文章快速检索     高级检索
  新医学  2018, Vol. 49 Issue (12): 894-899  DOI: 10.3969/j.issn.0253-9802.2018.12.010
0

引用本文 [复制中英文]

巴俊慧, 石云锋, 冯定云, 吴本权. 急性间质性肺炎一例并文献复习[J]. 新医学, 2018, 49(12): 894-899.
Ba Junhui, Shi Yunfeng, Feng Dingyun, Wu Benquan. Acute interstitial pneumonia: one case report and literature review[J]. Journal of New Medicine, 2018, 49(12): 894-899.

基金项目

广东省科技计划项目(2017A020215177)

通讯作者

吴本权,E-mail: zswbq@163.com

文章历史

收稿日期:2018-10-08
急性间质性肺炎一例并文献复习
巴俊慧 , 石云锋 , 冯定云 , 吴本权     
510630,广州,中山大学附属第三医院内科ICU(巴俊慧,石云锋,吴本权),呼吸内科(冯定云)
摘要: 目的 探讨急性间质性肺炎(AIP)的病因、诊断与治疗,提高对该病的认识水平。方法 对1例一氧化碳中毒后迟发性脑病患者发生AIP的临床资料进行回顾性分析,并以“急性间质性肺炎”或“acute interstitial pneumonia”为检索词在PubMed、中国期刊全文数据库(CNKI)、万方数据知识服务平台和维普中文科技期刊数据库检索,收集并分析检索到的有详细症状、诊断、治疗、转归的病例资料。结果 该例为21岁的一氧化碳中毒后迟发性脑病女性患者,因呼吸衰竭转入内科ICU,经抗感染治疗无效,病理活组织检查(活检)诊断为AIP,予肾上腺皮质激素(激素)、环磷酰胺、机械通气等治疗后好转出院。检索文献后,排除已知AIP诱发因素的病例,157例有详细症状、诊断、治疗、转归的病例资料,其中72例经病理活检确诊。AIP患者的主要临床表现为咳嗽(141例,89.8%)、呼吸困难(130例,82.8%)、发热(79例,50.3%),主要影像学表现为磨玻璃样变(119例,75.8%)、肺实变(37例,23.6%)、弥漫性渗出影(33例,21.0%);主要病理活检表现为Ⅱ型肺泡上皮增生(24例,33.3%)、肺泡纤维化(22例,30.6%)、肺泡间隔增厚(20例,27.8%);使用大剂量激素治疗44例(28.0%),联合免疫抑制剂治疗12例(7.6%),行机械通气100例(63.7%);体外膜肺氧合(4例,2.5%);共57例(36.3%)患者好转出院,100例(63.7%)患者死亡。结论 AIP是一种病因未明、起病急骤、以呼吸衰竭为主的间质性肺炎,目前无疗效确切的治疗方法,早期激素治疗可能有效,临床预后差。
关键词: 急性间质性肺炎    肺损伤    高压氧    
Acute interstitial pneumonia: one case report and literature review
Ba Junhui, Shi Yunfeng, Feng Dingyun, Wu Benquan     
Medical Intensive Care Unit, the Third Affiliated Hospital of Sun Yat-sen University, Guangzhou 510630, China
Corresponding author: Wu Benquan, E-mail: zswbq@163.com
Abstract: Objective To analyze the pathogenesis, diagnosis and treatment of acute interstitial pneumonia (AIP) and deepen the understanding of AIP. Methods Clinical data of one patient with delayed encephalopathy suffering from AIP after carbonic oxide poisoning were retrospectively analyzed. A comprehensive literature search was performed in PubMed, China Journal Full-text Database (CNKI), Wanfang Data and Chongqing Vip database using the keywords of "acute interstitial pneumonia" in both English and Chinese. Detailed clinical data including symptoms, diagnosis, treatment and outcomes of patients with AIP were collected and analyzed. Results The 21-year-old female patient diagnosed with delayed encephalopathy was transferred to the MICU due to respiratory failure after carbonic oxide poisoning. She was not effectively treated after antibiotic therapy. She was diagnosed with AIP by pathological tissue examination (lung biopsy), Then, the patient was treated with steroid, cyclophosphamide, and mechanical ventilation. She was recovered and discharged. After excluding patients whose inducing factors of AIP have been identified, detailed symptoms, diagnosis, treatment and outcomes were collected from 157 AIP patients, and 72 cases of them were confirmed by pathological biopsy. The clinical manifestations of AIP patients mainly included cough (n=141, 89.8%), dyspnea (n=130, 82.8%) and fever (n=79, 50.3%). The main imaging findings consisted of ground glass changes (n= 119, 75.8%), pulmonary consolidation (n=37, 23.6%) and diffuse exudative lesions (n=33, 21.0%). The dominant pathological findings were type Ⅱ alvelar epithelial hyperplasia (n=24, 33.3%), alveolar fibrosis (n=22, 30.6%) and thickening of alveolar septum (n=20, 27.8%). Forty-four cases (28.0%) were treated with high-dose hormone therapy, 12 (7.6%) were supplemented with immunosuppressive agents, 100 (63.7%) received mechanical ventilation and 4 cases were treated with ECMO (2.5%). A total of 57 patients (36.3 %) were recovered and discharged, whereas 100 patients (63.7%) died. Conclusions AIP is a category of interstitial lung disease with unknown pathogenesis, urgent onset which rapidly develops into respiratory failure. At present, there is no exactly effective treatment. Early steroid therapy may be beneficial to patients, but the clinical prognosis of AIP patients is rather poor.
Key words: Acute interstitial pneumonia    Lung injury    Hyperbaric oxygen    

