多发性硬化(MS) 是一种累及中枢神经系统白质的自身免疫性脱髓鞘性疾病,有效阻止疾病的复发或进展一直是治疗MS的难题。目前诱导机体产生特异性免疫难受被认为是极具前景的治疗MS的方法。实验性自身免疫性脑脊髓炎(EAE) 是由CD4+T淋巴细胞介导的理想的MS研究模型[1]。在EAE发病机制中辅助性T淋巴细胞Th1/Th2细胞分化失衡发挥着重要影响,Th1类细胞因子发挥致病作用,Th2类细胞因子与病情缓解相关。B和T淋巴细胞衰减子(BTLA) 是一种重要的可以抑制T淋巴细胞活化的负性共刺激分子。树突状细胞(DC) 作为重要的抗原提呈细胞为T淋巴细胞活化提供第一信号,而其本身又可以通过多种机制诱导对T淋巴细胞特异性抗原的耐受,但单纯的DC无法完全抑制EAE的免疫反应[2]。本研究旨在通过慢病毒作为载体在DC过表达BTLA蛋白,增强DC的耐受性之后研究其是否可以负性调节CD4+T淋巴细胞介导的EAE的免疫反应,从而为有效阻止MS复发与进展、重建自我耐受提供实验依据。
材料与方法 一、 材料与动物含L-谷氨酰胺和25 mm的4-羟乙基哌嗪乙磺酸(HEPES) 的RPMI1640培养基、NQBB胎牛血清、青霉素-链霉素双抗、IL-4(IL-4 Pepro Tech)、粒细胞-巨噬细胞集落刺激因子(GM-CSF Pepro Tech)、MOG35-55多肽、完全弗氏佐剂、结核分枝杆菌H37RA、百日咳毒素(PTX)、CD4+ T淋巴细胞Isolation Kit Ⅱ (mouse Miltenyi Biotec)、磁珠分选Buffer (Miltenyi Biotec)、红细胞裂解液、小鼠干扰素-γ和IL-10定量分析酶联免疫检测试剂盒。C57BL/6小鼠(雌性,6~8周)15只,饲养于SPF级清洁级实验室。本研究通过我院伦理委员会审批,符合实验动物伦理原则。
二、 方法构建C57BL/6小鼠EAE模型,磁珠分选出CD4+T淋巴细胞,同时构建BTLA慢病毒表达载体, 并应用该载体转染DC,用BTLA负性共刺激分子修饰DC,提高DC上BTLA的表达量,对EAE鼠启动T淋巴细胞免疫应答需要双信号的过程进行干预,研究其对T淋巴细胞免疫应答的影响。
1. 以重组慢病毒为载体在骨髓来源DC上过表达BTLA根据GeneBank公布的小鼠BTLA的mRNA (NM_001037719.2),委托广州GeneCopoeia公司合成引物,构建开放阅读框(ORF) 慢病毒表达质粒Lv-BTLA并构建具有活性的携带有BTLA基因的重组慢病毒LPP-Mm26645-Lv203-400。采用改良Inaba法,通过无菌手术取出C57BL/6小鼠(雌性,6~8周,3只) 胫骨、股骨并吹出骨髓后使用GM-CSF和IL-4进行联合诱导,光镜下观察DC状态。在DC培养4 d后将其收集于12孔细胞培养板中,24 h后以感染复数(病毒数量/细胞数量) 为15向细胞培养孔中加入携带BTLA基因的重组慢病毒液。同样方法,以无BTLA基因的重组慢病毒Lv.GFP转染DC。重组慢病毒转染DC 96 h后在荧光显微镜下观察,若有绿色荧光即表示转染成功。另3只C57BL/6雌性小鼠只采用改良Inaba法培养DC,不进行转染。
2. C57BL/6小鼠EAE模型的建立 2.1 免疫动物及动物行为学评分A液配制:MOG35-55,每只鼠0.3 mg,溶于无菌磷酸盐缓冲液(PBS) 中。B液配制:结核菌素H37RA,每只鼠0.5 mg, 溶于完全福氏佐剂(1 ml完全福氏佐剂已含结核菌素H37RA 0.5 mg) 中。A液与B液混合后用乳化器乳化40 min以上。百日咳毒素:每只鼠0.3 μg/0.1 ml PBS。C57BL/6小鼠(雌性,6~8周) 共6只,记为EAE组;同期对照组3只。不同日数于小鼠腹沟处分别皮下注射上述溶液制作模型。模型制作后每日盲法观察动物,并称其体质量及进行行为学评分。行为学评分标准:0分为无任何症状和体征;1分为尾部部分无力;2分为尾部完全无力;3分为后肢轻度瘫痪或步态共济失调;4分为双后肢完全瘫痪或前肢受累;5分为濒死状态或死亡。当评分≥1分时即为造模成功。
