结外鼻型NK/T细胞淋巴瘤是一种预后不良、中位生存期短的罕见疾病。根据WHO的分类,NK/T细胞淋巴瘤分为两类:结外NK/T细胞淋巴瘤(鼻型)和侵袭性NK细胞白血病[1]。结外NK/T细胞淋巴瘤(鼻型)占非霍奇金淋巴瘤的2%~10%,男性患者多于女性患者且其中位发病年龄为50岁[2]。它在亚洲和南美洲有较高的患病率,特别是在亚洲地区,患病率在3.3% ~8%[3]。只有25%的结外鼻型NK/T细胞淋巴瘤发生在鼻外器官中。最常报道的鼻外部位是消化道、皮肤、睾丸和中枢神经系统。心脏、肺或胰腺极少受累[4]。这种类型的淋巴瘤进展快,预后不良,5年 的累积生存率为37.9% ~45.3%[5]。结外鼻型NK/T 细胞淋巴瘤的诊断基于临床表现、病理学、形态学、免疫表型和基因型。累及胰腺的结外鼻型NK/T细胞淋巴瘤十分特殊,尤其是表现为急性胰腺炎。提高对该病的临床特点及组织病理学的认识和了解,对及早、准确诊断该病及避免不必要的手术治疗具有重要意义。为此,本文报道累及胰腺并表现为急性胰腺炎的结外鼻型NK/T细胞淋巴瘤1例,并复习相关文献,总结EN-NK/T-NT的临床表现、诊断方法及治疗手段。现报告如下。
对象与方法 一. 1例累及胰腺的结外鼻型NK/T细胞淋巴瘤患者临床资料的收集本研究对2010年6月在我院确诊为结外鼻型NK/T细胞淋巴瘤的1例病例进行全面回顾分析,对该患者的病史、体格检查、实验室检查、治疗、随访等资料进行归纳整理。
二. 文献检索以“NK/T Cell”及“Pancreatic”、或“NK/T细胞”及“胰腺”等为检索词在Pubmed数据库、中国期刊全文数据库(CNKI)、万方数据知识服务平台检索相关文献,收集资料完整的侵及胰腺的NK/T细胞淋巴瘤的病例,分析其临床特点、治疗方案及预后情况等。
结果 一. 1例累及胰腺的结外鼻型NK/T细胞淋巴瘤患者病例资料分析患者男,38岁,因上腹痛伴发热4 d收入我科。患者入院4 d前无明显诱因出现上腹部疼痛,伴发热,体温最高40.2℃,无恶心、呕吐,无腹胀、腹泻,4周内体质量下降6 kg。患者有慢性鼻窦炎的病史,入院前2月曾有脓涕、鼻塞和鼻出血,否认有胆道疾病史,否认酗酒、吸烟和滥用药物史。
入院体格检查:体温39.0℃,腹部平软,上腹部压痛,无反跳痛。全身浅表淋巴结未扪及。心肺查体未见明显异常。实验室检查提示血清淀粉酶为757 U/L(正常范围0~125 U/L),血清脂肪酶1 282 U/L(正常范围13~60 U/L) ,尿淀粉酶5 340 U/L(正常范围0~1 200 U/L)。血常规示白细胞4.54×109/L,血红蛋白107 g/L,血小板2.41×109/L,中性粒细胞百分比79.7%,淋巴细胞百分比13%。 ALT、AST、γ-谷氨酰转肽酶、碱性磷酸酶、总胆红素和血清钙在正常范围内。 乳酸脱氢酶为348 U/L(正常范围71~231 U/L)。血清抗EB病毒衣壳抗原IgA阴性。抗中性粒细胞胞浆抗体和抗核抗体阴性。糖链抗原19-9升高,为33.72 kU/ ml(正常范围10~15 kU/ml),其余肿瘤指标包括癌胚抗原、甲胎蛋白等在正常范围内。
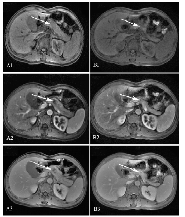
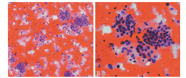
经过禁食3 d,静脉予抑酸、抑酶及抗感染等治疗后,患者上腹痛明显缓解,血清淀粉酶下降至345 U/L。但体温反复,最高39.2℃。完善上腹部MRI平扫+增强提示胰体部可见一囊实性异常信号影,大小约为26 mm×23 mm,肝S6段见一类圆形稍长T1稍长T2信号影,大小约为21 mm×14 mm。影像学诊断考虑胰体部囊实性病变为恶性肿瘤,并肝S6段转移可能(图 1)。因此我们认为是肿瘤侵袭所致的急性胰腺炎。行胰腺肿块超声引导的经皮细针抽吸(FNA)活检。 病理提示部分细胞中等大、圆形,有腺样结构趋势,部分细胞有变性,核大深染,轮廓不清,有异型性,考虑为恶性肿瘤细胞,倾向于NK/T细胞淋巴瘤,但不能完全排除胰腺原发肿瘤(图 2)。但因取材不足,无法完善免疫组织化学检测。
|
图 1 结外鼻型NK/T细胞淋巴瘤患者腹部MRI扫描 MRI图像在静脉期的对比度增强;A:平扫时胰体部可见一囊实性异常信号影,大小约为26 mm×23 mm,胰腺尾部一贯轻度不均匀扩张(A1);动脉期(A2)病灶边界信号增强,延迟动脉期(A3)时信号进一步增强;B:在2个疗程的化学治疗后,胰腺病灶缩小至13.2 mm×11.7 mm |
