我国胃癌发病率和病死率仅次于肺癌,在恶性肿瘤发病率和病死率中排名第二,我国每年新发胃癌患者约40万,约占世界新发胃癌40%,严重影响着患者的生活质量[1-2]。目前,依靠早期筛查、早期诊断、内镜早期胃癌治疗和手术为主结合放射治疗及化学治疗的方法,虽然一定程度上提高胃癌患者的生存率,但中晚期胃癌患者的生存率仍很低,术后5年生存率仅为20%[3]。尾型同源盒转录因子2(CDX2) 属于肠道特异性尾型同源异型盒转录因子中的一员,在肠道特异性表达,其基因突变、转录水平下降及异位表达均可成为促成癌前病变甚至肿瘤发生发展的原因。有实验证实,在胃黏膜发生肠化生的过程中,CDX2基因的表达先于CDXl基因等其它肠道特异性基因的表达,提示CDX2蛋白异常表达是胃黏膜发生肠化生的“始作俑者”[4]。与此同时,有学者指出CDX2在体外能够抑制胃癌细胞的增殖,其机制可能是CDX2过度表达阻断了IL-6/STAT3通路,进而作用于Bcl-2、cyclinD1和suivivin,抑制了它们的表达,从而促进Bax表达[5]。CDX2在胃癌的发生发展中因环境不同而起相反的作用,这表明CDX2与胃癌发生发展有密切的关联。本研究目的是探讨CDX2表达程与胃癌患者的临床、病理特征的关联程度,进而评估CDX2作为评价患者预后指标的价值。
材料与方法 一、研究对象 1. 胃癌1组选取江门市中心医院2016年1月至12月期间的60例行胃癌手术者(定为胃癌1组),均证实为胃腺癌,术中收集新鲜胃癌组织以及癌旁5 cm处的正常胃黏膜组织,并且组织切缘没有残留癌细胞。胃癌1组中,男41例、女19例,年龄(49.7±5.8) 岁,其余各项临床病理指标见表 1。
| 表 1 胃癌1组与胃癌2组一般情况及胃癌病理特征 |
选取江门市中心医院2014年1月至12月期间的80例胃癌患者(定为胃癌2组),均证实为胃腺癌,术中收集胃癌组织以及癌旁5 cm处的正常胃黏膜组织, 并且组织切缘没有残留癌细胞,术后均接受6个周期XELOX化学治疗,排除术前接受新辅助化学治疗,围手术期放射治疗患者。男56例、女24例,年龄(47.3±5.7) 岁, 其余各项临床病理指标见表 1。
二、主要仪器和试剂7500型实时荧光定量PCR仪(美国Applied Biosystems公司),TRIzol试剂(美国Invitrogen公司),RevertAidTM First strand cDNA Synthesis kit(美国Thermo公司),CDX2抗体(上海基因科技)。应用Primer Primier 5.0软件进行CDX2及β-actin的qPCR引物的设计(上海睿安生物科技有限公司)。
三、实验方法 1. CDX2 mRNA表达水平的检测及结果判定取胃癌1组的60例胃癌及癌旁5 cm处的胃黏膜组织,按照TRIzol(美国Invitrogen公司)说明书提取总RNA。使用紫外分光光度计测定提取物浓度,A260/A280比值在1.8~2.0。按照说明书,完成逆转录过程,在7500型实时荧光定量PCR仪上进行实时定量PCR检测,以β-actin作为内参,使用SYBR Green mix (ROX)进行qPCR反应。CDX2和β-actin的qPCR引物按照Primer Primier 5.0软件设计,其中CDX2上游引物为5'-CGCCGC AGAACTTCGTCAG-3'、下游引物为5'-CGTAGC CATTCCAGTCCTCCC-3';β-actin上游引物为5'-TGACGTGGACATCCGCAAAG-3'、下游引物为5'-CTGGAAGGTGGACAGCGAGG-3'。取2-ΔΔCt即代表被检样品起始样本的mRNA的相对含量。Ct值>35,认为该基因不表达,即为阴性。
