急性白血病是儿童血液系统最为常见的恶性肿瘤,我国每年至少有15 000例新发病例,其中急性淋巴细胞白血病(ALL)约占70%[1]。自1882年Senator等报道了世界第一例双胞胎同患白血病的病例起,至2016年底,国内外仅有80多例性别相同或明确同卵双胞胎白血病的文献报道[2-5]。在本研究中,笔者报告了1对罕见的同卵双胞胎同患ALL病例,并检索与该病相关的文献进行复习,旨在探讨白血病的起始、发生和发展的原因。
对象与方法 一、1对同卵双胞胎同患ALL临床资料的收集选择先后于2016年2月3日及2016年6月25日在我科就诊并确诊为ALL的1对同卵双胞胎患儿,收集并分析其病史、体格检查、实验室及辅助检查、治疗等资料。
二、文献检索以“同卵双(胞)胎”及“急性淋巴细胞白血病”或“monozygotic twins”及“acute lymphoblastic leukemia”为检索词,对以下数据库截止至2017年5月收录的论文进行检索: PubMed、中国生物医学文献服务系统(SinoMed)、中国期刊全文数据库(CNKI)、万方数据知识服务平台、维普中文科技期刊数据库,收集并分析检索到的同卵双胞胎同患ALL的病例资料。
结果 一、1对同卵双胞胎同患ALL的病例资料 1. 入院主诉及体格检查双胞胎A为女性患儿,为双胞胎之姐姐,发病时年龄为2岁,因“发热、面色苍黄1周”入院。入院体格检查:体温37℃,脉搏112次/分,呼吸28次/分,体质量12 kg,神志清晰,反应可。轻度贫血貌,颜面部、胸前可见少许出血点。双侧颈部及腹股沟可扪及数粒黄豆大小淋巴结,质韧,活动可。咽充血,双侧扁桃体无肿大。双肺呼吸音粗,可闻及痰鸣音。心音有力,心律整齐,各瓣膜听诊区未闻及病理性杂音。腹软,全腹无压痛及反跳痛,肝肋下约4 cm可触及,质韧、界清、边缘钝,脾肋下约4 cm可触及,质韧、界清、边缘钝。
双胞胎B为女性患儿,为双胞胎之妹妹,发病时年龄为2岁4个月,因“面色苍白1周余”入院。入院体格检查:体温37℃,脉搏100次/分,呼吸28次/分,体质量12.5 kg,神志清晰,反应可。中度贫血貌,全身皮肤黏膜无黄染,未见淤点、淤斑。全身浅表淋巴结未触及肿大。咽无充血,双侧扁桃体无肿大。双肺呼吸音清,未闻及干、湿啰音。心音有力,心律整齐,各瓣膜听诊区未闻及病理性杂音。腹软,全腹无压痛及反跳痛,肝肋下约1 cm可触及,质韧、界清、边缘钝,脾肋下未触及。
该对双胞胎为足月剖宫产,出生后均无窒息抢救史、黄疸史。既往体质可,无反复感染及免疫缺陷病史。
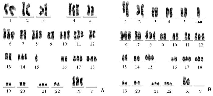
2. 入院确诊及治疗过程 2.1. 血常规、骨髓及染色体检测双胞胎A:起病时血红蛋白49 g/L,白细胞2.47×109/L,幼稚细胞占9%,血小板11×109/L。骨髓细胞形态学显示:骨髓有核细胞增生低下,分类以原始及幼稚淋巴细胞为主,占总数94%,考虑ALL骨髓象。染色体核型分析示:54~55,XX,+X,add(1)(q42),+4,+6,+8,+10,+del(11)(q23),+14,-15,+17,+18,+21[cp5]/46,XX[5],见图 1A。
|
图 1 ALL双胞胎染色体核型分析 培养方法及时间:未刺激/24 h;显带方法:G带;显带水平:200~300 |
双胞胎B:起病时血红蛋白71 g/L,白细胞20.9×109/L,幼稚细胞占56%,血小板64×109/L。骨髓细胞形态学显示:骨髓有核细胞增生活跃,分类以原始及幼稚淋巴细胞为主,占总数96%,考虑ALL骨髓象。染色体核型分析示:51~55,XX,trp(1)(q21q23),+6,+8,+12,+15, +17,+18,+21,+22,+mar[cp6]/46,XX[4],见图 1B。
2.2. 免疫球蛋白重链基因、白血病融合基因及脑脊液检查该对双胞胎的免疫球蛋白重链基因(IgH)重排分析结果均为阴性,免疫分型均符合普通B细胞性ALL,31种白血病融合基因[MLL/AF4, MLL/AF6, MLL/AF9, MLL/AF10, MLL/AF7, MLL/AF1P, MLL/AF1Q, MLL/AFX, MLL/ELL, MLL/ENL, dupMLL, CBFb/MYH11, AML1/ETO, AML1/MDS1, SET/CAN, DEK/CAN, PML/RARa, PLZF/RARa, NPM/RARa, NPM/ALK, TEL/AML1, E2A/PBX1, BCR/ABL1, NPM/MLF1, TEL/ABL1, E2A/HLF, TLS/ERG, SH/TAL1, TEL/PDGFR, EV11, HOX11]筛查均为阴性。脑脊液系列检查均为阴性。
