文章快速检索     高级检索
  新医学  2017, Vol. 48 Issue (10): 749-752  DOI: 10.3969/j.issn.0253-9802.2017.10.016
0

引用本文 [复制中英文]

张慧慧, 韩丽丽, 崔秀玲, 付莉. 卵巢癌肉瘤一例及术后化学治疗方案分析[J]. 新医学, 2017, 48(10): 749-752.
Zhang Huihui, Han Lili, Cui Xiuling, Fu Li. Analysis of postoperative chemotherapy for ovarian carcinosarcoma:report of one case[J]. Journal of New Medicine, 2017, 48(10): 749-752.

基金项目

吉林省计生委资助项目(2015Z033)

通讯作者

付莉

文章历史

收稿日期:2017-03-02
卵巢癌肉瘤一例及术后化学治疗方案分析
张慧慧, 韩丽丽, 崔秀玲, 付莉     
130041 长春, 吉林大学第二医院妇产科
摘要: 癌肉瘤又称恶性混合性中胚叶肿瘤或恶性混合性苗勒管肿瘤、肉瘤样癌,是一种罕见、侵袭性强、进展快的高度恶性肿瘤,其由恶性上皮成分及肉瘤成分紧密混合而成,其癌组织形态多样,目前尚没有统一、有效的临床治疗方案,预后极差。该文报道了1例卵巢癌肉瘤患者,因右下腹部疼痛1周收入院,在全身麻醉下行剖腹探查术,术中见右侧卵巢有一大小约5 cm×6 cm×3 cm肿物,诊断为右侧卵巢癌,即行全子宫、双侧附件、大网膜、阑尾切除术,双侧输尿管旁病灶切除术,回盲部病灶切除术,小肠系膜转移灶切除术及盆腔及腹主动脉旁淋巴结清扫术。病理回报癌肉瘤,以高级别多形性肉瘤为主、伴有少量低分化癌。术后辅以紫杉醇加卡铂(TC)方案化学治疗,期间患者未严格遵医嘱化学治疗,卵巢癌复发,再次给予TC方案化学治疗,并加用氟尿嘧啶局部病灶化学治疗,患者恢复情况尚可,随访至撰稿日,未发现其他明显异常。该例提示,TC方案联合氟尿嘧啶局部病灶化学治疗可能对卵巢癌肉瘤有效,但其远期效果及是否能广泛应用于临床患者尚需进一步随访及探讨。
关键词: 癌肉瘤    卵巢癌    化学治疗    预后    
Analysis of postoperative chemotherapy for ovarian carcinosarcoma:report of one case
Zhang Huihui, Han Lili, Cui Xiuling, Fu Li     
Department of Obstetrics and Gynecology, the Second Hospital of Jilin University, Changchun 130041, China
Corresponding author: Fu Li
Abstract: Carcinosarcoma, also known as the malignant mixed mesodermal tumor, malignant mixed mullerian tumororsarcomatoid carcinoma, is a rare, invasive, rapidly progressive and highly malignant tumor. It consists of malignant epithelial and sarcoma substances. It is characterized with cancerous tissues of diverse morphologies. At present, there is no standard and effective clinical therapy for carcinosarcoma and it is of poor clinical prognosis. Herein, we reported one case of ovarian carcinosarcoma. She was admitted to our hospital due to pain in the right lower abdomen for 1 week. She underwent exploratory laparotomy under general anesthesia. Intraoperatively, a mass approximately 5 cm×6 cm×3 cm in size was resected in the right ovary, andshe was diagnosed with right-sided ovarian cancer. She underwent radical hysterectomy, bilateral adnexectomy, greater omentectomy and appendectomy. The masses surrounding bilateral ureters, ileocecus lesions, masses metastatic to the mesentery of small intestine and pelvic cavity were resected. Abdominal paraaortic lymph node dissection was performed. She was pathologically diagnosed with carcinosarcoma. It mainly consisted of high-grade pleomorphic sarcoma, accompanied by a low quantity of lowly-differentiated carcinoma. Postoperative chemotherapy using paclitaxel combined with carboplatin (TC) was delivered. However, she failed to comply with the chemotherapy and subsequently recurred. She further received TC chemotherapy, supplemented with topical chemotherapy using fluorouracil. Until the submission date, no evident abnormality was reported. The findings prompted that TC chemotherapy in combination with topical chemotherapy using fluorouracil is probably an efficacious treatment of ovarian carcinosarcoma. Nevertheless, the long-term clinical efficacy and its potential of widespread application in clinical practice remain to be elucidated.
Key words: Carcinosarcoma    Ovarian cancer    Chemotherapy    Prognosis    

