文章快速检索     高级检索
  新医学  2017, Vol. 48 Issue (8): 587-590  DOI: 10.3969/j.issn.0253-9802.2017.08.016
0

引用本文 [复制中英文]

李波, 王展航, 匡祖颖, 徐炎, 卢建军, 王玉周, 潘梦秋, 叶锦龙. 药物过度使用性头痛患者漏诊脑膜转移癌一例[J]. 新医学, 2017, 48(8): 587-590.
Li Bo, Wang Zhanhang, Kuang Zuying, Xu Yan, Lu Jianjun, Wang Yuzhou, Pan Mengqiu, Ye Jinlong. Missed diagnosis of leptomeningeal metastasis in a woman with medication-overuse headache: one case report[J]. Journal of New Medicine, 2017, 48(8): 587-590.
药物过度使用性头痛患者漏诊脑膜转移癌一例
李波, 王展航, 匡祖颖, 徐炎, 卢建军, 王玉周, 潘梦秋, 叶锦龙     
510510 广州,广东三九脑科医院神经内一科
摘要: 脑膜转移癌又称癌性脑膜炎、脑膜癌病,是恶性肿瘤晚期严重的并发症之一,临床上容易被漏诊及误诊。该文报道1例52岁女性患者,其因“反复头痛30余年,加重1年”入院,既往有慢性偏头痛病史,长期口服止痛药物治疗,头痛反复发作并逐渐加重。眼底检查提示双侧视乳头水肿伴出血,头颅MRI显示交通性脑积水、脑膜线性强化,脑脊液压力明显增高,脑脊液细胞学发现异型肿瘤细胞,胸部CT提示周围型肺癌,正电子发射计算机断层显像显示肺癌全身广泛转移,为肺癌晚期阶段,已无手术指征。出院后随访,患者自服“吗啡缓释片、地西泮片、利尿剂”等药物治疗,病情逐渐加重,呼吸困难,全身不能活动,终日卧床。
关键词: 脑膜转移癌    慢性偏头痛    药物过度使用性头痛    肺癌    
Missed diagnosis of leptomeningeal metastasis in a woman with medication-overuse headache: one case report
Li Bo, Wang Zhanhang, Kuang Zuying, Xu Yan, Lu Jianjun, Wang Yuzhou, Pan Mengqiu, Ye Jinlong     
The First Department of Neurology, Guangdong 999 Brain Hospital, Guangzhou 510510, China
Abstract: Leptomeningeal metastasis, also known as cancerous meningitis and meningeal carcinoma, is one of the most severe complications of the advanced-stage malignant tumors. It is likely to be missed diagnosis and misdiagnosed in clinical settings. In this article, we reported one female patient aged 52 years admitted due to recurrent migraine for over 30 years which aggravated for 1 year. She had a medical history of chronic migraine and was orally administered with analgesics drugs for a long period of time. She suffered from recurrent headache and gradually aggravated. Fundus examination prompted bilateral optic disk edema complicated with hemorrhage. Head MRI revealed communicating hydrocephalus, leptomeningeal enhancement and significant elevation of intracranial pressure. Cytological examination of the cerebrospinal fluid detected malignant cells. Chest CT scan hinted peripheral lung cancer. PET-CT revealed the systemic metastasis of advanced-stage lung cancer. There was no surgical indications. During subsequent follow-up after hospital discharge, she was administered with morphine slow release tablet, diazepam and diuretic, whereas the severity of disease was gradually aggravated. She suffered from dyspnea and had to lie in bed and failed to do physical activity.
Key words: Leptomeningeal metastasis    Chronic migraine    Medication-overuse headache    Lung cancer    

脑膜转移癌是恶性肿瘤细胞通过脑脊液循环播散到软脑膜、脊膜、蛛网膜和蛛网膜下隙导致神经系统功能障碍的一类疾病,临床上以头痛、呕吐等颅内高压的症状多见,亦可见多灶性颅神经和脊神经根受累的特点,但其临床表现缺乏特异性,容易被漏诊和误诊。现笔者报道1例有慢性偏头痛病史、曾被诊断为药物过度使用性头痛(MOH)、最后确诊为癌性脑膜炎的患者,以提高对本病的认识。

