组织细胞吞噬性脂膜炎(CHP)是一种儿童罕见的脂膜炎,病理学特征为组织细胞增生的小叶性脂膜炎,伴有脂肪组织的出血坏死,可吞噬淋巴细胞、红细胞和血小板,典型的可形成“豆袋样细胞”。CHP可有多器官受累,临床表现为反复发热、复发性结节、浆膜炎、肝脾肿大等。合并EB病毒感染者病情更为复杂,易并发噬血细胞综合征,临床治疗困难。本文报告了近年笔者收治的1例婴儿期起病、合并EB病毒感染的CHP患儿,并复习国内外CHP相关文献,总结CHP的疾病特征、诊断及治疗,旨在为临床提供参考。
对象与方法 一. 1例婴儿期起病CHP合并EB病毒感染患儿的临床资料收集我科于2015年2月诊治1例婴儿期起病的CHP合并EB病毒感染患儿,收集其病史、体格检查、实验室及辅助检查、治疗、随访等资料。
二. 文献检索以“儿童”“CHP”“EB病毒”为检索词,对以下数据库的相关论文进行检索:PubMed、万方数据知识服务平台、中国期刊全文数据库(CKNI)、维普中文科技期刊数据库,筛选出儿童期起病的CHP合并EB病毒感染患儿临床资料,并进行总结。
结果 一. 1例儿童期起病的CHP合并EB病毒感染患儿的临床资料 1 病史及体格检查患儿女,2岁10月龄。因反复皮下结节伴发热2年4个月,咳嗽3 d于2015年2月26日入院。患儿6月龄起出现四肢、腰腹部多发性暗红色皮下质韧结节,伴持续性发热,体温波动于38~39℃,外院行腹部皮下结节活组织检查(活检),病理诊断为结节性非化脓性脂膜炎,予泼尼松治疗后皮下结节消失,但仍反复发热。患儿于1岁3月龄时病情加重,伴肝、脾肿大,外院骨髓细胞学检查可见吞噬现象,EB病毒、巨细胞病毒均(-),拟诊“结节性非化脓性脂膜炎并巨噬细胞活化综合征(HLH)”,予甲泼尼龙、甲氨蝶呤、环孢素治疗,病情控制不佳,并于3周前进展为持续性高热,为进一步诊治收入我科。患儿家族史无特殊。
体格检查:体温37.7℃,血压110/76 mm Hg(1 mm Hg=0.133 kPa)。体质量10 kg,身高82 cm。颈部可扪及3~4枚黄豆至花生米大淋巴结,心、肺未见异常,肝肋下4 cm,脾肋下3 cm,质中,表面光滑。神经系统检查未见异常。
2 辅助检查血红蛋白95 g/L,红细胞4.23×1012/L,白细胞1.31×109/L,血小板70×109/L。纤维蛋白原 (Fg) 0.96 g/L,凝血酶时间 (TT) 30.3 s,D-二聚体15.4 mg/L。ESR 8 mm/h。血清AST 124 U/L, 乳酸脱氢酶 (LDH) 1 859 U/L,甘油三酯2.02 mmol/L, 铁蛋白5 640 μg/L。血浆EB病毒DNA定量1.47×105 kU/L,EB病毒壳抗原IgM阳性,EB病毒壳抗原IgG阳性,EB病毒早期抗原IgG阳性,EB病毒核抗原IgG阴性。NK细胞0.044,可溶性IL-2受体7 290 kU/L、IL-6 11.2 ng/L,IL-10 106 ng/L,TNF-α 40.8 ng/L;抗核抗体阴性。骨髓细胞学检查示噬血细胞骨髓象(噬血细胞0.01);先天性噬血细胞性淋巴组织细胞增生症 (HLH) 基因 检测:未检测到穿孔基因PRF1、UNC13D、STX11、STXBP2、XIAP、SH2D1A、Rab27a、AP3B1、LYST、ITK基因突变。 将起病初期腹部皮下结节活检切片送至中山医学院病理室会诊,意见为:脂肪小叶内见多量组织细胞、小淋巴细胞和核碎屑,部分组织细胞胞浆丰富,内含较多核碎片,呈“豆袋样”细胞形态,还可见明显脂肪坏死,未见明显异型淋巴细胞。
|
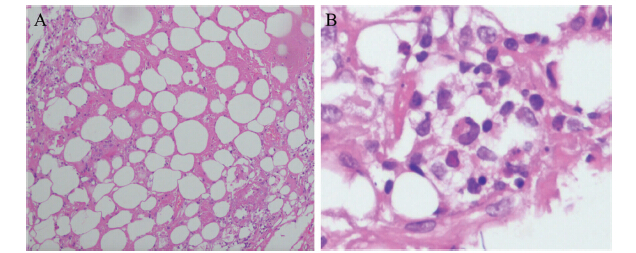
图 1 一例CHP合并EB病毒感染患儿的腹部皮下结节活检切片结果(苏木素-伊红染色,A×200、B×400) A:大量组织细胞浸润,部分脂肪小叶坏死;B:可见吞噬红细胞、核碎片等的组织细胞 (“ 豆袋样细胞”) |