急性间质性肺炎(AIP)是临床中罕见的、发展迅速的暴发性肺损伤,患者可急进性出现通气功能障碍和呼吸衰竭,病死率可达50%以上。因此,有必要对AIP进行更多研究和经验积累,提高诊疗水平。为此,本文报道1例一氧化碳中毒后迟发性脑病患者发生的AIP,并结合其临床特点及国内外数据库中检索到的157例有详细临床资料的AIP病例进行归纳、分析。

对象与方法 一、1例AIP患者临床资料的收集

2017年在我院就诊的1例一氧化碳中毒后迟发性脑病患者,经病理活组织检查(活检)确诊为AIP,收集并分析其病史、体格检查、实验室及辅助检查、治疗等临床资料。

二、文献检索

以关键词“急性间质性肺炎”或“acute interstitial pneumonia”为检索词,对PubMed、中国期刊全文数据库(CNKI)、万方数据知识服务平台和维普中文科技期刊数据库中1985年至2018年的相关文献进行检索,收集并分析检索到的有详细症状、诊断、治疗、转归的病例资料。

结果 一、1例AIP患者的病例资料 1. 病史和体格检查

患者女,21岁。因“四肢不自主运动伴饮水呛咳、言语不利3月余”于2017年4月1日入院。患者入院前3个月余因一氧化碳中毒昏迷送至外院行高压氧、营养神经治疗,1周后患者神志清醒,可自行走路,但走路不稳。病情稳定后出院。出院后5 d出现四肢不自主运动伴饮水呛咳、言语不利,期间无发热,无明显咳嗽、咳痰。经外院神经内科治疗后仍有四肢不自主运动。再次予高压氧、改善循环等治疗,症状无好转,遂至我院神经内科住院。既往病史无特殊。

入院体格检查:体温37.2 ℃,脉搏100次/分,呼吸16次/分,血压107/70 mm Hg(1 mm Hg= 0.133 kPa)。意识清晰,对答不切题,查体不能合作。全身浅表淋巴结未扪及。双侧瞳孔等大、等圆,直径3 mm,直接和间接对光反射存在。双肺听诊呼吸音粗,可闻及湿性啰音。心律整齐,心率100次/分,各瓣膜区未闻及病理性杂音。右上肢肌力1级,左上肢肌力3级,右下肢肌力4级,左下肢肌力4级,四肢肌张力减低。

