抗N-甲基-D-天冬氨酸受体(NMDAR) 脑炎是一类自身免疫性疾病,自2007年Dalmau等首次发现抗NMDAR抗体并以之命名,世界范围内关于该病的报道逐渐增多,但其发病机制尚未完全阐明。抗NMDAR脑炎大多以精神类症状为首发,进展速度快,病情严重,与畸胎瘤有一定的相关性,近些年来,该病逐渐引起了神经科、精神科及妇产科的重视,但目前国内仅有少数相关个案报道[1-3]。本文总结我院收治的9例畸胎瘤合并抗NMDAR脑炎患者的相关资料,并结合国内外文献,分析畸胎瘤与该疾病的关系。
对象与方法 一、 研究对象入选病例来源于2014年7月至2016年5月间在中山大学附属第三医院神经内科住院的9例卵巢畸胎瘤合并抗NMDAR脑炎患者,所有患者脑脊液抗NMDAR抗体阳性,且经影像学检查发现附件区包块,考虑畸胎瘤可能性大,后转入我院妇科行进一步治疗。
二、 方法回顾性分析9例患者的一般情况、症状与体征、辅助检查、治疗及预后等相关资料。
结果 一、 一般情况一般情况总结见表 1。9例患者均为女性,发病年龄15~33岁,中位年龄为24岁。其中8例为未婚未育女性;1例为已婚已育女性,孕3产3流产0。病例2两年前患左侧卵巢黏液性囊腺瘤,于我院行腹腔镜下左侧卵巢囊肿剔除术;病例5曾有头部外伤史,自述曾行头颅CT检查未发现异常;其余患者既往史均无特殊。病例5母亲的姐姐曾有精神异常病史,具体不详;其余患者家族史均无特殊。
| 表 1 9例畸胎瘤合并抗NMDAR脑炎女性患者的临床特征 |
临床特征总结见表 1。其中5例患者伴有前驱症状,主要包括发热、头痛、上呼吸道症状等。9例患者均有精神症状,包括情绪不稳定、易激惹、胡言乱语、自杀及暴力倾向等。3例患者有幻听、幻视。5例患者出现癫痫;5例患者出现运动障碍,包括口-舌-面或四肢不自主运动。9例患者均有自主神经功能障碍,包括心率增快、高血压或低血压、痰(涎) 多、高热、出汗多等。4例患者出现中枢性低通气,需要气管插管或气管切开后呼吸机辅助通气;7例患者出现不同程度的意识障碍。
三、 辅助检查 1. 脑脊液脑脊液检查结果详见表 2。9例患者的脑脊液抗NMDAR抗体均阳性,病原学检查(一般细菌或真菌培养、隐球菌、结核杆菌) 均未见异常。6例患者的脑脊液压力升高,为185~280 mm H2O (1 mm H2O=0.0098 kPa);6例患者脑脊液白细胞增多,为(16~142)×106/L,其中4例脑脊液呈淋巴细胞增生性反应(淋巴细胞比例为0.74~0.90);5例患者的脑脊液蛋白质降低,为0.12~0.14 g/L,1例患者的脑脊液蛋白升高,为0.51 g/L。
| 表 2 9例畸胎瘤合并抗NMDAR脑炎患者的脑脊液检测结果 |
血清学检查结果详见表 3。分别有5例患者血常规、生化异常。3例患者自身免疫性指标异常,其中1例抗核抗体(ANA) 弱阳性,1例血清总补体升高,1例抗链球菌溶血素O (抗O) 及抗DNA酶B升高。病原学检测方面,仅有1例血培养铜绿假单胞菌阳性。7例患者的肿瘤学指标异常,其中4例患者的糖链抗原125(CA125) 升高,为35.9~218.6 kU/L,3例糖链抗原19-9(CA19-9) 升高,为39.2~892.8 kU/L,3例铁蛋白升高(402.2~841.6 kU/L)。7例患者抗甲状腺抗体异常,主要为甲状腺过氧化酶抗体(aTPO,79~1 300 kU/L)、甲状腺球蛋白抗体(TGAb,102~1 300 kU/L) 升高。6例患者25-羟维生素D水平均降低(18.9~37.0 nmol/L)。
| 表 3 9例畸胎瘤合并抗NMDAR脑炎患者血液检查结果 |
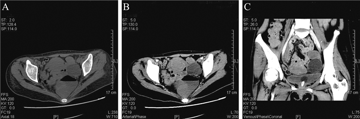
7例患者脑电图异常,主要为背景α节律解体,脑电弥漫性θ/δ波活动(图 1)。6例患者头颅MRI异常,主要累及大脑皮层、小脑、海马、基底节、丘脑、岛叶。病例2患者发病初期于外院就诊,行彩声多普勒超声(彩超) 检查提示左侧卵巢畸胎瘤,已于外院行左侧卵巢畸胎瘤剔除术,后转入我院继续接受治疗;其余8例患者均于我院行盆腔彩超和(或) CT检查,结果均提示附件区包块,考虑畸胎瘤可能性大(图 2)。