病例资料 一、主诉及病史

患者女,52岁,因“反复头痛30余年,加重1年”于2016年10月17日入我院。患者30余年前起反复出现头痛,最初为双侧颞部胀痛不适,于经期出现,持续数小时至数日,发作时活动头部可加重,卧床、安静休息稍缓解,严重时伴恶心、畏光、畏声,无呕吐,自服止痛药可缓解,症状反复,每月经期均有发作,常年服用多种止痛药物(具体描述不清)治疗。近10余年来患者于非经期也频繁出现头痛,且持续时间逐渐延长,需反复服用止痛药物方能缓解。近1年其头痛发展为持续性,表现为头顶、双侧颞部胀痛不适,间断头晕发作(非天旋地转性),头痛严重时伴恶心、反复呕吐,常于夜间痛醒,服用止痛药物效果欠佳,视力下降,曾于当地医院反复就诊,行头颅MRI检查提示“脑萎缩”,未予特殊治疗。头痛症状逐渐加重,患者烦躁不安,夜间不能正常睡眠,曾于我院门诊就诊,汉密尔顿焦虑量表(HAMA)检测结果13分,提示可能有焦虑,汉密尔顿抑郁量表(HAMD)检测结果21分,提示可能有极轻的抑郁,予“舍曲林、二氢麦角碱、阿米替林”等药物治疗2周后,其头痛程度无明显减轻,夜间症状尤其明显,整夜不能入睡,遂拟“① MOH;② 焦虑状态”收入院。患者自起病以来,精神差,食欲尚可,大小便未见明显异常,近期体质量减轻约5 kg。

二、既往史及个人史

患者平素血压偏高,间断口服降压药,血压控制不详;近2年出现双眼视物模糊,当地医院眼科诊断为“高血压性眼底改变”,未予特殊治疗;经常诉腰痛,当地医院诊断为“腰椎病”,间断服用药物对症治疗;曾行心脏彩色多普勒超声检查(彩超)提示“心包积液”,行妇科彩超提示“盆腔积液”,均未予特殊治疗。否认有糖尿病、心脏病史。原籍出生长大,生活规律,已婚已育,家庭关系和睦。平素月经规律,近期经期延长,52岁尚未闭经。

三、体格检查

入院时体温36.5℃、脉搏99次/分、呼吸20次/分、血压133/96 mm Hg (1 mm Hg=0.033 kPa),内科体格检查未见异常。神经系统检查:神志清晰,精神疲倦,查体合作,高级神经活动检查未见异常,左眼视力0.2、右眼视力0.2,双眼球活动自如,双眼无震颤,双眼角膜透明,双侧眼底视乳头水肿,视盘隆起、肿胀明显,视盘周边可见片状出血灶(图 1)。双侧鼻唇沟对称,口唇居中,伸舌无偏斜,咽反射存在,四肢肌张力正常,肌力5级,双侧腱反射对称存在,全身感觉系统检查未见异常,指鼻、指指、跟-膝-胫试验未见异常,闭目站立试验阴性,双侧病理征阴性,颈软、无抵抗。

图 1 该例脑膜转移癌患者眼底照片 A:左眼;B:右眼
四、实验室及辅助检查

血、尿、粪常规检查结果均正常。ESR 28 mm/h(本院正常参考值0~20 mm/h),超敏CRP 4.40 mg/dl (0~0.3 mg/dl);甲状腺功能:T3 0.99 nmol/L (1.3~3.1 nmol/L),FT3 2.16 pmol/L (3.1 ~6.8 pmol/L),T4 98.77 nmol/L (66~81 nmol/L),FT4 15.52 pmol/L(12~22 pmol/L),TSH 0.63 mIU/L(0.27~4.2 mIU/L);凝血4项+D-二聚体:凝血酶原时间(PT) 10.1 s(9.8~12.1 s),活化部分凝血活酶时间(APTT) 22.4 s(22.7~31.8 s),国际标准化比率(INR)0.84(0.85~1.05),凝血酶时间(TT) 17.0 s (14~21 s),纤维蛋白原2.8 g/L(1.8~3.5 g/L),D-二聚体0.95 mg/L(0~0.55 mg/L);肿瘤7项:癌胚抗原17.67 ng/ml(0~5 ng/ml),甲胎蛋白2.56 ng/ml(0.89~8.78 ng/ml),人绒毛膜促性腺激素<1.20 IU/L(0 ~5 IU/L),鳞癌细胞抗原0.40 ng/ml (0~ 1.5 ng/ml),糖类抗原125 25.30 U/ml (0~35 U/ml),糖类抗原153 28.90 U/ml(0~31.3 U/ml),糖类抗原199 19.09 U/ml(0~37 U/ml)。性激素、肝功能、肾功能、心肌酶、血清离子等均未见异常,血清疱疹病毒、风疹病毒与巨细胞病毒抗体均阴性。

腰椎穿刺脑脊液压力>330 mm H2O(1 mm H2O=0.0098 kPa);脑脊液常规+细胞学检查示细胞总数92×106/L,白细胞计数18×106/L,其中淋巴细胞95%,激活淋巴细胞1%,单核细胞3%,激活单核细胞1%,镜下见核大、深染的异型细胞(图 2);脑脊液蛋白1.10 g/L,葡萄糖、氯化物均正常;脑脊液癌胚抗原24.92 ng/ml(0~5 ng/ml);细菌、结核涂片正常;脑脊液疱疹病毒、风疹病毒与巨细胞病毒抗体均阴性。

