文章快速检索     高级检索
  新医学  2017, Vol. 48 Issue (4): 281-284  DOI: 10.3969/j.issn.0253-9802.2017.04.016
0

引用本文 [复制中英文]

雷耀耀, 陈叶青, 周红宇, 宁继余, 周国华. 原发性食管小细胞癌一例[J]. 新医学, 2017, 48(4): 281-284.
Lei Yaoyao, Chen Yeqing, Zhou Hongyu, Ning Jiyu, Zhou Guohua. Primary esophageal small cell carcinoma: one case report[J]. Journal of New Medicine, 2017, 48(4): 281-284.

通讯作者

周国华

文章历史

收稿日期:2016-11-06
原发性食管小细胞癌一例
雷耀耀, 陈叶青, 周红宇, 宁继余, 周国华     
421002 衡阳,解放军第一六九医院暨湖南师范大学附属湘南医院
摘要: 原发性食管小细胞癌 (PESCC) 是比较罕见的疾病,临床表现不典型。该例PESCC患者以腹胀、纳差、乏力为首发表现,入院前无明显吞咽梗阻感或胸骨后不适等表现,缺乏典型临床表现,经胃镜、超声内镜及病理+免疫组织化学等结果分析,确诊为PESCC。该例病灶位于食管中上段,患者未进行食管静脉曲张套扎及硬化治疗,临床上极为罕见,容易误诊。因此,对临床表现不典型患者,应详细询问病史,并进行全面的体格检查及对重要的实验室检查结果综合分析,以提高早期诊断水平,且临床医师需警惕是否合并其他疾病。
关键词: 原发性食管小细胞癌    诊断    治疗    
Primary esophageal small cell carcinoma: one case report
Lei Yaoyao, Chen Yeqing, Zhou Hongyu, Ning Jiyu, Zhou Guohua     
Department of Gastroenterology, the 169th Hospital of P.L.A and Xiangnan Hospital affiliated to Hunan Normal University, Hengyang 421002, China
Corresponding author: Zhou Guohua
Abstract: Primary esophageal small cell carcinoma (PESCC) is a rare disease with non-specific clinical manifestations. In this paper, one case of PESCC was diagnosed with liver cirrhosis due to the onset symptoms of abdominal distention, anorexia and fatigue. Prior to admission, no evident dysphagia, retrosternal discomfort or other specific clinical manifestations were reported. The patient was eventually diagnosed with PESCC by gastroscopy, endoscopic ultrasonography, pathological and immunohistochemical staining. The lesion was located in the middle and upper segments of the esophagus. The patient did not receive the ligation or sclerotherapy of esophageal varices. This case was rarely seen in clinical practice and likely to be misdiagnosed or miss diagnosis. Consequently, for patients with non-specific clinical symptoms, explicit enquiry of medical history, comprehensive physical examination and vital laboratory examinations should be integrated to enhance the accuracy of early diagnosis. Clinicians should pay attention to the risk of alternative complications.
Key words: Primary esophageal small cell carcinoma    Diagnosis    Treatment    

小细胞癌是一种低分化神经内分泌肿瘤, 绝大部分发生在肺内,仅5%左右发生在肺外器官[1]。肺外小细胞癌以消化道多见, 其中发生在食管的约占53%~71%[2]。原发性食管小细胞癌 (PESCC) 是罕见的食管恶性肿瘤, 发病率低, 恶性程度高, 预后差, 术前确诊率低, 易误诊,因而术前准确定性十分重要。现将我院近期收治的1例PESCC患者的临床资料报告如下。

病例资料 一、 主诉及病史

患者男,65岁。因反复腹胀、纳差、乏力5年于2016年8月24日入我院就诊。患者自诉于5年前无明显诱因出现腹部胀痛,于进食后尤甚,呈进行性加重,感肢体乏力,食欲下降,无畏寒、发热、盗汗,无恶心、呕吐,无咳嗽、咳痰,曾在当地医院予以口服“药物”(具体种类不详) 治疗,症状无明显好转,于2011年10月14日第1次入我科住院,经完善相关检查,诊断为“酒精性肝硬化、食管静脉显露、非萎缩性胃炎伴糜烂、十二指肠球炎”,予以护肝、利尿、护胃等对症治疗后,症状逐渐好转而出院。后多次来我院门诊复诊,复查腹部彩色多普勒超声 (彩超) 均为“肝硬化并腹腔积液”,间断口服“护肝、利尿”药物治疗,症状时轻时重。近1个月来患者感上述症状较前加重入院。既往体健,否认“病毒性肝炎、结核”等慢性传染病史,无家族遗传病史,有长期大量饮酒史。

