COPD是呼吸系统的常见病和多发病,是一种以持续气流受限为特征的疾病,与气道和肺脏对有毒颗粒或气体的慢性炎性反应有关[1]。我国40岁以上人群COPD患病率为8.2%,每年致死人数达100万[2]。研究发现,气道上皮细胞合成、分泌的胸腺基质淋巴细胞生成素(TSLP)在慢性气道疾病中是一个关键的促炎细胞因子,也是启动辅助性T细胞2(Th2) 型免疫炎性反应的关键因子和促进因子[3-4]。机体受到外来刺激后,气道上皮细胞、平滑肌细胞、肥大细胞、纤维母细胞的TSLP表达水平升高,分别作用于CD4+T细胞、CD8+T细胞、B细胞、平滑肌细胞及多器官组织细胞,通过自分泌或旁分泌的机制,对局部炎症反应及气道重塑改变产生深远的影响[4-8]。相关研究提示,TSLP可以促进肌成纤维细胞的增殖及迁移,促进淋巴细胞增殖等[6, 8-9]。吸烟可以导致肺内TSLP的表达升高,引起Th2型免疫炎性反应[11]。吸烟COPD患者的肺部结构变化过程中有增生及胶原蛋白沉积性气道改变的参与[12-13]。但是,TSLP在COPD中的意义尚不清楚。本研究通过对人肺组织标本切片行免疫组织化学染色(免疫组化)的方法,观察炎症蛋白TSLP在吸烟相关COPD患者气道中的表达情况,结合Ki-67及胶原蛋白等指标,分TSLP与吸烟相关COPD患者的细胞增生及胶原蛋白沉积的关系。
对象与方法 一、研究对象收集2013年5月至2013年11月于中山大学附属第三医院心胸外科经肺部手术获得肺组织病理标本患者10例,按照术前肺功能情况及临床表现分为:吸烟COPD者1例(50岁男性,吸烟19年);非吸烟COPD者1例(63岁男性);吸烟肺功能正常者3例(56岁男性吸烟40年,27岁男性吸烟12年,70岁女性吸烟30年);非吸烟肺功能正常者5例[男1例、女4例,年龄(65.8±7.7) 岁],均无合并感染性疾病、风湿免疫相关疾病等。COPD诊断符合2013年COPD全球倡议的标准。该研究入组的试验对象均获得病理检查知情同意,研究方案已通过伦理审查。
二、主要试剂一抗兔抗人TSLP多克隆抗体购于美国Millipore公司,一抗兔抗人Ki-67单克隆抗体购于英国Novocastra公司,二氨联苯胺(DAB)三步显色试剂盒(含二抗、三抗)购于英国Novocastra公司,苏木素-伊红(HE)染色液购于美国DAKO公司,Masson三色染色试剂盒购于广州博精生物公司。其余实验试剂均购于广州泉晖生物公司。
三、方法将手术切取肺组织立即放入4%甲醛溶液中,固定组织,2 h内送至中山大学附属第三医院病理科,制备石蜡组织切块标本。标本经甲醛固定石蜡包埋后制成4 μm厚连续切片,置于玻片上,于烤箱中65℃烤干。采用HE染色确定肺部基本结构,免疫组化检测肺内TSLP的表达与分布及Ki-67表达情况,Masson三色染色法检测胶原蛋白表达(胶原纤维、黏液、软骨呈蓝色,肌纤维、纤维素和红细胞呈红色、胞核呈蓝黑色)。收集10例标本来源患者的基本信息,于中山大学附属第三医院病案管理系统(HIS)查找病例诊断及肺功能资料等信息。
四、图片采集及处理固定显微镜拍摄照片的曝光时间、先低倍后高倍,确定染色满意的曝光度、对比度,在同一物镜下短时间拍摄完所有照片(放大倍数为100) 存入电脑中。用Image pro-plus 6.0(IPP)软件对图像进行定量分析。每张病理片取20个结构组织类似的视野进行计算。图片经光密度校正后,固定校正数值,在同一校正数值下计算图片的总光密度值,总光密度值反映蛋白表达总量。
五、统计学处理使用SPSS 20.0分析资料,采用K-S检验分析数据是否符合正态分布,正态分布的计量资料以x±s表示,多组间差异用单因素方差分析,多组数据两两比较采用LSD-t法;不符合正态分布的计量资料采用中位数(上、下四分位数)表示,多组间比较采用Kruskal-Wallis检验,相关分析采用Spearman秩相关分析。总体比较以P<0.05为差异有统计学意义,不符合正态分布的计量资料进一步两两比较采用Bonferroni法校正,即P<0.05/6=0.008为差异有统计学意义。