2.2 神经病理学取材及切片染色在EAE组症状最严重即发病高峰时对EAE组和对照组整根脊柱进行取材,后用石蜡包埋,连续横切,每个脊髓间隔取10片进行苏木素-伊红(HE) 染色和砂罗铬染色,分别观察炎症细胞浸润和髓鞘脱失情况。
3. 分选EAE小鼠脾细胞CD4+T淋巴细胞配制完全RPMI1640培养基:将胎牛血清、青霉素-链霉素双抗溶液加入RPMI1640培养基,使用移液枪精准加入IL-4和GM-CSF (浓度均为10 ng/μl)。C57BL/6 EAE小鼠发病高峰时,颈椎脱臼处死,无菌手术操作取出小鼠的脾脏。将脾细胞吹入培养基中,反复2次加入适量10×红细胞裂解液,静置后离心。弃上清液,加入适量完全RPMI1640培养基(脾细胞用),反复吹打重悬细胞得到脾细胞悬液并计数。全自动磁珠分选后收样(EAE小鼠脾细胞CD4+T淋巴细胞) 于15 ml离心管中。显微镜下计数EAE小鼠脾细胞CD4+T淋巴细胞。
4. DC与EAE小鼠脾细胞CD4+T淋巴细胞共培养分组:第1组为重组慢病毒LPP-Mm26645-Lv203-400转染的DC与EAE小鼠脾细胞CD4+T淋巴细胞共培养,记为DC.BTLA组(实验组);第2组为无BTLA基因的重组慢病毒Lv.GFP转染的DC与EAE小鼠脾细胞CD4+T淋巴细胞共培养,记为DC.GFP组(阴性对照组);第3组为DC与EAE小鼠脾细胞CD4+T淋巴细胞共培养,记为DCN组(空白对照组)。然后建立共培养体系。
5. ELISA法检测共培养体系上清液中IL-10、干扰素-γ共培养72 h后,使用小鼠干扰素-γ定量分析酶联免疫检测试剂盒、小鼠IL-10定量分析酶联免疫检测试剂盒对共培养体系上清液中IL-10、干扰素-γ含量进行检测并比较。
三、 统计学处理采用SPSS 20.0处理数据,多组计量资料组间比较采用方差分析,差异有统计学意义后,采用LSD-t检验进行两两比较,P<0.05为差异有统计学意义。
结果 一、 重组慢病毒LPP-Mm26645-Lv203-400转染DC重组慢病毒LPP-Mm26645-Lv203-400以感染复数15转染培养5 d后的DC,96 h后在荧光倒置显微镜下可观察到被感染的阳性细胞有绿色荧光蛋白表达(图 1),DC上有BTLA过表达。
|
图 1 重组慢病毒LPP-Mm26645-Lv203-400转染DC荧光显微镜观察 A:未感染慢病毒的DC;B:感染重组慢病毒LPP-Mm26645-Lv203-400的DC (曝光时间0.8 s,×200) |
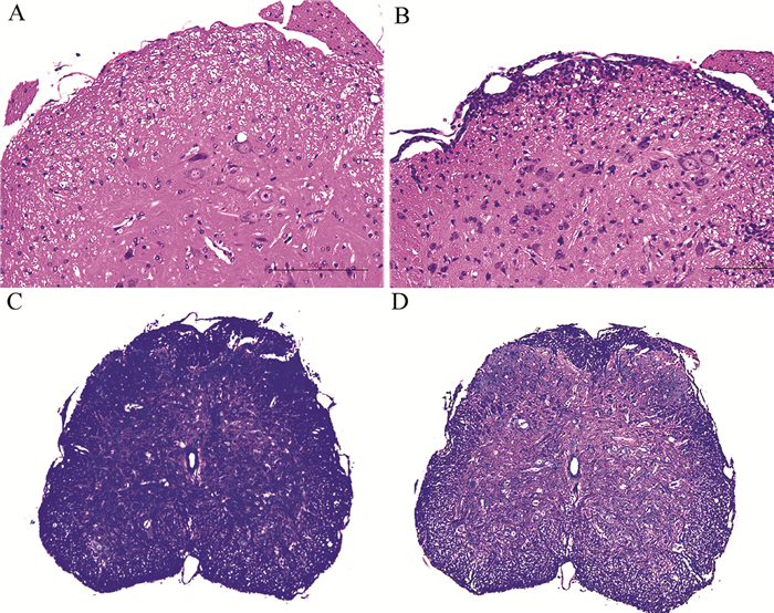
采用人工合成的MOG35-55多肽免疫6~8周的C57BL/6雌性小鼠后,第2~3日小鼠出现体质量下降,皮毛不光泽,行为不活跃,食欲下降,第4~6日体质量出现增长,在第7日采用人工合成的MOG35-55多肽二次免疫小鼠后,第9~10日小鼠体质量再次出现下降,第13、14日小鼠出现尾部拖曳无力,并逐渐出现单后肢、双后肢甚至四肢无力、瘫痪。第21~24日出现发病高峰,行为学评分为(2.0±1.6) 分,发病率大于80%。EAE组小鼠腰段脊髓有大量炎症细胞侵润,血管周围呈袖套样改变;对照组小鼠脊髓未见异常(图 2A、B)。EAE组小鼠腰段脊髓软膜下和血管周围明显的脱髓鞘,伴有中枢神经系统实质内炎症细胞浸润。对照组小鼠脊髓未见异常(图 2C、D)。
|