2. CDX2蛋白表达水平的检测及结果判定取胃癌1组和胃癌2组共计140例胃癌及癌旁5 cm处的胃黏膜组织经10%甲醛固定,常规脱水、石蜡包埋、4 μm连续切片。所需一抗CDX2克隆号为EPR2764Y兔单抗,稀释浓度为1:200。以已知的该指标的免疫组织化学(组化)染色阳性片作为阳性对照,以磷酸盐缓冲液(PBS)代替一抗作阴性对照,苏木素-伊红(HE)切片作对照观察。免疫组化采用链霉素抗生素蛋白(SP)法,由Roche公司全自动免疫组化仪完成全部免疫组化操作,Leica ST5020全自动封片机完成封片。
结果判读:CDX2阳性着色定位于细胞核,呈淡黄色到棕黄色或褐色颗粒。2位高年资病理医师采用双盲法独立阅片。采用半定量积分法判断结果,具体如下:染色阳性细胞0%~5%计为0分、6%~25%计为1分、26%~50%计为2分、51%~75%计为3分、76%~100%计为4分;染色强度判定方法:不着色计为0分、淡黄色计为1分、棕黄色计为2分、棕褐色计为3分。将染色阳性细胞计分与染色强度计分相加,根据评分标准,判定染色结果,评分0~2分为阴性,评分3~7分为阳性。
四、术后随访胃癌2组术后随访以门诊随访与电话随访相结合的方式,术后第1年每3个月随访1次,术后第2年每6个月随访1次,记录患者残胃复发或吻合口复发、远处复发转移、死亡等情况。随访时间截至2016年12月,随访时间为2年。
五、统计学处理正态分布定量资料以x±s表示,配对设计组间比较采用配对t检验,成组设计组间比较用独立样本t检验,非正态分布定量资料用中位数(最小值~最大值)表示,组间比较用Wilcoxon秩和检验。分类资料采用率表示,组间比较用χ2检验。P<0.05为差异有统计学意义。
结果 一、胃癌1组CDX2表达情况及其临床病理特征的相关性与癌旁5 cm处的正常胃黏膜组织相比,胃癌1组中60例胃癌组织中CDX2 mRNA表达水平较高,差异有统计学意义(P<0.05);胃癌组织CDX2 mRNA表达水平与性别、TNM分期、淋巴结转移有关(P<0.05),与患者年龄、肿瘤分化程度、肿瘤大小等因素无关(P>0.05)。与Ⅲ~Ⅳ期、淋巴结转移患者相比,Ⅰ~Ⅱ期、无淋巴结转移患者的胃癌组织中CDX2 mRNA表达较高,差异有统计学意义(P<0.05)。
免疫组化染色后,可见胃癌组织中CDX2阳性信号多集中在细胞核,见图 1。胃癌1组中60例胃癌组织中CDX2蛋白总体阳性表达率为58.33%(35/60),CDX2蛋白表达与TNM分期(χ2=5.96,P<0.05) 及淋巴结转移(χ2=4.35,P<0.05) 有关,而与患者性别、年龄、肿瘤分化程度、肿瘤大小等因素无关(P均>0.05),见表 2。与Ⅲ~Ⅳ期相比,Ⅰ~Ⅱ期患者CDX2阳性表达率较高,差异有统计学意义(P<0.05);与淋巴结转移患者相比,无淋巴结转移患者CDX2阳性表达率较高,差异有统计学意义(P<0.05),见表 2。
|
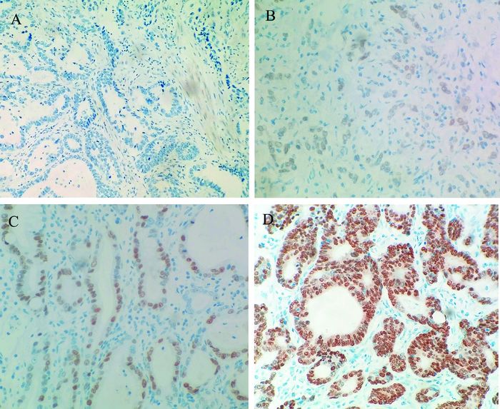
图 1 CDX2蛋白在不同胃癌组织中的表达(免疫组化染色法) A:PBS代替一抗的阴性对照(×20);B、C、D:胃癌组织中CDX2蛋白高表达(×40),主要位于细胞核中,其中B为胃组织高分化腺癌、C为胃组织中分化腺癌、D为胃组织低分化腺癌 |
| 表 2 胃癌1组中CDX2表达情况及其临床病理特征的相关性 |
胃癌2组中80例胃癌组织中CDX2蛋白总体阳性表达率为58.75%(47/80),CDX2蛋白表达与TNM分期(χ2=8.69,P<0.05) 及淋巴结转移(χ2=6.78,P<0.05) 有关,而与患者性别、年龄、肿瘤分化程度、肿瘤大小等因素无关(P>0.05),见表 3。与Ⅲ~Ⅳ期相比,Ⅰ~Ⅱ期患者CDX2阳性表达率较高,差异有统计学意义(P<0.05);与淋巴结转移患者相比,无淋巴结转移患者CDX2阳性表达率较高,差异有统计学意义(P<0.05)。
| 表 3 胃癌2组中CDX2表达与胃癌患者病理特征的相关性 |