结合临床经过,病变符合CHP,确诊为CHP合并EB病毒感染。予甲泼尼龙30 mg/ (kg·d) 冲击3 d,1周后逐渐减量至1.5 mg/ (kg·d) ;静脉 滴注丙种球蛋白5 g/d 2 d;环孢素6.5 mg/ (kg·d) , 每日分3次口服;静脉滴注更昔洛韦抗病毒治疗,以及行护肝、输注Fg等对症治疗。3 d后患儿体温恢复正常。1周后复查血常规稍好转。考虑患儿HLH的发生与原发病基础上合并EB病毒感染相关,按照HLH-2004方案适当调整后予化学治疗。2015年3月初起予静脉用依托泊苷,诱导缓解治疗4周,复查血常规明显好转。2015年4月巩固治疗4周后血常规恢复正常,继续维持治疗10周,于2015年7月底完成依托泊苷化学治疗。甲泼尼 龙逐渐减量,目前患儿口服甲泼尼龙2 mg/ (kg·d) ,环孢素25 mg每日2次。至撰稿日止,随访观察13个月未复发。目前患儿体质量14 kg,身高96 cm。具体治疗经过见表 1。
| 表 1 一例CHP合并EB病毒感染患儿的具体治疗经过 |
检索文献,至撰稿日本例联合依托泊苷成功治疗儿童CHP合并EB病毒感染患儿为国内报道的首例。在近15年(2001~2015年)公开发表的儿童CHP文献中,国内报道7篇,共报道11例,详细报道了6例;国外文献中报道7例。其中涉及EB病毒感染者4例(表 2中例1~4),详细的病例相关资料见表 2。
| 表 2 CHP的相关文献检索结果 |
CHP是一种罕见的疾病,于1980年首次报道,至今仅报道了40余例,大多患者为成年人[11]。目前已报道的儿童CHP患者中,发病最小年龄为6月龄[8]。CHP以皮下脂肪组织浸润良性T细胞和吞噬细胞 (“ 豆袋样”细胞)为特征[3]。合并HLH的患者可出现细胞因子风暴(严重的过度免疫应答)、多器官受累,病死率极高。
目前CHP的病因仍不明确,近年来认为与自身免疫相关。Aronson等[11]发现CHP的皮下损伤中存在大量良性的T细胞。因此,推测CHP的发病机制可能为T细胞单克隆增殖性疾病。CD4+的辅助T细胞(良性或恶性)释放细胞因子,如巨噬细胞刺激因子、TNF、IL等,可引起机体免疫失调甚至导致CHP的发生。其他导致免疫失调的因素还有感染(EB病毒感染)、结缔组织疾病等。本例患儿有明确的近期EB病毒感染证据,可能与其CHP病情加重并发HLH相关。复习相关文献,CHP合并EB病毒感染者少见,且大多为既往感染,具体发生机制未明。
CHP的确诊主要依靠组织病理学检查。临床上最容易混淆的是结节性脂膜炎,本例患儿长期被误诊为该病,因其与CHP临床及病理相似,但CHP内脏损害突出,以进行性肝衰竭、全血细胞减少为特征。CHP的组织细胞呈现明显的吞噬性,有的细胞质充满被吞噬的细胞碎片,形成特征性的“豆袋样细胞”,而结节性脂膜炎组织细胞吞噬脂质形成“泡沫细胞”[12]。考虑基层医院缺乏罕见病的病理诊断基础,但临床诊断“结节性脂膜炎”患儿出现多器官损害以及全血细胞减少,且传统治疗方法效果不佳时,需考虑本病的诊断,且需进一步筛查可能的感染诱因。
鉴别诊断中另一易混淆的是皮下脂膜炎样T细胞淋巴瘤(SPTCL)。两者最显著的区别在于CHP患者的组织病理中可见良性分化的T细胞,而SPTCL的病程经过属于恶性。但这两类疾病间有一定的相关性。目前有学者认为CHP是SPTCL自然病程的一个阶段,即致死性CHP和SPTCL是同一疾病发展过程中的不同阶段,随着时间的进展,前者很可能发展成为恶性度很高的SPTCL。但SPTCL主要影响成年人,70%以上发生于18~60岁,儿童发病极为罕见[13-14]。目前已经报道的在2岁以下发病的仅有3例[8,14]。本例患儿的病史、临床表现、辅助检查,与文献报道的CHP特点相符,且无SPTCL的证据,基本可排除SPTCL。
CHP目前尚无较好的治疗方法。复习国内外报告的近百例成人CHP,绝大多数为死亡病例。儿童期起病的治疗更为困难。近15年国内明确报道的6例儿童CHP中,仅1例病情稳定,1例院内死亡,4例好转后失去随访[1,5-7]。国外报道的患儿中,1例死于凝血功能障碍[2]。合并EB病毒感染者治疗难度更大。目前认为,对于非恶性HLH相关性CHP,首选治疗为大剂量全身应用甲泼尼龙联合环孢素,可使症状明显缓解。对于复发、难治性或其他更严重形式的CHP应当考虑化学治疗[3]。尤其是在进展很快的CHP治疗中,可能需要在自体外周干细胞移植术后再行大剂量的化学治疗[3]。CHP的治疗选择与合并症密切相关。研究表明,积极的抗感染治疗对60% ~70%的感染相关性HLH患者有效[9]。