|
图 2 结外鼻型NK/T细胞淋巴瘤患者胰腺病灶抽吸物涂片(苏木素-伊红染色) A:胰腺病灶抽吸物涂片可见中等大小的细胞,有异型性(×200);B:细胞核大深染,胞质色淡至透明(×400) |
因为患者有持续鼻腔出血和鼻塞,予完善鼻咽部MRI平扫+增强和鼻内窥镜检查。 鼻咽部MRI显示鼻咽中可见软组织信号影填充,范围约23 mm×18 mm(图 3)。 鼻内窥镜检查发现右嗅裂可见一隆起灶,可见局部骨破坏及坏死组织(图 4)。鼻咽部肿物活组织检查显示异形淋巴样细胞弥漫或散在分布,核分裂易见。免疫组织化学结果为CD3(+ + +),CD56(+ + +),TIA-1(+ + +),CD79a(+),LCA(+ + +),Vim(+ + +),CD8(散在+),CD4(散在+),MPO(稀少+),Ki-67 50%(+),而CD20和CD23为阴性。EB病毒编码的小RNA(EBER)原位杂交检测呈阳性(图 5)。骨髓穿刺和脑脊液涂片检查未提示淋巴瘤浸润。外周血未见肿瘤细胞。胸部CT扫描未见异常。
|
图 3 结外鼻型NK/T细胞淋巴瘤患者鼻咽部MRI扫描 A:T2WI可见鼻咽部有一大小约23 mm×18 mm肿块;B:在化学治疗的第2个疗程时,T2WI可见鼻咽部肿块缩小至11 mm×3 mm |
|
图 4 结外鼻型NK/T细胞淋巴瘤患者鼻内窥镜检查 A:鼻咽上壁增厚;B:右嗅裂可见一隆起灶,可见局部骨破坏及坏死组织 |
|
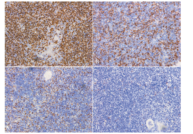
图 5 结外鼻型NK/T细胞淋巴瘤患者鼻咽部肿瘤组织的免疫组织化学染色(×400) A:肿瘤细胞胞浆呈 CD3 强阳性染色;B:肿瘤细胞胞膜呈 CD56 阳性染色;C:肿瘤细胞胞核呈 TIA1 阳性染色;D:原位杂交显示肿瘤细胞胞核 EBER 阳性改变 |
患者最终被诊断为结外鼻型NK/T细胞淋巴瘤,侵袭胰腺与肝脏。患者接受了8个疗程的静脉化学治疗及2次鼻咽部的放射治疗(约60 Gy/30f)。化学治疗包括EPOCH方案(依托泊苷、阿霉素、环磷酰胺、长春新碱、泼尼松)2个疗程,然后EPOCH+培门冬酶2个疗程,然后EPOCH+左旋门冬酰胺酶及EPOCH+左旋门冬酰胺酶+博来霉素各1个疗程,最后为CHOP+博来霉素2个疗程。此外,行腰椎穿刺及鞘内注射甲氨蝶呤预防中枢神经系统淋巴瘤。患者胰酶水平在第1程化学治疗后恢复正常。第2程、第4程化学治疗后疗效评估为部分缓解。 第6程化学治疗后胰腺病灶消失,肝脏中的病灶几乎消失。鼻咽部肿物在第2程化学治疗后缩小至11.5 mm×3 mm(图 3),在第8程化学治疗后几乎消失。化学治疗结束9个月后患者因发热3 d来我院就诊,复查鼻咽部CT平扫+增强提示左颌下淋巴结稍大,鼻咽部及鼻腔、副鼻腔未见明确肿块影。复查上腹部CT平扫+增强提示胰腺体部瘤灶基本消失,肝、脾稍大。予头孢呋辛抗感染治疗近10 d仍有午后反复低热,同时完善相关检查未发现明确感染灶,考虑为肿瘤复发,予甲氨蝶呤10 mg每周1次及泼尼松10 mg每日2次,口服后体温下降,患者拒绝再次化学治疗,于诊断20个月后死于肿瘤复发及呼吸道感染。
二. 侵及胰腺的NK/T细胞淋巴瘤的相关文献检索结果共检索出侵及胰腺的NK/T细胞淋巴瘤8例,其中7例有明确的随访资料。全部8例患者均经活检确诊。其中国外5例,国内3例,5例诊断为结外鼻型NK/T细胞淋巴瘤,3例原发于胰腺。患者年龄11~77岁,中位年龄41.5岁。男5例,女3例。患者的症状呈现非特异性,包括鼻塞、浓涕、眶周肿胀、腹痛、咳嗽、呼吸困难及发热、乏力、纳差、体质量下降等全身症状。6例患者接受化学治疗,其中2例还接受了放射治疗;1例患者行手术治疗。8例患者中仅1例获得完全缓解,其余均于诊断后8个月内死亡。
讨论原发于胰腺或侵袭胰腺的结外鼻型NK/T细胞淋巴瘤十分罕见。1993年,Suzumiya首次报道,目前,全世界仅有不足10例关于该病的病例报道。本例患者最初诊断为急性胰腺炎,他因上腹部疼痛和血清淀粉酶升高来诊。完善上腹部MRI平扫+增强提示胰体部可见一囊实性异常信号影。对于胰腺肿块的鉴别诊断是必不可少的,因为胰腺肿瘤的预后和治疗差异很大,特别是在恶性肿瘤中。常见的恶性胰腺囊肿包括导管内乳头状黏液性肿瘤、黏液性囊性肿瘤、浆液性囊腺瘤和实性假乳头状瘤等[13]。另一方面,淋巴瘤常常被漏诊。尽早行超声引导的FNA,有利于早期诊断和治疗。尽管该例患者中,FNA没有得到能明确诊断的标本,但病理结果仍高度提示淋巴瘤,避免了不必要的手术治疗。
