等于子宫肌层计2分,增强强度低于子宫肌层计1分,肿块在静脉期有快速消退计1分,总计共5分。当超声造影积分大于3分,O-RADS分类在原有基础上升一级(最高仍为5级),超声造影积分小于3分则降一级,积分等于3分则维持原来O-RADS分类不变。本研究采用结合超声造影积分和O-RADS分类的方法,如图1所示病例,造影前该卵巢附件肿块判定为O-RADS 4类,造影后肿块造影积分为5分,升级肿块风险分层至O-RADS 5类。本研究中,造影前O-RADS 4类肿块中共有15例恶性肿块和57例良性肿块,完成超声造影检查后计算积分,15例恶性肿块中的11例正确地升级到O-RADS 5类,而57例良性肿块中的33例正确地降级至O-RADS 3类。若同样选择预测恶性肿瘤的截断值分类≥ O-RADS 4类,其灵敏度和特异度分别为1.000(95% CI为0.881~1.000)和0.723(95% CI为0.622~0.811),这种结合超声造影和O-RADS分类的方法提高了卵巢附件恶性肿块的诊断特异度。
笔者在本研究中还发现动脉期快速增强这一个超声造影指标也具有鉴别卵巢附件肿块良恶性的价值,这与Lu等[24]的研究一致,而这项超声造影指标并没有在Yuan等[11]的研究中提及。笔者认为这一特征性造影指标不应被忽视,而是应该将其纳入造影积分,或许可以进一步提高恶性肿块的诊断特异度。另外有研究发现,卵巢交界性肿块的超声造影因兼具良性肿块和恶性肿块的特征而难以与卵巢良性肿块和恶性肿块截然区分[28-31],因此患者的临床特征、血清肿瘤标志物的水平、二维超声图像特征以及超声造影特征等多模态联合的方式可能有助提高诊断效能。
本研究的另一个目的是分析2名不同年资的从事妇产超声方向的医师对O-RADS分类以及超声造影指标的观察者间一致性。结果表明低年资的超声医师在病变的描述分类以及造影指标的描述与资深的超声医师一致性良好。有研究表明,专家级别的超声医师能较好地鉴别卵巢附件肿块良恶性,而专家级别的医师是紧缺的,因此对评估指标的一致性显得非常重要,尤其是判断上述指标是基于主观评估[6]。在分析过程中,笔者注意到2名医师主观评估的细微差别并没有导致最终结果的差异,低年资的医师会对少数病例的图像判断存有疑惑,为了避免漏诊,经验较少的医师可能更倾向将其划分到中至高风险组,但就结果而言两者的诊断是一致的。
本研究的局限性在于仅为对存储图像的回顾性分析,而并非实时检查的动态评估,这可能会导致对图像解读和认识不全面,进而导致对O-RADS分类不够准确。其次,因本研究大多数是手术病例,O-RADS 2类这类良性可能性大的肿块基本以保守治疗和临床观察为主,极少进行手术,而没有病理结果的肿块被本研究排除在外,这可能会导致结果存在选择性偏倚。
本研究验证了将CEUS评分加入O-RADS分类中可以提高其诊断性能,ROC AUC从常规O-RADS分类的0.791增加到O-RADS+CEUS的0.934。近年来,各种风险分层系统的使用在影像学中得到应用和普及,对于卵巢附件恶性肿块的超声O-RADS分类,增加CEUS成像有助于提高诊断特异度,降低对患者进行过度治疗的风险。
利益冲突声明:本研究未受到企业、公司等第三方资助,不存在潜在利益冲突。
[1]
American College of Obstetricians and Gynecologists’ Committee on Practice Bulletins: Gynecology. Practice bulletin No. 174: evaluation and management of adnexal masses[J]. Obstet Gynecol, 2016, 128(5): e210-e226. DOI: 10.1097/AOG.0000000000001768.

[2]
QUERLEU D, PLANCHAMP F, CHIVA L, et al. European society of gynaecological oncology (ESGO) guidelines for ovarian cancer surgery[J]. Int J Gynecol Cancer, 2017, 27(7): 1534-1542. DOI: 10.1097/IGC.0000000000001041.