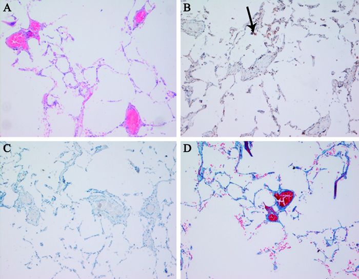
结果 一、非吸烟肺功能正常者肺组织的病理结果本例55岁非吸烟肺功能正常女性的FEV1%为90.3%,FEV1/FVC为85.2%。其肺泡腔周径为(503±45)μm,肺泡间隔宽度为(9.6±2.2)μm,伴行小动脉管壁厚度为(24.2±3.4)μm。HE染色示,肺组织肺泡间隔粗细均匀,肺泡腔分布均匀、大小较为一致,伴行小血管动脉管腔光滑,管壁厚度适中,炎症细胞少见,无色素沉积,肺泡腔以巨噬细胞分布为主;免疫组化示TSLP、Ki-67均阴性,见图 1。
|
图 1 一例非吸烟肺功能正常者肺组织的病理结果(光镜,×100) A:HE染色;B:TSLP染色;C:Ki-67染色;D:Masson染色 |
本例56岁男性吸烟肺功能正常者,吸烟40年,FEV1%为79%,FEV1/FVC为82%。其肺泡腔周径为(612±65)μm,肺泡间隔宽度为(12.4±2.5)μm,伴行小血管管壁厚度(50±6.4)μm。HE染色示,大气道肺组织气道上皮增生肥大,细胞核深染,腺体增生、杯状细胞数量增多,部分气道鳞状上皮化生、增生活跃,气道壁厚度增加,平滑肌层和细胞外基质增厚、增多、排列紊乱,伴行小血管动脉管腔变小甚至成裂隙状,动脉壁增厚,间质内炎性细胞浸润,包括较多的中性粒细胞、淋巴细胞、偶见少量嗜酸性粒细胞;免疫组化示TSLP、Ki-67均阳性,见图 2。
|
图 2 一例吸烟肺功能正常者肺组织的病理结果(光镜,×100) A:HE染色;B:TSLP染色;C:Ki-67染色;D:Masson染色;箭头示阳性染色 |
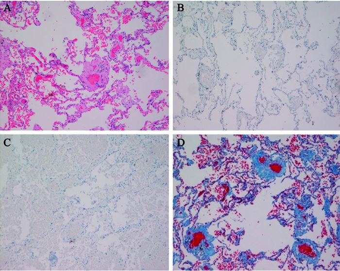
本例63岁非吸烟肺气肿型COPD患者的FEV1%为70%,FEV1/FVC为65%。其肺泡腔周径为(1 020±135)μm,肺泡间隔宽度(3.3±1.2)μm,伴行小血管管壁厚度为(4.2±1.4)μm。HE染色示,肺泡间隔成分单一纤维化为主,细胞成分减少,间隔变细、撕裂断开、不完整,肺泡上皮萎缩、消失,COPD患者肺泡腔比正常非吸烟肺者扩大2~10倍不等、撕裂断开,伴行小血管动脉管腔饱胀,被牵扯变形,周径缩小,管壁变薄,管壁以纤维组织为主,细胞成分少见,未见炎症细胞浸润;免疫组化示TSLP阳性,见图 3。
|
图 3 一例非吸烟COPD患者肺组织的病理结果(光镜,×100) A:HE染色;B:TSLP染色;C:Ki-67染色;D:Masson染色;箭头示阳性染色 |
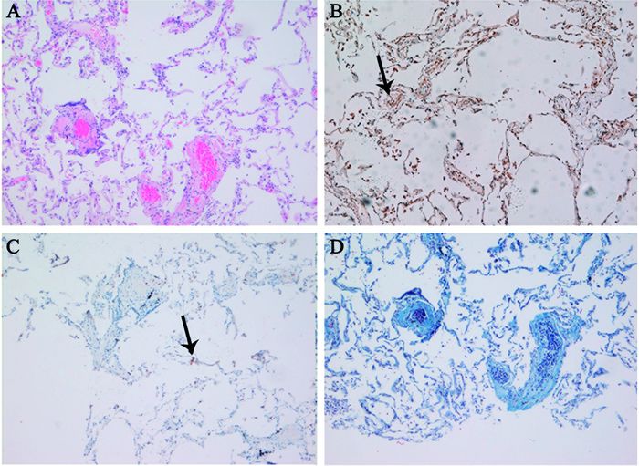
本例50岁男性吸烟COPD患者,吸烟19年,FEV1%为16%,FEV1/FVC为63%。肺泡腔周径肺泡间隔宽度分别为(980±78)、(4.5±1.9)μm,伴行小血管管壁厚度为(21.4±4.4)μm。HE染色示肺泡间隔粗细不均匀,成分以纤维化为主,细胞成分减少,间隔变细、撕裂断开、不完整,肺泡上皮萎缩、消失,肺泡腔扩大、撕裂断开,呼吸性末端细支气管断裂、不完整、断裂残留处呈皱缩的团状细支气管上皮积聚,不能形成断裂后残留的圆形轨迹,伴行小血管动脉周径缩小,管壁以纤维组织为主,稍增厚,间质内炎性细胞浸润,可见中性粒细胞、淋巴细胞及含色素沉积的巨噬细胞增多;免疫组化示TSLP、Ki-67均阳性,见图 4。
|
图 4 一例吸烟COPD患者肺组织的病理结果(光镜,×100) A:HE染色;B:TSLP染色;C:Ki-67染色;D:Masson染色;箭头示阳性染色 |
TSLP在细胞核、胞浆、细胞外均有分布,在气道上皮、细胞外间质内的炎性细胞、巨噬细胞及血管平滑肌层、气道平滑肌层均有分布,在肺泡腔及细胞外基质内有散在细胞外分布。TSLP主要在吸烟者的气道上皮表达。TSLP光密度由高至低依次为:吸烟肺功能正常者、吸烟肺COPD者、非吸烟肺功能正常者、非吸烟肺COPD者,见表 1。