|
图 1 一例抗NMDAR脑炎患者的脑电图检查结果 脑电图背景为持续性δ活动,间有较多θ活动 |
|
图 2 一例抗NMDAR脑炎合并畸胎瘤患者的盆腔CT检查结果 A:横截面平扫;B:横截面增强;C:冠状面增强;该例患者左侧附件区可见一大小约40 mm×37 mm的类圆形包裹性低密度影,壁薄、光滑,其内侧壁可见条状极低密度影;增强扫描囊壁均匀强化,囊内容物无强化 |
9例患者均接受一线免疫治疗,即糖皮质激素(激素)、丙种球蛋白冲击治疗,病例4、5在此基础上加用利妥昔单抗。其中,病例2已于外院行卵巢畸胎瘤剔除术,在我院仅接受免疫治疗,症状好转后出院,随访至今(10个月) 无复发。病例8患者及其家属仅同意接受免疫治疗,拒绝行手术切除畸胎瘤,症状好转后出院,出院后2个月停用激素,随访至撰稿日(3个月) 未见异常。其余7例患者在免疫治疗的基础上,均予手术治疗,其中病例1为卵巢肿物剔除术,其余6例患者均为患侧卵巢切除术,病理均提示成熟性畸胎瘤。术后该7例患者症状均明显好转,出院至撰稿日,随访2~23个月,中位随访时间5个月,患者均无肿瘤复发或出现神经系统症状。
讨论抗NMDAR脑炎属于一种自身免疫性疾病,进展快,病情严重。目前其具体发病率、发病机制尚不清楚。NMDAR是由NR1、NR2、NR3亚基构成的异四聚体,主要表达于前额叶皮质、海马、杏仁体和下丘脑,在调节突触传递、触发突触重塑和参与学习记忆中发挥作用。Dalmau等(2007年) 研究发现,抗NDMAR脑炎合并畸胎瘤患者的畸胎瘤组织异位表达NR2亚基,由此推测畸胎瘤异位表达抗原刺激机体产生抗NMDAR抗体,从而引起该疾病的发生。多例抗NMDAR脑炎合并畸胎瘤患者,予切除畸胎瘤后,病情明显改善,在一定程度上支持了上述理论机制[4-5]。另一方面,Tachibana等[6]发现正常卵巢组织也异位表达NR2B亚基,据此推测抗NMDAR脑炎与遗传易感性相关,这尚需进一步研究验证。目前相关的研究大多来自神经内科医师,主要关注导致精神行为异常的机制,至于肿瘤引起抗NMDAR抗体升高的原因,目前世界范围内相关研究仍较少,机制暂未明确。通过比较合并抗NMDAR脑炎的畸胎瘤患者和无精神神经症状的畸胎瘤患者的基因组学、蛋白组学等研究,或许能对抗NMDAR脑炎的发病机制做出部分解释。
抗NMDAR脑炎好发于年轻女性,本研究中9例患者均为女性,患者中位发病年龄为24岁,其中5例患者有前驱症状,表现为发热、头痛、上呼吸道感染等。其典型临床症状可分为8组:行为和认知异常、记忆障碍、言语障碍、癫痫发作、运动障碍、意识障碍、自主神经功能障碍和中枢性低通气,与国外文献报道相一致[7-8]。
本研究中,9例患者的脑脊液抗NMDAR抗体检测均阳性;脑脊液压力大多升高,生化常规结果示白细胞数增多,以淋巴细胞增多为主,与国内外病例报道相一致[8]。
国外研究发现,边缘性脑炎患者出现甲状腺相关抗体的几率高于普通人群(33.3% vs.10%)[9]。本研究中,7例患者出现甲状腺相关抗体升高。另外,6例患者出现25-羟维生素D水平降低。既往研究显示,活性维生素D及其类似物能够调节T细胞介导的自身免疫性疾病状态,而多种自身免疫性疾病(多发性硬化、SLE、自身免疫性甲状腺炎、炎症性肠病等) 患者体内的维生素D水平明显下降[10]。由此推测,维生素D可作为一种新型的免疫调节剂,运用到抗NMDAR脑炎的治疗中。
据统计,约50%抗NMDAR脑炎患者头颅MRI无特殊表现,而其余50%患者在海马、小脑、大脑皮质、岛叶、基底节、脑干等区域出现异常信号灶,如T2或者磁共振成像液体衰减反转恢复序列(FLAIR) 高信号[8]。本研究中6例抗NMDAR脑炎患者头颅MRI异常,累及区域范围及异常信号表现均与国外文献报道一致。此外,现有研究显示大部分抗NMDAR脑炎患者脑电图异常,通常为非特异性无规律的慢波,少部分出现特异性δ刷状波[8]。本研究中7例患者脑电图异常,主要表现为脑电弥漫性θ/δ波活动。