| 表 1 侵及胰腺的NK/T细胞淋巴瘤的文献检索结果 |
由于肝脏亦受侵袭,我们排除了原发于胰腺的淋巴瘤。鼻咽部肿物的病理结果证实了结外鼻型NK/T细胞淋巴瘤的诊断,所以我们认为胰腺和肝脏病变是结外鼻型NK/T细胞淋巴瘤继发的。治疗完成后,胰腺及肝脏病变的缩小甚至消失,更进一步证实了我们的诊断。
NK/T细胞淋巴瘤呈血管中心性和血管破坏性的生长模式,伴有区域性坏死和溃疡。常见凝固性坏死和凋亡小体。肿瘤细胞以小到中等为主,偶有大细胞及间变形式。然而,血管中心生长并不总是存在,血管中心性的生长模式可见于其他淋巴瘤类型,包括B细胞淋巴瘤[14-15]。NK/T细胞淋巴瘤的肿瘤细胞通常分类为T细胞或自然杀伤(NK)细胞;通常该肿瘤细胞具有NK细胞的表型。最典型的免疫表型是CD2 ( + ) ,CD56 ( + ) ,表面CD3(-)和细胞质CD3ε ( + ) ,还会表达细胞毒性分子(例如颗粒酶B,TIA-1或穿孔素)。其他的T和NK细胞相关抗原通常不表达[14]。细胞质CD3ε ( + ) ,CD56,表面CD3-和缺乏T细胞受体(TCR)基因重排的表达有助于区分NK细胞淋巴瘤和T细胞淋巴瘤[17]。EBER原位杂交是提示存在EBV感染的一个显著的特征。WHO需通过EBV阳性和细胞毒性颗粒蛋白的表达对EN-NK/T-NT作出诊断[1]。血浆EBV DNA是一个可靠的淋巴瘤替代标志物[18]。在我们报道的病例中,鼻咽部肿块活检提示CD3、CD56、TIA-1和EBER阳性。检测到异常表达的CD79a,其是B细胞标记。已有文献报道了表达B细胞标记CD79a或CD20的EN-NK/T-NT。然而,B细胞标记在NK细胞肿瘤中表达的意义仍然不确定[19]。
目前,在任何形式的NK/T细胞淋巴瘤的治疗上没有真正统一的共识。化学治疗是EN-NK/T-NT的主要治疗方法,特别是以L-门冬酰胺酶为基础的化学治疗方案。预后不良的相关危险因素包括年龄≥60岁,全身症状,ECOG评分≥2分,乳酸脱氢酶升高,区域淋巴结受侵,肿瘤局部浸润,Ki-67高表达的组织学证据,血浆EBV-DNA滴度≥6.1×107拷贝/ml[20]。在我们的病例中,患者接受了8个周期的化学治疗,包括ECHOP,ECHOP + L-门冬酰胺酶和CHOP + BLM等,还进行了鼻咽部放射治疗。患者在诊断后约20个月,出现肿瘤复发。患者拒绝再次化学治疗,最终死于肿瘤复发和呼吸道感染。
累及胰腺的结外鼻型NK/T细胞淋巴瘤极其罕见,因其临床表现多样,不具明显特异性,容易被误诊、漏诊,但仍应该被认为是急性胰腺炎的原因之一。对于伴有反复鼻炎症状的急性胰腺炎患者,经治疗后腹痛和血液学检查明显改善,但仍有反复发热,影像学检查提示胰腺肿块,可能需要活组织检查,并通过免疫组织化学检测以进一步明确诊断。一旦患者被诊断患有NK/T细胞淋巴瘤,建议以化学治疗为主,辅以放射治疗。
| [1] | Campo E, Swerdlow SH, Harris NL, Pileri S, Stein H, Jaffe ES. The 2008 WHO classification of lymphoid neoplasms and beyond: evolving concepts and practical applications[J]. Blood, 2011, 117 (19): 5019-5032. DOI: 10.1182/blood-2011-01-293050. |
| [2] | Li YX, Coucke PA, Li JY, Gu DZ, Liu XF, Zhou LQ, Mirimanoff RO, Yu ZH, Huang YR. Primary non-Hodgkin s lymphoma of the nasal cavity: prognostic significance of paranasal extension and the role of radiotherapy and chemotherapy[J]. Cancer, 1998, 83 (3): 449-456. DOI: 10.1002/(ISSN)1097-0142. |
| [3] | Suzuki R, Takeuchi K, Ohshima K, Nakamura S. Extranodal NK/T-cell lymphoma: diagnosis and treatment cues[J]. Hematol Oncol, 2008, 26 (2): 66-72. DOI: 10.1002/(ISSN)1099-1069. |