| 表 1 TSLP、Ki-67、胶原蛋白的组间比较 |
Ki-67在细胞核内表达,其阳性细胞在非吸烟肺功能正常肺组织、COPD肺组织中稀少。在吸烟者的小气道中,Ki-67阳性细胞及气道上皮增生情况有升高,在气道增生组织纤维化的吸烟者的气道基底层细胞增生状态更为明显。在吸烟相关的增生性炎性病理组织中Ki-67阳性细胞数目增多。Ki-67阳性细胞数由多至少依次为:吸烟肺功能正常者、吸烟COPD者、非吸烟COPD者、非吸烟肺功能正常者,见表 1。
3. 胶原蛋白的表达情况分析肺内胶原蛋白的总光密度由高至低依次为:吸烟肺功能正常者、非吸烟肺功能正常者、吸烟COPD者、非吸烟COPD者,见表 1。
4. 组间比较吸烟肺功能正常者的TSLP总光密度、胶原蛋白总光密度、Ki-67均比其他3者升高(P<0.008或0.01)。吸烟COPD者的TSLP总光密度、胶原蛋白总光密度、Ki-67阳性细胞数高于或多于非吸烟COPD者(P<0.008或0.01),其TSLP总光密度高于非吸烟肺功能正常者、胶原蛋白总光密度低于非吸烟肺功能正常者(P均<0.008或0.01)。非吸烟COPD者胶原蛋白总光密度低于非吸烟肺功能正常者(P<0.01),见表 1。
六、TSLP光密度、Ki-67阳性细胞数及胶原蛋白光密度间的相关性分析人肺组织中TSLP的总光密度与胶原蛋白总光密度(rs=0.547,P<0.01) 及Ki-67阳性细胞数(rs=0.808,P<0.01) 呈正相关,胶原蛋白光密度与Ki-67阳性细胞数也呈正相关(rs=0.620,P<0.01)。
讨论尽管公共卫生运动极力劝阻吸烟,美国每日仍约有1 000名青少年成为烟民[14]。吸烟是COPD的最大危险因素和重要病因[15]。
本研究显示,吸烟者存在呼吸性末端细支气管及伴行血管平滑肌增厚、胶原蛋白沉积等改变,这与既往研究一致[16]。与Nakamura等[11]在吸烟小鼠模型中的研究结果类似,本研究显示TSLP在吸烟肺功能正常者及吸烟COPD患者中表达升高,尤其在增生活跃、结构细胞增多的组织中升高更为明显。由此推测,TSLP可能作用于含有TSLP受体的炎性细胞及气道结构细胞,发挥着复杂的气道重塑作用[4-8]。TSLP主要在气道上皮表达,这为将来研究TSLP的抑制剂治疗肺部炎性疾病提供了剂型研发方向,日后可能可以通过气雾给药途径,使药物在TSLP的主要表达部位气道上皮中均匀分布,以发挥良好的治疗效应。
Ki-67是代表细胞增生的核内表达蛋白[17]。Kranenburg等[13]报道,COPD患者中存在平滑肌细胞及间质细胞的Ki-67相关增生反应。2007年Miller等[18]指出,吸烟者中气道上皮Ki-67阳性表达率比不吸烟者或既往吸烟者升高,但是Ki-67阳性表达率本身与COPD无明显相关性。本研究显示,在吸烟者的增生性炎性反应状态中,Ki-67阳性细胞增多,但是非吸烟者中Ki-67阳性细胞无明显增多。
Masson染色是较为常用的胶原纤维特殊染色法。本研究显示肺内胶原蛋白含量由多至少依次为:吸烟肺功能正常者、非吸烟肺功能正常者、吸烟COPD患者、非吸烟COPD患者,与既往吸烟够诱发胶原蛋白增生及肺纤维化的研究结果相一致。
在吸烟相关COPD的病理改变中,可能存在复杂的过程。在吸烟的起始阶段,吸烟者表现为炎症刺激组织细胞增生及细胞外基质沉积的纤维化增生改变为主,炎性反应剧烈,巨噬细胞的吞噬能力下降,外来刺激物不断沉积,引起氧化应激反应的增强及细胞自噬系统的活性增强[19]。肺组织结构不断被破坏,组织成分不断丢失,逐渐形成细胞及细胞外基质均普遍减少的肺气肿病理结构。本研究观察到在吸烟COPD患者中,由于肺泡腔扩大不断牵拉组织,原来已有增生重塑的结构如增厚的呼吸性气道上皮被撕裂,表现为团状聚集断裂等结构形态的变化。由此可见,吸烟相关COPD是气道增生重塑与损伤丢失共同参与的过程,吸烟早期病理以气道组织增生为主,晚期表现为组织结构成分的丢失。从而导致COPD的发生、发展,造成一系列的病理生理学改变及引起相关并发症。