国外研究统计分析发现,38%抗NMDAR脑炎患者合并肿瘤,其中94%为卵巢畸胎瘤[7]。因此,对于出现明显精神症状的年轻女性患者,有必要积极对其进行肿瘤筛查。目前卵巢畸胎瘤是唯一与抗NMDAR脑炎的发生有明确相关的肿瘤,从妇产科医生角度出发,对于无精神症状的畸胎瘤患者,在暂无明确手术指征的情况下,应该如何选择下一步治疗方案,是目前有待思考的问题。研究者曾对收治的25例无精神症状的畸胎瘤女性患者进行血清抗NMDAR抗体检测,结果均为阴性[2]。由此提示,仍需要进一步探究其他血清学标记物,以判断畸胎瘤引起抗NMDAR脑炎的可能性,从而更好地完善畸胎瘤的相关诊治方案。
抗NMDAR脑炎患者的一线免疫治疗方案包括激素冲击、静脉滴注Ig或血浆置换,无效的情况下可加用二线免疫治疗药物,如利妥昔单抗或环磷酰胺。合并肿瘤的患者,行肿瘤切除术,术后症状会得到明显改善[4]。Boeck等[11]曾报道1例抗肿瘤学筛查阴性的NMDAR脑炎患者,在长期免疫治疗无效的情况下,予行卵巢切除术,术后患者症状明显好转,病理示成熟性畸胎瘤。因此,对于合并隐匿性畸胎瘤的抗NMDAR脑炎患者,需要进一步研究以完善相关诊治方案。
本组患者均接受一线免疫治疗,其中病例1患者于我院接受腹腔镜下卵巢肿物剔除术,病例2患者在外院接受腹腔镜下畸胎瘤剔除术;病例8患者及其家属拒绝行畸胎瘤手术治疗;其余6例患者均于我院接受患侧附件切除术,术后随访至撰稿日均无特殊。关于畸胎瘤手术治疗,目前有畸胎瘤剔除术、患侧附件切除术2种手术方案[2, 5],暂无标准手术方案。而Tachibana等[6]发现正常卵巢组织中也异位表达NR2B亚基。由此推测行患侧附件切除术患者可能预后更好,复发几率更小。需要进一步的前瞻性研究证实该推测。
国外一项队列研究报道,501例抗NMDAR脑炎患者,经过免疫治疗及肿瘤切除手术后,97%患者在随访2年后均有良好结局。本研究的9例患者出院随访至撰稿日,均无复发[7]。
综上所述,抗NMDAR脑炎大多以精神症状首发、疾病进展快,多合并卵巢畸胎瘤,并且具有一定的可治愈性,需要引起神经内科、妇产科医生的重视。对于肿瘤引起抗NMDAR抗体升高的机制、合并畸胎瘤患者手术方案的选择等方面,均需要进一步研究探讨,以完善抗NMDAR脑炎的相关理论及诊治方案。
| [1] | 商敏, 郝增平, 靳家玉. 卵巢未成熟畸胎瘤致抗NMDA受体抗体副肿瘤性边缘系统脑炎一例[J]. 中国妇产科临床杂志, 2011, 12 (5): 388-389. |
| [2] | 周星楠, 孙大为, 冯力民, 郭蕾, 任海涛, 薛晓伟, 刘珠凤, 冷金花, 朱兰, 郎景和. 卵巢畸胎瘤合并抗N-甲基-D-天冬氨酸受体脑炎五例临床分析[J]. 中华妇产科杂志, 2014, 49 (4): 281-286. |
| [3] | 程辉, 刘向红, 罗亮, 江海玮, 徐敏娟. 卵巢畸胎瘤相关性抗NMDAR脑炎一例报告并文献复习[J]. 中华妇产科杂志, 2014, 49 (7): 541-542. |
| [4] | Imai K, Fukuda T, Wada T, Kawanishi M, Yamauchi M, Hashiguchi Y, Ichimura T, Yasui T, Sumi T. Complete recovery from paraneoplastic anti-NMDAR encephalitis associated with a small ovarianteratoma following a laparoscopic salpingo-oophorectomy: a case report[J]. Exp Ther Med, 2015, 9 (5): 1723-1726. |
| [5] | Yanai S, Hashiguchi Y, Kasai M, Fukuda T, Ichimura T, Yasui T, Sumi T. Early operative treatment of anti-N-methyl D-aspartate (anti-NMDA) receptor encephalitis in a patient with ovarian teratoma[J]. Clin Exp Obstet Gynecol, 2015, 42 (6): 819-821. |