PMID

[3]
DODGE J E, COVENS A L, LACCHETTI C, et al. Management of a suspicious adnexal mass: a clinical practice guideline[J]. Curr Oncol, 2012, 19(4): e244-e257. DOI: 10.3747/co.19.980.

[4]
FROYMAN W, LANDOLFO C, DE COCK B, et al. Risk of complications in patients with conservatively managed ovarian tumours (IOTA5): a 2-year interim analysis of a multicentre, prospective, cohort study[J]. Lancet Oncol, 2019, 20(3): 448-458. DOI: 10.1016/S1470-2045(18)30837-4.

PMID

[5]
KAIJSER J, VANDECAVEYE V, DEROOSE C M, et al. Imaging techniques for the pre-surgical diagnosis of adnexal tumours[J]. Best Pract Res Clin Obstet Gynaecol, 2014, 28(5): 683-695. DOI: 10.1016/j.bpobgyn.2014.03.013.

PMID

[6]
MEYS E M J, KAIJSER J, KRUITWAGEN R F P M, et al. Subjective assessment versus ultrasound models to diagnose ovarian cancer: a systematic review and meta-analysis[J]. Eur J Cancer, 2016, 58: 17-29. DOI: 10.1016/j.ejca.2016.01.007.

PMID

[7]
ANDREOTTI R F, TIMMERMAN D, BENACERRAF B R, et al. Ovarian-adnexal reporting lexicon for ultrasound: a white paper of the ACR ovarian-adnexal reporting and data system committee[J]. J Am Coll Radiol, 2018, 15(10): 1415-1429. DOI: 10.1016/j.jacr.2018.07.004.

PMID

[8]
陈程, 戴晴. 美国放射学会卵巢-附件影像报告和数据系统超声风险分层与管理共识指南的解读[J/OL]. 中华医学超声杂志(电子版), 2020, 17(11): 1051-1060. DOI: 10.3877/cma.j.issn.1672-6448.2020.11.002.

CHEN C, DAI Q. Interpretation of the 2020 “O-RADS US risk stratification and management system” published by the American college of radiology[J/OL]. Chin J Med Ultrasound (Electron Ed), 2020, 17(11): 1051-1060. DOI: 10.3877/cma.j.issn.1672-6448.2020.11.002.

[9]
张丹, 王茜, 王佳颖. IOTA共识与O-RADS共识指南的解读与分析[J/OL]. 中华医学超声杂志(电子版), 2022, 19(2): 105-113. DOI: 10.3877/cma.j.issn.1672-6448.2022.02.002.

ZHANG D, WANG X, WANG J Y. Interpretation and analysis of the international ovarian tumor analysis consensus and ovarian-adnexal reporting and data system[J/OL]. Chin J Med Ultrasound (Electron Ed), 2022, 19(2): 105-113. DOI: 10.3877/cma.j.issn.1672-6448.2022.02.002.

[10]
BASHA M A A, METWALLY M I, GAMIL S A, et al. Comparison of O-RADS, GI-RADS, and IOTA simple rules regarding malignancy rate, validity, and reliability for diagnosis of adnexal masses[J]. Eur Radiol, 2021, 31(2): 674-684. DOI: 10.1007/s00330-020-07143-7.

[11]
YUAN K, HUANG Y J, MAO M Y, et al. Contrast-enhanced US to improve diagnostic performance of O-RADS US risk stratification system for malignancy[J]. Radiology, 2023, 308(2): e223003. DOI: 10.1148/radiol.223003.

[12]
ANDREOTTI R F, TIMMERMAN D, STRACHOWSKI L M, et al. O-RADS US risk stratification and management system: a consensus guideline from the ACR ovarian-adnexal reporting and data system committee[J]. Radiology, 2020, 294(1): 168-185. DOI: 10.1148/radiol.2019191150.

PMID

[13]
STRACHOWSKI L M, JHA P, CHAWLA T P, et al. O-RADS for ultrasound: a user’s guide, from the AJR special series on radiology reporting and data systems[J]. AJR Am J Roentgenol, 2021, 216(5): 1150-1165. DOI: 10.2214/AJR.20.25064.