胃癌2组80例患者中CDX2阳性47例、CDX2阴性33例。患者术后1年胃癌复发23例(23/80,28.75%)、术后2年累计复发48例(48/80,60.00%),与CDX2阴性患者相比,CDX2阳性患者术后1年复发率、2年累计复发率均降低,差异有统计学意义(P均<0.05),见表 4。与CDX2阴性患者相比,CDX2阳性患者术后中位复发时间延长,差异有统计学意义(P<0.05),见表 4。
| 表 4 CDX2蛋白表达对胃癌患者术后复发及生存期的影响 |
胃癌作为临床常见恶性肿瘤之一,有统计指出全球范围内,因罹患胃癌导致死亡的患者占所有因肿瘤死亡患者的9.7%,排名第2[6]。病灶转移是影响胃癌患者术后生存率及预后的重要因素。通过淋巴结转移、血行转移等方式,胃癌肿瘤病灶可以转移至多个重要器官,其转移机制相对较为复杂,目前,对胃癌转移的调控机制还不是很清楚[7]。
CDX2是同源盒基因家族的一员,研究发现,CDX2基因位于染色体13q12-13,是由3个外显子及2个内含子组成,而CDX2蛋白含有31个氨基酸残基,通过螺旋-环-螺旋的形态,与DNA的相应区域相结合,扮演转录因子的角色来调节DNA的表达[8]。CDX2是肠道特异性转录因子,在细胞增殖、胚胎发育、组织分化等方面中起重要作用。正常胃黏膜中CDX2无表达,而存在肠化生的胃黏膜CDX2表达阳性,进而诱导特异性基因表达,形成并分化为肠型上皮细胞[9]。本研究结果显示胃癌组织中CDX2蛋白和CDX2 mRNA表达水平均较癌旁5 cm处的正常胃黏膜组织明显增高,CDX2表达与TNM分期及淋巴结转移有关,而与患者年龄、肿瘤分化程度、肿瘤大小等因素无关,提示CDX2可能是一个与胃癌分期及转移相关的指标。无论是在正常肠道黏膜,还是肠上皮化生的胃黏膜,CDX2都发挥诱导肠上皮分化的主导作用,在肠型的引导和维持方面都起着举足轻重的作用[10]。本研究也验证了在胃癌组织中CDX2的高表达情况。
有研究指出,在胃癌中发展过程中,CDX2的表达能够诱导肿瘤细胞分化,同时又能够降低转移发生的概率,进而说明CDX2在胃癌发展中起到抑癌作用[11]。本研究预后分析显示,与CDX2阴性胃癌患者相比,CDX2阳性胃癌患者术后1年复发率、2年累计复发率均明显下降,患者术后中位复发时间也明显延长。与此同时,CDX2蛋白阴性患者的预后较差,术后更易短期内复发,这提示CDX2在胃癌的进展过程中可能扮演了抑癌基因的角色,但是胃癌组织中CDX2蛋白表达与患者预后相关性机制还不清楚。
综上所述,CDX2参与胃癌的形成与发展,在形成阶段CDX2参与肠上皮化生,进而促进胃癌组织形成,在发展阶段CDX2作为抑制因素参与肿瘤的远处转移,进而与低复发率、长术后中位复发时间相关。但是胃癌发生发展是一个多阶段、多步骤、多因素参与的过程,所以CDX2的具体作用机制还有待进一步研究。通过本实验,基本确定了胃癌组织中CDX2的表达与患者预后存在密切关系,对于高危患者可以及早干预,从而提高患者生存率和生存质量。
| [1] |
Yu BQ, Su LP, Li JF, Cai Q, Yan M, Chen XH, Yu YY, Gu QL, Zhu ZG, Liu BY. microRNA expression signature of gastric cancer cells relative to normal gastric mucosa[J]. Mol Med Rep, 2012, 6(4): 821-826. DOI:10.3892/mmr.2012.1006 |
| [2] |
Tan Z, Jiang H, Wu Y, Xie L, Dai W, Tang H, Tang S. miR-185 is an independent prognosis factor and suppresses tumor metastasis in gastric cancer[J]. Mol Cell Biochem, 2014, 386(1-2): 223-231. DOI:10.1007/s11010-013-1860-y |
| [3] |