2. 实验室检查及辅助检查

血常规:白细胞15.08×109/L,红细胞4.02× 1012/L,中性粒细胞绝对值12.99×109/L,中性粒细胞比值0.86,淋巴细胞绝对值1.57×109/L。超敏CRP 201.8 mg/L。胸部正位X线片:双肺散在斑片状模糊影,以双下肺稍明显。头颅CT平扫:头颅形态、大小正常,双侧基底节可见小片状低密度影,余脑实质未见明确异常密度影,脑室不大,脑沟、脑裂、脑池未见异常,中线结构居中。

3. 诊疗经过

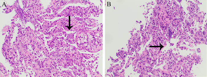
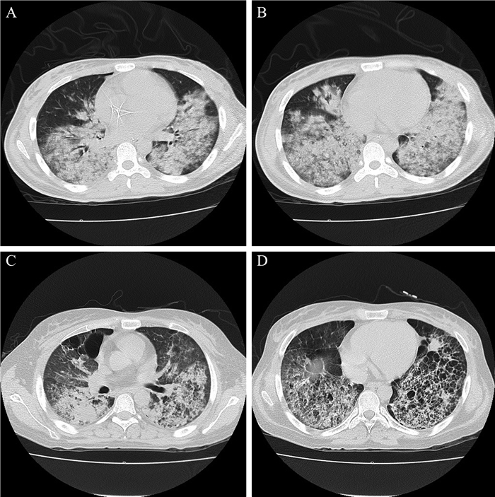
入住神经内科后4 d予抗感染、营养神经等治疗,患者有反复发热伴气促,每日最高体温均在39℃以上。完善胸部CT,结果提示双肺多发渗出,见图 1AB。动脉血气示氧分压51 mm Hg,考虑存在Ⅰ型呼吸衰竭转入内科ICU。转入内科ICU后,完善病原学检查并予哌拉西林钠他唑巴坦钠(4.5 g静脉滴注,每日3次,连用4 d)、莫西沙星(0.4 g/d静脉滴注,连用5 d)、替加环素(100 mg静脉滴注,每日2次,连用4 d)、伏立康唑(0.2 g静脉滴注,每日2次,连用6 d)等积极抗感染治疗。实验室呼吸道病原体9项(包括嗜肺军团菌1型-IgM、肺炎支原体-IgM、肺炎衣原体-IgM、Q热立克次体-IgM、腺病毒-IgM、呼吸道合胞病毒-IgM、甲型流感病毒IgM、乙型流感病毒-IgM、副流感病毒-IgM)、肺炎支原体血清学、多次纤维支气管镜(纤支镜)检查及肺泡灌洗病原学检查结果均无异常。风湿体液免疫全套、巨细胞病毒、EB病毒抗体以及多次真菌D -葡聚糖、GM试验均无异常。患者仍反复气促、存在呼吸衰竭,在征得家属同意后行经皮气管切开术呼吸机辅助通气。由于患者体温反复升高,病因不明,遂行纤支镜下肺活检。肺活检病理报告:可见肺泡间隔增宽,纤维母细胞增生,伴灶性坏死,部分区域肺泡塌陷,部分肺泡可见肺泡上皮脱落,腔内见纤维素样渗出与泡沫细胞、炎症细胞混合而成的栓子样物,偶见机化现象,形态考虑AIP伴肺泡损伤(图 2)。予甲泼尼龙80 mg每日2次治疗,1周后加用环磷酰胺0.4 g每周1次,共7次,累积量共2.8 g。25 d后经脱机训练后脱机成功并无再发热。肾上腺皮质激素(激素)逐渐减量并拔除气切套管,一般情况良好出院。患者出院后定期返院复查,胸部CT可见双肺斑片状、网格状阴影,范围较前缩小,见图 1CD

图 1 一例AIP患者的影像学检查结果 A、B:2017年4月5日转入ICU时患者的胸部CT,双肺可见多发边缘模糊的片状稍高密度影,以双肺下叶为主;C、D:2017年11月13日患者随访的胸部CT,双肺可见斑片状、网格状阴影,范围较前缩小
图 2 一例AIP患者的肺活检病理结果(苏木素-伊红染色,×400) 箭头所示为肺泡腔塌陷,肺泡间隔增厚
二、AIP的相关文献检索结果