2.3. 治疗及随访确诊后均按照广州地区儿童ALL 2008化疗协作组方案(GD2008-ALL)进行临床分型和化学治疗。双胞胎A行7 d泼尼松试验后,第8日泼尼松试验敏感,接受诱导化学治疗(柔红霉素+长春新碱+地塞米松+左旋门冬酰胺酶)后,第15日的微小残留为55.3%(对左旋门冬酰胺酶过敏),被定为高危型。双胞胎B行7 d泼尼松试验后,第8日泼尼松试验敏感,接受诱导化学治疗(同双胞胎A)后,第15日的微小残留为0.7%,被定为中危型。两患儿经过初次诱导缓解治疗后第33日骨髓均达到完全缓解,且微小残留<0.01%。两患儿目前已完成诱导+巩固+再诱导化学治疗,从维持化学治疗之日开始随访至2017年5月31日,均未见骨髓复发或髓外复发。
二、同卵双胞胎ALL的相关文献检索结果检索文献后收集到5对同卵双胞胎ALL病例,均有基因或染色体核型异常,其中2例骨髓复发死亡,见表 1。
| 表 1 同卵双胞胎同患ALL的文献检索结果 |
1962年,Wolman首先提出了胎盘内转移假说,即可能是双胞胎之一的患儿存在白血病的胚胎期起源,然后通过胎盘间共同的血液循环通路传输给了另一胎儿。1971年,Clarkson和Boyse支持了这一假说。而在1999年Wiemels等通过逆转录PCR方法检测初诊患有同一类型ALL的同卵双胞胎的血液及骨髓,发现两者白血病细胞在TEL和AML1基因或者MLL基因上有相同断裂点,认为其发生的可能原因是,在子宫内,同卵双胞胎之一的造血干细胞染色体发生1次断裂且产生了融合基因,然后其分化的子代细胞经同一胎盘血液循环播散至另一胎儿,从而导致其也发生同一类型白血病。总结现有文献结果显示,表 1中双胞胎1组和5组均有MLL基因重排,且均定为高危型,随访显示未见复发迹象,许多报道也证实MLL基因为影响白血病预后的重要因素[3-5]。2012年,Kotecha等[5]首先报道了同卵双胞胎白血病中罕见的t(1;11)(p32;q23) 易位(表 1中第5组),双胞胎这种罕见的易位为婴儿白血病宫内单克隆起源的共同血液循环通路提供了更多的证据,从而更进一步完善了胎盘内转移假说。本组双胞胎A和B所患均为ALL,免疫分型均为普通B细胞性ALL,且两患儿先后发病的间隔时间不超过1年(4个月),这也有力支持了胎盘内转移假说。
1970年,Zuelzer等回顾分析了既往已发布的数据,推测同卵双胞胎白血病(诊断时<1岁)的同病率接近100%,但对于发病年龄在2~5岁的同卵双胞胎,这种同病率(5%)却相当低。有研究显示,宫内染色体易位导致的融合基因异常在正常新生儿中的发生率比白血病患儿的发生率更高(高10~100倍),故仅胚胎期染色体的易位并不能够引发白血病[8]。因此,Greaves等[2]提出了ALL发生的“二次打击”假说,即后天的染色体或分子异常,其认为后天发生异常染色体可能是对常见感染的反应异常或者反应延迟所致。在一对同卵双胞胎白血病患儿中,其中之一在5岁时被确诊为白血病,另一患儿虽然处于白血病前期状态,却能无病生存至14岁才发病,两者TEL-AML1融合基因的基因序列完全一致,由此提示白血病克隆起源于胎儿时期的同一个细胞,然而两者前后发病时间相差9年,说明从胎儿期白血病前期状态到白血病的发生仍有一段潜伏期[2]。Mori等[6]检测健康新生儿出生时所保留的血斑标本中的TEL-AML1和AML1-ETO,结果显示两者的阳性率远高于白血病患儿100倍,且仅B淋巴细胞系和粒细胞系存在此类易位,这说明了染色体易位、融合基因和白血病前期克隆在健康新生儿血中出现的频率比白血病患儿高,这可能为白血病发生的起始原因,但非唯一原因。Cazzaniga等[7]对两对(表 1中的3组和4组)出生时BCR-ABL1+但IKZF1正常的双胞胎进行临床及基因分析,结果显示IKZF1基因异常发生于BCR-ABL1+之后,且可致BCR-ABL1+ALL治疗效果及预后更差。3组患儿均为ALL高危型,其中的IKZF1异常者骨髓移植后快速复发并死亡,正常者于骨髓移植后存活;4组患儿IKZF1异常者发展为ALL高危型,正常者未发生白血病。Cazzaniga等[7]认为,IKZF1异常缺失可能需要进一步遗传学改变或后天的二次打击事件才会引发白血病,因此,获得的遗传型异常和生后暴露于致病因子在白血病的发生中均起关键作用。