二、 体格检查

体温36.8℃,血压100/70 mm Hg (1 mm Hg=0.133 kPa),肝病面容,可见肝掌及蜘蛛痣,巩膜黄染,双肺呼吸音清晰,无啰音,心界不大,心率78次/分,律齐,无杂音,腹膨隆,可见腹壁静脉曲张,触诊软,上腹部压痛,无反跳痛,肝肋下未扪及,脾肋下约1横指,质软,移动性浊音阳性,肠鸣音正常,4~6次/分,双下肢水肿。

三、 实验室及辅助辅查

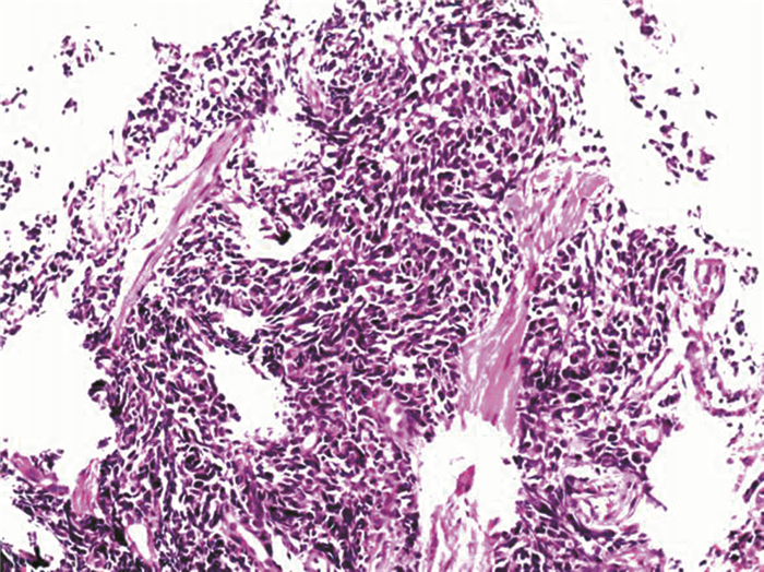
血常规:中性粒细胞百分比84.1%、血小板49×109/L,余正常。尿常规、粪常规、甲胎蛋白、癌胚抗原、糖类抗原199、甲状腺功能、CRP、血清降钙素原正常。乙型病毒性肝炎 (乙肝) 三对、丙型病毒性肝炎 (丙肝) 病毒抗体、抗HIV、血幽门螺杆菌抗体、梅毒特异性抗体、抗核抗体均阴性。A型血、Rh (+)。肝功能:总胆红素44.3 μmol/L、直接胆红素12.1 μmol/L、间接胆红素32.2 μmol/L、ALT 46 U/L、AST 63 U/L、碱性磷酸酶179 U/L、γ-谷氨酰转移酶103 U/L。电解质:钾3.4 mmol/L。凝血常规:凝血酶原时间16.3 s、国际标准化比率1.34、部分凝血活酶时间55.2 s。X线胸片、胸部CT示双肺未见明显异常。上腹部CT示肝硬化、脾大、门脉高压、腹水、胆囊结石并胆囊炎。腹部彩超示肝硬化、脾大、腹腔积液、门静脉内径增宽、胆囊继发改变、胆囊多发结石。胃镜示食管静脉曲张 (轻度)、食管肿物 (表面光滑,未见糜烂及溃疡形成),见图 1。入院诊断“肝硬化失代偿期 (酒精性)、门脉高压症、脾功能亢进症”基本明确,但此次胃镜下发现食管中上段肿物,性质尚不明确,行超声胃镜示食管固有肌层肿物 (考虑间质瘤),见图 2。病理检查结果示 (食管) 小细胞恶性肿瘤、结合免疫组织化学 (组化) 符合小细胞癌。免疫组化结果示CgA (+),CK5/6(-),CKpan (+),K1-67(+50%~75%),LCA (-),NSE (+),P63(-),Syn (+),TTF-1(+),见图 3