[14]
CAO L, WEI M, LIU Y, et al. Validation of American college of radiology ovarian-adnexal reporting and data system ultrasound (O-RADS US): analysis on 1054 adnexal masses[J]. Gynecol Oncol, 2021, 162(1): 107-112. DOI: 10.1016/j.ygyno.2021.04.031.

PMID

[15]
JHA P, GUPTA A, BARAN T M, et al. Diagnostic performance of the ovarian-adnexal reporting and data system (O-RADS) ultrasound risk score in women in the United States[J]. JAMA Netw Open, 2022, 5(6): e2216370. DOI: 10.1001/jamanetworkopen.2022.16370.

[16]
HACK K, GANDHI N, BOUCHARD-FORTIER G, et al. External validation of O-RADS US risk stratification and management system[J]. Radiology, 2022, 304(1): 114-120. DOI: 10.1148/radiol.211868.

[17]
VARA J, MANZOUR N, CHACÓN E, et al. Ovarian adnexal reporting data system (O-RADS) for classifying adnexal masses: a systematic review and meta-analysis[J]. Cancers, 2022, 14(13): 3151. DOI: 10.3390/cancers14133151.

[18]
裴越, 付莉. Wnt信号通路与卵巢癌治疗新进展[J]. 新医学, 2021, 52(8): 562-565. DOI: 10.3969/j.issn.0253-9802.2021.08.002.

PEI Y, FU L. Research progress on Wnt signaling pathway and ovarian cancer therapy[J]. J New Med, 2021, 52(8): 562-565. DOI: 10.3969/j.issn.0253-9802.2021.08.002.

[19]
伏文皓, 胡笑笑, 孙梦雅, 等. 磁共振成像卵巢-附件影像报告和数据系统鉴别良恶性病变应用价值[J]. 中山大学学报(医学科学版), 2023, 44(1): 99-105. DOI: 10.13471/j.cnki.j.sun.yat-sen.univ(med.sci).20221201.002.

FU W H, HU X X, SUN M Y, et al. Value of MRI ovarian-adnexal reporting and data system in differentiating benign and malignant ovarian-adnexal lesions[J]. J Sun Yat-sen Univ (Med Sci), 2023, 44(1): 99-105. DOI: 10.13471/j.cnki.j.sun.yat-sen.univ(med.sci).20221201.002.

[20]
戴冠琳, 唐芙蓉, 王丹青. 精准医疗时代贝伐珠单抗在上皮性卵巢癌一线治疗的价值[J]. 西南医科大学学报, 2023, 46(3):208-212.DOI:10.3969/j.issn.2096-3351.2023.03.005.

DAI G L, TANG F R, WANG D Q. Value of bevacizumab in the first-line treatment of epithelial ovarian cancer in the era of precision medicine[J]. J Southwest Med Univ, 2023, 46(3):208-212.DOI: 10.3969/j.issn.2096-3351.2023.03.005.

[21]
王青娟, 梁茜, 郑剑, 等. 超声造影联合卵巢-附件超声报告和数据风险分层系统的临床应用价值[J]. 中华超声影像学杂志, 2022, 31(3): 220-225. DOI: 10.3760/cma.j.cn131148-20211015-00739.

WANG Q J, LIANG X, ZHENG J, et al. Contrast-enhanced ultrasound combined with Ovarian-Adnexal Reporting and Data System US risk stratification and management system for diagnosis of adnexal masses[J]. Chin J Ultrason, 2022, 31(3): 220-225. DOI: 10.3760/cma.j.cn131148-20211015-00739.

[22]
武佳薇, 张曼, 曲恩泽, 等. 超声造影在O-RADS 4-5类附件肿物良恶性诊断中的应用价值[J]. 中国超声医学杂志, 2023, 39(3): 307-311.

WU J W, ZHANG M, QU E Z, et al. Application value of contrast-enhanced ultrasound in differential diagnosis of benign and malignant O-RADS 4-5 adnexal masses[J]. Chin J Ultrasound Med, 2023, 39(3): 307-311.