Cui L, Zhang X, Ye G, Zheng T, Song H, Deng H, Xiao B, Xia T, Yu X, Le Y, Guo J. Gastric juice MicroRNAs as potential biomarkers for the screening of gastric cancer[J]. Cancer, 2013, 119(9): 1618-1626. DOI:10.1002/cncr.27903 |
| [4] |
冯瑞兵, 常丽丽. 胃黏膜肠化生逆转的研究进展[J]. 新医学, 2009, 40(2): 125-127. |
| [5] |
曹稳珑, 韦尉元, 张笑石, 罗文, 严林海, 谢玉波, 肖强. 转录因子CDX2过表达对人胃癌SGC-7901细胞增殖和细胞周期的影响[J]. 中国病理生理杂志, 2014, 30(4): 620-624. |
| [6] |
Ferlay J, Shin HR, Bray F, Forman D, Mathers C, Parkin DM. Estimates of worldwide burden of cancer in 2008:GLOBOCAN 2008[J]. Int J Cancer, 2010, 127(12): 2893-2917. DOI:10.1002/ijc.v127:12 |
| [7] |
Yu X, Luo L, Wu Y, Yu X, Liu Y, Yu X, Zhao X, Zhang X, Cui L, Ye G, Le Y, Guo J. Gastric juice miR-129 as a potential biomarker for screening gastric cancer[J]. Med Oncol, 2013, 30(1): 365. DOI:10.1007/s12032-012-0365-y |
| [8] |
James R, Erler T, Kazenwadel J. Structure of the murine homeobox gene CDX-2.Expression in embryonic and adult intestinal epithelium[J]. J Biol Chem, 1994, 269(21): 15229-15237. |
| [9] |
Kang JM, Lee BH, Kim N, Lee HS, Lee HE, Park JH, Kim JS, Jung HC, Song IS. CDX1 and CDX2 expression in intestinal metaplasia, dysplasia and gastric cancer[J]. J Korean Med Sci, 2011, 26(5): 647-653. DOI:10.3346/jkms.2011.26.5.647 |
| [10] |
Barros R, Freund JN, David L, Almeida R. Gastric intestinal metaplasiarevisited:function and regulation of CDX2[J]. Trends Mol Med, 2012, 18(9): 555-563. DOI:10.1016/j.molmed.2012.07.006 |
| [11] |
Zhang X, Cui L, Ye G, Zheng T, Song H, Xia T, Yu X, Xiao B, Le Y, Guo J. Gastric juice microRNA-421 is a new biomarker for screening gastric cancer[J]. Tumour Biol, 2012, 33(6): 2349-2355. DOI:10.1007/s13277-012-0497-x |