癌肉瘤是一种罕见、侵袭性强、进展快的高度恶性肿瘤,在女性生殖系统发生部位依次为子宫体、子宫颈、阴道、卵巢和输卵管。发生于卵巢的癌肉瘤极为罕见,约占卵巢恶性肿瘤的1%~2%[1]。癌肉瘤多呈结节状,无完整包膜,一般体积较大,肿瘤平均直径15~20 cm,肿瘤组织由异型性明显的恶性上皮和间叶成分构成[2]。本文结合既往文献报道分析了我院近年收治的1例卵巢癌肉瘤病例的诊疗经过,旨在为临床寻求更合适的卵巢癌肉瘤治疗方案提供参考。

病例资料 一、病史及体格检查

患者女,65岁。因右下腹部疼痛1周于2014年12月26日入院。患者绝经18年,于入院1周前出现右下腹部疼痛,服用止痛药仍未缓解,故来我院求诊。

入院体格检查:生命体征平稳,一般状态良好,身体发育正常。全身浅表淋巴结未触及肿大,心、肺听诊未见异常,腹部平坦,无压痛及反跳痛,肝、脾肋下未扪及,移动性浊音阴性。妇科检查:老年外阴,已婚已产型,阴道通畅,子宫颈光滑;子宫前位,稍小;子宫靠右侧可触及超手拳大小的质硬肿物,肿物活动欠佳、与子宫粘连、有压痛,左侧附件区未触及明显异常。

二、实验室及辅助检查

血常规结果无异常。糖类抗原125 102.1 kU/L,糖类抗原19-9 15.9 kU/L,人附睾蛋白4(HE4)175.8 pmol/L。

妇科彩色多普勒超声(彩超)提示:紧邻子宫右侧方有一6.8 cm×5.1 cm的实性包块,呈不均质低回声。双附件区未探及明显包块。盆腔积液2.8 cm。彩超血流探查:未见异常血流信号。

三、诊治经过

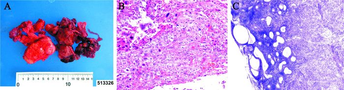
临床诊断:盆腔肿物(不排除恶性)。入院后完善检查,确认患者无手术禁忌证后,于2014年12月29日在全身麻醉下行剖腹探查术。术中见:盆腔积血约100 ml,右侧卵巢肿物形态不规则,大小约5 cm×6 cm×3 cm(图 1A),已破溃,质地糟脆,呈烂肉样侵蚀在部分肠管表面,且与后腹膜粘连。取出游离破碎的卵巢肿物,吸净盆腔内积血,见盆腔粘连,直肠右侧壁、小肠系膜有类似病灶。子宫萎缩,钝性分离直肠右侧壁与右卵巢及肿物粘连处,左侧附件及右侧输卵管未见明显异常。钝性剥除直肠右侧壁病灶,将游离破碎的卵巢肿物和直肠右侧壁病灶一并送检快速病理。术中冰冻检查结果为:(右侧卵巢、直肠右侧壁)癌,分化差(图 1BC)。术中诊断:右侧卵巢癌,即行全子宫、双侧附件、大网膜、阑尾切除术,双侧输尿管旁病灶切除术,回盲部病灶切除术,小肠系膜转移灶切除术,盆腔及腹主动脉旁淋巴结清扫术,无肉眼残留病灶。病理检查结果回报:(右卵巢)癌肉瘤,以高级别多形性肉瘤为主、伴有少量低分化癌,右卵管、直肠右侧壁见肿瘤浸润;双侧输尿管旁病灶、右侧回盲部病灶、小肠系膜病灶内见肿瘤浸润;左侧附件未见明显病变,萎缩性子宫内膜,慢性子宫颈炎,慢性阑尾炎,浆膜面见肿瘤浸润,大网膜未见明显病变,右髂内1枚淋巴结见肿瘤转移,左闭孔、右闭孔、左髂内、左髂外、右髂外、左髂总、右髂总、左腹股沟深、右腹股沟深、腹主动脉旁的淋巴结均未见肿瘤转移。临床诊断为卵巢癌ⅢC期。