| [4] | Li Y, Damjanov I. Extranodal NK/T cell lymphoma causing cardiorespiratory failure[J]. Case Rep Hematol, 2016, 2016 : 2394809. |
| [5] | Al-Hakeem DA, Fedele S, Carlos R, Porter S. Extranodal NK/T-cell lymphoma, nasal type[J]. Oral Oncol, 2007, 43 (1): 4-14. DOI: 10.1016/j.oraloncology.2006.03.011. |
| [6] | 王文权, 朱永林, 朱淼勇, 谢炳寿. 原发于胰腺的结外鼻型NK/T细胞淋巴瘤1例及文献复习[J]. 浙江实用医学, 2010, 15 (2): 163-164. |
| [7] | Baek YS, Shin SH, Yi HG, Kim DH, Woo SI, Park KS, Kwan J. Cardiac involvement in CD56 negative primary pancreatic extranodal NK/T-cell lymphoma, nasal type, presenting with ventricular tachycardia during the early stages of chemotherapy[J]. Intern Med, 2014, 53 (20): 2333-2336. DOI: 10.2169/internalmedicine.53.2764. |
| [8] | Liu W, Hua R, Zhang JF, Huo YM, Liu DJ, Sun YW. First report of primary pancreatic natural killer/T-cell nasal type lymphoma[J]. Eur Rev Med Pharmacol Sci, 2013, 17 (3): 318-322. |
| [9] | Hamzaoui M, Essid A, Sahli S, Ben Salah M, Boussen H, Ben Attia M, Houissa T. Nasal angiocentric T cell-natural killer cell lymphoma with pancreatic localisation in a child[J]. Arch Pediatr, 2003, 10 (11): 979-982. DOI: 10.1016/j.arcped.2003.07.005. |
| [10] | Zhou C, Bu X, Li X, Liu L, Xie X, Zhuo S, Yin H. Pancreas metastasization of nasal NK/T-cell lymphoma: a case report[J]. Cell Biochem Biophys, 2015, 73 (1): 17-20. DOI: 10.1007/s12013-015-0563-2. |
| [11] | Aydin GB, Akyuz C, Talim B, Evans SE, Sahin S, Sari N, Tabanlioglu D, Ozen S, Ca g lar M, Büyükpamuk u M. Extranodal type T/NK-cell lymphoma with an atypical clinical presentation[J]. Pediatr Hematol Oncol, 2007, 24 (4): 291-299. DOI: 10.1080/08880010701441112. |
| [12] | Suzumiya J, Takeshita M, Kimura N, Morioka E, Sakai T, Hisano S, Okumura M, Kikuchi M. Sinonasal malignant lymphoma of natural killer cell phenotype associated with diffuse pancreatic involvement[J]. Leuk Lymphoma, 1993, 10 (3): 231-236. DOI: 10.3109/10428199309145888. |