但对于EB病毒相关性HLH,由于细胞因子风暴的存在,机体不能产生足够的EB病毒特异性CD8+细胞毒性T细胞,使疗效下降。抗感染治疗本身不足以抑制快速进展的HLH。因此,激素与环孢素、依托泊苷对EB病毒感染相关性HLH治疗作用明确,可提高HLH存活率。依托泊苷为细胞毒类药物,作用于DNA拓扑异构酶Ⅱ,对单核巨噬细胞的选择性最强,能诱导细胞凋亡。体外实验发现,依托泊苷可抑制EB病毒复制及EB病毒核抗原的合成,是治疗HLH的关键药物,特别是EB病毒相关HLH。本例合并EB病毒患儿感染后继发HLH。既往文献中暂无完善的治疗方案,国外有EB病毒感染患儿曾使用依托泊苷治疗,但疗效不肯定。本例诊治中,考虑患儿在外院反复予激素及免疫抑制剂后病情控制不理想,合并EB病毒感染后病情加重,参考相关文献后,按照HLH-2004方案适当调整后,在激素、环孢素基础上联用了依托泊苷,治疗后效果满意,目前随访13个月病情稳定,但鉴于该病病因复杂,病情凶险,病死率高,因此仍要对该患儿予密切随访。
| [1] | 袁风红. 组织细胞吞噬性脂膜炎1例[J]. 中国皮肤性病学杂志, 2011, 25 (2): 158. |
| [2] | Chen RL, Hsu YH, Ueda I, Imashuku S, Takeuchi K, Tu BP, Chuang SS. Cytophagic histiocytic panniculitis with fatal haemophagocytic lymphohistiocytosis in a paediatric patientwith perforin gene mutation[J]. J Clin Pathol, 2007, 60 (10): 1168-1169. DOI: 10.1136/jcp.2007.049551. |
| [3] | Pasqualini C, Jorini M, Carloni I, Giangiacomi M, Cetica V, Aricò M, de Benedictis FM. Cytophagic histiocytic panniculitis, hemophagocytic lymphohistiocytosis and undetermined autoimmunedisorder: reconciling the puzzle[J]. Ital J Pediatr, 2014, 40 (1): 17. DOI: 10.1186/1824-7288-40-17. |
| [4] | Koizumi K, Sawada K, Nishio M, Katagiri E, Fukae J, Fukada Y, Tarumi T, Notoya A, Shimizu T, Abe R, Kobayashi H, Koike T. Effective high-dose chemotherapy followed by autologous peripheral blood stem cell transplantation in apatient with the aggressive form of cytophagic histiocytic panniculitis[J]. Bone Marrow Transplant, 1997, 20 (2): 171-173. DOI: 10.1038/sj.bmt.1700858. |
| [5] | 薛慧,刘强.嗜血细胞综合症并发组织细胞吞噬性脂膜炎.十五次全国皮肤性病学术年会,天津:2009. |
| [6] | 阎衡, 邓军, 郝进, 叶庆俏. 组织细胞吞噬性脂膜炎1例[J]. 临床皮肤科杂志, 2006, 35 (4): 241-242. |
| [7] | 李梦涛, 曾小峰, 张奉春, 唐福林. 组织细胞吞噬性脂膜炎六例临床分析及文献复习[J]. 中华内科杂志, 2004, 43 (8): 576-579. |
