文章快速检索     高级检索
  新医学  2017, Vol. 48 Issue (2): 132-136  DOI: 10.3969/j.issn.0253-9802.2017.02.014
0

引用本文 [复制中英文]

赵小晓, 黄征, 谢永辉, 章宏峰. 右小腿腺泡状软组织肉瘤一例[J]. 新医学, 2017, 48(2): 132-136.
Zhao Xiaoxiao, Huang Zheng, Xie Yonghui, Zhang Hongfeng. Alveolar soft part sarcoma in the right lower extremity: a case report[J]. Journal of New Medicine, 2017, 48(2): 132-136.

通讯作者

章宏峰

文章历史

收稿日期:2016-10-24
右小腿腺泡状软组织肉瘤一例
赵小晓, 黄征, 谢永辉, 章宏峰     
430000 武汉,华中科技大学同济医学院附属武汉中心医院病理科
摘要: 腺泡状软组织肉瘤(ASPS) 是一种罕见的高度恶性软组织肿瘤。该文报道了1例罕见的ASPS,患者为男性、17岁,肿瘤发生于右小腿深部软组织。镜下肿瘤呈实性生长,腺泡结构消失,被纤维组织分隔,并且有大量血窦形成,血管内可见瘤栓,胞质内可见棒状结晶体。免疫组织化学染色示转录因子3(TFE3) 核阳性,SMA部分阳性,F8部分阳性,Vimentin少数散在阳性,过碘酸-雪夫染色阳性,余指标均阴性。扩大切除肿物后,患者14个月无瘤存活。该例提示,结合临床、组织学形态及免疫组织化学检测,可以对ASPS做出正确诊断,ASPS的鉴别诊断需排除血窦丰富、血管周源性或胞浆嗜伊红、透亮的肿瘤,TFE3是其诊断的特异性标志物。
关键词: 腺泡状软组织肉瘤    病理诊断    鉴别诊断    治疗    预后    
Alveolar soft part sarcoma in the right lower extremity: a case report
Zhao Xiaoxiao, Huang Zheng, Xie Yonghui, Zhang Hongfeng     
Department of Pathology, Central Hospital of Wuhan, Tongji Medical College, Huazhong University of Science and Techology, Wuhan 430000, China
Corresponding author: Zhang Hongfeng
Abstract: Alveolar soft part sarcoma (ASPS) is a rare highly malignant soft tissue neoplasm. In this article, we reported one 17-year old male patient diagnosed with ASPS in the deep soft tissues of his right lower extremity. Microscopically, the neoplasm was manifested with solid texture, loss of alveolar structure and separated by fibrovascular septa. A large quantity of blood sinus was observed and tumor thrombosis was identified within the blood vessels. Needle-like crystals were detected in the cytoplasm of tumor cells. Immunohistochemical staining revealed that the tumor cells were positive for TFE3 nucleus, partially positive for SMA, partially positive for F8, dispersely positive for Vimentin, positive for Periodic acid-Schiff staining and negative for alternative parameters. After enlarged tumor resection, the tumor-free survival of the patient achieved 14 months. This case prompts that combined application of clinical, histological and morphological characteristics and immunohistochemical examinations contributes to accurate diagnosis of ASPS. Abundant blood sinus and perivascular or cytoplasmic eosin-stained transparent tumors should be excluded for the differential diagnosis of ASPS. TFE3 is a specific biomarker.
Key words: Alveolar soft part sarcoma    Pathological diagnosis    Differential diagnosis    Treatment    Prognosis    

腺泡状软组织肉瘤(ASPS) 是由Christopherson等于1952年首次报道的一种分化方向尚不明确的恶性肿瘤,临床少见[1]。现报告1例在我院诊断的实体型ASPS,并对有关文献进行复习,总结病例特点,旨在提高临床对该病的认识水平。