| [13] | Nassour I, Choti MA. Types of pancreatic cysts[J]. JAMA, 2016, 316 (11): 1226. DOI: 10.1001/jama.2016.9035. |
| [14] | Gill H, Liang RH, Tse E. Extranodal natural-killer/t-cell lymphoma, nasal type[J]. Adv Hematol, 2010, 2010 : 627401. |
| [15] | Chan JK, Sin VC, Wong KF, Ng CS, Tsang WY, Chan CH, Cheung MM, Lau WH. Nonnasal lymphoma expressing the natural killer cell marker CD56: a clinicopathologic study of 49 cases of an uncommon aggressive neoplasm[J]. Blood, 1997, 89 (12): 4501-4513. |
| [16] | Ding W, Wang J, Zhao S, Yang Q, Sun H, Yan J, Gao L, Yao W, Zhang W, Liu W. Clinicopathological study of pulmonary extranodal nature killer/T-cell lymphoma, nasal type and literature review[J]. Pathol Res Pract, 2015, 211 (7): 544-549. DOI: 10.1016/j.prp.2015.04.002. |
| [17] | Isaacson PG, O Connor NT, Spencer J, Bevan DH, Connolly CE, Kirkham N, Pollock DJ, Wainscoat JS, Stein H, Mason DY. Malignant histiocytosis of the intestine: a T-cell lymphoma[J]. Lancet, 1985, 2 (8457): 688-691. |
| [18] | Tse E, Kwong YL. Diagnosis and management of extranodal NK/T cell lymphoma nasal type[J]. Expert Rev Hematol, 2016, 9 (9): 861-871. DOI: 10.1080/17474086.2016.1206465. |
| [19] | Hasserjian RP, Harris NL. NK-cell lymphomas and leukemias: a spectrum of tumors with variable manifestations and immunophenotype[J]. Am J Clin Pathol, 2007, 127 (6): 860-868. DOI: 10.1309/2F39NX1AL3L54WU8. |
| [20] | Bazarbachi A, Azim HA, Alizadeh H, Aljurf M, Barista I, Chaudhri NA, Fahed Z, Fahmy OA, Ghavamzadeh A, Khalaf MH, Khatib S, Kutoubi A, Paydas S, Elayoubi HR, Zaatari G, Zawam HM, Zelenetz AD; MENA Lymphoma Regional Guidelines Committee. Modification and implementation of NCCN guidelines on lymphomas in the Middle East and North Africa region[J]. J Natl Compr Canc Netw, 2010, 8 (Suppl 3): S29-S35. |