| [8] | Bader-Meunier B, Fraitag S, Janssen C, Brochard K, Lamant L, Wouters C, Bodemer C. Clonal cytophagic histiocytic panniculitis in children may be cured by cyclosporine A[J]. Pediatrics, 2013, 132 (2): e545-e549. DOI: 10.1542/peds.2012-3256. |
| [9] | Pauwels C, Livideanu CB, Maza A, Lamant L, Paul C. Cytophagic histiocytic panniculitis after H1N1 vaccination: a case report and review of the cutaneous side effects of influenza vaccines[J]. Dermatology, 2011, 222 (3): 217-220. DOI: 10.1159/000326912. |
| [10] | Behrens EM, Kreiger PA, Cherian S, Cron RQ. Interleukin 1 receptor antagonist to treat cytophagic histiocytic panniculitis with secondaryhemophagocytic lymphohistiocytosis[J]. J Rheumatol, 2006, 33 (10): 2081-2084. |
| [11] | Aronson IK, Worobec SM. Cytophagic histiocytic panniculitis and hemophagocytic lymphohistiocytosis: an overview[J]. Dermatol Ther, 2010, 23 (4): 389-402. DOI: 10.1111/(ISSN)1529-8019. |
| [12] | 王慧涵, 廖爱军, 刘卓刚, 王晓彬. 细胞吞噬性组织细胞脂膜炎并发脑神经系统症状1例并文献复习[J]. 临床血液学杂志, 2007, 20 (4): 198-200. |
| [13] | Willemze R, Jansen PM, Cerroni L, Berti E, Santucci M, Assaf C, Canninga-van Dijk MR, Carlotti A, Geerts ML, Hahtola S, Hummel M, Jeskanen L, Kempf W, Massone C, Ortiz-Romero PL, Paulli M, Petrella T, Ranki A, Peralto JL, Robson A, Senff NJ, Vermeer MH, Wechsler J, Whittaker S, Meijer CJ; EORTCCutaneous Lymphoma Group. Subcutaneous panniculitis-like T-cell lymphoma: definition, classification, and prognostic factors: an EORTC Cutaneous Lymphoma Group Study of 83 cases[J]. Blood, 2008, 111 (2): 838-845. DOI: 10.1182/blood-2007-04-087288. |
| [14] | Koh MJ, Sadarangani SP, Chan YC, Chan MY, Tan AM, Tan SH, Tay YK, Ng SB. Aggressive subcutaneous panniculitis-like T-cell lymphoma with hemophagocytosis in two children (subcutaneous panniculitis-like T-cell lymphoma)[J]. J Am Acad Dermatol, 2009, 61 (5): 875-881. DOI: 10.1016/j.jaad.2009.01.045. |