病例资料 一、 病史与体格检查

患者男,17岁,因发现右小腿包块半年于2015年8月3日入院。半年前患者发现右小腿有一包块,触之有搏动感,无疼痛感,无活动功能障碍,无发热,一直未予重视,未行处理。入院体格检查:生命体征平稳。心、肺、腹检查未见异常。右小腿内侧可触及一包块,大小约7 cm×6 cm,质韧,边界不清,活动度低,无压痛,表面皮肤无红肿、破溃,右下肢无肿胀,感觉肌力正常。无关节红肿或强直,无杵状趾,无肌肉萎缩。其他部位未见明显肿块。

二、 实验室检查

血常规:血红蛋白149 g/L, 白细胞5.4×109/L, 红细胞5.2×1012/L, 血小板189×109/L, 中性粒细胞0.06, 淋巴细胞0.40。ALT 22.6 μ/L, 白蛋白47.4 g/L, 血糖5.13 mmol/L, 血尿素氮3.17 mmol/L, 血清肌酐55.3 μmol/L, 血钾4.1 g/L。尿常规、凝血功能未见异常。

三、 影像学检查

MRI示右小腿中上段背侧肌肉内占位(图 1),病灶大小约3.9 cm×5.8 cm×6.0 cm,增强扫描病灶明显强化,欠均匀,邻近骨皮质完整,未见明显异常信号影,考虑肿瘤性病变,血管源性可能性大。

图 1 一例ASPS患者的MRI检查结果 右小腿中上段背侧肌肉内可见一3.9 cm×5.8 cm×6.0 cm病变,病灶密度欠均匀
四、 病理检查

8月8日患者在全身麻醉下行肿块部分楔形切除术并送病理检查。术中肿物在肌肉深层,包膜尚完整,游离肿物周围,上下似与神经相连,切开肿块包膜,见鱼肉状组织生长。手术切除的标本常规用10%甲醛固定,石蜡包埋,3~4 μm厚切片,行苏木素-伊红(HE) 染色、免疫组织化学(免疫组化) Envision两步法染色和过碘酸-雪夫(PAS) 染色。

肉眼观察:5 cm×3 cm×2 cm灰黄组织一块,切面灰黄,均质,质中。

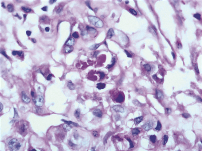
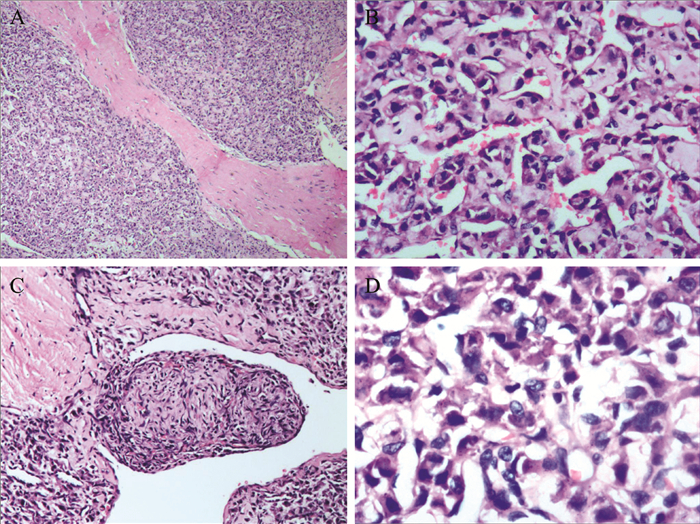
显微镜观察:低倍镜下,瘤组织呈实性弥漫片状生长并且被纤维组织分隔,未见明显的“腺泡状”或“器官样”的细胞巢,局部被纤维分隔呈结节状(图 2A),细胞巢之间有宽窄不等的血窦间隔(图 2B),可见血管内瘤栓(图 2C)。高倍镜下细胞边界清晰,大小和形状较为一致,呈多边形或者大圆形,胞质丰富,细胞核呈泡状,有明显的核仁,细胞核大小不齐,细胞浆呈嗜伊红颗粒状(图 2D)。