图 2 该例脑膜转移癌患者脑脊液细胞学检查(× 400)) 光镜下可见核大、深染的异型细胞(箭头所示

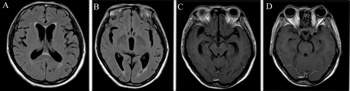
头颅MRI+增强扫描+磁共振血管成像(MRA)示:① 右侧额顶叶局部脑沟液体衰减反转恢复(FLAIR)序列信号稍显模糊,增强后呈线样强化影,需排除脑膜炎可能;② 脑白质多发变性灶;③ 弥漫性轻度脑萎缩;④ 半球MRA示脑动脉硬化(轻度)、右侧胚胎型大脑后动脉及右侧大脑前动脉A1段细小。胸部CT平扫+增强示:① 考虑右肺下叶背段周围型肺癌;② 纵隔淋巴结肿大,考虑为癌转移;③ 胸骨、脊柱多发转移灶;④ 心包积液;⑤ 双肺下叶少许坠积性炎症。行全身正电子发射计算机断层显像(PET-CT)示:① 右肺下叶后基底段致密结节灶,糖代谢增高,考虑周围性肺癌;纵膈多发淋巴结影,糖代谢增高,考虑为癌转移;② 双肺多发小结节灶,糖代谢未见增高,考虑转移瘤;③ 枕骨斜坡、双侧肱骨、双侧肩胛骨、双侧锁骨、胸骨、双侧多根肋骨、脊柱多个椎体及附件、骨盆诸骨、双侧股骨上段多发混合型骨质破坏,部分糖代谢增高,考虑转移瘤;④ 左侧肾上腺增粗,糖代谢增高,考虑转移瘤可能;⑤ 脑萎缩,胸部未见糖代谢异常增高灶,需结合MRI检查综合评估;⑥ 心包积液;⑦ 未见氟代脱氧葡萄糖代谢异常增高灶。

图 3 该例脑膜转移癌患者头颅MRI+增强扫描
五、治疗及转归

未明确转移癌诊断前予甲磺酸双氢麦角毒碱片2 mg、每日3次,舍曲林50 mg、每日1次,丙戊酸钠缓释片500 mg、每日2次,奥氮平5 mg、每晚1次,患者自觉头痛程度减轻,白天发作次数明显减少,由夜间持续性头痛变为可入睡,但凌晨3~4点仍会痛醒,痛醒呕吐胃内容物,非喷射性。其后完善检查明确诊断为:① 右侧周围型肺癌;② 脑膜转移癌;③ 肺癌全身多处广泛转移。请肿瘤科会诊,会诊意见为目前肺癌广泛转移已无手术指征,可行化学治疗、放射治疗。患者与家属商量后决定转回当地医院继续治疗。出院后随访,其未再继续住院治疗,自服“吗啡缓释片、地西泮片、利尿剂”等药物治疗,头痛一直不能控制,伴频繁呕吐,食欲差。至2017年3月患者仍生存,但已出现严重呼吸困难,全身不能活动,终日卧床。

讨论

偏头痛是神经内科门诊就诊率非常高的一种疾病,也是内科门诊常见疾病之一,随着病程进展,偏头痛发作次数逐渐增加,进展为慢性偏头痛(CM)。CM和药物过度使用有明显的相关性,在我国的调查显示慢性每日头痛(CDH)患者中有60%有药物过度使用情况,逐渐演变为MOH[1-2]

MOH是慢性头痛的一种形式,是仅次于偏头痛和紧张型头痛的第三大头痛类型[2]。本例患者30余年前起出现的头痛符合偏头痛的诊断标准[3]。随着病程的延长及止痛药物的长期使用,患者偏头痛逐渐演变为CDH,头痛的发作及特点亦符合CM及MOH的诊断[2]。患者曾反复于当地医院就诊,因原有的MOH使医务人员在初诊时漏诊转移癌,且HAMA、HAMD量表测评的结果提示患者合并轻度焦虑、抑郁,使病情变得更加复杂,对其反复呕吐、视力下降等表现未用“一元论”的理论去分析和思考,延误了诊治。