排除存在药物、毒物、风湿结缔组织病、特发性肺纤维化急性发作等及婴幼儿AIP相关报道,共检索出412例AIP病例(国内204例、国外208例),其中157例有详细症状、诊断、治疗、转归的病例资料,72例经病理活检确诊。主要临床表现为咳嗽(141例,89.8%)、呼吸困难(130例,82.8%)、发热(79例,50.3%)、咳痰(24例,15.3%)、气促(20例,12.7%)。影像学表现主要为磨玻璃样变(119例,75.8%)、肺实变(37例,23.6%)、弥漫性渗出影(33例,21.0%)、牵拉性支气管扩张影(28例,17.8%)、蜂窝状改变(24例,15.3%)、网格样改变(19例,12.1%)、胸腔积液(11例,7.0%)、结节影(4例,2.5%)。病理活检主要表现为Ⅱ型肺泡上皮增生(24例,33.3%)、肺泡纤维化(22例,30.6%)、肺泡间隔增厚(20例,27.8%)、透明膜形成(17例,23.6%)、肺泡损伤(17例,23.6%)、间质水肿(10例,13.9%)。主要治疗方式为激素治疗(150例,95.5%),其中44例使用大剂量激素、12例联合免疫抑制药治疗,机械通气100例(63.7%),体外膜肺氧合(ECMO)4例(2.5%)。共57例(36.3%)患者好转出院,100例(63.7%)患者死亡。

讨论

AIP的病因及发病机制尚未明确,多发生于既往无基础疾病的患者[1]。初期可表现流行性感冒样症状,在较短时间内即出现呼吸衰竭。由于AIP和ARDS的临床表现和病理特征类似,亦可以称之为特发性ARDS[2]。美国胸科学会及欧洲呼吸学会认为,AIP是有别于特发性肺间质纤维化的一种肺间质性疾病,是一种具有潜在逆转可能的急性肺损伤疾病[3]。我院收治的患者起病急,入院后出现高热、气促,胸部CT检查可见弥漫性渗出。转入ICU时,根据临床表现起初考虑肺部感染。迅速完善相关检查后排除病毒及风湿免疫性疾病、心力衰竭等。多次纤支镜吸痰培养未见细菌、真菌感染证据,予强效经验性抗感染治疗后患者症状未缓解。临床考虑AIP可能并进行纤支镜下肺活检,最终病理确诊AIP。回顾既往病史,患者3个月余前曾有急性一氧化碳中毒及后续数次高压氧治疗,转至我院前曾再次予高压氧治疗。研究表明,一氧化碳可使肺泡表面活性物质失活,肺泡萎缩,从而引发肺水肿、肺损伤[4]。一般认为,高压氧治疗一氧化碳中毒性肺水肿是有效的[5]。但是临床观察到部分患者并非如此,已有报道高压氧治疗也会损伤肺泡上皮细胞诱发肺水肿,尤其是Ⅱ型肺泡上皮细胞最易被高压氧破坏,使其分泌的表面活性物质功能损伤或丧失引起肺不张、弥散功能障碍[6]。虽然本例患者在再次高压氧治疗后早期并未出现呼吸窘迫及低氧血症,但不能作为完全排除肺损伤的依据。国内有研究者认为,高压氧治疗时压力越大、时间越长,肺损伤就越严重。肺部纤维化的过程可以持续到数周甚至数月才发生[7]。对于本文的患者,高压氧治疗是否造成患者早期肺损伤,进而引起急性肺间质纤维化值得考虑。目前国内外无相关病例及文献报道,因此需进一步的研究验证。