图 2 小鼠腰段脊髓HE、砂罗硌染色(×200) A:对照组HE染色;B:EAE组HE染色,可见腰段脊髓有大量炎症细胞侵润,血管周围呈袖套样改变;C:对照组砂罗硌染色;D:EAE组砂罗硌染色,可见腰段脊髓软膜下和血管周围明显脱髓鞘伴有中枢神经系统实质内炎症细胞浸润 |
与DCN和DC.GFP组比较,DC.BTLA组与EAE小鼠CD4+T淋巴细胞共培养上清液中Th1类细胞因子干扰素-γ分泌较少(P < 0.05)。DCN组和DC.GFP组间比较差异无统计学意义(P > 0.05)。
与DCN和DC.GFP组比较,DC.BTLA组与EAE小鼠CD4+T淋巴细胞共培养上清中Th2类细胞因子IL-10分泌较多(P < 0.05)。DCN组和DC.GFP组间比较差异无统计学意义(P > 0.05)。见表 1。
| 表 1 DC与EAE小鼠CD4+T淋巴细胞共培养体系上清液中细胞因子ELISA检测结果 |
因传统的药物难以突破人体的血脑屏障,中枢神经系统疾病目前仍无法取得满意疗效,即使药物突破血脑屏障,大剂量药物入血也会对外周器官产生诸多不良反应[3-4]。基因治疗是极有前景的治疗中枢神经系统疾病的方法。慢病毒可在体内或体外转染多种类型的中枢神经系统细胞,并且长期而稳定地在中枢神经系统中表达转移的目的基因,目前尚未发现重要的由基因转移引起的不良反应[4]。此法在多种疾病治疗模型上达到治疗水平,如亨廷顿病、帕金森病、阿尔茨海默病、肌萎缩侧索硬化症[5]。利用慢病毒作为载体针对T淋巴细胞的基因修饰引起了越来越多研究者的注意[6]。
EAE被认为是目前研究MS的最佳动物模型。T淋巴细胞是MS和EAE发病中最主要的中介者。构建EAE模型时使用的MOG35-55长链多肽含有免疫显性表位,与抗原呈递细胞上的MHC-Ⅱ分子结合,呈递给CD4+T淋巴细胞,引起EAE的免疫反应。EAE模型主要由CD4+T淋巴细胞介导,经典理论认为基于细胞因子分泌的情况和转录因子的表达情况,MHC-Ⅱ-CD4+T淋巴细胞可向Th1和Th2细胞方向分化。Th1细胞主要分泌干扰素-γ和IL-2等细胞因子,其介导的免疫反应在EAE发病机制中起致病性作用,相反地,Th2细胞主要分泌IL-4和IL-10等细胞因子,其介导的免疫反应与免疫调节、炎症缓解和临床症状的缓解有关。研究认为在EAE的发病中Th1/Th2失衡起重要作用。
DC是体内功能最强的抗原呈递细胞,在免疫系统中起中心调节作用,在免疫调节以及免疫耐受的诱导和维持中扮演重要角色[7]。通过基因编码具有免疫调节作用的分子修饰DC,被认为是具有前景的治疗自身免疫性疾病的方法[8]。DC有发挥激活T淋巴细胞初始免疫的作用,相反的,在特定环境下部分DC具有诱导免疫抑制的作用,这部分DC与免疫耐受相关,被称为耐受性DC。耐受性DC可以诱导T淋巴细胞无能或诱导初始T淋巴细胞向调节性T细胞(Treg) 分化。耐受性DC通过自身具有的共刺激信号分子与T淋巴细胞上的相应受体结合而发挥作用[9]。但耐受性DC在体内含量少,因此在体外定向诱导生成耐受性DC,利用其对特异性抗原诱导免疫耐受并维持耐受状态,对自身免疫性疾病的预防和治疗具有重要意义[10]。由于血脑屏障的作用,DC无法进入正常人的中枢神经系统实质,但在MS的病理状态下脑脊液中的DC明显增加,DC可以影响MS的发病过程[11]。
BTLA是新近发现的CD28家族成员,在负向调控T淋巴细胞活化过程中发挥重要作用,可能是维持T淋巴细胞免疫耐受的重要因素。BTLA的配体为疮疹病毒侵入介体(HVEM)。BTLA在未成熟DC上低表达,随着DC成熟度的增加其表达亦增强。BTLA自身包含免疫受体酪氨酸抑制基序(ITIM) 和免疫受体酪氨酸转换基序(ITSM),当BTLA与其配体HVEM相结合后,磷酸化ITIM激活蛋白酪氨酸磷酸酶(SHP)-1和SHP-2,对T淋巴细胞的活化产生抑制信号,BTLA是T淋巴细胞活化的负性调节因子[12-13]。研究表明BTLA缺失型(BTLA-/-) 小鼠对抗原的免疫应答更强,且自身免疫性疾病的发病率更高、病情更重[14]。