有研究提示,TSLP在哮喘患者中有促进细胞增生及迁移的影响[6]。在COPD患者的肺部改变中,TSLP可能倾向于通过组织增生性气道重塑,促进气道增厚型狭窄等改变。吸烟肺功能正常者炎性细胞浸润,TSLP表达更多,Ki-67阳性细胞增多,组织细胞增生更明显,考虑与吸烟早期肺内细胞更敏感,免疫微环境反应更为强烈有关。对于COPD患者而言,免疫能力下降,对吸烟刺激的敏感度有所下降,炎性反应反而有所降低。
本研究显示,TSLP与胶原蛋白含量、细胞增生情况(Ki-67阳性细胞数)这3个指标两两之间均呈正相关。说明TSLP可能与气道的组织细胞增生及胶原蛋白沉积有一定相关性。本研究在人肺的组织切片中发现TSLP可能与吸烟相关COPD发病中的组织细胞增生及纤维化有关。然而,COPD患者肺组织标本的获取有难度,本研究纳入病例的组织图片典型,图片清晰且对比鲜明,结论有一定说服力,但由于病例数目有限,是否具有普适性,仍需要进一步加大样本量研究证实。
综上所述,TSLP在吸烟者的气道上皮高表达,与吸烟相关COPD发病中的组织细胞增生及胶原蛋白沉积呈正相关,在肺组织增生型狭窄及纤维化改变中有一定临床意义,这为TSLP在COPD患者临床分型及治疗靶点方面提供一定病理依据。
| [1] |
Vestbo J, Hurd SS, Agustí AG, Jones PW, Vogelmeier C, Anzueto A, Barnes PJ, Fabbri LM, Martinez FJ, Nishimura M, Stockley RA, Sin DD, Rodriguez-Roisin R. Global strategy for the diagnosis, management, and prevention of chronic obstructive pulmonary disease:GOLD executive summary[J]. Am J Respir Crit Care Med, 2013, 187(4): 347-365. DOI:10.1164/rccm.201204-0596PP |
| [2] |
AECOPD诊治专家组. 慢性阻塞性肺疾病急性加重(AECOPD)诊治中国专家共识(草案)[J]. 国际呼吸杂志, 2012, 32(22): 1681-1691. DOI:10.3760/cma.j.issn.1673-436X.2012.022.001 |
| [3] |
Ito T, Liu YJ, Arima K. Cellular and molecular mechanisms of TSLP function in human allergic disorders-TSLP programs the "Th2 code" in dendritic cells[J]. Allergol Int, 2012, 61(1): 35-43. DOI:10.2332/allergolint.11-RAI-0376 |
| [4] |
Redhu NS, Gounni AS. Function and mechanisms of TSLP/TSLPR complex in asthma and COPD[J]. Clin Exp Allergy, 2012, 42(7): 994-1005. DOI:10.1111/j.1365-2222.2011.03919.x |
| [5] |
Ying S, O'Connor B, Ratoff J, Meng Q, Fang C, Cousins D, Zhang G, Gu S, Gao Z, Shamji B, Edwards MJ, Lee TH, Corrigan CJ. Expression and cellular provenance of thymic stromal lymphopoietin and chemokines in patients with severe asthma and chronic obstructive pulmonary disease[J]. J Immunol, 2008, 181(4): 2790-2798. DOI:10.4049/jimmunol.181.4.2790 |