图 1 PESCC患者胃镜图
图 2 PESCC患者超声胃镜图
图 3 PESCC患者食管肿物 病理结果 (苏木素-伊红染色,×100)
四、 诊断和治疗

最后诊断:PESCC、肝硬化失代偿期。治疗上给予还原型谷胱苷肽护肝、补充脂溶性维生素、泮托拉唑抑酸、补充蛋白、利尿等营养支持处理,患者病情好转,建议转外科手术治疗并去上级医院进一步诊治。

讨论

小细胞癌最常见的器官来源于肺,其次包括胃肠、泌尿生殖系统、头颈部和乳腺组织,食管是最常见的肺外小细胞癌的胃肠道器官[3]。PESCC是一种肺外小细胞癌极其少见的恶性肿瘤,1952年由Mckeown等首次报道,国外PESCC约占食管癌的0.8%~2.7%[4]

PESCC的组织学来源尚未明确,大多数学者认为起源于食管黏膜内基底层或黏膜下腺体的神经内分泌细胞,即APUD细胞;也有部分学者认为,食管小细胞癌与食管鳞癌、腺癌一样均起源于食管黏膜的多潜能原始干细胞,此细胞多数分化为鳞癌,少数分化为腺癌,仅极少数分化为小细胞癌,因此,不同组织类型的癌细胞可以混合存在[5]

PESCC临床表现及发病年龄与其他类型食管癌相似,主要临床表现为进食习惯的改变,如进食哽咽感、吞咽困难等,其他伴随症状则因肿瘤侵犯或累及病灶周围不同而表现不一,如胸背部疼痛、声音嘶哑等症状,此外体质量减轻也较为常见[6-7]。PESCC发病年龄多在50~59岁,并有年轻化的趋势,男性多于女性,原发部位多位于中下段。PESCC影像学分为蕈伞型、髓质型、溃疡型、斑块型、腔内型和缩窄型,其中以蕈伞型和髓质型最多见,但文献报道中各类型所占比例差距较大。PESCC病情发展快,恶性程度高,多数就诊时已发生转移,据报道,PESCC淋巴结癌转移率为81.8%~100%[8]

PESCC的临床症状、影像学表现和内镜所见与食管鳞癌、腺癌相似,病理学及免疫组化是确诊本病的金标准。由于胃镜取材组织量小,常有混合细胞类型存在,容易造成误诊而延误治疗,所以PESCC的诊断往往依赖术后的病理结果及免疫组化检测。

PESCC尚无标准分期系统,因最新的2009年美国抗癌协会 (AJCC) 分期标准主要适用于手术患者,而对于PESCC患者是否手术还存在争议,临床上一般参照2002年美国抗癌协会标准进行TNM临床分期或VALSG分期。VALSG分期定义局限期 (LS期) 为肿瘤局限在食管或食管周围,无淋巴结转移或有区域淋巴结转移 (相当于T1-4,N0-1,M0);广泛期 (ES期) 为肿瘤局限期范围以外 (如肝、骨等器官的远处转移,相当于任何T、任何N、M)。最近Wang等[9]研究认为2002年AJCC分期在早期PESCC的表现较VALSG分期更为敏感,但仍认为在临床中两种分期均有其预测的意义,且在临床制定治疗方案时VALSG分期更为实用。

由于PESCC发病率低,治疗方法尚未达成共识。PESCC与鳞癌相比具有更大的侵袭性,预后明显比鳞癌差,常死于远处转移或局部复发[10]。影响预后的因素有临床分期、体能状况、治疗方式和治疗模式。考虑到PESCC的组织学的特殊性、基因改变和高度侵袭性的生物学特点与肺小细胞癌相似,对其治疗多借鉴于肺小细胞癌的治疗模式,强调了化学治疗在PESCC治疗中的地位。近几年来,对局限期PESCC的治疗倾向于采用手术治疗,腔镜食管癌根治术逐渐被应用于食管癌疾病治疗中,并辅于新辅助化学治疗尤为重要[11]。对于广泛期患者,采用单一化学治疗,缓解期短,而采用综合治疗可能改善生活质量,提高生存率。因此,PESCC是非常少见的食管恶性肿瘤,早期发现、及时治疗是提高生存率的关键。化学治疗是PESCC治疗的基石,放射、化学治疗应该作为首选的治疗方法,其次手术切除结合放射、化学治疗等综合治疗,可能明显延长生存期,不建议单纯行局部治疗 (手术或放射治疗)。