AIP无明确诊断标准,主要通过患者发病特点、影像学及肺活检结果综合判断。AIP的发病与性别、职业无关,多发生于既往无基础疾病的患者。通过复习文献得出,其临床表现主要为咳嗽、发热及呼吸困难等。AIP早期(2周内)的胸部CT主要以渗出性改变为主,表现为双侧中下肺的外周散在分布的实质性病变阴影及磨玻璃影。AIP晚期因间质纤维化急速进展并出现肺组织、肺结构的破坏。此时CT表现主要为双肺弥漫的小叶间隔增厚、肺实变影、牵拉性支气管扩张及囊肿形成、蜂窝状改变,可合并肺实质的感染[8?9]。其中牵拉性支气管扩张是此期的特征性表现,可作为患者预后不良的独立预测因子[10]。病理改变早期以渗出为主,包括肺间质和肺泡内水肿,肺泡上皮细胞脱落、坏死,炎性细胞浸润。晚期病理可见透明膜形成、纤维母细胞或肌纤维母细胞弥漫增生,肺泡间隔增厚、肺泡腔纤维化。其中透明膜形成是AIP的组织学标志[11]

AIP无特异性治疗方法,及时诊断和早期干预可以提高AIP患者的生存率。笔者检索并分析文献发现,激素仍然是目前临床上AIP的主要治疗方法,其他的治疗方法包括氧疗、机械通气及免疫抑制药如环磷酰胺等。研究认为,AIP的发生可能与多种细胞炎症介质释放有关,可促进肺纤维化的形成。激素能在一定程度上抑制炎症介质的产生,在不可逆的结构性破坏之前阻断纤维增殖引起的机化,有一定的治疗作用,但临床对激素疗效的评价存在差异。Avnon等[12]报道了9例确诊AIP患者在大剂量激素治疗后仅2例患者对激素有反应,其余患者在入院后均死亡。Quefatieh等[13]研究认为,早期且高频率使用激素会使患者得到更好的预后。Ichikado等[14]分析了31例接受大剂量激素治疗的AIP患者CT表现,结果发现处于弥漫性肺泡损伤的纤维增生阶段,特别是存在肺组织结构改变或者磨玻璃影伴支气管扩张的患者预后更差。究其原因,可能是仅有磨玻璃影或者实变表现的患者一般处于以急性渗出为主的病程早期,大剂量激素疗效反应良好。AIP起病急,在疾病早期即可出现严重的低氧血症。一旦患者出现急性呼吸衰竭应及早给予保护性机械通气,以维持正常的氧合[15]。Gabriela-Venade等[16]报道了3例AIP患者通过采用ECMO支持治疗改善顽固性呼吸衰竭,且ECMO也可减轻呼吸机相关肺损伤,并为临床肺活检提供可能。本例患者未行大剂量激素冲击治疗,起先予80 mg每日2次(最大剂量)静脉给药,后结合患者临床症状调整激素用量。在甲泼尼龙使用1周后每周加用环磷酰胺0.4 g,共7周,并逐步减量激素。患者在入院20 d后再无发热,第25 d撤除呼吸机辅助通气。

综上所述,AIP的发病率不高,但病情凶险,进展迅速,主要通过发病特点、影像学及病理学进行诊断,缺乏确切有效的治疗方案,因而需进一步深入研究,寻找改善患者预后的诊断与治疗方案。