[23]
MA X, ZHAO Y, ZHANG B, et al. Contrast-enhanced ultrasound for differential diagnosis of malignant and benign ovarian tumors: systematic review and meta-analysis[J]. Ultrasound Obstet Gynecol, 2015, 46(3): 277-283. DOI: 10.1002/uog.14800.

PMID

[24]
LU B, LIU C, QI J, et al. Comparison of contrast-enhanced ultrasound, IOTA simple rules and O-RADS for assessing the malignant risk of sonographically appearing solid ovarian masses[J]. J Gynecol Obstet Hum Reprod, 2023, 52(4): 102564. DOI: 10.1016/j.jogoh.2023.102564.

[25]
李蕴琦, 向红, 吕晨阳, 等. IOTA简易标准联合超声造影对附件区包块的诊断价值[J]. 中国超声医学杂志, 2021, 37(11): 1273-1277. DOI: 10.3969/j.issn.1002-0101.2021.11.023.

LI Y Q, XIANG H, C Y, et al. The value of IOTA simple rules combined with contrast-enhanced ultrasound in the diagnosis of adnexal masses[J]. Chin J Ultrasound Med, 2021, 37(11): 1273-1277. DOI: 10.3969/j.issn.1002-0101.2021.11.023.

[26]
王霞丽, 杨舒萍, 吕国荣, 等. 妇科超声影像报告和数据系统联合三维超声造影鉴别诊断卵巢良恶性肿块[J]. 中国医学影像技术, 2018, 34(6): 888-892. DOI: 10.13929/j.1003-3289.201707099.

WANG X L, YANG S P, LYU G R, et al. Gynecologic imaging reporting and data system combined with three-dimensional contrast-enhanced ultrasonography for differential diagnosis of benign and malignant ovarian masses[J]. Chin J Med Imag Technol, 2018, 34(6): 888-892. DOI: 10.13929/j.1003-3289.201707099.

[27]
WANG X, YANG S, LV G, et al. Combination of GI-RADS and 3D-CEUS for differential diagnosis of ovarian masses[J]. Rev Assoc Med Bras (1992), 2019, 65(7): 959-964. DOI: 10.1590/1806-9282.65.7.959.

PMID

[28]
甘雅端, 吕国荣, 杨舒萍, 等. 卵巢上皮性肿瘤超声鉴别特征及预测模型[J]. 中华超声影像学杂志, 2020, 29(6): 534-539. DOI: 10.3760/cma.j.cn131148-20191111-00694.

GAN Y D, G R, YANG S P, et al. Ultrasonographic diagnostic characteristics and prediction model of benign, borderline and malignant ovarian epithelial tumors[J]. Chin J Ultrason, 2020, 29(6): 534-539. DOI: 10.3760/cma.j.cn131148-20191111-00694.

[29]
TIMOR-TRITSCH I E, FOLEY C E, BRANDON C, et al. New sonographic marker of borderline ovarian tumor: microcystic pattern of papillae and solid components[J]. Ultrasound Obstet Gynecol, 2019, 54(3): 395-402. DOI: 10.1002/uog.20283.

[30]
朱征涛, 郑丽, 江鑫辉, 等. 基于IOTA简易原则的logistic回归模型在卵巢肿瘤鉴别诊断中的应用[J]. 肿瘤影像学, 2021, 30(6): 489-493. DOI: 10.19732/j.cnki.2096-6210.2021.06.010.

ZHU Z T, ZHENG L, JIANG X H, et al. Application of logistic regression model derived from IOTA simple rules in differentiation of benign and malignant ovarian tumors[J]. Oncoradiology, 2021, 30(6): 489-493. DOI: 10.19732/j.cnki.2096-6210.2021.06.010.

[31]
TAYLOR E C, IRSHAID L, MATHUR M. Multimodality imaging approach to ovarian neoplasms with pathologic correlation[J]. Radiographics, 2021, 41(1): 289-315. DOI: 10.1148/rg.2021200086.

PMID

Outlines

/