图 1 一例卵巢癌肉瘤的手术切除标本及病理切片图 A:肉眼观肿瘤组织;B:病理切片(苏木素-伊红染色,×200);C:病理切片(苏木素-伊红染色,×100)

术后继续给予辅助治疗,行紫杉醇加卡铂(TC)方案化学治疗。前2个疗程为:静脉输注紫杉醇脂质体(力扑素)240 mg、卡铂450 mg。第3个疗程为:静脉输注紫杉醇注射剂(护佑)240 mg、卡铂400 mg。化学治疗3个疗程后,患者的肿瘤标志物糖类抗原125及糖类抗原19-9逐渐恢复正常,HE4 168.2 pmol/L。随后患者未严格遵医嘱化学治疗,间断2个月后行第4个疗程化学治疗:静脉输注紫杉醇注射剂240 mg、卡铂300 mg。行第4次化学治疗后,未按要求严格实行化学治疗,时隔5个月未进行定期化学治疗及复查,自觉右腰部活动后间断疼痛2周再次入院,妇科检查:老年外阴,阴道通畅,阴道残端光滑,直肠右后壁可触及实质性肿物,表面形态不规则,大小约8 cm×8.0 cm×5 cm,与骶骨关系密切。双附件区未触及明显异常。行盆腔CT检查:前下腹壁软组织影增厚,腹膜后似见结节状软组织密度影,乙状结肠的肠壁、管壁增厚,双侧腹股沟区可见多发结节状软组织密度影。肠镜检查:距肛门约15 cm处见一黏膜皱襞集中处有似脓样物质流出,反复吸引后见瘘口样改变。诊断:慢性大肠炎,直肠瘘。肿瘤标志物糖类抗原125 55.1 kU/L、糖类抗原19-9 11.8 kU/L、HE4 144.6 pmol/L,较前均明显增高,考虑为卵巢癌复发。于2015年11月27日起,再次给予TC方案化学治疗:静脉输注紫杉醇注射剂240 mg、洛铂45 mg。化学治疗2个疗程后复查:直肠近骶骨实质性肿物明显缩小,可拟行放射治疗,但为进一步减小病灶,行第7次化学治疗时开始给予直肠壁病灶局部化学治疗,即经阴道从后穹窿处穿刺注射入直肠壁病灶。结合患者身体情况,予氟尿嘧啶0.25 g,隔日1次瘤体注射,甲硝唑氯化钠注射液250 ml冲洗直肠壁。共8次局部用药后,再给予紫杉醇注射剂240 mg、洛铂45 mg全身化学治疗,化学治疗结束后再次给予2次局部治疗。

四、转归

患者术后共行7次全身化学治疗及10次局部化学治疗,全部结束后复查:右直肠后壁肿物明显缩小,触及困难。末次肿瘤标志物糖类抗原125 24.2 kU/L、糖类抗原19-9 11.8 kU/L、HE4 88.1 pmol/L,均呈现出下降趋势。患者恢复良好出院,此后,患者定期返院行局部放射治疗,随访至撰稿日,未发现其他明显异常。

讨论

卵巢癌肉瘤是一种罕见的侵袭性强、进展快的高度恶性肿瘤,其病变广泛,累及盆腔脏器,手术治疗非常困难,且目前尚没有统一、有效的临床治疗方案,因此预后极差。目前卵巢癌肉瘤的治疗是以手术为主,术后予以辅助化学治疗。