本组双胞胎A和B在接受同一诱导化学治疗方案治疗时有不同的临床结果,危险度分型不一致,追溯原因如下:① 起病时白细胞计数不一致,双胞胎A血象提示三系减少,骨髓象提示低增生性白血病,这往往提示预后不良;② 后续化学治疗中双胞胎A出现对门冬酰胺酶过敏,而双胞胎B却无过敏表现,最终,双胞胎A被定为高危型,双胞胎B被定为中危型。两患儿均检测到了复杂的染色体异常,虽均为超二倍体,但染色体异常的位点并不完全一致。以上事实单纯用白血病起源于同一克隆的假设解释有些牵强,这可能由于虽然在宫内启动了白血病的发生,但外部因子在白血病的发展中还发挥着一定的作用,影响其细胞遗传学及分子生物学特性,从而导致基因及染色体异常不一致,初诊时两患儿的临床基础存在差异,影响了其对同一化学治疗药物的敏感性,因此预后不一。
综上所述,在胎儿造血细胞形成期产生的染色体异常可能是白血病的起始原因,但非唯一原因,白血病的最终形成和发展可能还需要第二次甚至更多的打击事件。
| [1] |
王方, 金润铭. 儿童急性淋巴细胞白血病治疗效果及预后影响因素的研究. 华中科技大学, 2012.
|
| [2] |
Greaves MF, Maia AT, Wiemels JL, Ford AM. Leukemia in twins:lessons in natural history[J]. Blood, 2003, 102: 2321-2333. DOI:10.1182/blood-2002-12-3817 |
| [3] |
Li X, Sun N, Huang X, Ju X. Two pairs of monozygotic twins with concordant acute lymphoblastic leukemia (ALL):case report[J]. J Pediatr Hematol Oncol, 2014, 36(5): e299-e303. DOI:10.1097/MPH.0000000000000098 |
| [4] |
Giovanni C, van Delft FW, Lo Nigro L, Ford AM, Score J, lacobucci I, Mirabile E, Taj M, Colman SM, Biondi A, Greaves M. Developmental origins and impact of BCR-ABL1 fusion and IKZF1 deletions in monozygotic twins with Ph+ acute lymphoblastic leukemia[J]. Blood, 2011, 118(20): 5559-5564. DOI:10.1182/blood-2011-07-366542 |
| [5] |
Kotecha RS, Murch A, Kees U, Cole CH. Pre-natal, clonal origin of t(1;11)(p32;q23) acute lymphoblastic leukemia in monozygotic twins[J]. Leuk Res, 2012, 36(1): 46-50. DOI:10.1016/j.leukres.2011.03.014 |
| [6] |
Mori H, Colman SM, Xiao Z, Ford AM, Healy LE, Donaldson C, Hows JM, Navarrete C, Greaves M. Chromosome translocations and covert leukemic clones are generated during normal fetal development[J]. Proc Nall Arad Sci USA, 2002, 99(12): 8242-8247. DOI:10.1073/pnas.112218799 |
| [7] |
Cazzaniga G, van Delft FW, Lo Nigro L, Ford AM, Score J, Iacobucci I, Mirabile E, Taj M, Colman SM, Biondi A, Greaves M. Developmental origins and impact of BCR-ABL1 fusion and IKZF1 deletions in monozygotic twins with Ph+ acute lymphoblastic leukemia[J]. Blood, 2011, 118(20): 5559-5564. DOI:10.1182/blood-2011-07-366542 |