本研究成功构建C57BL/6小鼠EAE模型,以重组慢病毒为载体在骨髓来源DC上过表达BTLA[15]。过表达BTLA的DC可以促进EAE小鼠CD4+T淋巴细胞向Th2细胞分化,分泌与病情缓解有关的Th2类细胞因子,抑制加重病情的Th1类细胞因子,提示过表达BTLA可以增强DC的耐受性,通过逆转Th1/Th2失衡,对EAE产生特异性抗原免疫耐受。
致谢: 感谢中山大学中山医学院余新炳教授为本研究提供了技术性帮助。| [1] | Van der Star BJ, Vogel DY, Kipp M, Puentes F, Baker D, Amor S. In vitro and in vivo models of multiple sclerosis[J]. CNS Neurol Disord Drug Targets, 2012, 11 (5): 570-588. DOI: 10.2174/187152712801661284. |
| [2] | Ueno H, Klechevsky E, Morita R, Aspord C, Cao T, Matsui T, Di Pucchio T, Connolly J, Fay JW, Pascual V, Palucka AK, Banchereau J. Dendritic cell subsets in health and disease[J]. Immunol Rev, 2007, 219 : 118-142. DOI: 10.1111/imr.2007.219.issue-1. |
| [3] | Kantor B, McCown T, Leone P, Gray SJ. Clinical applications involving CNS gene transfer[J]. Adv Genet, 2014, 87 : 71-124. |
| [4] | Gray SJ. Gene therapy and neurodevelopmental disorders[J]. Neuropharmacology, 2013, 68 : 136-142. DOI: 10.1016/j.neuropharm.2012.06.024. |
| [5] | Lentz TB, Gray SJ, Samulski RJ. Viral vectors for gene delivery to the central nervous system[J]. Neurobiol Dis, 2012, 48 (2): 179-188. DOI: 10.1016/j.nbd.2011.09.014. |
| [6] | Houghton BC, Booth C, Thrasher AJ. Lentivirus technologies for modulation of the immune system[J]. Curr Opin Pharmacol, 2015, 24 : 119-127. DOI: 10.1016/j.coph.2015.08.007. |
| [7] | Benvenuti F. The dendritic cell synapse: a life dedicated to T cell activation[J]. Front Immunol, 2016, 7 (7): 70. |