| [6] | Tachibana N, Shirakawa T, Ishii K, Takahashi Y, Tanaka K, Arima K, Yoshida T, Ikeda S. Expression of various glutamate receptors including N-methyl-D-aspartate receptor (NMDAR) in anovarian teratoma removed from a young woman with anti-NMDAR encephalitis[J]. Intern Med, 2010, 49 (19): 2167-2173. DOI: 10.2169/internalmedicine.49.4069. |
| [7] | Titulaer MJ, McCracken L, Gabilondo I, Armangué T, Glaser C, Iizuka T, Honig LS, Benseler SM, Kawachi I, Martinez-Hernandez E, Aguilar E, Gresa-Arribas N, Ryan-Florance N, Torrents A, Saiz A, Rosenfeld MR, Balice-Gordon R, Graus F, Dalmau J. Treatment and prognostic factors for long-term outcome in patients with anti-NMDA receptorencephalitis: an observational cohort study[J]. Lancet Neurol, 2013, 12 (2): 157-165. DOI: 10.1016/S1474-4422(12)70310-1. |
| [8] | Dalmau J, Lancaster E, Martinez-Hernandez E, Rosenfeld MR, Balice-Gordon R. Clinical experience and laboratory investigations in patients with anti-NMDAR encephalitis[J]. Lancet Neurol, 2011, 10 (1): 63-74. DOI: 10.1016/S1474-4422(10)70253-2. |
| [9] | Tüzün E, Erdağ E, Durmus H, Brenner T, Türkoglu R, Kürtüncü M, Lang B, Akman-Demir G, Eraksoy M, Vincent A. Autoantibodies to neuronal surface antigens in thyroid antibody-positive and-negative limbicencephalitis[J]. Neurol India, 2011, 59 (1): 47-50. DOI: 10.4103/0028-3886.76857. |
| [10] | 庞园园, 方莹, 周影. 维生素D与炎症性肠病的相关性研究进展[J]. 新医学, 2015, 46 (6): 341-345. |
| [11] | Boeck AL, Logemann F, Krauβ T, Hussein K, Bültmann E, Trebst C, Stangel M. Ovarectomy despite negative imaging in anti-NMDA receptor encephalitis: effective even late[J]. Case Rep Neurol Med, 2013, 2013 : 843192. |