本例患者为65岁老年男性,主要临床症状为腹胀、腹水、纳差、乏力等肝硬化失代偿期表现,诊断为肝硬化失代偿期 (酒精性)5年,此次患者起病隐匿,临床症状不典型,入院前缺乏吞咽梗阻感或胸骨后不适等食管肿瘤特异性表现,易漏诊。本例患者特别之处在于食管肿物表面光滑,未见糜烂及溃疡形成,易误诊为平滑肌瘤,延误病情的诊治。本例结合胃镜、病理及免疫组化结果明确为肝硬化失代偿期合并PESCC,且病灶位于食管中上段,临床上极为罕见,与文献报道不一致。本例患者未进行食管静脉套扎及硬化治疗,原因可能与酒精、营养不良及反流有关,有待进一步研究证实。

综上所述,PESCC临床极其少见,在临床上应常规行肺部CT检查,再结合胃镜、超声内镜、病理及免疫组化检测等综合分析,以提高该病的早期诊断率,减少漏诊、误诊。

参考文献
[1] Terada T. A clinicopathologic study of esophageal 860 benign and malignant lesions in 910 cases of consecutive esophageal biopsies[J]. Int J Clin Exp Pathol, 2013, 6 (2): 191-198.
[2] Lee SS, Ha HK, Kim AY, Kim TK, Kim PN, Yu E, Lee MG, Myung SJ, Jung HY, Kim JH, Min YI. Primary extrapulmonary small cell carcinoma involving the stomach or duodenum or both: findings on CT and barium studies[J]. AJR Am J Roentgenol, 2003, 180 (5): 1325-1329. DOI: 10.2214/ajr.180.5.1801325.
[3] Grossman RA, Pedroso FE, Byrne MM, Koniaris LG, Misra S. Does surgery or radiation therapy impact survival for patients with extrapulmonary small cell cancers?[J]. J Surg Oncol, 2011, 104 (6): 604-612. DOI: 10.1002/jso.v104.6.
[4] Fattahi Masoum SH, Sharifi N, Taraz Jamshidi S, Sharifian A, Rezaee R. Primary small cell carcinoma of the esophagus (PSCEC) associated with paraneoplastic sweating syndrome: a case report and literature review[J]. Iran J Otorhinolaryngol, 2015, 27 (83): 463-467.
[5] Hosseini S, Salek R, Nasrolahi H, Mohammadianpanah M, Judi M. Small cell carcinoma of the esophagus: clinicopathological features and outcome of 22 cases[J]. Iran Red Crescent Med J, 2015, 17 (11): e20353.
[6] 张百华, 杨文静, 赵亮, 赫捷, 王永岗, 张宏图. 109例原发性食管小细胞癌的外科治疗和预后分析[J]. 中华肿瘤杂志, 2012, 34 (9): 698-702.
[7] 宋岩, 王绿化, 赫捷, 王金万. 151例食管小细胞癌的治疗与预后分析[J]. 癌症, 2009, 28 (3): 303-307.
[8] 刘广杰, 邓明坤, 潘红梅, 解少男, 刘芳, 刘庆熠. 原发性食管小细胞癌的临床特点及预后分析[J]. 广东医学, 2015, 36 (22): 3476-3479.
[9] Wang SY, Mao WM, Du XH, Xu YP, Zhang SZ. The 2002 AJCC TNM classification is a better predictor of primary small cell esophageal carcinoma outcome than the VALSG staging system[J]. Chin J Cancer, 2013, 32 (6): 342-352.
[10] 高兰婷, 吕长兴, 王家明, 刘俊, 王常禄, 李洪选, 郭金栋, 赵蕾. 原发性食管小细胞癌临床特征及预后分析[J]. 上海交通大学学报 (医学版), 2011, 31 (8): 357-359.
[11] 谢锡浩, 林万里, 陈颖, 吴波猛, 龚兰. 腔镜食管癌根治术对食管癌患者并发症的影响[J]. 新医学, 2015, 46 (9): 625-628.