| [6] |
孟平, 陈壮桂, 张天托, 李洪涛, 邹小玲, 杨海玲. TSLP促进肌成纤维细胞向哮喘小鼠气道募集[J]. 中国免疫学杂志, 2016, 32(6): 777-781, 786. |
| [7] |
Lee HC, Ziegler SF. Inducible expression of the proallergic cytokine thymic stromal lymphopoietin in airway epithelial cells is controlled by NFkappaB[J]. Proc Natl Acad Sci U S A, 2007, 104(3): 914-919. DOI:10.1073/pnas.0607305104 |
| [8] |
Allakhverdi Z, Comeau MR, Jessup HK, Delespesse G. Thymic stromal lymphopoietin as a mediator of crosstalk between bronchial smooth muscles and mast cells[J]. J Allergy Clin Immunol, 2009, 123(4): 958-960. DOI:10.1016/j.jaci.2009.01.059 |
| [9] |
Kitajima M, Lee HC, Nakayama T, Ziegler SF. TSLP enhances the function of helper type 2 cells[J]. Eur J Immunol, 2011, 41(7): 1862-1871. DOI:10.1002/eji.201041195 |
| [10] |
Nagata Y, Kamijuku H, Taniguchi M, Ziegler S, Seino K. Differential role of thymic stromal lymphopoietin in the induction of airway hyperreactivity and Th2 immune response in antigen-induced asthma with respect to natural killer T cell function[J]. Int Arch Allergy Immunol, 2007, 144(4): 305-314. DOI:10.1159/000106319 |
| [11] |
Nakamura Y, Miyata M, Ohba T, Ando T, Hatsushika K, Suenaga F, Shimokawa N, Ohnuma Y, Katoh R, Ogawa H, Nakao A. Cigarette smoke extract induces thymic stromal lymphopoietin expression, leading to T(H)2-type immune responses and airway inflammation[J]. J Allergy Clin Immunol, 2008, 122(6): 1208-1214. DOI:10.1016/j.jaci.2008.09.022 |
| [12] |