图 2 一例ASPS患者肿块组织病理切片的显微镜下所见(HE染色,A×40、B、C×100,D×200) A:瘤组织呈实性生长并且被纤维组织分隔,局部被分隔呈结节状;B:细胞巢之间有宽窄不等的血窦间隔;C:可见血管内瘤栓;D:高倍镜下细胞边界清晰,细胞核呈泡状,有明显的核仁,细胞核大小不齐,细胞浆呈嗜伊红颗粒状

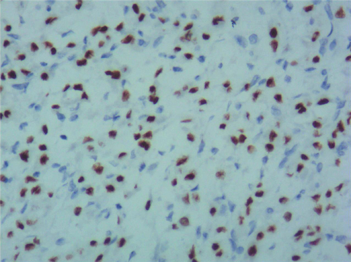
免疫表型:转录因子3(TFE-3核+,图 3),SMA部分(+),F8部分阳性,Vimentin少数散在(+),Ki-67约10%(+),上皮源性标记物PCK、CK18、EMA均(-),黑色素瘤相关标记物HMB-45、S-100、Melan-A均(-),神经内分泌标记物CD56、SYN、CgA、NSE、GFAP均(-),其他标记物CD10、Pax-8、RCC、MyoD1、CD117、CD31、CD34、FLi-1、Desmin、H-Caldesmon、CD68均(-)。

图 3 一例ASPS患者肿块组织病理切片的免疫组化染色结果(EnVision两步法染色,×100) 肿瘤细胞表达TFE3,胞核内强阳性

特殊染色:PAS染色阳性,瘤细胞内可见针状或棒状结晶体(图 4)。

图 4 一例ASPS患者肿块组织病理切片的免疫组化染色结果(PAS染色,×200) 肿瘤细胞内颗粒及针状结晶PAS染色阳性
五、 诊治

病理诊断:(右小腿) ASPS (实体型)。扩大切除肿物后,至撰稿日患者无瘤存活14个月。

讨论

ASPS是一种分化方向未定的罕见软组织肉瘤,占软组织肉瘤的0.5%~1.0%[1]。实体型的ASPS更少。因为该肿瘤生长缓慢且无其他症状,在临床上容易漏诊和误诊。

ASPS好发于青少年,发病高峰年龄为15~35岁。发病年龄低于5岁或超过50岁者少见。30岁以前女性与男性发病率比例为2:1,30岁以后无明显性别差异。儿童多发于头颈部,尤其是舌和眼眶,因为位置较表浅,且该肿瘤血管丰富,触之可有搏动感。儿童软组织肿瘤占儿童肿瘤的7%,是儿童颅外最常见的实体瘤[2]。成年人多发生于下肢,尤其是大腿和臀部,少数病例发生在头颈、眼眶、乳腺、子宫颈、肺、腹膜后、脑膜等,肿块多位于深部肌肉组织内,生长缓慢,无痛。2014年也有学者报道了1例面部发生的ASPS,肿瘤生长迅速[3]

ASPS的肿瘤呈椭圆形、圆形或者结节状,可有包膜,四肢肿瘤不易发现,肿瘤直径平均为6~10 cm,位于头颈部的肿瘤易于发现,肿瘤大小多为1~3 cm[3]。切面呈灰白、灰黄,质地软而实,体积较大时可有囊形成或者出血、坏死。

在组织学形态上,ASPS分为经典型和实体型。经典型较常见,实体型少见。经典型是巢状或器官样生长方式,巢团内细胞黏附性差,去黏附形成腺泡样结构,肿瘤细胞大,呈多角形至圆形,界限清晰,胞浆丰富、嗜伊红,也可呈透亮外观,泡状核、核仁明显。实体型以实性弥漫的生长方式为主,出现索状结构,腺样或腺泡状不明显,瘤细胞核常偏位。实体型多见于婴幼儿和儿童,有学者认为实体型的肿瘤细胞群进一步成熟、去黏附,便形成了经典型[4]。实体型和经典型共有的组织学形态特征为:肿瘤细胞巢之间的纤维隔,瘤细胞均为上皮样细胞,瘤细胞间有大量血窦,常有脉管侵犯。