脑膜转移癌又称脑膜癌病或癌性脑膜炎,是恶性肿瘤细胞通过脑脊液循环播散到软脑膜、脊膜、蛛网膜和蛛网膜下隙导致神经系统功能障碍的一类疾病,其预后较差,据统计,脑膜转移癌患者平均中位生存期为2.3个月,经积极治疗的脑膜转移癌患者中位生存期也仅为150 d[4]。脑膜转移癌患者癌细胞通常沿着脑膜弥漫性浸润,累及大脑半球、颅神经、软脑膜,临床以头痛、呕吐等颅内高压的表现最常见,其他颅神经受累以复视、视力下降、面部麻木、听力下降、眩晕多见,脊髓神经根受累可出现颈背部疼痛,双下肢无力、麻痹等,也可出现脑病样表现、癫痫发作等[5]。癌细胞累及软脑膜、蛛网膜,导致脑脊液循环不畅,约一半患者会出现交通性脑积水[6]。本例患者MRI表现为侧脑室颞角、侧裂池扩大,第三脑室扩张,呈脑萎缩样的影像学改变,被误诊为脑萎缩。MRI增强扫描对本病的诊断有一定作用,增强扫描后可见脑膜强化,但这些表现并无特异性,只要存在颅内高压或颅内炎症均可有以上表现,往往易被误诊为脑膜炎。

脑脊液检查对脑膜转移癌的诊断有非常重要的价值,腰椎穿刺可见脑脊液压力明显增高,蛋白水平、白细胞计数上升,葡萄糖含量降低,脑脊液中与原发肿瘤相关的特异性肿瘤标记物升高,细胞学检查可见核大深染的异型细胞,脑脊液细胞学找到恶性肿瘤细胞是诊断脑膜转移癌的金标准[7-8]。本例患者的脑脊液压力>330 mm H2O,蛋白含量及白细胞计数高,脑脊液癌胚抗原也明显升高,在镜下找到核大深染的异型细胞,故能明确诊断为脑膜转移癌。

Hyun等[9]对519例脑膜转移癌患者的资料进行了统计,结果显示脑膜转移癌最常见的原发肿瘤是肺癌(64.3%),其次是乳腺癌(18.5%)和胃肠道癌(7.5%)。本例患者为周围型肺癌,与上述报道相符。本例的确诊过程提醒我们对头颅MRI检查显示有交通性脑积水的患者有必要进一步行增强扫描,或行腰椎穿刺检查以排除脑膜转移癌,避免延误诊治。

参考文献
[1]
Yu S, Liu R, Zhao G, Yang X, Qiao X, Feng J, Fang Y, Cao X, He M, Steiner T. The prevalence and burden of primary headaches in China: a population-based door-to-door survey[J]. Headache, 2012, 52(4): 582-591. DOI:10.1111/hed.2012.52.issue-4
[2]
Headache Classification Committee of the International Headache Society (IHS). The international classification of headache disorders, 3rd edition(beta version)[J]. Cephalalgia, 2013, 33(9): 629-808. DOI:10.1177/0333102413485658
[3]
中华医学会疼痛学分会头面痛学组. 中国偏头痛诊断治疗指南[J]. 中国疼痛医学杂志, 2011, 17(2): 65-86.
[4]
张琴琴, 何俊瑛, 刘鑫, 邹月丽, 刘亚娟, 李媛媛, 崔君昭, 郭小肃, 郑明明, 赵跃, 卜晖. 脑膜癌病94例临床分析[J]. 中国神经精神疾病志, 2015, 41(12): 715-719.
[5]
Duan H, Li M, Sun X. Clinical features of patients with carcinomatous meningitis in the Chinese population: report of 4 cases and review of the literature[J]. Turk Neurosurg, 2014, 24(1): 13-18.
[6]
Lin N, Dunn IF, Glantz M, Allison DL, Jensen R, Johnson MD, Friedlander RM, Kesari S. Benefit of ventriculoperitoneal cerebrospinal fluid shunting and intrathecal chemotherapy in neoplastic meningitis: a retrospective, case-controlled study[J]. J Neurosurg, 2011, 115(4): 730-736. DOI:10.3171/2011.5.JNS101768
[7]
Wang P, Piao Y, Zhang X, Li W, Hao X. The concentration of CYFRA 21-1, NSE and CEA in cerebro-spinal fluid can be useful indicators for diagnosis of meningeal carcinomatosis of lung cancer[J]. Cancer Biomark, 2013, 13(2): 123-130. DOI:10.3233/CBM-130338
[8]
Lee DW, Lee KH, Kim JW, Keam B. Molecular targeted therapies for the treatment of leptomeningeal carcinomatosis: current evidence and future directions[J]. Int J Mol Sci, 2016, 17(7).
[9]
Hyun JW, Jeong IH, Joung A, Cho HJ, Kim SH, Kim HJ. Leptomeningeal metastasis: clinical experience of 519 cases[J]. Eur J Cancer, 2016, 56: 107-114. DOI:10.1016/j.ejca.2015.12.021