Sekhon HS, Wright JL, Churg A. Cigarette smoke causes rapid cell proliferation in small airways and associated pulmonary arteries[J]. Am J Physiol, 1994, 267(5 Pt 1): L557-L563. |
| [13] |
Kranenburg AR, Willems-Widyastuti A, Mooi WJ, Saxena PR, Sterk PJ, de Boer WI, Sharma HS. Chronic obstructive pulmonary disease is associated with enhanced bronchial expression of FGF-1, FGF-2, and FGFR-1[J]. J Pathol, 2005, 206(1): 28-38. DOI:10.1002/(ISSN)1096-9896 |
| [14] |
Ronhovdee M. Criticism of Tom Houston's review of tobacco:a cultural history of how an exotic plant seduced civilization[J]. Med Gen Med, 2002, 4(3): 25. |
| [15] |
Morse D, Rosas IO. Tobacco smoke-induced lung fibrosis and emphysema[J]. Annu Rev Physiol, 2014, 76: 493-513. DOI:10.1146/annurev-physiol-021113-170411 |
| [16] |
Chung KF. The role of airway smooth muscle in the pathogenesis of airway wall remodeling in chronic obstructive pulmonary disease[J]. Proc Am Thorac Soc, 2005, 2(4): 347-354. DOI:10.1513/pats.200504-028SR |
| [17] |
黄泽楠, 曾维根, 萨诺杰, 陈健宁, 胡攀, 黄勇. Ki-67在乳腺浸润性导管癌中的表达及其临床意义[J]. 新医学, 2013, 44(12): 849-853. DOI:10.3969/g.issn.0253-9802.2013.12.013 |
| [18] |
Miller YE, Blatchford P, Hyun DS, Keith RL, Kennedy TC, Wolf H, Byers T, Bunn PA Jr, Lewis MT, Franklin WA, Hirsch FR, Kittelson J. Bronchial epithelial Ki-67 index is related to histology, smoking, and gender, but not lung cancer or chronic obstructive pulmonary disease[J]. Cancer Epidemiol Biomarkers Prev, 2007, 16(11): 2425-2431. DOI:10.1158/1055-9965.EPI-07-0220 |
| [19] |
Monick MM, Powers LS, Walters K, Lovan N, Zhang M, Gerke A, Hansdottir S, Hunninghake GW. Identification of an autophagy defect in smokers' alveolar macrophages[J]. J Immunol, 2010, 185(9): 5425-5435. DOI:10.4049/jimmunol.1001603 |