特殊染色和免疫组化标记在ASPS的辅助诊断中具有重要作用。文献显示,70%~80%ASPS的胞质内可见到PAS阳性的针状或棒状结晶体[5]。本例PAS染色呈阳性。免疫组化在ASPS诊断方面的作用主要是排除其他组织学形态相似的肉瘤和癌。近年TFE3被越来越多的研究者作为ASPS的免疫组化诊断标记,尽管它在人体组织中广泛表达,但是通常水平较低,通过免疫组化手段难以检出。TFE3蛋白的免疫组化检测,对于Xp11.2易位/TFE3融合基因相关肿瘤(ASPS、Xp11.2易位相关性肾细胞癌) 具有高特异度和敏感度。需要特别强调的是,产生的融合蛋白定位于细胞核,成为异常转录因子,只有TFE3核阳性才具有诊断价值,而TFE3胞质阳性可见于多种肿瘤,可能为非特异性着色。此外,近期研究认为一些与TFE3融合基因无关并且需要与ASPS鉴别的肿瘤(如颗粒细胞瘤、副节瘤、肾上腺皮质癌等) 也可存在TFE3核表达[4]。临床应综合患者的影像学检查、组织病理学特征、特殊染色及免疫组化及基因检测结果诊断ASPS[6]

对ASPS的组织来源仍有较大争议,其来源主要有以下几种猜测:肌细胞及神经源性、肾小球旁细胞源性、非嗜铬细胞瘤副神经节细胞源性。但没有一种假说能得到合理、全面的验证,因此腺泡性软组织肉瘤仍被归属为来源不明的软组织肿瘤。Giordano等[5]报道了ASPS具有特征性的不平衡染色体易位:der (17) t (X; 17)(p11.2;q25)。该染色体易位使得位于17q25上的ASPL基因N端区域与Xp11.2上的TFE3基因的C端相融合,可产生2种相应的ASPLTFE3融合基因转录本(1型及2型)。近年,ASPLTFE3融合基因检测已用作ASPS诊断的金标准。研究还表明,在ASPS石蜡标本中应用实时定量PCR方法检测ASPL-TFE3融合基因切实可行,具有较高敏感度及特异度,在形态不典型的ASPS病例诊断中具有重要价值。目前研究发现,ASPSL-TFE3融合蛋白能够通过MET原癌基因信号通路上调p21的表达,从而调节细胞周期和诱导细胞凋亡,促进ASPS的肿瘤进展[7]

ASPS应与以下肿瘤进行鉴别诊断:①血窦丰富的肿瘤,转移性神经内分泌肿瘤常见于头颈部、纵隔及腹膜后等有化学感受器的部位,瘤细胞较小,颗粒较细,PAS染色无阳性结晶体,表达神经内分泌标记物,如CD56、SYN、CgA、NSE;②血管(周) 源性肿瘤,血管源性肿瘤组织学形态与实体型腺泡状软组织肉瘤不同,且细胞表达F8、FLI-1等标记物,易于鉴别;③胞浆嗜伊红或透亮的肿瘤,转移性腺癌常有异型的腺体结构,泡状软组织肉瘤的腺泡内缘不整齐,细胞较松散,不是真正的腺腔。另外,腺癌极少转移在肌肉内形成较大的瘤块,表达上皮标记物PCK、EMA。透明细胞肉瘤由透明或嗜伊红胞浆的上皮细胞组成,被胶原纤维分隔呈巢状。恶性黑色素瘤常发生在皮肤黑色素细胞,可见多处不等的黑色素沉积,即使是无色素型,亦可通过S100、HMB-45、Melan-A、MiTF免疫表型鉴别瘤细胞。