良好的肿瘤细胞减灭术可以提高患者的预后,但多数患者就诊时已处于晚期,肿瘤广泛转移,手术切除十分困难,术后复发率极高,故单纯用手术治疗具有很大的局限性。对于卵巢癌而言,目前大部分学者主张以肿瘤细胞减灭术联合以铂类药物为基础的化学治疗,但卵巢癌肉瘤的术后化学治疗方案却是众说纷纭,主要包括含铂和不含铂类2种[3]。卢淮武等[4]在解读2016 NCCN卵巢癌临床实践指南(第1版)时指出,少见病理类型癌肉瘤可选择的化学治疗方案主要有:卡铂/异环磷酰胺,顺铂/异环磷酰胺,紫杉醇/异环磷酰胺(2B类)。高月清等[5]报道了4例原发性卵巢癌肉瘤患者,术后均接受了以铂类为基础的静脉联合化学治疗:3例患者采用了TC方案,其中1例术后5个月后病情未受控制,再加用盆腔放射治疗,1例术中予顺铂60 mg腹腔化学治疗,术后TC方案化学治疗1个疗程,后改为紫杉醇、表阿霉素联合顺铂(TAP)方案化学治疗5个疗程。随访最长12个月,其中3例无瘤生存,1例随访3个月带瘤生存。该研究认为,理想的肿瘤细胞减灭术、较低的糖类抗原125水平、同源性肿瘤以及应用铂类为基础的化学治疗方案,可以提高生存率。Morrow等[6]报道,6例患者接受多柔比星及环磷酰胺方案化学治疗,生存期最长达11个月;另外4例患者采用长春新碱、放线菌素D联合环磷酰胺(VAC)方案化学治疗,却均迅速死于本病。Xanthoulis等[7]报道2例卵巢癌肉瘤患者术后给予多柔比星腹腔化学治疗,结果患者的无瘤生存期分别为2年和3年,此结果优于以前的报道,认为理想的肿瘤细胞减灭术和术后早期腹腔化学治疗可能是治疗卵巢癌肉瘤的较好方法。本例术后主要以TC方案化学治疗,同时创新性联合氟尿嘧啶局部病灶化学治疗,患者恢复情况尚可,但远期效果及是否能广泛应用于临床患者尚需进一步随访及探讨。

卵巢癌肉瘤恶性程度极高,预后极差,多数文献报道平均生存期不超过1年。Lu等[1]分析63例台湾地区的癌肉瘤患者,平均生存期为15.4个月,认为肿瘤早期(肿瘤临床分期Ⅰ期)、单侧卵巢肿瘤、转移病灶直径≤2 cm和术后辅以顺铂/异环磷酰胺化学治疗方案与患者的预后相关。目前,对于卵巢癌肉瘤的治疗仍没有一个明确的并且可以让人信服的方案,所以寻求更有效的治疗方案是改善预后的关键,也是我们积极努力的方向。

参考文献
[1]
Lu CH, Chen IH, Chen YJ, Wang KL, Qiu JT, Lin H, Lin WC, Liou WS, Huang YF, Lin YS, Tee YT, Hung YC. Primary treatment and prognostic factors of carcinosarcoma of the ovary, fallopian tube, and peritoneum:a Taiwanese Gynecologic Oncology Group Study[J]. Int J Gynecol Cancer, 2014, 24(3): 506-512. DOI:10.1097/IGC.0000000000000083
[2]
向亚莉, 韩安家. 卵巢和输卵管原发癌肉瘤2例临床病理分析[J]. 临床与实验病理学杂志, 2014, 30(11): 1287-1288.
[3]
高景阳, 黄淑华. 卵巢癌铂类耐药治疗的研究进展[J]. 新医学, 2016, 47(5): 299-302.
[4]
卢淮武, 谢玲玲, 林仲秋. 《2016 NCCN卵巢癌临床实践指南(第1版)》解读[J]. 中国实用妇科与产科杂志, 2016, 32(8): 761-768.
[5]
高月清, 翁雷, 汪希鹏, 朱建龙, 邱伟民, 李淑霞. 原发性卵巢癌肉瘤4例诊治分析[J]. 中国肿瘤临床与康复, 2013, 20(2): 147-149.
[6]
Morrow CP, d'Ablaing G, Brady LW, Blessing JA, Hreshchyshyn MM. A clinical and pathologic study of 30 cases of malignant mixed mullerian epithelial and mesenchymal ovarian tumors:a Gynecologic Oncology Group study[J]. Gynecol Oncol, 1984, 18(3): 278-292. DOI:10.1016/0090-8258(84)90039-8
[7]
Xanthoulis A, Mirelis C, Markakidis S, Bougioukas I, Bekiaridou K, Tsalkidou E, Zafeiropoulos G, Tentes AA. Complete cytoreduction combined with early postoperative intraperitoneal chemotherapy for ovarian carcinosarcoma. Report of two cases[J]. Gynecol Obstet Invest, 2006, 62(2): 100-102. DOI:10.1159/000092855