| [8] | Henry E, Desmet CJ, Garzé V, Fiévez L, Bedoret D, Heirman C, Faisca P, Jaspar FJ, Gosset P, Jacquet AP, Desmecht D, Thielemans K, Lekeux P, Moser M, Bureau F. Dendritic cells genetically engineered to express IL-10 induce long-lasting antigen-specific tolerance in experimental asthma[J]. J Immunol, 2008, 181 (10): 7230-7342. DOI: 10.4049/jimmunol.181.10.7230. |
| [9] | Yoo S, Ha SJ. Generation of tolerogenic dendritic cells and their therapeutic applications[J]. Immune Netw, 2016, 16 (1): 52-60. DOI: 10.4110/in.2016.16.1.52. |
| [10] | Ilarregui JM, Rabinovich GA. Tolerogenic dendritic cells in the control of autoimmune neuroinflammation: an emerging role of protein-glycaninteractions[J]. Neuroimmunomodulation, 2010, 17 (3): 157-160. DOI: 10.1159/000258712. |
| [11] | Almolda B, Gonzalez B, Castellano B. Antigen presentation in EAE: role of microglia, macrophages and dendritic cells[J]. Front Biosci (Landmark Ed), 2011, 16 : 1157-1171. DOI: 10.2741/3781. |
| [12] | Steevels TA, Meyaard L. Immune inhibitory receptors: essential regulators of phagocyte function[J]. Eur J Immunol, 2011, 41 (3): 575-587. DOI: 10.1002/eji.201041179. |
| [13] | Sun Y, Brown NK, Ruddy MJ, Miller ML, Lee Y, Wang Y, Murphy KM, Pfeffer K, Chen L, Kaye J, Fu YX. B and T Lymphocyte attenuator tempers early infection immunity[J]. J Immunol, 2009, 183 (3): 1946-1951. DOI: 10.4049/jimmunol.0801866. |
| [14] | Adler G, Steeg C, Pfeffer K, Murphy TL, Murphy KM, Langhorne J, Jacobs T. B and T lymphocyte attenuator restricts the protective immune response against experimental malaria[J]. J Immunol, 2011, 187 (10): 5310-5319. DOI: 10.4049/jimmunol.1101456. |
| [15] | 王萱, 易寰, 刘佳, 李敏, 彭福华. 慢病毒介导BTLA转染未成熟树突状细胞的研究[J]. 新医学, 2015, 46 (12): 803-807. |