ASPS虽然生长缓慢,但是其预后较差,早期转移率却相当高,是高度恶性的软组织肿瘤,多见静脉受侵和血液转移,常见转移部位主要是肺,其次为脑、骨、肝等。研究发现,ASPS的预后影响因子主要包括年龄、肿瘤大小和有无转移,年龄大于10岁者比小于10岁者预后差,肿块大于5 cm者比肿块小于5 cm者的预后差,出现转移的比未出现转移的患者预后差,未出现转移的儿童和青少年ASPS,5年生存率达80%,而有转移的患者5年生存率明显降低[8-9]。实体型预后较好,具体原因不明,可能是实体多发于婴幼儿或儿童,肿瘤部位多表浅,肿瘤体积较小,发现较早等缘故[10]。目前的治疗方法主要是根治性切除原发及转移病灶,辅以放射治疗或化学治疗。传统的化学治疗基本上没有治疗效果,而放射治疗可降低局部复发,但是不影响总体生存率[11]。本例患者术后随访14个月,未见明显局部复发及远处转移。

参考文献
[1] Ferrari A, Sultan I, Huang TT, Rodriguez-Galindo C, Shehadeh A, Meazza C, Ness KK, Casanova M, Spunt SL. Soft tissue sarcoma across the age spectrum: a population-based study from the surveillance epidemiology and end results database[J]. Pediatr Blood Cancer, 2011, 57 (6): 943-949. DOI: 10.1002/pbc.v57.6.
[2] 甄子俊. 儿童横纹肌肉瘤治疗进展[J]. 新医学, 2013, 44 (7): 437-441.
[3] Wang HW, Dai W, Qin XJ, Zhang CP. A new clinical manifestation for cheek alveolar soft-part sarcoma: a case report and review of the literature[J]. J Oral Maxillofac Surg, 2014, 72 (4): 817-822. DOI: 10.1016/j.joms.2013.10.019.
[4] Jaber OI, Kirby PA. Alveolar Soft Part Sarcoma[J]. Arch Pathol Lab Med, 2015, 139 (11): 1459-1462. DOI: 10.5858/arpa.2014-0385-RS.
[5] Giordano G, D'Adda T, Varotti E, Crovini G, Silini EM. Primary alveolar soft part sarcoma of uterine corpus: a case report with immunohistochemical, ultrastructural study and review of literature[J]. World J Surg Oncol, 2016, 14 (1): 24.
[6] 赵晓娟, 伍尧泮, 余深平, 陈应明, 李智. 腺泡状软组织肉瘤的临床及影像学表现[J]. 中山大学学报(医学科学版), 2013, 34 (5): 744-749.
[7] Ishiguro N, Yoshida H. ASPL-TFE3 Oncoprotein regulates cell cycle progression and induces cellular senescence by up-regulating p21[J]. Neoplasia, 2016, 18 (10): 626-635. DOI: 10.1016/j.neo.2016.08.001.
[8] Wang M, Li J, Huan L, Meng F, Pang Q. Alveolar soft part sarcoma associated with lung and brain metastases: a case report[J]. Oncol Lett, 2016, 12 (2): 956-958.
[9] 刘巍峰, 郝林, 王涛, 宫丽华, 李远, 牛晓辉. 腺泡状软组织肉瘤外科治疗的预后分析[J]. 中华骨科杂志, 2015, 35 (2): 148-157.
[10] Cho YJ, Kim JY. Alveolar soft part sarcoma: clinical presentation, treatment and outcome in a series of 19 patients[J]. Clin Orthop Surg, 2014, 6 (1): 80-86. DOI: 10.4055/cios.2014.6.1.80.
[11] Qiao PF, Shen LH, Gao Y, Mi YC, Niu GM. Alveolar soft part sarcoma: clinicopathological analysis and imaging results[J]. Oncol Lett, 2015, 10 (5): 2777-2780.