参考文献
[1]
尹睿, 王新安, 欧阳修河, 郑文涛, 于立萍. 急性间质性肺炎1例. 新医学, 2006, 37(4): 280. DOI:10.3969/j.issn.0253-9802.2006.04.034
[2]
Salim MU, Mustahsan SM, Fatima A. Abruptio placentae with type Ⅱ eespiratory failure secondary to acute interstitial pneumonia responsive to steroids. J Coll Physicians Surg Pak, 2017, 27(9): S106-S107.
[3]
Travis WD, Costabel U, Hansell DM, King TE Jr, Lynch DA, Nicholson AG, Ryerson CJ, Ryu JH, Selman M, Wells AU, Behr J, Bouros D, Brown KK, Colby TV, Collard HR, Cordeiro CR, Cottin V, Crestani B, Drent M, Dudden RF, Egan J, Flaherty K, Hogaboam C, Inoue Y, Johkoh T, Kim DS, Kitaichi M, Loyd J, Martinez FJ, Myers J, Protzko S, Raghu G, Richeldi L, Sverzellati N, Swigris J, Valeyre D; ATS/ERS Committee on Idiopathic Interstitial Pneumonias. An official American Thoracic Society/European Respiratory Society statement: update of the international multidisciplinary classification of the idiopathic interstitial pneumonias. Am J Respir Crit Care Med, 2013, 188(6): 733-748. DOI:10.1164/rccm.201308-1483ST
[4]
李珍, 黄晓峰, 任东青. 一氧化碳中毒所致肺组织病理改变. 中华临床医师杂志(电子版), 2013, 7(18): 8438-8440. DOI:10.3877/cma.j.issn.1674-0785.2013.18.082
[5]
范丹峰, 肖宏, 潘树义. 急性重度一氧化碳中毒肺水肿13例临床救治体会. 中华航海医学与高气压医学杂志, 2017, 24(1): 65-68. DOI:10.3760/cma.j.issn.1009-6906.2017.01.015
[6]
Fan D, Lv Y, Hu H, Pan S. Severe pulmonary edema following hyperbaric oxygen therapy for acute carbon monoxide poisoning: a case report and clinical experience. Undersea Hyperb Med, 2017, 44(3): 287-291.
[7]
潘爱军, 金魁, 周树生, 李矗, 沈建军, 刘宝. 高压氧对油酸诱导大鼠急性肺损伤作用的实验研究. 中国危重病急救医学, 2010, 22(7): 422-425. DOI:10.3760/cma.j.issn.1003-0603.2010.07.013
[8]
Taniguchi H, Kondoh Y. Acute and subacute idiopathic interstitial pneumonias. Respirology, 2016, 21(5): 810-820. DOI:10.1111/resp.12786
[9]
张韬军, 乔英, 李健丁. 急性间质性肺炎的CT表现及其病理学基础. 中国中西医结合影像学杂志, 2015, 13(6): 683685.
[10]
Ichikado K. High - resolution computed tomography findings of acute respiratory distress syndrome, acute interstitial pneumonia, and acute exacerbation of idiopathic pulmonary fibrosis. Semin Ultrasound CT MR, 2014, 35(1): 39-46. DOI:10.1053/j.sult.2013.10.007
[11]
吴爽, 任锦, 李艳秋, 尹金植. 急性间质性肺炎1例报道及文献复习. 中国实验诊断学, 2017, 21(1): 34.
[12]
Avnon LS, Pikovsky O, Sion-Vardy N, Almog Y. Acute interstitial pneumonia-Hamman-Rich syndrome: clinical characteristics and diagnostic and therapeutic considerations. Anesth Analg, 2009, 108(1): 232-237. DOI:10.1213/ane.0b013e318188af7a
[13]
Quefatieh A, Stone CH, DiGiovine B, Toews GB, Hyzy RC. Low hospital mortality in patients with acute interstitial pneumonia. Chest, 2003, 124(2): 554-559. DOI:10.1378/chest.124.2.554
[14]
Ichikado K, Suga M, Müller NL, Taniguchi H, Kondoh Y, Akira M, Johkoh T, Mihara N, Nakamura H, Takahashi M, Ando M. Acute interstitial pneumonia: comparison of high-resolution computed tomography findings between survivors and nonsurvivors. Am J Respir Crit Care Med, 2002, 165(11): 1551-1556. DOI:10.1164/rccm.2106157
[15]
陈文恭, 刘娇, 姚建英, 陈德昌, 叶剑鸿. 22例急性间质性肺炎的诊治分析. 武汉大学学报(医学版), 2013, 34(4): 614-617.
[16]
Gonçalves-Venade G, Lacerda-Príncipe N, Roncon-Albuquerque R Jr, Paiva JA. Extracorporeal membrane oxygenation for refractory severe respiratory failure in acute interstitial pneumonia. Artif Organs, 2018, 42(5): 569-574. DOI:10.1111/aor.2018.42.issue-5